English
جزء من الدليل الشامل

إبهام القدم الأروح (الوكعة): دليل شامل للعلاج والتعافي مع الأستاذ الدكتور محمد هطيف في صنعاء

عملية سكارف لعلاج انحراف إصبع القدم الأكبر الدليل الطبي الشامل

13 إبريل 2026 10 دقيقة قراءة 0 مشاهدة
عملية سكارف لعلاج انحراف إصبع القدم الأكبر الدليل الطبي الشامل

الخلاصة الطبية

عملية سكارف هي إجراء جراحي متقدم لعلاج انحراف إصبع القدم الأكبر وتصحيح تشوه العظام. تعتمد على قطع عظمي على شكل حرف Z لضمان استقرار عالي وتصحيح دقيق للزاوية، مما يسمح بالتعافي السريع والعودة للمشي في وقت قصير بفضل التثبيت القوي.

الخلاصة الطبية السريعة: عملية سكارف هي إجراء جراحي متقدم لعلاج انحراف إصبع القدم الأكبر وتصحيح تشوه العظام. تعتمد على قطع عظمي على شكل حرف Z لضمان استقرار عالي وتصحيح دقيق للزاوية، مما يسمح بالتعافي السريع والعودة للمشي في وقت قصير بفضل التثبيت القوي.

مقدمة شاملة حول عملية سكارف

تعد عملية سكارف لتقويم العظام واحدة من أهم الإجراءات الجراحية وأكثرها تطورا في مجال جراحة العظام والقدم، وتحديدا في علاج تشوه انحراف إصبع القدم الأكبر، والذي يعرف طبيا باسم الوكعة أو إبهام القدم الأروح. يعاني الملايين حول العالم من هذا التشوه المزعج الذي لا يقتصر تأثيره على المظهر الجمالي للقدم فحسب، بل يمتد ليسبب آلاما مبرحة تعيق الحركة وتؤثر على جودة الحياة اليومية.

مصطلح سكارف مستمد في الأصل من مصطلحات الهندسة المعمارية وفنون النجارة، حيث يشير إلى نوع من الوصلات المتداخلة التي يتم فيها قطع نهايات قطعتين وتثبيتهما معا بحيث تتداخلان لتشكلا قطعة واحدة متصلة وقوية. في السياق الطبي، يتم تطبيق هذا المبدأ الهندسي العبقري على عظمة المشطية الأولى في القدم، حيث يقوم الجراح بإجراء قطع عظمي دقيق على شكل حرف Z.

توضيح هندسي لعملية سكارف لتقويم العظام

تتميز هذه التكوينة الهندسية بمستوى عال جدا من الاستقرار الذاتي، خاصة في المستوى السهمي للقدم، وتوفر مساحة سطحية واسعة لالتئام العظام بشكل مثالي. وقد أثبتت الدراسات الطبية والمخبرية أن عملية سكارف توفر ضعف الاستقرار الذي توفره التقنيات الجراحية الأخرى تحت ظروف تحميل الوزن، مما يجعلها الخيار المفضل للعديد من جراحي العظام المتخصصين.

تفاصيل القطع العظمي في المشطية الأولى

إن الشعبية الكبيرة التي تحظى بها هذه العملية تنبع من تنوع استخداماتها وقدرتها الفائقة على التكيف مع مختلف درجات التشوه. فهي تسمح بإزاحة الجزء السفلي من العظم لتقليل الزاوية بين عظام المشط، وتصحيح انحراف الإبهام، بل ويمكن من خلالها إطالة أو تقصير عظمة المشط الأولى حسب حالة المريض واحتياجاته التشريحية.

التشريح وفهم المشكلة الطبية

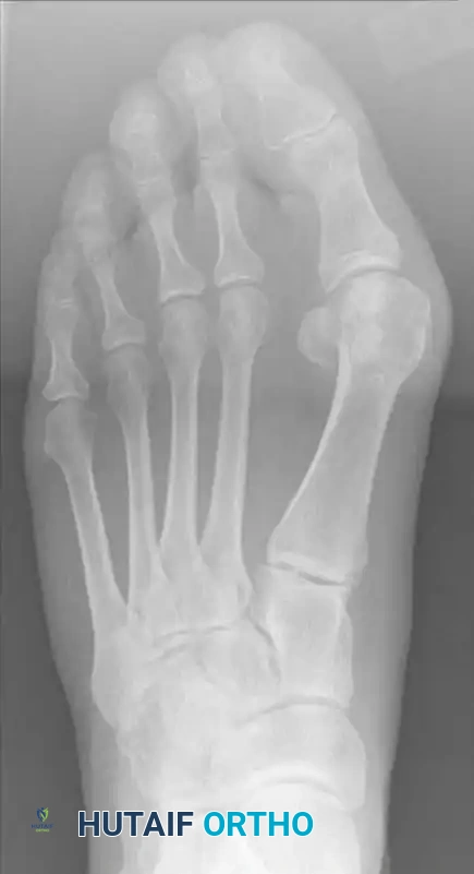
لفهم أهمية عملية سكارف، يجب أولا إلقاء نظرة مبسطة على تشريح القدم البشرية. تتكون القدم من شبكة معقدة من العظام والمفاصل والأربطة والأوتار التي تعمل معا بتناغم تام لتحمل وزن الجسم وتسهيل الحركة. في مقدمة القدم، توجد خمس عظام طويلة تعرف بعظام المشط، تتصل بها عظام أصابع القدم.

تشريح القدم وموقع التشوه

يحدث انحراف إصبع القدم الأكبر عندما تبدأ عظمة المشطية الأولى في الانحراف نحو الخارج بعيدا عن باقي عظام القدم، بينما ينحرف إصبع القدم الأكبر نفسه نحو الداخل باتجاه الأصابع الأخرى. هذا الخلل في المحاذاة يؤدي إلى بروز نتوء عظمي عند قاعدة الإصبع الكبير، وهو ما يسبب الألم والالتهاب عند احتكاكه بالأحذية.

الزوايا التشريحية قبل التدخل الجراحي

تستهدف عملية سكارف هذا الخلل الميكانيكي في جوهره. فبدلا من مجرد إزالة النتوء العظمي البارز وهو إجراء لا يحل المشكلة الأساسية وغالبا ما يؤدي إلى عودة التشوه، تقوم هذه الجراحة بإعادة هيكلة العظمة المشطية الأولى بالكامل، وإعادتها إلى مسارها الطبيعي والصحيح، مما يضمن نتائج طويلة الأمد ووظيفة حركية سليمة للقدم.

الأسباب وعوامل الخطر المؤدية للتشوه

لا يظهر انحراف إصبع القدم الأكبر فجأة، بل هو نتيجة لتراكمات وتفاعلات لعدة عوامل على مر السنين. فهم هذه الأسباب يساعد المرضى على إدراك طبيعة حالتهم وأهمية التدخل الجراحي الصحيح.

تأثير العوامل الميكانيكية على القدم

أولا تلعب العوامل الوراثية دورا رئيسيا في هذا السياق. فالعديد من المرضى يرثون بنية قدم معينة أو ضعفا في الأربطة يجعلهم أكثر عرضة لتطور هذا التشوه. إذا كان أحد الوالدين يعاني من هذه المشكلة، فإن احتمالية ظهورها لدى الأبناء تكون أعلى بشكل ملحوظ.

ثانيا يعتبر ارتداء الأحذية غير المناسبة من أبرز العوامل المسرعة لظهور المشكلة وتفاقمها. الأحذية الضيقة من الأمام والأحذية ذات الكعب العالي تجبر أصابع القدم على التكدس في مساحة ضيقة، مما يضع ضغطا هائلا على المفصل ويؤدي بمرور الوقت إلى تغيير بنية العظام.

تطور التشوه مع مرور الوقت

بالإضافة إلى ذلك، يمكن أن تساهم بعض الحالات الطبية مثل التهاب المفاصل الروماتويدي، أو الإصابات السابقة في القدم، أو التشوهات الخلقية في زيادة احتمالية الإصابة. كما أن طبيعة العمل التي تتطلب الوقوف لفترات طويلة قد تزيد من الضغط الميكانيكي على مقدمة القدم.

الأعراض التي تستدعي التدخل الجراحي

يبدأ الكثير من المرضى في البحث عن حلول طبية عندما تتجاوز الأعراض مجرد الانزعاج البسيط لتصبح عائقا حقيقيا في حياتهم. الأعراض المرتبطة بانحراف إبهام القدم تتدرج في شدتها، ولكن هناك علامات واضحة تشير إلى أن الوقت قد حان للتفكير في عملية سكارف.

تقييم الأعراض السريرية

الألم هو العرض الأكثر شيوعا وإزعاجا. يتركز الألم عادة حول النتوء العظمي البارز، ويزداد سوءا عند المشي أو الوقوف أو ارتداء الأحذية المغلقة. قد يشعر المريض بنبض أو حرقة في المفصل، مما يشير إلى وجود التهاب نشط في الأنسجة المحيطة.

تأثير التشوه على المفاصل المجاورة

صعوبة العثور على أحذية مناسبة هي شكوى متكررة. نظرا لزيادة عرض مقدمة القدم بسبب البروز العظمي، يجد المرضى أنفسهم مضطرين لشراء أحذية بمقاسات أكبر من المعتاد، أو التخلي عن الأنماط المفضلة لديهم لصالح أحذية طبية واسعة.

تداخل الأصابع يعد من المضاعفات المتقدمة. مع زيادة انحراف الإصبع الكبير، قد يبدأ في الضغط على الإصبع الثاني، مما يؤدي إلى ركوبه فوقه أو تحته. هذا يسبب مشاكل إضافية مثل مسامير اللحم والتقرحات الجلدية المؤلمة.

التشخيص والتقييم الطبي الدقيق

قبل اتخاذ قرار بإجراء عملية سكارف، يخضع المريض لتقييم طبي شامل ودقيق من قبل جراح العظام المتخصص. هذا التقييم ضروري لتحديد مدى ملاءمة هذه التقنية الجراحية لحالة المريض الفردية.

التصوير الشعاعي للقدم

يبدأ التقييم بالفحص السريري، حيث يقوم الطبيب بفحص القدم أثناء الوقوف والمشي والجلوس. يتم تقييم نطاق حركة المفصل، ومستوى الألم، ووجود أي التهابات أو تقرحات جلدية. كما يتم فحص الأربطة والأوتار للتأكد من عدم وجود ارتخاء شديد قد يؤثر على نتائج الجراحة.

قياس الزوايا التشريحية بدقة

التصوير بالأشعة السينية هو حجر الزاوية في التشخيص. يتم أخذ صور أشعة للقدم أثناء تحمل الوزن للوقوف على الوضع الحقيقي للعظام. يقوم الطبيب بقياس زوايا محددة، أهمها الزاوية بين عظمة المشط الأولى والثانية، وزاوية انحراف الإبهام. تعتبر عملية سكارف مثالية للتشوهات الخفيفة إلى المتوسطة، حيث تتراوح الزاوية بين الأمشاط عادة بين إحدى عشرة وثماني عشرة درجة.

تخطيط الجراحة بناء على الأشعة

يأخذ الجراح أيضا في الاعتبار عرض عظمة المشطية الأولى. نظرا لأن هذه التقنية تعتمد على تداخل العظام، فإن العظمة الأعرض توفر مساحة أكبر للتصحيح والاستقرار. يتم استبعاد بعض الحالات من هذا الإجراء، مثل وجود هشاشة عظام شديدة، أو خشونة متقدمة في المفصل، أو عدم استقرار شديد في أربطة القدم.

العلاج الجراحي عبر تقنية سكارف

تعتبر عملية سكارف من الإجراءات الجراحية المتقدمة التي تتطلب مهارة وخبرة عالية من الجراح. يتم إجراء العملية عادة تحت التخدير العام أو النصفي، وتستغرق وقتا يتناسب مع دقة الخطوات المطلوبة. فيما يلي تفصيل شامل لخطوات هذا الإجراء الطبي الدقيق.

الخطوات الأولى للشق الجراحي

تبدأ العملية بعمل شق جراحي طولي على الجانب الداخلي للقدم، يمتد من منتصف الإصبع الكبير وحتى منتصف عظمة المشط الأولى. يتم إبعاد الأنسجة الرخوة بعناية فائقة للوصول إلى العظم، مع الحرص الشديد على الحفاظ على التروية الدموية للعظام لضمان التئامها لاحقا.

تنفيذ القطع العظمي على شكل حرف زي

الخطوة الجوهرية في العملية هي القطع العظمي الثلاثي على شكل حرف Z. يقوم الجراح بعمل قطع طولي في منتصف العظمة، يليه قطعان عرضيان متوازيان عند طرفي القطع الطولي. دقة هذه القطوعات حاسمة جدا، حيث تحدد مدى القدرة على إزاحة العظم وتصحيح التشوه. في التقنيات الحديثة، يوصى بأن تكون القطوعات العرضية قصيرة لتجنب اختراق الجزء الإسفنجي الضعيف من العظم.

إزاحة العظم لتصحيح الزاوية

بعد إتمام القطع، يتم إزاحة الجزء السفلي من العظم نحو الخارج لتقليل المسافة بينه وبين عظمة المشط الثانية. هذه الإزاحة هي التي تعيد الاستقامة للقدم. يتم تثبيت العظم في وضعه الجديد بشكل مؤقت باستخدام أسلاك طبية دقيقة للتأكد من المحاذاة الصحيحة.

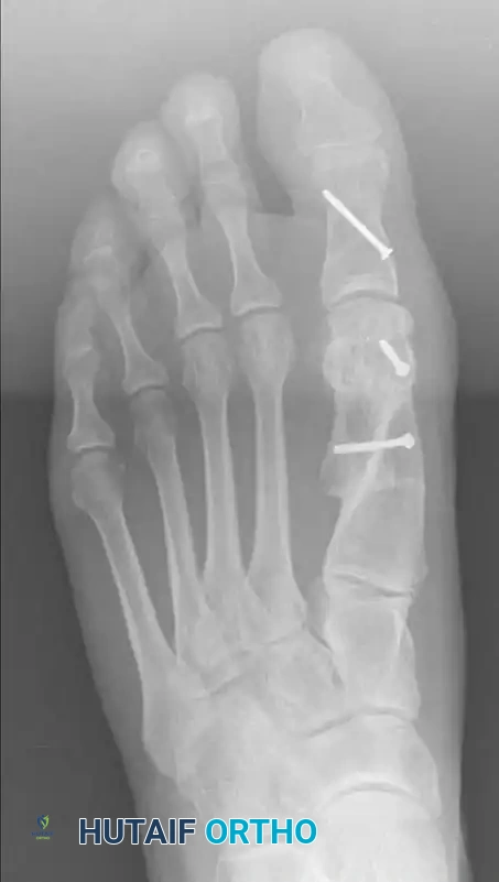
التثبيت النهائي باستخدام المسامير

بمجرد التأكد من الوضع المثالي للعظام، يتم التثبيت النهائي باستخدام مسمارين معدنيين صغيرين جدا من التيتانيوم. توفر هذه المسامير استقرارا قويا يسمح للمريض ببدء تحميل الوزن على القدم في وقت مبكر. بعد ذلك، يتم إزالة أي بروز عظمي متبقي لضمان مظهر طبيعي ومسطح للقدم.

التعامل مع الأنسجة الرخوة والأربطة

لا تكتمل الجراحة دون التعامل مع الأنسجة الرخوة. يتم تحرير الأربطة المشدودة في الجانب الخارجي للمفصل، وشد الكبسولة المفصلية المرتخية في الجانب الداخلي. هذا التوازن الدقيق للأنسجة الرخوة يمنع عودة التشوه في المستقبل.

التحديات الطبية وتطور التقنية

مثل أي إجراء جراحي معقد، واجهت عملية سكارف بعض التحديات الطبية عبر تاريخها، مما أدى إلى تطوير وتحسين التقنية بشكل مستمر لضمان أعلى معدلات الأمان والنجاح للمرضى.

ظاهرة التخندق العظمي وكيفية تجنبها

أحد التحديات التي تم رصدها في الماضي هو ما يعرف طبيا بظاهرة التخندق. تحدث هذه الظاهرة عندما ينغرس الجزء القشري الصلب من العظم في الجزء الإسفنجي الأكثر ليونة، مما يؤدي إلى فقدان ارتفاع عظمة المشط وتغيير في توزيع الضغط على القدم.

تعديلات حديثة على التقنية الجراحية

للتغلب على هذه المشكلة، قدم خبراء جراحة العظام تعديلات حاسمة على التقنية. من أهم هذه التعديلات تقصير الأذرع العرضية للقطع العظمي بحيث لا تتجاوز ملليمترات قليلة. هذا التعديل البسيط يمنع اختراق العظم الإسفنجي الضعيف ويحافظ على استقرار الهيكل العظمي بشكل كامل، مما قلل من نسبة حدوث هذه المضاعفات بشكل كبير جدا.

تقييم كثافة العظام قبل الجراحة

كما يوصي الأطباء اليوم باختيار المرضى بعناية، حيث تعتبر العملية مثالية للأشخاص الذين يتمتعون بكثافة عظمية جيدة وقوية. في حالات المرضى كبار السن الذين يعانون من هشاشة العظام، قد يفضل الجراح استخدام تقنيات بديلة تناسب طبيعة عظامهم.

التعافي ومرحلة ما بعد الجراحة

تعتبر فترة التعافي من أهم مراحل العلاج، حيث يعتمد نجاح الجراحة بشكل كبير على التزام المريض بالتعليمات الطبية وبرنامج التأهيل. بفضل الاستقرار العالي الذي توفره تقنية سكارف، يعتبر التعافي أسرع مقارنة بالعديد من الجراحات التقليدية الأخرى.

مرحلة التعافي الأولى بعد الجراحة

في الأسبوعين الأولين بعد الجراحة، يسمح للمريض بالمشي باستخدام حذاء طبي خاص يرتكز فيه تحميل الوزن على كعب القدم فقط. الهدف في هذه المرحلة هو حماية العظام الملتئمة وتقليل التورم. يوصى برفع القدم قدر المستطاع واستخدام الكمادات الباردة للسيطرة على الألم والانتفاخ.

تطور القدرة على المشي وتحمل الوزن

بعد مرور أسبوعين، وبناء على تقييم الطبيب، يمكن للمريض البدء في تحميل الوزن جزئيا على القدم بأكملها مع الاستمرار في ارتداء الحذاء الطبي. تستمر هذه المرحلة لحوالي أربعة أسابيع، يبدأ خلالها المريض في استعادة ثقته في المشي تدريجيا.

بدء العلاج الطبيعي والتأهيل الحركي

العلاج الطبيعي يلعب دورا محوريا في استعادة الوظيفة الكاملة للقدم. يبدأ المريض بتمارين لطيفة لتحريك المفصل ومنع تيبسه، ثم تتدرج التمارين لتقوية العضلات المحيطة وتحسين التوازن. الالتزام ببرنامج العلاج الطبيعي يضمن عودة المريض لممارسة أنشطته اليومية والرياضية بكفاءة عالية.

النتيجة النهائية بعد التئام العظام

تصل نسبة رضا المرضى عن نتائج عملية سكارف إلى حوالي تسعين بالمائة. يلاحظ المرضى اختفاء الألم المزعج، وتحسن مظهر القدم بشكل ملحوظ، وقدرتهم على ارتداء الأحذية العادية براحة تامة. ومع ذلك، يجب أن يدرك المريض أن التورم الخفيف قد يستمر لعدة أشهر بعد الجراحة، وهو أمر طبيعي تماما.

مقارنة قبل وبعد الجراحة

للحفاظ على النتائج الممتازة للجراحة على المدى الطويل، ينصح الأطباء بتجنب العودة لارتداء الأحذية الضيقة جدا أو ذات الكعب العالي المبالغ فيه لفترات طويلة. العناية بصحة القدم واختيار الأحذية الداعمة والمريحة يضمن عدم عودة التشوه ويحافظ على صحة المفاصل.

العودة للحياة الطبيعية والنشاط البدني

في النهاية، تمثل عملية سكارف إنجازا طبيا هاما في مجال جراحة القدم، حيث تجمع بين المبادئ الهندسية الدقيقة والفهم العميق للتشريح البشري، لتقدم حلا جذريا وفعالا لمعاناة طويلة الأمد، وتعيد للمرضى قدرتهم على الحركة بحرية وبدون ألم.

الأسئلة الشائعة حول عملية سكارف

ماهية عملية سكارف الأساسية

عملية سكارف هي إجراء جراحي متقدم يهدف إلى تقويم عظمة المشطية الأولى في القدم لعلاج انحراف إصبع القدم الأكبر. تعتمد على قطع العظم بشكل هندسي يشبه حرف زي لضمان أقصى درجات الاستقرار وتصحيح التشوه بدقة عالية.

مستوى الألم المتوقع بعد الجراحة

يتم التحكم في الألم بعد الجراحة بشكل فعال باستخدام الأدوية المسكنة الموصوفة من قبل الطبيب. بفضل تقنيات التخدير الحديثة والتثبيت القوي للعظام، يصف معظم المرضى الألم بأنه محتمل ويتناقص بشكل ملحوظ خلال الأيام الأولى.

موعد القدرة على المشي بعد الجراحة

تسمح هذه التقنية بالقدرة على المشي الفوري تقريبا ولكن باستخدام حذاء طبي خاص يعتمد على التحميل على الكعب فقط لمدة أسبوعين. بعد ذلك، يتم الانتقال تدريجيا لتحميل الوزن الكامل على القدم خلال الأسابيع الأربعة التالية.

نسب النجاح الموثقة للعملية

تعتبر نسب النجاح عالية جدا، حيث تشير الدراسات الطبية إلى أن حوالي تسعين بالمائة من المرضى يعبرون عن رضاهم التام عن النتائج، من حيث اختفاء الألم، تحسن شكل القدم، والقدرة على العودة للأنشطة الطبيعية.

احتمالية عودة التشوه مرة أخرى

إذا تم إجراء العملية بشكل صحيح مع موازنة الأنسجة الرخوة، والتزم المريض بتعليمات ما بعد الجراحة واختيار الأحذية المناسبة، فإن احتمالية عودة التشوه تعتبر نادرة جدا. التثبيت العظمي القوي يمنع الانتكاس في أغلب الحالات.

المخاطر والمضاعفات المحتملة

مثل أي جراحة، هناك مخاطر نادرة مثل العدوى، تأخر التئام العظام، أو تهيج بسبب المسامير. بفضل التعديلات الحديثة على التقنية الجراحية، تم تقليل مضاعفات مثل هبوط العظم بشكل كبير جدا لتصبح الجراحة آمنة للغاية.

حجم الندبة الجراحية المتبقية

يتم إجراء شق جراحي طولي على الجانب الداخلي للقدم. يقوم الجراحون التجميليون وجراحو العظام بخياطة الجرح بطرق تجميلية دقيقة. بمرور الوقت ومع العناية الجيدة، تتلاشى الندبة لتصبح خطا رفيعا غير ملحوظ بشكل كبير.

إمكانية إجراء الجراحة للقدمين معا

رغم أنه يمكن إجراء الجراحة للقدمين في نفس الوقت، إلا أن معظم الجراحين يفضلون إجراء كل قدم على حدة بفاصل زمني. هذا يضمن قدرة المريض على الاعتماد على قدم سليمة أثناء فترة التعافي ويسهل من عملية الحركة والتأهيل.

موعد ارتداء الأحذية العادية

يمكن لمعظم المرضى العودة لارتداء الأحذية الرياضية الواسعة والمريحة بعد حوالي ستة إلى ثمانية أسابيع من الجراحة. أما الأحذية العادية والأكثر ضيقا، فقد يتطلب الأمر من ثلاثة إلى ستة أشهر حتى يختفي التورم تماما.

مدى ملاءمة العملية لجميع المرضى

العملية مثالية للتشوهات الخفيفة إلى المتوسطة وللمرضى ذوي الكثافة العظمية الجيدة. قد لا تكون مناسبة لمن يعانون من هشاشة عظام شديدة، أو خشونة متقدمة في المفصل، أو ارتخاء شديد في الأربطة، حيث سيقيم الطبيب الحالة لاختيار الأنسب.


آلام العظام والمفاصل المزمنة ليس قدراً محتوماً! التشخيص الدقيق والعلاج المتخصص يمكن أن يعيد لك كامل وظيفتك وحريتك في الحركة بدون ألم.

للحصول على استشارة طبية دقيقة وخطة علاجية مخصصة لحالتك، تواصل فوراً مع العيادة المتخصصة:

رعاية صحية موثوقة بمعايير عالمية.. خبرة طبية رائدة في جراحات العظام والمفاصل المتقدمة.

مواضيع أخرى قد تهمك

Dr. Mohammed Hutaif
محتوى موثق طبياً بإشراف
أ.د. محمد هطيف
استشاري جراحة العظام والمفاصل والعمود الفقري
محتويات الفصل