أمل جديد لحركة يدك: كل ما تحتاج معرفته عن تبديل مفصل الكوع لمرضى الروماتويد مع الدكتور محمد هطيف

17 إبريل 2026 12 دقيقة قراءة 53 مشاهدة
صورة توضيحية لـ أمل جديد لحركة يدك: كل ما تحتاج معرفته عن تبديل مفصل الكوع لمرضى الروماتويد مع الدكتور محمد هطيف

الخلاصة الطبية

التهاب المفاصل الروماتويدي في الكوع يسبب ألمًا شديدًا وتيبسًا وتشوهات، مما يعيق الحياة اليومية. عندما لا تجدي العلاجات التحفظية، يقدم تبديل مفصل الكوع الكلي حلاً فعالاً لاستعادة الحركة وتخفيف الألم. هذه الجراحة المتقدمة، التي يجريها خبراء مثل الأستاذ الدكتور محمد هطيف، تعيد الأمل في جودة حياة أفضل.

إجابة سريعة (الخلاصة): التهاب المفاصل الروماتويدي في الكوع يسبب ألمًا شديدًا وتيبسًا وتشوهات، مما يعيق الحياة اليومية. عندما لا تجدي العلاجات التحفظية، يقدم تبديل مفصل الكوع الكلي حلاً فعالاً لاستعادة الحركة وتخفيف الألم. هذه الجراحة المتقدمة، التي يجريها خبراء مثل الأستاذ الدكتور محمد هطيف، تعيد الأمل في جودة حياة أفضل.

مقدمة شاملة عندما يصبح ألم الكوع رفيقًا دائمًا

تخيل أن أبسط المهام اليومية، مثل رفع كوب ماء، أو احتضان أحد أطفالك، أو حتى تمشيط شعرك، أصبحت مؤلمة بشكل لا يطاق. هذا هو الواقع المرير الذي يعيشه الآلاف حول العالم، وفي اليمن والخليج العربي على وجه الخصوص، بسبب التهاب المفاصل الروماتويدي، وخاصة عندما يهاجم مفصل الكوع. إن ألم الكوع وتيبسه وتورمه لا يمثل مجرد إزعاج بسيط، بل هو عائق كبير يحرم الكثيرين من متعة الحياة ويحد من استقلاليتهم.

في هذه المقالة الشاملة، نهدف إلى أن نكون مرجعك الموثوق به لفهم كل ما يتعلق بالتهاب المفاصل الروماتويدي في مفصل الكوع وعلاج تبديل المفصل الكلي. سنأخذ بيدك خطوة بخطوة، بدءًا من فهم المرض وتشريح المفصل المتأثر، مرورًا بأسباب الأعراض والعلاجات المتاحة، وصولاً إلى رحلة التعافي بعد الجراحة. هدفنا هو تقديم معلومات دقيقة ومبسطة، مصاغة بلغة ودودة ومطمئنة، لتساعدك على اتخاذ قرارات مستنيرة بشأن صحتك ومستقبلك.

نعلم أن البحث عن العلاج الفعال يمكن أن يكون محيرًا ومرهقًا. لذلك، يسعدنا أن نسلط الضوء على دور الخبرات الطبية الرائدة في منطقتنا. فالأستاذ الدكتور محمد هطيف، أحد أبرز جراحي العظام في اليمن والمنطقة، يتمتع بسجل حافل من النجاحات في علاج حالات التهاب المفاصل الروماتويدي المعقدة، وتقديم الأمل للمرضى الذين عانوا طويلًا. بفضل خبرته العميقة ومهاراته الجراحية المتميزة، يقدم الدكتور هطيف حلولًا جراحية متقدمة، بما في ذلك جراحة تبديل مفصل الكوع الكلي، لمساعدة المرضى على استعادة وظيفة الكوع وتحسين جودة حياتهم بشكل ملحوظ.

التهاب المفاصل الروماتويدي نظرة عامة

التهاب المفاصل الروماتويدي (RA) هو حالة مزمنة، أي طويلة الأمد، وتصنف على أنها مرض مناعي ذاتي. هذا يعني أن الجهاز المناعي للجسم، الذي يفترض أن يحميه من الأمراض، يبدأ عن طريق الخطأ بمهاجمة الأنسجة السليمة الخاصة به، وبالتحديد بطانة المفاصل. هذا الهجوم يسبب التهابًا مؤلمًا في المفاصل، مما يؤدي إلى تورمها، تيبسها، وتشوهها مع مرور الوقت.

يصيب هذا المرض حوالي 1% إلى 2% من السكان، وهو أكثر شيوعًا بين النساء بمعدل ضعف إلى ثلاثة أضعاف مقارنة بالرجال. تزداد نسبة الإصابة مع التقدم في العمر، وتكون ذروتها عادة بين سن 35 و 50 عامًا. يمتاز التهاب المفاصل الروماتويدي بأنه غالبًا ما يصيب المفاصل الطرفية في نمط متماثل، أي أنه إذا أصاب كوعًا واحدًا، فمن المحتمل أن يصيب الكوع الآخر أيضًا.

تأثير المرض على مفصل الكوع

بينما قد يبدأ التهاب المفاصل الروماتويدي في مفاصل أصغر مثل مفاصل اليد والقدم، فإنه غالبًا ما ينتشر ليؤثر على المفاصل الكبيرة. يصاب مفصل الكوع في حوالي 20% إلى 70% من مرضى الروماتويد، وتتراوح شدة الإصابة من خفيفة إلى شديدة جدًا. ليس من المستغرب أن 90% من هؤلاء المرضى يعانون أيضًا من إصابة في اليد والمعصم، و80% منهم يعانون من إصابة في الكتف أيضًا. هذا يوضح الطبيعة الشاملة للمرض وكيف يمكن أن يؤثر على سلسلة كاملة من المفاصل المسؤولة عن حركة الذراع.

عندما يصاب مفصل الكوع بالروماتويد، تبدأ بطانة المفصل (الغشاء الزليلي) بالالتهاب والتورم. يؤدي هذا الالتهاب المزمن إلى تآكل الغضاريف التي تغطي أطراف العظام، وإتلاف الأربطة التي تثبت المفصل، ومع مرور الوقت، يمكن أن يتسبب في تدمير العظام نفسها. النتيجة النهائية هي ألم شديد، تيبس، محدودية في نطاق الحركة، وفي الحالات المتقدمة، تشوهات واضحة في المفصل، مما يجعل أبسط الحركات اليومية مهمة شبه مستحيلة.

أهمية العلاج والحلول المتاحة

التعامل مع التهاب المفاصل الروماتويدي في الكوع يتطلب نهجًا شاملاً يبدأ بالعلاج الدوائي والتحفظي، وقد يمتد إلى التدخل الجراحي في حال عدم استجابة المريض للعلاجات الأخرى أو تفاقم الحالة. جراحة تبديل مفصل الكوع الكلي (Total Elbow Arthroplasty) تعتبر من الحلول الجراحية المتقدمة التي توفر أملًا حقيقيًا للمرضى الذين يعانون من تضرر شديد في المفصل. هذه الجراحة يمكن أن تحدث فرقًا جذريًا في حياة المريض، حيث تساعد على تخفيف الألم بشكل كبير، واستعادة نطاق حركة أفضل، وتحسين القدرة على أداء الأنشطة اليومية.

في هذه المقالة، سنشرح تفاصيل هذه الجراحة، ومن هو المرشح المناسب لها، وما الذي يمكن توقعه قبل وأثناء وبعد العملية. سنؤكد على أهمية الاستشارة الطبية المتخصصة، ونقدم لك رؤى قيمة مستمدة من الخبرات الطبية الرائدة مثل تلك التي يقدمها الأستاذ الدكتور محمد هطيف، لضمان حصولك على أفضل رعاية ممكنة.

تشريح مبسط لمفصل الكوع كيف يعمل وماذا يصيبه

لكي نفهم تأثير التهاب المفاصل الروماتويدي على الكوع، من المهم أن يكون لدينا فكرة واضحة عن كيفية عمل هذا المفصل المعقد. مفصل الكوع ليس مجرد "مفصل"، بل هو تحفة هندسية طبيعية تسمح لنا بثني ومد ذراعنا، بالإضافة إلى تدوير اليد والمعصم.

مكونات مفصل الكوع

يتكون مفصل الكوع من التقاء ثلاث عظام رئيسية:

  1. عظم العضد (Humerus): وهو العظم الطويل في الجزء العلوي من الذراع.
  2. عظم الزند (Ulna): أحد العظمين في الساعد، وهو الذي يشكل الطرف البارز للكوع.
  3. عظم الكعبرة (Radius): العظم الآخر في الساعد، وهو يسمح بتدوير الساعد واليد.

تغطى أطراف هذه العظام في المفصل بمادة ناعمة ومطاطية تسمى الغضروف المفصلي. يعمل هذا الغضروف كوسادة ملساء، مما يسمح للعظام بالانزلاق فوق بعضها البعض بسلاسة ودون احتكاك، ويمتص الصدمات.

يحيط بالمفصل كيس يسمى المحفظة المفصلية، وبداخل هذه المحفظة يوجد الغشاء الزليلي الذي ينتج سائلًا زليليًا. هذا السائل يشبه الزيت، ويعمل على تليين وتغذية الغضاريف، مما يسهل حركة المفصل.

بالإضافة إلى العظام والغضاريف والسائل الزليلي، هناك شبكة معقدة من الأربطة والأوتار والعضلات التي تحيط بالمفصل. الأربطة هي أشرطة قوية من الأنسجة تربط العظام ببعضها البعض وتوفر الاستقرار للمفصل، بينما تربط الأوتار العضلات بالعظام وتسمح بالحركة.

وظيفة المفصل

يؤدي مفصل الكوع وظيفتين رئيسيتين:
* الثني والمد (Flexion and Extension): وهي الحركة التي تسمح لنا بتقريب الساعد من الذراع (الثني) أو تمديده بعيدًا (المد).
* الدوران (Pronation and Supination): وهي حركة تدوير الساعد، التي تسمح لنا بقلب اليد إلى الأسفل أو الأعلى.

هذه الحركات مجتمعة تمكننا من أداء مجموعة واسعة جدًا من الأنشطة، من تناول الطعام والكتابة إلى حمل الأشياء وممارسة الرياضة.

كيف يؤثر التهاب المفاصل الروماتويدي على هذه المكونات

عندما يهاجم التهاب المفاصل الروماتويدي مفصل الكوع، فإن الهدف الأساسي هو الغشاء الزليلي. بدلاً من إنتاج سائل زليلي صحي، يلتهب الغشاء ويتضخم، وينتج مواد كيميائية ضارة تسمى السيتوكينات. هذه المواد تبدأ في تدمير:

  1. الغضروف المفصلي: يفقد الغضروف نعومته ويبدأ بالتآكل، مما يؤدي إلى احتكاك العظام ببعضها البعض وألم شديد.
  2. العظام: مع تدمير الغضاريف، يبدأ الالتهاب في مهاجمة أطراف العظام نفسها، مسببًا تآكلًا وتلفًا يضعف بنية المفصل.
  3. الأربطة والأوتار: الالتهاب يمكن أن يضعف الأربطة ويجعلها تتمزق، ويؤثر على الأوتار، مما يؤدي إلى عدم استقرار المفصل وصعوبة في تحريكه.
  4. المحفظة المفصلية: يمكن أن تتضخم المحفظة وتصبح متصلبة، مما يحد من نطاق حركة المفصل.

هذا التدهور التدريجي يؤدي إلى الألم المزمن، التيبس، فقدان نطاق الحركة، وفي النهاية، قد يؤدي إلى تشوهات دائمة في مفصل الكوع، مما يجعل العلاج ضروريًا لاستعادة وظيفة الذراع وتحسين جودة الحياة.

الأسباب والأعراض فهم عميق لتأثير الروماتويد على الكوع

التهاب المفاصل الروماتويدي هو لغز طبي في جوانب كثيرة، فبينما نعرف الكثير عن كيفية تطوره وآثاره، إلا أن السبب الدقيق لحدوثه لا يزال غير مفهوم بالكامل. ومع ذلك، هناك عوامل رئيسية يعتقد أنها تساهم في ظهوره.

لماذا يصيبنا الروماتويد العوامل الوراثية المناعة الذاتية

  • السبب غير معروف: كما ذكرنا، لا يوجد سبب واحد مؤكد لالتهاب المفاصل الروماتويدي. لم يثبت وجود أي ميكروب معين كسبب رئيسي، على الرغم من أن بعض النظريات كانت تشير إلى أسباب معدية.
  • الاستعداد الوراثي: تشير الدراسات الجينية ودراسات التوائم بوضوح إلى أن هناك استعدادًا وراثيًا للإصابة بالمرض. هذا لا يعني أنك ستصاب بالروماتويد إذا كان أحد أفراد عائلتك مصابًا به، ولكن وجود تاريخ عائلي يزيد من خطر الإصابة.
  • الظواهر المناعية الذاتية: يُصنف التهاب المفاصل الروماتويدي كمرض مناعي ذاتي، حيث يهاجم الجهاز المناعي، الذي وظيفته الدفاع عن الجسم، أنسجته عن طريق الخطأ. في مرضى الروماتويد، هناك مستويات مرتفعة بشكل غير طبيعي من مواد كيميائية تسبب الالتهاب (مثل السيتوكينات والكيموكينات) التي تنتجها أنواع مختلفة من الخلايا المناعية، بما في ذلك الخلايا الليمفاوية والخلايا البلعمية والخلايا الليفية. هذه المواد تؤجج الالتهاب وتساهم في تدمير المفاصل.
  • عوامل بيئية: يعتقد أن هناك عوامل بيئية معينة قد تؤدي إلى تحفيز المرض لدى الأشخاص المستعدين وراثيًا، مثل التدخين أو بعض أنواع العدوى، ولكن لا يزال البحث جاريًا في هذا المجال.

الآلية المرضية المبسطة ما الذي يحدث داخل المفصل

بشكل مبسط، يمكن وصف تطور التهاب المفاصل الروماتويدي في المفصل كالتالي:
1. بداية الالتهاب: يخطئ الجهاز المناعي ويهاجم بطانة المفصل (الغشاء الزليلي).
2. نمو الغشاء الزليلي: يتضخم الغشاء الزليلي وينتج مواد التهابية مدمرة.
3. تآكل الغضاريف والعظام: تبدأ هذه المواد الكيميائية بتآكل الغضروف المفصلي، ثم تنتقل لتدمير العظام المحيطة، وتضعف الأربطة والأوتار.
4. الألم والتشوه: يؤدي هذا التلف التدريجي إلى الألم المزمن، التيبس، فقدان القدرة على الحركة، وفي النهاية، تشوه المفصل بشكل دائم.

الأعراض الشائعة في الكوع

عندما يتأثر مفصل الكوع بالتهاب المفاصل الروماتويدي، يمكن أن تظهر مجموعة من الأعراض التي تؤثر بشكل كبير على جودة حياة المريض:

  • الألم: غالبًا ما يكون الألم هو العرض الأول والأكثر إزعاجًا. يمكن أن يكون خفيفًا في البداية ويزداد سوءًا مع النشاط أو حتى في فترات الراحة.
  • التورم: بسبب الالتهاب وتراكم السائل في المفصل، يصبح الكوع متورمًا ودافئًا عند اللمس.
  • التيبس (الخشونة): يلاحظ المرضى تيبسًا في الكوع، خاصة في الصباح أو بعد فترات الخمول. قد يستغرق الأمر بعض الوقت "لتليين" المفصل قبل أن يتمكنوا من تحريكه بحرية أكبر.
  • محدودية الحركة: مع تقدم المرض، يصبح ثني ومد الكوع، وكذلك تدوير الساعد، أكثر صعوبة ومحدودية. هذا يؤثر على القدرة على أداء المهام اليومية البسيطة.
  • التشوهات: في المراحل المتقدمة، يمكن أن يؤدي تدمير العظام والغضاريف والأربطة إلى تشوهات مرئية في مفصل الكوع، مثل انحراف المفصل عن مساره الطبيعي.
  • ضعف العضلات: بسبب قلة الاستخدام والألم المزمن، يمكن أن تضعف العضلات المحيطة بالكوع، مما يزيد من صعوبة الحركة.
  • وجود عقيدات روماتويدية: قد تظهر كتل صلبة تحت الجلد حول الكوع أو في مناطق أخرى من الجسم، وهي غير مؤلمة عادة ولكنها علامة على نشاط المرض.

الفروقات بين روماتويد الكبار وروماتويد الأطفال JRA

من المهم الإشارة إلى أن التهاب المفاصل الروماتويدي يمكن أن يصيب الأطفال أيضًا، ويُعرف حينها باسم التهاب المفاصل الروماتويدي اليفعي (Juvenile Rheumatoid Arthritis - JRA). يتم تشخيص JRA عندما يكون هناك التهاب في مفصل واحد على الأقل يستمر لأكثر من 6 أسابيع لدى شخص يقل عمره عن 16 عامًا.

بالمقارنة مع التهاب المفاصل الروماتويدي الذي يصيب البالغين، غالبًا ما يكون JRA أكثر تعقيدًا ويؤدي إلى:

  • تدمير عظمي شديد: يميل JRA إلى التسبب في ضرر أكبر للعظام في سن مبكرة.
  • تشوهات مبكرة: يمكن أن تحدث تشوهات في المفاصل بسرعة أكبر.
  • انكماش الأنسجة الرخوة: قد يؤدي إلى قيود دائمة في حركة المفاصل بسبب تصلب الأربطة والعضلات والأوتار المحيطة.

فهم هذه الفروقات أمر حيوي لتوفير الرعاية المناسبة والدعم للأطفال المصابين، مع الأخذ في الاعتبار تأثير المرض على نموهم وتطورهم.

خيارات العلاج المتاحة من التحفظي إلى الجراحي

يهدف علاج التهاب المفاصل الروماتويدي في الكوع إلى تخفيف الألم، تقليل الالتهاب، إبطاء تقدم المرض، والحفاظ على وظيفة المفصل قدر الإمكان. يشمل العلاج عادة نهجًا متعدد الأوجه يبدأ بالخيارات التحفظية وقد يتقدم إلى الجراحة إذا لزم الأمر.

العلاج التحفظي غير الجراحي

يعتبر العلاج التحفظي الخط الأول في تدبير التهاب المفاصل الروماتويدي في الكوع، وقد يكون فعالًا في المراحل المبكرة من المرض أو للتحكم في الأعراض.

  1. الأدوية:

    • المسكنات ومضادات الالتهاب غير الستيرويدية (NSAIDs): مثل الإيبوبروفين والنابروكسين، تساعد في تخفيف الألم والالتهاب.
    • الكورتيكوستيرويدات (Steroids): يمكن تناولها عن طريق الفم أو حقنها مباشرة في المفصل لتخفيف الالتهاب الشديد والألم بسرعة. ومع ذلك، لا ينصح بالاستخدام طويل الأمد بسبب الآثار الجانبية.
    • الأدوية المضادة للروماتيزم المعدلة لسير المرض (DMARDs): هذه الأدوية هي حجر الزاوية في علاج الروماتويد. تعمل على إبطاء تقدم المرض وتقليل تلف المفاصل. من أمثلتها الميثوتريكسات، والسلفاسالازين، والهيدروكسي كلوروكوين. قد يستغرق الأمر عدة أسابيع أو أشهر لكي تبدأ هذه الأدوية في إظهار تأثيرها.
    • العلاجات البيولوجية (Biologics): هي فئة أحدث من الأدوية التي تستهدف جزيئات محددة في الجهاز المناعي تساهم في الالتهاب. تعطى عادة عن طريق الحقن أو الوريد وتكون فعالة جدًا في حالات الروماتويد المتوسطة إلى الشديدة التي لم تستجب لـ DMARDs التقليدية.
    • مثبطات JAK (Janus Kinase Inhibitors): فئة أخرى من الأدوية الفموية التي تستهدف مسارات التهابية محددة داخل الخلايا.
  2. العلاج الطبيعي والتأهيل:

    • تمارين الحركة: للحفاظ على نطاق حركة المفصل ومنع التيبس.
    • تمارين التقوية: لتقوية العضلات المحيطة بالكوع ودعم المفصل.
    • العلاج بالحرارة والبرودة: لتخفيف الألم والتورم.
    • الأجهزة المساعدة: مثل الجبائر أو الدعامات لتوفير الراحة والدعم للمفصل.
  3. حقن الكورتيزون الموضعية: يتم حقن الستيرويدات مباشرة في المفصل الملتهب لتخفيف الألم والالتهاب بشكل مؤقت. يمكن أن تكون فعالة، ولكن لا ينبغي استخدامها بشكل متكرر بسبب مخاطر إضعاف الأنسجة.

  4. تعديل نمط الحياة:

    • الراحة: تجنب الأنشطة التي تسبب الألم المفرط.
    • النظام الغذائي: اتباع نظام غذائي صحي مضاد للالتهابات.
    • إدارة الوزن: الحفاظ على وزن صحي لتقليل الضغط على المفاصل.

الجدول 1: مقارنة بين أنواع الأدوية الرئيسية لالتهاب المفاصل الروماتويدي

نوع الدواء آلية العمل الرئيسية أمثلة شائعة ملاحظات للمريض
مضادات الالتهاب غير الستيرويدية (NSAIDs) تخفيف الألم والالتهاب بشكل سريع. إيبوبروفين، نابروكسين لا تعالج سبب المرض، تستخدم لتخفيف الأعراض. قد تسبب مشاكل في المعدة أو الكلى.
الكورتيكوستيرويدات تقليل الالتهاب بسرعة وفعالية. بريدنيزون، ميثيل بريدنيزولون تستخدم على المدى القصير للسيطرة على الهجمات الحادة. الاستخدام طويل الأمد له آثار جانبية.
DMARDs التقليدية إبطاء تقدم المرض وتقليل تلف المفاصل. ميثوتريكسات، سلفاسالازين تحتاج أسابيع/أشهر لتبدأ بالعمل. تتطلب مراقبة دورية للآثار الجانبية.
العلاجات البيولوجية استهداف جزيئات محددة في الجهاز المناعي مسببة للالتهاب. أداليموماب (هيوميرا)، إنفليكسيماب (ريميكيد) فعالة جدًا للحالات الشديدة، لكنها أغلى وتتطلب حقنًا. تزيد خطر العدوى.
مثبطات JAK تستهدف مسارات إشارة داخل الخلايا لتقليل الالتهاب. توفاسيتينيب (زيلجانز)، باريسيتينيب (أولومينت) أقراص فموية فعالة، لكن لها مخاطر معينة مثل زيادة خطر الجلطات والعدوى.

العلاج الجراحي تبديل مفصل الكوع الكلي Total Elbow Arthroplasty

عندما تفشل جميع العلاجات التحفظية في السيطرة على الألم وتحسين وظيفة المفصل، أو عندما يكون التلف شديدًا لدرجة أنه يؤثر بشكل كبير على جودة حياة المريض، يصبح التدخل الجراحي ضروريًا. جراحة تبديل مفصل الكوع الكلي هي حل فعال يمكن أن يعيد الأمل للمرضى.

متى يصبح تبديل المفصل هو الحل الأمثل معايير المريض

يتم النظر في جراحة تبديل مفصل الكوع الكلي عادة في الحالات التالية:
* الألم الشديد والمستمر: الذي لا يستجيب للعلاجات الدوائية والتحفظية، ويؤثر بشكل كبير على النوم والأنشطة اليومية.
* فقدان كبير في وظيفة الكوع: عدم القدرة على ثني أو مد الكوع، أو تدوير الساعد بشكل كافٍ لأداء المهام الأساسية.
* تشوهات كبيرة في المفصل: التي تؤثر على استقرار المفصل وحركته.
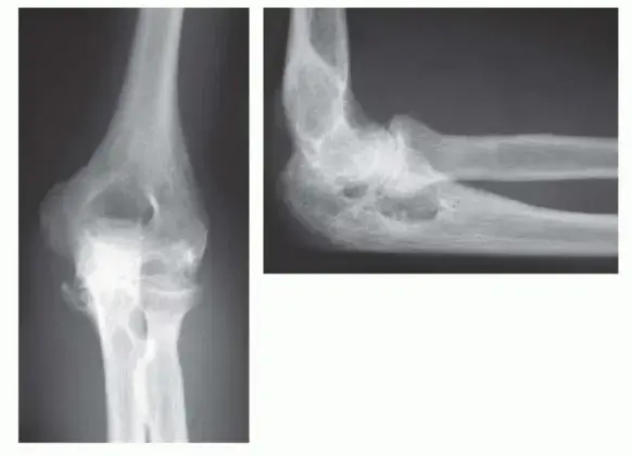
* تلف شديد في المفصل: يظهر في صور الأشعة السينية، حيث يكون الغضروف قد تآكل بشكل كبير والعظام قد تضررت.
* عدم الاستقرار المفصلي: عندما يكون المفصل متفككًا أو غير مستقر.

الأستاذ الدكتور محمد هطيف، بخبرته الواسعة في جراحة العظام، يقيّم كل حالة بعناية فائقة، مع الأخذ في الاعتبار عمر المريض، صحته العامة، مستوى نشاطه، وتوقعاته من الجراحة، لضمان أن يكون


ألم الكتف والمرفق وتقييد الحركة ليس قدراً محتوماً! التشخيص الدقيق والعلاج المتخصص يمكن أن يعيد لك كامل وظيفتك وحريتك في الحركة بدون ألم.

للحصول على استشارة دقيقة وخطة علاجية مخصصة لحالتك، تواصل فوراً مع مركز الأستاذ الدكتور محمد هطيف:

الأستاذ الدكتور محمد هطيف - أفضل دكتور عظام في صنعاء، وخبير في جراحات المناظير والطب الرياضي.. نلتزم بإعادتك لحياة خالية من الألم.


Dr. Mohammed Hutaif
محتوى موثق طبياً
أ.د. محمد هطيف
استشاري جراحة العظام والعمود الفقري
محتويات المقال