مفصل الفخذ الصناعي قصير الجذع METHA: حلول مبتكرة للحفاظ على العظم في صنعاء مع الأستاذ الدكتور محمد هطيف

الخلاصة الطبية
مفصل الفخذ الصناعي قصير الجذع METHA هو حل جراحي متقدم لاستبدال مفصل الفخذ، مصمم خصيصًا للحفاظ على أكبر قدر ممكن من العظم والأنسجة الرخوة في المرضى الأصغر سنًا والنشطين. يقدم هذا الجذع القصير تثبيتًا فسيولوجيًا ويقلل من آلام الفخذ، مما يتيح تعافيًا أسرع ووظيفة أفضل للمفصل.
الخلاصة الطبية السريعة: مفصل الفخذ الصناعي قصير الجذع METHA هو حل جراحي متقدم لاستبدال مفصل الفخذ، مصمم خصيصًا للحفاظ على أكبر قدر ممكن من العظم والأنسجة الرخوة في المرضى الأصغر سنًا والنشطين. يقدم هذا الجذع القصير تثبيتًا فسيولوجيًا ويقلل من آلام الفخذ، مما يتيح تعافيًا أسرع ووظيفة أفضل للمفصل.
مقدمة
يعد التهاب مفصل الفخذ حالة مؤلمة وموهنة تؤثر على ملايين الأشخاص حول العالم، وتحد من قدرتهم على الحركة وممارسة الأنشطة اليومية. في الماضي، كانت جراحة استبدال مفصل الفخذ الكلي (THA) تتطلب إزالة جزء كبير من عظم الفخذ، مما قد يمثل تحديًا خاصًا للمرضى الأصغر سنًا والنشطين الذين يتطلعون إلى حل طويل الأمد مع إمكانية المراجعة المستقبلية.
لحسن الحظ، شهدت جراحات استبدال مفصل الفخذ تطورًا كبيرًا، وظهرت خيارات مبتكرة مثل مفصل الفخذ الصناعي قصير الجذع METHA. يمثل هذا التصميم المتطور ثورة في الحفاظ على العظم والأنسجة الرخوة، مما يجعله خيارًا مثاليًا للمرضى الذين يبحثون عن حل فعال ودائم مع أقل قدر من التضحية بالعظم الطبيعي.
في هذه المقالة الشاملة، سنتعمق في كل ما تحتاج معرفته عن مفصل الفخذ الصناعي قصير الجذع METHA، من مفهومه وتصميمه إلى مؤشرات استخدامه والتقنية الجراحية والتعافي. ويسعدنا أن نسلط الضوء على أن الأستاذ الدكتور محمد هطيف، أحد أبرز جراحي العظام في صنعاء واليمن، يتمتع بخبرة واسعة في تطبيق هذه التقنية المتقدمة، وتقديم أفضل رعاية ممكنة لمرضاه.

تُقدم تصاميم الجذع القصير خيارًا محافظًا لاستبدال مفصل الفخذ الكلي، حيث تحافظ على العظم والأنسجة الرخوة، وتُعد مناسبة للمرضى الشباب والنشطين الذين يعانون من التهاب مفصل الفخذ الموهن. يُنسب مفهوم جراحة استبدال مفصل الفخذ الكلي التي تحافظ على عنق الفخذ إلى مايكل فريمان. وقد اقترح ليو وايتسايد وتاونلي مفهومًا مشابهًا يدعو إلى الحفاظ على عنق الفخذ باستخدام جذوع تقليدية. أظهر وايتسايد وزملاؤه في دراسة على الجثث أن الحفاظ على 50% أو أكثر من عنق الفخذ يساعد في مقاومة القوى الالتوائية في الجذع المثبت قربيًا. كما أظهرت دراسة أجراها جاستي وزملاؤه على الكلاب، باستخدام جذوع مثبتة قربيًا مع جذع بعيد مصقول، أن المكون الديافيزي للجذع يوفر ثباتًا أوليًا ولكنه ليس ضروريًا لاستقرار الزرعة على المدى الطويل بمجرد تحقيق الاندماج العظمي القريب. وقد أدى ذلك إلى تطوير جذوع قصيرة تثبت في منطقة الميتافيزال.
تتوفر الجذوع القصيرة التي تحافظ على عنق الفخذ منذ عام 1985، مع مفصل Mayo (برنارد إف موري) الذي يتمتع بسجل حافل ممتاز على المدى الطويل. ومع ذلك، ليست جميع الجذوع القصيرة متشابهة، وتتوفر حاليًا خمسة تصاميم رئيسية. تشمل هذه التصاميم جذوعًا مستوحاة من مفصل Mayo (مثل METHA، ESKA، NANOS)، وجذوعًا قصيرة وضخمة ولكنها لا تحافظ على عنق الفخذ مثل Proxima، وجذوعًا منحنية تحافظ على عنق الفخذ (CFP: Pipino)، وجذوعًا مخروطية قصيرة (Taperlock Microplasty, Trilock)، وما يسمى بـ "قرون العنق" مثل BMHR و Silent hip.
لقد تم التساؤل عن دور الجذوع القصيرة في جراحة استبدال مفصل الفخذ الكلي. وتُقارن بشكل واضح مع جراحة إعادة تسطيح المفصل (hip resurfacing) وجذوع الفخذ المخروطية الحديثة غير الإسمنتية ذات نقل الحمل القريب. بينما تحافظ جراحة إعادة تسطيح المفصل على العظم، إلا أنه لا يمكن القول إنها تحافظ على الأنسجة الرخوة، حيث يكون الشق الجراحي ومدى تشريح الأنسجة الرخوة اللازم للتعرض عادة أكبر مما هو عليه في جراحة استبدال مفصل الفخذ التقليدية. علاوة على ذلك، تقتصر جراحة إعادة تسطيح المفصل على مفصل المعدن على المعدن، والذي له مجموعة مشاكله الخاصة مثل فرط الحساسية، والتهاب الأوعية الليمفاوية المرتبط بالمعادن (ALVAL)، ومشاكل الاستخدام لدى الشابات في سن الإنجاب، والمخاوف بشأن ارتفاع مستويات أيونات المعادن في الدم.
تم توثيق نتائج ناجحة باستخدام جذوع مخروطية مع زرعات تحميل الميتافيزال. إن الزرعات القصيرة المثبتة في الميتافيزال تحافظ على العظم، ويمكن زرعها باستخدام نهج جراحي طفيف التوغل، ويمكن استخدامها مع مجموعة متنوعة من أسطح الاحتكاك. مقارنة بجذوع الفخذ التقليدية، فإن زرعات الجذع القصير أكثر فسيولوجية، أي أنها توفر تحميلًا قريبًا، ولا تسبب ألمًا في الفخذ، ويسهل مراجعتها إلى استبدال مفصل الفخذ التقليدي. ومن ثم، فإن زرعات التحميل الميتافيزي القصير تعمل كجسر بين جراحة إعادة تسطيح المفصل والجذوع غير الإسمنتية القياسية، وهي مناسبة للمرضى الشباب الذين يعانون من التهاب المفاصل ولديهم عظم جيد النوعية.
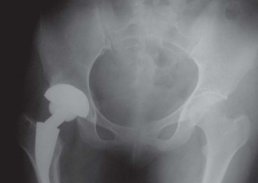
METHA هو جذع قصير معياري يعتمد على مفصل Mayo الناجح للغاية. يجمع الزرع بين ثلاث ميزات مهمة: البناء المعياري، والتثبيت الميتافيزي، والتحميل القريب مع الحد الأدنى من حجم الجذع والطلاء المحيطي، مما يؤدي إلى تثبيت بيولوجي. ويحتوي على جميع الميزات المطلوبة من زرع فخذ حديث، وهي: الحفاظ على العظم، والتحميل الفسيولوجي لعنق الفخذ وميتافيزال الفخذ القريب، والقدرة على استعادة ميكانيكا مفصل الفخذ دون إطالة الطرف، وإمكانية الوصول الجراحي الأقل توغلاً.

التشريح والأسباب الشائعة
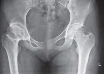
يُعد مفصل الفخذ أحد أكبر المفاصل في جسم الإنسان وأكثرها تحملًا للوزن. يتكون هذا المفصل الكروي الحُقي من رأس عظم الفخذ (الكرة) الذي يستقر داخل التجويف الحُقي في عظم الحوض (المقبس). يسمح هذا التركيب المعقد بمجموعة واسعة من الحركات، مما يُمكّن الإنسان من المشي والجري والقفز وأداء الأنشطة اليومية المتنوعة.

عندما يتعرض هذا المفصل للتلف أو التآكل، يمكن أن يؤدي ذلك إلى ألم شديد وتيبس وفقدان الوظيفة. تشمل الأسباب الشائعة التي تستدعي التدخل الجراحي واستبدال مفصل الفخذ ما يلي:
التهاب المفاصل التنكسي
يُعد التهاب المفاصل التنكسي السبب الأكثر شيوعًا لألم مفصل الفخذ الذي يتطلب الجراحة. يحدث هذا عندما يتآكل الغضروف الواقي الذي يغطي نهايات العظام تدريجيًا، مما يؤدي إلى احتكاك العظام ببعضها البعض، مسببًا الألم والالتهاب والتيبس. غالبًا ما يرتبط هذا النوع من التهاب المفاصل بالتقدم في العمر، ولكن يمكن أن يحدث أيضًا نتيجة لإصابات سابقة أو تشوهات هيكلية.
النخر اللاوعائي لرأس الفخذ
يحدث النخر اللاوعائي عندما ينقطع إمداد الدم إلى رأس عظم الفخذ، مما يؤدي إلى موت الخلايا العظمية وانهيار رأس الفخذ. يمكن أن تسببه عدة عوامل، بما في ذلك استخدام الكورتيكوستيرويدات لفترات طويلة، والإفراط في تناول الكحول، وبعض الأمراض مثل الذئبة الحمامية الجهازية (SLE)، والكسور أو الخلوع التي تؤثر على إمداد الدم.
التهاب المفاصل الروماتويدي
التهاب المفاصل الروماتويدي هو مرض مناعي ذاتي يهاجم فيه الجهاز المناعي بطانة المفاصل، مما يسبب التهابًا وألمًا وتلفًا في الغضروف والعظم. يمكن أن تؤدي أمراض التهابية أخرى مثل التهاب الفقار اللاصق إلى تلف مفصل الفخذ أيضًا.
فشل الجراحات السابقة
في بعض الحالات، قد يحتاج المرضى الذين خضعوا لجراحات سابقة مثل إعادة تسطيح المفصل (hip resurfacing) إلى جراحة مراجعة إذا فشل الزرع الأولي أو ظهرت مضاعفات مثل فرط الحساسية للمعادن أو ارتفاع مستويات أيونات المعادن.
الكسور والتشوهات الخلقية
يمكن أن تؤدي الكسور الشديدة في عنق الفخذ أو رأس الفخذ، أو التشوهات الخلقية في مفصل الفخذ، إلى تدمير المفصل وتتطلب استبداله لتحسين الوظيفة وتخفيف الألم.

الأعراض
عندما يتضرر مفصل الفخذ، تظهر مجموعة من الأعراض التي تؤثر بشكل كبير على جودة حياة المريض. هذه الأعراض هي التي تدفع المرضى لطلب المساعدة الطبية وتفكيرهم في خيارات العلاج المتقدمة مثل مفصل الفخذ الصناعي قصير الجذع METHA. تشمل الأعراض الرئيسية ما يلي:
ألم مزمن في الفخذ
يُعد الألم هو العرض الأكثر شيوعًا وشدة. يمكن أن يكون الألم ثابتًا أو متقطعًا، وقد يتفاقم مع النشاط أو الوقوف لفترات طويلة. غالبًا ما يُوصف بأنه ألم عميق في الفخذ أو الأربية، وقد ينتشر إلى الأرداف أو الفخذ من الأمام أو حتى الركبة.
صعوبة المشي والحركة
مع تقدم تلف المفصل، يصبح المشي مؤلمًا وصعبًا. قد يلاحظ المرضى عرجًا أو الحاجة إلى استخدام أدوات مساعدة مثل العكازات أو المشاية. تتأثر أيضًا القدرة على صعود السلالم، والنهوض من وضعية الجلوس، وحتى القيام بأنشطة بسيطة مثل ارتداء الجوارب.
تيبس المفصل
يُعد التيبس، خاصة في الصباح أو بعد فترات الراحة، عرضًا شائعًا. يمكن أن يحد هذا التيبس من نطاق حركة المفصل، مما يجعل من الصعب تحريك الساق بحرية.
فقدان نطاق الحركة
قد يجد المرضى صعوبة في ثني الركبة نحو الصدر، أو تدوير الساق إلى الداخل أو الخارج. هذا الفقدان في نطاق الحركة يؤثر على الأنشطة التي تتطلب مرونة المفصل.
تشوه المفصل أو قصر الطرف
في الحالات المتقدمة، قد يظهر تشوه في المفصل، مثل انحراف الساق إلى الداخل (التقريب) أو الخارج (الدوران الخارجي). قد يحدث أيضًا قصر حقيقي في الساق المصابة، مما يؤثر على التوازن والمشي.
ضعف عضلات الفخذ
نتيجة للألم وقلة الاستخدام، قد تضعف العضلات المحيطة بمفصل الفخذ، مما يزيد من صعوبة الحركة وعدم الاستقرار.
إذا كنت تعاني من أي من هذه الأعراض، فمن الضروري استشارة طبيب متخصص في جراحة العظام لتقييم حالتك وتحديد أفضل مسار للعلاج. في صنعاء، يُعد الأستاذ الدكتور محمد هطيف مرجعًا موثوقًا لتقييم وعلاج مشاكل مفصل الفخذ، بما في ذلك تقنيات الحفاظ على العظم المتقدمة مثل مفصل METHA قصير الجذع.

تشخيص مشاكل مفصل الفخذ
يتطلب تشخيص مشاكل مفصل الفخذ التي قد تستدعي استبداله تقييمًا دقيقًا وشاملًا من قبل جراح العظام. يهدف التشخيص إلى تحديد السبب الكامن وراء الألم والقيود الوظيفية، وتقييم مدى تلف المفصل، وتحديد ما إذا كان المريض مرشحًا مناسبًا لجراحة استبدال مفصل الفخذ الصناعي قصير الجذع METHA.
التاريخ الطبي والفحص السريري
تبدأ عملية التشخيص بأخذ تاريخ طبي مفصل من المريض، حيث يسأل الطبيب عن طبيعة الألم، مدته، العوامل التي تزيده أو تخففه، وأي أعراض أخرى مصاحبة. يتم أيضًا مراجعة التاريخ المرضي للمريض، بما في ذلك أي أمراض مزمنة، أدوية يتناولها، أو جراحات سابقة.
يلي ذلك فحص سريري شامل للمفصل المصاب، والذي يتضمن:
* تقييم المشية: ملاحظة أي عرج أو تغيير في نمط المشي.
* نطاق الحركة: قياس مدى قدرة المريض على تحريك مفصل الفخذ في اتجاهات مختلفة (الثني، البسط، التقريب، التبعيد، الدوران).
* جس المفصل: لتحديد مناطق الألم أو الحساسية.
* اختبارات خاصة: لتقييم قوة العضلات، واستقرار المفصل، ووجود أي تشوهات.
* قياس طول الساق: لتحديد ما إذا كان هناك قصر حقيقي أو ظاهري في الطرف.
التصوير الإشعاعي
تُعد الأشعة السينية (X-rays) الأداة التشخيصية الأساسية لتصوير مفصل الفخذ. يُطلب عادة:
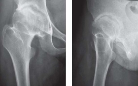
* صورة شعاعية أمامية خلفية (AP) للحوض مع كلا مفصلي الفخذ: هذه الصورة تسمح بتقييم شامل لكلا المفصلين، وتحديد مركز رأس الفخذ، وطول الساق، والإزاحة (offset)، ومستوى قطع عنق الفخذ المحتمل، وحجم الجذع.
* صورة شعاعية جانبية للمفصل المصاب مع تكبير 15%: لتوفير رؤية إضافية لهيكل المفصل وتخطيط الزرع.

التخطيط قبل الجراحة
يُعد التخطيط الدقيق قبل الجراحة أمرًا بالغ الأهمية لنجاح جراحة METHA قصير الجذع. يتضمن ذلك استخدام قوالب خاصة على الأشعة السينية لـ:
* تحديد حجم الزرعة: اختيار الحجم المناسب للجذع والمكون الحُقي.
* تخطيط قطع عنق الفخذ: يجب أن يكون القطع بزاوية 50 درجة بالنسبة للمحور الطولي لعظم الفخذ، مع الحفاظ على 5-10 ملم من القشرة الجانبية لعنق الفخذ.
* استعادة ميكانيكا المفصل: ضمان استعادة مركز رأس الفخذ، وطول الساق، والإزاحة إلى الوضع الفسيولوجي الطبيعي.
* تحديد زاوية عنق الفخذ: تُقاس زاوية عنق الفخذ في الجانب غير المصاب إن أمكن، لمساعدة الجراح في اختيار محول العنق المناسب أثناء الجراحة.

تساعد هذه الخطوات الدقيقة في ضمان اختيار الزرعة المناسبة وتحديد موضعها الأمثل، مما يقلل من مخاطر المضاعفات ويحسن النتائج الوظيفية للمريض. يتمتع الأستاذ الدكتور محمد هطيف في صنعاء بخبرة واسعة في التخطيط الدقيق وتنفيذ هذه الجراحات المعقدة، مستخدمًا أحدث التقنيات لضمان أفضل النتائج لمرضاه.

خيارات العلاج المتقدمة
تُمثل جراحة استبدال مفصل الفخذ الصناعي قصير الجذع METHA طفرة نوعية في علاج أمراض مفصل الفخذ، خاصة للمرضى الشباب والنشطين. تجمع هذه التقنية بين الحفاظ على العظم الطبيعي واستعادة الوظيفة الفسيولوجية للمفصل، مما يوفر نتائج ممتازة على المدى الطويل.
مقارنة الجذوع القصيرة
لفهم مزايا METHA، من المهم مقارنته بالخيارات التقليدية:
| الميزة | مفصل METHA قصير الجذع | إعادة تسطيح المفصل (Hip Resurfacing) | جذوع الفخذ التقليدية (الطويلة) |
|---|---|---|---|
| الحفاظ على العظم | ممتاز (يحافظ على عنق الفخذ وجزء كبير من عظم الفخذ) | جيد (يحافظ على جزء كبير من رأس الفخذ) | محدود (يتطلب إزالة جزء كبير من عظم الفخذ) |
| الحفاظ على الأنسجة | ممتاز (غالباً ما يتطلب شقًا جراحيًا أصغر) | متوسط (شق أكبر عادة) | متوسط |
| التحميل الفسيولوجي | قريب (يحاكي تحميل العظم الطبيعي) | قريب | بعيد (قد يؤدي إلى ألم في الفخذ) |
| آلام الفخذ | نادر جدًا | نادر | أكثر شيوعًا |
| خيارات الاحتكاك | متعددة (معدن على بولي إيثيلين، سيراميك على بولي إيثيلين، سيراميك على سيراميك) | محدود (معدن على معدن فقط) | متعددة |
| سهولة المراجعة | سهلة نسبيًا إلى جذع تقليدي | معقدة إذا حدث فشل | متوسطة إلى صعبة |
| المرشحون | شباب نشطون بعظم جيد | شباب نشطون بعظم جيد (مخاطر معدن-معدن) | جميع الفئات العمرية، بما في ذلك كبار السن وذوو العظم الضعيف |
تصميم مفصل METHA
يُعد METHA جذعًا معياريًا، يُثبت في الميتافيزال، وغير إسمنتي. يتميز بتصميم مستوحى من مفصل Mayo الناجح، ولكنه يتفوق عليه في عدة جوانب:
- شكل شبه منحرف واسع: يوفر ثباتًا أوليًا ممتازًا مع الحفاظ على العظم الإسفنجي.
- مادة الصنع والطلاء: يتكون من جذع مخروطي مزدوج من التيتانيوم، مغطى بالكامل بطلاء التيتانيوم النقي المسامي الدقيق (بلازمابور) مع طبقة رقيقة من فوسفات الكالسيوم ثنائي الهيدرات. هذا الطلاء يعزز التوصيل العظمي ويؤدي إلى اندماج عظمي مبكر، مما يوفر ثباتًا ثانويًا.
- الطرف البعيد غير المطلي: يعمل كدليل للزرعة على طول القشرة الظهرية الجانبية، مما يعزز الثبات الأولي العالي. لا يشارك طرف الجذع بشكل كبير في نقل الحمل، بل يعزز الثبات المحوري.
- وحدات الرأس والعنق المعيارية: تتوفر تسعة محولات للعنق مصنوعة من الكوبالت والكروم، بزوايا عنق الفخذ 130، 135، 140 درجة، وزوايا دوران 0، 7.5 درجة أمامية، و7.5 درجة خلفية لكل زاوية. تتوفر الجذوع بسبعة أحجام من 0 إلى 6. تسمح هذه المحولات المعيارية بتحسين ميكانيكا مفصل الفخذ لكل مريض على حدة دون إطالة الطرف.
مؤشرات استخدام METHA
يُعد جذع METHA خيارًا جذابًا للمرضى التاليين:
* المرضى الشباب والنشطين: الذين يعانون من التهاب المفاصل التنكسي في الفخذ.
* النخر اللاوعائي لرأس الفخذ: في المراحل التي تتطلب الاستبدال.
* خيار مراجعة محافظ: للمرضى الذين فشلت لديهم جراحة إعادة تسطيح المفصل.
الشرط الأساسي هو وجود عظم جيد النوعية.
موانع استخدام METHA
- نوعية عظم رديئة: يُمنع استخدام METHA في المرضى الذين يعانون من ضعف في جودة العظم.
- موانع نسبية: عنق فخذ قصير مقوس للداخل (varus)، ودوران أمامي مفرط في الفخذ، ومفصل فخذ خلل التنسج.
- حالات معينة: المرضى الذين فشلت لديهم جراحة تثبيت الكسور في عنق الفخذ بوجود مسامير في مكانها، والذين يعانون من تشوهات في منطقة التقاء الميتافيزال والديافيزال، حيث يكونون معرضين لخطر كسر تحت المدور، ويُفضل لهم استخدام زرعات تقليدية.
التقنية الجراحية لزراعة METHA
تتطلب جراحة METHA دقة متناهية وخبرة عالية لضمان أفضل النتائج. يُعد الأستاذ الدكتور محمد هطيف في صنعاء خبيرًا في تطبيق هذه التقنية المتطورة.
التخدير والوقاية من العدوى
تُجرى الجراحة عادة تحت تخدير نصفي أو فوق الجافية، مع استخدام قسطرة فوق الجافية لتخفيف الألم بعد الجراحة. تُعطى جرعة واحدة من مضاد حيوي من الجيل الأول (عادة سيفازولين) قبل 30 دقيقة على الأقل من بدء الشق الجراحي للوقاية من العدوى.
النهج الجراحي
يمكن استخدام أي نهج جراحي لزرع METHA. إن قطع عنق الفخذ القريب ونقطة الدخول الإنسية تجعله مناسبًا للنهج الأمامي، الأمامي الجانبي، والخلفي طفيف التوغل. يفضل الأستاذ الدكتور محمد هطيف إجراء الجراحة من خلال شق مناسب الحجم ونهج خلفي، مع وضع المريض في وضعية جانبية.
وضع المريض
يُوضع المريض في وضعية جانبية مع دعامات أمامية وخلفية للحفاظ على وضع الحوض المحايد. يجب أن يكون الدعم الأمامي فوق مستوى الشوكة الحرقفية الأمامية العلوية لمنع انحشار الفخذ أثناء التجربة. يجب توفير حماية كافية للساق المقابلة لمنع شلل العصب الشظوي.
يُستخدم شق جلدي خلفي جانبي قياسي












































آلام الورك المبرحة ليس قدراً محتوماً! التشخيص الدقيق والعلاج المتخصص يمكن أن يعيد لك كامل وظيفتك وحريتك في الحركة بدون ألم.
للحصول على استشارة دقيقة وخطة علاجية مخصصة لحالتك، تواصل فوراً مع مركز الأستاذ الدكتور محمد هطيف:
الأستاذ الدكتور محمد هطيف - أفضل دكتور عظام في صنعاء، وخبير في جراحات استبدال مفصل الورك والمراجعة المعقدة.
مواضيع أخرى قد تهمك