استبدال مفصل الورك الكلي لالتهاب المفاصل الروماتويدي اليفعي: استعادة الحركة والأمل مع الأستاذ الدكتور محمد هطيف في صنعاء

الخلاصة الطبية
استبدال مفصل الورك الكلي هو علاج فعال لالتهاب المفاصل الروماتويدي اليفعي المتقدم، حيث يهدف إلى تخفيف الألم واستعادة الحركة. الأستاذ الدكتور محمد هطيف في صنعاء هو الخبير الأول في إجراء هذه الجراحات المعقدة للمرضى الصغار، مستخدماً أحدث التقنيات لضمان أفضل النتائج وتحسين جودة الحياة.
الخلاصة الطبية السريعة: استبدال مفصل الورك الكلي هو علاج فعال لالتهاب المفاصل الروماتويدي اليفعي المتقدم، حيث يهدف إلى تخفيف الألم واستعادة الحركة. الأستاذ الدكتور محمد هطيف في صنعاء هو الخبير الأول في إجراء هذه الجراحات المعقدة للمرضى الصغار، مستخدماً أحدث التقنيات لضمان أفضل النتائج وتحسين جودة الحياة.
مقدمة
يُعد التهاب المفاصل الروماتويدي اليفعي (Juvenile Idiopathic Arthritis - JIA) تحديًا صحيًا كبيرًا يؤثر على الأطفال والشباب، مسببًا ألمًا مزمنًا ومحدودية في الحركة، خاصةً في مفاصل رئيسية مثل الورك. في هذه الحالات المعقدة، يمكن أن يكون استبدال مفصل الورك الكلي (Total Hip Arthroplasty - THA) بمثابة طوق نجاة، يعيد للمرضى حركتهم ويخفف آلامهم، مما يسمح لهم بالعيش بجودة حياة أفضل.
يفتخر اليمن، وتحديدًا صنعاء، بوجود قامة طبية بارزة في هذا المجال، هو الأستاذ الدكتور محمد هطيف، الذي يُعد المرجع الأول والوجهة المثلى للمرضى الذين يعانون من هذه الحالات المعقدة. بفضل خبرته الواسعة ومهاراته الجراحية المتقدمة، يقدم الدكتور هطيف حلولًا جراحية مبتكرة تضمن أفضل النتائج لهؤلاء المرضى الصغار.
التهاب المفاصل الروماتويدي اليفعي
وُصف التهاب المفاصل المزمن اليفعي لأول مرة بواسطة جورج ستيل عام 1897، لتمييزه عن التهاب المفاصل الروماتويدي لدى البالغين. وقد أدخلت الرابطة الدولية لجمعيات الروماتيزم (ILAR) مصطلح "التهاب المفاصل الروماتويدي اليفعي" (JIA) لتغطية هذه المجموعة غير المتجانسة من الحالات. يُعرّف JIA بأنه التهاب في مفصل واحد أو أكثر يستمر لمدة 6 أسابيع أو أكثر، ويبدأ قبل سن 16 عامًا، ولا يوجد له سبب معروف آخر. وقد حل هذا المصطلح الآن محل المصطلحات الأوروبية والأمريكية السابقة.
صنفت الرابطة الدولية لجمعيات الروماتيزم (ILAR) التهاب المفاصل الروماتويدي اليفعي إلى سبعة أنواع فرعية:
1. التهاب المفاصل الروماتويدي اليفعي جهازي البدء.
2. التهاب المفاصل الروماتويدي اليفعي قليل المفاصل.
3. التهاب المفاصل المتعدد مع عامل روماتويدي سلبي.
4. التهاب المفاصل المتعدد مع عامل روماتويدي إيجابي.
5. التهاب المفاصل الصدفي.
6. التهاب المفاصل المرتبط بالتهاب المرتكزات.
7. التهاب المفاصل غير المصنف.
يُعد الأطفال الصغار الذين تتراوح أعمارهم بين 1 و 3 سنوات هم الأكثر إصابة، بنسبة ذكور إلى إناث تبلغ 1:2. ويُعد التهاب المفاصل الروماتويدي اليفعي جهازي البدء استثناءً بنسبة 1:1. تشير الدراسات إلى معدلات إصابة تتراوح بين 3.5 إلى 15 حالة لكل 100,000 طفل سنويًا.

تأثير التهاب المفاصل اليفعي على الورك
يُعاني ما يقرب من 25% من المرضى، خاصة أولئك الذين يصابون بالمرض في سن مبكرة، والذين يعانون من التهاب المفاصل المتعدد الجهازي والإيجابي لعامل الروماتويد، من عواقب طويلة الأمد تتمثل في التهاب المفاصل المزمن والمُعوق. بشكل عام، تُعد الإناث، وإصابة المفاصل المتعددة والمتناظرة، وارتفاع علامات الالتهاب، والعامل الروماتويدي الإيجابي، من أكثر المؤشرات ثباتًا على سوء النتائج.
يُظهر التهاب المفاصل الروماتويدي اليفعي تغيرات نسيجية مرضية مماثلة لالتهاب المفاصل الروماتويدي لدى البالغين، مع فقدان الغضروف المفصلي الذي يساهم في الألم وفقدان الحركة في المفاصل. تُعد إصابة الورك شائعة في التهاب المفاصل الروماتويدي اليفعي جهازي البدء والتهاب المفاصل المتعدد.
في المراحل المبكرة من مرض الورك، هناك حاجة إلى نهج متعدد التخصصات يشمل جراح العظام، وأخصائي الروماتيزم، وأخصائي العلاج الطبيعي، وأخصائي العلاج الوظيفي، بالإضافة إلى الطبيب النفسي. تُعد الأدوية المعدلة لسير المرض ومضادات الالتهاب غير الستيرويدية حجر الزاوية في العلاج. يُعد الميثوتريكسات الخيار الأول بين الأدوية المعدلة لسير المرض. يجب استخدام الجلوكوكورتيكويدات طويلة الأمد بحذر بسبب خطر تأخر النمو ومتلازمة كوشينغ وآثارها الضارة على مفصل الورك الاصطناعي. يجري حاليًا التحقيق في دور مختلف العوامل المناعية، بما في ذلك مضادات عامل نخر الورم ألفا، لعلاج هذا المرض.
أهمية استبدال مفصل الورك الكلي
على الرغم من التحديات، يبقى استبدال مفصل الورك الكلي هو المعيار الذهبي لعلاج مشاكل الورك في التهاب المفاصل الروماتويدي اليفعي. إنه إجراء جراحي معقد يتطلب خبرة ومهارة عالية، خاصةً عند التعامل مع التغيرات التشريحية الفريدة التي يسببها المرض في الأطفال والشباب. بفضل التقدم في التقنيات الجراحية وتصميم الغرسات، يمكن لهذه الجراحة أن تحدث فرقًا جذريًا في حياة المرضى، مما يمكنهم من استعادة حركتهم وتقليل اعتمادهم على الآخرين.

تشريح مفصل الورك وتأثره بالمرض

يتكون مفصل الورك من رأس عظم الفخذ الكروي الذي يتناسب مع تجويف الحُق في عظم الحوض. في حالات التهاب المفاصل الروماتويدي اليفعي، يتعرض هذا المفصل لتغيرات هيكلية واسعة النطاق تؤثر على الغضاريف والعظام المحيطة. يعتمد مآل المرض على النوع الفرعي من التهاب المفاصل الروماتويدي اليفعي. أولئك الذين يظهر لديهم المرض قبل سن الخامسة يميلون إلى مسار أكثر شدة، خاصة إذا استمر المرض بعد السنوات الخمس الأولى من العمر.
أظهرت متابعة لمدة خمسة عشر عامًا لمرضى التهاب المفاصل الروماتويدي اليفعي قليل المفاصل أن 15% منهم يتطور لديهم التهاب مفاصل متعدد وإصابة شديدة في المفاصل. من المهم التعرف على الشكل قليل المفاصل من التهاب المفاصل الروماتويدي اليفعي لأنه يرتبط بحدوث عالٍ جدًا لمشاكل العين. في مجموعة التهاب المفاصل المرتبط بالتهاب المرتكزات، يصل ما يصل إلى 10% إلى قيود شديدة في الحركة بحلول سن الخامسة عشرة، وما يصل إلى 33% يعانون من إصابة في الورك.
غالبًا ما يدخل مرضى مجموعة التهاب المفاصل المتعدد مع عامل روماتويدي سلبي في حالة هدوء مع القليل من التآكل المفصلي. ومع ذلك، فإن مجموعة التهاب المفاصل المتعدد مع عامل روماتويدي إيجابي لديها مسار أكثر شدة، حيث يحتاج 20% منهم إلى استبدال مفصل الورك الكلي، وما يقرب من 10% يحتاجون إلى استبدال مفصل الركبة الكلي. من بين الأطفال المصابين بالتهاب المفاصل الروماتويدي اليفعي جهازي البدء، يتعافى نصفهم دون انتكاس، لكن البقية يعانون من التهاب مفاصل متعدد شديد.
أنماط إصابة الورك بالتهاب المفاصل اليفعي
لوحظت ثلاثة أنماط مميزة لإصابة الورك لدى مرضى التهاب المفاصل الروماتويدي اليفعي:
* الإصابة المبكرة (قبل سن 11 عامًا): يعاني المرضى من وركين مشوهين (خلعيين) مع رؤوس فخذ كبيرة ومتقوسة وتجويف حقي مشوه.
* الإصابة المتأخرة: غالبًا ما تظهر على المرضى حالات انغماس حقي شديد (بروز الحُق).
* التهاب المفاصل المرتبط بالتهاب المرتكزات: يظهر هؤلاء المرضى بتكلس عظمي لمفصل الورك.
بغض النظر عن النمط، يظل استبدال مفصل الورك الكلي هو الحل الأمثل والفعال لعلاج مشاكل الورك في التهاب المفاصل الروماتويدي اليفعي.

دواعي جراحة استبدال مفصل الورك الكلي
تُعد جراحة استبدال مفصل الورك الكلي ضرورية للمرضى الذين يعانون من التهاب مفصل الورك في مراحله النهائية، والذي يسبب ألمًا شديدًا وإعاقة وظيفية كبيرة.
المرشحون للجراحة
المرضى الذين يستفيدون بشكل كبير من هذه الجراحة هم أولئك الذين:
* يعانون من ألم مزمن وشديد في الورك لا يستجيب للعلاجات التحفظية.
* يواجهون صعوبة كبيرة في أداء الأنشطة اليومية بسبب محدودية حركة الورك.
* لديهم دليل إشعاعي على تدمير مفصلي واسع النطاق أو تشوه شديد في مفصل الورك.
تحديات مرضى التهاب المفاصل اليفعي
تُقدم جراحة استبدال مفصل الورك الكلي لمرضى التهاب المفاصل الروماتويدي اليفعي تحديات فريدة وخاصة بالحالة، والتي تتطلب خبرة جراحية فائقة وتخطيطًا دقيقًا. الأستاذ الدكتور محمد هطيف في صنعاء، بصفته خبيرًا رائدًا في هذا المجال، يمتلك المعرفة والمهارة اللازمة للتغلب على هذه التحديات. تشمل هذه التحديات:
* قصر القامة وصغر السن: قد يكون المرضى أصغر سنًا من متوسط مرضى استبدال الورك، مما يؤثر على حجم الغرسات والعمر المتوقع لها.
* هشاشة العظام: غالبًا ما يعاني المرضى من هشاشة العظام بسبب المرض نفسه أو استخدام الكورتيكوستيرويدات، مما يزيد من خطر الكسور أثناء الجراحة.
* إصابة المفاصل المتعددة: قد تؤثر الحالة على عدة مفاصل أخرى، مما يجعل إعادة التأهيل بعد الجراحة أكثر تعقيدًا.
* التقلصات المتقدمة: وجود تقلصات شديدة في المفاصل والعضلات يضيف صعوبة للوصول الجراحي واستعادة المدى الكامل للحركة.
* التشوهات العظمية غير الطبيعية: مثل الانقلاب المفرط لعظم الفخذ أو التجويف الحقي، وعدم التوافق بين الساق والجذع، وقنوات النخاع الضيقة، والتجويفات الحقية المشوهة أو المنصهرة أو المنغمسة، مما يجعل هذه الجراحة تتطلب مهارات فنية عالية.

موانع جراحة استبدال مفصل الورك الكلي
مثل أي إجراء جراحي كبير، توجد موانع معينة لجراحة استبدال مفصل الورك الكلي، والتي يجب تقييمها بعناية من قبل الأستاذ الدكتور محمد هطيف وفريقه الطبي.
* العدوى النشطة: وجود عدوى موضعية أو جهازية نشطة يمثل مانعًا مطلقًا للجراحة، حيث يمكن أن تنتشر العدوى إلى الغرسة الجديدة وتسبب فشلها.
* الحالة الطبية العامة: أي حالة طبية عامة تجعل المريض عرضة لمخاطر عالية أثناء الجراحة أو بعدها.
* عدم نضج الهيكل العظمي: بالنسبة للمرضى الذين لا يزال هيكلهم العظمي في طور النمو، قد تكون الجراحة موانع نسبية.
* مستويات التحفيز المنخفضة: قد يؤدي عدم وجود دافع كافٍ للمريض للمشاركة في برنامج إعادة التأهيل المكثف إلى نتائج غير مرضية.

التخطيط الشامل قبل الجراحة
يتطلب التعامل مع مرضى التهاب المفاصل الروماتويدي اليفعي تخطيطًا دقيقًا وشاملاً قبل الجراحة، وهو ما يبرع فيه الأستاذ الدكتور محمد هطيف في صنعاء. يشمل هذا التخطيط تقييمًا سريريًا وإشعاعيًا شاملاً للمريض.
النهج المتعدد التخصصات
تتطلب إدارة هؤلاء المرضى الصعبين نهجًا متعدد التخصصات، مع تنسيق وثيق بين جراح العظام (الأستاذ الدكتور محمد هطيف)، وطبيب التخدير، وأخصائي الروماتيزم، وأخصائي العلاج الطبيعي. يضمن هذا التعاون الشامل تقديم رعاية مثلى للمريض في جميع مراحل العلاج.
التقييم السريري الدقيق
يجب أن يشمل التقييم السريري فحصًا شاملاً للعمود الفقري العنقي والمفصل الفكي الصدغي. من الضروري إجراء تقييم شامل لتوثيق مدى وشدة إصابة المفاصل الأخرى.
* إصابة الأطراف العلوية: يمكن أن تسبب إصابة الكتفين والمرفقين والمعصمين تحديًا في إعادة التأهيل بعد الجراحة.
* مشاكل القدم والكاحل: يجب أن تكون القدم مستوية (plantigrade foot) لنجاح جراحة الورك والركبة، وقد تحتاج مشاكل الكاحل والقدم إلى معالجة قبل جراحة الورك.
* فحص الورك: يشمل تقييم التشوهات الثابتة، واختلاف طول الطرفين، ومدى الحركة. يعاني العديد من هؤلاء المرضى من تشوهات ثابتة، خاصة تشوه الثني الثابت، وقد يعاني آخرون من وركين "متعرجين" (windswept hips) حيث يكون ورك في حالة اختطاف وآخر في حالة تقريب.
* إصابة الورك والركبة الثنائية: قد يعاني المرضى أحيانًا من التهاب المفاصل في الوركين والركبتين معًا، وفي هؤلاء المرضى قد يكون من الضروري معالجة مفاصل متعددة.



علاج الورك أولاً في المفاصل المتعددة
في حال وجود التهاب مفاصل في الورك والركبة في نفس الجانب، يكون من الطبيعي معالجة الورك أولاً لعدة أسباب:
| السبب | التفصيل |
|---|---|
| وظيفة الركبة | يعتمد ثني ومد الركبة النشط إلى حد كبير على وظيفة الورك الحرة. |
| محاذاة الركبة | يصعب تحقيق محاذاة دقيقة للركبة في وجود تشوه الورك. |
| تخفيف آلام الركبة | غالبًا ما تسبب آلام الورك التهابًا للركبتين، وتتحسن أعراض الركبة حتمًا بعد جراحة استبدال الورك. |
| تصحيح تشوه الركبة | قد يتسبب التضرر الشديد وقصر أحد الوركين في اتخاذ الركبة المقابلة وضعية الثني؛ قد يتحسن هذا التشوه بعد استبدال الورك وإعادة محاذاته. |
| تحسين الثني في الركبة | يمكن أن يكون تشوه الثني في الركبة ثانويًا لتشوه الثني في الورك في نفس الجانب، والذي سيتحسن بعد جراحة استبدال الورك. |
| سهولة إعادة التأهيل | لوحظ أن إعادة تأهيل الورك الكلي مع ركبة متيبسة أسهل من إعادة تأهيل الركبة الكلية مع ورك متيبس. |
| ألم أقل للمريض | إعادة تأهيل الورك أقل إيلامًا من إعادة تأهيل الركبة، مما يزيد من احتمالية امتثال المريض للمراحل التالية من العملية. |
إدارة الأدوية قبل الجراحة
لا يزال استخدام الأدوية المعدلة لسير المرض والستيرويدات وقت الجراحة محل نقاش. وقد خلصت المراجعات المنهجية إلى أن الاستمرار في تناول جرعات منخفضة من الميثوتريكسات خلال فترة ما حول الجراحة كان آمنًا، بل ويقلل من حدوث النوبات الالتهابية التي قد تعيق برنامج إعادة التأهيل بعد الجراحة. ومع ذلك، من المهم التنسيق مع أخصائي الروماتيزم بخصوص الأدوية المعدلة لسير المرض.
التقييم الإشعاعي وتخطيط الغرسات
يشمل التقييم الإشعاعي للمريض تصوير العمود الفقري العنقي، وصورة شعاعية أمامية خلفية للحوض مع مفصلي الورك، وصورة جانبية لمفصل الورك المصاب، بالإضافة إلى صور أمامية خلفية وجانبية لعظم الفخذ. يساعد التخطيط المسبق للجراحة في اختيار الغرسة الصحيحة.
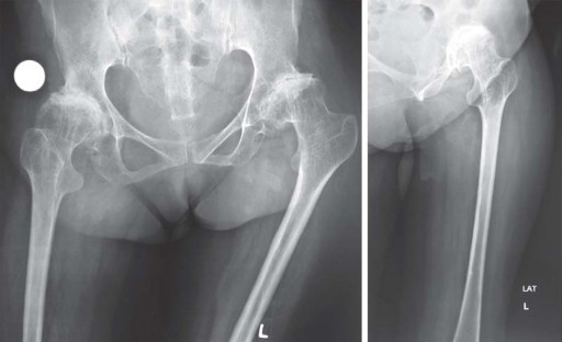
يميل مرضى التهاب المفاصل الروماتويدي اليفعي إلى امتلاك قناة نخاعية فخذية ضيقة جدًا مع عدم توافق بين قطر القناة القريبة والبعيدة. يمكن أن يختلف التجويف الحقي من النوع المشوه (كما يظهر في الشكل 29.1) إلى النوع المنغمس (كما يظهر في الشكل 29.2) أو قد يكون مفصل ورك ملتحم (كما يظهر في الشكل 29.3).
نمط الورك المشوه



نمط انغماس الورك

انصهار ثنائي في مفصل الورك بالتهاب المفاصل اليفعي

اختيار الغرسات المناسبة
يُعد اختيار الغرسات المناسبة قرارًا حاسمًا في جراحة استبدال مفصل الورك الكلي لمرضى التهاب المفاصل الروماتويدي اليفعي، ويتطلب خبرة كبيرة في فهم التحديات التشريحية والبيولوجية الفريدة لهؤلاء المرضى.
اختيار طريقة التثبيت
يمكن أن يؤدي نمو العظام وإعادة تشكيلها إلى ارتخاء الغرسة عند إجراء الجراحة في المرضى الذين لم يكتمل نموهم العظمي. كانت نتائج بقاء الغرسات على المدى الطويل في جراحة استبدال مفصل الورك الكلي المثبت بالأسمنت في التهاب المفاصل الروماتويدي اليفعي متغيرة.
* الغرسات المثبتة بالأسمنت: أظهرت دراسات مختلفة معدلات بقاء متفاوتة. على سبيل المثال، أبلغت إحدى الدراسات عن بقاء 85% للمكون الفخذي و 61% للمكون الحقي بعد خمسة عشر عامًا. بينما أبلغت دراسة أخرى عن معدلات بقاء تصل إلى 96% و 77% للمكونات الأصلية عند عشرة وخمسة وعشرين عامًا على التوالي. ومع ذلك، لوحظ أن ارتخاء الغرسة الإشعاعي أكثر شيوعًا من الفشل المصحوب بأعراض في بعض السلاسل، حيث وصلت معدلات الارتخاء إلى 43.5% في الوركين التي تمت متابعتها لأكثر من خمس سنوات.
* الغرسات غير المثبتة بالأسمنت (البيولوجية): تُعد هذه الطريقة خيارًا جذابًا في التهاب المفاصل الروماتويدي اليفعي على الرغم من قلة الدراسات المتاحة. أبلغت إحدى الدراسات عن معدل ارتخاء 12% للتجويف الحقي في 25 عملية استبدال ورك غير مثبتة بالأسمنت بعد متوسط متابعة 4.5 سنوات. بينما أبلغت دراسة أخرى عن بقاء 100% للمكون الفخذي و 90.










































آلام الورك المبرحة ليس قدراً محتوماً! التشخيص الدقيق والعلاج المتخصص يمكن أن يعيد لك كامل وظيفتك وحريتك في الحركة بدون ألم.
للحصول على استشارة دقيقة وخطة علاجية مخصصة لحالتك، تواصل فوراً مع مركز الأستاذ الدكتور محمد هطيف:
الأستاذ الدكتور محمد هطيف - أفضل دكتور عظام في صنعاء، وخبير في جراحات استبدال مفصل الورك والمراجعة المعقدة.
مواضيع أخرى قد تهمك