كسور رأس وعنق الكعبرة: دليل المريض الشامل للتشخيص والعلاج والتعافي مع الأستاذ الدكتور محمد هطيف في اليمن

الخلاصة الطبية
كسور رأس وعنق الكعبرة هي إصابات شائعة في مفصل المرفق، خاصةً لدى الأطفال والبالغين. تتراوح طرق علاجها بين التثبيت غير الجراحي للجروح البسيطة والجراحة بأنواعها المختلفة (المغلقة، عبر الجلد، داخل النخاع، أو المفتوحة) لتصحيح الانزياح واستعادة وظيفة الذراع، مع خطة تأهيل شاملة للتعافي التام.
إجابة سريعة (الخلاصة): كسور رأس وعنق الكعبرة هي إصابات شائعة في مفصل المرفق، خاصةً لدى الأطفال والبالغين. تتراوح طرق علاجها بين التثبيت غير الجراحي للجروح البسيطة والجراحة بأنواعها المختلفة (المغلقة، عبر الجلد، داخل النخاع، أو المفتوحة) لتصحيح الانزياح واستعادة وظيفة الذراع، مع خطة تأهيل شاملة للتعافي التام.
تُعدّ إصابات العظام من أكثر الحوادث إيلامًا ومقلقة، خاصةً عندما تؤثر على أجزاء حيوية وحساسة مثل مفصل المرفق (الكوع). فمفصل المرفق ليس مجرد مفصل يسمح بثني الذراع ومدها، بل هو مركز تنسيق معقد يمكّننا من أداء مئات الحركات اليومية، من تناول الطعام وارتداء الملابس إلى العمل واللعب. وعندما يتعرض جزء من هذا المفصل، مثل رأس وعنق عظم الكعبرة، للكسر، فإن الحياة اليومية تتوقف تقريبًا، ويصبح البحث عن حل طبي موثوق وفعال هو الشغل الشاغل للمريض وذويه.
في هذا الدليل الشامل، سنتعمق في فهم كسور رأس وعنق عظم الكعبرة، وسنستكشف كل ما يحتاجه المريض لمعرفته حول هذه الإصابة، بدءًا من طبيعة العظم وتشريح المنطقة، مرورًا بالأسباب والأعراض التي قد تدل على وجود كسر، وصولاً إلى الخيارات العلاجية المتعددة، سواء كانت تحفظية (غير جراحية) أو جراحية بأنواعها المختلفة، وانتهاءً بمسار التعافي وإعادة التأهيل. هدفنا هو تقديم معلومات واضحة ومطمئنة، بعيدًا عن المصطلحات الطبية المعقدة، ومساعدتكم على فهم حالتكم بشكل أفضل، واتخاذ قرارات مستنيرة بالتعاون مع فريقكم الطبي.
يفتخر اليمن بوجود قامات طبية رائدة في مجال جراحة العظام، وعلى رأسهم الأستاذ الدكتور محمد هطيف، الذي يُعدّ علمًا بارزًا في صنعاء واليمن ككل. بفضل خبرته الواسعة وسجله الحافل بالنجاحات في علاج حالات كسور المرفق المعقدة، يقدم الدكتور هطيف حلولًا علاجية متطورة وشاملة، ترتكز على أحدث التقنيات وأفضل الممارسات العالمية، لضمان أفضل النتائج الممكنة للمرضى. هذا الدليل ليس مجرد مصدر للمعلومات، بل هو أيضًا نافذة على الرعاية الطبية المتميزة التي يمكنكم الحصول عليها في قلب اليمن.
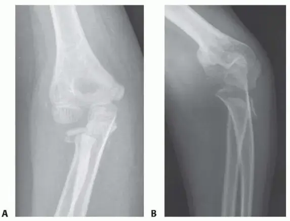
فهم كسور رأس وعنق الكعبرة
كسور رأس وعنق الكعبرة هي إصابات تصيب أحد العظمين الرئيسيين في الساعد (الزند والكعبرة)، وتحديدًا الجزء العلوي من عظم الكعبرة الذي يتصل بمفصل المرفق. هذا الجزء الحيوي يلعب دورًا رئيسيًا في حركات تدوير الساعد (بسط وقلب اليد) وثني المرفق ومدّه. عندما يتعرض هذا العظم للكسر، يمكن أن تتأثر وظيفة الذراع بشكل كبير، مما يسبب الألم، التورم، وصعوبة في الحركة.
تُعدّ هذه الكسور شائعة بشكل خاص في فئتين عمريتين:
* الأطفال: وخاصةً الذين تتراوح أعمارهم بين 9 و 12 عامًا، حيث تمثل حوالي 14% من كسور المرفق لديهم. غالبًا ما تكون هذه الكسور في منطقة صفيحة النمو (الفيزيس)، وهي المنطقة المسؤولة عن نمو العظم، وتُصنّف عادةً ضمن أنماط سالتر-هاريس (Salter-Harris) من النوع الأول أو الثاني، وقد تكون أحيانًا من النوع الثالث أو الرابع، أو خارج صفيحة النمو في منطقة الميتافيزيس (الجزء المجاور لصفيحة النمو).
* البالغون: تكون كسور رأس الكعبرة داخل المفصل أكثر شيوعًا لديهم مقارنةً بالأطفال، وتمثل حوالي 52% من إصابات المرفق لدى البالغين.
إن فهم هذه الكسور وطرق التعامل معها مبكرًا يضمن تعافيًا أفضل ويقلل من المضاعفات المحتملة.
تشريح مفصل المرفق والكعبرة
لكي نفهم الكسر، يجب أن نفهم أولاً ما الذي كُسر! مفصل المرفق هو مفصل محوري معقد يربط عظم العضد (العضد) في الجزء العلوي من الذراع بعظمي الساعد: الزند (Ulna) والكعبرة (Radius).
- عظم العضد (Humerus): هو العظم الطويل الذي يمتد من الكتف إلى المرفق.
- عظم الزند (Ulna): هو العظم الأكبر في الساعد، ويشكل الجزء الرئيسي من مفصل المرفق، ويوفر الاستقرار.
- عظم الكعبرة (Radius): هو العظم الآخر في الساعد، ويقع على الجانب الآخر من الزند (باتجاه الإبهام). يتميز عظم الكعبرة بـ:
- رأس الكعبرة (Radial Head): وهو الجزء العلوي المسطح الذي يشبه القرص، ويتصل بعظم العضد وبالزند، ويسمح بحركات تدوير الساعد.
- عنق الكعبرة (Radial Neck): هو الجزء الضيق الذي يقع أسفل رأس الكعبرة مباشرة، ويربط الرأس بالجسم الرئيسي لعظم الكعبرة. وهو المنطقة الأكثر عرضة للكسر في هذه النوعية من الإصابات.
- صفيحة النمو (Physis): في الأطفال، توجد صفيحة النمو عند نهاية العظم الطويل، وهي منطقة من الغضاريف اللينة تسمح للعظم بالنمو في الطول. هذه المنطقة حساسة وقد تتأثر بالكسور لدى الأطفال.
الوظيفة الرئيسية لرأس الكعبرة هي تمكين حركة تدوير الساعد (لف اليد للأسفل وللأعلى)، بالإضافة إلى المساهمة في ثني ومد المرفق. أي كسر في هذه المنطقة يمكن أن يؤثر بشكل كبير على قدرة المريض على أداء هذه الحركات الطبيعية.
أسباب وأعراض كسور الكعبرة
تحدث كسور رأس وعنق الكعبرة غالبًا نتيجة لصدمة مباشرة أو غير مباشرة على المرفق. فهم هذه الأسباب يساعد على الوقاية منها، بينما معرفة الأعراض تمكن من التشخيص المبكر.
الأسباب الشائعة لكسور الكعبرة
- السقوط على يد ممدودة (FOOSH Injury): هذا هو السبب الأكثر شيوعًا لهذه الكسور. عندما يسقط الشخص ويحاول حماية نفسه بمد يده بشكل مستقيم، تنتقل قوة الصدمة عبر الذراع وصولًا إلى المرفق، مما يضغط على رأس الكعبرة باتجاه عظم العضد، وقد يتسبب ذلك في كسرها.
- الإصابات الرياضية: الرياضات التي تتضمن مخاطر السقوط أو الاصطدامات المباشرة، مثل كرة القدم، كرة السلة، التزلج، وركوب الدراجات، يمكن أن تؤدي إلى كسور المرفق.
- حوادث السيارات أو الدراجات النارية: الصدمات عالية الطاقة الناتجة عن هذه الحوادث غالبًا ما تسبب كسورًا متعددة ومعقدة، بما في ذلك كسور رأس وعنق الكعبرة.
- الرضوض المباشرة على المرفق: ضربة مباشرة على جانب المرفق يمكن أن تؤدي إلى كسر.
- خلع المرفق: في بعض الحالات، قد يترافق خلع المرفق مع كسر في رأس أو عنق الكعبرة، حيث يحدث الكسر إما أثناء الخلع الأولي أو أحيانًا أثناء محاولة إعادة المرفق إلى مكانه.
- هشاشة العظام: في كبار السن، قد تزيد هشاشة العظام من خطر التعرض للكسور حتى من صدمات بسيطة نسبيًا.
أعراض كسور الكعبرة
تظهر أعراض كسور رأس وعنق الكعبرة بشكل عام بعد الإصابة مباشرة وقد تكون واضحة جدًا. يجب الانتباه لأي من هذه الأعراض والتوجه للطبيب فورًا:
- ألم شديد ومفاجئ: يتركز الألم عادة في الجانب الخارجي للمرفق، ويزداد سوءًا عند محاولة تحريك الذراع أو الضغط على المنطقة.
- تورم واضح: تتورم المنطقة المحيطة بالمرفق بسبب تجمع السوائل والدم نتيجة للكسر.
- كدمات: قد تظهر كدمات (تغير في لون الجلد) حول المرفق والساعد بعد ساعات أو أيام من الإصابة، بسبب نزيف داخلي.
- صعوبة أو عدم القدرة على تحريك المرفق: يصبح ثني أو مد الذراع مؤلمًا للغاية أو مستحيلًا في بعض الحالات.
- صعوبة في تدوير الساعد: تعد هذه العلامة من العلامات المميزة لكسور رأس وعنق الكعبرة، حيث يجد المريض صعوبة بالغة أو لا يستطيع تدوير يده لقلبها أو بسطها.
- تشوه مرئي: في حالات الكسور الشديدة أو الانزياح الكبير، قد يبدو المرفق مشوهًا أو غير طبيعي الشكل.
- ألم عند لمس المنطقة: تكون المنطقة حساسة للغاية للمس، حتى الخفيف منها.
- صوت طقطقة (في بعض الحالات): قد يسمع المريض صوت طقطقة لحظة وقوع الكسر.
تشخيص الكسر:
عند الاشتباه في كسر رأس أو عنق الكعبرة، سيقوم الطبيب بفحص سريري دقيق للمرفق والذراع، لتقييم مدى الألم، التورم، ونطاق الحركة. بعد ذلك، سيتم طلب الفحوصات التصويرية لتأكيد التشخيص وتحديد نوع الكسر وشدته:
* الأشعة السينية (X-rays): هي الفحص الأول والأكثر شيوعًا، وتوفر صورًا واضحة للعظام لتحديد موقع الكسر ودرجة انزياحه.
* الأشعة المقطعية (CT scan): قد تُطلب في الحالات المعقدة، خاصةً إذا كان الكسر داخل المفصل، لتوفير صور ثلاثية الأبعاد أكثر تفصيلاً للكسر وتقييم أي شظايا عظمية أو إصابات أخرى في المفصل.
* التصوير بالرنين المغناطيسي (MRI): نادرًا ما يستخدم لتشخيص الكسر نفسه، ولكن قد يكون مفيدًا لتقييم إصابات الأنسجة الرخوة المحيطة بالمفصل، مثل الأربطة أو الأوتار.
بناءً على هذه الفحوصات، يتمكن الأستاذ الدكتور محمد هطيف من تحديد الخطة العلاجية الأنسب لكل مريض، مع الأخذ في الاعتبار عمر المريض، نوع الكسر، ودرجة نشاطه البدني.
خيارات علاج كسور الكعبرة
تختلف خطة علاج كسور رأس وعنق الكعبرة بشكل كبير بناءً على عدة عوامل، منها عمر المريض (أطفال أم بالغون)، نوع الكسر ومكانه (رأس الكعبرة أم عنقها)، مدى انزياح شظايا العظم، وما إذا كان الكسر داخل المفصل أم خارجه. الهدف الرئيسي للعلاج هو استعادة التوافق التشريحي للعظم، والحفاظ على وظيفة المفصل، وتجنب المضاعفات طويلة الأمد مثل تصلب المرفق أو التهاب المفاصل.
يقدم الأستاذ الدكتور محمد هطيف، بصفته خبيرًا رائدًا في جراحة العظام في اليمن، مجموعة واسعة من خيارات العلاج، بدءًا من الطرق غير الجراحية وصولًا إلى التدخلات الجراحية الأكثر تعقيدًا، ويختار النهج الأمثل بناءً على تقييم دقيق لكل حالة.
العلاج غير الجراحي التحفظي
يُعتبر العلاج غير الجراحي هو الخيار الأول للكسور البسيطة أو غير المنزاحة بشكل كبير، أو في حالات معينة لدى الأطفال حيث تتمتع العظام بقدرة عالية على إعادة التشكيل.
- التثبيت (Immobilization):
- الجبيرة أو الجبس: يتم استخدام جبيرة أو جبس لتثبيت المرفق والساعد في وضع معين، مما يمنع حركة شظايا العظم ويسمح لها بالالتئام. عادةً ما يُثبت المرفق بزاوية 90 درجة، ويكون الساعد في وضع حيادي أو دوران خفيف.
- المدة: تتراوح مدة التثبيت عادةً من 3 إلى 6 أسابيع، اعتمادًا على عمر المريض وسرعة التئام العظم.
- الأدوية:
- مسكنات الألم: تُوصف الأدوية لتخفيف الألم وتقليل الالتهاب خلال فترة التعافي.
- مراحل العلاج غير الجراحي:
- التقييم الأولي: بعد التشخيص باستخدام الأشعة السينية، يحدد الدكتور هطيف ما إذا كان الكسر مستقرًا وغير منزاح بشكل كبير.
- التثبيت: يتم تطبيق الجبس أو الجبيرة.
- المتابعة الدورية: يتم إجراء فحوصات أشعة سينية دورية (عادة كل أسبوع أو أسبوعين) لمراقبة وضع الكسر والتأكد من عدم حدوث انزياح.
- إزالة التثبيت وبدء التأهيل: بعد فترة كافية من الالتئام، يتم إزالة الجبس أو الجبيرة، ويبدأ برنامج تأهيل تدريجي لاستعادة نطاق الحركة وقوة العضلات.
متى يكون العلاج غير الجراحي خيارًا جيدًا؟
* كسور عنق الكعبرة المنزاحة بشكل طفيف جدًا (أقل من 30 درجة من الزاوية أو أقل من 2 مم من الانزياح).
* في الأطفال الذين تقل أعمارهم عن 9-10 سنوات، حيث قدرة العظم على التشكيل وإعادة البناء عالية جدًا حتى مع بعض الانزياح.
* كسور رأس الكعبرة غير المنزاحة (النوع الأول من ميسون).
العلاج الجراحي
عندما يكون الكسر شديدًا، منزاحًا بشكل كبير، يؤثر على وظيفة المفصل، أو يترافق مع إصابات أخرى، يصبح التدخل الجراحي ضروريًا. يهدف التدخل الجراحي إلى إعادة محاذاة شظايا العظم وتثبيتها في مكانها الصحيح للسماح بالالتئام السليم واستعادة وظيفة المرفق. يمتلك الأستاذ الدكتور محمد هطيف خبرة واسعة في تنفيذ جميع أنواع الإجراءات الجراحية لكسور رأس وعنق الكعبرة.
تتضمن الطرق الجراحية الرئيسية ما يلي:
الرد المغلق
- مفهوم: هو محاولة لإعادة العظام المكسورة إلى موضعها الطبيعي دون الحاجة لفتح الجلد بعملية جراحية. يتم ذلك عادة تحت التخدير العام أو الموضعي.
- الإجراء: يقوم الجراح بتحريك الذراع والساعد بلطف وبحركات محددة لإعادة شظايا العظم إلى مكانها، مع الاستعانة بجهاز الأشعة السينية المحمول (فلوروسكوب) لمراقبة المحاذاة في الوقت الفعلي.
- التثبيت بعد الرد: بعد تحقيق الرد الناجح، يتم تثبيت الذراع باستخدام جبيرة أو جبس لمنع إعادة انزياح الكسر أثناء الالتئام.
- متى يُستخدم؟ يُفضل الرد المغلق للكسور المنزاحة التي يمكن ردها يدويًا دون الحاجة لتدخل جراحي مفتوح، خاصة في الأطفال حيث تكون العظام أكثر مرونة وقدرة على التشكيل.
الرد عبر الجلد
- مفهوم: هو تقنية جراحية طفيفة التوغل تجمع بين الرد المغلق والتثبيت الجراحي.
- الإجراء: بعد الرد المغلق لشظايا العظم (أو جزء منه)، يقوم الجراح بإدخال أسلاك أو مسامير رفيعة (K-wires) عبر شقوق صغيرة جدًا في الجلد، لتثبيت العظام في مكانها. يتم توجيه هذه الأسلاك بواسطة جهاز الأشعة السينية (فلوروسكوب) لضمان الدقة.
- المزايا: يقلل من حجم الجرح، يقلل من خطر العدوى، ويسرع من التعافي مقارنة بالجراحة المفتوحة.
- التثبيت بعد الرد: تُترك الأسلاك في مكانها لعدة أسابيع ثم تُزال عادة في عيادة الطبيب بعد أن يلتئم الكسر جزئيًا. ثم تُستخدم جبيرة أو جبس بعد إزالة الأسلاك.
- متى يُستخدم؟ عندما يكون الرد المغلق ممكنًا ولكن يتطلب تثبيتًا إضافيًا، خاصة في كسور عنق الكعبرة لدى الأطفال التي تكون منزاحة قليلًا أو متوسطة الانزياح.
التثبيت داخل النخاع
- مفهوم: هو طريقة جراحية أخرى طفيفة التوغل، تُستخدم غالبًا في كسور عنق الكعبرة لدى الأطفال.
- الإجراء: يتم إدخال سلك معدني رفيع أو مسمار مرن (مثل مسمار ستاينمان أو سلك كيرشنر سميك) داخل القناة النخاعية لعظم الكعبرة عبر شق صغير جدًا، ويُمرر عبر منطقة الكسر لتثبيت الشظايا من الداخل. يُعرف أحيانًا بـ "التسمير المرن" (Elastic Nailing).
- المزايا: يوفر استقرارًا جيدًا للكسر، مع الحفاظ على الأنسجة الرخوة المحيطة، ويسمح بالتعافي السريع مع إزعاج أقل للمريض. يتيح هذا الأسلوب أحيانًا بدء الحركة المبكرة للمرفق بعد فترة وجيزة.
- متى يُستخدم؟ يُفضل في كسور عنق الكعبرة المنزاحة لدى الأطفال، خاصةً إذا كانت الزاوية أكبر من 30-40 درجة، حيث يوفر تثبيتًا فعالًا ويسهل إزالة المسمار لاحقًا.
الرد المفتوح والتثبيت الداخلي
- مفهوم: هو إجراء جراحي أكثر توغلاً يتم فيه عمل شق جراحي كبير نسبيًا للوصول المباشر إلى العظم المكسور.
- الإجراء: يقوم الجراح بفتح الجلد والأنسجة للوصول إلى الكسر، ثم يقوم بإعادة محاذاة شظايا العظم يدويًا تحت الرؤية المباشرة. بعد ذلك، يتم تثبيت العظام باستخدام صفائح معدنية ومسامير (Plates and Screws) أو أسلاك أو براغٍ خاصة لضمان استقرار الكسر.
- المزايا: يوفر أفضل رؤية للكسر، مما يضمن دقة عالية في الرد والتثبيت، خاصة في الكسور المعقدة.
- متى يُستخدم؟
- للكسور الشديدة الانزياح أو المفتتة.
- للكسور التي لا يمكن ردها بالطرق المغلقة أو عبر الجلد.
- للكسور التي تؤثر بشكل كبير على سطح المفصل (كسور رأس الكعبرة داخل المفصل) وتتطلب استعادة دقيقة للسطح المفصلي.
- للكسور المصحوبة بخلع في المرفق لا يمكن رده أو الحفاظ عليه مستقرًا.
- في البالغين، حيث تكون هذه الطريقة أكثر شيوعًا لكسور رأس الكعبرة المعقدة.
جدول 1: مقارنة بين أنواع التدخلات الجراحية لكسور رأس وعنق الكعبرة
| نوع التدخل الجراحي | الوصف المختصر | المزايا الرئيسية | العيوب/المخاطر المحتملة | متى يُستخدم عادةً |
|---|---|---|---|---|
| الرد المغلق | إعادة شظايا العظم يدويًا بدون شق جراحي، تحت التخدير. | أقل توغلًا، لا يوجد جرح، سريع التعافي الأولي. | قد لا يكون ممكنًا لجميع الكسور، خطر إعادة الانزياح. | الكسور غير المعقدة، الانزياح الطفيف، غالبًا في الأطفال. |
| الرد عبر الجلد | رد مغلق مع إدخال أسلاك/مسامير تثبيت عبر شقوق صغيرة. | طفيف التوغل، تثبيت أفضل من الرد المغلق وحده، تعافٍ أسرع من المفتوح. | خطر العدوى حول الأسلاك، قد تتطلب إزالة لاحقًا. | كسور عنق الكعبرة المنزاحة قليلًا، خاصة في الأطفال. |
| التثبيت داخل النخاع | إدخال مسمار مرن داخل العظم لتثبيت الكسر من الداخل. | طفيف التوغل، استقرار جيد، يسمح بحركة مبكرة أحيانًا. | يتطلب إزالة للمسمار لاحقًا، قد لا يناسب جميع أنواع الكسور. | كسور عنق الكعبرة لدى الأطفال (خاصة الانزياح المتوسط). |
| الرد المفتوح والتثبيت الداخلي (ORIF) | شق جراحي لإعادة محاذاة العظم وتثبيته بصفائح ومسامير. | دقة عالية في الرد، استقرار قوي، مناسب للكسور المعقدة. | أكثر توغلًا، خطر أكبر للعدوى، ندبة جراحية واضحة، قد يتطلب إزالة المعدن لاحقًا. | الكسور الشديدة الانزياح، المفتتة، داخل المفصل، في البالغين. |
التعافي وإعادة التأهيل بعد كسور الكعبرة
العملية الجراحية أو التثبيت بالجبس هي مجرد بداية رحلة التعافي. الجزء الأهم والأكثر تحديًا هو إعادة التأهيل والعلاج الطبيعي، الذي يهدف إلى استعادة كامل وظيفة المرفق والذراع، وتقليل خطر التيبس أو ضعف العضلات. يؤكد الأستاذ الدكتور محمد هطيف على أن الالتزام ببرنامج إعادة التأهيل الموصى به هو مفتاح الشفاء التام والعودة إلى الأنشطة اليومية.
مراحل التعافي وإعادة التأهيل
تُقسم عملية التعافي عادة إلى عدة مراحل، كل منها يركز على أهداف محددة:
التثبيت والحماية
- الهدف: حماية الكسر للسماح بالالتئام الأولي وتقليل الألم والتورم.
- الإجراءات:
- التثبيت: يبقى المرفق مثبتًا بالجبيرة أو الجبس بعد الرد المغلق أو الجراحة.
- الراحة: تجنب أي حركات مجهدة أو حمل أوزان على الذراع المصابة.
- إدارة الألم: الاستمرار في تناول الأدوية الموصوفة لتسكين الألم.
- التحكم في التورم: استخدام الكمادات الباردة (مع الحرص على عدم تبلل الجبس) ورفع الذراع فوق مستوى القلب لتقليل التورم.
- حركات بسيطة: قد يوصي الدكتور هطيف أو أخصائي العلاج الطبيعي بتحريك الأصابع والكتف بشكل لطيف للحفاظ على الدورة الدموية ومنع التيبس في المفاصل الأخرى.
استعادة نطاق الحركة المبكرة
- الهدف: استعادة نطاق الحركة الطبيعي للمرفق والساعد تدريجيًا بعد التئام الكسر بما يكفي.
- الإجراءات:
- إزالة التثبيت: بعد التأكد من التئام الكسر بالأشعة السينية، يتم إزالة الجبس أو الجبيرة. (إذا تم استخدام أسلاك تثبيت عبر الجلد، فسيتم إزالتها في هذه المرحلة غالبًا).
- العلاج الطبيعي: يبدأ برنامج العلاج الطبيعي المكثف تحت إشراف أخصائي:
- تمارين الحركة السلبية: يقوم المعالج بتحريك المرفق والساعد بلطف للمساعدة في استعادة نطاق الحركة دون مجهود من المريض.
- تمارين الحركة النشطة المساعدة: يبدأ المريض في تحريك المرفق بمساعدة الذراع السليمة أو بمساعدة المعالج.
- تمارين الحركة النشطة: يقوم المريض بتحريك المرفق والساعد بنفسه، مع التركيز على ثني ومد المرفق وتدوير الساعد (بسط وقلب اليد).
- التدليك: قد يتم استخدام تقنيات تدليك لتقليل الندوب وتحسين مرونة الأنسجة.
- المتابعة: متابعة دورية مع الدكتور هطيف لتقييم تقدم الالتئام ونطاق الحركة.
تقوية العضلات والوظيفة
- الهدف: استعادة القوة الكاملة للعضلات، وتحسين التحمل، والعودة التدريجية إلى الأنشطة اليومية والرياضية.
- الإجراءات:
- تمارين التقوية: تبدأ تمارين تقوية عضلات الذراع والساعد والمرفق باستخدام الأوزان الخفيفة، أربطة المقاومة، أو تمارين وزن الجسم.
- تمارين التحمل: تهدف إلى زيادة قدرة العضلات على العمل لفترات أطول.
- تمارين الوظيفية: محاكاة الأنشطة اليومية والرياضية التي يمارسها المريض تدريجيًا.
- العودة التدريجية للأنشطة: يُسمح بالعودة إلى الأنشطة الخفيفة ثم المتوسطة ثم الثقيلة بناءً على تقدم التعافي وتوصيات الدكتور هطيف وأخصائي العلاج الطبيعي.
- التغذية: الحفاظ على نظام غذائي صحي غني بالبروتين والكالسيوم وفيتامين د لدعم التئام العظام وتقوية الجسم.
جدول 2: جدول زمني تقديري للتعافي بعد كسر رأس وعنق الكعبرة (قد يختلف باختلاف الحالة)
| المرحلة | الأهداف الرئيسية | الأنشطة المسموح بها | الأنشطة التي يجب تجنبها | المدة التقديرية |
|---|---|---|---|---|
| 1: الحماية | تقليل الألم والتورم، بدء الالتئام. | رفع الذراع، كمادات باردة، تحريك الأصابع والكتف (بحذر). | رفع الأشياء، أي ضغط على المرفق، الحركات القوية. | 0-6 أسابيع |
| 2: نطاق الحركة | استعادة حركة المرفق والساعد. | تمارين حركة المرفق والساعد (بمساعدة ثم نشطة)، تدليك، تمارين قبض اليد. | رفع الأوزان، دفع أو سحب الأشياء، الأنشطة البدنية الشاقة. | 6-12 أسبوعًا |
| 3: التقوية والوظيفة | استعادة القوة، التحمل، والوظيفة الكاملة. | تمارين تقوية العضلات، تمارين التحمل، العودة التدريجية للأنشطة. | الرياضات التي تتطلب احتكاكًا أو حمل أوزان ثقيلة جدًا دون موافقة. | 12 أسبوعًا فصاعدًا |
نصائح هامة لنجاح التعافي:
* الالتزام: يجب الالتزام الصارم بتعليمات الدكتور هط
كسور العظام المعقدة وإصابات الحوادث ليس قدراً محتوماً! التشخيص الدقيق والعلاج المتخصص يمكن أن يعيد لك كامل وظيفتك وحريتك في الحركة بدون ألم.
للحصول على استشارة دقيقة وخطة علاجية مخصصة لحالتك، تواصل فوراً مع مركز الأستاذ الدكتور محمد هطيف:
الأستاذ الدكتور محمد هطيف - أفضل دكتور عظام في صنعاء، وخبير في جراحات الكسور المعقدة وإنقاذ الأطراف.
🔗 اقرأ الدليل الشامل: البروفيسور محمد هطيف: افضل دكتور عظام بصنعاء بخبرة عالمية 2026