آلام القدم الداخلية والخارجية: دليلك الشامل للتشخيص والعلاج مع الأستاذ الدكتور محمد هطيف

الخلاصة الطبية
تُعد آلام القدم الداخلية والخارجية شكوى شائعة، تنتج عن أسباب متعددة مثل التهاب الأوتار أو إصابات الأربطة. يتضمن التشخيص الدقيق الفحص السريري والتصوير المتقدم. يعتمد العلاج على السبب، ويتراوح بين التحفظي والجراحي، ويُشرف الأستاذ الدكتور محمد هطيف على تقديم أفضل رعاية متكاملة.
الخلاصة الطبية السريعة: تُعد آلام القدم الداخلية والخارجية شكوى شائعة، تنتج عن أسباب متعددة مثل التهاب الأوتار أو إصابات الأربطة. يتضمن التشخيص الدقيق الفحص السريري والتصوير المتقدم. يعتمد العلاج على السبب، ويتراوح بين التحفظي والجراحي، ويُشرف الأستاذ الدكتور محمد هطيف على تقديم أفضل رعاية متكاملة.
مقدمة عن آلام القدم الداخلية والخارجية
تُعد آلام القدم شكوى شائعة تؤثر على نسبة كبيرة من السكان في مرحلة ما من حياتهم، وتتراوح شدتها من الانزعاج الخفيف إلى الألم المزمن الذي يعيق الأنشطة اليومية. غالبًا ما تُصنف هذه الآلام بناءً على موقعها في القدم، وتحديدًا آلام القدم الداخلية (الجانب الإنسي) وآلام القدم الخارجية (الجانب الوحشي). يمثل كل نوع من هذه الآلام طيفًا واسعًا من الأمراض التي يواجهها جراحو العظام بشكل متكرر، وتشمل مجموعة متنوعة من الأسباب تتراوح بين إصابات الإفراط في الاستخدام والتهاب الأوتار إلى الإصابات الحادة والحالات الالتهابية واعتلالات الأعصاب.
إن التشخيص الدقيق هو حجر الزاوية لتوجيه خطة العلاج الفعالة، ويلعب التصوير الطبي دورًا حاسمًا في تأكيد الشكوك السريرية وتحديد مدى انتشار المرض. في حين أن العديد من الحالات تُعالج بطرق غير جراحية، فإن مجموعة كبيرة منها تتطلب تدخلًا جراحيًا، مما يؤكد أهمية المسارات التشخيصية الشاملة. يؤكد الأستاذ الدكتور محمد هطيف، استشاري جراحة العظام والعمود الفقري والرائد في مجال جراحة القدم والكاحل في صنعاء، على أهمية الفهم العميق لهذه الحالات لضمان أفضل النتائج للمرضى.
انتشار آلام القدم وتأثيرها
تُظهر الدراسات أن معدلات انتشار آلام القدم كبيرة، حيث تُصيب نسبة عالية من عامة السكان على مدار حياتهم، وتختلف هذه المعدلات بناءً على العمر ومستوى النشاط والأمراض المصاحبة. يمكن أن يؤثر ألم القدم بشكل كبير على نوعية الحياة، مما يحد من القدرة على المشي، ممارسة الرياضة، وحتى أداء المهام اليومية البسيطة.
تُشكل آلام القدم الداخلية عادةً مع حالات مثل خلل وتر الظنبوب الخلفي (PTTD)، ومتلازمة العظم الزورقي الإضافي، ومتلازمة النفق الرسغي. بينما تنشأ آلام القدم الخارجية بشكل متكرر من اعتلال أوتار الشظية، وعدم استقرار الكاحل الجانبي المزمن، ومتلازمة الجيب الرصغي. إن فهم الأسس التشريحية والضغوط الميكانيكية الحيوية أمر أساسي لتفسير كل من العروض السريرية ونتائج التصوير المتقدم، وهو ما يتميز به الأستاذ الدكتور محمد هطيف في تشخيصه وعلاجه لهذه الحالات المعقدة.
التشريح الحيوي والقوى الميكانيكية للقدم
يُعد الفهم الشامل للتشريح المعقد والميكانيكا الحيوية للقدم أمرًا لا غنى عنه لتشخيص وعلاج آلام القدم الداخلية والخارجية بدقة. القدم هيكل معقد يتكون من 26 عظمة، 33 مفصلاً، وأكثر من 100 وتر ورباط وعضلة، تعمل جميعها بتناغم لدعم وزن الجسم، امتصاص الصدمات، والتكيف مع الأسطح المختلفة.
الشكل 1: رسم توضيحي للهياكل التشريحية المعقدة للقدم، مع إبراز الأجزاء الداخلية والخارجية الحاسمة لفهم مسببات الألم والتخطيط الجراحي.
تشريح القدم الداخلية وميكانيكيتها الحيوية
يتميز الجانب الإنسي (الداخلي) من القدم بهياكل حيوية لدعم قوس القدم والاستقرار الديناميكي. تشمل المكونات التشريحية الرئيسية ما يلي:
- الوتر الظنبوبي الخلفي (PTT) : ينشأ من الجزء الخلفي لعظم الظنبوب والشظية، ويدخل بشكل أساسي في الحدبة الزورقية، ويرسل أليافًا إلى عظام الرصغ والمشط الأخرى. إنه المثبت الديناميكي الأساسي للقوس الطولي الإنسي. يلعب هذا الوتر دورًا محوريًا في رفع قوس القدم ومنع تسطحها.
- مركب الرباط الزنبركي (الرباط العقبي الزورقي الأخمصي) : وهو مثبت ثابت حيوي للقوس الإنسي، يربط السندوب الظنبوبي بالعظم الزورقي، ويدعم رأس الكاحل. يُعد هذا الرباط ضروريًا للحفاظ على شكل قوس القدم.
- أوتار العضلة المثنية الطويلة للأصابع (FDL) والعضلة المثنية الطويلة لإبهام القدم (FHL) : تمر هذه الأوتار عبر النفق الرسغي جنبًا إلى جنب مع الوتر الظنبوبي الخلفي والشريان والأعصاب الظنبوبية الخلفية.
- أربطة الكاحل الإنسية : مركب الرباط الدالي، الذي يوفر استقرارًا للجانب الإنسي من الكاحل.
- النفق الرسغي : نفق ليفي عظمي تحت الرباط المثني، يضم العصب الظنبوبي الخلفي والحزمة الوعائية العصبية المرتبطة به.
- التشريح العظمي : عظم الكاحل (السنخ)، العظم الزورقي، العظم الإسفيني الإنسي، المشط الأول، والسندوب الظنبوبي لعظم العقب. العظم الزورقي الإضافي (os tibiale externum) هو اختلاف شائع في التشريح.
من الناحية الميكانيكية الحيوية، تعمل القدم الإنسية كحزام شد للحفاظ على القوس الطولي الإنسي أثناء تحمل الوزن والدفع. يؤدي خلل الوتر الظنبوبي الخلفي إلى تشوه القدم المسطحة التدريجي بسبب فقدان دعم القوس وتقوس العقب للداخل (valgus).
تشريح القدم الخارجية وميكانيكيتها الحيوية
توفر القدم الخارجية الاستقرار وتتكيف مع الأسطح غير المستوية. تشمل الهياكل الرئيسية ما يلي:
-
أوتار الشظية (Fibular Tendons)
:
- الشظوية الطويلة (Peroneus Longus) : تنشأ من الشظية، وتمر خلف الكاحل الوحشي، وتتجه عبر الجانب الأخمصي للقدم لتلتصق بالمشط الأول والعظم الإسفيني الإنسي. تعمل في ثني أخمص القدم وقلبها للخارج (eversion).
- الشظوية القصيرة (Peroneus Brevis) : تنشأ من الشظية، وتمر خلف الكاحل الوحشي، وتلتصق بقاعدة المشط الخامس. تعمل في قلب القدم للخارج (eversion).
- يتم احتواء كليهما داخل الرباط الشظوي العلوي والسفلي.
- أربطة الكاحل الوحشية : الرباط الكاحلي الشظوي الأمامي (ATFL)، الرباط العقبي الشظوي (CFL)، الرباط الكاحلي الشظوي الخلفي (PTFL)، التي توفر الاستقرار ضد انقلاب القدم للداخل (inversion).
- جيب الرصغ (Sinus Tarsi) : قناة بين عظم الكاحل والعقب، تحتوي على الدهون، النهايات العصبية، والرباط الكاحلي العقبي بين العظمين.
- التشريح العظمي : عظم العقب، العظم المكعبي، المشط الخامس، والكاحل الوحشي للشظية. العظم الشظوي (os peroneum) هو عظم إضافي شائع داخل وتر الشظوية الطويلة.
من الناحية الميكانيكية الحيوية، تُعد أوتار الشظية حيوية لقلب الكاحل للخارج ديناميكيًا وتثبيت الكاحل ضد إجهاد الانقلاب للداخل. يمكن أن يؤدي الخلل إلى عدم الاستقرار، أو الخلع الجزئي، أو الألم. توفر الأربطة الجانبية استقرارًا ثابتًا، مع يؤدي الارتخاء المزمن إلى عدم الاستقرار المتكرر والتغيرات التنكسية.
الأسباب وعوامل الخطر لآلام القدم الداخلية والخارجية
تتعدد أسباب آلام القدم الداخلية والخارجية، وتشمل مجموعة واسعة من الحالات التي يمكن أن تؤثر على العظام والأربطة والأوتار والأعصاب. يُعد التشخيص الدقيق لهذه الأسباب أمرًا بالغ الأهمية لتوجيه العلاج الفعال.
أسباب آلام القدم الداخلية
-
خلل وتر الظنبوب الخلفي (PTTD)
:
- الوصف : يُعد الوتر الظنبوبي الخلفي الداعم الرئيسي لقوس القدم. عندما يصبح هذا الوتر ملتهبًا أو ممزقًا أو ضعيفًا، يفقد قوس القدم دعمه، مما يؤدي إلى تسطح القدم (القدم المسطحة المكتسبة لدى البالغين).
- عوامل الخطر : السمنة، التقدم في العمر، مرض السكري، ارتفاع ضغط الدم، والرياضات التي تتضمن حركات متكررة للقدم.
-
متلازمة العظم الزورقي الإضافي
:
- الوصف : وجود عظم إضافي (عظم زورقي إضافي) بالقرب من العظم الزورقي الأصلي على الجانب الداخلي للقدم. يمكن أن يلتهب هذا العظم الإضافي أو الغضروف الذي يربطه بالعظم الزورقي، خاصةً مع الضغط من الأحذية أو النشاط البدني.
- عوامل الخطر : غالبًا ما تكون حالة خلقية، وتصبح مؤلمة بسبب الضغط المباشر أو إجهاد وتر الظنبوب الخلفي الذي يلتصق به.
-
متلازمة النفق الرسغي
:
- الوصف : انضغاط العصب الظنبوبي الخلفي أثناء مروره عبر النفق الرسغي في الكاحل الداخلي.
- عوامل الخطر : وجود كتل تضغط على العصب (مثل الأكياس العقدية، الأورام الشحمية، الأوردة المتضخمة)، التهاب الأوتار في النفق، أو تشوهات هيكلية.
-
إصابات الرباط الزنبركي
:
- الوصف : تمدد أو تمزق الرباط الزنبركي الذي يدعم رأس عظم الكاحل ويحافظ على قوس القدم. غالبًا ما يحدث هذا بالتزامن مع خلل وتر الظنبوب الخلفي.
- عوامل الخطر : الإجهاد المتكرر، الصدمات، أو ضعف وتر الظنبوب الخلفي.
-
كسور الإجهاد في العمود الإنسي (الزورقي، الإسفيني الإنسي)
:
- الوصف : كسور صغيرة في العظام تنجم عن الإجهاد المتكرر بدلاً من صدمة واحدة حادة.
- عوامل الخطر : زيادة مفاجئة في النشاط البدني، ضعف كثافة العظام، سوء التغذية، أو الأحذية غير المناسبة.
أسباب آلام القدم الخارجية
-
اعتلال أوتار الشظية أو تمزقها
:
- الوصف : التهاب أو تهيج أو تمزق في الأوتار الشظوية (الشظوية الطويلة والشظوية القصيرة) التي تمر خلف الكاحل الخارجي. يمكن أن يحدث خلع جزئي لهذه الأوتار.
- عوامل الخطر : التواءات الكاحل المتكررة، عدم استقرار الكاحل، الإفراط في الاستخدام، أو تشوهات هيكلية في القدم.
-
عدم استقرار الكاحل الجانبي المزمن (CLAI)
:
- الوصف : ضعف أو تمزق في الأربطة الجانبية للكاحل (الرباط الكاحلي الشظوي الأمامي، الرباط العقبي الشظوي) بعد التواءات متكررة، مما يؤدي إلى شعور بعدم الثبات أو "التواء" الكاحل بسهولة.
- عوامل الخطر : تاريخ من التواءات الكاحل المتكررة، ضعف العضلات المحيطة بالكاحل، أو ارتخاء الأربطة.
-
متلازمة الجيب الرصغي
:
- الوصف : التهاب أو تليف في الأنسجة الرخوة داخل جيب الرصغ، وهي منطقة صغيرة بين عظم الكاحل والعقب. غالبًا ما ترتبط بعدم استقرار الكاحل الجانبي.
- عوامل الخطر : التواءات الكاحل المتكررة، الصدمات، أو الالتهاب المزمن.
-
متلازمة العظم المكعبي
:
- الوصف : خلع جزئي أو خلل في مفصل العظم المكعبي، مما يسبب ألمًا في منتصف القدم الخارجية.
- عوامل الخطر : التواءات الكاحل، الإفراط في الاستخدام، أو الأحذية غير المناسبة.
-
كسور قاعدة المشط الخامس
:
- الوصف : كسور في قاعدة المشط الخامس، وهي العظم الطويل على الجانب الخارجي للقدم. تشمل أنواعًا مختلفة مثل كسور القلع (المنطقة 1)، وكسور جونز (المنطقة 2)، وكسور الإجهاد (المنطقة 3).
- عوامل الخطر : الصدمات المباشرة، التواءات الكاحل، أو الإجهاد المتكرر.
الأعراض الشائعة لآلام القدم الداخلية والخارجية
تتنوع الأعراض التي يشتكي منها المرضى المصابون بآلام القدم الداخلية والخارجية بشكل كبير، وتعتمد على السبب الكامن وراء الألم. ومع ذلك، هناك بعض الأعراض الشائعة التي قد تُشير إلى وجود مشكلة في أحد جانبي القدم.
أعراض آلام القدم الداخلية
- الألم : غالبًا ما يكون ألمًا عميقًا أو حارقًا على طول القوس الداخلي للقدم أو حول الكاحل الداخلي. قد يزداد الألم مع الوقوف لفترات طويلة، المشي، أو الأنشطة الرياضية.
- التورم : قد يظهر تورم حول الكاحل الداخلي أو على طول مسار الوتر الظنبوبي الخلفي.
- التسطح التدريجي للقدم : في حالات خلل وتر الظنبوب الخلفي المتقدم، قد يلاحظ المريض أن قوس قدمه أصبح مسطحًا بشكل متزايد، وأن القدم تميل إلى الخارج ("علامة كثرة الأصابع" حيث يمكن رؤية المزيد من الأصابع عند النظر إلى القدم من الخلف).
- الضعف : صعوبة في رفع الكعب أو الوقوف على أطراف الأصابع، مما يشير إلى ضعف في الوتر الظنبوبي الخلفي.
- التنميل أو الوخز : في حالات متلازمة النفق الرسغي، قد يشعر المريض بتنميل، وخز، أو حرقان في الكاحل الداخلي، أخمص القدم، أو الأصابع (باستثناء الإصبع الصغير). قد يمتد الألم إلى الساق.
- نتوء عظمي : وجود نتوء بارز ومؤلم على الجانب الداخلي للقدم في حالات العظم الزورقي الإضافي.
أعراض آلام القدم الخارجية
- الألم : ألم على الجانب الخارجي للكاحل أو القدم، والذي قد يزداد سوءًا مع النشاط البدني، أو الوقوف على الأسطح غير المستوية، أو حركات قلب القدم للداخل أو الخارج.
- التورم : تورم حول الكاحل الخارجي أو على طول مسار أوتار الشظية.
- عدم الاستقرار : شعور متكرر بأن الكاحل "يتلوى" أو "يستسلم" بسهولة، خاصة عند المشي على أسطح غير مستوية أو ممارسة الرياضة، وهو ما يميز حالات عدم استقرار الكاحل الجانبي المزمن.
- الطقطقة أو الاحتكاك : قد يسمع المريض صوت طقطقة أو يشعر باحتكاك حول الكاحل الخارجي، خاصة في حالات خلع أوتار الشظية.
- الكدمات : في حالات الإصابات الحادة مثل كسور قاعدة المشط الخامس، قد تظهر كدمات واضحة بالإضافة إلى الألم والتورم.
- ألم في منتصف القدم : ألم محدد في منتصف القدم الخارجية، قد يكون مرتبطًا بمتلازمة العظم المكعبي.
الشكل 2: صورة سريرية للقدم، تُظهر أهمية الفحص البصري والجس لتحديد مناطق الألم والتورم، وهي خطوة أساسية في تشخيص آلام القدم.
يُشدد الأستاذ الدكتور محمد هطيف على أن أي ألم مستمر في القدم يجب أن يتم تقييمه من قبل طبيب متخصص لتحديد السبب الدقيق ووضع خطة علاج مناسبة قبل أن تتفاقم الحالة.
التشخيص الدقيق لآلام القدم الداخلية والخارجية
يُعد التشخيص الدقيق والمتكامل حجر الزاوية في علاج آلام القدم الداخلية والخارجية بنجاح. يبدأ الأستاذ الدكتور محمد هطيف عملية التشخيص بفحص سريري شامل يتبعه استخدام تقنيات التصوير المتقدمة لتأكيد الشكوك السريرية وتحديد مدى المشكلة.
الفحص السريري
يشمل الفحص السريري من قبل الأستاذ الدكتور محمد هطيف الخطوات التالية:
- التاريخ المرضي المفصل : جمع معلومات حول طبيعة الألم (متى بدأ، ما الذي يزيده أو يقلله، شدته)، تاريخ الإصابات السابقة، الأنشطة البدنية، والأمراض المزمنة.
-
الفحص البدني
:
- المعاينة : تقييم شكل القدم، وجود أي تشوهات (مثل القدم المسطحة، تقوس القدم)، تورم، كدمات، أو احمرار.
- الجس : تحديد مناطق الألم باللمس، وتقييم حساسية الأوتار والأربطة والعظام.
- تقييم الحركة : قياس مدى حركة الكاحل والقدم، وتقييم قوة العضلات.
- اختبارات خاصة : مثل اختبار رفع الكعب الفردي لتقييم وتر الظنبوب الخلفي، أو اختبارات الثبات للكاحل الجانبي.
- المشي : تحليل طريقة المشي (gait analysis) للكشف عن أي أنماط غير طبيعية تؤثر على القدم.
التصوير المتقدم لآلام القدم
بعد الفحص السريري، تُستخدم مجموعة من فحوصات التصوير الطبي لتأكيد التشخيص وتحديد خطة العلاج:
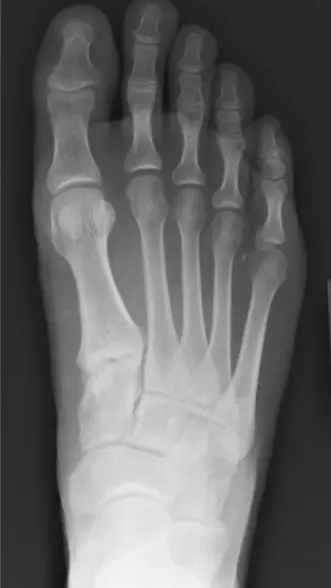
الأشعة السينية X-rays
تُعد الأشعة السينية هي الفحص الأولي الأساسي لجميع شكاوى القدم والكاحل تقريبًا.
- الصور القياسية : تُعد الصور الأمامية الخلفية (AP) والجانبية والمائلة للقدم أثناء تحمل الوزن ضرورية لتقييم محاذاة العظام وسلامتها وأي تغيرات تنكسية.
- الصور الجانبية أثناء تحمل الوزن : حاسمة لتقييم ارتفاع قوس القدم، وترهل المفصل الكاحلي الزورقي، وزاوية ميري (زاوية عظم الكاحل-المشط الأول)، وزاوية ميل العقب، وتحديد تقوس العقب للداخل في تشوهات القدم المسطحة.
- صورة سالتزمان (Saltzman view) : تُستخدم لتقييم محاذاة الكاحل الخلفي كمياً (تقوس العقب للداخل أو للخارج).
- نتائج آلام القدم الداخلية : قد تكشف الأشعة السينية عن وجود عظم زورقي إضافي، نتوءات عظمية، كسور إجهاد (مثل الزورقي، الإسفيني الإنسي)، علامات التحام الرصغ، أو مدى تشوه القدم المسطحة (مثل "علامة كثرة الأصابع" في الصورة الأمامية الخلفية، أو انكشاف رأس عظم الكاحل).
- نتائج آلام القدم الخارجية : قد تُحدد كسور قاعدة المشط الخامس (جونز، قلعية)، خلع جزئي للعظم المكعبي، كسور إجهاد في العقب، أو علامات عدم استقرار الكاحل المزمن مثل النتوءات العظمية أو ميل عظم الكاحل الطفيف.
الشكل 3: صورة شعاعية جانبية للقدم أثناء تحمل الوزن، تُظهر محاذاة العظام وارتفاع القوس وأي تغيرات تنكسية محتملة، وهي أساسية للتقييم الأولي لمسببات آلام القدم.
الرنين المغناطيسي MRI
يُعد التصوير بالرنين المغناطيسي المعيار الذهبي لتقييم الأنسجة الرخوة وهو شديد الحساسية لتورم نخاع العظم، والكسور الخفية، والعمليات الالتهابية.
- التسلسلات : تتضمن البروتوكولات القياسية تسلسلات T1، T2 المشبعة بالدهون، وكثافة البروتون (PD)، و STIR في المستويات المحورية والساجيتالية والكورونالية.
-
نتائج آلام القدم الداخلية
:
- خلل وتر الظنبوب الخلفي : يُظهر زيادة سمك الوتر، وتغير إشارته (اعتلال الأوتار)، وتمزقات داخلية، أو تمزقًا كاملاً. السائل داخل غمد الوتر (التهاب غمد الوتر) شائع. تشمل النتائج المرتبطة تمزقات الرباط الزنبركي، وتغيرات تنكسية في المفصل الكاحلي الزورقي، وتورم نخاع العظم في العظم الزورقي أو رأس عظم الكاحل.
- متلازمة العظم الزورقي الإضافي : تورم في الغضروف أو داخل العظم الإضافي، والتهاب وتر الظنبوب الخلفي عند نقطة التصاقه.
- متلازمة النفق الرسغي : تورم العصب، أو زيادة سمك حزم الأعصاب، أو تحديد آفات تشغل حيزًا (مثل الأكياس العقدية، الأورام الشحمية، الأوردة المتضخمة) تضغط على العصب الظنبوبي الخلفي.
- كسور الإجهاد : الكشف المبكر عن كسور الإجهاد في العظم الزورقي أو الإسفيني قبل ظهور التغيرات في الأشعة السينية، وتُظهر تورمًا منتشرًا في نخاع العظم.
-
نتائج آلام القدم الخارجية
:
- **اعتلال أوتار الشظ
آلام العظام والمفاصل المزمنة ليس قدراً محتوماً! التشخيص الدقيق والعلاج المتخصص يمكن أن يعيد لك كامل وظيفتك وحريتك في الحركة بدون ألم.
للحصول على استشارة دقيقة وخطة علاجية مخصصة لحالتك، تواصل فوراً مع مركز الأستاذ الدكتور محمد هطيف:
الأستاذ الدكتور محمد هطيف - أفضل دكتور عظام في صنعاء، وخبير في جراحات العظام والمفاصل المتقدمة.
مواضيع أخرى قد تهمك