تنظيف مفصل المرفق: دليل شامل لعلاج خشونة المرفق واستعادة الحركة مع الدكتور محمد هطيف

17 إبريل 2026 13 دقيقة قراءة 60 مشاهدة
صورة توضيحية لـ تنظيف مفصل المرفق: دليل شامل لعلاج خشونة المرفق واستعادة الحركة مع الدكتور محمد هطيف

الخلاصة الطبية

خشونة مفصل المرفق هي حالة مؤلمة تُصيب المفصل وتُعيق حركته، وغالبًا ما تنتج عن الاستخدام المتكرر. يتم علاجها عادةً بعملية تنظيف المفصل، التي تُعرف بتقنية أوتربريدج-كاشيواغي، لإزالة النتوءات العظمية وتحسين نطاق الحركة، مما يُعيد للمريض جودة حياته الطبيعية.

إجابة سريعة (الخلاصة): خشونة مفصل المرفق هي حالة مؤلمة تُصيب المفصل وتُعيق حركته، وغالبًا ما تنتج عن الاستخدام المتكرر. يتم علاجها عادةً بعملية تنظيف المفصل، التي تُعرف بتقنية أوتربريدج-كاشيواغي، لإزالة النتوءات العظمية وتحسين نطاق الحركة، مما يُعيد للمريض جودة حياته الطبيعية.

خشونة المرفق وعلاجها المتقدم بتنظيف المفصل

إن الشعور بالألم أو التيبس في مفصل المرفق يمكن أن يُغير مجرى الحياة اليومية تمامًا، ويُعيق أبسط المهام التي نعتبرها أمرًا مسلمًا به. سواء كنت عاملًا يدويًا، رياضيًا، أو مجرد شخص يستمتع بالقيام بنشاطاته اليومية، فإن القدرة على تحريك المرفق بحرية ودون ألم هي مفتاح جودة الحياة. في منطقة اليمن والخليج العربي، حيث تتطلب العديد من المهن والأنشطة البدنية استخدامًا مكثفًا للذراعين، تبرز مشكلة خشونة مفصل المرفق كأحد التحديات الصحية التي تستدعي اهتمامًا خاصًا.

تُعرف خشونة مفصل المرفق، أو التهاب المفاصل التنكسي الأولي للمرفق، بأنها حالة مزمنة تتطور تدريجيًا وتُصيب الغضاريف التي تُغطي أسطح العظام داخل المفصل. ورغم أنها أقل شيوعًا من خشونة مفاصل أخرى مثل الركبة والورك، إلا أنها قد تكون مُعطِلة للغاية وتُسبب ألمًا شديدًا وتيبسًا يُعيق الحركة بشكل كبير. غالبًا ما تُصيب هذه الحالة الرجال في منتصف العمر الذين يمارسون أعمالًا يدوية شاقة أو رياضات تتطلب حركات متكررة للذراع.

الهدف من هذا الدليل الشامل:

يهدف هذا الدليل إلى تزويدكم، مرضى اليمن والخليج، بكل المعلومات التي تحتاجونها لفهم خشونة مفصل المرفق، وأعراضها، وأسبابها، وخيارات العلاج المتاحة، مع التركيز بشكل خاص على عملية "تنظيف مفصل المرفق" المعروفة بتقنية أوتربريدج-كاشيواغي. سنُقدم لكم هذه المعلومات بلغة سهلة ومبسطة، بعيدًا عن المصطلحات الطبية المعقدة، لتمكينكم من اتخاذ قرارات مستنيرة بشأن صحتكم.

في رحلتكم نحو التعافي، يُعتبر اختيار الطبيب المناسب خطوة حاسمة. يُعد الأستاذ الدكتور محمد هطيف أحد أبرز وأمهر جراحي العظام في صنعاء، اليمن، ويتمتع بخبرة واسعة وسمعة ممتازة في علاج حالات خشونة المرفق المعقدة. بفضل معرفته العميقة بأحدث التقنيات الجراحية، بما في ذلك عملية تنظيف مفصل المرفق، يُقدم الدكتور هطيف رعاية شاملة ومُتخصصة تهدف إلى تخفيف الألم واستعادة وظيفة المرفق الطبيعية لمرضاه.

دعونا نبدأ هذه الرحلة المعرفية لاستكشاف كيفية استعادة حركتكم وتحسين جودة حياتكم.

فهم مفصل المرفق نظرة تشريحية مبسطة

قبل أن نتعمق في تفاصيل خشونة المرفق، من المهم أن نفهم بشكل مبسط كيف يعمل هذا المفصل المعقد. مفصل المرفق هو مفصل محوري يربط عظم العضد في الذراع العلوية بعظمي الساعد: الزند والكعبرة. هذه العظام الثلاثة تتفاعل مع بعضها البعض لتُمكننا من أداء مجموعة واسعة من الحركات الضرورية في حياتنا اليومية.

يتكون مفصل المرفق في الواقع من ثلاث مفاصل فرعية تعمل معًا بتناغم تام:

  1. المفصل الزندي العضدي (Ulnohumeral joint): هو المفصل الرئيسي المسؤول عن حركات الثني (ثني الذراع نحو الكتف) والبسط (فرد الذراع). يربط عظم الزند (أحد عظمتي الساعد) بعظم العضد (عظم الذراع العلوي). هذا المفصل هو الأكثر تأثرًا بخشونة المرفق ويُعد محور عملية تنظيف المرفق.
  2. المفصل الكعبري العضدي (Radiocapitellar joint): يربط عظم الكعبرة (العظم الآخر في الساعد) بعظم العضد. يُشارك هذا المفصل في حركات الثني والبسط، وكذلك في حركات الدوران التي تسمح لنا بقلب راحة اليد لأعلى أو لأسفل.
  3. المفصل الزندي الكعبري القريب (Proximal radioulnar joint): يربط عظم الزند بعظم الكعبرة في الجزء العلوي من الساعد. وهو مسؤول بشكل أساسي عن حركات تدوير الساعد (بسط راحة اليد وتقليبها).

وظائف مفصل المرفق:

يُؤدي مفصل المرفق وظيفتين أساسيتين وحيويتين:

  • وضع اليد في الفراغ: يُمكننا من توجيه أيدينا بدقة لأداء مهام مختلفة، سواء كانت الكتابة، الأكل، أو رفع الأشياء.
  • تثبيت الطرف العلوي: يُوفر الدعم والقوة اللازمة للأنشطة البدنية التي تتطلب قوة في الذراع، مثل حمل الأوزان أو دفع الأشياء.

ماذا يحدث في حالة الخشونة؟

في مفصل المرفق السليم، تُغطى أسطح العظام بغضروف ناعم يُساعد على حركة سلسة وخالية من الاحتكاك. عندما تُصيب الخشونة هذا المفصل، يبدأ هذا الغضروف بالتآكل تدريجيًا. مع تآكل الغضروف، تحتك العظام ببعضها البعض، مما يُسبب ألمًا وتلفًا إضافيًا. استجابةً لهذا التلف، قد يبدأ الجسم في تكوين نتوءات عظمية صغيرة تُعرف باسم "الزوائد العظمية" أو "المناقير العظمية" (osteophytes) حول حواف المفصل. تُعيق هذه الزوائد العظمية الحركة الطبيعية للمفصل وتُفاقم الأعراض.

فهم هذه الأساسيات يُساعدنا على تقدير مدى أهمية الحفاظ على صحة مفصل المرفق، وكيف يمكن للتدخلات العلاجية أن تُعيد له وظيفته الحيوية.

الأسباب والأعراض لخشونة مفصل المرفق

خشونة مفصل المرفق، رغم أنها أقل شيوعًا من خشونة مفاصل أخرى، إلا أنها غالبًا ما تكون مؤلمة ومُعيقة. فهم الأسباب الكامنة وراء هذه الحالة والأعراض التي تُسببها هو الخطوة الأولى نحو التشخيص الصحيح والعلاج الفعال.

الأسباب الرئيسية لخشونة المرفق

تُعتبر خشونة مفصل المرفق الأولية، أي التي لا ترتبط بإصابة سابقة واضحة، نادرة نسبيًا. ومع ذلك، هناك عدة عوامل تزيد من خطر الإصابة بها:

  1. الاستخدام المتكرر والإجهاد المفرط: هذا هو السبب الأكثر شيوعًا. الأشخاص الذين يُجهدون مفصل المرفق بحركات متكررة وقوية على مدى سنوات عديدة هم الأكثر عرضة للإصابة. يشمل هؤلاء:
    • العمال اليدويون: مثل عمال البناء، النجارين، الميكانيكيين، أو أي مهنة تتطلب رفعًا وحملًا وتدويرًا متكررًا للذراع.
    • الرياضيون: خاصةً من يمارسون رياضات تتطلب حركات رمي قوية (مثل لاعبي البيسبول والكريكيت)، أو حركات متكررة للذراع (مثل لاعبي التنس أو رافعي الأثقال).
    • الأشخاص الذين يمارسون أنشطة تتطلب قوة في الذراع: حتى لو لم تكن وظيفتهم، مثل هوايات معينة أو أعمال منزلية شاقة.
  2. التقدم في العمر: مع التقدم في السن، تتآكل الغضاريف بشكل طبيعي، مما يزيد من خطر الإصابة بالخشونة في جميع المفاصل، بما في ذلك المرفق.
  3. الإصابات السابقة في المرفق (خشونة ثانوية): أي إصابة سابقة لمفصل المرفق، مثل الكسور أو الخلع أو التواء الأربطة الشديد، يمكن أن تُغير ميكانيكا المفصل وتُسرع من عملية تآكل الغضروف، حتى بعد سنوات من الشفاء الأولي للإصابة.
  4. الأمراض الالتهابية: بعض أنواع التهاب المفاصل مثل التهاب المفاصل الروماتويدي أو النقرس يمكن أن تُسبب تلفًا للغضاريف والمفصل بشكل عام، مما يؤدي إلى خشونة المرفق.
  5. الوراثة: قد يكون هناك عامل وراثي يُساهم في قابلية بعض الأشخاص للإصابة بالخشونة.
  6. السمنة: على الرغم من أنها تؤثر بشكل أكبر على المفاصل الحاملة للوزن مثل الركبة والورك، إلا أن السمنة قد تُزيد من الالتهاب الجهازي في الجسم مما قد يؤثر على جميع المفاصل.

الأعراض الشائعة لخشونة المرفق

تتطور أعراض خشونة المرفق تدريجيًا، وقد تبدأ خفيفة ثم تتفاقم مع مرور الوقت. من المهم الانتباه لهذه الأعراض والبحث عن استشارة طبية مبكرة.

  1. الألم: هو العرض الأكثر شيوعًا.
    • في المراحل المبكرة: قد يكون الألم خفيفًا ويظهر فقط عند محاولة فرد أو ثني المرفق إلى أقصى مداه، أو عند حمل الأشياء مع فرد الذراع. قد يشعر المريض بألم حاد ومُحدد عند أداء حركات معينة.
    • في المراحل المتقدمة: يُصبح الألم أكثر شدة وانتشارًا، وقد يُصبح موجودًا طوال الوقت، حتى في وضع الراحة أو أثناء النوم. يزداد الألم مع أي حركة للمفصل أو عند تطبيق الضغط عليه.
  2. التيبس ومحدودية الحركة:
    • صعوبة في فرد أو ثني المرفق بالكامل: قد يجد المرضى صعوبة في تمديد الذراع تمامًا (مثلاً، عند محاولة الوصول لشيء بعيد) أو ثنيها بالكامل (مثلاً، عند تمشيط الشعر أو الأكل).
    • تصلب صباحي: يشعر المفصل بالتيبس بعد فترة من عدم النشاط، خاصة في الصباح أو بعد الجلوس لفترة طويلة. يتحسن هذا التيبس عادةً بعد بعض الحركة.
  3. صوت طقطقة أو احتكاك (Crepitus): قد يسمع المريض أو يشعر بصوت طقطقة، خشخشة، أو احتكاك داخل المفصل عند تحريكه. هذا يحدث عندما تحتك أسطح العظام الخشنة ببعضها البعض نتيجة لتآكل الغضروف أو وجود الزوائد العظمية.
  4. الإحساس "بالغلق" (Locking): في بعض الحالات، قد يشعر المريض بأن المرفق "يُغلق" أو "يتعثر" في وضع معين، مما يمنعه من تحريكه لعدة ثوانٍ أو دقائق. يحدث هذا غالبًا بسبب وجود قطعة صغيرة من الغضروف المتآكل أو العظم (جسم حر) داخل المفصل، تُعيق الحركة مؤقتًا.
  5. الضعف وعدم القدرة على حمل الأشياء: قد يُصبح الألم ومحدودية الحركة شديدين لدرجة تُعيق قدرة المريض على حمل الأشياء الثقيلة أو حتى الخفيفة، مما يُؤثر بشكل كبير على الأنشطة اليومية.
  6. تورم: قد يُلاحظ بعض التورم حول المفصل، خاصة بعد النشاط البدني.
  7. التهاب الأعصاب (أحيانًا): في حالات نادرة، قد تُضغط الزوائد العظمية على الأعصاب القريبة من المرفق، مثل العصب الزندي، مما يُسبب خدرًا أو تنميلًا أو ضعفًا في اليد أو الأصابع.

التشخيص:

يتم تشخيص خشونة المرفق عادةً من خلال:
* الفحص السريري: حيث يُقيم الطبيب نطاق حركة المرفق، ويتحقق من الألم والتيبس، ويُجري اختبارات خاصة.
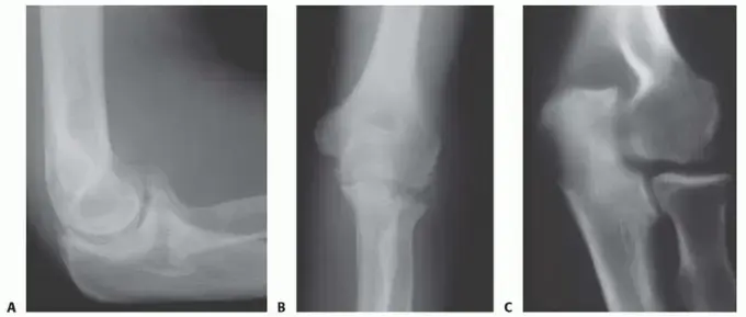
* الأشعة السينية (X-rays): تُظهر الأشعة السينية عادةً تكوّن نتوءات عظمية على عظمتي الزند والعضد، خاصةً على الناتئ الإكليلي (Coronoid) ولقمة الزند (Olecranon). في المراحل المبكرة، قد يكون الفراغ المفصلي بين العظام محفوظًا نسبيًا، لكن في المراحل المتقدمة، يظهر ضيق ملحوظ في الفراغ المفصلي.
* أحيانًا التصوير بالرنين المغناطيسي (MRI) أو الأشعة المقطعية (CT): قد تُطلب هذه الفحوصات لتقييم الأنسجة الرخوة بشكل أفضل أو لتحديد مدى تلف الغضروف والعظام بدقة أكبر.

فهم هذه الأعراض والأسباب يُمكنكم من التعرف على المشكلة مبكرًا والبحث عن الرعاية الطبية المتخصصة، مثل تلك التي يُقدمها الأستاذ الدكتور محمد هطيف، مما يُساهم في تحقيق أفضل النتائج العلاجية.

خيارات العلاج التحفظي والجراحي

يهدف علاج خشونة مفصل المرفق إلى تخفيف الألم، وتحسين نطاق الحركة، واستعادة وظيفة المرفق قدر الإمكان. تبدأ خيارات العلاج دائمًا بالأساليب غير الجراحية، وإذا لم تُفلح، يتم اللجوء إلى التدخلات الجراحية.

العلاج غير الجراحي التحفظي

يُعد العلاج غير الجراحي هو الخط الأول لمعظم مرضى خشونة المرفق، خاصة في المراحل المبكرة. يتضمن هذا النهج مجموعة من الاستراتيجيات التي تُساعد على إدارة الأعراض دون الحاجة إلى الجراحة:

  • الراحة وتعديل الأنشطة: تقليل أو تجنب الأنشطة التي تُفاقم الألم هي خطوة أساسية. قد يعني ذلك تغيير طريقة أداء المهام، أو استخدام أدوات مُساعدة، أو أخذ فترات راحة منتظمة.
  • الأدوية المسكنة والمضادة للالتهاب:
    • مسكنات الألم التي تُصرف بدون وصفة طبية (OTC): مثل الباراسيتامول (Paracetamol) أو مضادات الالتهاب غير الستيرويدية (NSAIDs) مثل الإيبوبروفين (Ibuprofen) أو النابروكسين (Naproxen)، تُساعد في تخفيف الألم والالتهاب.
    • الأدوية التي تُصرف بوصفة طبية: قد يصف الطبيب جرعات أقوى من مضادات الالتهاب غير الستيرويدية، أو أدوية أخرى لتخفيف الألم.
  • العلاج الطبيعي (Physiotherapy): يُعد العلاج الطبيعي جزءًا حيويًا من العلاج غير الجراحي. يُصمم برنامج العلاج الطبيعي خصيصًا لكل مريض ويشمل:
    • تمارين تقوية العضلات: لتقوية العضلات المحيطة بالمرفق والذراع، مما يُوفر دعمًا أفضل للمفصل.
    • تمارين تحسين نطاق الحركة: للمساعدة في استعادة المرونة وتقليل التيبس.
    • الكمادات الساخنة والباردة: لتخفيف الألم والالتهاب.
    • العلاج بالوسائل الفيزيائية: مثل الموجات فوق الصوتية أو التحفيز الكهربائي لتقليل الألم.
  • حقن الكورتيكوستيرويدات: تُحقن الكورتيزون مباشرة في المفصل لتقليل الالتهاب والألم بشكل مؤقت. يُمكن أن تُوفر راحة لعدة أسابيع أو أشهر، لكنها ليست حلاً دائمًا ولا ينصح بتكرارها بشكل مفرط.
  • حقن البلازما الغنية بالصفائح الدموية (PRP): تُستخدم هذه الحقن أحيانًا، بهدف تحفيز الشفاء الطبيعي للأنسجة، على الرغم من أن فعاليتها في خشونة المرفق لا تزال قيد البحث المكثف.
  • تقييم نمط الحياة والتعديلات الغذائية: قد يُساعد الحفاظ على وزن صحي وتضمين الأطعمة المضادة للالتهاب في النظام الغذائي في التخفيف من الأعراض.


الجدول 1: مقارنة بين خيارات العلاج غير الجراحي والتدخلات الجراحية الأولية لخشونة المرفق

الميزة / الخيار العلاج غير الجراحي (التحفظي) التدخل الجراحي (تنظيف المرفق / أوتربريدج-كاشيواغي)
الهدف الرئيسي تخفيف الأعراض وإدارة الألم، إبطاء التدهور إزالة المسببات الميكانيكية للألم، استعادة الحركة
الفئة المستهدفة المراحل المبكرة والمتوسطة، أو كخيار أول دائمًا المراحل المتقدمة، فشل العلاج التحفظي، قيود وظيفية كبيرة
التدخل أدوية، علاج طبيعي، تعديل أنشطة، حقن إزالة النتوءات، تنظيف الفراغ، إزالة الأجسام الحرة
التعافي تدريجي، مستمر، قد يتطلب تغييرات في نمط الحياة تعافي أولي أسرع للألم، ثم برنامج تأهيلي مكثف للحركة
المخاطر قليلة جدًا، آثار جانبية للأدوية مخاطر جراحية عامة (عدوى، نزيف، تخدير)، وتأهيل مطلوب
المزايا تجنب الجراحة، تكلفة أقل، لا توقف عن العمل بشكل حاد تحسن كبير ومستدام في الألم والحركة، تحسين جودة الحياة
العيوب قد لا يُوقف تطور المرض، لا يُعالج السبب الجذري تدخل جراحي، فترة تعافٍ وتأهيل، مخاطر محتملة


العلاج الجراحي متى يكون ضروريا

عندما تفشل العلاجات غير الجراحية في توفير راحة كافية، أو عندما تُصبح خشونة المرفق شديدة وتُعيق الأنشطة اليومية بشكل كبير، قد يُوصي الطبيب بالتدخل الجراحي. هناك عدة تقنيات جراحية لعلاج خشونة المرفق، وتعتمد الخيار الأمثل على شدة الحالة ومدى تلف المفصل.

التقنيات الجراحية الرئيسية المذكورة في المصدر:

  1. جراحة تنظيف المفصل (Débridement Arthroplasty): وهي إجراء يُركز على إزالة الأنسجة التالفة، النتوءات العظمية، والأجسام الحرة من المفصل لتحسين الحركة وتقليل الألم.
  2. جراحة الترقيع بين الأسطح (Interposition Arthroplasty): تُستخدم في بعض الحالات، حيث يتم وضع نسيج رخو (من جسم المريض أو اصطناعي) بين أسطح المفصل المتآكلة لمنع الاحتكاك.
  3. تنظيف المرفق بالمنظار (Arthroscopic Débridement): تُجرى هذه العملية باستخدام كاميرا صغيرة وأدوات جراحية رفيعة تُدخل عبر شقوق صغيرة، مما يُقلل من حجم الجرح ووقت التعافي.
  4. عملية أوتربريدج-كاشيواغي (Ulnohumeral (Outerbridge-Kashiwagi) Arthroplasty): هي الإجراء الذي نحن بصدده بشكل أساسي في هذا الدليل.
  5. تغيير مفصل المرفق الكلي (Total Elbow Replacement): وهو إجراء أكثر تعقيدًا يُلجأ إليه في حالات خشونة المرفق الشديدة جدًا التي تُسبب تدميرًا واسع النطاق للمفصل، حيث يتم استبدال أجزاء المفصل التالفة بمكونات صناعية.

تنظيف المرفق بتقنية أوتربريدج كاشيواغي

تُعد عملية تنظيف المرفق بتقنية أوتربريدج-كاشيواغي إجراءً فعالًا لعلاج خشونة مفصل المرفق الأولية، خاصة في المراحل التي تتميز بالألم في أقصى مدى الحركة، مع وجود نتوءات عظمية واضحة في الأشعة السينية، بينما لا يزال الفراغ المفصلي محفوظًا نسبيًا.

تاريخ العملية وأساسها:

وُصفت هذه العملية لأول مرة عام 1978 وحظيت بشعبية واسعة بعد بضع سنوات. تُركز على إزالة العوائق العظمية التي تُعيق حركة مفصل المرفق الزندي العضدي.

كيف تُجرى العملية (من منظور المريض):

  1. التخدير: تُجرى العملية عادة تحت التخدير العام، مما يعني أنك ستكون نائمًا تمامًا ولن تشعر بأي ألم أثناء الإجراء.
  2. الوصول إلى المفصل: يستخدم الجراح شقًا خلفيًا في المرفق (عادةً في الجزء الخلفي من الذراع). يُعد هذا النهج آمنًا ويُوفر وصولاً ممتازًا للمفصل.
  3. إزالة النتوءات العظمية: يتم إزالة أي نتوءات عظمية (زوائد عظمية) تكونت على عظم الزند، خاصةً تلك الموجودة في لقمة الزند (الجزء الخلفي من عظم الزند الذي يشكل نقطة المرفق البارزة).
  4. تنظيف حفرة لقمة الزند (Olecranon Fossa): هذه الحفرة هي المكان الذي يستقر فيه الجزء الخلفي من عظم الزند عندما تفرد ذراعك بالكامل. إذا كانت هناك نتوءات عظمية أو نسيج زائد فيها، يتم إزالته لتوسيع المساحة والسماح للمرفق بالفرد بشكل كامل.
  5. فتح الكبسولة الأمامية (إن لزم الأمر): في بعض الحالات، قد يتم إجراء "ثقب" أو "فتح" في العظام للوصول إلى الكبسولة الأمامية للمفصل، خاصة إذا كانت هناك نتوءات عظمية على الناتئ الإكليلي (Coronoid process) في مقدمة عظم الزند، والتي تُعيق ثني المرفق بالكامل. تُزال هذه النتوءات أيضًا.
  6. إزالة الأجسام الحرة: إذا كانت هناك أي أجزاء صغيرة من الغضروف أو العظم قد انفصلت وتطفو داخل المفصل، تُعرف بـ "الأجسام الحرة"، يتم إزالتها أيضًا لأنها قد تُسبب ظاهرة "الغلق" أو "التعثر" في المفصل.
  7. الإغلاق: بعد إنجاز جميع الخطوات، يتم غسل المفصل وإغلاق الشق الجراحي بدقة.

التقدم الحديث (تنظير المرفق):

مع التطورات الحديثة، أصبح بالإمكان إجراء العديد من خطوات عملية تنظيف المرفق (بما في ذلك تقنية أوتربريدج-كاشيواغي) باستخدام المنظار. وهذا يعني إجراء شقوق صغيرة جدًا، وإدخال كاميرا وأدوات جراحية رفيعة، مما يُقلل من الألم بعد الجراحة، ويُسرع من عملية التعافي، ويترك ندوبًا أصغر. يُحدد الطبيب ما إذا كانت حالتك مُناسبة للجراحة المفتوحة أو بالمنظار.

من هو المرشح الجيد لهذه العملية؟

أنت مرشح جيد لعملية تنظيف المرفق إذا كنت تُعاني من:
* ألم شديد وتيبس في المرفق لا يستجيب للعلاج غير الجراحي.
* محدودية واضحة في نطاق حركة المرفق (صعوبة في الفرد أو الثني الكامل).
* وجود نتوءات عظمية أو أجسام حرة ظاهرة في الأشعة.
* عدم وجود تدمير واسع النطاق للغضروف يُبرر تغيير مفصل كامل.

الأستاذ الدكتور محمد هطيف، بخبرته الواسعة والعميقة في جراحات المرفق، سيُجري تقييمًا شاملاً لحالتك ويُناقش معك الخيار العلاجي الأنسب لك، سواء كان ذلك علاجًا تحفظيًا أو تدخلًا جراحيًا باستخدام أحدث التقنيات لضمان أفضل النتائج.

التعافي وإعادة التأهيل والعلاج الطبيعي

العملية الجراحية هي مجرد بداية رحلة التعافي. الجزء الأهم والأكثر حيوية لاستعادة وظيفة المرفق الكاملة وتقليل الألم بشكل دائم هو الالتزام ببرنامج إعادة التأهيل والعلاج الطبيعي. يتطلب هذا الأمر صبرًا، التزامًا، وجهدًا، ولكنه يُحقق نتائج مُبهرة عند إجرائه بشكل صحيح.

الفترة المباشرة بعد الجراحة

  • إدارة الألم: ستُعطى مسكنات للألم للسيطرة على أي انزعاج بعد الجراحة. من المهم تناولها بانتظام حسب إرشادات الطبيب.
  • الضمادات والجبيرة/الدعامة: سيتم تغطية مكان الجرح بضمادات، وقد يُوضع المرفق في جبيرة خفيفة أو دعامة (splint/brace) لدعمه وحمايته في الأيام الأولى، مع السماح ببعض الحركة المبكرة.
  • الراحة ورفع الذراع: يُنصح برفع الذراع المصابة فوق مستوى القلب لتقليل التورم.
  • العناية بالجرح: سيُقدم لك تعليمات واضحة حول كيفية العناية بالجرح لمنع العدوى.

مراحل برنامج إعادة التأهيل والعلاج الطبيعي

يُصمم برنامج العلاج الطبيعي بواسطة معالج فيزيائي متخصص بالتعاون مع الأستاذ الدكتور محمد هطيف، ويُقسم عادة إلى عدة مراحل تدريجية:

استعادة نطاق الحركة المبكر

  • الهدف: تقليل التورم والألم، واستعادة نطاق حركة المرفق المبكر واللطيف.
  • الأنشطة:
    • تمارين تحريك المرفق السلبية والنشطة المساعدة: يُحرك المعالج الفيزي

ألم الكتف والمرفق وتقييد الحركة ليس قدراً محتوماً! التشخيص الدقيق والعلاج المتخصص يمكن أن يعيد لك كامل وظيفتك وحريتك في الحركة بدون ألم.

للحصول على استشارة دقيقة وخطة علاجية مخصصة لحالتك، تواصل فوراً مع مركز الأستاذ الدكتور محمد هطيف:

الأستاذ الدكتور محمد هطيف - أفضل دكتور عظام في صنعاء، وخبير في جراحات المناظير والطب الرياضي.. نلتزم بإعادتك لحياة خالية من الألم.

اقرأ الدليل الشامل: سعر مفصل الورك الصناعي في اليمن 2026: دليل التكلفة الشامل


Dr. Mohammed Hutaif
محتوى موثق طبياً
أ.د. محمد هطيف
استشاري جراحة العظام والعمود الفقري
محتويات المقال