اندماج مفصل إبهام القدم بتطعيم العظام: دليل شامل لاستعادة وظيفة القدم مع الأستاذ الدكتور محمد هطيف

الخلاصة الطبية
اندماج مفصل إبهام القدم بتطعيم العظام هو إجراء جراحي متقدم لاستعادة طول ووظيفة مفصل إبهام القدم الكبير بعد فقدان العظام أو فشل جراحات سابقة. يهدف إلى تخفيف الألم وتحسين المشي، ويتم تنفيذه بخبرة عالية على يد الأستاذ الدكتور محمد هطيف في صنعاء.
الخلاصة الطبية السريعة: يُعد اندماج مفصل إبهام القدم بتطعيم العظام (First MTP Joint Arthrodesis with Bone-Block Distraction) أحد أكثر الإجراءات الجراحية تعقيداً وتقدماً في جراحة القدم والكاحل. يُستخدم هذا الإجراء كعملية "إنقاذ" لاستعادة طول ووظيفة مفصل إبهام القدم الكبير بعد التعرض لفقدان عظمي شديد، سواء نتيجة فشل جراحات سابقة، أو أورام، أو نخر لاوعائي. يهدف الإجراء إلى القضاء على الألم المزمن، وتصحيح التشوه، واستعادة ميكانيكا المشي الطبيعية. يتم تنفيذ هذه الجراحات الدقيقة بخبرة استثنائية ونسب نجاح عالمية على يد الأستاذ الدكتور محمد هطيف، أستاذ جراحة العظام والمفاصل بجامعة صنعاء، وأحد أبرز الخبراء في اليمن والمنطقة.

مقدمة شاملة: عندما يصبح التدخل الجراحي المتقدم ضرورة حتمية
يعد إبهام القدم الكبير (السبابة) الركيزة الأساسية للقدم، حيث يلعب دوراً ميكانيكياً حيوياً في المشي، التوازن، وتحمل وزن الجسم. عندما يتعرض هذا المفصل لتلف شديد أو فقدان كبير في الكتلة العظمية—غالباً نتيجة مضاعفات لجراحات سابقة لم تكلل بالنجاح—فإن المريض يواجه تدهوراً دراماتيكياً في جودة حياته. الألم يصبح مستمراً، والتشوه يجعل ارتداء الأحذية العادية أمراً مستحيلاً، ناهيك عن العرج المستمر الذي يضغط على مفاصل الركبة والورك والعمود الفقري.
في هذه الحالات المعقدة، لا تكفي الجراحات التقليدية. هنا يبرز دور اندماج مفصل إبهام القدم بتطعيم العظام (تشتيت الكتلة العظمية) كحل جذري ونهائي. هذا الإجراء ليس مجرد تجميد للمفصل، بل هو عملية إعادة بناء هندسية دقيقة تهدف إلى تعويض العظم المفقود باستخدام طعم عظمي (غالباً يؤخذ من الحوض)، لإعادة إصبع القدم إلى طوله الطبيعي ومحاذاته الصحيحة.
يقود الأستاذ الدكتور محمد هطيف ثورة في هذا النوع من الجراحات في العاصمة اليمنية صنعاء، مقدماً أملاً جديداً للمرضى الذين قيل لهم سابقاً أنه "لا يوجد حل لحالتهم". بفضل خبرته التي تتجاوز العشرين عاماً، واستخدامه لأحدث تقنيات الجراحة الميكروسكوبية والتثبيت الداخلي، يحقق الدكتور هطيف نتائج تضاهي أفضل المراكز الطبية العالمية.


التشريح البيوميكانيكي الدقيق لمفصل إبهام القدم الكبير
لفهم عبقرية هذه الجراحة، يجب أن نغوص في التشريح المعقد لمفصل إبهام القدم الكبير (First Metatarsophalangeal MTP Joint). هذا المفصل ليس مجرد مفصل مفصلي بسيط؛ بل هو نظام معقد من العظام، الأربطة، والأوتار التي تعمل معاً كرافعة قوية.
الهيكل العظمي والمفصلي
يتكون المفصل من التقاء:
1. رأس العظم المشطي الأول (First Metatarsal Head): وهو العظم الأكبر والأقوى في مشط القدم.
2. قاعدة السلامية الدانية (Proximal Phalanx Base): العظمة الأولى في إصبع القدم الكبير.
3. العظمتان السمسميتان (Sesamoid Bones): عظمتان صغيرتان تقعان أسفل رأس العظم المشطي، تعملان كبكرات لتحسين قوة الأوتار وتقليل الاحتكاك.

الوظيفة الديناميكية (آلية الرافعة - Windlass Mechanism)
أثناء المشي، وتحديداً في مرحلة "الدفع" (Toe-off)، يتحمل هذا المفصل قوة تعادل 40% إلى 60% من وزن الجسم. عندما يرتفع الكعب عن الأرض، ينثني إبهام القدم للأعلى، مما يؤدي إلى شد اللفافة الأخمصية (Plantar Fascia)، وهذا بدوره يرفع قوس القدم ويجعلها صلبة كرافعة لدفع الجسم للأمام.
إذا قصر طول العظم المشطي الأول (بسبب جراحة فاشلة أو تآكل عظمي)، تتعطل هذه الآلية تماماً. يصبح الإبهام "مرناً ومترهلاً" (Floppy Toe)، وينتقل وزن الجسم قسراً إلى العظام المشطية الصغرى المجاورة، مما يسبب حالة مؤلمة جداً تُعرف باسم ألم مشط القدم الانتقالي (Transfer Metatarsalgia).

الأسباب الجذرية وعوامل الخطر التي تؤدي إلى فقدان العظام
لماذا قد يحتاج المريض إلى تطعيم عظمي مع الدمج بدلاً من الدمج البسيط؟ الإجابة تكمن في "فقدان طول العظم". يسعى الأستاذ الدكتور محمد هطيف دائماً إلى التشخيص الدقيق للسبب الجذري قبل وضع الخطة الجراحية.
1. فشل جراحات إبهام القدم الأروح (Failed Hallux Valgus Surgery)
هذا هو السبب الأكثر شيوعاً على الإطلاق. جراحات تصحيح انحراف إصبع القدم (البوك) التي تُجرى بطرق غير دقيقة، أو التي تتضمن استئصالاً مفرطاً للعظام (مثل عملية Keller التارخية)، تؤدي إلى فقدان كبير في طول العظم المشطي.


2. النخر اللاوعائي (Avascular Necrosis - AVN)
حالة يموت فيها جزء من رأس العظم المشطي بسبب انقطاع التروية الدموية عنه. قد يحدث هذا بعد صدمة شديدة، أو كمضاعفات لجراحة سابقة، أو لأسباب مجهولة. يؤدي موت العظم إلى انهياره وتفتته، مما يترك فجوة كبيرة تتطلب التطعيم العظمي.

3. الالتهابات البكتيرية العميقة (Deep Infections)
التهاب المفصل القيحي أو التهاب العظم والنقي (Osteomyelitis) يمكن أن "يأكل" نهايات العظام. بعد القضاء على العدوى تماماً، يتبقى مفصل مدمر وقصير يتطلب إعادة بناء هندسية.

4. التهاب المفاصل الروماتويدي المتقدم (Advanced Rheumatoid Arthritis)
يسبب هذا المرض المناعي تآكلاً شديداً في الغضاريف والعظام تحت الغضروفية، مما يؤدي إلى تشوهات قاسية وفقدان في الكتلة العظمية.
5. الصدمات والحوادث الشديدة (Severe Trauma)
الكسور المفتتة في المفصل التي لا يمكن إصلاحها، حيث تُفقد أجزاء من العظم في موقع الحادث أو يتم إزالتها جراحياً لاحقاً لعدم قابليتها للترميم.

الأعراض السريرية: متى يجب زيارة الأستاذ الدكتور محمد هطيف؟
المرضى الذين يحتاجون إلى هذه الجراحة المتقدمة لا يعانون من مجرد "ألم بسيط". إنهم يعانون من مجموعة من الأعراض المنهكة التي تشمل:
- ألم مبرح ومزمن: ألم لا يستجيب للمسكنات العادية، يزداد حدة مع المشي أو الوقوف.
- قصر ملحوظ في إصبع القدم الكبير: يبدو الإصبع أقصر بوضوح من الأصابع المجاورة، وأحياناً لا يلامس الأرض عند الوقوف.
- إصبع القدم المترهل (Floppy Toe): انعدام القوة في الإصبع، حيث لا يستطيع المريض الضغط به على الأرض.
- ألم مشط القدم الانتقالي (Transfer Metatarsalgia): ألم شديد وتكون مسامير لحمية (Calluses) سميكة تحت رؤوس العظام المشطية الثانية والثالثة، لأنها تتحمل وزناً لم تُخلق لتحمله.
- تشوه شديد: انحراف الإصبع لأعلى (Cock-up deformity) أو للداخل بشكل حاد.
- صعوبة بالغة في ارتداء الأحذية: بسبب التشوه والتورم المستمر.



التشخيص الدقيق: منهجية الأستاذ الدكتور محمد هطيف
يبدأ العلاج الناجح بتشخيص دقيق ومفصل. يتبنى أ.د. محمد هطيف بروتوكولاً تشخيصياً صارماً لتقييم حجم الفجوة العظمية وحالة الأنسجة المحيطة:
- التقييم السريري الشامل: فحص حركة المفصل (إن وجدت)، تقييم التروية الدموية، فحص الأعصاب، وتقييم جودة الجلد والأنسجة الرخوة التي ستغطي الجرح.
- التصوير بالأشعة السينية (X-rays): صور في وضعية الوقوف (تحمل الوزن) من زوايا متعددة لقياس زوايا التشوه بدقة وحساب مقدار الطول المفقود.
- التصوير المقطعي المحوسب (CT Scan): ضروري جداً لتكوين صورة ثلاثية الأبعاد للعظم المتبقي، ولتخطيط حجم وشكل الطعم العظمي المطلوب.
- التصوير بالرنين المغناطيسي (MRI): يُستخدم في حالات الاشتباه في النخر اللاوعائي (AVN) أو لتقييم الأوتار والأربطة المحيطة.
جدول 1: مقارنة بين الخيارات العلاجية لحالات فقدان العظام في مفصل إبهام القدم
| الخيار العلاجي | الوصف | الفعالية في حالات فقدان العظم الشديد | المزايا | العيوب |
|---|---|---|---|---|
| العلاج التحفظي | أحذية طبية مخصصة، ضبانات صلبة، مسكنات. | ضعيفة جداً (تسكين مؤقت فقط). | لا يوجد تدخل جراحي. | لا يحل المشكلة الميكانيكية، استمرار تطور التشوه، ألم مستمر. |
| الدمج البسيط (بدون تطعيم) | إزالة الغضاريف ودمج العظم المتبقي. | غير مناسبة (تزيد من قصر الإصبع). | جراحة أقل تعقيداً. | تفاقم ألم مشط القدم الانتقالي، قصر شديد في الإصبع، مظهر غير طبيعي. |
| استبدال المفصل (المفصل الصناعي) | وضع مفصل معدني/بلاستيكي. | ممنوعة تماماً في حالات فقدان العظم. | يحافظ على بعض الحركة (نظرياً). | فشل سريع جداً بسبب عدم وجود أساس عظمي قوي، مضاعفات خطيرة. |
| الدمج بتطعيم العظام (طريقة د. هطيف) | استخدام طعم عظمي هيكلي لتعويض الطول المفقود وتثبيته بشرائح. | ممتازة (الحل الجذري والوحيد). | استعادة طول القدم الطبيعي، اختفاء الألم، استعادة ميكانيكا المشي. | جراحة معقدة تتطلب جراحاً خبيراً، فترة تعافي أطول (تتضمن موقعين للجراحة إذا أُخذ الطعم من الحوض). |

الخطوات الجراحية التفصيلية: هندسة إعادة البناء مع د. هطيف
تُعد عملية اندماج مفصل إبهام القدم بتطعيم العظام (Bone-Block Distraction Arthrodesis) إحدى روائع جراحة العظام الحديثة. تتطلب هذه الجراحة دقة متناهية، تخطيطاً مسبقاً، وفهماً عميقاً للبيوميكانيكا. يتم إجراء الجراحة تحت التخدير الموضعي (النصفي) أو العام، وتستغرق عادة من ساعتين إلى ثلاث ساعات.
إليك الخطوات التفصيلية كما يجريها الأستاذ الدكتور محمد هطيف بأعلى معايير الأمان الطبي:
1. التحضير والشق الجراحي
يتم عمل شق جراحي طولي على الجانب الظهري (العلوي) أو الداخلي لمفصل إبهام القدم. يتم بحذر شديد إبعاد الأوتار (خاصة وتر العضلة الباسطة الطويلة) والأعصاب الحسية لحمايتها. في حالات الجراحات السابقة، يقوم د. هطيف بتنظيف الأنسجة الندبية (Scar Tissue) بحرفية عالية.


2. تحضير الأسطح العظمية (Preparation of Bone Ends)
هذه الخطوة حاسمة. يجب إزالة جميع الغضاريف المتبقية، والعظام المتصلبة (Sclerotic bone)، والأنسجة الميتة حتى يتم الوصول إلى عظم إسفنجي صحي ينزف (Bleeding cancellous bone). هذا النزيف ضروري لتوفير الخلايا الجذعية وعوامل النمو التي ستساعد في التئام الطعم العظمي.


3. التشتيت وتحديد حجم الفجوة (Distraction)
باستخدام جهاز تشتيت متخصص (Distractor) أو ملقط جراحي، يتم سحب إصبع القدم برفق لإعادته إلى طوله الطبيعي ومحاذاته الصحيحة. يتم قياس الفجوة الناتجة بين العظم المشطي والسلامية بدقة بالمليمترات. هذا القياس يحدد حجم الطعم العظمي المطلوب.

4. حصاد الطعم العظمي الهيكلي (Harvesting the Bone Graft)
أفضل نوع من الطعوم لهذه الجراحة هو الطعم العظمي الذاتي (Autograft)، وتحديداً من العرف الحرقفي (Iliac Crest) في منطقة الحوض. يوفر هذا المكان طعماً عظمياً ثلاثي القشرة (Tricortical) يتمتع بقوة هيكلية ممتازة وغني بالخلايا الحية.
يقوم د. هطيف بعمل شق صغير في منطقة الحوض واستخراج كتلة عظمية مطابقة للقياسات المطلوبة، مع الحرص على تقليل الألم في منطقة المنحى.


5. تشكيل وزرع الطعم العظمي (Shaping and Inserting the Graft)
يتم نحت الكتلة العظمية بدقة لتتناسب تماماً مع الفجوة. يمكن استخدام تقنية القطع المسطح (Flat cuts) أو تقنية الكرة والمقبس (Ball and socket) لزيادة مساحة التلامس وتعزيز الاستقرار. يتم إدخال الطعم في الفجوة، مما يعيد للإصبع طوله ومحاذاته الميكانيكية فوراً.


6. التثبيت الداخلي الصلب (Rigid Internal Fixation)
لضمان التئام العظام (وهو ما يستغرق عدة أسابيع)، يجب تثبيت المفصل والطعم العظمي بقوة شديدة. يستخدم الأستاذ الدكتور محمد هطيف أحدث الشرائح المعدنية المصممة خصيصاً لاندماج إبهام القدم (Anatomical Locking Plates) والمسامير التيتانيوم. يتم وضع الشريحة فوق المفصل وتثبيتها بمسامير تمر عبر الطعم العظمي لضمان ثباته المطلق.


7. الإغلاق والتحقق بالأشعة
يتم أخذ صور أشعة سينية داخل غرفة العمليات (Fluoroscopy) للتأكد من المحاذاة المثالية للإصبع، وتصحيح زاوية الارتفاع، والموضع الدقيق للمسامير. بعد ذلك، يتم إغلاق الجرح بخيوط تجميلية ووضع ضمادات معقمة وجبيرة واقية.



لماذا يعتبر الأستاذ الدكتور محمد هطيف الخيار الأول في اليمن؟
عندما يتعلق الأمر بجراحات العظام المعقدة والإنقاذية، فإن اختيار الجراح هو العامل الأهم في تحديد النتيجة. الأستاذ الدكتور محمد هطيف ليس مجرد طبيب عظام تقليدي؛ بل هو مرجعية علمية وطبية في اليمن.
- المكانة الأكاديمية: يعمل كأستاذ لجراحة العظام والمفاصل في جامعة صنعاء، مما يعني أنه مطلع بشكل دائم على أحدث الأبحاث والبروتوكولات الطبية العالمية ويقوم بتدريسها للأجيال الجديدة.
- خبرة تتجاوز العقدين: أكثر من 20 عاماً من الخبرة المتراكمة في التعامل مع أعقد حالات الكسور، التشوهات، وفشل الجراحات السابقة.
- التكنولوجيا المتقدمة: رائد في استخدام تقنيات الجراحة الميكروسكوبية، مناظير المفاصل بدقة 4K، والمفاصل الصناعية الحديثة في اليمن.
- الأمانة الطبية الصارمة: يُعرف د. هطيف بشفافيته التامة مع مرضاه. لا ينصح بالتدخل الجراحي إلا إذا كان هو الحل الأمثل والوحيد، ويشرح للمريض كافة التفاصيل، نسب النجاح، والمخاطر المحتملة بصدق تام.
- الرعاية الشاملة: يتابع د. هطيف مرضاه خطوة بخطوة، من التشخيص الأولي، مروراً بغرفة العمليات، وحتى اكتمال برنامج التأهيل العلاجي والطبيعي.



برنامج التأهيل والتعافي: خارطة الطريق نحو العودة للحياة الطبيعية
العملية الجراحية الناجحة هي نصف المعركة؛ النصف الآخر يعتمد بشكل كبير على التزام المريض ببرنامج التأهيل. نظراً لأن الجراحة تتضمن طعماً عظمياً يحتاج إلى الاندماج مع العظم الأصلي، فإن فترة التعافي أطول قليلاً من الدمج العادي، وتتطلب صبراً ومتابعة دقيقة.
المرحلة الأولى: من يوم الجراحة حتى الأسبوع الثاني (حماية الجرح)
- تحمل الوزن: يمنع منعاً باتاً المشي أو تحميل الوزن على القدم المصابة. يجب استخدام العكازات.
- الوضعية: إبقاء القدم مرفوعة فوق مستوى القلب معظم الوقت لتقليل التورم والألم.
- العناية بالجرح: الحفاظ على الضمادات جافة ونظيفة. يتم إزالة الغرز في العيادة بعد حوالي 14 يوماً.
- موقع الحوض: قد يكون هناك ألم في منطقة أخذ الطعم العظمي من الحوض، يتم السيطرة عليه بالمسكنات الموصوفة.


المرحلة الثانية: الأسبوع الثاني إلى الأسبوع السادس (التحميل الجزئي)
- الحذاء الطبي: يتم تزويد المريض بحذاء طبي خاص (CAM Boot) أو حذاء ذو نعل صلب.
- تحمل الوزن: يُسمح بالتحميل على كعب القدم فقط (Heel-weight bearing) باستخدام العكازات، مع تجنب أي ضغط على مقدمة القدم.
- الأشعة: يتم إجراء أول صورة أشعة سينية للمتابعة للتأكد من ثبات المسامير وبدء عملية الالتئام.


المرحلة الثالثة: الأسبوع السادس إلى الأسبوع الثاني عشر (التحميل التدريجي)
- إذا أظهرت الأشعة السينية علامات قوية لاندماج الطعم العظمي، يسمح د. هطيف بالتحميل التدريجي لوزن الجسم بالكامل أثناء ارتداء الحذاء الطبي الصلب.
- العلاج الطبيعي: يبدأ العلاج الطبيعي للتركيز على تقوية عضلات الساق، تحسين التوازن، واستعادة نمط المشي الطبيعي. تذكر أن المفصل نفسه لن يتحرك، لكن المفاصل المجاورة تحتاج إلى تدريب للتعويض.

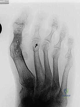
![التئام ممتاز للطعم العظمي](/media/hutaif_opertive/hutaif-ch27-
آلام العظام والمفاصل وتقييد حركتها ليس قدراً محتوماً! التشخيص الدقيق والعلاج المتخصص يمكن أن يعيد لك كامل وظيفتك وحريتك في الحركة. لا تدع الألم يسيطر على حياتك.
للحصول على استشارة دقيقة وخطة علاجية مخصصة لحالتك، تواصل فوراً مع مركز الأستاذ الدكتور محمد هطيف:
الأستاذ الدكتور محمد هطيف - أفضل دكتور عظام في صنعاء، وخبير في جراحات العظام والمفاصل والعمود الفقري.. نلتزم بإعادتك لحياة خالية من الألم وحركة طبيعية.
مواضيع أخرى قد تهمك