وداعاً لألم إبهام القدم المتصلب: دليلك الشامل مع الأستاذ الدكتور محمد هطيف

17 إبريل 2026 14 دقيقة قراءة 47 مشاهدة
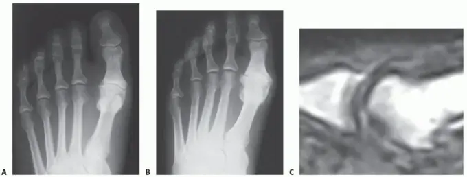
صورة توضيحية لـ وداعاً لألم إبهام القدم المتصلب: دليلك الشامل مع الأستاذ الدكتور محمد هطيف

الخلاصة الطبية

إبهام القدم المتصلب (Hallux Rigidus) هو خشونة تصيب مفصل إبهام القدم، مسببة الألم وصعوبة الحركة. يتراوح علاجه من التحفظي بتعديل الأحذية والعلاج الطبيعي، إلى الجراحي لإزالة النتوءات العظمية أو إصلاح الغضاريف، ويعتمد الخيار على شدة الحالة وتوجيهات الأستاذ الدكتور محمد هطيف.

إجابة سريعة (الخلاصة): إبهام القدم المتصلب (Hallux Rigidus) هو خشونة تصيب مفصل إبهام القدم، مسببة الألم وصعوبة الحركة. يتراوح علاجه من التحفظي بتعديل الأحذية والعلاج الطبيعي، إلى الجراحي لإزالة النتوءات العظمية أو إصلاح الغضاريف، ويعتمد الخيار على شدة الحالة وتوجيهات الأستاذ الدكتور محمد هطيف.

إبهام القدم المتصلب دليل شامل

هل تجد صعوبة في المشي، الوقوف، أو حتى ارتداء حذائك المفضل؟ هل يسبب لك الألم في قاعدة إبهام قدمك شعوراً بالإحباط ويحد من أنشطتك اليومية؟ إذا كانت إجابتك نعم، فقد تكون تعاني من حالة شائعة تُعرف باسم "إبهام القدم المتصلب" أو "الفُصال العظمي للمفصل المشطي السلامي الأول". هذه الحالة، التي تؤثر على الملايين حول العالم، يمكن أن تكون مؤلمة ومزعجة للغاية، لكن الخبر السار هو أن هناك حلولاً فعالة ومتطورة لاستعادة راحتك وحركتك الطبيعية.

في اليمن والخليج العربي، يقف الأستاذ الدكتور محمد هطيف كمرجع أول وخبير لا يضاهى في جراحة العظام والقدم والكاحل. بخبرته الواسعة وسجله الحافل بالنجاحات، يقدم الدكتور هطيف أحدث التقنيات وأكثرها أماناً لعلاج إبهام القدم المتصلب، من التشخيص الدقيق إلى خطة العلاج المخصصة التي تضمن أفضل النتائج لمرضاه.

يهدف هذا الدليل الشامل إلى أن يكون بوابتك لفهم كل ما يتعلق بإبهام القدم المتصلب: ما هو، ما الذي يسببه، كيف يمكنك التعرف على أعراضه، وما هي الخيارات العلاجية المتاحة – سواء كانت تحفظية أو جراحية – وكيف يمكن لخبرة الأستاذ الدكتور محمد هطيف أن تصنع الفارق في رحلتك نحو الشفاء. نحن هنا لنقدم لك الأمل، المعرفة، والدعم اللازم لاستعادة حياتك بلا ألم.

ما هو إبهام القدم المتصلب

إبهام القدم المتصلب، أو الفُصال العظمي للمفصل المشطي السلامي الأول، هو حالة مزمنة تصيب المفصل الموجود عند قاعدة إصبع القدم الكبير. يعتبر هذا المفصل نقطة التقاء عظم المشط الأول في القدم (العظم الطويل خلف الإبهام) مع عظم السلامى القريبة لإصبع القدم الكبير (العظم الأول من الإبهام نفسه). في هذه الحالة، يتآكل الغضروف الذي يغطي أسطح العظام في المفصل تدريجياً، مما يؤدي إلى احتكاك العظام ببعضها البعض.

تعد هذه الحالة ثاني أكثر تشوهات المفصل المشطي السلامي الأول شيوعاً بعد إبهام القدم الأروح (Hallux Valgus)، وهي الأكثر شيوعاً كشكل من أشكال الفُصال العظمي في القدم بشكل عام. تشير التقديرات إلى أن ما يقارب 10% من البالغين حول العالم قد يتأثرون بإبهام القدم المتصلب. ورغم أنه قد يصيب أي شخص، إلا أن الدراسات تشير إلى أن النساء أكثر عرضة للإصابة به من الرجال.

السمات الرئيسية لإبهام القدم المتصلب هي الألم وتقييد نطاق الحركة في المفصل المصاب. هذا يعني أن ثني إصبع القدم الكبير لأعلى أو لأسفل يصبح مؤلماً وصعباً، مما يؤثر بشكل كبير على الأنشطة اليومية مثل المشي والركض وحتى ارتداء أنواع معينة من الأحذية. مع مرور الوقت وتفاقم الحالة، قد تظهر نتوءات عظمية حول المفصل، مما يزيد من الألم ويقلل من الحركة.

تشريح مفصل إبهام القدم

لفهم إبهام القدم المتصلب بشكل أفضل، من المهم أن نلقي نظرة مبسطة على تشريح المفصل المشطي السلامي الأول وكيف يعمل. تخيل قدمك كتحفة هندسية معقدة، حيث يعمل كل جزء بتناغم ليوفر لك الحركة والثبات.

المفصل المشطي السلامي الأول (MTPJ1) هو مفصل مستقر وقوي يلعب دوراً حاسماً في قدرتنا على المشي، الركض، والقفز. يتكون هذا المفصل من جزأين رئيسيين:

  1. رأس عظم المشط الأول: هو الجزء المستدير الذي يقع في نهاية العظم الطويل الأول للقدم، قبل إصبع القدم الكبير مباشرة.
  2. قاعدة السلامى القريبة: وهي السطح المقعر لأول عظم من عظام إصبع القدم الكبير.

تتلاءم هذه الأسطح العظمية معاً بشكل مثالي، وتُغطى بطبقة ناعمة ومرنة من الغضروف المفصلي. هذا الغضروف يعمل كوسادة طبيعية، مما يتيح للعظام الانزلاق بسلاسة فوق بعضها البعض دون احتكاك، ويمتص الصدمات أثناء الحركة.

المكونات الداعمة للمفصل

  • الأربطة: هناك أربطة قوية حول المفصل، مثل الأربطة الأخمصية والجانبية، التي توفر الثبات وتمنع المفصل من الحركة الزائدة في الاتجاهات الخاطئة. يوجد أيضاً الرباط المشطي المستعرض العميق الذي يربط عظم المشط الأول بالعظم المشطي الثاني، مما يساهم في توازن القدم.
  • العظام السمسمانية (Sesamoid Bones): هذه عظام صغيرة بيضاوية الشكل، شبيهة بالسمسم، تقع أسفل رأس عظم المشط الأول ضمن وتر عضلة قابضة الإبهام القصيرة. تعمل هذه العظام كبكرات صغيرة، مما يساعد في تعزيز قوة عضلات الإبهام ويحمي الأوتار من الاحتكاك المباشر بالعظم. في الوضع الطبيعي، تنزلق هذه العظام السمسمانية للأمام والخلف داخل أخاديد مخصصة لها تحت عظم المشط، مما يسهل حركة الإبهام.
  • الأوتار: يمر وتر العضلة الباسطة لإبهام القدم الطويلة فوق الجزء العلوي (الظهري) من المفصل المشطي السلامي الأول، ويدخل في قاعدة السلامى البعيدة لإصبع القدم الكبير، وهو المسؤول عن رفع إصبع القدم الكبير للأعلى.

في حالة إبهام القدم المتصلب، يبدأ الغضروف المفصلي في التآكل، وتفقد الأسطح الناعمة مرونتها. هذا يؤدي إلى زيادة الاحتكاك، الالتهاب، وتكوين نتوءات عظمية حول المفصل، مما يعيق حركة العظام ويسبب الألم والتصلب. فهم هذه المكونات البسيطة يساعدنا على تقدير مدى تعقيد المشكلة عندما يتأثر هذا المفصل الحيوي.

أسباب وعوامل خطر إبهام القدم المتصلب

على الرغم من أن الآلية الدقيقة لتطور إبهام القدم المتصلب لا تزال غير واضحة تماماً في جميع الحالات، إلا أن هناك عدة عوامل يُعتقد أنها تساهم في تطوره، إما بشكل منفرد أو مجتمعة. في عيادة الأستاذ الدكتور محمد هطيف، يتم تقييم كل حالة بعناية فائقة لتحديد الأسباب الكامنة ووضع خطة علاجية مخصصة.

الإجهاد المتكرر والإصابات

  • الرضوح المتكررة (Microtrauma): يمكن أن يؤدي الإجهاد المتكرر على المفصل المشطي السلامي الأول، خاصةً مع الحمل الزائد وغير الطبيعي، إلى تآكل الغضروف بمرور الوقت. هذا شائع بشكل خاص لدى الرياضيين الذين يمارسون أنشطة تتطلب حركة إبهام القدم المتكررة والقوية، مثل لاعبي كرة القدم وراقصي الباليه.
  • إصابات فرط التمدد (Hyperextension Injury): إصابات مثل "إصبع القدم العشبية" (Turf Toe)، حيث يتم تمديد إصبع القدم الكبير بشكل مفرط وقسري، يمكن أن تسبب ضرراً للغضروف أو الأنسجة المحيطة بالمفصل، مما يؤدي تدريجياً إلى الفُصال العظمي ما بعد الصدمة.
  • الكسور العظمية الغضروفية: أي تلف مباشر لسطح الغضروف أو العظام تحته يمكن أن يكون نقطة بداية لتآكل المفصل.

التشوهات الهيكلية للقدم

  • ارتفاع عظم المشط الأول (Metatarsus Primus Elevatus): هذه الحالة تعني أن عظم المشط الأول يكون مرتفعاً قليلاً عن العظام الأخرى في وضع الوقوف، مما يغير توزيع الضغط على المفصل ويزيد من الحمل على جزء معين منه، خاصة أثناء دفع القدم عن الأرض.
  • طول عظم المشط الأول الزائد: قد يؤدي وجود عظم مشط أول أطول من المعتاد إلى زيادة الضغط والاحتكاك داخل المفصل.
  • تشوهات القدم الأخرى: بعض التشوهات مثل القدم المسطحة أو القدم المقوسة قد تؤثر على ميكانيكا المشي وتزيد من الإجهاد على مفصل الإبهام.
  • التقوس غير الطبيعي للمفصل: في بعض الحالات، قد يكون شكل المفصل المشطي السلامي الأول مسطحاً أو على شكل شيفرون، مما قد يؤثر على طريقة تلاءم العظام وحركتها.

العوامل الوراثية والجنس

  • التاريخ العائلي: أظهرت بعض الدراسات وجود استعداد وراثي للإصابة بإبهام القدم المتصلب، خاصة في الحالات التي تصيب كلا القدمين (ثنائية الجانب).
  • الجنس: كما ذكرنا سابقاً، الإناث أكثر عرضة للإصابة بهذه الحالة من الرجال، على الرغم من أن السبب الدقيق لذلك لا يزال قيد البحث.
  • إبهام القدم الأروح بين السلاميات (Hallux Valgus Interphalangeus): تشوه يُلاحظ فيه انحراف إصبع القدم الكبير عند المفصل بين السلاميات (وليس عند قاعدة الإبهام)، وقد يكون مرتبطاً بإبهام القدم المتصلب.

الأحذية غير المناسبة

  • ارتداء الأحذية الضيقة جداً، ذات الكعب العالي، أو التي لا توفر دعماً كافياً، يمكن أن يزيد من الضغط على مفصل إبهام القدم ويساهم في تطور الحالة أو تفاقمها. وهذا عامل مهم يمكن للمرضى التحكم به.

بينما قد تبقى الآلية الدقيقة لتطور المرض غير واضحة في بعض الأحيان، فإن الأستاذ الدكتور محمد هطيف يشدد على أهمية التقييم الشامل لكل مريض لتحديد العوامل المساهمة ووضع خطة علاجية مخصصة وفعالة.

أعراض إبهام القدم المتصلب

تتطور أعراض إبهام القدم المتصلب عادةً ببطء وتزداد سوءاً مع مرور الوقت. من المهم جداً الانتباه لهذه العلامات المبكرة لطلب المشورة الطبية من الأستاذ الدكتور محمد هطيف، حيث أن التدخل المبكر يمكن أن يحدث فرقاً كبيراً في التحكم بالحالة ومنع تفاقمها.

إليك أبرز الأعراض التي قد تشير إلى إصابتك بإبهام القدم المتصلب:

  1. الألم في قاعدة إبهام القدم:

    • هو العرض الأكثر شيوعاً.
    • غالباً ما يكون الألم خفيفاً في البداية ويزداد مع الأنشطة التي تتطلب ثني إصبع القدم الكبير، مثل المشي، الركض، أو القرفصاء.
    • قد يزداد الألم سوءاً عند ارتداء أحذية ضيقة أو ذات كعب عالٍ.
    • في المراحل المتقدمة، قد يصبح الألم مزمناً وموجوداً حتى في فترات الراحة.
  2. تصلب وتقييد حركة إبهام القدم:

    • صعوبة في ثني إصبع القدم الكبير للأعلى أو للأسفل.
    • الشعور بتيبس في المفصل، خاصة بعد فترات الراحة الطويلة أو في الصباح.
    • مع تقدم الحالة، يصبح نطاق الحركة محدوداً بشكل كبير، مما يؤثر على طريقة المشي.
  3. الانتفاخ والالتهاب حول المفصل:

    • قد تلاحظ تورماً أو احمراراً خفيفاً في منطقة المفصل المشطي السلامي الأول.
    • يمكن أن يكون المفصل دافئاً عند اللمس.
    • هذه الأعراض غالباً ما تكون مؤقتة وتزداد بعد النشاط البدني.
  4. تكوين النتوءات العظمية (Bone Spurs):

    • في المراحل المتقدمة من الفُصال العظمي، يبدأ الجسم في محاولة إصلاح التلف عن طريق تكوين نتوءات عظمية صغيرة (تسمى أيضاً العظم الزائد أو الشوك العظمي) حول حواف المفصل.
    • يمكن أن تشعر بهذه النتوءات ككتل صلبة تحت الجلد.
    • هذه النتوءات يمكن أن تحتك بالأحذية وتسبب ألماً إضافياً وتهيجاً.
  5. صعوبة في ارتداء الأحذية:

    • بسبب الألم والنتوءات العظمية، يصبح من الصعب والمؤلم ارتداء أنواع معينة من الأحذية، خاصة تلك ذات المقدمة الضيقة أو الكعب العالي.
    • قد تضطر إلى البحث عن أحذية واسعة ومريحة جداً.
  6. تغير في طريقة المشي (العرج):

    • لتجنب الألم، قد يقوم المريض بتغيير طريقة مشيه لا إرادياً، محاولاً تقليل الضغط على إبهام القدم المصاب.
    • هذا يمكن أن يؤدي إلى تحميل زائد على أجزاء أخرى من القدم أو الساق أو حتى الظهر، مسبباً ألماً في مناطق أخرى من الجسم.

إذا كنت تعاني من أي من هذه الأعراض، فلا تتردد في زيارة الأستاذ الدكتور محمد هطيف. سيقوم الدكتور هطيف بإجراء فحص سريري دقيق، وقد يطلب صوراً شعاعية (أشعة إكس) لتقييم حالة المفصل وتأكيد التشخيص واستبعاد الحالات الأخرى، ليقدم لك العلاج الأمثل.

خيارات العلاج

الهدف الأساسي من علاج إبهام القدم المتصلب هو تخفيف الألم، استعادة نطاق الحركة قدر الإمكان، وتحسين جودة حياة المريض. يقدم الأستاذ الدكتور محمد هطيف نهجاً علاجياً شاملاً ومتدرجاً، يبدأ بالخيارات غير الجراحية وينتقل إلى الجراحة فقط عند الضرورة القصوى، مع الحرص على اختيار الإجراء الأنسب لكل مريض.

العلاجات غير الجراحية

تُعد العلاجات غير الجراحية هي الخط الأول للدفاع، وتهدف إلى تخفيف الأعراض وإبطاء تطور المرض. ينصح بها الأستاذ الدكتور محمد هطيف خاصة في المراحل المبكرة من الحالة.

  1. تعديل الأحذية:

    • الأحذية ذات المقدمة الواسعة والصلبة: اختيار أحذية ذات مساحة واسعة لأصابع القدم يقلل الضغط على المفصل المصاب. النعل الصلب يقلل من ثني المفصل أثناء المشي.
    • الأحذية ذات النعل المتأرجح (Rocker Bottom Soles): هذه الأحذية مصممة بنعل منحني يساعد على تسهيل حركة المشي دون الحاجة إلى ثني مفصل الإبهام بشكل كبير، مما يخفف الألم.
    • تجنب الكعب العالي: يزيد الكعب العالي الضغط بشكل كبير على مقدمة القدم ومفصل الإبهام، لذا ينصح بتجنبه.
  2. دعامات وتقويم القدم (Orthotics):

    • الفرشات الطبية المخصصة: يمكن للأستاذ الدكتور محمد هطيف أن يوصي بفرشات مخصصة توضع داخل الحذاء لتوفير دعم إضافي للقدم، وتوزيع الضغط بشكل متساوٍ، وتقليل حركة المفصل المؤلمة. قد تحتوي هذه الفرشات على دعامة صلبة تحت مفصل الإبهام.
    • جبائر خاصة: في بعض الحالات، قد تُستخدم جبائر ليلية للحفاظ على المفصل في وضع مريح.
  3. العلاج الطبيعي والتأهيل:

    • تمارين الإطالة والتقوية: يساعد العلاج الطبيعي على تحسين نطاق حركة المفصل وتقوية العضلات المحيطة بالقدم والكاحل، مما يوفر دعماً أفضل.
    • تقنيات تخفيف الألم: قد يستخدم أخصائي العلاج الطبيعي تقنيات مثل العلاج بالثلج، الحرارة، أو الموجات فوق الصوتية لتخفيف الالتهاب والألم.
  4. الأدوية:

    • مضادات الالتهاب غير الستيرويدية (NSAIDs): مثل الإيبوبروفين أو النابروكسين، تساعد في تقليل الألم والالتهاب. يمكن تناولها عن طريق الفم أو استخدامها كمراهم موضعية.
    • مسكنات الألم: في بعض الحالات، قد يصف الأستاذ الدكتور محمد هطيف مسكنات للألم لتوفير راحة مؤقتة.
  5. حقن الستيرويد (Cortisone Injections):

    • يمكن حقن الكورتيزون مباشرة في المفصل لتخفيف الالتهاب والألم بشكل مؤقت. ومع ذلك، لا يُنصح بتكرار الحقن بشكل مفرط بسبب المخاطر المحتملة على الغضروف والأنسجة المحيطة. يتم هذا الإجراء تحت إشراف الأستاذ الدكتور محمد هطيف لضمان السلامة والفعالية.
  6. تعديل النشاط وخسارة الوزن:

    • تقليل الأنشطة التي تزيد الضغط على مفصل الإبهام (مثل الركض عالي الكثافة أو القفز) واستبدالها بأنشطة منخفضة التأثير (مثل السباحة أو ركوب الدراجات).
    • فقدان الوزن الزائد يقلل بشكل كبير من الضغط على مفاصل القدم، مما يمكن أن يخفف الأعراض.

جدول 1: مقارنة بين خيارات العلاج غير الجراحي لإبهام القدم المتصلب

خيار العلاج الوصف الفوائد المحتملة الاعتبارات والقيود
تعديل الأحذية ارتداء أحذية بمقدمة واسعة ونعل صلب أو متأرجح، وتجنب الكعب العالي. يقلل الضغط على المفصل، يسهل المشي، يخفف الألم. قد لا يكون كافياً للحالات المتقدمة، يتطلب التزاماً بتغيير نمط الأحذية.
تقويم القدم (الفرشات الطبية) استخدام فرشات مخصصة أو جاهزة توضع داخل الحذاء لدعم القدم وتوزيع الضغط. يوفر دعماً إضافياً، يصحح ميكانيكا القدم، يقلل حركة المفصل المؤلمة. قد يستغرق بعض الوقت للتكيف، يتطلب قياساً وتصنيعاً دقيقاً للفرشات المخصصة.
العلاج الطبيعي تمارين الإطالة، التقوية، وتقنيات تخفيف الألم (ثلج، حرارة، إلخ). يحسن نطاق الحركة، يقوي العضلات المحيطة، يخفف الألم والالتهاب. يتطلب التزاماً ببرنامج التمارين، قد لا يعالج الضرر الهيكلي الكامن.
الأدوية (NSAIDs) مضادات الالتهاب غير الستيرويدية (فموية أو موضعية). تخفيف الألم والالتهاب. قد يكون لها آثار جانبية (خاصة على الجهاز الهضمي)، لا تعالج السبب الجذري.
حقن الكورتيزون حقن مادة الكورتيزون المضادة للالتهاب مباشرة في المفصل. تخفيف سريع وقوي للألم والالتهاب. تأثير مؤقت، لا يُنصح بتكرار الحقن بكثرة (مخاطر على الغضروف)، يتم تحت إشراف طبي دقيق.

العلاجات الجراحية

عندما تفشل العلاجات غير الجراحية في توفير راحة كافية، أو عندما تكون الحالة متقدمة وتؤثر بشكل كبير على جودة حياة المريض، قد يوصي الأستاذ الدكتور محمد هطيف بالتدخل الجراحي. يتخذ الدكتور هطيف قرار الجراحة بعد تقييم دقيق وشامل، ومناقشة الخيارات مع المريض.

تختلف الإجراءات الجراحية المتاحة بناءً على شدة الفُصال العظمي، عمر المريض، ومستوى نشاطه. الأستاذ الدكتور محمد هطيف خبير في مجموعة واسعة من هذه التقنيات، بما في ذلك التقنيات المذكورة في العنوان الأصلي.

استئصال النتوءات العظمية الظهرية

  • ما هي؟ هذا الإجراء هو الأكثر شيوعاً للحالات المبكرة إلى المتوسطة من إبهام القدم المتصلب، وهو أحد الإجراءات الرئيسية التي يتقنها الأستاذ الدكتور محمد هطيف. يتضمن إزالة النتوءات العظمية (bone spurs) التي تتشكل على الجزء العلوي والجانبي من رأس عظم المشط الأول. هذه النتوءات هي التي تعيق حركة إبهام القدم لأعلى وتسبب الألم عند ثنيه.
  • كيف تُجرى؟ يتم عمل شق صغير على الجزء العلوي من المفصل. يتم تحديد النتوءات العظمية وإزالتها بعناية باستخدام أدوات جراحية دقيقة، مما يخلق مساحة أكبر للمفصل ويسمح لإصبع القدم بالثني بحرية أكبر.
  • الفوائد: تخفيف الألم بشكل كبير، تحسين نطاق الحركة. عادة ما تكون فترة التعافي قصيرة نسبياً.
  • لمن هي مناسبة؟ للمرضى الذين يعانون من آلام أساساً عند ثني الإبهام لأعلى، والذين لا يزال لديهم غضروف مفصلي سليم نسبياً.

تحرير الأنسجة اللينة الأخمصية

  • ما هو؟ في بعض الحالات، لا تكون المشكلة مقتصرة على النتوءات العظمية فقط. قد تكون الأنسجة اللينة الموجودة في الجانب السفلي (الأخمصي) من المفصل، مثل الكبسولة المفصلية والأربطة والأوتار، متيبسة ومشدودة، مما يقيد حركة المفصل. يتضمن هذا الإجراء تحرير هذه الأنسجة لتحسين مرونة المفصل.
  • كيف تُجرى؟ يمكن أن يتم هذا الإجراء بالتزامن مع استئصال النتوءات العظمية. يتم الوصول إلى الأنسجة المتيبسة تحت المفصل وتحريرها جزئياً أو كلياً لتقليل الشد وزيادة نطاق الحركة.
  • الفوائد: تحسين كبير في نطاق حركة المفصل، خاصة في حالات التصلب الشديدة التي لا تستجيب لاستئصال النتوءات العظمية وحده.
  • لمن هو مناسب؟ للمرضى الذين يعانون من تيبس ملحوظ في المفصل بسبب انكماش الأنسجة اللينة، أو الذين لم يحققوا تحسناً كافياً بعد استئصال النتوءات العظمية فقط.

تقنية التثقيب المجهري

  • ما هي؟ هذه التقنية تستخدم لعلاج الأضرار الموضعية في الغضروف المفصلي. عندما يكون هناك نقص أو تلف في الغضروف على سطح العظم، يمكن استخدام التثقيب المجهري لتحفيز نمو غضروف جديد.
  • كيف تُجرى؟ بعد إزالة النتوءات العظمية وتحديد مناطق تلف الغضروف، يقوم الجراح بعمل ثقوب صغيرة ودقيقة في العظم تحت الغضروف التالف. هذه الثقوب تسمح لخلايا نخاع العظم (التي تحتوي على خلايا جذعية) بالخروج إلى سطح المفصل وتكوين "غضروف ليفي" جديد، وهو ليس بنفس جودة الغضروف الأصلي ولكن يمكن أن يوفر سطحاً ناعماً ويخفف الألم.
  • الفوائد: قد يساعد في تأخير الحاجة إلى إجراءات جراحية أكبر مثل دمج المفصل أو استبداله، وتحسين سطح المفصل.
  • لمن هي مناسبة؟ للمرضى الذين يعانون من عيوب غضروفية محددة وموضعية، خاصة في الحالات المبكرة أو المتوسطة.

إجراءات جراحية أخرى

  • قطع العظم (Osteotomy): يتم قطع جزء صغير من العظم (غالباً عظم المشط الأول) لإعادة توجيهه وتغيير ميكانيكا المفصل وتخفيف الضغط على الغضروف التالف. هناك أنواع مختلفة من قطع العظم (مثل قطع العظم الإنقاصي الظهري) التي يمكن أن يختارها الأستاذ الدكتور محمد هطيف.
  • دمج المفصل (Arthrodesis): في الحالات الشديدة والمتقدمة جداً من الفُصال العظمي، حيث يكون الغضروف تالفاً بشكل لا رجعة فيه والألم مزمناً ولا يستجيب للعلاجات الأخرى، قد يوصي الأستاذ الدكتور محمد هطيف بدمج المفصل. يتضمن هذا الإجراء إزالة الغضروف التالف وتثبيت العظمين معاً بشكل دائم حتى يلتحما ويصبحا عظماً واحداً. هذا يزيل الألم تماماً ولكنه يلغي حركة المفصل. يعتبر هذا الخيار فعالاً جداً للأشخاص الذين لا يحتاجون إلى قدر كبير من الحركة في إبهام القدم.
  • استبدال المفصل (Arthroplasty): في بعض الحالات، يمكن استبدال المفصل التالف بمفصل اصطناعي (أو جزء منه). هذا الخيار أقل شيوعاً من دمج المفصل لإبهام القدم المتصلب، ويتطلب تقييماً دقيقاً للمريض ونمط حياته.

يتخذ الأستاذ الدكتور محمد هطيف قراره بشأن الإجراء الجراحي الأنسب بعد دراسة متأنية لحالة كل مريض، بما في ذلك عمره، مستوى نشاطه، درجة تلف المفصل، وأهدافه الشخصية من العلاج. الهدف دائماً هو تحقيق أفضل النتائج الممكنة بأقل تدخل جراحي ممكن.

التعافي وإعادة التأهيل


آلام العظام والمفاصل المزمنة ليس قدراً محتوماً! التشخيص الدقيق والعلاج المتخصص يمكن أن يعيد لك كامل وظيفتك وحريتك في الحركة بدون ألم.

للحصول على استشارة دقيقة وخطة علاجية مخصصة لحالتك، تواصل فوراً مع مركز الأستاذ الدكتور محمد هطيف:

الأستاذ الدكتور محمد هطيف - أفضل دكتور عظام في صنعاء، وخبير في جراحات العظام والمفاصل المتقدمة.


Dr. Mohammed Hutaif
محتوى موثق طبياً
أ.د. محمد هطيف
استشاري جراحة العظام والعمود الفقري
محتويات المقال