الدليل الشامل لفهم وعلاج تشوه مادلونغ في الرسغ

الخلاصة الطبية
تشوه مادلونغ هو عيب خلقي في مفصل الرسغ ينتج عن اضطراب في نمو عظمة الكعبرة، مما يؤدي إلى انحراف اليد وبروز عظمة الزند. يعتمد العلاج على شدة الحالة، ويشمل التدخل الجراحي لتصحيح العظام وتحرير الأربطة لتخفيف الألم واستعادة وظيفة اليد الطبيعية.
الخلاصة الطبية السريعة: تشوه مادلونغ هو عيب خلقي في مفصل الرسغ ينتج عن اضطراب في نمو عظمة الكعبرة، مما يؤدي إلى انحراف اليد وبروز عظمة الزند. يعتمد العلاج على شدة الحالة، ويشمل التدخل الجراحي لتصحيح العظام وتحرير الأربطة لتخفيف الألم واستعادة وظيفة اليد الطبيعية.
مقدمة شاملة عن تشوه مادلونغ
يعد مفصل الرسغ من أكثر المفاصل تعقيدا في جسم الإنسان، حيث يعتمد على توازن دقيق بين العظام والأربطة لضمان حركة سلسة وقوية. في بعض الأحيان، قد يحدث خلل في نمو هذه العظام خلال مرحلة الطفولة والمراهقة، مما يؤدي إلى ظهور تشوهات هيكلية تؤثر على شكل ووظيفة اليد. من أبرز هذه الحالات ما يُعرف طبيا باسم تشوه مادلونغ.
تشوه مادلونغ هو اضطراب خلقي معقد يصيب مفصل الرسغ، ويتميز بحدوث خلل أولي في نمو الجزء السفلي من عظمة الكعبرة وتحديدا في الجهة الأمامية والداخلية منها. هذا التوقف المبكر والموضعي في نمو صفيحة النمو يؤدي إلى تشوه تدريجي متعدد الأبعاد في المفصل الذي يربط بين عظمة الكعبرة وعظام الرسغ، وكذلك المفصل الذي يربط بين الكعبرة والزند.
غالبا ما تظهر هذه الحالة في كلتا اليدين، وتكون نسبة الإصابة بها أعلى بكثير لدى الإناث مقارنة بالذكور. وعادة ما تبدأ الأعراض وتصبح واضحة سريريا خلال طفرة النمو في مرحلة المراهقة، مما قد يسبب قلقا كبيرا للمريض وأسرته سواء من الناحية الوظيفية أو التجميلية. يهدف هذا الدليل الشامل إلى تقديم رؤية طبية دقيقة ومبسطة لكل ما يتعلق بهذه الحالة، بدءا من الأسباب وصولا إلى أحدث الحلول الجراحية.
التشريح والميكانيكا الحيوية لمفصل الرسغ
لفهم كيفية حدوث تشوه مادلونغ، يجب أولا إلقاء نظرة مبسطة على تشريح مفصل الرسغ. يتكون الساعد من عظمتين رئيسيتين هما عظمة الكعبرة وعظمة الزند. ترتبط هاتان العظمتان بمجموعة من العظام الصغيرة في اليد تُعرف بعظام الرسغ.
السمة التشريحية الأبرز والمميزة لتشوه مادلونغ هي وجود بنية غير طبيعية تُسمى رباط فيكرز. هذا الرباط هو عبارة عن شريط ليفي سميك وغير طبيعي ينشأ من الجزء السفلي لعظمة الكعبرة ويمتد ليلتصق بإحدى عظام الرسغ وتسمى العظمة الهلالية. يعمل هذا الرباط كحبل مشدود يعيق النمو الطبيعي لعظمة الكعبرة.
تأثير التشوه على حركة العظام
يؤدي الشد المستمر الذي يسببه رباط فيكرز، إلى جانب توقف النمو غير المتكافئ في عظمة الكعبرة، إلى سلسلة من التغيرات الميكانيكية الحيوية المتوقعة في مفصل الرسغ
* تغير في عظمة الكعبرة حيث تنمو بشكل مائل وتتخذ انحناء مبالغا فيه نحو الأمام والداخل.
* تغير في عظام الرسغ حيث تنزلق العظمة الهلالية إلى الخلف داخل الفجوة التي تكونت بين عظمة الكعبرة المشوهة وعظمة الزند التي استمرت في النمو، مما يؤدي إلى انزلاق كامل الرسغ.
* تغير في عظمة الزند حيث تستمر في النمو بشكل طبيعي، وبما أن الكعبرة توقفت عن النمو، تصبح عظمة الزند أطول نسبيا، مما يؤدي إلى بروزها بشكل واضح من الجهة الخلفية للرسغ وعدم تطابق المفصل.
يعد البروز الظاهر لعظمة الزند في ظهر اليد هو الشكوى التجميلية الأولى التي تدفع المريض لاستشارة الطبيب، إلا أن المصدر الأساسي للألم غالبا ما يكون ناتجا عن الاحتكاك غير الطبيعي بين عظمة الزند وعظام الرسغ بسبب هذا الانزلاق.
الأسباب والعوامل الوراثية
لا يحدث تشوه مادلونغ من فراغ، بل يرتبط ارتباطا وثيقا بالعوامل الوراثية والجينات. أثبتت الدراسات الطبية أن هذا التشوه غالبا ما يكون ناتجا عن طفرات أو غياب في جين معين يُعرف باسم جين الطول القصير، والذي يلعب دورا حيويا في نمو العظام.
في العديد من الحالات، يكون تشوه مادلونغ جزءا من متلازمات وراثية أوسع، مثل متلازمة ليري ويل التي تتسم بقصر القامة وتشوهات العظام، أو متلازمة تيرنر التي تصيب الإناث وتؤثر على التطور الجسدي والنمو. لذلك، عند تشخيص هذه الحالة، قد يوصي الطبيب بإجراء تقييم وراثي شامل للتأكد من عدم وجود متلازمات مصاحبة تتطلب رعاية طبية خاصة.
الأعراض والعلامات السريرية
تتفاوت شدة الأعراض من مريض لآخر بناء على درجة التشوه ومرحلة النمو. عادة ما يبدأ المرضى بملاحظة التغيرات بين سن الثامنة والرابعة عشرة، وهي فترة النمو السريع. تشمل الأعراض الكلاسيكية التي تستدعي زيارة طبيب العظام ما يلي
* تغير ملحوظ في شكل اليد حيث يبرز الطرف السفلي لعظمة الزند بشكل واضح في ظهر الرسغ، مع انحراف كف اليد نحو الأسفل.
* ألم مزمن ومستمر يتركز عادة في الجهة الداخلية للرسغ جهة عظمة الزند، ويزداد هذا الألم بشكل ملحوظ عند حمل الأشياء الثقيلة أو عند محاولة الإمساك بقوة.
* محدودية شديدة في نطاق الحركة، خاصة عند محاولة تدوير الساعد لرفع كف اليد لأعلى، أو عند محاولة ثني الرسغ للخلف.
التشخيص والتقييم الطبي
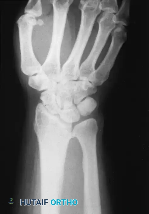
يبدأ التشخيص الدقيق بأخذ التاريخ الطبي المفصل وإجراء فحص سريري شامل لليدين والساعدين. يقوم الطبيب بتقييم نطاق الحركة، وتحديد مواقع الألم، وملاحظة التشوهات البصرية. ومع ذلك، يبقى التصوير الطبي هو الأساس لتأكيد التشخيص وتحديد خطة العلاج.
يعتبر التصوير بالأشعة السينية القياسية من الزوايا الأمامية والجانبية أمرا حتميا ولا غنى عنه. من خلال هذه الصور، يقوم الطبيب بقياس زوايا ميل العظام، وتحديد مدى انزلاق عظام الرسغ، ومقارنة طول عظمة الزند بعظمة الكعبرة.

في الحالات المتقدمة أو عند التخطيط للتدخل الجراحي، قد يطلب الطبيب إجراء تصوير بالرنين المغناطيسي. تساعد هذه التقنية المتقدمة في رؤية الأنسجة الرخوة بوضوح، مما يسمح باكتشاف رباط فيكرز غير الطبيعي، وتقييم حالة الغضاريف والأربطة المحيطة بمفصل الرسغ والتي قد تكون تمزقت أو تضررت بسبب التشوه المزمن.
دواعي التدخل الجراحي
من المهم أن ندرك أن التدخل الجراحي ليس ضروريا لكل مريض يتم تشخيصه بتشوه مادلونغ. الحالات الخفيفة التي لا تسبب ألما أو إعاقة حركية قد لا تتطلب سوى المتابعة الدورية. ومع ذلك، يُنصح بشدة باللجوء إلى الخيارات الجراحية في الحالات التالية
* استمرار ألم الرسغ الشديد الذي لا يستجيب للعلاجات التحفظية مثل الجبائر والأدوية المضادة للالتهابات.
* تدهور الوظيفة الحركية لليد، وخاصة الفقدان الشديد للقدرة على تدوير الساعد.
* تفاقم التشوه العظمي الملحوظ في الأشعة السينية لدى المرضى الذين لم يكتمل نموهم العظمي بعد.
* التأثير النفسي السلبي الشديد الناتج عن المظهر المشوه لليد، والذي قد يؤثر على ثقة المريض بنفسه وحياته الاجتماعية.
التدخل المبكر في الحالات التي يثبت فيها تطور التشوه لدى الأطفال والمراهقين يمكن أن يمنع الحاجة إلى عمليات جراحية معقدة لقطع وتعديل العظام في المستقبل، وذلك من خلال إزالة الرباط المسبب للشد والسماح للعظم بالنمو بشكل طبيعي قدر الإمكان.
الخيارات الجراحية المتاحة لعلاج تشوه مادلونغ
يعتمد اختيار التقنية الجراحية المناسبة على عدة عوامل، أهمها عمر المريض، مدى اكتمال النمو العظمي، وشدة التشوه. يهدف التدخل الجراحي بشكل أساسي إلى تخفيف الألم، استعادة وظيفة المفصل، وتحسين المظهر الخارجي لليد.
تحرير رباط فيكرز وقطع العظم القبي
في الحالات المبكرة جدا ولدى المرضى صغار السن الذين لا تزال صفائح النمو لديهم مفتوحة، قد يكتفي الجراح بإجراء عملية بسيطة نسبيا تتضمن استئصال رباط فيكرز غير الطبيعي. يهدف هذا الإجراء إلى إزالة قوى الشد التي تعيق نمو عظمة الكعبرة، مما يمنح العظمة فرصة لتصحيح مسار نموها ذاتيا.
أما إذا كان التشوه قد حدث بالفعل وبشكل ملحوظ، فإن استئصال الرباط وحده لا يكفي، ويتم دمجه مع إجراء يُعرف بقطع العظم القبي لعظمة الكعبرة. يتميز هذا الإجراء بقطع العظم على شكل قبة، مما يسمح للجراح بتعديل زوايا العظمة في عدة اتجاهات في وقت واحد دون الحاجة إلى استخدام طعوم عظمية خارجية. يضمن هذا الشكل القبي تلامسا ممتازا بين أسطح العظام، مما يسرع من عملية الالتئام ويحسن من تغطية عظام الرسغ.
قطع العظم المتوازن لتصحيح التشوه الشديد
بالنسبة للتشوهات الشديدة والمعقدة، تُستخدم تقنية جراحية متقدمة تُعرف بقطع العظم المتوازن. تعتمد هذه التقنية على إعادة هندسة عظمة الكعبرة بالكامل لضمان استعادة الطول والزوايا الطبيعية.
تبدأ العملية بالتخطيط الدقيق تحت توجيه الأشعة السينية المباشرة داخل غرفة العمليات، حيث يحدد الجراح أماكن القطع بدقة متناهية.

يقوم الجراح بعد ذلك بإزالة جزء عظمي على شكل وتد من الجهة الخارجية لعظمة الكعبرة. يتم الاحتفاظ بهذا الجزء العظمي بعناية لاستخدامه لاحقا كطعم عظمي طبيعي من جسم المريض نفسه.

الخطوة التالية تتضمن إجراء شق في الجهة الداخلية لعظمة الكعبرة، ثم يتم تدوير وتعديل الجزء السفلي من العظمة لاستعادة الزوايا الطبيعية. وللحفاظ على هذا التعديل وزيادة طول عظمة الكعبرة، يتم إدخال الطعم العظمي الذي تم استخراجه سابقا في هذه الفجوة الجديدة.

التعامل الجراحي مع عظمة الزند
لا يكتمل علاج تشوه مادلونغ دون معالجة المشكلة المرافقة في عظمة الزند، والتي تكون عادة أطول من الطبيعي وتسبب احتكاكا مؤلما. تختلف طرق التعامل مع عظمة الزند بناء على حالة المفصل وعمر المريض.
في بعض الحالات، يتم إجراء تقصير جراحي لعظمة الزند لتخفيف الضغط على مفصل الرسغ. وفي حالات أخرى، قد يتم استئصال جزء من الطرف السفلي لعظمة الزند لضمان حركة سلسة. يجب على الجراح أن يزيل أي نتوءات عظمية حادة قد تنتج عن تعديل العظام لتجنب تهيج الأنسجة المحيطة أو تمزق الأوتار مستقبلا.

بعد الانتهاء من جميع التعديلات العظمية، يتم تثبيت العظام في وضعها الجديد باستخدام شرائح ومسامير معدنية متطورة لدى البالغين والمراهقين الأكبر سنا، أو باستخدام أسلاك معدنية ناعمة لدى الأطفال لضمان عدم الإضرار بصفائح النمو المتبقية.
التعافي وبرنامج إعادة التأهيل
تعتبر فترة ما بعد الجراحة مرحلة حاسمة لضمان نجاح العملية واستعادة وظيفة اليد بشكل كامل. يتطلب التعافي التزاما تاما بتعليمات الطبيب والمتابعة المستمرة مع أخصائي العلاج الطبيعي. يمكن تقسيم مراحل التعافي إلى الجدول التالي
| مرحلة التعافي | الإطار الزمني | الإجراءات الطبية والتأهيلية |
|---|---|---|
| المرحلة الأولى | من صفر إلى أسبوعين | وضع اليد في جبيرة داعمة ومبطنة جيدا. التركيز على رفع اليد لتقليل التورم، والبدء فورا في تحريك الأصابع لمنع تيبسها. |
| المرحلة الثانية | من أسبوعين إلى ستة أسابيع | إزالة الغرز الجراحية. إذا كان التثبيت قويا بالشرائح، يمكن الانتقال لجبيرة متحركة والبدء بحركات خفيفة للرسغ. أما إذا استخدمت الأسلاك المعدنية، فيستمر وضع الجبس. |
| المرحلة الثالثة | من ستة إلى اثني عشر أسبوعا | إزالة الأسلاك المعدنية إن وجدت. بدء جلسات العلاج الطبيعي المكثفة للتركيز على تمارين الإطالة، استعادة حركة تدوير الساعد، وبناء القوة العضلية تدريجيا. |
| المرحلة الرابعة | بعد اثني عشر أسبوعا | السماح بالعودة التدريجية للأنشطة الشاقة والرياضات التي تتطلب مجهودا، بشرط التأكد من التئام العظام تماما عبر الأشعة السينية واستعادة قوة القبضة. |
المضاعفات المحتملة وكيفية تجنبها
على الرغم من أن العمليات الجراحية لتصحيح تشوه مادلونغ تحقق نسب نجاح عالية ومعدلات رضا كبيرة بين المرضى، إلا أنه كأي تدخل جراحي، هناك احتمالية لحدوث بعض المضاعفات التي يجب أن يكون المريض وعائلته على دراية بها
* عودة التشوه وهذا يحدث غالبا عند الأطفال الصغار إذا تم تحرير الرباط فقط دون قطع العظم، أو إذا لم يتم إزالة الأنسجة المعيقة للنمو بشكل كامل.
* تأخر التئام العظام خاصة في الأماكن التي تم فيها وضع الطعوم العظمية، مما قد يتطلب فترة أطول من التثبيت بالجبس.
* تهيج الأنسجة بسبب الشرائح المعدنية في بعض الأحيان، قد تسبب الشرائح والمسامير المستخدمة في التثبيت إزعاجا أو احتكاكا مع أوتار اليد، مما قد يستدعي إجراء عملية بسيطة لإزالتها بعد التئام العظام تماما.
* استمرار الألم في جهة الزند قد يحدث هذا إذا لم يتم معالجة طول عظمة الزند بشكل كاف خلال العملية الأولى، مما قد يتطلب عملية لاحقة لتقصير الزند.
يقوم الجراح المتمرس باتخاذ كافة الاحتياطات اللازمة لتجنب هذه المضاعفات، بما في ذلك التخطيط الدقيق، الحفاظ على الأعصاب والأوعية الدموية أثناء الجراحة، والمتابعة الحثيثة في فترة التعافي.
الأسئلة الشائعة
ما هو العمر المعتاد لظهور تشوه مادلونغ
يبدأ التشوه عادة في الظهور ويصبح ملحوظا للعين المجردة خلال فترة طفرة النمو في مرحلة المراهقة، وتحديدا بين سن الثامنة والرابعة عشرة، حيث يبدأ الطفل بالشكوى من ألم أو يلاحظ الأهل تغيرا في شكل الرسغ.
هل يمكن علاج تشوه مادلونغ بدون جراحة
في الحالات الخفيفة جدا التي لا يصاحبها ألم شديد أو إعاقة في حركة اليد، يمكن الاكتفاء بالعلاج التحفظي مثل استخدام الجبائر الداعمة وتناول مسكنات الألم عند الحاجة، مع ضرورة المتابعة الدورية لمراقبة أي تطور في الحالة.
هل تعود المشكلة بعد إجراء الجراحة
نسبة عودة التشوه بعد الجراحة منخفضة، خاصة إذا تم إجراء العملية بعد اكتمال النمو العظمي أو إذا تم تصحيح العظام بشكل جذري. ومع ذلك، في حالات الأطفال الصغار جدا، قد يحتاج الطبيب لمتابعة مستمرة لضمان عدم تكرار المشكلة أثناء النمو.
متى يمكن للمريض العودة لممارسة الرياضة
تختلف فترة العودة للرياضة من مريض لآخر، ولكن بشكل عام، يُسمح بالعودة للأنشطة الرياضية الخفيفة بعد حوالي ثلاثة أشهر من الجراحة، بينما تتطلب الرياضات العنيفة أو التي تعتمد على اليدين بشكل أساسي التأكد التام من التئام العظام وقوة العضلات.
هل يؤثر تشوه مادلونغ على كلتا اليدين
نعم، في الأغلبية العظمى من الحالات، يظهر تشوه مادلونغ في كلتا اليدين، على الرغم من أن درجة التشوه وشدة الأعراض قد تختلف من يد إلى أخرى لدى نفس المريض.
ما هي نسبة نجاح العملية الجراحية
تعتبر العمليات الجراحية لتصحيح تشوه مادلونغ ناجحة للغاية في تخفيف الألم واستعادة الوظيفة الحركية وتحسين المظهر التجميلي لليد، وتتجاوز نسب الرضا بين المرضى حاجز التسعين بالمائة عند إجرائها بواسطة جراح عظام متخصص.
هل يترك التدخل الجراحي ندبات واضحة
يتم إجراء الشق الجراحي عادة في الجهة الأمامية للرسغ بطريقة تتماشى مع خطوط الجلد الطبيعية لتقليل وضوح الندبة قدر الإمكان. مع مرور الوقت والعناية الجيدة بالجرح، تصبح الندبة باهتة وغير ملحوظة بشكل كبير.
ما هو دور العلاج الطبيعي بعد العملية
العلاج الطبيعي يعتبر جزءا لا يتجزأ من خطة العلاج. يساعد على منع تيبس المفاصل، استعادة المدى الحركي الكامل خاصة حركة الدوران، وتقوية عضلات الساعد واليد لضمان عودة المريض لحياته الطبيعية بكفاءة.
هل هناك علاقة بين تشوه مادلونغ وقصر القامة
نعم، هناك ارتباط وثيق في بعض الحالات. قد يكون تشوه مادلونغ جزءا من متلازمة وراثية مثل متلازمة ليري ويل، والتي تتميز بقصر القامة بالإضافة إلى تشوهات في عظام الساعد والساق.
كيف يمكن تخفيف الألم قبل اتخاذ قرار الجراحة
يمكن تخفيف الألم مؤقتا عن طريق تجنب الأنشطة التي تضع ضغطا كبيرا على الرسغ، استخدام جبائر داعمة خاصة أثناء الليل أو أوقات المجهود، وتناول الأدوية المضادة للالتهابات تحت إشراف الطبيب لتقليل التورم والألم.
آلام العظام والمفاصل المزمنة ليس قدراً محتوماً! التشخيص الدقيق والعلاج المتخصص يمكن أن يعيد لك كامل وظيفتك وحريتك في الحركة بدون ألم.
للحصول على استشارة طبية دقيقة وخطة علاجية مخصصة لحالتك، تواصل فوراً مع العيادة المتخصصة:
رعاية صحية موثوقة بمعايير عالمية.. خبرة طبية رائدة في جراحات العظام والمفاصل المتقدمة.
مواضيع أخرى قد تهمك