إصابات الركبة العائمة: دليل شامل للمرضى من التشخيص إلى التعافي

الخلاصة الطبية
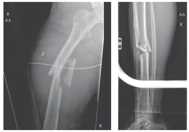
إصابة الركبة العائمة هي كسر شديد في عظم الفخذ والساق بنفس الطرف، وتحدث غالباً نتيجة حوادث عالية الطاقة. تتطلب جراحة دقيقة لإعادة الاستقرار والوظيفة، مع التركيز على إعادة التأهيل المتخصص لضمان أفضل النتائج وتجنب المضاعفات طويلة الأمد.
الخلاصة الطبية السريعة: إصابة الركبة العائمة هي كسر شديد في عظم الفخذ والساق بنفس الطرف، وتحدث غالباً نتيجة حوادث عالية الطاقة. تتطلب جراحة دقيقة لإعادة الاستقرار والوظيفة، مع التركيز على إعادة التأهيل المتخصص لضمان أفضل النتائج وتجنب المضاعفات طويلة الأمد.
مقدمة عن إصابات الركبة العائمة
تُعد "إصابة الركبة العائمة" (Floating Knee Injury) من أخطر الإصابات العظمية وأكثرها تعقيداً التي قد تصيب الطرف السفلي. سُميت بهذا الاسم لأنها تتضمن كسراً متزامناً في عظم الفخذ (الفخذ) وعظم الساق (القصبة) في نفس الطرف، مما يجعل مفصل الركبة "عائماً" أو غير مستقر بين عظمتين مكسورتين. هذه الإصابة، التي وصفها لأول مرة الدكتور ماكنيور عام 1953 وصنفها الدكتور فريزر عام 1970، تنتج عادةً عن حوادث عالية الطاقة، مثل حوادث السيارات الخطيرة، السقوط من ارتفاعات عالية، أو حوادث دهس المشاة.
إن عدم الاستقرار الشديد والأضرار الواسعة للأنسجة الرخوة المحيطة التي تصاحب هذه الإصابات تجعلها تحدياً كبيراً للأطباء والمرضى على حد سواء. تتطلب هذه الحالات تقييماً دقيقاً للغاية وإدارة علاجية شاملة ومتأنية لضمان أفضل فرصة للتعافي الوظيفي.
على الرغم من أن إصابات الركبة العائمة نادرة نسبياً، حيث تمثل حوالي 0.5-2% من جميع كسور العظام الطويلة، إلا أنها ترتبط بنسبة عالية من الإصابات المتعددة في أجزاء أخرى من الجسم (Polytrauma)، والتي قد تهدد الحياة. تشمل هذه الإصابات المرتبطة صدمات الرأس، وإصابات الصدر والبطن، بالإضافة إلى أضرار جسيمة للأوعية الدموية أو الأعصاب في الطرف المصاب. على سبيل المثال، يمكن أن يحدث إصابة للشريان المأبضي (Popliteal Artery) في 8-15% من الحالات، بينما تُسجل إصابات الأعصاب الشظوية أو الظنبوبية في 10-30% من الحالات. كما أن متلازمة الحيز (Compartment Syndrome)، وهي حالة تهدد الطرف، تحدث أيضاً بنسبة ملحوظة.
يُعد فهم طبيعة هذه الإصابة، وطرق تشخيصها، وخيارات علاجها، ومراحل التعافي منها أمراً بالغ الأهمية لكل من المرضى وعائلاتهم. يهدف هذا الدليل الشامل إلى تقديم معلومات مفصلة ومبسطة حول إصابات الركبة العائمة، مع التركيز على أهمية التدخل الطبي المتخصص لضمان أفضل النتائج الممكنة. في صنعاء، يُعد الأستاذ الدكتور محمد هطيف، استشاري جراحة العظام والعمود الفقري، من أبرز الخبراء في التعامل مع هذه الحالات المعقدة، مقدماً رعاية طبية متقدمة تعتمد على أحدث البروتوكولات العالمية.
التشريح الحيوي لمفصل الركبة وتأثير الإصابة عليه
لفهم إصابة الركبة العائمة وكيفية علاجها، من الضروري أن نتعرف على التشريح الأساسي لمفصل الركبة والعظام المحيطة به. مفصل الركبة هو مفصل مفصلي معقد، يتكون من ثلاثة عظام رئيسية: الجزء السفلي من عظم الفخذ (Femur)، والجزء العلوي من عظم الساق (Tibia)، وعظم الرضفة (Patella) المعروفة بالصابونة. يستمد هذا المفصل استقراره من التوافق العظمي بين هذه الأجزاء، بالإضافة إلى شبكة قوية من الأربطة والعضلات التي تحيط به.
عظم الفخذ (Femur)
هو أطول وأقوى عظم في الجسم. الجزء السفلي منه، والذي يشكل جزءاً من مفصل الركبة، يتضمن:
*
اللقمتين الإنسية والوحشية (Medial and Lateral Condyles):
وهما نتوءان دائريان يتصلان بالسطح العلوي لعظم الساق (السطح المفصلي الظنبوبي).
*
الشق بين اللقمتين (Intercondylar Notch):
وهو فراغ بين اللقمتين يمر من خلاله الأربطة الصليبية.
*
المنطقة فوق اللقمتين (Supracondylar Region):
وهي منطقة تقع فوق اللقمتين مباشرة، وتُعد موقعاً شائعاً للكسور في إصابات الركبة العائمة.
عظم الساق (Tibia)
هو العظم الأكبر والأكثر تحملاً للوزن في الساق. الجزء العلوي منه، الذي يشكل الجزء السفلي من مفصل الركبة، يتكون من:
*
السطح المفصلي الظنبوبي (Tibial Plateaus):
وهما سطحان علويان (إنسي ووحشي) يتصلان بلقمتي عظم الفخذ، ويُعدان حاسمين لتحمل الوزن واستقرار الركبة.
*
البروز بين اللقمتين (Intercondylar Eminence):
وهو نتوء يقع بين السطحين المفصليين الظنبوبيين.
*
حدبة الظنبوب (Tibial Tuberosity):
وهي نتوء في الجزء الأمامي العلوي من عظم الساق، تتصل به عضلة الفخذ الرباعية عبر وتر الرضفة.
الأربطة الهامة (Ligamentous Structures)
تلعب الأربطة دوراً حاسماً في استقرار الركبة، وغالباً ما تتضرر في إصابات الركبة العائمة:
*
الأربطة الصليبية (Cruciate Ligaments - ACL & PCL):
وهما يقعان داخل المفصل ويوفران الاستقرار الأمامي والخلفي للركبة. غالباً ما تُصاب في حالات الطاقة العالية، خاصة إذا تعرضت الركبة لخلع.
*
الأربطة الجانبية (Collateral Ligaments - MCL & LCL):
وهما يوفران الاستقرار ضد قوى الانحراف للداخل والخارج. الرباط الإنسي الجانبي (MCL) عريض ومسطح، بينما الرباط الوحشي الجانبي (LCL) يشبه الحبل.
*
أربطة الرضفة الفخذية (Patellofemoral Ligaments):
تساهم في توجيه حركة الرضفة.
العضلات والهياكل العصبية الوعائية (Muscles and Neurovascular Structures)
- العضلة الرباعية الفخذية (Quadriceps Femoris): العضلة الرئيسية لبسط الركبة، وتتكون من أربع عضلات.
- أوتار الركبة (Hamstrings): عضلات الجزء الخلفي من الفخذ، مسؤولة عن ثني الركبة وبسط الورك.
- الحزمة العصبية الوعائية (Neurovascular Bundle): يمر الشريان المأبضي والوريد المأبضي، بالإضافة إلى العصب الظنبوبي والعصب الشظوي المشترك، عبر الحفرة المأبضية خلف الركبة. هذه الهياكل شديدة التعرض للإصابة، خاصة في كسور عظم الفخذ فوق اللقمتين أو كسور الجزء العلوي من الساق، أو خلع الركبة. يتحول الشريان الفخذي السطحي إلى الشريان المأبضي عند فتحة العضلة المقربة، بينما يمر العصب الشظوي المشترك حول عنق الشظية.
الميكانيكا الحيوية (Biomechanics)
تعمل إصابة الركبة العائمة على تعطيل السلسلة الحركية الكاملة للطرف السفلي. فبدلاً من أن تعمل عظمتا الفخذ والساق كرافعتين مستقرتين تنقلان القوى عبر مفصل الركبة، تصبحان قطعتين غير مستقرتين. يؤدي هذا إلى:
*
فقدان القدرة على تحمل الوزن:
يصبح المريض غير قادر على الوقوف أو المشي.
*
عدم الاستقرار الدوراني:
حركة دوران غير منضبطة لأجزاء الطرف.
*
خلل وظيفي في العضلات:
ضعف قدرة العضلات على العمل بفعالية.
*
زيادة خطر إصابات الأنسجة الرخوة والأوعية الدموية والأعصاب:
بسبب الحركة غير المنضبطة وشظايا الكسر الحادة.
إن فهم هذه الاعتبارات التشريحية يوجه الجراح في اختيار النهج الجراحي الصحيح، وتحديد مستويات الأنسجة التي يمكن العمل عليها بأمان، واختيار الغرسات المناسبة. يُعد الحفاظ على المحور الميكانيكي للطرف وإعادة بناء السطح المفصلي بدقة أمراً بالغ الأهمية للوظيفة طويلة الأمد ومنع التهاب المفاصل ما بعد الصدمة. في صنعاء، يعتمد الأستاذ الدكتور محمد هطيف على معرفته العميقة بالتشريح والميكانيكا الحيوية لتخطيط وتنفيذ التدخلات الجراحية بدقة متناهية.
الأسباب وعوامل الخطر لإصابات الركبة العائمة
تُعد إصابات الركبة العائمة نتيجة لحوادث عالية الطاقة تؤدي إلى كسور متزامنة في عظم الفخذ وعظم الساق في نفس الطرف. نادراً ما تحدث هذه الإصابات نتيجة صدمات خفيفة، مما يؤكد على طبيعتها الخطيرة. فهم الأسباب الشائعة يساعد في تقدير مدى الإصابة وتوقع المضاعفات المحتملة.
الأسباب الرئيسية
-
حوادث المركبات الآلية (Motor Vehicle Collisions):
- الاصطدامات الأمامية: عندما يصطدم الجزء الأمامي من السيارة، يمكن أن تدفع لوحة القيادة أو المقعد الركبتين بقوة نحو الأمام، مما يسبب كسوراً في عظم الفخذ والساق.
- الاصطدامات الجانبية: يمكن أن يؤدي الاصطدام من الجانب إلى ضغط مباشر على الركبة والطرف السفلي، مما يسبب كسوراً متعددة.
- حوادث الدراجات النارية: غالباً ما يتعرض راكبو الدراجات النارية لإصابات مباشرة وشديدة في الأطراف السفلية نتيجة الاصطدام أو السقوط بسرعة عالية.
- الضغط المحوري الشديد: يمكن أن تؤدي قوى الضغط الشديدة على طول محور الطرف السفلي (من القدم إلى الورك) إلى كسور في كلا العظمتين.
-
السقوط من ارتفاعات عالية (Falls from Height):
- يُعد السقوط من ارتفاعات كبيرة (مثل السقوط من مبنى، أو من سقالة، أو من شجرة) سبباً شائعاً لهذه الإصابات. تؤدي قوة الاصطدام بالأرض إلى انتقال طاقة هائلة عبر الهيكل العظمي، مما يتسبب في كسور متعددة.
-
حوادث دهس المشاة (Pedestrian Versus Vehicle Accidents):
- عندما يصطدم سائق بمركبة، يتعرض الطرف السفلي لقوى هائلة من الاصطدام المباشر والضغط، مما يؤدي إلى كسور معقدة في عظم الفخذ والساق.
آليات الإصابة
تحدث هذه الإصابات نتيجة آليات معقدة تشمل:
*
الضغط المباشر:
صدمة مباشرة على الركبة أو الفخذ أو الساق.
*
الضغط المحوري:
قوة تدفع العظم على طول محوره، مما يؤدي إلى كسره.
*
قوى الانحناء والدوران:
قد تتعرض العظام لقوى انحناء أو دوران شديدة تؤدي إلى كسور حلزونية أو مائلة.
*
الخلع:
في بعض الحالات، قد يحدث خلع في مفصل الركبة بالإضافة إلى الكسور، مما يزيد من شدة الإصابة ويجعل الأربطة والأوعية الدموية والأعصاب أكثر عرضة للتلف.
عوامل الخطر التي تزيد من سوء النتائج
- شدة الصدمة الأولية: كلما زادت طاقة الصدمة، زادت احتمالية حدوث كسور مفتوحة، وتلف واسع في الأنسجة الرخوة، وإصابات وعائية عصبية.
- الإصابات المتعددة (Polytrauma): المرضى الذين يعانون من إصابات الركبة العائمة غالباً ما يكون لديهم إصابات أخرى في الرأس، الصدر، البطن، أو الحوض. هذه الإصابات المتعددة تزيد من تعقيد الحالة وتتطلب نهجاً علاجياً شاملاً وفريقاً طبياً متعدد التخصصات.
- كسور داخل المفصل (Intra-articular Fractures): إذا امتد الكسر إلى داخل مفصل الركبة (وهو النوع الأكثر شيوعاً وخطورة)، فإن ذلك يزيد بشكل كبير من خطر الإصابة بالتهاب المفاصل ما بعد الصدمة وتدهور الوظيفة على المدى الطويل.
- تلف الأنسجة الرخوة: يمكن أن يؤدي التلف الواسع للجلد والعضلات والأنسجة المحيطة بالكسور إلى زيادة خطر العدوى، وتأخر التئام الجروح، ومتلازمة الحيز.
- إصابات الأوعية الدموية والأعصاب: تُعد إصابات الشريان المأبضي أو الأعصاب في الطرف المصاب من المضاعفات الخطيرة التي تتطلب تدخلاً عاجلاً وقد تؤثر بشكل كبير على نتيجة العلاج.
إن التعامل مع هذه الإصابات يتطلب خبرة كبيرة في جراحة العظام والتعامل مع حالات الطوارئ. في صنعاء، يُعرف الأستاذ الدكتور محمد هطيف بقدرته على إدارة هذه الحالات المعقدة، بدءاً من التقييم الأولي وحتى التخطيط الجراحي الدقيق، مما يضمن أفضل رعاية للمرضى الذين يعانون من إصابات الركبة العائمة.
الأعراض والعلامات التي تدل على إصابة الركبة العائمة
تتميز إصابات الركبة العائمة بأعراض وعلامات واضحة وشديدة، نظراً لطبيعة الإصابة عالية الطاقة وتأثيرها على عظمتين رئيسيتين في الطرف السفلي. من المهم جداً التعرف على هذه الأعراض لطلب المساعدة الطبية الفورية، حيث أن أي تأخير قد يؤدي إلى مضاعفات خطيرة.
الأعراض الرئيسية التي يشعر بها المريض
- الألم الشديد: يُعد الألم المبرح وغير المحتمل هو العرض الأكثر شيوعاً والأكثر وضوحاً. يكون الألم عادةً في منطقة الفخذ والساق والركبة، ويزداد سوءاً مع أي محاولة للحركة أو لمس المنطقة المصابة.
- عدم القدرة على تحمل الوزن: يستحيل على المريض الوقوف أو المشي على الطرف المصاب بسبب الكسور وعدم استقرار المفصل.
- التشوه الواضح في الطرف: غالباً ما يكون هناك تشوه مرئي في شكل الفخذ أو الساق أو الركبة. قد تبدو الساق أقصر، أو منحنية بزاوية غير طبيعية، أو ملتوية.
- التورم والكدمات الشديدة: يحدث تورم كبير وسريع في المنطقة المحيطة بالركبة والفخذ والساق بسبب النزيف الداخلي وتلف الأنسجة. تظهر الكدمات (تغير لون الجلد إلى الأزرق أو الأرجواني) بعد فترة قصيرة من الإصابة.
- الألم عند لمس المنطقة: تكون المنطقة المصابة شديدة الحساسية للمس، حتى الخفيف منه.
العلامات التي يلاحظها الأطباء أو المسعفون
بالإضافة إلى الأعراض التي يشعر بها المريض، هناك علامات سريرية حاسمة يبحث عنها الأطباء لتقييم مدى الإصابة:
- الكسور المفتوحة: في بعض الحالات، قد تخترق شظايا العظم المكسور الجلد، مما يؤدي إلى جرح مفتوح. هذه "الكسور المفتوحة" تُعد حالات طارئة للغاية بسبب خطر العدوى الشديد.
-
علامات إصابة الأوعية الدموية:
- غياب أو ضعف النبض: قد يكون النبض في القدم المصابة ضعيفاً أو غائباً تماماً، مما يشير إلى إصابة الشريان المأبضي.
- برودة الطرف: يصبح الطرف المصاب بارداً عند لمسه مقارنة بالطرف السليم.
- شحوب الجلد: يبدو الجلد شاحباً أو مزرقاً.
- تأخر امتلاء الشعيرات الدموية: عند الضغط على أظافر القدم، يستغرق عودة اللون الوردي وقتاً أطول من المعتاد.
- خدر أو تنميل: قد يشعر المريض بخدر أو تنميل في القدم أو الساق بسبب نقص تدفق الدم.
- الألم المتزايد: ألم شديد يتزايد مع الوقت ولا يستجيب للمسكنات.
- الورم الدموي المتوسع: تجمع دموي تحت الجلد يزداد حجمه بسرعة.
- النزيف النابض: في الكسور المفتوحة، قد يكون هناك نزيف غزير ونابض.
-
علامات إصابة الأعصاب:
- خدر أو تنميل: في مناطق معينة من القدم أو الساق، مما يشير إلى إصابة الأعصاب الشظوية أو الظنبوبية.
- ضعف أو فقدان القدرة على تحريك القدم أو الأصابع: على سبيل المثال، عدم القدرة على رفع القدم لأعلى (تدلي القدم) قد يشير إلى إصابة العصب الشظوي.
- فقدان الإحساس: عدم القدرة على الإحساس باللمس أو الألم في مناطق معينة.
-
علامات متلازمة الحيز (Compartment Syndrome):
- ألم شديد لا يتناسب مع الإصابة: يزداد الألم سوءاً مع مرور الوقت ولا يخف حتى بالمسكنات القوية.
- تصلب وتوتر في الساق: تبدو الساق متوترة ومشدودة عند لمسها.
- خدر وتنميل: في القدم أو الساق.
- ضعف في حركة الأصابع.
- هذه حالة طارئة تتطلب تدخلاً جراحياً فورياً لتخفيف الضغط على العضلات والأعصاب والأوعية الدموية.
-
عدم الاستقرار الشديد في الركبة: قد يشعر الطبيب بحركة غير طبيعية أو عدم استقرار كبير في مفصل الركبة عند محاولة الفحص، مما يؤكد وجود كسور في العظمتين المحيطتين.
عند ظهور أي من هذه الأعراض أو العلامات بعد حادث عنيف، يجب طلب المساعدة الطبية الطارئة على الفور. إن التقييم السريع والدقيق من قبل فريق طبي متخصص، بقيادة جراح عظام خبير مثل الأستاذ الدكتور محمد هطيف في صنعاء، أمر بالغ الأهمية لإنقاذ الطرف وتحقيق أفضل النتائج العلاجية.
التشخيص الدقيق لإصابات الركبة العائمة
يُعد التشخيص الدقيق لإصابات الركبة العائمة خطوة حاسمة لضمان العلاج الفعال وتجنب المضاعفات. نظراً لخطورة هذه الإصابات واحتمال وجود إصابات أخرى مهددة للحياة، يبدأ التشخيص غالباً كجزء من بروتوكولات الطوارئ الشاملة. يُعد الأستاذ الدكتور محمد هطيف في صنعاء خبيراً في هذا المجال، حيث يتبع أحدث المعايير العالمية في التقييم والتشخيص.
1. التقييم الأولي وبروتوكولات دعم الحياة المتقدمة للإصابات (ATLS)
عند وصول المريض إلى المستشفى، يتم التركيز أولاً على استقرار حالته العامة وفقاً لبروتوكولات ATLS، والتي تعطي الأولوية لمعالجة الإصابات المهددة للحياة (مثل مشاكل التنفس، النزيف الشديد، إصابات الرأس). بمجرد استقرار حالة المريض، يتم التركيز على تقييم الطرف المصاب.
2. الفحص السريري الدقيق
يقوم الطبيب بإجراء فحص سريري شامل للطرف المصاب، والذي يتضمن:
*
تقييم الأوعية الدموية العصبية:
هذا هو الجانب الأكثر أهمية في الفحص.
*
النبض:
يتم فحص النبض في القدم (النبض الظهري للقدم والنبض الخلفي للظنبوب) باللمس وباستخدام جهاز دوبلر (Doppler) لتأكيد وجود النبض وقوته. أي ضعف أو غياب للنبض يُعد علامة حمراء.
*
مؤشر الضغط الكاحلي العضدي (ABI):
إذا كان النبض محسوساً ولكنه ضعيف، يتم قياس هذا المؤشر (وهو نسبة ضغط الدم في الكاحل إلى ضغط الدم
خشونة الركبة وتمزق الأربطة ليس قدراً محتوماً! التشخيص الدقيق والعلاج المتخصص يمكن أن يعيد لك كامل وظيفتك وحريتك في الحركة بدون ألم.
للحصول على استشارة دقيقة وخطة علاجية مخصصة لحالتك، تواصل فوراً مع مركز الأستاذ الدكتور محمد هطيف:
الأستاذ الدكتور محمد هطيف - أفضل دكتور عظام في صنعاء، وخبير في جراحات منظار الركبة والمفاصل الصناعية.
مواضيع أخرى قد تهمك