دمج مفصل الكاحل والقدم (تثبيت الكاحل تحت الكاحلي): حل نهائي لآلام القدم المزمنة واستعادة الحركة

17 إبريل 2026 13 دقيقة قراءة 52 مشاهدة
صورة توضيحية لـ دمج مفصل الكاحل والقدم (تثبيت الكاحل تحت الكاحلي): حل نهائي لآلام القدم المزمنة واستعادة الحركة

الخلاصة الطبية

تثبيت الكاحل تحت الكاحلي (Tibiotalocalcaneal Fusion) هو إجراء جراحي يهدف إلى دمج مفصلي الكاحل والقدم معًا باستخدام مسمار نخاعي، وذلك لتخفيف الألم الشديد واستعادة ثبات القدم ووظيفتها. يُعد هذا العلاج حلاً فعالاً للحالات المتقدمة التي لم تستجب للعلاجات التقليدية.

إجابة سريعة (الخلاصة): تثبيت الكاحل تحت الكاحلي (Tibiotalocalcaneal Fusion) هو إجراء جراحي يهدف إلى دمج مفصلي الكاحل والقدم معًا باستخدام مسمار نخاعي، وذلك لتخفيف الألم الشديد واستعادة ثبات القدم ووظيفتها. يُعد هذا العلاج حلاً فعالاً للحالات المتقدمة التي لم تستجب للعلاجات التقليدية.

هل تعاني من آلام مزمنة في الكاحل والقدم تحرمك من ممارسة حياتك الطبيعية؟ هل أصبحت خطواتك مؤلمة، وحركتك محدودة، وتشعر بأن خيارات العلاج التقليدية لم تعد تجدي نفعاً؟ لا تقلق، لست وحدك. يعيش الكثيرون في اليمن والخليج العربي هذه المعاناة بصمت، لكن العلم الحديث يقدم حلولاً متقدمة قد تعيد إليك راحة البال وحرية الحركة.

في هذا الدليل الشامل، سنتعمق في فهم إجراء جراحي يعتبر طوق نجاة لكثير من المرضى: "دمج مفصل الكاحل والقدم باستخدام مسمار نخاعي" المعروف طبياً بتثبيت الكاحل تحت الكاحلي (Tibiotalocalcaneal Fusion Using an Intramedullary Nail). سنشرح لك كل ما تحتاج معرفته بلغة واضحة ومبسطة، بعيداً عن التعقيدات الطبية، لكي تتخذ قراراً مستنيراً بشأن صحتك.

نحن ندرك أن فكرة الجراحة قد تكون مخيفة، ولكن مع التقدم الهائل في طب العظام، ووجود نخبة من الجراحين المهرة مثل الأستاذ الدكتور محمد هطيف، استشاري جراحة العظام والمفاصل في صنعاء، اليمن، يمكنك أن تطمئن بأنك في أيدٍ أمينة. يعتبر الأستاذ الدكتور محمد هطيف مرجعاً في هذا النوع من الجراحات المعقدة، بخبرته الواسعة التي تضمن أعلى مستويات الرعاية والنتائج المتميزة لمرضاه.

دعنا نبدأ رحلتنا نحو فهم هذا الإجراء الذي يمكن أن يغير حياتك للأفضل.

مقدمة شاملة فهم دمج مفصل الكاحل والقدم

عندما نتحدث عن "دمج مفصل الكاحل والقدم" أو ما يعرف طبياً بـ "تثبيت الكاحل تحت الكاحلي" (Tibiotalocalcaneal Fusion)، فإننا نشير إلى إجراء جراحي دقيق يهدف إلى تخفيف الألم الشديد واستعادة ثبات القدم، خاصة في الحالات التي يكون فيها مفصلا الكاحل والمفصل تحت الكاحل قد تضررا بشكل كبير ولا يمكن إصلاحهما بوسائل أخرى. هذا الإجراء هو حل جذري يدمج (يوحد) العظام المكونة لهذين المفصلين معاً ليصبحا وحدة صلبة واحدة، مما يمنع الحركة المؤلمة ويوفر دعماً قوياً للقدم.

يمكنك أن تتخيل قدمك وكأنها بناء معقد يتكون من عدة طوابق. مفصلا الكاحل والقدم يمثلان "الطوابق السفلية" التي تتحمل وزن الجسم وتساعد على المشي والجري والتوازن. عندما تتضرر هذه "الطوابق" بسبب الإصابات أو الأمراض أو فشل جراحات سابقة، يصبح الألم مستمراً وتفقد القدم قدرتها على العمل بكفاءة. هنا يأتي دور عملية الدمج.

تعتبر هذه الجراحة خياراً علاجياً مهماً للمرضى الذين يعانون من آلام مبرحة لا تستجيب للعلاجات التحفظية (غير الجراحية) مثل الأدوية، العلاج الطبيعي، أو الحقن. إنها تمثل فرصة لاستعادة نوعية حياة أفضل، تمكنك من الوقوف والمشي دون ألم، والعودة إلى ممارسة الأنشطة اليومية التي كنت تحبها.

بفضل خبرة الأستاذ الدكتور محمد هطيف، الذي يمتلك سجلاً حافلاً في إجراء هذه العمليات بنجاح، يمكنك أن تثق بأن كل خطوة من التشخيص إلى التعافي ستتم بعناية فائقة واهتمام شخصي. إن الالتزام بأعلى معايير الرعاية الطبية هو السمة المميزة لعمله، مما يجعله الخيار الأول للمرضى الباحثين عن التميز في جراحة العظام بصنعاء واليمن.

نظرة مبسطة على تشريح الكاحل والقدم أساس فهم حالتك

لفهم عملية دمج مفصل الكاحل والقدم بشكل أفضل، من المفيد أن نأخذ نظرة سريعة ومبسطة على التركيب التشريحي لهذه المنطقة الحيوية من جسمك. لا تقلق، لن نستخدم مصطلحات معقدة، بل سنبسط الأمر قدر الإمكان.

القدم والكاحل هما هيكلان معقدان يعملان معًا لدعم وزن جسمك، والمساعدة في التوازن، وتمكينك من المشي والجري والقفز. يتكون الكاحل والقدم من مجموعة من العظام والمفاصل والأربطة والأوتار والعضلات التي تعمل بتناغم.

المفاصل الرئيسية المستهدفة في العملية

  1. مفصل الكاحل الرئيسي (Tibiotalar Joint):

    • هو المفصل الذي يربط عظمة الساق الكبيرة (الظنبوب أو القصبة) وعظمة الساق الصغيرة (الشظية) مع عظمة الكاحل (الكاحل أو العظم القنزعي).
    • تتكون هذا المفصل من ثلاثة عظام رئيسية: نهاية عظمة الظنبوب (Tibia)، ونهاية عظمة الشظية (Fibula)، وعظم الكاحل (Talus).
    • يُعد هذا المفصل هو المسؤول بشكل أساسي عن حركة القدم للأعلى (ثني الظهر) وللأسفل (الثني الأخمصي)، وهي الحركات الضرورية للمشي.

  2. المفصل تحت الكاحل (Subtalar Joint):

    • يقع هذا المفصل أسفل مفصل الكاحل الرئيسي مباشرة.
    • يربط عظمة الكاحل (Talus) مع عظمة العقب (الكعب) أو ما تسمى أيضاً بـ (Calcaneus).
    • يُعد المفصل تحت الكاحل هو المسؤول عن حركة القدم للداخل والخارج، والتي تسمح لك بالتكيف مع الأسطح غير المستوية، وتساعد في التوازن.

الهياكل المحيطة الهامة

  • الأربطة والأوتار: تحيط بهذه المفاصل شبكة معقدة من الأربطة التي تربط العظام ببعضها وتوفر الثبات، والأوتار التي تربط العضلات بالعظام وتسهل الحركة.
  • الحزمة العصبية الوعائية: يمر بالقرب من هذه المفاصل حزمة من الأعصاب والأوعية الدموية التي تغذي المنطقة وتوفر الإحساس. من المهم جداً الحفاظ على سلامتها أثناء أي إجراء جراحي.
  • العصب الظنبوبي الخلفي: يقع بالقرب من وتر العضلة الطويلة المثنية لإبهام القدم على الجانب الإنسي (الداخلي) للكاحل.

عندما تتضرر هذه المفاصل، إما بسبب إصابة قوية أو التهاب مزمن أو تآكل في الغضاريف، تصبح الحركة مؤلمة وقد تفقد القدم ثباتها ووظيفتها الطبيعية. تهدف عملية الدمج إلى توحيد هذه العظام معاً لإنشاء مفصل واحد صلب وغير مؤلم، مما يعيد للقدم ثباتها ووظيفتها الأساسية.

يتمتع الأستاذ الدكتور محمد هطيف بفهم عميق لهذه التشريحات المعقدة، مما يمكنه من إجراء الجراحة بدقة فائقة ويقلل من مخاطر المضاعفات، ويوفر للمرضى أفضل النتائج الممكنة.

الأسباب والأعراض لماذا تحتاج لدمج الكاحل والقدم

فهم الأسباب الكامنة وراء آلام الكاحل والقدم، والأعراض التي تشعر بها، هو الخطوة الأولى نحو اتخاذ قرار العلاج الصحيح. هذه العملية لا تُجرى إلا عندما تكون الحلول الأخرى قد فشلت، أو عندما يكون الضرر في المفاصل بالغاً لدرجة لا تسمح بالإصلاح.

الأسباب الشائعة لضرر مفصلي الكاحل والقدم

  1. الإصابات والرضوح الشديدة (Trauma):

    • تُعد الإصابات الشديدة مثل الكسور المعقدة في عظام الكاحل والقدم، أو الخلع الشديد، من الأسباب الرئيسية. قد تؤدي هذه الإصابات إلى تلف الغضروف المفصلي بشكل لا رجعة فيه، وتؤدي إلى التهاب المفاصل ما بعد الصدمة (Post-traumatic arthritis) مع مرور الوقت.
    • مثال: حادث سير أو سقوط من ارتفاع عالٍ قد يؤدي إلى كسر في عظمة الكاحل (Talus) أو عظم الكعب (Calcaneus) أو نهاية الساق، مما يؤثر على المفصلين.

  2. التهاب المفاصل المزمن (Chronic Arthritis):

    • التهاب المفاصل الروماتويدي وأمراض المناعة الذاتية الأخرى: يمكن أن تسبب هذه الأمراض تآكلاً مزمناً وتلفاً بالغاً في الغضاريف والعظام في مفصلي الكاحل والقدم معاً، مما يؤدي إلى تشوهات وألم شديد.
    • التهاب المفاصل التنكسي (Osteoarthritis): وهو التآكل الطبيعي للغضاريف الذي يحدث مع التقدم في العمر، أو نتيجة للإصابات السابقة التي تسرع من هذه العملية.
    • النقرس: النوبات المتكررة من النقرس يمكن أن تتسبب في تآكل وتلف دائم للمفاصل.
  3. فشل جراحات سابقة (Failed Previous Surgeries):

    • في بعض الحالات، قد يفشل استبدال الكاحل الكلي (Total Ankle Arthroplasty) بسبب التهاب، عدوى، أو تخلخل في المكونات المزروعة. إذا كان هناك تلف كبير وتليف في المفصل تحت الكاحل أيضاً، قد يكون الدمج هو الحل الوحيد.
  4. الحالات العصبية والعضلية (Neuromuscular Conditions):

    • بعض الأمراض التي تؤثر على الأعصاب والعضلات، مثل الشلل الدماغي أو إصابات الحبل الشوكي، يمكن أن تؤدي إلى تشوهات شديدة في القدم والكاحل، مما يسبب آلاماً ويؤثر على القدرة على المشي. يمكن للدمج أن يوفر الثبات اللازم.
  5. نخر العظم الكاحلي اللاوعائي (Avascular Necrosis of the Talus):

    • عندما تفقد عظمة الكاحل (Talus) إمدادها الدموي الكافي، تبدأ خلايا العظم بالموت، مما يؤدي إلى انهيار العظم وتلف المفصلين معاً. هذا يمكن أن يحدث بعد كسور معينة أو استخدام بعض الأدوية. في هذه الحالات، يصبح الدمج ضرورياً لإزالة العظم الميت وتوفير الاستقرار.

الأعراض التي تستدعي زيارة الطبيب

إذا كنت تعاني من أي من هذه الأعراض، وخاصة إذا كانت تزداد سوءاً بمرور الوقت، فمن الضروري استشارة الأستاذ الدكتور محمد هطيف لتقييم حالتك:

  • ألم مستمر وشديد: الألم هو العرض الأكثر شيوعاً، ويتركز عادةً في الجزء الأمامي من الكاحل (مفصل الكاحل الرئيسي) وفي منطقة الجيب الرصغي (Sinus Tarsi) التي تشير إلى المفصل تحت الكاحل. قد يكون الألم حاداً عند الحركة ويزداد سوءاً مع الوقوف أو المشي.
  • تحدد حركة المفصل (Limited Range of Motion): ستجد صعوبة في تحريك قدمك للأعلى وللأسفل أو للداخل والخارج. قد تفقد مرونة الكاحل والقدم بشكل ملحوظ.
  • الاحساس بالألم عند اللمس أو التلاعب: عند محاولة فحص الكاحل والقدم يدوياً (بالجس)، قد تشعر بألم حاد في مناطق محددة.
  • الورم والتورم (Swelling): قد يصاحب الألم تورم واضح في منطقة الكاحل والقدم، خاصة بعد النشاط.
  • تغير في شكل القدم أو المشي: قد تلاحظ أن قدمك بدأت تتخذ شكلاً غريباً، أو أن مشيتك أصبحت غير طبيعية (عرج)، وذلك نتيجة لمحاولة الجسم تعويض الألم وتجنب الحركة المؤلمة.
  • عدم القدرة على تحمل الوزن: يصبح الوقوف أو المشي لفترات طويلة أمراً صعباً ومؤلماً للغاية.

يتدهور التاريخ الطبيعي لهذه الحالات بزيادة الألم وفقدان الحركة في هذه المفاصل المتضررة. بدون تدخل جراحي في الحالات الشديدة، يكون التشخيص سيئاً وتستمر المعاناة. يقدم الأستاذ الدكتور محمد هطيف تقييماً دقيقاً وشاملاً لهذه الأعراض لتحديد أفضل مسار علاجي يناسب حالتك.

التشخيص والفحوصات كيف يتم تحديد الحاجة للعملية

عندما تزور الأستاذ الدكتور محمد هطيف لتقييم آلام الكاحل والقدم، سيبدأ بعملية تشخيص دقيقة وشاملة لتقييم حالتك وتحديد مدى الضرر في المفاصل. هذه العملية ضرورية للتأكد من أن عملية دمج المفصلين هي الخيار الأنسب لك.

التاريخ الطبي والفحص السريري

  • التاريخ الطبي: سيسألك الدكتور هطيف عن تاريخك الصحي بالكامل، بما في ذلك أي إصابات سابقة، أمراض مزمنة (مثل السكري أو التهاب المفاصل)، الأدوية التي تتناولها، وتاريخ بدء الأعراض وكيف تطورت. سيستفسر عن نوع الألم وموقعه وشدته، وما الذي يجعله أفضل أو أسوأ.
  • الفحص السريري: سيقوم الدكتور بفحص شامل لقدمك وكاحلك. سيبحث عن أي تورم، تشوهات، أو نقاط ألم باللمس. سيقوم بتحريك كاحلك وقدمك برفق لتقييم نطاق الحركة (كم مدى يمكنك تحريك المفصل) وتحديد أي ألم يحدث مع الحركة. سيلاحظ أيضاً طريقة مشيك وكيفية تحميل وزنك على القدم.

الفحوصات التصويرية والتشخيصية

تُعد الفحوصات التصويرية حجر الزاوية في تشخيص أمراض الكاحل والقدم، وتساعد الدكتور هطيف على رؤية العظام والمفاصل والأنسجة الرخوة بدقة:

  • الأشعة السينية (X-rays):

    • تُعد الأشعة السينية هي الخطوة الأولى والأساسية. يتم التقاط صور للكاحل والقدم في وضعيات مختلفة (أمامية خلفية، جانبية، مائلة)، وخصوصاً صور الأشعة السينية أثناء الوقوف وتحميل الوزن.
    • الغرض: تساعد في رؤية حالة العظام، مدى تآكل الغضاريف (يظهر ذلك كنقص في المسافة بين العظام)، وجود أي تشوهات أو نتوءات عظمية، أو علامات التهاب المفاصل.
    • صور القدم الكاملة مع تحمل الوزن: ضرورية لتقييم كيفية اصطفاف العظام تحت الضغط وللتأكد من أن المشكلة لا تقتصر على الكاحل بل تمتد للمفصل تحت الكاحل والقدم.
  • التصوير بالرنين المغناطيسي (MRI):

    • الغرض: يوفر صوراً مفصلة للغاية للأنسجة الرخوة مثل الأربطة، الأوتار، الغضاريف، والأوعية الدموية. يمكنه الكشف عن تلف الغضاريف الدقيق، الالتهابات، تمزقات الأربطة أو الأوتار، وتحديد مدى وجود نخر لاوعائي.
    • أهميته: يساعد في تقييم مدى الضرر الكلي للمفصلين والأنسجة المحيطة، وهو أمر حاسم قبل التخطيط للجراحة.
  • التصوير المقطعي المحوسب (CT Scan):

    • الغرض: يوفر صوراً ثلاثية الأبعاد للعظام، وهو ممتاز لتقييم الكسور المعقدة، الالتئام العظمي، والتشوهات العظمية بدقة أكبر من الأشعة السينية.
    • أهميته: ضروري لتخطيط الجراحة، حيث يساعد الجراح على فهم التركيب العظمي للمفاصل بدقة وتحديد زوايا الدمج المثلى.
  • فحوصات أخرى (مثل مسح العظام): في بعض الحالات، قد يتم إجراء مسح للعظام لتحديد مناطق الالتهاب أو العدوى أو النشاط الأيضي غير الطبيعي في العظام.

بعد جمع كل هذه المعلومات، يقوم الأستاذ الدكتور محمد هطيف بتحليلها بدقة لتحديد السبب الجذري لألمك ووضع خطة علاجية مخصصة لك. إن دقته في التشخيص هي الخطوة الأولى نحو نجاح العلاج وراحتك الدائمة.

خيارات العلاج من التحفظي إلى الجراحي

عندما يتعلق الأمر بآلام الكاحل والقدم المزمنة، هناك مجموعة من الخيارات العلاجية المتاحة، تتراوح بين الطرق التحفظية (غير الجراحية) والجراحة. سيقوم الأستاذ الدكتور محمد هطيف بتقييم حالتك بعناية وتقديم التوصية الأنسب لك، مع مراعاة شدة حالتك، تاريخك الطبي، وأهدافك الشخصية.

العلاج التحفظي (غير الجراحي)

يُعد العلاج التحفظي الخطوة الأولى عادةً، ويهدف إلى تخفيف الألم وتحسين الوظيفة دون الحاجة إلى تدخل جراحي. قد يكون فعالاً في الحالات الأقل شدة أو كخطوة أولية قبل التفكير في الجراحة.

  • الأدوية:

    • مسكنات الألم ومضادات الالتهاب غير الستيرويدية (NSAIDs): مثل الإيبوبروفين أو النابروكسين، تساعد في تقليل الألم والالتهاب.
    • الأدوية المخدرة: قد توصف لفترات قصيرة للألم الشديد، ولكن بحذر لتجنب الاعتماد عليها.
    • مكملات غضروفية: مثل الجلوكوزامين والكوندرويتين، قد تساعد بعض المرضى في دعم صحة الغضاريف.
  • العلاج الطبيعي وإعادة التأهيل:

    • التمارين العلاجية: تقوية العضلات المحيطة بالكاحل والقدم، تحسين نطاق الحركة، وزيادة التوازن.
    • العلاج بالحرارة والبرودة: لتخفيف الألم وتقليل التورم.
    • التحفيز الكهربائي: لتقليل الألم وتحسين الدورة الدموية.
    • العلاج اليدوي: تقنيات لزيادة حركة المفاصل وتقليل الشد العضلي.
  • الأجهزة الداعمة:

    • الدعامات والأحذية الخاصة (Orthotics and Braces): دعامات الكاحل أو الأحذية المصممة خصيصاً يمكن أن توفر الدعم، تحد من الحركة المؤلمة، وتصحح اختلالات القدم.
    • العصي أو المشايات: قد تكون ضرورية لتقليل الحمل على الكاحل والقدم المتضررة.
  • الحقن:

    • حقن الكورتيكوستيرويدات (Cortisone Injections): تُحقن مباشرة في المفصل لتقليل الالتهاب والألم بشكل مؤقت.
    • حقن البلازما الغنية بالصفائح الدموية (PRP) أو الخلايا الجذعية: في بعض الحالات، قد تُستخدم هذه الحقن بهدف تحفيز الشفاء وتقليل الالتهاب، على الرغم من أن فعاليتها لا تزال قيد البحث المكثف.

العلاج الجراحي دمج مفصل الكاحل والقدم (تثبيت الكاحل تحت الكاحلي)

إذا فشلت العلاجات التحفظية في تخفيف الألم، أو إذا كان الضرر في مفصلي الكاحل والقدم بالغاً ولا يمكن إصلاحه، فإن عملية "دمج مفصل الكاحل والقدم" تصبح الخيار الأمثل والنهائي. الهدف الرئيسي من هذه الجراحة هو إزالة مصدر الألم بشكل دائم من خلال دمج العظام المتضررة.

مفهوم عملية الدمج (Arthrodesis)

الدمج يعني "تثبيت" أو "تلاحم" عظمتين أو أكثر بشكل دائم لتشكيل عظم واحد صلب. في هذه العملية، يتم دمج عظمة الساق (Tibia) مع عظمة الكاحل (Talus) وعظمة العقب (Calcaneus). هذا يلغي الحركة في مفصلي الكاحل الرئيسي والمفصل تحت الكاحل، وبالتالي يزيل مصدر الألم. على الرغم من أن الحركة ستكون محدودة، إلا أن الألم سيزول، وستستعيد القدم ثباتها، مما يمكنك من المشي والوقوف بشكل أفضل.

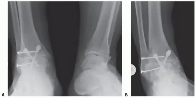
استخدام المسمار النخاعي (Intramedullary Nail)

  • ما هو المسمار النخاعي؟ هو قضيب معدني طويل وقوي يتم إدخاله في تجويف العظم (نخاع العظم) الذي يمتد عبر عظمة الساق (Tibia) نزولاً عبر عظم الكاحل (Talus) وصولاً إلى عظم العقب (Calcaneus).
  • لماذا يستخدم؟ يوفر هذا المسمار تثبيتاً داخلياً قوياً ومستقراً جداً للعظام المدمجة. يسمح للعظام بالالتئام معاً بمرور الوقت، مما يضمن دمجاً صلباً وناجحاً. يُعرف الأستاذ الدكتور محمد هطيف بخبرته في اختيار وتطبيق أفضل أنواع المسامير النخاعية وتقنيات الدمج لضمان أفضل النتائج لمرضاه.

أهداف الجراحة

  • تخفيف الألم: الهدف الأول والأهم هو القضاء على الألم المزمن والشديد في الكاحل والقدم.
  • استعادة الثبات: توفير قدم مستقرة تسمح للمريض بالوقوف والمشي بثقة.
  • تصحيح التشوهات: تصحيح أي تشوهات في القدم أو الكاحل ناتجة عن المرض أو الإصابة.
  • تحسين نوعية الحياة: تمكين المريض من العودة إلى الأنشطة اليومية الأساسية والعيش بحياة أكثر راحة وإنتاجية.

الاختيار بين العلاج التحفظي والجراحي هو قرار مشترك بينك وبين الأستاذ الدكتور محمد هطيف، بعد تقييم دقيق لكل الجوانب. سيعمل الدكتور هطيف معك خطوة بخطوة، موضحاً لك كل الخيارات ومساعدتك على اتخاذ القرار الأفضل لصحتك ومستقبلك.

مقارنة بين خيارات العلاج الرئيسية

الميزة / الخيار العلاج التحفظي (غير الجراحي) دمج مفصل الكاحل والقدم (الجراحي)
الهدف الرئيسي تخفيف الأعراض وتحسين الوظيفة دون تدخل جراحي. إزالة الألم بشكل دائم، استعادة الثبات الوظيفي للقدم.
مدى فعاليته فعال للحالات الخفيفة إلى المتوسطة، وقد لا يكون كافياً للحالات الشديدة أو المتقدمة. فعال جداً للحالات الشديدة والمتقدمة، ويعتبر حلاً نهائياً للألم.
القيود لا يعالج السبب الجذري للضرر المفصلي، قد يتطلب استخداماً مستمراً للأدوية أو الدعامات. يفقد المريض بعضاً من نطاق حركة الكاحل والقدم.
وقت التعافي قد يكون مستمراً، وقد لا يزيل الألم بالكامل. فترة تعافٍ أطول بعد الجراحة (عدة أشهر)، تتطلب التزاماً بالعلاج الطبيعي.
المخاطر مخاطر قليلة أو معدومة مقارنة بالجراحة (مثل الآثار الجانبية للأدوية). مخاطر جراحية عامة (عدوى، نزيف، مشاكل التخدير) ومخاطر خاصة بالعملية (عدم الالتئام، تلف الأعصاب).
العودة للأنشطة قد تكون محدودة طالما استمر الألم. عودة تدريجية للأنشطة بعد التعافي الكامل، مع تحسن كبير في جودة الحياة.
الحالات المناسبة التهاب مفاصل خفيف، آلام لا تؤثر بشدة على الحياة اليومية. التهاب مفاصل شديد، تشوهات، فشل جراحات سابقة، نخر لاوعائي، ألم مزمن وشديد لا يستجيب للخيارات الأخرى.

التحضير للجراحة خطواتك نحو الشفاء

بمجرد أن يقرر الأستاذ الدكتور محمد هطيف أن عملية دمج مفصل الكاحل والقدم هي الخيار الأفضل لك، ستبدأ مرحلة التحضير للجراحة. هذه المرحلة حاسمة لضمان سلامتك ونجاح العملية، وستشمل عدة خطوات مهمة.

الاستشارات والفحوصات قبل الجراحة

  • التقييم الطبي الشامل: سيتم إجراء تقييم صحي شامل للتأكد من أنك لائق طبياً للجراحة. قد يشمل ذلك فحوصات الدم، تخطيط القلب الكهربائي (ECG)، وأشعة سينية للصدر.
  • استشارة طبيب التخدير: ستلتقي بطبيب التخدير لمناقشة أنواع التخدير المتاحة (عادةً تخدير عام)، وأي مخاوف لديك بشأن التخدير.
  • مراجعة الأدوية: سيطلب منك إبلاغ الدكتور هطيف وطبيب التخدير عن جميع الأدوية التي تتناولها، بما في ذلك المكملات الغذائية والأعشاب. قد يطلب منك التوقف عن تناول بعض الأدوية (خاصة مميعات الدم) قبل الجراحة.
  • التوقف عن التدخين: إذا كنت مدخناً، فسيتم نصحك بشدة بالتوقف عن التدخين قبل عدة أسابيع من الجراحة. التدخين يؤثر سلباً على التئام العظام ويزيد من مخاطر المضاعفات.
  • التغذية الجيدة: الحفاظ على نظام غذائي صحي ومتوازن قبل الجراحة يساعد

آلام العظام والمفاصل المزمنة ليس قدراً محتوماً! التشخيص الدقيق والعلاج المتخصص يمكن أن يعيد لك كامل وظيفتك وحريتك في الحركة بدون ألم.

للحصول على استشارة دقيقة وخطة علاجية مخصصة لحالتك، تواصل فوراً مع مركز الأستاذ الدكتور محمد هطيف:

الأستاذ الدكتور محمد هطيف - أفضل دكتور عظام في صنعاء، وخبير في جراحات العظام والمفاصل المتقدمة.


Dr. Mohammed Hutaif
محتوى موثق طبياً
أ.د. محمد هطيف
استشاري جراحة العظام والعمود الفقري
محتويات المقال