Skip to main content

ORTHOPEDIC MCQS ONLINE OB SPINE

142 views
360 min read

SPINE

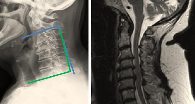
  1. A 79-year old man falls sustaining a hyperextension injury to his neck. A lateral radiograph, CT scan and MRI are seen in Figures A through C. On motor examination, he has 3/5 strength in his deltoids, elbow and wrist flexors and extensors. He has 4/5 strength in his hip flexors, knee flexors, extensors, ankle dorsiflexors and plantarflexors. Sensation is preserved in both his upper and lower extremities as well as his sacral segments. Injury to which of the following tracts contributes greatest to his motor function deficits?

    FIGURES: A

    B
    C

     

     

     

     

     

     

    1. Fasciculus gracilis

       

       

    2. Fasciculus cuneatus

       

       

    3. Anterior corticospinal

       

       

    4. Lateral corticospinal

       

       

    5. Lateral spinothalamic

     

    PREFERRED RESPONSE ▼ 4

    DISCUSSION: The clinical scenario describes a patient with central cord syndrome, resulting in an injury to his lateral corticospinal tract. Figures A through C show a spondylytic spine with central narrowing and CSF effacement that is worse at the C4-5 level. The lateral corticospinal tract is the main descending motor tract (Illustration A). Its anatomic position places the upper extermity motor tracts at greater risk than the lower extremity tracts. As such, injury to the lateral corticospinal tract is characterized by upper greater than lower extremity involvement and motor deficits being more pronounced than sensory deficits.

     

    Nowak et al reviewed the features of central cord syndrome. Historically, non-surgical treatment has been the mainstay of treatment. Surgical treatment is controversial but a definite indication for surgery is progressive neurological deficit. Long-term studies are needed comparing the two methods of treatment.

     

    Incorrect answers:

    Answer 1: Posterior column tract which carries information from the middle thoracic and lower limbs

    of the body.

    Answer 2: Posterior column tract which carries information from the arms.

    Answer 3: Descending motor fibers which permit voluntary control but are smaller than the lateral tract.

     

     

    Answer 5: Ascending tract which transmits pain sensation to the thalamus. Illustrations: A

     

     

    ++++++++++++++++++++++++++++++++++++++++++++++++++++++++++++++++++++++++++++++++++

     

     

  2. Which artery labeled in Figure A provides the predominant blood supply to the spinal cord? FIGURES: A

     

     

     

     

    1. A

       

       

    2. B

       

       

    3. C

       

       

    4. D

       

       

    5. None of the above

     

    PREFERRED RESPONSE ▼ 1

    DISCUSSION: The anterior spinal artery (A) is the predominant blood supply to the spinal cord and supplies the anterior 2/3rds of the spinal cord. There is only one anterior spinal artery in comparison to the paired dorsal spinal arteries. The paired dorsal spinal arteries (B) supply the dorsal 1/3rd of the spinal cord, mainly to the dorsal columns.

     

    Morishita et al performed a cadaveric study to evaluate the mechanisms of spinal cord injury after thoracoabdominal aneurysm repair. They found that while the anterior spinal artery provides the predominant blood supply to the spinal cord, after repair of a thoracoabdominal aneurysm, the spinal cord becomes progressively dependent on the arteria radicularis vasculature at a rate depending on the degree of anterior spinal artery narrowing.

     

    In a historical manuscript, Dommisse defines the cranial/caudal thoracic arterial watershed zone of spinal cord vascularity and identifies the anterior spinal artery as the predominant blood supply to the spinal cord. The thoracic arterial watershead zone renders the spinal cord vulnerable to intraoperative ischemic damage.

    ++++++++++++++++++++++++++++++++++++++++++++++++++++++++++++++++++++++++++++++++++

  3. With regard to the anatomy of the subaxial cervical spine, all of the following are true EXCEPT?

     

     

     

    1. Rotation is greatest at more cephalad levels

       

       

    2. All subaxial cervical vertebrae have a foramen transversarium

       

       

    3. The orientation of the superior articular facets transitions from posteromedial to posterolateral as one travels caudad

       

       

    4. When viewed on axial imaging, the superior articular process is anterior to the inferior articular process

       

       

    5. The vertebral artery traverses the foramen transversarium at all levels

     

    PREFERRED RESPONSE ▼ 5

    DISCUSSION: The anatomy of the subaxial cervical spine is commonly tested. Although C1-C7 exhibit a foramen transversarium, the vertebral artery enters at C6 and exits at C1, leaving the foramen at C7 vacant (choice 5 is incorrect). At each facet joint, the superior articular process from the caudal vertebrae is located anterior to the inferior articular process of the cephalad vertebrae (Illustrations A and B). Range of motion is greatest at more cephalad levels, owing to the orientation of the facet joints.

     

    Pal et al., describe the orientation of the superior articular processes from C3 (posteromedial) through C7 (posterolateral). Illustration C demonstrates the orientation of the facets at each cervical level. The red arrow indicates facet orientation, the shaded region represents the superior articular process at each given level.

     

    Illustrations: A

    B
    C

     

     

     

     

    ++++++++++++++++++++++++++++++++++++++++++++++++++++++++++++++++++++++++++++++++++

  4. A 3-year old male falls from a table and is brought to the emergency room with neck pain, but no neurologic deficits. Cervical spine radiographs show a synchondrosis separating the odontoid process from the body of the axis. Which of the following best describes this radiographic finding?

     

     

     

    1. a normal physiologic finding

       

       

    2. radiographic findings represent a developmental abnormality due to delayed ossification

       

       

    3. radiographic findings represent a developmentall abnormality due to early ossification

       

       

    4. radiographic findings represent a type 1 traumatic odontoid fracture

       

       

    5. radiographic findings represent a type 3 traumatic odontoid fracture

     

    PREFERRED RESPONSE ▼ 1

    DISCUSSION: A synchondrosis separating the odontoid process from the body of the axis is a normal radiographic finding in a 3 year old. The evaluation of children with cervical spine disorders requires an understanding of the anatomic and developmental features that are particular to the pediatric spine. The cited reference by Copley et al is an excellent review of the embryology and injuries of the cervical spine in children. They state "the axis (C2) is derived from five primary ossification centers: the two neural arches or lateral masses, the two halves of the dens, and the body. The two halves of the odontoid are generally fused at birth but may persist as two centers known as the dens bicornis. The dens is separated from the body by a dentocentral, or basilar, synchondrosis which remains open in all children up to age 3 years, is present in half by age 4 to 5 years, and is absent in most by age 6 years. The tip of the dens is not ossified at birth but appears at age 3 years and fuses to the dens by age 12 years. Occasionally, it remains as a separate ossiculum terminale persistens and is of little clinical significance."

    ++++++++++++++++++++++++++++++++++++++++++++++++++++++++++++++++++++++++++++++++++

  5. In the adult spine, which of the following pedicles have the smallest average transverse diameter.

     

     

     

    1. T1

       

       

    2. T6

       

       

    3. T12

       

       

    4. L3

       

       

    5. L5

     

    PREFERRED RESPONSE ▼ 2

    DISCUSSION: Of the levels listed, T6 has the smallest pedicle diameter.

     

    Knowledge of pedicle diameter is important when placing pedicle screws. On average, thoracic pedicle diameter is maximal at T1 and T12, and gradually "dips" to its smallest diameter at the T4 to T6 region.

     

    Scoles et al. performed an anatomic study of 50 normal adult vertebral columns ranging in age from 20 to 40 years at the time of death. They found the average pedicle diameter was smallest at T6 and largest at L5.

     

    Ofiram et al. is an anatomic study of 100 patients comparing the pedicle isthmic width from T10 to L1 using magnetic resonance imaging. In this area they found the smallest pedicle isthmic width was at L1, while T12 had the largest pedicle width in the thoracolumbar junction.

    Illustration A shows the finding of pedicle diameter in the Scoles et al study, with the smallest diameter being at T6. Illustration B shows a composite average of multiple studies and depicts the average pedicle diameter from C1 to the sacrum. Notice the "dip" in thoracic diameter from T4 to T6. Notice and additional dip in the lumbar spine at L1, so the diameter of T12 is actually greater than that of L1.

     

    Incorrect Answers:

    Answer 1: T1 has the largest pedicle diameter in the upper cervicothoracic spine. It is an important fixation point in cervicothoracic fusions.

    Answer 3: On average T12 has the largest diameter in the thoracolumbar region,.

    Answer 4 & 5: Lumber pedicle diameter continues to increase in the caudal direction, making L5 the largest diameter in the lumbar spine.

     

    Illustrations: A

    B

     

     

     

     

    ++++++++++++++++++++++++++++++++++++++++++++++++++++++++++++++++++++++++++++++++++

  6. A patient with severe multi-level spinal stenosis is scheduled to undergo decompression and fusion from T12-L4. Both pedicle screw length and diameter are measured pre-operatively. Which of the following pedicles would be templated for the smallest diameter screw?

     

     

     

    1. T12

       

       

    2. L1

       

       

    3. L2

       

       

    4. L3

       

       

    5. L4

     

    PREFERRED RESPONSE ▼ 2

    DISCUSSION: Pedicle screws are often used for spine stabilization procedures in both elective and trauma situations. Understanding of pedicle anatomy is essential to safe and effective screw placement. Ebraheim et al in their studies investigated pedicle dimensions of thoracic and lumbar spine, including linear and angular measurements, as well as the average distance from the projection point of the lumbar pedicle axis to the midline of the transverse process. The smallest pedicle diameter was most consistently found at the L1 level. The information from their studies can be helpful during pre operative templating and operative placement of screws into lumbar and thoracic pedicles.

    ++++++++++++++++++++++++++++++++++++++++++++++++++++++++++++++++++++++++++++++++++

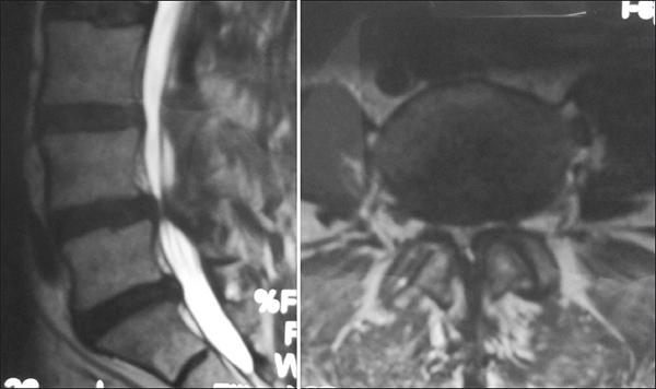
  7. A 23-year-old man falls down a flight of stairs while intoxicated and is brought to the emergency room the following morning. On physical exam he has no motor function in his upper and lower extremities. Sensory exam shows diminished but present sensation in the perianal area and in the lower extremities. Reflex exam shows his bulbocavernosus reflex is intact. The inital CT and MRI are seen in Figures A and B. According to the American Spinal Injury Association (ASIA), how would this injury be classified?

    FIGURES: A

    B

     

     

     

     

     

     

    1. ASIA A

       

       

       

    2. ASIA B

       

       

       

    3. ASIA C

       

       

       

    4. ASIA D

       

       

       

    5. ASIA E

     

    PREFERRED RESPONSE ▼ 2

    DISCUSSION: This patient has some sensory function but no motor function below the injury level. His bulbocavernosus reflex is intact so we know he is no longer in spinal shock. Therefore, he would be classified as an ASIA B.

     

    The imaging studies show a type II odontoid fracture, a congenital fusion at C2/3 and C4/5, and a large soft disc herniation at C3/4 with spinal cord compression and myelomalacia.

     

    The ASIA system describes the exam below the level of the injury. ASIA A: Complete. No motor or sensory

    ASIA B: Incomplete. No motor function but some remaining sensory

    ASIA C: Incomplete. 50% or more of muscles below injury are < than Grade 3. ASIA D: Incomplete. 50% or more of muscles below injury are > than Grade 3. ASIA E: Normal

     

    Furlan et al reviewed the ASIA classification in the assessment of motor and sensory function in patents with spinal cord injury (SCI). Although many studies suggest convergent and divergent construct validity, they determined that the ASIA classification is an adequate instrument to evaluate patients with SCI.

     

     

     

     

     

    Illustration A outlines the ASIA classification. The complete ASIA assessment chart is in Illustration B. Illustrations: A

    B

     

  8. A 49-year-old male fell from a height of 10 feet while cleaning his roof. He sustained the isolated injury shown in Figures A and B. Upon transfer from the outside hospital 10 hours later, he has 0/5 motor strength in bilateral lower extremities, no sensation distal to umbilicus, and an intact bulbocavernosous reflex. He has no perianal sensation or rectal tone. He received no medical management at the outside hospital. Which of the following is the most appropriate use of methylprednisolone in this patient.?

    FIGURES: A

    B

     

     

     

     

     

     

     

    1. Initiate high-dose methylprednisolone with a loading dose of 30mg/kg and a drip of 5.4 mg/kg/hr

       

       

    2. Initiate high-dose methylprednisolone, without a loading dose, at 5.4 mg/kg/hr

       

       

       

    3. Do not initiate treatment with methylprednisolone

       

       

       

    4. Initiate high-dose methyprednisolone if his neurologic status does not improve over the next 14 hours

       

       

    5. Administer a one-time dose of methylprednisolone at a dose of 30 mg/kg

     

    PREFERRED RESPONSE ▼ 3

    DISCUSSION: The clinical presentation describes a lower thoracic spine burst fracture with a complete neurological spinal cord injury. Since the patient's injury occurred ten hours prior to presentation, data does not support initiation of high-dose methylprednisolone.

     

    High-dose corticosteroid administration following spinal cord injury is thought to work by stabilizing neuronal membranes and reducing inflammation. While there is much controversy regarding this topic, current recommendations from the most recent Cochrane review are to give a 30mg/kg bolus followed by a 5.4 mg/kg drip if the injury occurred less than 8 hours prior to presentation. If the injury was sustained less than 3 hours prior to presentation, the methylprednisolone drip should continue for 23 hours. If the injury occurred from 3-8 hours prior to presentation, the steroid drip should be continued for 48 hours. Contraindications to steroid therapy include injuries that occur

    greater than 8 hours prior to presentation, pregnancy, gunshot wounds, patients under the age of 13, and brachial plexus injuries.

     

    Ito et al. performed a prospective study in which they gave high-dose methylprednisolone (30 mg/kg bolus, then 5.4 mg/kg/hr for 23 hours) to all patients with a cervical spinal cord injury that occurred less than 8 hours prior to presentation. They compared this to a similar group that did not receive methylprednisolone. All patients underwent decompression and stabilization as soon as possible after the injury. They found an increased risk of pneumonia in the group treated with steroids, highlighting the potential side-effects of such therapy.

     

    Kwon et al. provide a review on subaxial cervical spine trauma. They discuss the importance of making the correct diagnosis upon initial presentation and discuss that the treatment algorithm should take into account stability, neurologic status, and patient-related factors such as DISH. They comment that corticosteroids should be considered.

     

    Bracken provides the most recent Cochrane review on the use of steroids in acute spinal cord injury. Methylprednisolone sodium succinate was shown to improve neurologic outcome up to one year post-injury if administered within eight hours of injury and in a dose regimen of: bolus 30mg/kg over 15 minutes, with maintenance infusion of 5.4 mg/kg per hour infused for 23 hours. One trial showed a benefit to extending the duration of treatment to 48 hours if starting between 3 and 8 hours after injury.

     

    Figures A and B are the sagittal and axial CT cuts that show a T9 burst fracture with rotational malalignment and moderate retrolisthesis.

     

    Incorrect Answers:

    Answers 1,2,4,5: Data does not support the administration of high-dose methylprednisolone if the injury occurs greater than 8 hours before presentation.

    ++++++++++++++++++++++++++++++++++++++++++++++++++++++++++++++++++++++++++++++++++

  9. A 52-year-old male is involved in an altercation where his neck was twisted and extended with force. Upon presentation he complains of neck pain, and loss of ability to stand or ambulate. On physical exam, he has Grade 3 motor strength in the majority of his muscles groups in his upper and lower extremities. His sensory is intact in all four extremities, and his bulbocavernosus reflex is intact. Sagittal and coronal computed tomography are shown in Figure A and B respectively. The patient's neurologic condition is best classified as?

 

 

 

 

FIGURES: A

B

 

 

 

  1. ASIA E

     

     

     

  2. ASIA D

     

     

     

  3. ASIA C

     

     

     

  4. ASIA B

     

     

     

  5. ASIA A

     

    PREFERRED RESPONSE ▼ 2

    DISCUSSION: This patient has a spinal cord injury as a result of a rupture to his transverse ligament. This is evidenced by the increased atlanto dens interval on his computed tomography. Motor and sensory function are preserved below the neurological level, and at least half of key muscles below the neurological level have a muscle grade of 3 or more. His bulbocavernosus reflex is intact, so we know he is no longer in spinal shock. Therefore, he would be classified as an ASIA D.

     

    The ASIA system describes the exam below the level of the injury and can be broken into the following five categories.

    ASIA A: Complete. No motor or sensory

    ASIA B: Incomplete. No motor function but some remaining sensory

    ASIA C: Incomplete. 50% or more of muscles below injury are less than Grade 3.

    ASIA D: Incomplete. 50% or more of muscles below injury are greater than or equal to than Grade 3. ASIA E: Normal

     

    Furlan et al. evaluated whether the American Spinal Injury Association (ASIA) standards are sensitive enough to discriminate neurological recovery. They found the ASIA Standards represent an appropriate instrument to discriminate and evaluate patients with SCI in a longitudinal manner.

     

    Illustration B details the ASIA motor function grading, ASIA Impairment (AIS) Scale, and steps in classification of individuals with spinal cord injury

     

    Illustrations: A

     

     

     

     

    +++++++++++++++++++++++++++++++++++++++++++++++++++++++++++++++++++++++++++++++++

    1. What percentage of patients with a spinal cord injury suffer from Major Depressive Disorder?

       

       

       

      1. Less than 5%

         

         

         

      2. 5 to 20%

         

         

         

      3. 20 to 50%

         

         

         

      4. 50 to 75%

         

         

         

      5. Greater than 75%

       

      PREFERRED RESPONSE ▼ 2

      DISCUSSION: Approximately 11% of patients with spinal cord injuries meet the criteria for Major Depressive Disorder (MDD). Therefore, in patients with spinal cord injuries who show symptoms of depression, such as suicidal ideation, it is important to screen for major depression and consult for psychological care.

       

      Bombardier et al found 11.4% of participants with spinal cord injuries met criteria for MDD. They found MDD was associated with poorer subjective health, lower satisfaction with life, and more difficulty in daily role functioning.

      Kishi et al found that both acute and delayed-onset suicidal ideation was strongly associated with the existence of major depression and impaired social functioning in patients with spinal cord injury.

      They argue that the detection and appropriate treatment of depressive disorders and social isolation may be the most important factor in preventing suicide both during the acute and chronic period following spinal cord injuries.

      ++++++++++++++++++++++++++++++++++++++++++++++++++++++++++++++++++++++++++++++++++

    2. All of the following are attributed to the loss of supraspinal control of the sympathetic nervous system that commonly occurs in patients with spinal cord lesions at T-6 or higher EXCEPT

       

       

       

      1. Supine hypotension

         

         

         

      2. Orthostatic hypotension

         

         

         

      3. Spasticity

         

         

         

      4. Autonomic dysreflexia

         

         

         

      5. Cardiac arrhythmias

       

      PREFERRED RESPONSE ▼ 3

      DISCUSSION: Spasticity is unrelated to the sympathetic system and usually occurs after the acute phase of spinal cord injury (SCI), when spinal shock has resolved. Furlan et al states that sympathetic decentralization leads to altered regulation of the autonomic function, despite the presence of intact parasympathetic (vagal) afferent and efferent pathways in patients with SCI. Hypotension (supine and orthostatic), cardiac arrythmias, and autonomic dysreflexia are all the result of loss of

      supraspinal control of the sympathetic nervous system. Autonomic dysreflexia is defined as “an increase in systolic blood pressure of at least 20% associated with a change in heart rate and accompanied by at least one of the following signs (sweating, piloerection, facial flushing), or symptoms (headache, blurred vision, stuffy nose)” due to a stimulus such as overdistended bladder or bowel impaction. Guidelines for treatment of autonomic dysreflexia include 1) patient immediately placed in a sitting position if the person is supine. 2) clothing or constrictive devices need to be loosened 3) troubleshoot etiologies for bladder distention or bowel impaction 4) a SBP

      >150 mmHg may need to be treated with nifedipine or nitrates 5) close monitoring of symptoms, blood pressure, and heart rate for at least 2 hours.

      ++++++++++++++++++++++++++++++++++++++++++++++++++++++++++++++++++++++++++++++++++

    3. Functional electrical stimulation is used in the rehabilitation of patients with spinal cord injuries. This rehabiliation method has the greatest functional effect on which of the following?

       

       

       

      1. Sensory nerves

         

         

         

      2. Motor nerves

         

         

         

      3. Skeletal muscle

         

         

         

      4. Motor cortex

         

         

         

      5. Dorsal root ganglion

       

      PREFERRED RESPONSE ▼ 3

      DISCUSSION: Functional electrical stimulation is a technique that rehabilitates patients with spinal cord injuries by using electrical stimulation of skeletal muscles. Mulcahey et al. studied the benefits of implanted functional electrical stimulation systems for hand function in adolescents with tetraplegia secondary to spinal cord injuries and found in five patients that the combination of functional electrical stimulation and surgical reconstruction of the hand provided improved active palmar and lateral grasp and release. In a follow-up study, Davis et al. evaluated the self-reported usage via patient survey of a functional electrical stimulation system that stimulated lateral pinch and palmar grasp again in adolescents with C-5 or C-6 tetraplegia. They found patients performed better ADLs (eating, grooming, brushing teeth) but had difficulties donning the system independently between uses.

      ++++++++++++++++++++++++++++++++++++++++++++++++++++++++++++++++++++++++++++++++++

    4. A 30-year-old male is involved in a motor vehicle accident and sustains a fracture-dislocation of the cervical spine. On physical exam he has absent distal motor function, absent sensation, absent rectal tone, and an intact bulbocavernosus reflex. Which term best describes this spinal cord injury pattern?

       

       

       

      1. Central cord syndrome

         

         

         

      2. Incomplete spinal cord injury

         

         

         

      3. Complete spinal cord injury

         

         

         

      4. Neurogenic shock

         

         

         

      5. Spinal shock

       

      PREFERRED RESPONSE ▼ 3

      DISCUSSION: This patient has a complete spinal cord injury which is defined as no voluntary anal contraction (sacral sparing) AND 0/5 distal motor AND 0/2 distal sensory scores (no perianal sensation) AND an intact bulbocavernosus reflex. The key to answering this question is understanding the meaning of an intact bulbocavernosus reflex. If the bulbocavernosus reflex is intact then the patient is no longer in spinal shock and we can determine a final classification of their spinal cord injury pattern. If the bulbocavernosus reflex is absent, then it is possible the patient is in a state of spinal shock, and therefore we can not classify his final spinal cord injury pattern.

      ++++++++++++++++++++++++++++++++++++++++++++++++++++++++++++++++++++++++++++++++++

    5. An 16-year-old male is involved in a diving accident six months ago that leads to a spinal cord injury. On physical exam he has 5 out of 5 deltoid and biceps strength. He has good brachioradialis muscle tone and 5 out of 5 bilateral wrist extension. He has 0 out of 5 wrist flexion and triceps strength. He has no anal sphincter tone, absent perianal sensation, absent lower extremity sensation, and an intact bulbocavernosus reflex. He has no motor tone in his lower extremities. How would you define this patients neurologic deficit.

       

       

       

      1. Incomplete C5 spinal cord injury (ASIA A)

         

         

         

      2. Complete C5 spinal cord injury (ASIA E)

         

         

         

      3. Complete C6 spinal cord injury (ASIA A)

         

         

         

      4. Complete C7 spinal cord injury (ASIA A)

         

         

         

      5. Incomplete C7 spinal cord injury (ASIA B)

       

      PREFERRED RESPONSE ▼ 3

      DISCUSSION: According to the ASIA Classification of Spinal Cord Injuries, this patients neurologic deficit would be best described as a Complete C6 spinal cord injury (ASIA A).

       

      There are three general steps to define a spinal cord injury using the ASIA classification system.

       

      Step 1: Identify the neurologic level, which is described as the lowest segment where motor and sensory function is normal on both sides. Because this patient has normal function at C6 (brachioradialis and wrist extension), and no function at C7 (triceps and wrist flexion), his last normal functional level is C6. Therefore his neurologic level is C6.

       

      Step 2: Determine if injury is complete or incomplete. Complete injuries are defined as no voluntary anal contraction (sacral sparing) AND 0/5 distal motor AND 0/2 distal sensory scores (no perianal sensation) AND intact bulbocavernosus reflex (patient not in spinal shock). Therefore, this patient has a complete injury.

       

      Step 3: Assign ASIA impairment score. Because this patient has a complete injury, his ASIA impairment score is ASIA A.

      ++++++++++++++++++++++++++++++++++++++++++++++++++++++++++++++++++++++++++++++++++

    6. Which of the following best describes a patient's functional level with a complete C5 spinal cord injury?

       

       

       

      1. Electric wheelchair with only head or chin control

         

         

         

      2. Electric wheelchair with hand control

         

         

         

      3. Limited use of manual wheelchair, can drive car with manual controls

         

         

         

      4. Long-distance use of a manual wheelchair

         

         

         

      5. Fully independent transfers

       

      PREFERRED RESPONSE ▼ 2

      DISCUSSION: Patient with a C5 tetraplegia require an electric wheelchair with hand control for extension mobilization.

       

      Individuals with C5 tetraplegia have functional use of deltoid and elbow flexion (biceps). A power wheelchair with hand controls will probably be required for most of their mobility needs, although a manual wheelchair with grip enhancements (rim projections) may be used for short-distance mobility on level surfaces. With the help of specialized assistive devices (such as wrist or hand orthotics to allow them to hold objects), these persons can achieve independence in feeding and grooming.

      Patients with a C5 injury can assist with upper extremity dressing and bed mobility.

       

      They would not have functioning wrist extension/supination (C6) or triceps (C7) so patients require assistance for most other self-care (eg, lower extremity dressing, bathing), for transfer mobility, and for bladder and/or bowel tasks. They would not be able to drive a car.

       

      The functional outcome of different levels of injury are described below. Remember the injury level is defined as the most caudal level of the spinal cord that has normal motor and sensory function.

       

      C1, C2, C3: Ventilator dependent with limited talking, electric wheelchair with head or chin control. C4: Ventilator independent, electric wheelchair with head or chin control.

      C5: Ventilator independent, electric wheelchair with hand control, unable to live independently. C6: Manual wheelchair, able to live independently.

      C7: Improved use of a manual wheelchair.

      ++++++++++++++++++++++++++++++++++++++++++++++++++++++++++++++++++++++++++++++++++

    7. Following an acute spinal cord injury a patient presents with systemic hypotension and relative bradycardia. His bulbocavernosus reflex is present. This is characteristic of what type of response in acute spinal cord injuries.

       

       

       

      1. Spinal shock

         

         

         

      2. Cardiac shock

         

         

         

      3. Neurogenic shock

         

         

         

      4. Septic shock

         

         

         

      5. Hypovolemic shock

       

      PREFERRED RESPONSE ▼ 3

      DISCUSSION: Traumatic spinal cord injury is frequently associated with alterations in respiratory and cardiovascular function that require critical care management. Spinal shock and neurogenic shock are two conditions that can occur in the acute phase. Neurogenic Shock is characterized by hypotension & relative bradycardia in a patient with an acute spinal cord injury. It is potentially fatal. Treatment includes Swan-Ganz monitoring for careful fluid management and pressors to treat hypotension.

      Spinal shock is defined as temporary loss of spinal cord function and reflex activity below the level of a spinal cord injury. It is characterized by bradycardia & hypotension (due to loss of sympathetic tone) and an absent bulbocavernosus reflex. The concept of spinal shock is important because one cannot evaluate the neurologic deficit until spinal shock phase has resolved. The end of spinal shock is indicated by return of the bulbocavernous reflex.

      ++++++++++++++++++++++++++++++++++++++++++++++++++++++++++++++++++++++++++++++++++

    8. A 2-year-old child falls down a flight of stairs and is found to have spinal cord injury without radiographic abnormality (SCIWORA). What is the most important predictor of her neurologic outcome?

       

       

       

      1. Mechanism of injury

         

         

         

      2. Severity of initial neurologic injury

         

         

         

      3. Injury pattern of fracture or dislocation

         

         

         

      4. Location of spinal cord injury

         

         

         

      5. Age of patient

       

      PREFERRED RESPONSE ▼ 2

      DISCUSSION: SCI without radiographic abnormality (SCIWORA) is common in children under 10 years of age and is associated with more complete neurologic injuries than in cases where the injuries can be seen on radiograph. The increasing use of MRI in SCIWORA has yielded ample evidence of damage in virtually all nonbony supporting tissues of the juvenile vertebral column. These findings provide the structural basis for the postulated "occult instability" in the spine of a patient after SCIWORA. MRI also demonstrated five classes of post-SCIWORA cord findings: complete transection, major hemorrhage, minor hemorrhage, edema only, and normal. These "neural" findings are highly predictive of outcome: patients with transection and major hemorrhage had profoundly poor outcome, but 40% with minor hemorrhage improved to mild grades, whereas 75% with "edema only" attained mild grades and 25% became normal. All patients with normal cord signals made complete recovery. Therefore, the severity of initial neurologic injury is the most important predictor of outcome.

      ++++++++++++++++++++++++++++++++++++++++++++++++++++++++++++++++++++++++++++++++++

    9. A 67-year-old man falls forward from standing height sustaining a hyperextension injury to his neck. He has neurological deficits present on physical examination. A radiograph, CT scan and MRI are seen in Figures A, B and C. Which of the following MOST likely characterizes his neurologic examination?"

      FIGURES: A

      B
      C

       

       

       

       

       

       

       

      1. Loss of motor function and pain sensation with preservation of proprioception below the level of injury

         

         

      2. Distal upper extremity motor deficits more pronounced than proximal deficits with minimal involvement in lower extremity motor strength

         

         

      3. Ipsilateral loss of motor function, vibration and proprioception with contralateral loss of pain and temperature below the injury level

         

         

      4. Lower extremity motor deficits are more pronouced than upper extremity deficits

         

         

         

      5. Ipsilateral loss of proprioception and vibration on the side of injury

      PREFERRED RESPONSE ▼ 2

      DISCUSSION: The patient in the scenario has a central cord syndrome. The images show a relatively kyphotic spine with moderate osteophyte formation from C4 through C6. The MRI shows stenosis without cord signal change. Central cord syndrome is characterized by motor deficits more pronounced in the upper extremities than lower extremities. In addition, finger and wrist motor function is more affected than shoulder and biceps function. Sensory deficits are usually minimal.

       

      Nowak et al reviewed central cord syndrome. It is the most common incomplete spinal cord injury, typically resulting from an extension injury. It presents as a spectrum from hand weakness to quadraparesis with sacral sparring. Early surgical treatment is still controversial.

       

      Dvroak et al retrospectively reviewed ASIA motor scores (AMS) and health-related quality of life (HRQoL) in patients after traumatic central cord syndrome. They determined that AMS increased in the majority of patients. In addition, initial motor score, formal education, comorbidites, age at injury and development of spasticity were predictive of function.

       

      Incorrect answers:

      Answer 1: This describes an anterior cord syndrome Answer 3: This describes a Brown-Sequard syndrome Answer 4: This is the opposite of a central cord syndrome Answer 5: This describes a posterior cord syndrome

      ++++++++++++++++++++++++++++++++++++++++++++++++++++++++++++++++++++++++++++++++++

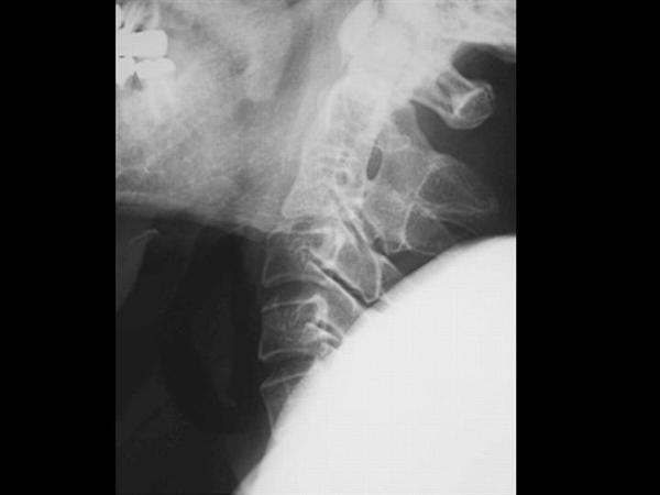
    10. A 35-year-old male is involved in a motor vehicle accident and sustains the neck injury shown in Figures A and B. The patient's physical exam is consistent with a Brown-Sequard spinal cord injury. Which of the following likely represents the motor and sensory findings?

      FIGURES: A

      B

       

       

       

       

       

       

       

      1. Bilateral upper extremity loss of motor function and unilateral lower extremity loss of pain and temperature sensation

         

         

      2. Bilateral loss of motor function and unilateral loss of pain and temperature sensation

         

         

         

      3. Ipsilateral loss of motor function and contralateral loss of pain and temperature sensation

         

         

         

      4. Bilateral loss of pain and temperature sensation and unilateral loss of motor function

         

         

         

      5. Ipsilateral loss of pain and temperature sensation and contralateral loss of motor function

       

      PREFERRED RESPONSE ▼ 3

      DISCUSSION: Figure A and B show a traumatic C5-C6 fracture dislocation, which can result in Brown-Sequard syndrome. Brown-Sequard syndrome is defined as a unilateral cord injury with ipsilateral motor deficit and loss of contralateral pain and temperature recognition. Half of the spinal cord is typically damaged, and the loss of pain and temperature sensation usually occurs two levels below the insult. This injury, which is usually result of penetrating trauma, has the best prognosis of all the spinal cord injury syndromes. Illustration A outlines the anatomy of Brown-Sequard syndrome.

       

      Illustrations: A

       

       

       

       

      ++++++++++++++++++++++++++++++++++++++++++++++++++++++++++++++++++++++++++++++++++

    11. A 78-year-old female slips and falls in the bathroom. In the emergency room she is found to have a laceration on her forehead. On physical exam she has Grade 3 weakness in her upper extremities, more pronounced in her hands, making it difficult for her to hold objects. In her lower extremities she has Grade 4 weakness, but is able to walk with assistance. She has new onset urinary dysfunction. A radiograph and MRI are shown in Figure A and B respectively. Which of the following most accurately describes her prognosis with nonoperative treatment.

      FIGURES: A

      B

       

       

       

       

       

       

       

      1. The patient will continue to deteriorate in a step-wise manner.

         

         

         

      2. The patient will fully recover function in her hands.

         

         

         

      3. The patient will regain her ability to ambulate independently.

         

         

         

      4. The patient will not regain her bowel and bladder function.

         

         

         

      5. The patient will continue to deteriorate in a rapid and progressive manner.

       

      PREFERRED RESPONSE ▼ 3

      DISCUSSION: The clinical presentation is consistent with central cord syndrome. Patients with central cord syndrome usually regain bowel and bladder function and their ability to ambulate. Return of upper extremity function is less reliable, and patients are often left with deficits in their upper extremity, worse distally, characterized by "clumsy" hands.

       

      Harrop et al describe "classic" central cord syndrome in the elderly, which presents after a hyperextension mechanism and cord compression as the result of a stenotic spondylotic cervical canal where no fracture is evident. They report that the majority of patients have some degree of recovery with medical treatment; however, surgical decompression of persistent cord compression or correction of spinal instability may be prudent so as to provide maximal neurologic recovery and

      prevent a delayed neurologic deterioration.

       

      Epstein at al looked at the effect of degenerative stenosis superimposed on acute trauma. They found patients with the lowest anteroposterior diameters of the spinal canal had the most severe myelopathy after trauma. Patients with absolute stenosis were more susceptible to traumatic myelopathy than were those with relative stenosis.

       

      Incorrect Answers:

      Answer 1: "Step-wise" deterioration is consistent with chronic cervical myelopathy, and not central cord syndrome.

      Answer 2: Patient with central cord syndrome typically do not gain normal function of their hands, and are left with "clumsy" hands.

      Answer 4: Patient with central cord syndrome usually regain bowel and bladder function. Answer 5: Rapid progression of neurologic deficits is typical for acute and progressive spinal cord compression, as seen with an epidural abscess or tumor.

      ++++++++++++++++++++++++++++++++++++++++++++++++++++++++++++++++++++++++++++++++++

    12. In patients with incomplete spinal cord injuries what is the most important prognostic variable relating to neurologic recovery?

       

       

       

      1. Severity of neurologic deficit

         

         

         

      2. Mechanism of injury

         

         

         

      3. Administration of spinal dose steroids within 8 hours

         

         

         

      4. Gender

         

         

         

      5. Early definitive surgery

       

      PREFERRED RESPONSE ▼ 1

      DISCUSSION: In patients with incomplete spinal cord injuries, the severity of the neurologic deficit is the most important prognostic variable.

       

      This is supported by the first reference by Pollard et al, which is a retrospective review of 412 patients with traumatic, incomplete, cervical spinal cord injuries, and an average follow-up period of 2 years. This study found the most important prognostic variable relating to neurologic recovery in a patient with a spinal cord injury is the completeness of the lesion. When an incomplete cervical spinal cord lesion exists, younger patients and those with either a central cord or Brown-Sequard syndrome have a more favorable prognosis for recovery.

       

      The second study by Bravo et al is a randomized sample of 100 patients (50 without neurological recovery, and 50 with several degrees of recovery). This study found the intensity of the lesion (incomplete) and vertebral displacement (under 30%) were statistically associated with neurological recovery. Both of these studies support answer 1, the completeness of the lesion (severity of neurologic deficit).

    13. Which of the following clinical scenarios would be an indication for surgical intervention of the spine?

       

       

       

      1. 18-year-old male with T12 burst fracture, stable alignment, and no neuro deficit.

         

         

         

      2. 25-year-old male with trans-colonic gun shot wound and cord hemi-transection without retained bullet fragment.

         

         

      3. 80-year-old female with global upper extremity weakness but preserved lower extremity function after fall.

         

         

      4. 37-year-old male with type III odontoid fracture.

         

         

         

      5. 18-year-old male with incomplete sensory and motor deficits after gun shot wound with retained bullet fragment in the lumbar spinal canal.

       

      PREFERRED RESPONSE ▼ 5

      DISCUSSION: Removal of retained bullet fragments within the spinal canal in a patient with incomplete sensory/motor deficits may improve patient function and therefore is recommended.

       

      Waters et al describe their experience with 90 patients with bullet fragments retained in the spinal canal. In 20% of the patients, the bullets perforated the alimentary canal, but no cases of infection were noted. Removal of the bullet fragments made no difference with regard to reducing pain or improving sensation recovery. Bullet removal did have an effect on motor recovery, when the fragment was located between T12-L4 but NOT from T1-T11.

       

      The study by Heary et al, describes 239 patients with thoracolumbar spine penetrating wounds and neurologic deficits. They found that steroid use in patients with gun shot wounds to the spine increased incidence of infection without improvement in neurologic outcome.

      ++++++++++++++++++++++++++++++++++++++++++++++++++++++++++++++++++++++++++++++++++

    14. A 51-year-old male with a pacemaker reports difficulty with urination and numbness in his bilateral buttock. His symptoms began 12 hours ago. What is the next step in management?

       

       

       

      1. MRI of the cervical Spine

         

         

         

      2. CT myelogram of the lumbar spine

         

         

         

      3. Epidural steroid injection

         

         

         

      4. Physical therapy, NSAIDs, and outpatient followup

         

         

         

      5. High dose methylprednisone

       

      PREFERRED RESPONSE ▼ 2

      DISCUSSION: This patient has classic symptoms of Cauda Equina Syndrome (CES). The most important next step is identifying a source of compression in the lumbar. The study of choice is an MRI, however in patient who cannot have an MRI such as those with pacemakers, a CT myelogram should be performed.

       

      Cauda equina syndrome has been described as a complex of low back pain, bilateral or unilateral sciatica, saddle anesthesia, and motor weakness that can progress to paraplegia and permanent bowel/bladder dysfunction. Cauda equina is an ABSOLUTE indication for surgical treatment of lumbar disc disease.

       

      Historically the recommendation was to proceed with surgical decompression within six hours. However, Kostuik et al. compared patient treated with surgery at 1.1 days compared to those treated at 3.3 days and found no correlation of these times with return of function. Therefore, they feel even though early surgery should be performed, decompression does not have to be performed in less than six hours.

       

      A meta study of 322 patients by Ahn et al, howerver, found significant improvement in sensory and motor deficits as well as urinary and rectal function occurred in patients who underwent decompression within 48 hours versus after 48 hours.

      ++++++++++++++++++++++++++++++++++++++++++++++++++++++++++++++++++++++++++++++++++

    15. A 49-year-old male presents with saddle anesthesia, lower extremity weakeness, and urinary retention. When must surgical decompression be done to improve bladder and motor recovery?

       

       

       

      1. less than 24 hours after symptom onset

         

         

         

      2. less than 48 hours after symptom onset

         

         

         

      3. less than 60 hours after symptom onset

         

         

         

      4. less than one week after symptom onset

         

         

         

      5. less than two weeks after symptom onset

       

      PREFERRED RESPONSE ▼ 2

      DISCUSSION: The cauda equina compression syndrome presents with bilateral buttock and lower extremity pain as well as bowel bladder dysfunction (usually urinary retention), saddle anesthesia, and varying degrees of loss of lower-extremity motor/sensory function. Digital rectal exam and perianal sensation is important for immediate diagnosis. This condition is a surgical emergency and immediate MRI and surgery are indicated. The meta-analysis of surgical outcomes of cauda equina syndrome secondary to lumbar disc herniation reviewed 42 studies. Length of time to surgery was broken down into five groups: less than 24 hours, 24-48 hours, 2-10 days, 11 days to 1 month, and more than 1 month. Preoperative chronic back pain was associated with poorer outcomes in urinary and rectal function, and preoperative rectal dysfunction was associated with worsened outcome in urinary continence. In addition, increasing age was associated with poorer postoperative sexual

      function. No significant improvement in surgical outcome was identified with intervention less than 24 hours from the onset of cauda equina syndrome compared with patients treated within 24-48 hours. Similarly, no difference in outcome occurred in patients treated more than 48 hours after the onset of symptoms. Significant differences, however, were found in resolution of sensory and motor deficits as well as urinary and rectal function in patients treated within 48 hours compared with those treated more than 48 hours after onset of symptoms. The conclusion of the study was a significant advantage to treating patients within 48 hours versus more than 48 hours after the onset of symptoms. A significant improvement in sensory and motor deficits as well as urinary and rectal function occurred in patients who underwent decompression within 48 hours versus after 48 hours.

      ++++++++++++++++++++++++++++++++++++++++++++++++++++++++++++++++++++++++++++++++++

    16. A 27-year-old female with Down's presents with neck pain, progressive gait instability, and loss of fine motor dexterity in her hands. Flexion and extension radiographs are shown in Figure A and B and demonstrate occipitocervical instability. When performing an occipitocervical fusion, what location in Figure C is most appropriate for placement of an 8mm unicortical screw?

      FIGURES: A

      B
      C

       

       

       

       

       

       

       

       

       

      1. A

       

       

       

      2. B

       

       

       

      3. C

       

       

       

      4. D

       

       

       

      5. E

       

      PREFERRED RESPONSE ▼ 2

      DISCUSSION: The safe zone for screw placement in the occiput for occipitocervical fusion is in a triangular region created by connecting 2 dots 2cm lateral to the EOP and a point 2 cm inferior to the EOP. Point B in Figure C falls within this safe zone, as is the most appropriate place for placement of an 8mm unicortical screw.

      The thickest region of the occiput is at a point 5 cm lateral to the EOP. However, this point is too far lateral to be useful for occipital-cervical fusion, and is instead where you place the posterior inferior pin of a Mayfield holder.

       

      Ebraheim et al measured the thickness and quality of occipital bone regions to determine screw placement during occipitocervical fusion. They concluded that 8-mm screws could be safely inserted in the region extending 2 cm laterally from the center of the external occipital protuberance, 1 cm from the midline at a level 1 cm inferior to the external occipital protuberance, and 0.5 cm from the midline at a level 2 cm inferior to the external occipital protuberance. The authors also demonstrated that the major dural venous sinuses are situated immediately beneath the this region of the occiput and are at risk of penetrative injury. Therefore, screws should be unicortical in nature.

       

      Nadim et al examined the safe zone for placement of occipital screws without endangering the sinuses. They used angiography in cadaveric skulls, and found the transverse sinus usually rest at the level of the EOP. They therefore recommend against bicortical screws in this region due to risk of injury to the transverse sinus.

       

      Illustration A shows the safe zone in relation to the Figure C in the question stem. Illustration B shows the safe zone as defined by Ebraheim et al. Illustration C shows the safe zone in relationship to skull diameter determined by Heyworth et al. Illustration D shows the relationship of the transverse sinus to the safe zone from an intra-cranial view.

       

       

       

      Illustrations: A

      B
      C
      D

       

       

       

       

       

       

       

    17. Atlantoaxial instability due to hypoplasia of the odontoid is most commonly seen in which type of mucopolysaccharidosis?

       

       

       

      1. Hurler's syndrome

         

         

         

      2. Morquio's syndrome

         

         

         

      3. Hunter's syndrome

         

         

         

      4. Sanfilippo's syndrome

         

         

         

      5. Diastrophic dysplasia

       

      PREFERRED RESPONSE ▼ 2

      DISCUSSION: Morquio's, Hurler's, Hunter's and Sanfilippo's syndromes are all types of mucopolysaccharidoses. Only Morquio's has atlantoaxial (C1-C2) instability. Stevens et al reported on 13 patients with Morquio's and found that all 13 had odontoid dysplasia. They conclude that the severity of neurological involvement at the craniovertebral junction was determined by soft-tissue changes, not by the type of odontoid dysplasia nor by subluxation. They found posterior occipitocervical fusion proved to be an effective treatment. Diastrophic dysplasia is associated with cervical kyphosis that can be severe and result in paralysis.

      ++++++++++++++++++++++++++++++++++++++++++++++++++++++++++++++++++++++++++++++++++

    18. A 11-year-old male complains of one year duration of neck pain. He denies any recent trauma. He has noticed intermittent episodes of gait imbalance and difficulty with buttoning his shirt over the past 3 months. Physical exam shows normal strength in all four extremities and hyper-reflexic patellar tendons. Neutral and flexion radiographs are shown in Figure A and B. A sagittal CT scan is shown in Figure C with a coronal reconstruction shown in Figure

      D. What is the most appropriate next step in treatment? FIGURES: A

      B
      C
      D

       

       

       

       

       

       

       

       

       

       

      1. PT to strengthen the dynamic stabilizers of the neck

         

         

         

      2. Soft collar wear during any athletic activities

         

         

         

      3. Cessation of all contact sports with no surgical intervention

         

         

         

      4. Posterior C1-C2 fusion

         

         

         

      5. Anterior C1-2 fusion

       

      PREFERRED RESPONSE ▼ 4

      DISCUSSION: The clinical presentation and imaging studies are consistent with Os odontoideum with neurologic deficits. A posterior C1-C2 fusion is the most appropriate treatment.

       

      Whether Os odontoideum is congenital or the residual of a traumatic process is controversial. Most authors support a post-traumatic etiology; however, some evidence exists to support a congenital origin. Asymptomatic patients may be managed with cessation of contact sports alone. Neurologic findings and widened ADI are both indications for a posterior C1-C2 fusion.

       

      Reilly et al performed a study to evaluate transarticular screw use in pediatric patients with C1-C2 instability. They used a transarticular constuct in 9 patients with os odontoideum and 3 patients with Down Syndrome. They found, although vertebral size and congenital anomalies may make screw positioning challenging, the technique allows adequate fixation and is especially beneficial in the absence of a complete posterior arch of C1. They found high fusion rate in mid-term followup.

       

      Sankar designed a study to address the controversy over the etiology of os odontoideum. Their data supports two separate etiologies for the os odontoideum: post-traumatic and congenital.

       

      Illustration A is an example of atlantoaxial instability on flexion-extension radiographs.

      ++++++++++++++++++++++++++++++++++++++++++++++++++++++++++++++++++++++++++++++++++

    19. Figure A shows the coronal and axial CT images of a 27-year-old male that suffered a fall from a significant height. Which of the following radiographic measurements would best indicate disruption of the transverse ligament.

      FIGURES: A

       

       

       

       

       

       

       

      1. Atlantodental interval (ADI) of 3mm

         

         

         

      2. Posterior atlanto-dens interval (PADI) of 16mm

         

         

         

      3. C2 pars horizontal displacement of 3 mm

         

         

         

      4. Combined lateral mass displacement of 8.2mm

         

         

         

      5. A Power's ratio of 1.2

       

      PREFERRED RESPONSE ▼ 4

      DISCUSSION: The clinical presentation is consistent with a Jefferson fracture, which is characterized by a fracture of the anterior and posterior arch of the atlas (see illustration A). Treatment of this condition is determined by the stability of the transverse ligament. An intact transverse ligament represents a stable injury which can be treated with a cervical orthosis. A ruptured transverse ligament represents an unstable fracture pattern that should be treated with a halo immobilization or a C1-C2 posterior cervical fusion. Two radiographic parameters that indicate a ruptured transverse ligament are 1) a sum of lateral mass displacement over articular surface of C2 is 8.1mm or greater, and 2) an atlantodental interval (ADI) of 6mm or greater. The historic anatomic study by Spence et al showed that lateral mass separation of > 6.9 mm implied rupture of the transverse ligament. The reference by Heller et al argues that Spence's study did not take into account radiographic magnification, and that transverse ligament rupture should not be inferred unless lateral mass separation is > 8.1 mm. The final reference by Haus et al was a case report of a single patient with a lateral mass displacement of 14mm that was treated successfully with a cervical orthosis only. This is a case report with no statistical significance and should not be referenced to guide treatment. The posterior atlanto-dens interval (PADI) is typically used to evaluate atlantoaxial subluxation. C2 pars

      horizontal displacement is used to evaluate traumatic spondylolithesis of axis (Hangman's fracture). The Power's ratio is used to evaluate occipitocervical instability.

       

      Illustrations: A

       

       

       

       

      ++++++++++++++++++++++++++++++++++++++++++++++++++++++++++++++++++++++++++++++++++

    20. A Gallie C1-2 fusion with sublaminar wiring of C1 to the spinous process of C2 is a valid treatment option for which of the following injury patterns?

       

       

       

      1. occipital-cervical dissociation

         

         

         

      2. comminuted C1 burst fracture

         

         

         

      3. type I odontoid fracture

         

         

         

      4. type III odontoid fracture

         

         

         

      5. transverse ligament disruption

       

      PREFERRED RESPONSE ▼ 5

      DISCUSSION: A C1-2 fusion with sublaminar wiring or modern screw-rod constructs is indicated in transverse ligament injuries.

       

      Gallie et al reports “Recurrence of the [atlanto-axial] displacement following disruption of the transverse ligament can be prevented by fastening the two vertebrae together by fine steel wire passed around the laminae or spines. And the risk of late recurrence can be eliminated by bone grafts laid in the spines or on the laminae and articular facets."

       

      Of note, this technique is somewhat dated, although one can still use it with successful results. Other

      C1-C2 fusion technique currently used include C1/2 transarticular screws or C1 lateral mass/C2 pedicle screw-rod construct.

       

      Illustration A shows the anatomy of the tranverse ligament, which is an important stabilizer of the C1-2 motion segment.

       

      Incorrect Answers:

      Answer 1: C1-2 fusion is not valid for occipital-cervical dissociation because fusion to the occiput is needed and not addressed.

      Answer 2: Comminuted C1 burst fracture also needs fusion to the occiput because comminution will compromise your fixation at C1.

       

       

      Answer 3 & 4: Types I and III odontoid fractures are treated nonoperatively. Illustrations: A

       

       

      ++++++++++++++++++++++++++++++++++++++++++++++++++++++++++++++++++++++++++++++++++

    21. Biomechanical studies have shown that an atlanto-dens interval of >7mm is likely associated with?

       

       

       

      1. an intact transverse ligament, with ruptured alar and apical ligaments

         

         

         

      2. a ruptured transverse ligament, with intact alar and apical ligaments

         

         

         

      3. a ruptured transverse and apical ligament, with an intact alar ligaments

         

         

         

      4. a ruptured transverse and alar ligament, with an intact apical ligaments

         

         

         

      5. a ruptured transverse and alar ligament, and a ruptured tectorial membrane

       

      PREFERRED RESPONSE ▼ 5

      DISCUSSION: The intrinsic ligaments, located within the spinal canal, provide most of the ligamentous stability. These ligaments form three layers anterior to the dura. From dorsal to ventral, they include the tectorial membrane, the cruciate ligament, and the odontoid ligaments. The tectorial membrane connects the posterior body of the axis to the anterior foramen magnum and is the cephalad continuation of the posterior longitudinal ligament. The cruciate ligament lies anterior to the tectorial membrane, behind the odontoid process. The transverse atlantal ligament is the strongest component, connecting the posterior odontoid to the anterior atlas arch, inserting laterally on bony tubercles. The odontoid ligaments (alar and apical ligaments) are the most ventral ligamentous structures. The paired alar ligaments connect the odontoid to the occipital condyles. They measure 5 to 6 mm in diameter and are relatively strong, in contrast with the small apical ligament that runs vertically between the odontoid and foramen magnum. In normal adults the ADI is < 3mm and < 5mm in children. Experimentally produced transverse ligament insufficiency with intact alar and apical ligaments results in a maximal translation of 5 mm, as shown by Fielding et al. Displacement >7 mm was associated with loss of integrity of the alar ligament and tectorial membrane.

       

       

       

       

       

      Illustrations: A

      B
      C

       

       

       

       

       

       

       

       

      ++++++++++++++++++++++++++++++++++++++++++++++++++++++++++++++++++++++++++++++++++

    22. In elderly patients with type II odontoid fractures, which of the following treatment modalities has the highest morbidity and mortality?

       

       

       

      1. Hard cervical collar

         

         

         

      2. Anterior screw osteosynthesis

         

         

         

      3. Halo vest immobilzation

         

         

         

      4. Posterior cervical stabilization

         

         

         

      5. Soft cervical orthosis

       

      PREFERRED RESPONSE ▼ 3

      DISCUSSION: Elderly individuals with odontoid fractures experience greater rates of morbidity and mortality than younger patients with this injury. Treatment with a halo vest (HV) has been associated with increased complications in the elderly patient population, and does not allow for immediate mobilization. Tashjian et al reviewed a series of odontoid fractures (Type II, III, and combined patterns) in elderly patients to evaluate for predictors of in-hospital morbidity and mortality. In those pt's treated with a HV, 42% died compared with 20% in the non-HV group. Major complications occurred in 66% of HV patients compared with 36% of non-HV patients. Smith et al looked at operative versus nonoperative treatment of isolated type II odontoid fractures in patients aged 80 years and more without neurologic deficit. They reviewed the records of 223 consecutive C2 fx's and concluded that Type II odontoid fractures in the octogenarian population are associated with substantial morbidity and mortality, irrespective of management method.

      ++++++++++++++++++++++++++++++++++++++++++++++++++++++++++++++++++++++++++++++++++

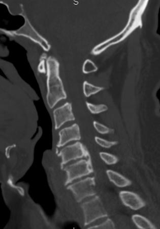
    23. A 37-year-old male was involved in a motorcycle accident. He is neurologically intact. An coronal and sagital CT scan is shown in Figure A. What is the most appropriate management?

      FIGURES: A

       

       

       

       

       

       

      1. Posterior C1-C2 fusion

         

         

         

      2. Anterior odointoid screw fixation

         

         

         

      3. Transoral anterior odointoid resection

         

         

         

      4. Cervical immobilization for 6-8 week in an external orthosis

         

         

         

      5. Treatment in a soft cervical orthosis for two weeks followed by range of motion exercises

       

      PREFERRED RESPONSE ▼ 4

      DISCUSSION: The clinical presentation is consistent with at Type III odontoid fracture. Cervical immobilization in a hard external orthosis is the most appropriate treatment.

       

      The Anderson and D'Alonzo classification system breaks odontoid fractures into 3 types. Type I is an oblique avulsion fracture of the apical ligament. Type II occurs in the watershed area at the junction with the body of the axis. Type III fractures extends into cancellous body of C2 and involves a variable portion of the C1-C2 joint. While the management of Type II fractures remains controversial due to high non-union rates, the literature supports that Type III fracture can be treated with immobilization in a hard cervical collar or halo vest. This is due to improved healing potential from a larger surface area of cancellous bone and a better blood supply than Type II fracture.

       

      Julien et al performed a Medline meta-analysis (1966-1999) of 96 Levell 3 articles. For Type I and III fractures, they found "sufficient evidence to establish a practice guideline, suggesting that cervical immobilization for 6 to 8 weeks is appropriate management". For Type II fractures the evidence is less clear, and analysis suggests that both operative and nonoperative management remain treatment options. They recommend additional randomized trials be performed to determine the best management for Type II fractures.

       

      Nourbakhsh et al performed a Pubmed meta-analysis looking at fusion rates for Type II fractures treated with external immobilization (halo vest or collar) or surgery (posterior C1-2 fusion or anterior screw fixation). They identified risk factors associated with nonunion which support surgical treatment. In patients with Type II fracture who are older, have posterior displacement, or displacement of > 4-6 mm., than they recommend operative management. In patients with anterior displacement of the fracture and younger age (< 45-55 years), conservative management is as effective as surgery.

       

      Incorrect Answers:

      Answer 1: Posterior C1-C2 fusion is the most commonly performed operation for treatment of Type II odontoid fractures.

      Answer 2: Anterior odointoid screw fixation is a surgical option in Type II fractures with an oblique fracture pattern that is perpendicular to the path of the screw.

      Answer 3: Transoral anterior odointoid resection is rarely required in the treatment of odontoid fractures and is only indicated when there is posterior displacement of the dens leading to spinal cord compression, that can not be reduced by closed methods.

      Answer 5: Treatment in a soft cervical collar is indicated in Type I odontoid fractures in all age populations and in Type II fractures in elderly patients who do not tolerate halo immobilization.

       

       

    24. A 36-year-old male falls while intoxicated two weeks ago and has had persistent neck pain ever since. For unclear reasons he did not seek medical attention. He now reports persistent neck pain, but denies symptoms in his upper and lower extremities. On physical exam he has Grade 5 motor strength in his uppper and lower extremities, normal reflexes, and his sensory exam is normal. A CT scan is shown in Figure A. All of the following place this patient at an increased risk of nonunion EXCEPT:

      FIGURES: A

       

       

       

       

      1. Fracture gap of 2 mm

         

         

         

      2. Posterior displacement of > 5mm

         

         

         

      3. Delay in treatment of 2 weeks

         

         

         

      4. Age < 40 years

         

         

         

      5. Posterior angulation

       

      PREFERRED RESPONSE ▼ 4

      DISCUSSION: The clinical presentation is consistent with a Type II odontoid fracture. All of the listed variables are risk factors for nonunion in Type II odontoid fractures, EXCEPT for age < 40 years.

       

      Koivikko et al looked at risk factors for nonunion in patients with Type II odontoid fractures. They found nonunion correlated with a fracture gap (> 1 mm), posterior displacement (> 5 mm), delayed start of treatment (> 4 days) and posterior redisplacement (> 2 mm). They concluded that patients presenting with these risk factors are unlikely to achieve bony union by treatment in a halo vest.

       

      ++++++++++++++++++++++++++++++++++++++++++++++++++++++++++++++++++++++++++++++++++

       

    25. Cervical facet dislocations are characteristically caused by which of the following mechanisms of injury?

       

       

       

      1. Flexion-compression

         

         

         

      2. Vertical compression

         

         

         

      3. Flexion-distraction

         

         

         

      4. Extension-compression

         

         

         

      5. Extension-distraction

       

      PREFERRED RESPONSE ▼ 3

      DISCUSSION: The Allen and Ferguson classification of cervical spine injuries breaks injuries of the subaxial spine into six phylogenic groups based on mechanism of injury. These include: 1) flexion-compression 2) vertical-compression 3) flexion-distraction 4) extension-compression 5) extension-distraction 6) lateral flexion. Facet dislocation is caused by flexion-distraction forces. Therefore, in a facet dislocation the posterior structures (interspinous ligament, facet capsule, liagmentum flavum, posterior annulus) are likely disrupted, whereas the anterior structures (anterior longitudinal ligament) are usually preserved. Sutterlin et al showed in a biomechanical bovine model, and Coe et al in a cadaveric model, that anterior plating was inferior to posterior techniques (Rogers' wiring method, Bohlman's triple-wire technique, sublaminar wiring, and posterior hook plate stabilization) for stabilization of flexion-distraction injuries of the cervical spine.

      ++++++++++++++++++++++++++++++++++++++++++++++++++++++++++++++++++++++++++++++++++

       

       

    26. An awake and cooperative patient presents to the emergency room with the injury seen in the CT scan in Figure A. Prior to the CT scan he had an ASIA Impairment Scale of E. Upon returning from the CT scanner he has an ASIA Impairment Scale of D. What is the most appropriate first step in management?

      FIGURES: A

       

       

       

       

      1. MRI

         

         

         

      2. Immediate closed reduction with cervical traction

         

         

         

      3. Immediate anterior open reduction and surgical fixation

         

         

         

      4. Spinal dose steroids

         

         

         

      5. Cervical immobilization, observation, and serial neurologic exams

       

      PREFERRED RESPONSE ▼ 2

      DISCUSSION: The patient presents with a deteriorating neurologic exam in the presence of a bilateral C5-6 facet dislocation. Because the patient is alert, cooperative, and sober, the next step in management is closed reduction with cranial traction while the patient is awake.

       

      An ASIA Impairment Scale of E is a normal exam. An ASIA Impairment Scale of D shows preserved motor function below the neurological level, but with more than half of key muscles below the neurological level showing weakness but with a muscle grade greater than 3. Therefore his exam is

      worsening. You know it is a bilateral facet dislocation as there is 50% subluxation of the vertebral bodies. Because the patient is alert, cooperative, and sober, the next step in management is closed reduction with cranial traction while the patient is awake. Because of his rapid decline in neurologic function you would not want to delay reduction by obtaining an MRI. All facet dislocations need to be stabilized surgically following reduction. Following closed reduction an MRI should be obtained to look for a cervical disc herniation, as the presence of one will determine the approach for stabilization.

       

      The cited reference by Star et al is a case series (LOE4) of 53 patients who underwent closed reduction. They found that contrary to prior beliefs, adding weights of > 50lbs and up to 100lbs was safe and effective. In there series, 39 patients required greater than 50lbs to obtain reductions and there was no associated complications with this additional weight.

       

      Vaccaro et al performed prereduction and postreduction magnetic resonance imaging in eleven consecutive patients with cervical spine dislocations. They found the process of closed traction reduction appears to increase the incidence of intervertebral disc herniations. The relation of these findings, however, to the neurologic safety of awake closed traction reduction remain unclear.

       

      Illustration A shows a simple algorithm to determine the ASIA Impairment Score (AIS). Illustrations: A

       

       

       

       

       

       

      ++++++++++++++++++++++++++++++++++++++++++++++++++++++++++++++++++++++++++++++++++

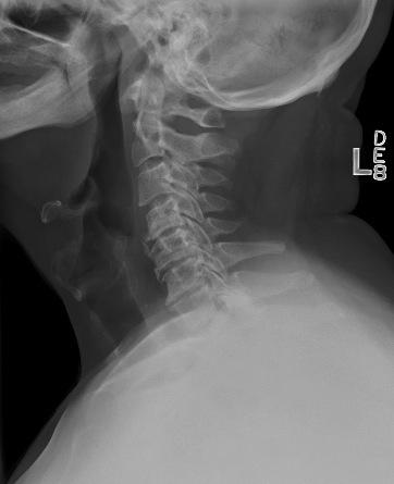
    27. A 27-year-old male is an unrestrained passenger in a motor vehicle accident. He was medically stabilized in the emergency room. His initial injury CT scans are seen in Figures A and B. He is neurologically intact and placed in a halo fixator prior to surgical treatment. What is the most common neurologic complication with halo traction?

      FIGURES: A

      B

       

       

       

       

       

       

       

      1. Weakness in biting and chewing strength

         

         

         

      2. Deficit in medial and downward eye movement

         

         

         

      3. Deficit in lateral eye movement

         

         

         

      4. Inability to close eyes against resistance

         

         

         

      5. Tongue deviation toward the affected side

       

      PREFERRED RESPONSE ▼ 3

      DISCUSSION: Figures A and B depict a patient with an Type II odontoid fracture. Cranial nerve VI palsy is the most common nerve palsy associated with halo cervical traction. A cranial nerve VI palsy would result in paralysis of the lateral rectus, causing a deficit in lateral eye movement. The cranial nerves and functions are in Illustration A.

       

      Halo fixation is indicated for a number of conditions in the cervical spine including definitive treatment for fractures and preoperative reduction. In adults, four pins are placed at 6-8in/lbs. The safe zone is defined 1cm superior to the outer 2/3 of the orbit. Absolute contraindications include active infection, cranial fractures and severe soft-tissue injury at pin sites. Pin loosening is the most common complication in adults, followed by pin site infection.

       

      Wilkens et al investigated cranial nerve complications with halo immobilization and traction in 70

      patients. They found the sixth cranial nerve was most commonly affected by distraction and resulted in weakness in lateral gaze. They emphasize that frequent monitoring of the patients in skeletal traction is necessary, and prompt recognition of the clinical signs of these complications must be stressed.

       

      Bono et al report halo immobilization can be used for the definitive treatment of cervical spine trauma, preoperative reduction in the patient with spinal deformity, and adjunctive postoperative stabilization following cervical spine surgery. They state skull fracture, infection, and severe soft-tissue injury at the pin sites as absolute contraindications. Relative contraindications include severe chest trauma, obesity, advanced age, and a barrel-shaped chest.

       

      Figure A shows a sagittal CT showing a Type II odontoid fracture with anterior displacement. Figure B is an axial CT at the level of the odontoid again showing anterior diplacement of the dens. Illustration A lists the cranial nerve. Illustration B & C illustrate how to place a halo fixator. Illustration D shows the safe zone for placement of your anterior halo pin.

       

      Illustrations: A

      B
      C
      D

       

       

       

       

       

       

       

      ++++++++++++++++++++++++++++++++++++++++++++++++++++++++++++++++++++++++++++++++++

    28. With halo immobilization the anterior pin should be placed in which of the following regions in Figure A to avoid injury to the supraorbital nerve and optimize stability?

       

       

      FIGURES: A

       

       

       

       

      1. Region A

         

         

         

      2. Region B

         

         

         

      3. Region C

         

         

         

      4. Region D

         

         

         

      5. Region E

       

      PREFERRED RESPONSE ▼ 4

      DISCUSSION: The safe zone for anterior pin insertion with halo immobilization is an approximately 1-cm region just above the lateral one third of the orbit (eyebrow) at or below the equator of the skull. More lateral pin insertion risks penetration of the thin temporal bone. More medial positioning risks injury to the supraorbital and supratrochlear nerves (see Illustration A). An injury to the supraorbital nerve may lead to pain and numbness over the medial one third of the eyebrow. The supratrochlear nerve supplies sensation medial and inferior to the supraorbital sensory distribution. Regions A, B, and C are all above the equator of the skull and would not be ideal from a biomechanical perspective. The review article by Bono explains the history, indications, proper placement, and complications of halo immobilization.

       

       

       

      Illustrations: A

       

       

      ++++++++++++++++++++++++++++++++++++++++++++++++++++++++++++++++++++++++++++++++++

       

       

    29. The halo vest is most effective at controlling which of the following spinal motions? FIGURES: A

       

       

       

       

      1. Flexion and extension at the atlantoaxial joint

         

         

         

      2. Flexion and extension in the subaxial cervical spine

         

         

         

      3. Rotation in the subaxial cervical spine

         

         

         

      4. Lateral bend in the subaxial cervical spine

         

         

         

      5. Flexion and extension at the cervicothoracic junction

       

      PREFERRED RESPONSE ▼ 1

      DISCUSSION: The Halo vest immobilizes the skull relative to the torso. Therefore is is ideal for controlling motion at upper cervical spine and atlantoaxial joint. Halo immobilization allows for intercalated paradoxical motion in the subaxial cervical spine, and is therefore less ideal for lower cervical spine injuries.

       

      Ivancic et al performed an invitro study measuring motion of cervical spine specimens with the variables of a normally applied halo, a loose vest, a loose superstructure, and an absent posterior uprights. They found that lateral bending was increased at the C6-7 level when there was a loose superstructure.

       

      Johnson et al evaluated the ability of different cervical orthoses to control cervical range of motion at each cervical intervertebral joint. At the atlanto-axial joint, the halo vest restricted flexion-extension by 75%, which compared to only 45% by conventional cervical braces. The halo vest was less effective at controlling motion in the subaxial cervical spine below C3.

       

      Bono et al reviews the literature and discusses the indications, contraindications, and complications for halo immobilization. They recommend the halo can be used for definitive treatment of C1 burst (Jefferson) fracture and type II and III odontoid fractures. Absolute contraindications include cranial fracture, infection, and severe soft-tissue injury at the proposed pin sites. They discuss the high mortality rate associated with using halo immobilization in the elderly population.

       

      Illustration A shows the table from the Johnson articles that compares the effectiveness of different orthosis at controlling different types of motion (combined measurement from occiput to T1)

       

      Incorrect Answers:

      Answers 2,3,4,5: The halo vest is less effective at controlling motion in the subaxial cervical spine and cervicothoracic junction than at the atlanto-axial joint.

      Illustrations: A

       

       

       

       

       

      ++++++++++++++++++++++++++++++++++++++++++++++++++++++++++++++++++++++++++++++++++

    30. A 71-year-old female who has no significant medical comorbidities presents to the emergency department after sustaining a compression fracture of L2. The patient has moderate back pain but is neurologically intact. Radiographs of the entire spine reveal a L2 compression fracture with 30% loss of vertebral body height loss and 15 degrees of local kyphosis. What would be the appropriate management for this patient?

       

       

       

      1. Bedrest for ten days

         

         

         

      2. Oral pain medications, thoracolumbosacral orthosis, and progressive increase in activity level

         

         

         

      3. Posterior percutaneous pedicular fixation from L1 to L5

         

         

         

      4. Posterolateral fusion from L2 to L4 with instrumentation

         

         

         

      5. Anterior column reconstruction with strut grafting and plate fixation

       

      PREFERRED RESPONSE ▼ 2

      DISCUSSION: Initial treatment of osteoporotic compression fractures without neurologic compromise consists of pain control, progressive increase in activity levels, and a TLSO, or thoracolumbosacral orthosis.

       

      Compression fractures are common in the elderly with osteoporosis as a result of low energy trauma. Most of these can be managed without surgery in a brace and oral pain medication. Initial management consists of pain control and a gradual return to activity. If pain continues after 6 weeks of non-operative therapy, kyphoplasty or vertebroplasty are available options. If a neurologic deficit is present, management would include surgical decompression and stabilization.

       

      Wood et al. conducted a prospective, randomized trial and showed no significant difference between patients who were treated with and without surgery for a stable thoracolumbar burst fracture in a neurologically intact patient.

       

      Gertzbein conducted a study comprised of 1,1019 traumatic thoracolumbar fractures followed prospectively for 2 years. 10.5% were compression fractures while 63.9% were burst fractures. They found 11 positive relationships, including, relative improvement in neurologic status following surgery, anterior surgery compared to posterior surgery was more effective when evaluated using the Manabe et al criteria, and a kyphotic deformity of >30 degrees was associated with more intense back pain.

       

      Incorrect Answers:

      Answer 1: While bedrest can help acute pain, it may lead to worsening osteoporosis, DVT, PE, and deconditioning.

      Answer 3: This compression fracture is not unstable, and thus, does not require instrumentation. Answer 4: This compression fracture is not unstable, and thus, does not require instrumentation. Answer 5: This compression fracture is not unstable, and thus, does not require instrumentation.

      ++++++++++++++++++++++++++++++++++++++++++++++++++++++++++++++++++++++++++++++++++

    31. In patients with a stable thoracolumbar burst fracture and no neurologic deficits, operative treatment has what long term outcome when compared to nonoperative management.

       

       

       

      1. Improved sagittal balance

         

         

         

      2. Decreased pain scores

         

         

         

      3. Improved return to work status

         

         

         

      4. Improved function

         

         

         

      5. Increased disability and complications

       

      PREFERRED RESPONSE ▼ 5

      DISCUSSION: Although a very controversial topic, evidence supports in patients with a thoracolumbar burst fracture without neurologic deficits, there is no advantages to surgical treatment.

       

      Wood et al performed the first radomized control trial comparing operative versus nonoperative treatment of thoracolumbar burst fractures in patients with no neurological deficits. They found no major long-term advantages with operative treatment, and increased disability and complications with operative treatment.

       

      Gnanenthiran et al performed a meta-analysis to look at nonoperative versus operative treatment for thoracolumbar burst fractures without neurologic deficit. At final follow up they found no between-group differences in pain, Roland Morris Disability Questionnaire scores, and return to work rates.

       

      Agus et al found that regardless of the number of columns involved, nonoperative treatment led to satisfactory results with no neurologic deterioration in their cohort of 29 patients. They conclude that nonoperative treatment is a viable option in patients with intact two- and three-column-injured Denis-types A, B and C thoracolumbar burst fractures.

      ++++++++++++++++++++++++++++++++++++++++++++++++++++++++++++++++++++++++++++++++++

    32. You are seeing a 68-year-old female who fell out of her second story apartment window. She complains of severe low back pain and right buttock pain. Her neurologic exam shows she is an ASIA E. Imaging shows a L3 burst fracture with 10 degrees of kyphosis, 30% loss of vertebral body height, and retropulsion of bone with 20% occlusion of the spinal canal. The is no evidence of edema in posterior ligament complex on MRI. What is the most appropriate treatment?

       

       

       

      1. Spinal traction with bedrest for a minimum of 6 weeks

         

         

         

      2. Spinal orthosis and early mobilization as tolerated

         

         

         

      3. Laminectomy and lateral recess decompression

         

         

         

      4. Laminectomy and 4 level posterior instrumented fusion

         

         

         

      5. Anterior corpectomy with decompression and staged 4 level posterior instrumented fusion

       

      PREFERRED RESPONSE ▼ 2

      DISCUSSION: The clinical presentation is consistent with a lumbar burst fracture in a patient who is neurologically intact and has no evidence of radiographic instability. Spinal orthosis and early mobilization is the most appropriate treatment.

       

      Butler et al. retrospectively reviewed 14 cases of L5 isolated burst fractures without neurological defect (10 nonoperative and 4 operative treatment). The nonoperative group showed superior radiographic (coronal/sagittal balance) and clinical results including pain, work restrictions, and overall satisfaction.

       

      Seybold et al. conducted a retrospective review of 42 patients treated for burst fractures of L3,4, or L5 with and without neurological deficit and found that no patient showed neurological deterioration, regardless of method of treatment. Patients with L3 fractures tended to loose sagittal balance height without change in patient related functional outcome. The overall ability to return to work and achieve good to excellent results did not differ in the patient cohorts. In addition, the rate of repeat surgery was 41% in the surgical cohort, suggesting that surgical management may actually be detrimental to the long term spine health of the patient.

      ++++++++++++++++++++++++++++++++++++++++++++++++++++++++++++++++++++++++++++++++++

    33. In a neurologically intact patient with the injury pattern shown in Figure A and B, what is the advantage of surgical treatment compared to early mobilization in a thoracolumbosacral orthosis?

      FIGURES: A

      B

       

       

       

       

       

       

       

      1. Decreased kyphosis over time.

         

         

         

      2. Decreased residual back pain.

         

         

         

      3. Lower cost of hospitalization.

         

         

         

      4. Earlier return to work.

         

         

         

      5. No advantage - equivalent clinical outcomes

       

      PREFERRED RESPONSE ▼ 5

      DISCUSSION: The radiographs and CT scan show a burst fracture with minimal resultant kyphosis and minimal canal compromise. Because the patient is neurologically intact, and there is no evidence of injury to the posterior ligament complex (no increase in interspinous distance), the standard of care is to treat this injury nonoperatively with TLSO.

       

      If the patient had a neurologic deficit or clear injury to the PLC, as indicated by an increased interspinous distance or MRI showing ligament injury, then the treatment would be surgery with decompression and fusion.

       

      Wood et al performed the first radomized control trial comparing operative versus nonoperative treatment of thoracolumbar burst fractures in patients with no neurological deficits. They found no major long-term advantages with operative treatment, and increased disability and complications with operative treatment.

      Gnanenthiran et al performed a meta-analysis to look at nonoperative versus operative treatment for thoracolumbar burst fractures without neurologic deficit. At final follow up they found no between-group differences in pain, Roland Morris Disability Questionnaire scores, and return to work rates.

       

      Thomas et al performed a meta analysis of the literature. In a synthesis of the literature, the authors obtained evidence for both operative and nonoperative treatments. They found no scientific evidence linking posttraumatic kyphosis to clinical outcomes. In conclusion, they felt there is a strong need for improved clinical research methodology to be applied to this patient population.

       

      Yi et al also did a review of the literature and Cochrane Database with an objective to compare operative with non-operative treatment for thoracolumbar burst fractures without neurological deficit. They found no statistically significant difference in pain and function-related outcomes, rates of return to work, radiographic findings or average length of hospitalization at final follow up.

      ++++++++++++++++++++++++++++++++++++++++++++++++++++++++++++++++++++++++++++++++++

    34. A 32-year-old male sustained an L4 burst fracture in a car accident five days ago. On initial presentation he was neurologically intact and treated in a thoracolumbar orthosis. In the last two days he has noticed increasing difficulty voiding, decreased perianal sensation, and weakness to ankle plantar flexion. Radiographs, computed tomography, and magnetic resonance imaging are shown in Figures A through D. What is the most appropriate next step in treatment?

       

       

       

       

      FIGURES: A

      B
      C
      D

       

       

       

       

       

      1. Electromyography

         

         

         

      2. Spinal dose corticosteroids with inpatient observation

         

         

         

      3. A decompressive lumbar laminectomy without fusion

         

         

         

      4. Percutaneous posterior instrumented stabilization from L2 to L5 with indirect decompression via distraction ligamentotaxis

         

         

      5. Anterior decompresssion with strut grafting followed by posterior instrumentation

       

      PREFERRED RESPONSE ▼ 5

      DISCUSSION: This patient is presenting with cauda equina syndrome following a lumbar burst fracture that was initially treated nonoperatively. Urgent anterior decompression with strut grafting is indicated followed by instrumented stabilization, which can be done with posterior instrumentation.

       

      Treatment in most patients with thoracolumbar fractures who are neurologically intact is nonsurgical. Surgery is indicated for unstable fracture patterns and/or neurologic deficits, especially if they are progressive. This includes CES, progressive neurological deficits, and evidence of injury to the posterior ligament complex (PLC).

       

      Clohisy et al studied twenty-two patients with incomplete neurologic deficits after thoracolumbar junction fractures that were treated by anterior decompression and stabilization. In their series, no patients had any deterioration in neurologic function after surgery. The authors found that early anterior decompression for traumatic injuries at the thoracolumbar junction was associated with improved rates of neurologic recovery when compared to late decompression. Those who were treated within 48 hours of injury recovered more function then those who were treated at greater than 48 hours.

       

      Krengel et al studied 14 patients who underwent stabilization for acute compression fractures at the thoracolumbar junction with neurologic deficits. 12 of the patients underwent initial posterior instrumentation and fusion, one of whom subsequently had an anterior decompression. Two patients had initial anterior decompression and fusion. Both patients later had posterior instrumentation and fusion to treat progressive deformity. Average neurologic improvement was 2.2 Frankel grades per patient, lower extremity motor index improved from an average of 7 to 44. Again, it was concluded that early surgical reduction, stabilization, and decompression is safe and improves neurologic recovery in comparison to historical controls treated by postural reduction or late surgical intervention.

       

      Illustration A shows the postoperative radiographs of a combined anterior-posterior decompression and stabilization procedure.

       

      Incorrect Answer:

      Answers 1 & 2: Because this patient has acute symptoms of cauda equina syndrome, urgent decompression within 48 hours is indicated. Therefore EMG, steroids, and observation are not appropriate.

      Answer 3: This patient has anterior retropulsed bone causing severe compression of the thecal sac. A posterior laminectomy would not provide adequate decompression, and an anterior decompression with a L4 corpectomy and strut grafting is the only way to ensure an adequate decompression.

      Answer 4: Although one might argue posterior percutaneous pedicle screws instrumentation with distraction may provide indirect decompression through ligamentotaxis, due to the severity of the neurologic symptoms and degree of anterior compression, this approach would not be appropriate for this patient.

       

       

       

      Illustrations: A

       

       

      ++++++++++++++++++++++++++++++++++++++++++++++++++++++++++++++++++++++++++++++++++

    35. A 32-year-old man presents to the emergency department after sustaining a L1 burst fracture in a fall. A careful neurologic exam shows he is an ASIA E. MRI shows mild vertebral retropulsion with 10% central canal stenosis and no evidence of injury to the posterior ligament complex. Which of the following is true regarding surgical decompression and fixation when compared to nonoperative treatment with bracing?

       

       

       

      1. Patients treated with surgery return to work earlier.

         

         

         

      2. Patients treated with surgery have decreased pain scores.

         

         

         

      3. Patients treated with surgery have increased complication rates.

         

         

         

      4. Patients treated with surgery have improved final SF-36 scores.

         

         

         

      5. All of the above

      PREFERRED RESPONSE ▼ 3

      DISCUSSION: The clinical presentation is consistent for a stable thoracolumbar burst fracture with no neurological deficits. New studies have shown operative treatment of patients with a stable thoracolumbar burst fracture and normal findings on the neurological examination provided no major long-term advantage compared with nonoperative treatment, but does have an increased complication rate.

       

      Wood et al performed a prospective, randomized trial in which the authors found: 1) no significant difference between the two groups with respect to return to work. 2) The average pain scores at the time of the latest follow-up were similar for both groups. 3) At the time of the final follow-up, those who were treated nonoperatively reported less disability. 4) Final scores on the SF-36 and Oswestry questionnaires were similar for the two groups. 5) Complications were more frequent in the operative group.

       

      Mumford et al looked at the clinical outcome and efficacy of closed management of thoracolumbar burst fractures in patients with no neurological deficits. They found nonoperative management as the preferred treatment in these circumstances.

      ++++++++++++++++++++++++++++++++++++++++++++++++++++++++++++++++++++++++++++++++++

    36. 32-year-old male presents to the emergency department following a motor vehicle accident. A radiograph is shown in Figure A, and a sagittal and axial CT scan are shown in Figure B and C respectively. What is the most likely mode of failure of the posterior spinal column?

      FIGURES: A

      B
      C

       

       

       

       

       

       

       

       

      1. Tension

         

         

         

      2. Torsion

         

         

         

      3. Fatigue

         

         

         

      4. Compression

         

         

         

      5. Shear

       

      PREFERRED RESPONSE ▼ 1

       

      DISCUSSION: The clinical presentation and imaging studies are consistent with a lumbar "bony" Chance fracture. The mode of failure of the posterior column is tension.

       

      Jeanneret et al described seven cases of a previously undescribed lesion of the lumbar spine consisting of a burst fracture of the vertebral body associated with a posterior subluxation of the adjacent lower level facet joints are described. They postulated that the lesion is due to a flexion-distraction mechanism, and due to the inherent instability recommend surgical reduction of the posterior subluxation, reduction of the burst fracture with anterior distraction, transpedicular bone grafting of the burst fracture if necessary, and fusion of the destroyed motion segment(s).

       

      Mikles et al discuss the classification and treatment of thoracolumbar fractures. They state that most compression and stable burst fractures should be treated nonsurgically. Patients with unstable burst fractures and neurologic deficits require direct or indirect decompression.

      ++++++++++++++++++++++++++++++++++++++++++++++++++++++++++++++++++++++++++++++++++

    37. A 45-year-old female IV drug user presents to the emergency department with a chief complaint of severe focal low back pain that has progressed over the past 10 days. She now reports the pain is severe enough that it is difficult for her to walk. She reports night sweats, fluctuating fever, and a loss of appetite. Physical exam shows exquisite pain with flexion and extension of the lumbar spine. Routine urinalysis by the ER physician shows evidence of a urinary tract infection. Her blood leukocyte count is 12,600 per mm3, and erythrocyte sedimentation rate is 78 mm/h. A lateral radiograph is shown in Figure A. Which of the following is the best choice in management?

       

       

      FIGURES: A

       

       

       

      1. Discharge from the ER with a course of oral antibiotics

         

         

         

      2. Admission to the hospital with immediate empirical IV antibiotics

         

         

         

      3. MRI of the lumbar spine with and without gadolinium

         

         

         

      4. Nuclear medicine bone scan

         

         

         

      5. Renal ultrasound

       

      PREFERRED RESPONSE ▼ 3

      DISCUSSION: The clinical presentation is highly suspicious of vertebral osteomyelitis of the lumbar spine. An MRI of the lumbar spine with and without gadolinium is the most appropriate next step in management.

       

      Due to the prevalence of back pain in the general population, it is a sensitive but not specific marker of spinal infection. To avoid missing this entity with high morbidity, it is important to look for red flags such as elevated inflammatory parameters (ESR or CRP), tenderness to vertebral palpation, fever, chills, and weight loss.

       

      Carragee reviewed 111 patients with pyogenic vertebral osteomyelitis, unrelated to spinal procedures, and found that risk factors included diabetes and other immune compromised states. The average age was 60, and the most common hematogenous source for infection was the urinary tract.

       

      Frazier et al. analyzed patients with fungal spinal osteomyelitis and found that both diagnosis and treatment were more challenging than bacterial causes.

       

      Hadjipavloa et al. retrospectively reviewed more than 100 cases of pyogenic spinal infections and found, among other things, that back pain was more reliably relieved with surgical rather than nonsurgical treament.

       

      Incorrect Answers:

      Answer 1 & 2: A discharge with a course of oral antibiotics or admission for IV antibiotics may treat the UTI but would not identify the spinal infection.

      Answer 4: A bone scan would show increased uptake in the lumbar spine, but is not as specific or helpful as an MRI for localization and planning treatment.

      Answer 5: A renal ultrasound would be indicated if the patient had tenderness over the kidneys.

      ++++++++++++++++++++++++++++++++++++++++++++++++++++++++++++++++++++++++++++++++++

    38. A 64-year-old female diagnosed with endocarditis 6 months ago underwent a course of IV antibiotic treatment. She now reports 3 months of severe low back pain and progressive lower extremity weakness and parathesias for the past week. Her leukocyte count is normal and she is afebrile. The ESR and CRP are elevated. Radiographs and MRI scans are shown in Figures A and B, respectively. What is the most appropriate next step in management?

      FIGURES: A

      B

       

       

       

       

       

       

       

      1. Intrathecal catheter placement with antibiotic administration for 6 weeks

         

         

         

      2. Irrigation and debridement, corpectomy, and fusion

         

         

         

      3. Oral prednisone regimen for 4 weeks

         

         

         

      4. Irrigation and debridement via posterior approach

         

         

         

      5. Initiation of multiagent antibiotic regimen for tuberculosis for 6 months

       

      PREFERRED RESPONSE ▼ 2

      DISCUSSION: The clinical history, physical examination, and imaging is consistent with extensive destruction of the lumbar spine extending over three vertebral segments with associated epidural abcess necessitating surgical decompression and fusion. An epidural abscess may present rapidly with neurological compromise. Prognosis improves with prompt decompression, but only 18% of patients with frank abscess and 23% of patients with paralysis completely recover after decompression.

       

      Hadjipavlou et al report in their Level 4 study that leukocyte counts were elevated in 42.6% of spondylodiscitis cases. The erythrocyte sedimentation rate was elevated in all cases of epidural abscess.

       

      The article by Harrington et al states that the surgical indications for an epidural abcess include: unsuccessful antibiotic treatment after 6 weeks, vertebral deformity or instability, neurological deficit, MRI showing >50% compression of thecal sac, and depressed host immune response.

      Illustration A shows radiographs following anterior debridement, corpectomy, fibular strut grafting, and Kaneda instrumentation.

       

       

       

      Illustrations: A

       

       

      ++++++++++++++++++++++++++++++++++++++++++++++++++++++++++++++++++++++++++++++++++

    39. A 19-year-old male with HIV presents with increasing neck pain, lower extremity weakness, and constitutional symptoms over the past 4 weeks. Radiograph and MRI is shown in Figures A and B, respectively. Figure C shows a histologic specimen with Ziehl-Neelsen staining. In addition to surgical management, which of the following pharmacologic regimens is most appropriate?

      FIGURES: A

      B
      C

       

       

       

       

       

       

      1. Cyclophosphamide, hydroxydanurubicin, oncovin, and prednisone

         

         

         

      2. Nafcillin and rifampin

         

         

         

      3. Isoniazid, rifampin, pyrazinamide, and streptomycin

         

         

         

      4. Denosumab, ritonavir, and efavirenz

         

         

         

      5. Vincristine, actinomycin D, and cyclophosphamide

       

      PREFERRED RESPONSE ▼ 3

      DISCUSSION: The clinical scenario is consistent with tuberculoid infestation in the spine (Pott’s disease) with resulting compressive cervical myelopathy. Tuberculous infection often shows vertebral destruction with relative preservation of the disk spaces. As the infection progresses, the disk is also destroyed and a kyphotic deformity may be present. The Ziehl-Neelsen stain displays the mycobacterium as "red snappers" against a blue background. Culture for acid-fast bacilli on Lowenstein-Jensen medium is diagnostic. Because this patient has a progressive neurologic deficit with radiographic evidence of cord compression, surgical decompression followed pharmacologic therapy is indicated. Isoniazid, rifampin, pyrazinamide, and streptomycin is the first line of medical therapy.

       

      Khoo et al note that since “HIV-related tuberculosis demonstrates exceptionally high rates of spinal involvement, the prevalence of Pott disease will continue to increase rapidly across the globe over the next decade.” They also note that medical treatment alone remains the cornerstone of therapy

      for the majority of Pott's disease cases, and surgical intervention should be limited primarily to cases of severe or progressive deformity and/or neurological deficit.

      ++++++++++++++++++++++++++++++++++++++++++++++++++++++++++++++++++++++++++++++++++

      Degenerative Spine

    40. A 49-year-old male presents with left arm pain of four weeks duration. A T2-weighted axial MRI is shown in Figure A. Which of the following statements would most accurately describe his diagnosis and physical exam findings?

       

       

      FIGURES: A

       

       

       

       

      1. A C5 radiculopathy leading to deltoid and biceps weakness.

         

         

         

      2. A C5 radiculopathy leading to brachioradialis and wrist extension weakness.

         

         

      3. A C5 radiculopathy leading to triceps and wrist flexion weakness.

         

         

         

      4. A C6 radiculopathy leading to brachioradialis and wrist extension weakness.

         

         

      5. A C6 radiculopathy leading to finger flexion weakness.

       

      PREFERRED RESPONSE ▼ 4

      DISCUSSION: The MRI is consistent with a posterolateral disc herniation at C5/6. This would lead to a C6 radiculopathy, which is most likely presents with dermatomal arm pain, paresthesias in the thumb, weakness to brachioradialis and and wrist extension, and a diminished brachioradialis reflex.

       

      Eubanks reviews the pathophysiology of cervical radiculopathy. They describe that unlike the lumbar spine, the cervical spine has cervical nerve roots that exit above the level of the corresponding pedicle. For instance, the C6 nerve root exits at the C5-C6 disk space, and a C5-C6 disk herniation typically leads to C6 radiculopathy.

       

      Heller emphasizes separating patterns of symptomatic degenerative cervical disease from other causes of neck, shoulder, and arm symptoms rests on an awareness of the broad spectrum of subjective complaints, a thorough physical examination, and confirmatory diagnostic studies. Clear delineation of the etiology will increase the likelihood of successful treatment.

       

      Incorrect Answers:

      Answer 1 & 2: A C5 radiculopathy leads to deltoid and biceps weakness, and would be caused by a posterolateral disc herniation at C4/5.

      Answer 3: A C7 radiculopathy leads to triceps and wrist flexion weakness, and would be caused by a posterolateral disc herniation at C6/7.

      Answer 5: A C8 radiculopathy leads to finger flexion weakness, and would be caused by a posterolateral disc herniation at C7/T1.

      ++++++++++++++++++++++++++++++++++++++++++++++++++++++++++++++++++++++++++++++++++

    41. Treatment options for a symptomatic cervical pseudoarthrosis following anterior cervical diskectomy and fusion include revision anterior surgery versus a posterior instrumented cervical fusion. When comparing these treatment options, all of the following are true of posterior cervical fusion EXCEPT:

       

       

       

      1. Increased intraoperative blood loss

         

         

         

      2. Longer postoperative hospitalization

         

         

         

      3. Decreased revision surgery rate

         

         

         

      4. Decreased fusion rate

         

         

         

      5. Increased complication rate

       

      PREFERRED RESPONSE ▼ 4

      DISCUSSION: Despite increased complications, posterior cervical fusion is the treatment of choice for symptomatic cervical pseudoarthrosis following anterior cervical diskectomy and fusion due to its increased fusion rate and lower reoperation rate. The study by Carreon et al is a retrospective case series that compared posterior cervical fusion versus revision anterior surgery for the treatment of a symptomatic pseudoarthrosis. They found a second revision surgery for persistent nonunion was required in 44% of patients in the anterior revision group, and only 2% of the patients in the posterior revision group. Therefore, they argue that despite increased blood loss, longer postoperative hospitalization, and an increased complication rate, posterior cervical fusion is a better treatment option due to higher fusion rates and a decrease in revision surgery rates. The study by Kuhns et al looked at the results of treating a cervical pseudoarthrosis with posterior cervical fusion. They found that 33 of 33 patients went on to fusion with posterior surgery and all 33 patients noted significant improvement in their preoperative symptoms. They did find a significant rate of persistent postoperatively neck pain despite fusion. They found no difference in fusion rates between those treated with iliac crest versus patients treated with local bone graft.

      ++++++++++++++++++++++++++++++++++++++++++++++++++++++++++++++++++++++++++++++++++

    42. A 59 year-old man complains of acute pain radiating from the neck down the right upper extremity. Physical exam demonstrates right arm triceps weakness, decreased triceps reflex, and diminished sensation of the middle finger. A cervical disk herniation will likely be found at which level?

       

       

       

      1. C3-4

         

         

         

      2. C4-5

         

         

         

      3. C5-6

         

         

         

      4. C6-7

         

         

         

      5. C7-T1

      PREFERRED RESPONSE ▼ 4

      DISCUSSION: The exam findings are consistent with a C7 radiculopathy which is commonly caused by a C6-7 cervical disk herniation. A cervical spine herniated disk causes impingement on the exiting nerve root at the herniation level. In the cervical spine the nerve roots exit ABOVE the pedicle of the numbered level. For example, the C7 nerve root exits above the C7 pedicle at the C6-7 level. The referenced article by Heller describes the characteristic findings of cervical radiculopathies and myelopathy. A C7 radiculopathy affects the motor strength of the triceps and wrist flexion, has a diminished triceps reflex, and diminished sensation in the middle finger distribution.

      ++++++++++++++++++++++++++++++++++++++++++++++++++++++++++++++++++++++++++++++++++

    43. During an anterior diskectomy and fusion at C2-3 there is concern for an injury to the left hypoglossal nerve. What physical findings would be expected if this were the case?

       

       

       

      1. tongue deviation to left when extruded

         

         

         

      2. tongue deviation to right when extruded

         

         

         

      3. ptosis on left side of face

         

         

         

      4. ptosis on right side of face

         

         

         

      5. change in voice

       

      PREFERRED RESPONSE ▼ 1

      DISCUSSION: The hypoglossal nerve is the twelfth cranial nerve and innervates the tongue muscles. If there is a unilateral injury to the hypoglossal nerve, the tongue will deviate towards the side of injury. In this question there is concern for an injury to the left hypoglossal nerve so you would expect tongue deviation to the left.

       

      Horner's syndrome is characterized by Ptosis, Anhydrosis, Miosis, Enophthalmos and Loss of ciliospinal reflex on the affected side of the face. It is caused by injury to the sympathetic chain, which can occur during an anterior approach to the neck.

       

      The recurrent (inferior) laryngeal nerve is a branch of the vagus nerve (tenth cranial nerve) that supplies motor function and sensation to the larynx. A unilateral injury to the recurrent laryngeal nerve may lead to voice changes including hoarseness. Bilateral nerve damage can result in breathing difficulties and aphonia, the inability to speak.

      ++++++++++++++++++++++++++++++++++++++++++++++++++++++++++++++++++++++++++++++++++

    44. A 33 year-old male presents with neck and left arm pain. He denies symptoms in his right arm. Based on the MRI image shown in Fig A, what findings would be expected on physical exam?

       

       

      FIGURES: A

       

       

       

       

      1. weakness to shoulder shrug

         

         

         

      2. weakness to shoulder abduction and elbow flexion

         

         

         

      3. weakness to elbow flexion and wrist extension

         

         

         

      4. weakness to elbow extension and wrist flexion

         

         

         

      5. weakness to finger abduction

       

      PREFERRED RESPONSE ▼ 2

      DISCUSSION: The MRI shows an axial T2-weighted image with a left sided disc herniation causing foraminal stenosis at the C4/5 level. In the cervical spine, the inferior nerve root is affected.

      Therefore we would expect a C5 radiculopathy in this case. This would be characterized by weakness of the deltoid (shoulder abduction) and biceps (elbow flexion), sensory symptoms in the lateral upper arm, and decreased biceps reflex.

      ++++++++++++++++++++++++++++++++++++++++++++++++++++++++++++++++++++++++++++++++++

    45. A 38-year-old male presents with a cervical disc herniation at the C7/T1 level with associated foraminal stenosis, but no significant central stenosis. What would be the expected symptoms and physical exam findings.

       

       

       

      1. Numbness of the lateral shoulder and deltoid weakness

         

         

         

      2. Numbness of 2nd and 3rd fingers and triceps weakness

         

         

         

      3. Numbness of the thumb with weakness to wrist extension

         

         

         

      4. Numbness of 5th finger with weakness to long flexor function in all digits and thumb

         

         

         

      5. Numbness of the medial elbow and weakness to long finger flexion of the 4th and 5th digits only

       

      PREFERRED RESPONSE ▼ 4

      DISCUSSION: A disc hernation at the C7/T1 level will most likely affect the C8 nerve root. A C8 radiculopathy usually presents with sensory symptoms in the medial border of the forearm and hand, and weakness in long flexor function in all digits and thumb. It is important to differentiate a C8 radiculopathy from a peripheral ulnar neuropathy which also presents with sensory symptoms in

      the ulnar hand and finger. One way to do so is to test DIP flexion of the middle and index finger. The function of the flexor digitorum profundus in the index and middle fingers can be affected by 8th cervical radiculopathy, but they are not affected by ulnar nerve entrapment. The reference by Rao is a review of the pathoanatomy of cervical spondylosis and the different clinical manifestations. They recommend a simplified clinical approach of dividing the presenting findings into the categories of axial neck pain, radiculopathy, myelopathy, or some combination of these three.

      ++++++++++++++++++++++++++++++++++++++++++++++++++++++++++++++++++++++++++++++++++

    46. In a patient with arm pain and paresthesias, which of the following symptoms or physical exam findings supports a cervical radiculopathy as opposed to a peripheral neuropathy.

       

       

       

      1. Relief of pain when holding the arm above the head

         

         

         

      2. Reproduction of pain with tilting head to affected side and rotating head to contralateral side

         

         

         

      3. Compensatory inter-phalangeal joint flexion of the thumb when attempting to pinch

         

         

         

      4. Patient is unable to make "AOK" sign with index finger and thumb

         

         

         

      5. Forearm pain with resisted wrist extension

       

      PREFERRED RESPONSE ▼ 1

      DISCUSSION: Relief of pain when holding the arm above the head is indicative of a cervical radiculopathy instead of a peripheral neuropathy.

       

      Davidson et al found that in 22 patients requiring myelography for unremitting radicular pain, 15 experienced relief of pain with shoulder abduction. Of the 15 with this physical exam finding, 13 patients achieved a good result with cervical surgery. In conclusion, they argue this exam finding has value as an indicator for cervical radicular compressive disease and postulate that the maneuver seems to occur by decreasing tension on the nerve root.

       

      Incorrect Answers:

      Answer 2: Reproduction of pain with tilting head to the affected side and rotating head to the ipsilateral (not contralateral) side is called the Spurling's sign and also indicates cervical pathology. Answer 3: Compensatory inter-phalangeal joint flexion of the thumb when attempting to pinch (Froment's sign) is seen with a peripheral ulnar neuropathy.

      Answer 4: Inability to make an "A-OK" sign with index finger and thumb is seen with a peripheral AIN compressive neuropathy.

      Answer 5: Forearm pain with resisted wrist extension is seen with lateral epicondylitis (tennis elbow).

      ++++++++++++++++++++++++++++++++++++++++++++++++++++++++++++++++++++++++++++++++++

    47. A 52-year-old woman underwent a C5/6 ACDF for cervical radiculopathy through a left-sided approach two years ago. Radiographs are shown in Figure A. She has had an altered voice since this operation. Recently, the patient has developed myelopathic symptoms including gait instability and dexterity problems with her hands. An MRI shows a fusion at C5/6, and an adjacent-level midline disc herniation at C4/5 with cord compression and myelomalacia. Laryngoscopy of the vocal cords demonstrates abnormal function of the vocal cords on the left hand side. Which of the following is the most appropriate treatment for this patient?

      FIGURES: A

       

       

       

       

       

       

       

      1. Physical therapy and NSAIDS

         

         

         

      2. High dose methylprednisone

         

         

         

      3. C5/6 hardware removal and C4/5 ACDF using a left sided anterior approach

         

         

         

      4. C5/6 hardware removal and C4/5 ACDF using a right sided anterior approach

         

         

         

      5. C5 to C7 posterior laminectomy and fusion

       

      PREFERRED RESPONSE ▼ 3

      DISCUSSION: The clinical scenario describes a patient with cervical myelopathy due to an anterior midline disc herniation at the adjacent C4/5 level. In addition, she has voice changes and abnormal vocal cord function likely due to an injury to the left recurrent laryngeal nerve (RLN) during her prior left sided approach. The most appropriate treatment at this time is hardware removal at C5/6 (she is fused) and anterior cervical discectomy and fusion at C4/5 utilizing a left sided approach through her old incision. One should avoid using a right-sided approach, as a right recurrent larygngeal nerve (RLN) injury would cause denervation of both vocal cords leading to breathing difficulties and aphonia.

       

      Netterville et al showed that multiple branches of the vagus nerve are are risk during surgery. They also concluded that right-sided approaches carry a greater risk to the recurrent laryngeal nerve as its course is more variable.

      Kilburg et al reviewed 418 cases and showed no significant difference in RLN injury based on laterality of approach.

       

      Steurer et al found that hoarseness following neck surgery may be present with or without the presence of a RLN palsy. They also found patients may have a normal voice despite an RLN palsy. Therefore, they recommend evaluation with laryngoscopy or videostroboscopy in "at risk" patients to identify a RLN palsy.

       

      Incorrect Answers:

      Answer 1 & 2: Because the patient is myelopathic, physical therapy and high dose steroid are not appropriate.

      Answer 4: See description above.

      Answer 5: The patient has anterior compression from a midline disc herniation, and therefore a posterior decompression would not adequately address her focal anterior compression.

      ++++++++++++++++++++++++++++++++++++++++++++++++++++++++++++++++++++++++++++++++++

    48. A 50-year-old diabetic woman describes left arm pain and tingling in the ulnar side of her hand and wrist. She denies weakness or trouble with fine motor tasks. Her symptoms are worse when she is sleeping without a pillow on her left side, and with her left elbow in an extended position. Sleeping with her left hand above her head seems to improve her symptoms. What is the most likely diagnosis?

       

       

       

      1. Guyon’s canal syndrome

         

         

         

      2. Cubital tunnel syndrome

         

         

         

      3. Diabetic neuropathy

         

         

         

      4. Cervical radiculopathy

         

         

         

      5. Cervical myelopathy

       

      PREFERRED RESPONSE ▼ 4

      DISCUSSION: The patient is describing cervical radiculopathy symptoms that are alleviated with shoulder abduction, which removes tension on the cervical roots, and are worsened with sleeping with her neck bent laterally in a position similar to the Spurling compression test. The reference by Vikari-Juntura et al describes the high specificity of cervical exam maneuvers like the Spurling compression test, shoulder abduction test, and axial traction test but found low sensitivity (25-50%) of these tests in diagnosing cervical radiculopathy. Myelopathy typically has upper motor findings and difficulty with fine motor tasks. Guyon’s canal syndrome would not affect sensation in the dorsal wrist area. Cubital tunnel syndrome is typically worse with elbow flexion and improved with extension. Diabetic neuropathy is typically in a sock and glove distribution and is rarely painful.

      ++++++++++++++++++++++++++++++++++++++++++++++++++++++++++++++++++++++++++++++++++

    49. A 45-year-old man presents with increasing difficulty ambulating normally and clumsiness when he is either combing his hair or buttoning his shirt. A sagittal cut of his MRI is shown in Figure A. What is the next most appropriate step in management?

       

       

      FIGURES: A

       

       

       

       

      1. Observation

         

         

         

      2. Epidural injection

         

         

         

      3. Physical therapy and anti-inflammatory medication

         

         

         

      4. Anterior cervical diskectomy and fusion

         

         

         

      5. Posterior cervical laminectomy and fusion

       

      PREFERRED RESPONSE ▼ 4

      DISCUSSION: The MRI scans demonstrate a midline soft cervical disc herniation. Controversy had existed as to whether this entity is best managed by an anterior approach or a posterior cervical laminotomy-foraminotomy. The Herkowitz Spine article from 1990 prospectively compared 28 patients treated with anterior discectomy and fusion to 16 treated with posterior laminotomy-foraminotomy. 26 of 28 patients in the anterior group had excellent or good results and 12 of 16 in the posterior group had excellent or good results, measured by relief of pain and weakness at mean

      4.2 year follow-up. This study agreed with other previous ones that demonstrated the anterior approach for cervical central soft disc herniations is superior to the posterior approach. Reasons for this include: 1) the spinal cord can not be retracted sufficiently from the posterior approach to remove a central disc; 2) an extensive laminectomy approach leads to destabilization of the spine and further irritation of the spinal cord; 3) the myelopathy pattern that may result from the central disc herniation is due to pressure on the anterior cord or anterior spinal artery and a posterior laminectomy will not affect this anterior compression; and 4) the anterior approach provides direct access to the disc herniation and provides immediate and long-term stability to the motion segment. Also, posterior decompression is somewhat contraindicated in kyphotic cervical spine.

      ++++++++++++++++++++++++++++++++++++++++++++++++++++++++++++++++++++++++++++++++++

    50. Figures A-E show the neutral lateral cervial radiographs and corresponding T2-weighted MRI of 5 patients with symptoms and physical exam findings consistent with cervical myelopathy. In which of these patients would a cervical laminoplasty alone be contraindicated as surgical treatment?

      FIGURES: A

      B
      C
      D
      E

       

       

       

       

       

       

       

       

       

       

       

       

      1. Figure A

         

         

         

      2. Figure B

         

         

         

      3. Figure C

         

         

         

      4. Figure D

         

         

         

      5. Figure E

       

      PREFERRED RESPONSE ▼ 4

      DISCUSSION: Laminoplasty alone as surgical treatment is contradindicated in patients with fixed or significant cervical kyphosis as the residual kyphotic posture of the cervical spine results in persistent anterior spinal cord compression. Figure D shows a T2-weight MRI with a C2-C7 kyphotic angle of 15 degrees, and therefore a laminoplasty alone as treatment would be contraindicated. This patient would need to be treated with an anterior or a combined anterior/posterior approach to restore alignment and provide adequate decompression of the spinal cord.

       

      When evaluating patients with cervical myelopathy, it is critical to evaluate the sagittal alignment of

      the cervical spine. This is best done on lateral cervical spine films in neutral, flexion, and extension. By obtaining flexion and extension films, one can determine if the kyphotic deformity is rigid or not. Two angles should be measured, the C2-7 kyphotic angle, and the local kyphotic angle.

       

      Suda et al showed that local kyphosis was the most crucial risk factors for poor surgical outcomes with laminoplasty alone. They recommend when patients have local kyphosis exceeding 13 degrees, anterior decompression should be performed with an attempt to correct the deformity, followed by posterior decompression in some cases. Expansive laminoplasty alone should be avoided in patients with local kyphosis greater than 13 degrees.

       

      Chiba et al reviewed the long-term results of open-door laminoplasty for cervical myelopathy in patients with ossification of the posterior longitudinal ligament. They found patients with preoperative kyphosis had lower recovery rates than those with straight and lordotic alignments.

       

       

       

       

       

       

       

      Illustrations A-E shows how to measure the the C2-7 kyphotic angle in Figures A-E. Illustrations: A

      B
      C
      D
      E

       

       

       

       

       

       

       

    51. A 56-year-old woman presents for initial evaluation of her neck pain which has been worsened by activity for the last several years. On exam, she has 5/5 motor strength throughout bilateral upper and lower extremities. She has a normal gait and no difficulties with manual dexterity. Reflex testing shows hyperreflexia in bilateral achilles tendons. Lateral radiographs are shown in Figure A, and MRI scan is shown in Figures B and C. What is the most appropriate management?

      FIGURES: A

      B
      C

       

       

       

       

       

       

       

       

       

      1. C4-7 anterior decompression with instrumented fusion

         

         

         

      2. C4-7 posterior decompression with instrumented fusion

         

         

         

      3. C4-7 posterior decompression without fusion

         

         

         

      4. C5/6 anterior discectomy and fusion

         

         

         

      5. Physical therapy

       

      PREFERRED RESPONSE ▼ 5

      DISCUSSION: The patient's clinical picture is consistent with cervical spondylosis. Minimal symptoms without hard evidence of gait disturbance or pathologic reflexes warrant nonoperative treatment, making physical therapy the correct answer.

       

      Cervical spondylosis is a process that results in disc degeneration and facet arthropathy. Clinical manifestations may range from axial neck pain to profound muscle weakness and difficulties ambulating. It is generally agreed upon that patients with neuroradiologic evidence of spinal cord compression but no signs of myelopathy should be managed non-operatively. Initial management should consist of physical therapy, NSAIDs, and a cervical collar for comfort.

      Boden and McCowin et al. describe the prevalence of abnormal cervical spine MRI findings in asymptomatic patients. 19 percent of asymptomatic patients were found to have abnormal scans. The most common finding in subjects less than 40 years old was a herniated disc, while the most common finding in subjects greater than 40 years of age was foraminal stenosis.

       

      Kadanka and Mares et al. provide a prospective, randomized study comparing conservative and operative treatment of mild and moderate forms of spondylotic cervical myelopathy. At the 3-year follow-up period, there were no significant differences between the surgical and conservative treatment groups.

       

      Figure A shows a lateral radiograph with loss of cervical lordosis and mild degenerative changes at C5-6, C6-7. Figures B shows a sagittal MRI with mild stenosis and loss of cervical lordosis. Figure C shows the axial MRI with left-sided foraminal stenosis at C5-6.

       

      Incorrect Answers:

      Answers 1-4: non-operative management is recommended in this situation.

      ++++++++++++++++++++++++++++++++++++++++++++++++++++++++++++++++++++++++++++++++++

    52. A 68-year-old female presents with progressive loss of ability to ambulate and dexterity problems with her hands. Six months ago she was able to walk with a cane, but now has difficulty with ambulating with a walker. She also reports difficulty with her hands and needs assistance with eating. Physical exam shows limited neck extension. Radiographs, tomography, and magnetic-resonance-imaging are shown in Figure A, B, and C respectively. What is the most appropriate treatment?

      FIGURES: A

      B
      C

       

       

       

       

       

       

      1. NSAIDS, physical therapy, and clinical observation

         

         

         

      2. C3 to C6 cervical laminectomy

         

         

         

      3. C3 to C6 laminoplasty using an open-door technique

         

         

         

      4. C3 to C6 decompressive laminectomy with instrumented fusion

         

         

         

      5. Multilevel anterior cervical decompression with strut grafting and anterior plate fixation, followed by posterior decompression and fusion

       

      PREFERRED RESPONSE ▼ 5

      DISCUSSION: The patients symptoms are consistent with progressive cervical myelopathy. Her symptoms are progressive and severe, and therefore surgical decompression is indicated. She has cervical kyphosis as demonstrated on physical exam and imaging, with compression at three levels (C3/4, C4/5, C5/6). An anterior procedure is mandatory to correct her kyphosis and remove the anterior compressive lesions. Of the options listed, only answer 5 involves an anterior procedure, and therefore, it is the most appropriate treatment.

       

      Possible treatment options in this case could: 1) multi-level ACDF with anterior plate fixation, 2) a hybrid C5 corpectomy with ACDF as C3/4 and anterior plate fixation, or 3) a C3 and C4 corpectomy, anterior plate fixation, followed by posterior decompression and fusion. It is important to remember any two level corpectomy needs to be stabilized posterior due to the high rate of graft migration.

       

      Suda et al showed that signal intensity change on MRI and local kyphosis were the most crucial risk factors for poor surgical outcomes. They recommend when patients have local kyphosis exceeding 13 degrees, anterior decompression should be performed with an attempt to correct the deformity, followed by posterior decompression in some cases. Expansive laminoplasty alone should be avoided in patients with local kyphosis greater than 13 degrees.

       

      Chiba et al reviewed the long-term results of open-door laminoplasty for cervical myelopathy. They found satisfactory results of open-door laminoplasty at an average follow up of 14 years. Overall cervical range of motion decreased by 36%. Segmental motor palsy developed in 8 of 80 patients.

       

      Illustration A demonstrates why a posterior decompression is ineffective in patients with rigid kyphosis and cervical myelopathy.

       

      Incorrect Answers:

      Answer 1: Due to her severe and progressive symptoms, there is no role for nonoperative treatment in this patient.

      Answer 2, 3, 4: Any posterior procedure alone, including a laminectomy, laminectomy with fusion, or laminoplasty would not correct her kyphotic deformity and address the anterior compression caused by the spinal cord "draping" over the anterior compressive elements. A posterior procedure alone should be avoided in patients with excessive kyphosis.

      Illustrations: A

       

       

       

      ++++++++++++++++++++++++++++++++++++++++++++++++++++++++++++++++++++++++++++++++++

    53. Which of the following variables has the strongest association with poor clinical outcomes in patients who undergo expansive laminoplasty for cervical spondylotic myelopathy?

       

       

       

      1. Multi-level stenosis

         

         

         

      2. Duration of symptoms

         

         

         

      3. Local kyphosis angle > 13 degrees

         

         

         

      4. Osteoporosis

         

         

         

      5. MRI finding of CSF effacement

       

      PREFERRED RESPONSE ▼ 3

      DISCUSSION: Fixed cervical kyphosis is associated with poor functional outcomes when performing an expansive laminoplasty for cervical spondylotic myelopathy.

       

      Suda et al performed a retrospective study of 111 patient who underwent canal expanding laminoplasty for cervical myelopathy. The found a local kyphosis of > 13 degrees and signal intensity change on MRI were the most crucial risk factors for poor surgical outcomes. In patients with local kyphosis exceeding 13°, they recommend anterior decompression with correction of kyphosis in addition to posterior decompression.

       

      Chiba et al reviewed the long-term results of open-door laminoplasty for cervical myelopathy. They found satisfactory results of open-door laminoplasty at an average follow up of 14 years. They found patients with preoperative kyphosis in the OPLL group had much lower recovery rates than those with lordotic and straight alignments, although statistical significance was not detected due to the small sample size.

      Incorrect Answers:

      Answer 1: Laminoplasty is effective at decompressing multiple stenotic levels, and therefore multilevel stenosis is not associated with poor outcomes.

      Answer 2: Although duration of symptoms and severity of symptoms have been associated with poor clinical outcomes, the Suda et al study found local kyphosis was the strongest predictor of poor clinical outcomes.

      Answer 4. Based on available literature osteoporosis is not a predictor of poor surgical outcomes with laminoplasty.

      Answer 5: While cord signal change, or myelomalacia, is associated with poor functional outcomes, CSF effacement alone is not.

       

       

       

      Illustrations: A

       

       

      ++++++++++++++++++++++++++++++++++++++++++++++++++++++++++++++++++++++++++++++++++

    54. All of the following clinical signs are characteristic of an upper motor neuron disorder EXCEPT

       

       

       

      1. Fasciculations

         

         

         

      2. Spasticity

         

         

         

      3. Muscle weakness

         

         

         

      4. Exaggerated deep tendon reflexes

         

         

         

      5. Sustained clonus

       

      PREFERRED RESPONSE ▼ 1

      DISCUSSION: Fasciculations are a clinical sign of a lower motor neuron disorders. The lower motor neuron is defined as the nerve fibers traveling from the anterior horn of the spinal cord to the

      peripheral muscle. Lesions to the lower motor neuron are characterized by fasciculations and flaccid paralysis. The upper motor neuron is defined as the nerve fibers traveling from the motor cortex of the brain to the anterior horn of the spinal cord. Upper motor neuron disorders are characterized by spastic paralysis, exaggerated deep tendon reflexes, sustained clonus, and an up-going Babinski sign. Muscle weakness is a clinical sign of both upper and lower motor neuron disorders.

      ++++++++++++++++++++++++++++++++++++++++++++++++++++++++++++++++++++++++++++++++++

    55. Following a C3-C7 laminoplasty in a myelopathic patient with cervical stenosis, the most common neurologic complication would manifest with which of the following new posteoperative exam findings

       

       

       

      1. Change in voice and difficulty swallowing

         

         

         

      2. Triceps weakness

         

         

         

      3. Deviation of the tongue

         

         

         

      4. Ptosis, meiosis, anhydrosis

         

         

         

      5. Biceps weakness

       

      PREFERRED RESPONSE ▼ 5

      DISCUSSION: A C5 palsy (deltoid and biceps weakness) is the most likely neurologic complication following cervical laminoplasty, with an incidence of ~5%. Its pathogenesis and the options for prevention and treatment remain unidentified and many controversies exist. Two theories to account for the pathogenesis of C5 palsy exist: 1) nerve root injury 2) segmental spinal cord disorder. Neither of these hypotheses has been consistently supported and evidence to refute each hypothesis can be found in the literature. Although patients with C5 palsy generally have a good prognosis for neurologic and functional recovery, those with severe paralysis require significantly longer recovery times when compared to more mild cases.

       

      Sakaura et report a 4.6% incidence of postoperative C5 palsy. They found no significant difference between patients undergoing anterior decompression and fusion and posterior laminoplasty. There was also no difference between cervical spondylotic myelopathy and ossification of the posterior longitudinal ligament.

       

      Chiba et al found the pattern of delayed onset of paralysis, dysesthesia in the upper extremities, and the presence of T2 high-signal intensity zones suggest that a certain impairment in the gray matter of the spinal cord may play an important role in the development of postoperative segmental motor paralysis.

       

      Kaneko et al attempted to investigate the possible mechanism for postoperative motor dominant C5 paralysis from intraoperative electrophysiological studies. They found a 7.6% incidence of postoperative motor dominant C5 paralysis. C5 paralysis occurred from 1 to 3 days after surgery and compromised unilaterally in all 5 patients. They were unable to draw significant conclusions regarding the etiology.

      Incorrect Answers:

      Answer 1: Change in voice and difficulty swallowing is associated with a recurrent laryngeal nerve injury, which is associated with anterior procedures and not a posterior laminoplasty.

      Answer 2: Although a C7 palsy (tricpes weakness) is a possible complication of a laminoplasty, a C5 palsy is more common.

      Answer 3: A hypoglossal nerve injury is a rare complication of anterior cervical surgery and results in deviation of the tongue

      Answer 4: Horner's syndrome is a rare complication of anterior cervical surgery, and presents with ptosis, meiosis, and anhidrosis.

      ++++++++++++++++++++++++++++++++++++++++++++++++++++++++++++++++++++++++++++++++++

    56. A 56-year-old male presents with gait imbalance and decreased manual dexterity. Sagital T2 MRI images are shown. What is the most appropriate surgical management?

      FIGURES: A

      B

       

       

       

       

       

       

       

      1. posterior foraminotomy

         

         

         

      2. anterior decompression and fusion

         

         

         

      3. laminectomy alone

         

         

         

      4. laminectomy and fusion

         

         

         

      5. hinge-door laminoplasty PREFERRED RESPONSE ▼ 2

      DISCUSSION: The patient in this scenario is suffering from cervical spondylotic myelopathy, as they are experiencing decreased manual dexterity and likely an ataxic shuffling gait. MRI shows a narrowed canal with significant spinal cord compression and myelomalacia (spinal cord signal on T2 images). In addition, as seen in the second image, the patient has greater than 10 degrees of

      kyphosis. Myelopathy with motor/gait impairment is a surgical indication. The question they are testing is whether to do an anterior or posterior decompression. Kyphosis of > 10 degrees is a contraindication to posterior decompression, making the correct choice to be answer 2, anterior decompression and fusion. Per the cited article, the indications for an ACDF include cervical myelopathy from soft disc herniation or from spondyltiic degeneration that is limited to the disc level (for one to two level spondylosis without retrovertebral disease). If there is compression behind the body from migrated disc fragments or from ossification of the PLL (retrovertebral disease), then another operation should be performed; usually an anterior corpectomy and strut grafting will enable better decompression and is ideal for pts with kyphosis or neck pain . Laminectomy historically has poor results from late deformity and late neurologic deterioration. Laminoplasty was developed to address cervical stenosis of THREE or more segments, and compares favorably with anterior corpectomy and fusion for neurologic recovery. Laminoplasty does have a lower complication rate than corpectomy and strut grafting, but has a higher incidence of postop axial symptoms.

      ++++++++++++++++++++++++++++++++++++++++++++++++++++++++++++++++++++++++++++++++++

    57. A 67-year-old woman presents with low back pain and bilateral buttock and leg pain. She prefers to stoop over the shopping cart whenever shopping. She recently noticed difficulty picking up small objects and buttoning her shirt. Physical exam shows normal strength in her lower extremities, and 3+ bilateral patellar reflexes. Gait examination shows a broad, unsteady gait. Flexion and extension radiographs of the lumbar spine are shown in Figure A and B. A lumbar MRI is shown in Figure C. What is the most appropriate next step in management?

      FIGURES: A

      B
      C

       

       

       

       

       

       

       

      1. Lumbar decompression only

         

         

         

      2. Lumbar decompression and instrumented fusion

         

         

         

      3. Discogram

         

         

         

      4. MRI of the cervical spine

         

         

         

      5. Lumbar epidural injection

      PREFERRED RESPONSE ▼ 4

      DISCUSSION: The patient is exhibiting signs and symptoms of lumbar spinal stenosis, which is confirmed by lumbar stenosis seen on her lumbar MRI. However, she also has clincial symptoms of cervical myelopathy. Therefore the next step in management is to obtain and MRI of the cervical spine.

       

      Epstein et al discussed how to approach patients that are symptomatic from both cervical and lumbar spinal stenosis. They found cervical cord decompression often resulted in improvement in lumbar symptoms with resolution of pain, spasticity, and sensory deficits of myelopathic origin. They also found after cervical laminectomy, myelopathy improved or stabilized, and the subsequent lumbar decompression could be completed with less risk.

       

      Laroche et al looked at the frequency of association between lumbar and cervical stenosis. They found 10 out of the 17 patients having cervical myelopathy had lumbar spinal stenosis as evidenced by sagittal tomography and/or computerized tomography. 9 out of the 30 patients admitted for symptomatic lumbar spinal stenosis had coexisting cervical canal stenosis as evidenced by sagittal tomography.

       

      Incorrect Answers:

      Answer 1: The symptoms of cervical myelopathy take precedence, and therefore and MRI of the cervical spine should be performed prior to proceeding with lumbar surgery.

      Answer 2: (same as answer 1)

      Answer 3: A discogram is not indicated for the management of spinal stenosis or cervical myelopathy.

      Answer 5: While a lumbar epidural injection is a viable treatment option for spinal stenosis, the patient has symptoms of cervical myelopathy that must be investigated.

      ++++++++++++++++++++++++++++++++++++++++++++++++++++++++++++++++++++++++++++++++++

       

       

    58. A 63-year-old female presents with a broad-based shuffling gait, loss of manual dexterity, and exaggerated deep tendon reflexes in the lower extremities. A T2-weighted MRI scan is shown in Figure A. What is the most appropriate treatment?

      FIGURES: A

       

       

       

       

      1. C4 to C7 cervical laminectomy

         

         

         

      2. C4 to C7 cervical laminectomy with fusion

         

         

         

      3. C4 to C7 laminoplasty with plate fixation

         

         

         

      4. Multilevel anterior cervical decompression with fusion and stabilization

         

         

      5. Immobilization in a halo orthosis for 6 weeks followed by gradual ROM exercises

      PREFERRED RESPONSE ▼ 4

      DISCUSSION: The patient has spondylotic cervical myelopathy with progressive neurologic symptoms, so surgical decompression is indicated. Imaging shows kyphotic alignment, so the most appropriate treatment is with an anterior procedure to restore alignment to neutral or lordosis. This could be done either be a C6 corpectomy or multi-level ACDF.

       

      In patients with cervical spondylotic myelopathy the choice between an anterior, posterior, or combined approach is based primarily on: (1) the sagittal alignment of the spinal column, (2) levels involved (3) location of compression, (4) preoperative neck pain, and (5) previous operations, and (6) status of RLN. In patients with cervical kyphosis the spinal cord is pulled anteriorly against the anterior degenerative structures. Therefore, in patients with rigid kyphosis of > 10 degrees an anterior procedure is required to address the anterior compressive structures.

       

      Kawakami et al is a retrospective cohort study (LOE-3) that compared surgical outcomes for 136 patients who underwent anterior or poster multi-level fusions for cervical myelopathy. They found that those patients with kyphotic cervical spines had inferior results to those who had lordotic or straight alignment and suggested maintaining or improving lordosis during surgery to improve outcome

       

      Rao et al is a review article examining multiple treatment modalities for cervical spondylotic myelopathy. They state that anterior approaches can be performed for single or multi-level procedures and that anterior approaches are preferred for those patients who have loss of cervical lordosis.

       

      Figure A shows A T2-weighted MRI with multi-level compression, worse at C5/6 and C6/7, in a patient with cervical kyphosis. Illustration A shows how to measure the C2-C7 sagittal alignment and focal sagittal alignment in this patient. Illustration B shows how in a kyphotic spine, why a laminectomy fails to address the anterior compression on the spinal cord.

       

      Incorrect Answers:

      Answer 1-3: In this case posterior decompression alone is contraindicated because the patient is kyphotic. Posterior decompression alone will not allow posterior translation of the spinal cord away from the anterior compressive pathology, which can only be done by correcting the kyphotic deformity.

      Answer 5: Immobilization in halo will not decompress the spine nor correct the kyphotic deformity. In the setting of myelopathy and progressive neurological deterioration, spinal decompression should be considered.

      Illustrations: A

      B

       

       

       

       

       

      ++++++++++++++++++++++++++++++++++++++++++++++++++++++++++++++++++++++++++++++++++

    59. Postoperative radiculopathy is a known complication of posterior cervical decompression for myelopathy. One potential mechanism of nerve root injury is thought to be tethering of the nerve root with dorsal migration of the spinal cord. What is the most common radicular pattern seen with this condition?

       

       

       

      1. Motor-dominant radiculopathy with weakness of the deltoid

         

         

         

      2. Sensory-dominant radiculopathy with pain in the lateral shoulder

         

         

         

      3. Motor-dominant radiculopathy with weakness of the wrist extensors

         

         

         

      4. Sensory-dominant radiculopathy with pain in the lateral forearm

         

         

         

      5. Motor-dominant radiculopathy with weakness of the triceps

       

      PREFERRED RESPONSE ▼ 1

      DISCUSSION: The study by Dai et al retrospectively reviewed 287 consecutive patients with cervical compression myelopathy who had been treated by multilevel cervical laminectomy and identified 37 (12.9%) with postoperative radiculopathy. The diagnosis was either cervical spondylosis (25 patients) or ossification of the posterior longitudinal ligament (12 patients). Radiculopathy was observed from four hours to six days after surgery. The most frequent pattern of paralysis was involvement of the C5 roots of the motor-dominant type. They argue, in support of prior studies by Tsuzuki et al, that postoperative radiculopathy is caused by a tethering injury to the root caused by of expansion and dorsal migration of the spinal cord rather than a technical problem.

    60. Which classification system for cervical myelopathy focuses exclusively on lower extremity function?

       

       

       

      1. Nurick

         

         

         

      2. Japanese Orthopaedic Association

         

         

         

      3. Modified Japanese Orthopaedic Association

         

         

         

      4. Ranawat

         

         

         

      5. Oswestry

       

      PREFERRED RESPONSE ▼ 1

      DISCUSSION: The Nurick Classification system is a classification system for cervical myelopathy that focuses on the ambulatory status of the patient.

       

      The different Grades of the Nurick classification system include: (GRADE 0) Signs or symptoms of root involvement but without evidence of spinal cord disease. (GRADE 1) Signs of spinal cord disease but no difficulty in walking. (GRADE 2) Slight difficulty in walking that did not prevent full-time employment. (GRADE 3) Difficulty in walking that prevented full-time employment or the ability to perform all housework but that was not severe enough to require someone else’s help to walk. (GRADE 4) Able to walk with someone else’s help or the aid of a frame. (GRADE 5) Chair bound or bedridden.

       

      Hirabayashi et al present a Level 4 study of 53 cases who underwent surgical decompression for patients with OPLL and concomitant myelopathy or radiculopathy. They reported a recovery rate of approximately 70%.

       

      Edwards et al present a Level 5 review of cervical myelopathy. They report that anterior decompression and fusion procedures including 1 or 2 levels have predictable results, but ACDFs involving 3 or more levels are associated with increased morbidity.

      Illustration A describes the Nurick Classification system in chart format. Incorrect Answers:

      Answer 2: The Japanese Orthopaedic Association Classification system includes chopstick function.

      Answer 3: The Modified Japanese Orthopaedic Association Classification system includes upper extremity dexterity tasks such as buttoning of a shirt.

      Answer 4: The Ranawat Classiciation takes into account upper extremity, and well as lower extremity, symptoms.

      Answer 5: The Oswestry Disability Index is a classification for back pain, not cervical myelopathy.

      Illustrations: A

       

       

       

       

      ++++++++++++++++++++++++++++++++++++++++++++++++++++++++++++++++++++++++++++++++++

    61. A 66-year-old male presents with neck pain, difficulty with fine motor activities like buttoning shirts, and mild gait instability. On physical examination he has 5 of 5 motor strength in all muscles groups in his upper and lower extremities, a bilateral Hoffman sign, bilateral 3+ patellar reflexes, 3 beats of clonus on the right, and no clonus on the left. Radiographs show segmental kyphosis of 12 degrees from C4 to C7. MRI shows circumferential compression at C5/6 with complete effacement of CSF and T2 intramedullary signal. What is the most accurate description of how his symptoms will progress over time?

       

       

       

      1. Stable over time.

         

         

         

      2. Improvement following a course of high-dose IV spinal steroids.

         

         

         

      3. Improvement following a period of rest, physical therapy, and oral medication.

         

         

         

      4. Slow progression in a pattern of stepwise deterioration following periods of stable symptoms.

         

         

         

      5. Rapid and serious deterioration requiring urgent surgical treatment.

       

      PREFERRED RESPONSE ▼ 4

      DISCUSSION: The natural history of spondylotic cervical myelopathy is characterized by slow progression in a pattern of stepwise deterioration following periods of stable symptoms. Factors that are associated with worse outcomes with nonoperative treatment include segmental kyphosis and circumferential compression spinal cord compression. Whether T2 signal intensity predicts progression is controversial.

       

      Clarke et al, in a historic article from 1974, found "where subsequent extension of the disease occurred, it was often very slow."

       

      Lees et al in another historic article report that in patients with CSM the natural history is

      characterized by "periods of long non-progressive disability."

       

      Shimomura et al looked at factors that could predict progression in patients with CSM. They found patients with circumferential spinal cord compression in the maximum compression segment on axial MRI tended to do worse with nonoperative treatment.

       

      Oshima et al also looked at factors that could predic progression in patients with CSM. They found segmental kyphosis and instability at the narrowest canal were considered to be adverse prognostic factors with nonoperative treatment.

       

      Emery in a review article reports "the natural history of this disorder is usually slow deterioration in a stepwise fashion, with worsening symptoms of gait abnormalities, weakness, sensory changes, and often pain. Minimal symptoms without hard evidence of gait disturbance or pathologic reflexes warrant nonoperative treatment, but patients with demonstrable myelopathy and spinal cord compression are candidates for operative intervention."

      ++++++++++++++++++++++++++++++++++++++++++++++++++++++++++++++++++++++++++++++++++

    62. A 35-year-old man complains of clumsiness when buttoning his shirt and frequent episodes of falling when ambulating. Further work-up reveals congenital cervical spinal stenosis with spinal cord compression. Because of his young age, posterior laminoplasty is performed. Which nerve root is most likely to be adversely affected following surgery?

       

       

       

      1. C2

         

         

         

      2. C3

         

         

         

      3. C4

         

         

         

      4. C5

         

         

         

      5. C6

       

      PREFERRED RESPONSE ▼ 4

      DISCUSSION: Neurologic deterioration during and after surgery is one of the most serious complications of surgery for cervical compression myelopathy. The earliest article (Yonenobu Spine 1991) looked at 384 patients over 18 years who underwent surgery for cervical myelopathy.

      Neurologic deterioration was found in 21 patients (5.5%). 13 of these showed signs of C5 root paresis while 8 showed signs of spinal cord dysfunction. While an etiology could be described for 4 of the patients with C5 root paresis (3 graft displacement, 1 hyperextension), the etiology of the remaining 9 was unknown. Even CT myelography could only offer the possible explanation of acute large shift of the spinal cord as being responsible for these defects. Myelograms of 25 patients without neurologic complications showed the maximum cord shift was at C5, but the average shift was not any different from patients with complications. Further studies have corroborated the observances of the 1991 study showing that the C5 root is most affected by postoperative paralysis following posterior cervical decompression. The 2002 paper suggested that in an effort to reduce postoperative C5 nerve root palsy, the clinician should consider intraoperative deltoid and biceps transcranial electrical

      motor-evoked potential and spontaneous electromyography monitoring whenever there is potential for iatrogenic C5 nerve root injury. They were able to detect injury prospectively and avert more serious consequences with intraoperative monitoring.

      ++++++++++++++++++++++++++++++++++++++++++++++++++++++++++++++++++++++++++++++++++

    63. 21-year-old college football player sustains transient loss of motor function in his arms after a collision. Which of the following is an absolute contraindication to return to play?

       

       

       

      1. Anterior cervical diskectomy and fusion for one level disk herniation

         

         

         

      2. Torg ratio of less than 0.8 with no other neurologic symptoms

         

         

         

      3. Cord signal changes in the MRI

         

         

         

      4. Frequent episodes of stingers when he was in high school

         

         

         

      5. Chronic neck and back pain

       

      PREFERRED RESPONSE ▼ 3

      DISCUSSION: The Torg ratio is the ratio of the spinal canal/vertebral body. Torg and Pavlov stated that a ratio under 0.8 corresponded to severe spinal stenosis. However, subsequent studies have shown the incidence of spinal stenosis (using a Torg ratio of 0.8 as a definition) to be 49% in asymptomatic professional football players. Kim et al also found that the presence of an abnormal Torg ratio does not appear to be predictive of future spinal cord injury.

       

      Ladd and Scranton argue that spinal stenosis cannot be defined by bone measurements alone; they claim “functional” spinal stenosis is more accurately defined as a loss of the CSF around the cord or deformation of the spinal cord documented by CT myelography or MRI. Cantu advises that in the setting of “functional” spinal stenosis, a return to contact or collision sports should be contraindicated. Kim et al argue that athletes sustaining multiple episodes of transient quadriparesis or bilateral extremity symptoms with MRI evidence of cord injury should be advised to avoid contact/collision sports.

      ++++++++++++++++++++++++++++++++++++++++++++++++++++++++++++++++++++++++++++++++++

    64. A 29-year-old male presents with numbness and tingling in his lower extremities and gait instability for two weeks duration. Physical exam shows 3+ brisk patellar reflexes. Magnetic-resonance-imaging is shown in Figure A. What is the most appropriate first line of treatment?

       

       

      FIGURES: A

       

       

       

       

      1. Observation

         

         

         

      2. Physical therapy

         

         

         

      3. Epidural injection

         

         

         

      4. Laminectomy

         

         

         

      5. Anterior diskectomy

       

      PREFERRED RESPONSE ▼ 5

      DISCUSSION: The clinical presentation and imaging studies are consistent with a thoracic disk herniation with spinal cord compression causing symptoms of thoracic myelopathy. This is an indication for surgery. Thoracic level disk herniations are treated with anterior diskectomy with or without fusion. Bohlman and Zdeblick reviewed 22 cases of thoracic level disc herniations in 19 patients. They found the anterior transthoracic or costotransversectomy diskectomy provided complete pain relief in 10 patients, partial pain relief in 8 patients, and no pain relief in 1 patient at a mean of 48 month follow-up. Currier et al. reviewed the treatment of 19 patients with thoracic level herniations with diskectomy and fusion. They found the results of diskectomy and fusion were excellent in 6, good in 6, fair in 1, and poor in 1 patients.

      ++++++++++++++++++++++++++++++++++++++++++++++++++++++++++++++++++++++++++++++++++

    65. A 47-year-old male presents with back pain of 2 weeks duration. He denies night sweats, fevers, or weight loss. He localizes his symptoms to a dermatomal distribution along the rib cage on the right. On physical exam he has mild paraspinal tenderness, normal patellar reflexes, normal muscle strength in his lower extremities, and a normal gait exam. An MRI is shown in Figure A and B. What is the most appropriate first step in management?

       

       

       

       

      FIGURES: A

      B

       

       

       

      1. A repeat MRI with gadolinium

         

         

         

      2. CT of chest, abdomen, and pelvis followed by a CT guided biopsy of the spinal lesion

         

         

         

      3. Physical therapy and NSAIDs

         

         

         

      4. Surgical decompression using a midline posterior approach

         

         

         

      5. Surgical decompression using a transthoracic approach

       

      PREFERRED RESPONSE ▼ 3

      DISCUSSION: The clinical presentation and imaging studies are consistent with a thoracic disc herniation. Although less common than lumbar disc herniation, thoracic disc herniations are a recognized cause of back pain. For patients with prolonged symptoms, Blumenkopft and Maiman contend that MRI is the study of choice in evaluation of disc herniations. The downside of MRI is that it can have high false positive rates. In a retrospective study, Wood et. al showed that in asymptomatic individuals 73% had thoracic disc abnormalities and 37% showed frank herniations, 29% of these had cord compression. 75% of herniations occur between T8 and T12. Because the MRI in this question is highly characteristic of a thoracic disc herniation, the suspicion for a malignant or infectious process is low and an MRI with gadolinium, biopsy, and cancer staging are not indicated. The majority of these patient improve with nonoperative management including physical therapy.

      Because this patient has no neurologic deficits, surgery would not be indicated.

      ++++++++++++++++++++++++++++++++++++++++++++++++++++++++++++++++++++++++++++++++++

    66. A 55-year-old woman undergoes endoscopic transthoracic anterior surgery for a herniated disk in the thorax. What is the most likely complication following surgery?

       

       

       

      1. Increased kyphosis

         

         

         

      2. Pseudarthrosis

         

         

         

      3. Intercostal neuralgia

         

         

         

      4. Pneumothorax

         

         

         

      5. Cardiac tamponade

       

      PREFERRED RESPONSE ▼ 3

      DISCUSSION: In the cited study the authors address the surgical strategies required to resect residual herniated thoracic discs. Endoscopic surgery requires establishment of portals between the ribs and frequently causes compression of the intercostal nerves. Therefore, the most common complication is intercostal neuralgia. Pneumothorax and cardiac tamponade are extremely rare.

      ++++++++++++++++++++++++++++++++++++++++++++++++++++++++++++++++++++++++++++++++++

    67. A 35-year-old female presents for evaluation of new onset lumbar spine pain. Which of the following physical exam findings is indicative of an organic cause of low back pain symptoms?

       

       

       

      1. Positive straight-leg raise with patient distraction

         

         

         

      2. Pain with axial loading of the spine

         

         

         

      3. Diffuse tenderness with palpation of the paraspinal lumbar musculature

         

         

         

      4. Lower extremity numbness in a non-dermatomal pattern

         

         

         

      5. Pain with simulated rotation of the lumbar spine

       

      PREFERRED RESPONSE ▼ 1

      DISCUSSION: Non-organic signs of low back pain (ie. Waddell Signs) include superficial and non-anatomic tenderness, pain with axial compression or simulated rotation of the lumbar spine, negative straight-leg raise with patient distraction, regional disturbances which do not follow a logical dermatomal pattern, and overreaction to physical examination.

       

      Waddell et al described and standardized these non-organic signs of low-back pain in 350 North American and British patients. They divided them into 5 categories (tenderness tests, simulation tests, distraction tests, regional disturbances, and overreaction), and found that when three or more categories were positive, the finding was considered clinically significant. This was also correlated with high scores for depression, hysteria and hypochondriasis on the Minnesota Multiphasic Personality Inventory (MMPI).

      ++++++++++++++++++++++++++++++++++++++++++++++++++++++++++++++++++++++++++++++++++

    68. A 29-year-old male with a history of hypertension reports a 2-day history of severe, atraumatic low back pain. He denies constitutional symptoms. He denies any bowel or bladder difficulties and physical examination reveals full motor strength and sensation. No pathologic reflexes are detected. All of the following are most appropriate at the initial visit EXCEPT?

       

       

       

      1. Limited oral analgesia

         

         

         

      2. Radiographs of lumbar spine

         

         

         

      3. Schedule outpatient follow-up visit within 4 weeks

         

         

         

      4. Early range of motion exercises

         

         

         

      5. Reassurance

      PREFERRED RESPONSE ▼ 2

      DISCUSSION: A previously healthy patient with an acute onset of nontraumatic lower back pain does not need diagnostic imaging before proceeding with therapeutic treatment. This patient had no "red flags" during the history (recent trauma or constitutional symptoms), and physical examination was normal without focal neurologic deficits. The appropriate treatment for acute onset lower back pain is solely symptomatic treatment. Diagnostic imaging is not necessary unless the initial treatment is unsuccessful and symptoms are prolonged. Miller et al found the use of radiographs can lead to better patient satisfaction but not better outcomes. Chou et al peformed a metanalysis that also concluded that lumbar imaging without indication of serious underlying condition does not improve clinical outcomes.

      +++++++++++++++++++++++++++++++++++++++++++++++++++++++++++++++++++++++++++++++++

    69. A 32-year-old manual laborer has work-related chronic musculoskeletal back pain for several years. Which of the following is the strongest negative predictor for a successful clinical outcome with non-operative treatment?

       

       

       

      1. Race

         

         

         

      2. Smoking status

         

         

         

      3. High Visual Analog Scale (VAS) scores prior to treatment

         

         

         

      4. Type of occupation

         

         

         

      5. Gender

       

      PREFERRED RESPONSE ▼ 3

      DISCUSSION: In patients with chronic disabling work-related musculoskeletal disorders, high pre-rehabilitation ratings of pain intensity, as measured by high Visual Analog Scale (VAS) scores, is a negative predictor for a successful outcomes.

       

      McGeary et al evaluated the ability of pain intensity ratings in 3,106 patients with chronic disabling occupational musculoskeletal disorders to predict the rehabilitation outcomes and identify patients at risk for poor outcomes. High pain intensity prior to rehabilitation was linearly associated with declining rates of program completion and higher rates of self-reported depression and disability after rehabilitation. The authors did not find any correlation between poor clinical outcomes and race, smoking, gender, or type of occupation.

       

      Proctor et al "found that about 25% of patients with a chronic disabling work-related musculoskeletal disorder pursue new health-care services after completing a course of treatment, and this subgroup accounts for a significant proportion of lost worker productivity, unremitting disability payments, and excess health-care consumption."

      ++++++++++++++++++++++++++++++++++++++++++++++++++++++++++++++++++++++++++++++++++

    70. A 33-year-old woman reports pain down her right leg and numbness across the dorsum of her right foot which started 3 months ago during a bowel movement. Prior to this she had had 1 month of low back pain. She had a lumbar microdiscectomy at L4/5 3 years ago which was successful. On exam she has difficulty dorsiflexing her right foot at the ankle (4/5). Her new MRI images are shown in Figure A. After a failure of nonoperative treatment, which of the following is the most appropriate surgical treatment?

      FIGURES: A

       

       

       

       

       

       

      1. L4/5 microdiskectomy through midline approach

         

         

         

      2. L4/5 microdiskectomy with far lateral Wiltse approach

         

         

         

      3. L4/5 Decompression, TLIF, and instrumented fusion

         

         

         

      4. L4/5 Decompression, PLIF, and instrumented fusion

         

         

         

      5. L4/5 Anterior Lumbar Interbody Fusion

       

      PREFERRED RESPONSE ▼ 1

      DISCUSSION: The clinical presentation is consistent with a recurrent lumbar disc herniation. If conservative measures fail, the most appropriate treatment is revision microdiskectomy.

       

      Papadopoulos et al. finds that revision discectomy is as successful as primary discectomy for patient satisfaction and function.

       

      Suk et al. studied conventional discectomy for treatment of recurrent lumbar disc herniation and found results to be comparable to discectomy for a primary herniation.

       

      Incorrect Answers:

      Answer 2: A L4/5 microdiskectomy with far lateral Wiltse approach is indicated in a far lateral or foraminal disc herniation. An example of a far lateral disc herniation is shown in Illustration A. Answer 3,4,5: A fusion would not be indicated at this time, as there is no sign of instability or spondylolisthesis.

       

       

      Illustrations: A

       

       

      ++++++++++++++++++++++++++++++++++++++++++++++++++++++++++++++++++++++++++++++++++

    71. A 35-year-male presents with pain radiating down the left leg, worse in the anterior leg distal to the knee. On physical exam, he is unable to go from a sitting position to a standing position with a single leg on the left, whereas he has no difficulty on the right. His patellar reflex is absent on the left, and 2+ on the right. Which of the following clinical senarios would best produce this pattern of symptoms.

       

       

       

      1. Left L2-3 foraminal herniated nucleus pulposis

         

         

         

      2. Left L4-5 central herniated nucleus pulposis

         

         

         

      3. Left L4-5 paracentral herniated nucleus pulposis

         

         

         

      4. Left L4-5 foraminal herniated nucleus pulposis

         

         

         

      5. Left L5-S1 paracentral herniated nucleus pulposis

       

      PREFERRED RESPONSE ▼ 4

      DISCUSSION: This clinical senario describes a patient presenting with an L4 radiculopathy. This is supported by his decreased patellar reflex and quadriceps weakness. A L4-5 foraminal (far lateral) herniated nuleus pulposis would most likely cause symptoms in the L4 distribution as foraminal herniations most commonly affect the exiting upper nerve root at a given lumbar level.

       

      Rainville et al performed a study to identify the most sensitive physical exam test to detect quadriceps weakness caused by either an L3 or L4 radiculopathy. They found in L3 and L4 radiculopathies, unilateral quadriceps weakness was detected by the single leg sit-to-stand test in 61%, by knee-flexed manual muscle testing in 42%, by step-up test in 27% and by knee-extended

      manual muscle testing in 9% of patients. They conclude in L3 and L4 radiculopathies, unilateral quadriceps weakness was best detected by a single leg sit-to-stand test.

       

      Deyo et al review the history, presentation, physical exam findings, and conservative treatment aimed at lumbar disk herniations. They describe the treatment modalities recommended (NSAIDS and early progressive mobilization) and those which are not recommended (narcotics and muscle relaxants). Physical examination maneuvers aimed at ruling out a diagnosis of cauda equina syndrome are imperative to understand and document as cauda equina syndrome is a surgical emergency.

       

      Illustration A shows the location of different types of disk herniations. The red circle shows the location of a foraminal (far lateral) disc herniation. The blue circle shows the location of a paracentral disc herniation. Illustration B shows a T2 axial image of a foraminal (far lateral) disc herniation.

      Illustration C shows a T2 axial image of a paracentral disc herniation. Illustration D describes the difference between the cervical spine and lumbar spine with respect to nerve root anatomy.

       

       

       

       

       

       

       

      Illustrations: A

      B
      C
      D

       

       

       

       

      ++++++++++++++++++++++++++++++++++++++++++++++++++++++++++++++++++++++++++++++++++

    72. Following surgical treatment of a lumbar disc herniations with radiculopathy, patients with worker's compensation claims have which of the following when compared to patients who do not have worker's compensation claims at 5 years?

       

       

       

      1. Equivalent relief from symptoms and equivalent improvement in quality of life

         

         

         

      2. Less relief from symptoms and less improvement in quality of life

         

         

         

      3. Improved relief from symptoms and greater improvement in quality of life

         

         

         

      4. Significantly decreased return to work status

         

         

         

      5. Significantly improved return to work status

       

      PREFERRED RESPONSE ▼ 2

      DISCUSSION: Patients with worker's compensation claims have less relief from symptoms and less improvement in quality of life following surgical treatment of lumbar disc herniations. Despite this, they have near equivalent return to work status at 4 years.

       

      Atlas et al. (2006) showed at 5-10 years, most patients, regardless of baseline workers' compensation status, were employed (78% for both groups). However, workers' compensation patients had worse symptoms, functional status, and satisfaction outcomes.

       

      Atlas et al. (2000) found patients who had been receiving Workers' Compensation at baseline had significantly less relief from symptoms and less improvement in quality of life, however, they were only slightly less likely to be working at the time of the four-year follow-up.

      ++++++++++++++++++++++++++++++++++++++++++++++++++++++++++++++++++++++++++++++++++

    73. A 40-year-old female presents with right leg pain localized to the buttock, posterior thigh, and lateral calf. In addition, she describes numbness and tingling on the dorsum of the right foot. Physical exam shows weakness to EHL. Three months of nonoperative treatment including anti-inflammatory medication, physical therapy, and epidural injections failed to provide lasting relief and pain is still severe in nature. Her MRI is shown in Figures A and B. What would be the most appropriate management at this juncture?

       

       

       

       

      FIGURES: A

      B

       

       

       

      1. Refer the patient to pain management

         

         

         

      2. Repeat epidural steroid injection

         

         

         

      3. In situ spinal fusion with instrumentation without decompression

         

         

         

      4. Laminotomy and diskectomy

         

         

         

      5. Spinal fusion with interbody cage and posterior instrumentation

       

      PREFERRED RESPONSE ▼ 4

      DISCUSSION: The patients clinical presentation and imaging studies are consistent with a L5 radiculopathy caused by a right paracentral disc herniation at L4/5 which is compressing the L5 nerve root. The L5 dermatome is shown in the illustration below. The muscles innervated by L5 nerve root include EHL and tibialis anterior, and therefore these patients may present with a "foot drop". While EHL is usually innervated by L5 alone, tibialis anterior has variable innervation by L4 and L5. Most patients with an acute lumbar radiculopathy get better within 6 weeks with nonoperative treatment. If symptoms do not improve after six weeks, according to Weinstein et al and the SPORT as-treated analysis (prospective nonrandomized), discectomy was favorable with quicker improvement in symptoms. This patient has failed conservative treatments and would be a candidate for laminotomy and discectomy. Of note, the SPORT intent-to-treat analysis (prospective randomized) showed no statistical difference between those who had diskectomy vs. those who did not, but this data was disrupted by a very high crossover rate, and therefore most consider the as-treated analysis as a more accurate representation of the true clinical effect of treatment.

       

      Illustrations: A

       

       

       

       

      ++++++++++++++++++++++++++++++++++++++++++++++++++++++++++++++++++++++++++++++++++

    74. A patient presents with a far lateral herniation of the L4-5 disc. Which of the following findings is most likely to be present?

       

       

       

      1. lateral foot numbness

         

         

         

      2. anterior thigh numbness

         

         

         

      3. ankle dorsiflexion weakness

         

         

         

      4. ankle plantar flexion weakness

         

         

         

      5. extensor hallucis longus weakness

       

      PREFERRED RESPONSE ▼ 3

      DISCUSSION: A foraminal of far lateral disc herniation affects the exiting nerve root, while a paracentral or posterolateral disc herniation affects the traversing nerve root. In this case the L4 nerve root is the exiting root, so ankle dorsiflexion would be weakened. Anterior thigh numbess would be the result of L2 or L3 nerve compression. Extensor hallucis longus weakness would be consistent with L5 palsy. Lateral foot numbness and plantar flexion weakness would be consistent with an S1 nerve root palsy. Tamir et al found a higher incidence of far lateral herniations at the L3-4 level.

       

       

       

      Illustrations: A

       

       

      ++++++++++++++++++++++++++++++++++++++++++++++++++++++++++++++++++++++++++++++++++

    75. In patients with lumbar disc herniations resulting in significant unilateral leg pain but no functionally limiting weakness, surgical decompression has what long term effects when compared to nonoperative management.

       

       

       

      1. Surgery leads to improved outcomes at 4 years

         

         

         

      2. Surgery leads to poorer outcomes at 4 years

         

         

         

      3. Surgical and nonsurgical treatment is comparable at 4 years

         

         

         

      4. Surgery leads to a decreased rate of functionally limiting weakness

         

         

         

      5. Surgery leads to an increased rate of functionally limiting weakness

       

      PREFERRED RESPONSE ▼ 3

      DISCUSSION: Two hundred eighty patients with herniated lumbar discs, verified by radiculography, were divided into three groups. One group, consisted of 126 patients with uncertain indication for surgical treatment, who had their therapy decided by randomization which permitted comparison between the results of surgical and conservative treatment. Another group comprising 67 patients had symptoms and signs that beyond doubt, required surgical therapy. The third group of 87 patients was treated conservatively because there was no indication for operative intervention. Follow-up examinations in the first group were performed after one, four, and ten years. The controlled trial showed a statistically significant better result in the surgically treated group at the one-year followup examination. After four years the operated patients still showed better results, but the difference was no longer statistically significant. Only minor changes took place during the last six years of observation.

      ++++++++++++++++++++++++++++++++++++++++++++++++++++++++++++++++++++++++++++++++++

    76. A far lateral disc herniation at the L4/5 level would likely present with what neurologic symptoms and physical finding.

       

       

       

      1. Weakness to hip flexion, numbness on the inner thigh, a decreased patellar reflex

         

         

         

      2. Weakness to knee extension, numbness on the anterior shin, a decreased patellar reflex

         

         

         

      3. Weakness to ankle dorsal flexion, numbness on the dorsal foot, a decreased Achilles reflex

         

         

         

      4. Weakness to extensor hallicus longus, numbness in the first web space, a decreased Achilles reflex

         

         

      5. Weakness to ankle plantar flexion, numbness on the lateral foot, normal reflexes

       

      PREFERRED RESPONSE ▼ 2

      DISCUSSION: This is a basic anatomy question. A far lateral disc herniation affects the exiting nerve root. At the L4/5 level this would be the L4 nerve root. The L4 nerve root innervates knee extension, the patellar reflex, and a sensory distribution that travels over the knee into the anterior shin. (see illustration A). Illustration B demonstrates the ASIA Classification of Spinal Injury diagram which also depicts ankle dorsiflexion as a test for L4.

       

      Illustrations: A

      B

       

       

       

       

       

       

       

    77. 45-year-old manual laborer presents to the office with acute onset back pain that radiates to his right leg after carrying a heavy object. He also has mild weakness with ankle dorsiflexion on that side. What should be his initial treatment? His MRI is shown in Figure A.

       

       

      FIGURES: A

       

       

       

       

      1. Microdiskectomy

         

         

         

      2. Posterior spinal fusion with instrumentation

         

         

         

      3. Decompression only

         

         

         

      4. Strict bedrest

         

         

         

      5. Anti-inflammatory medication and physical therapy

       

      PREFERRED RESPONSE ▼ 5

      DISCUSSION: Lumbar disc herniation is the most common cause of radicular pain in the adult working population. 95% of these herniations involve L4/5, L5/S1 lumbar disc spaces. Patients typically present with low back pain and sharp stabbing leg pain with sensory symptoms in a specific dermatomal distribution. Persistent intractable pain following non-surgical treatment during a minimum 6 week period is the most frequent indication for surgery. The Weber article was a RCT over 10 yrs of 126 pt with sciatica due to herniated lumbar discs. The results of surgical treatment were significantly better than the results in the conservatively treated group after one year of observation, however this difference became much less pronounced after nine more years. Saal et al retrospectively reviewed 11 patients treated nonoperatively with lumbar disc extrusions through CT/MRI to evaluate disc morphology initially and at follow up (mean 25 mos). Only 1 patient had progression of stenosis, and all patients had disc dessication at the level of disc herniation with contiguous levels being normally hydrated. All patients had a decrease in neural impingement.

      ++++++++++++++++++++++++++++++++++++++++++++++++++++++++++++++++++++++++++++++++++

    78. A 34-year-old male has 7 months of right-sided radicular pain to his anteromedial shin and medial ankle which has failed non-operative treatment. Physical exam shows a foot drop and decreased patellar reflexes on the affected side. A MRI is shown in figures A & B. Operative treatment should include:

      FIGURES: A

      B

       

       

       

       

       

       

       

      1. anterior retroperitoneal approach with anterior lumbar interbody fusion (ALIF)

         

         

         

      2. anterior transperitoneal approach with discectomy only

         

         

         

      3. posterior midline lumbar laminectomy, decompression and fusion with pedicle screw fixation

         

         

         

      4. posterior midline hemilaminectomy with discectomy

         

         

         

      5. paraspinal muscle-splitting approach to the intertransverse space and discectomy

       

      PREFERRED RESPONSE ▼ 5

      DISCUSSION: The clinical presentation and MRI images demonstrate a right-sided far lateral disc herniation at L4/5. As opposed to a paracentral disc which would affect the L5 nerve root, a far lateral disc herniation will affect the L4 nerve root as it exits the L4/5 foramen. That means that the standard midline approach will not easily allow access laterally. Therefore, the Wiltse paraspinal approach is ideal, which preserves segment stability by avoiding injury to the lamina and facet joints. The potential complication to know from the Wiltse approach is potential dorsal root ganglia injury resulting in dysesthesias.

      ++++++++++++++++++++++++++++++++++++++++++++++++++++++++++++++++++++++++++++++++++

    79. A 60-year-old male has right leg radicular pain with hip abductor and EHL weakness. A MRI is shown is figures A-C. What is the source of this patient's symptoms?

      FIGURES: A

      B
      C

       

       

       

       

       

       

       

      1. paracental disk herniation

         

         

         

      2. far lateral disk herniation

         

         

         

      3. facet synovial cyst

         

         

         

      4. hypertrophic ligamentum flavum

         

         

         

      5. intradural tumor

       

      PREFERRED RESPONSE ▼ 3

      DISCUSSION: Juxtafacet cysts are uncommon causes of radicular pain and are often associated with significant spinal degenerative disease. Previous studies have not focused on the outcome of patients who have undergone resection. Banning et al performed a retrospective review of patients who underwent lumbar juxtafacet cyst resection. Thirty-three lumbar juxtafacet cysts were resected from 29 patients. Cysts most commonly arose at the L4-L5 level (51%). Incidental durotomy was the most common surgical complication occurring in 3 cases (9%). Twenty patients (83%) reported improvement in pain, and 16 (67%) reported an improved level of function. All respondents reported some degree of improvement in their condition after surgery. They recommend surgical resection as the treatment of choice with low rates of complications, recurrences, and residual complaints.

    80. A 62-year-old man presents with bilateral buttock and leg pain that is worse with prolonged standing and relieved with sitting. He denies symptoms with exercise on a stationary bike. Initial treatment including NSAIDS and an epidural steroid injection provided only temporary relief of his symptoms, which have returned and are now severe. On physical exam he has normal motor strength in his lower extremities, negative straight-leg raise tests bilaterally, and palpable bilateral dorsalis pedis pulses. Lumbar flexion-extension radiographs show no spondylolithesis or instability. A sagittal and axial T2 MRI is shown in Figure A and B, respectively. What is the most appropriate next step in management?

      FIGURES: A

      B

       

       

       

       

       

       

       

      1. A decompressive laminectomy with bilateral medial facetectomies and foraminotomies

         

         

         

      2. A decompressive laminectomy, bilateral medial facetectomies and foraminotomies, and an instrumented fusion

         

         

      3. A left sided microdiskectomy

         

         

         

      4. Continues physical therapy

         

         

         

      5. Referral to vascular surgery for evaluation for peripheral vascular disease

       

      PREFERRED RESPONSE ▼ 1

      DISCUSSION: The clinical presentation and imaging studies are consistent with neurogenic claudication due to spinal stenosis, WITHOUT degenerative spondylolithesis on flexion and extension radiographs. The patient has already failed an initial attempt at nonoperative management, and therefore a decompressive laminectomy is the most appropriate next step in management.

      Classic symptoms of lumbar spinal stenosis include heaviness and pain in the buttocks and legs that is worse with standing, walking, or extension of the back, and relieved with sitting and flexing the back. Symptoms are not relieved by going from walking to standing still upright, as they are in vascular claudication.

       

      Weinstein and the SPORT investigators published that patients with at least 12 weeks of symptoms from spinal stenosis, without spondylolisthesis, had better outcomes with surgical decompression than with nonoperative management.

       

      Atlas and the Maine Lumbar Spine Study Group found similar results, that patients had improved outcomes of with surgical treatment of lumbar spinal stenosis over four years compared to nonsurgical management.

       

      Incorrect Answers:

      Answer 2: A lumbar fusion is indicated for degenerative spondylolithesis or segmental instability, neither of which this patient has.

      Answer 3: The patient has spinal stenosis due to ligamentum flavum hypertrophy and bilateral facet arthrosis, and therefore a microdiskectomy would not provide adequate decompression.

      Answer 4: The patient has already failed a trial of nonoperative management, and his symptoms remain severe, and therefore surgery is indicated.

      Answer 5: Vascular claudication due to peripheral vascular disease is characterized by pain with activity, such as walking or cycling, that improves with rest, including standing upright. This patient's symptoms are not consistent with vascular claudication, and therefore referral to vascular surgery is not indicated.

      +++++++++++++++++++++++++++++++++++++++++++++++++++++++++++++++++++++++++++++++++

    81. A 68-year-old man presents with bilateral buttock and leg pain, worse on the left. His pain is worse with prolonged standing and improves with sitting. His symptoms have progressed to the point that it is now difficult for him to walk to the mailbox and back. His physical exam is remarkable for 4/5 weakness to ankle dorsiflexion on the left. Four months of physical therapy and a series of epidural corticosteroid injections failed to improve his symptoms. AP, extension, and flexion radiographs are shown in Figure A, B, and C respectively. A sagittal and axial T2-weighted MRI is shown in Figure D. What is the most appropriate next step in treatment?

      FIGURES: A

      B
      C
      D

       

       

       

       

       

       

       

       

       

       

      1. Continued physical therapy

         

         

         

      2. L4/5 microdiskectomy with a midline approach

         

         

         

      3. L4/5 microdiskectomy with a Wiltse far lateral approach

         

         

         

      4. L4/5 laminectomy

         

         

         

      5. L4/5 laminectomy with instrumented fusion

       

      PREFERRED RESPONSE ▼ 4

      DISCUSSION: The clinical presentation is consistent with lumbar spinal stenosis without spondylolisthesis or instability. If nonoperative modalities have failed and the symptoms are severe, the a lumbar decompression with laminectomy, lateral recess decompression, and foraminotomies is indicated.

       

      Weinstein et al. performed a prospective randomized trial comparing operative vs. nonoperative treatment for lumbar spinal stenosis. They found the as-treated analysis, which combined both cohorts and was adjusted for potential confounders, showed a significant advantage for surgery by 3 months for all primary outcomes; these changes remained significant at 2 years.

       

      Atlas et al. evaluated the long term outcome of treatment options for lumbar spinal stenosis. They found that relief of low back pain, primary symptom improvement, and satisfaction were similar in patients initially treated surgically or non-surgically, but leg pain and back-related functional status were better in patients treated with surgery.

       

      Figure A shows an AP of the lumbar spine with degenerative changes. Figure B and C show extension and flexion radiographs with no evidence of instability or degenrative spondylolithesis. Figure D is a T2-weighted MRI that shows focal spinal stenosis at L4/5. Illustration A shows the proper steps of a decompressive laminectomy.

       

      Incorrect Answers:

      Answer 1: Nonoperative modalities have been attempted and have failed. His symptoms are severe

      enough to warrant surgical treatment.

      Answer 2&3. This patient has spinal stenosis due to ligamentum flavum hypertrophy and facet hypertrophy. I microdiskectomy, regardless of approach, would not be effective.

      Answer 5: The flexion extension radiographs show no evidence of segmental instability of spondylolithesis, therefore a fusion would not be indicated.

       

      Illustrations: A

       

       

       

       

       

      ++++++++++++++++++++++++++++++++++++++++++++++++++++++++++++++++++++++++++++++++++

    82. A 62-year-old female has a decompressive laminectomy for spinal stenosis and symptoms of right leg pain. Preoperative flexion and extension radiographs of the lumbar spine are shown in Figure A. A preoperative sagital MRI is shown in Figure B. Following surgery she reports no significant improvement in her right leg pain. What is the most likely cause of her residual leg pain.

      FIGURES: A

      B

       

       

       

       

       

       

       

      1. segmental instability

         

         

         

      2. postoperative infection

         

         

         

      3. recurrent disk herniation

         

         

         

      4. residual foraminal stenosis

         

         

         

      5. cauda equina syndrome

       

      PREFERRED RESPONSE ▼ 4

      DISCUSSION: Residual foraminal stenosis due to inadequate decompression is the most common explanation for persistent symptoms of leg pain following decompressive laminectomy for spinal stenosis.

       

      The differential diagnosis for patients who have undergone previous spinal surgery but have persistent back and leg pain is large and includes (but is not limited to) recurrent neural compression, instability, recurrent herniation, infection, and cauda equina syndrome. These can be placed in two groups: 1) those in whom recurrent difficulties develop after initial symptom relief and 2) those have no interval improvement. Inadequate neural decompression results in no substantial improvement post-op as described in this question. Foraminal stenosis is technically challenging and is more likely to be the cause of residual compression.

       

      Deen et al found the most common pattern in patients with early failure after laminectomy was the

      absence of neurogenic claudication and severe stenosis on preoperative imaging. They also found that the most common technical error was inadequate neural decompression.

       

      Phillips et al emphasizes the need for a meticulous workup to identify the source of symptoms in this patient group. They argue in the absence of profound or progressive neurologic deficits, most patients with chronic back and leg pain who have undergone previous spinal surgery should be treated nonoperatively.

       

      Figure A shows flexion extension radiographs with no evidence of instability. Figure B is a T2-weighted sagittal MRI showing spinal stenosis at L4/5 due primarily from ligamentum hypertrophy. Illustration A shows the steps of a decompressive laminectomy. The foramen of both the exiting and descending nerve roots should be probed to ensure an adequate foraminal decompression.

       

      Incorrect Answers:

      Answer 1: Segmental instability is a common cause of persistent back and leg pain in patient who have degenerative spondylolithesis treated with decompression alone. This patient has no evidence of listhesis on their preoperative flexion-extension films.

      Answer 2: Infection will likely develop slowly over time after a pain-free interval and likely involve axial pain rather than extremity pain.

      Answer 3: Disk herniation and instability should be considered post-op if symptoms recur after a pain-free interval of months to years.

      Answer 5: Cauda equina syndrome will present in the immediate postoperative period and is very rare and presents with saddle anesthesia and bowel and bladder symptoms.

       

      Illustrations: A

       

       

       

       

       

      ++++++++++++++++++++++++++++++++++++++++++++++++++++++++++++++++++++++++++++++++++

    83. During lumbar decompression at L4/5, which of the following decompression techniques will destabilize the spine and require a L4/5 fusion.

       

       

       

      1. Removal of > 50% of the L4/5 nucleus pulpusus

         

         

         

      2. Removal of the L4 and L5 spinous process and interspinous ligament

         

         

         

      3. A medial facetectomy removing 20% of the right L4/5 facet joint

         

         

         

      4. Bilateral resection of the L4 inferior articular process

         

         

         

      5. A unilateral hemilaminectomy

       

      PREFERRED RESPONSE ▼ 4

      DISCUSSION: Bilateral resection of the L4 inferior articular process will destabilize the spine.

       

      Abumi et al in an in vitro experiment using fresh human lumbar functional spinal units, found that total facetectomy, even created unilaterally, makes the lumbar spine unstable. They also found that medial facetectomy and division of the posterior ligaments (consisting of the supraspinous/interspinous ligaments) did not destabilize the spine.

       

      Lee et al, in another anatomic study, that found unilateral facetectomy and resection on the contralateral facet markedly alters the rotational motion and destabilizes the spine.

       

      Illustration A demonstrates the key components of a lumbar single level laminectomy. The region of a bilateral resection of the L4 inferior articular process is highlighted in red.

       

      Illustrations: A

       

       

       

      ++++++++++++++++++++++++++++++++++++++++++++++++++++++++++++++++++++++++++++++++++

    84. A dural tear occurs during a routine lumbar laminectomy for spinal stenosis. A water-tight repair is subsequently performed. How will this affect postoperative care and ultimate clinical outcomes?

       

       

       

      1. there is an increased risk of wound infection

         

         

         

      2. the patient must remain flat in bed for seven days

         

         

         

      3. the clinical outcome will not be affected

         

         

         

      4. the patient will have a worse clinical outcome

         

         

         

      5. the patient should remain on PO antibiotics for ten days following surgery

       

      PREFERRED RESPONSE ▼ 3

      DISCUSSION: Dural tears are more common during revisions, but they can almost always be repaired primarily, with a good or excellent outcome and without additional complications. Closed suction wound drainage does not seem to aggravate the leak and can be used safely in the presence of a dural repair.

       

      The cited reference by Wang et al agrees with prior studies and found that an unintended incidental durotomy resulted in no substantial difference in the final outcomes of operative procedures on the lumbar spine. Therefore, Wang et al concluded that a dural tear does not adversely influence the long-term results of operations on the lumbar spine.

      ++++++++++++++++++++++++++++++++++++++++++++++++++++++++++++++++++++++++++++++++++

    85. Patients with symptomatic spinal stenosis treated with surgical decompression compared to those treated nonoperatively have what clinical outcomes.

       

       

       

      1. Worse clinical outcomes at four years

         

         

         

      2. No difference in clinical outcomes at four years

         

         

         

      3. Improved clinical outcomes in pain only at four years

         

         

         

      4. Improved clinical outcomes in function only at four years

         

         

         

      5. Improved clinical outcomes in pain and function at four years

       

      PREFERRED RESPONSE ▼ 5

      DISCUSSION: Recent studies show patients with symptomatic spinal stenosis treated with surgical decompression have improved clinical outcomes in pain and function at four years compared to those treated without surgery.

      The Spine Patient Outcomes Research Trial (SPORT) is a multi-center randomized controlled trial (RCT) comparing surgical and non-surgical treatment for patients with lumbar disc herniations, lumbar spinal stenosis, and degenerative spondylolisthesis. Results of the randomized cohort were disrupted by a high cross-over rate between the surgical and nonsurgical groups. Therefore, they conducted "as-treated" statistical analysis as a prospective cohort study (non-randomized). Based on the as-treated analysis, two year and four year results for spinal stenosis show improved clinical outcomes in pain and function.

       

      Atlas et al in the Maine Lumbar Spine Study (MLSS) also showed "surgical treatment was associated with greater improvement in patient-reported outcomes than nonsurgical treatment at 4-year evaluation."

       

      Katz et al showed that in patients treated with surgery for lumbar stenosis, those with greater medical comorbidiity, functional disability, and increased back pain relative to leg pain were significantly less satisfied with the results of surgery.

      ++++++++++++++++++++++++++++++++++++++++++++++++++++++++++++++++++++++++++++++++++

    86. A 32-year-old man underwent a lumbar microdiskectomy and an incidental dural tear occurred. A hemilaminectomy was performed to obtain adequate visualization of the defect, and primary repair of the tear was performed. One month postoperatively he returns to the office complaining of severe headaches and occasional nausea which is worse with standing. He denies fever or chills. On physical exam his wound is well healed with no cellulitis or erythema. WBC and ESR are within normal limits. What is the most likely diagnosis?

       

       

       

      1. Viral meningitis

         

         

         

      2. Bacterial meningitis

         

         

         

      3. Vertigo

         

         

         

      4. Cerebrospinal fluid leak

         

         

         

      5. Epidural abscess

       

      PREFERRED RESPONSE ▼ 4

      DISCUSSION: The clinical scenario is consistent with a persistent cerebral spinal fluid leak due to an intraoperative dural tear.

       

      The incidence of dural tears during spine surgery vary between 2-17%. In patients in the postoperative period, if there is suspicion of a dural leak, an MRI should be performed to look for a CSF leak. Once the diagnosis is confirmed, the gold standard treatment is reoperation. Less invasive methods of treatment include percutaneous fibrin glue, subarachnoid drainage or an epidural blood patch. If these fail to relieve symptoms, reoperation is mandatory.

       

      Bosacco et al showed headaches and nausea when standing up after spinal surgery are classic

      symptoms for dural tears and cerebrospinal fluid leaks. Other symptoms include photophobia, posterior neck pain, nausea, and vertigo classically worse when standing or sitting.

       

      Wang et al found an increased incidence of dural tears with revision surgery. They found that a dural tear, if repaired properly, does not appear to have any long-term deleterious effects or to increase the risk of postoperative infection, neural damage, or arachnoiditis.

       

      +++++++++++++++++++++++++++++++++++++++++++++++++++++++++++++++++++++++++++++++++

       

       

       

    87. A 71-year-old female is admitted to the hospital for severe bilateral buttock and leg pain with ambulation that has failed to improve with nonoperative management. An MRI is shown in Figure A. You plan on proceeding with lumbar decompression. What is the most powerful preopertative prognostic factor for clinical outcomes

      with surgical treatment of this condition.

      FIGURES: A

       

       

       

       

      1. Smoking

         

         

         

      2. Anterior compression due to disc herniation

         

         

         

      3. Comorbid medical conditions

         

         

         

      4. Multi-level stenosis

         

         

         

      5. Average household income

       

      PREFERRED RESPONSE ▼ 3

      DISCUSSION: The clinical presentation and imaging studies supports the diagnosis of lumbar spinal stenosis. Comorbid medical conditions is the most powerful preopertative prognostic factor for clinical outcomes with surgical treatment of this condition.

       

      The study by Mofidi et al found a direct relationship between poor outcome and coexisting medical conditions.

       

      The 1999 study by Katz et al found the most powerful preoperative prognostic factors were the patient’s own assessment of good or excellent preoperative health and comorbidity.

       

      The 1991 study by Katz et al found that medical co-morbidity including osteoarthrosis, cardiac disease, rheumatoid arthritis, or chronic pulmonary disease are risk factors for a poor outcome.

       

      The SPORT study by Weinstein et al, which is a large multicenter prospective study, supported earlier studies that patients with spinal stenosis have improved outcomes in pain and function when treated with surgery compared to those treated without surgery.

      ++++++++++++++++++++++++++++++++++++++++++++++++++++++++++++++++++++++++++++++++++

    88. A correlation has been found between Pelvic Incidence (PI) and spondylolithesis. Based on the angles X,Y, and Z shown in Figure A, B, and C, which of the following most accurately determines the Pelvic Incidence (PI) in this patient?

      FIGURES: A

      B
      C

       

       

       

       

       

       

       

      1. Angle Z + Angle Y

         

         

         

      2. Angle X - Angle Y

         

         

         

      3. Angle X - Angle Z

         

         

         

      4. Angle Z

         

         

         

      5. Angle Y

       

      PREFERRED RESPONSE ▼ 1

      DISCUSSION: Pelvic Incidence (Angle X) = Pelvic Tilt (Angle Z) + Sacral Slope (Angle Y) as shown in Answer 1.

       

      Of the spinopelvic radiographic measurement, Pelvic Incidence (PI) correlates strongest with isthmic spondylolisthesis grade. PI is the angle subtended by an initial line from the center of the femoral head to the midpoint of the sacral endplate and a second line perpendicular to the center of the sacral endplate. PI is relatively constant during childhood (~47 degrees), increases during adolescence, and remains constant in adulthood (~57 degrees). Unlike many other parameters of pelvic morphology, PI is not affected by changes in posture. A low PI indicates low shear forces at the lumbosacral junction and less lumbar lordosis.

       

      Hanson et al reviewed 40 patients with spondylolisthesis, comparing sagittal alignment, sacral inclination, slip angle and Pelvic Incidence. They concluded that PI was significantly higher in patents with spondylolisthesis and correlated significantly with Meyerding grade.

      Labelle et al reviewed the radiographic measurements in L5/S1 spondylolisthesis. They determined that pelvic shape, best defined by PI, determines the position of the sacral endplate which in turn is increased in patients with spondylolisthesis.

      Illustration A shows the Pelvic Incidence on an illustration. Incorrect Answers:

      Answer 2: Angle X - Angle Y = Pelvic Tilt (Angle Z)

      Answer 3: Angle X - Angle Z = Sacral Slope (Angle Y) Answer 4: Angle Z = Pelvic Tilt

       

       

      Answer 5: Angle Y = Sacral Slope Illustrations: A

       

       

      ++++++++++++++++++++++++++++++++++++++++++++++++++++++++++++++++++++++++++++++++++

    89. Studies have shown a direct relationship between pelvic incidence and isthmic spondylolithesis, suggesting that pelvic anatomy has a direct influence on the development of this condition. Which angle in Figure A-E best illustrates the measurement of pelvic incidence.

      FIGURES: A

      B
      C
      D
      E

       

       

       

       

       

       

       

       

       

       

       

      1. Angle E (Figure A)

         

         

         

      2. Angle X (Figure B)

         

         

         

      3. Angle Z (Figure C)

         

         

         

      4. Angle Y (Figure D)

         

         

         

      5. Angle V (Figure E)

       

      PREFERRED RESPONSE ▼ 2

      DISCUSSION: Angle X (Figure B) demonstrates the measurement of Pelvic Incidence.

       

      Recent studies have shown a direct linear relationship between pelvic incidence and the severity of the spondylolisthesis, suggesting that pelvic anatomy may have a direct influence on the development of a isthmic spondylolisthesis.

       

      Hanson et al. found pelvic incidence was significantly higher in patients with low- and high-grade isthmic spondylolisthesis as compared with controls and had significant correlation with the Meyerding–Newman grades.

       

      Labelle et al reviewed the clinical significance of pelvic incidence, and described how pelvic incidence (PI) can be calculated as the sum of Pelvic Tilt (PT) and Sacral Slope (SS).

      Illustration A illustrates the relationship between these angles.

       

      Wrong Answers:

      Answer 3: Angle Z (Figure C) shows the measurement of pelvic tilt. Answer 4: Angle Y (Figure D) shows the measurement of sacral slope. Answer 5: Angle V (Figure E) shows the measurement of the slip angle.

       

      Illustrations: A

       

       

       

       

       

      ++++++++++++++++++++++++++++++++++++++++++++++++++++++++++++++++++++++++++++++++++

    90. You are seeing a 28-year-old girl for lower back pain after she fell off a horse 2 days ago. She has no neurologic deficits. A lateral radiograph and axial CT scan are shown in Figures A and B respectively. What is the most appropriate first line of treatment?

      FIGURES: A

      B

       

       

       

       

       

       

       

      1. Observation, mobilization, and further treatment based on symptoms

         

         

         

      2. Spinal casting and bed rest for 6 weeks

         

         

         

      3. Thoracolumbosacral orthosis for 6-8 weeks

         

         

         

      4. Open reduction and internal fixation

         

         

         

      5. L5 to S1 posterior spinal fusion with instrumentation

       

      PREFERRED RESPONSE ▼ 1

      DISCUSSION: Lumbar spondylolysis or spondylolisthesis is present in up to 5% of the population. It is thought to "occur" in the first or second decade and remain asymptomatic in many people until some later event. The first line treatment for adults with spondylolysis or spondylolisthesis is observation, mobilization, and further treatment based on symptoms.

       

      Virta et al. report on a cohort of 20 women and 26 men with spondylolisthesis derived from a population of 1147 45 to 64-year-old subjects. Their data suggest that mild-moderate spondylolisthesis detected by chance in a middle-aged population does not predispose to more disabling back pain than controls without spondylolisthesis. They did find however that women with spondylolisthesis had mild back symptoms more often than controls.

       

      O'Brien reviews the diagnosis, pathophysiology, progression, and treatment of both isthmic and lytic spondylolisthesis in his 2003 instructional course lecture.

       

       

    91. A 71-year-old male presents with bilateral leg pain for the last two years. His pain is exacerbated when walking and is relieved when his sits or bends forward. He notes occasional periods where his legs feel weak, but motor examination reveals 5/5 motor strength throughout his bilateral lower extremities. He has diminished sensation on the medial aspect of his feet bilaterally. Management thus far has included NSAIDS with occasional narcotic usage, physical therapy, and two epidural steroid injections. Figure A shows a flexion radiograph, Figure B shows an extension radiograph, and Figures C and D show his current MRI scan. He feels his pain is substantially worse than it was one year ago. What is the most appropriate management at this time?

      FIGURES: A

      B
      C
      D

       

       

       

       

       

       

       

       

       

       

      1. Posterior L4-5 laminectomy, wide decompression, and foraminotomy

         

         

         

      2. Activity restriction

         

         

         

      3. Bilateral microdiscectomy

         

         

         

      4. Posterior L4-5 decompression with instrumented fusion of L4-5

         

         

         

      5. L5-S1 decompression and uninstrumented fusion

      PREFERRED RESPONSE ▼ 4

      DISCUSSION: The patient's clinical presentation is consistent with degenerative spondylolisthesis of L4-5 that has failed a multimodal course of non-operative therapy. Correct management includes posterior decompression and fusion of the unstable segments.

       

      Degenerative spondylolisthesis is the combination of spinal stenosis with intersegmental instability of the vertebrae. It most commonly affects L4/5 disc space, causing neurogenic claudication and rarely, cauda equina syndrome. Initial treatment is non-operative and includes physical therapy, pain control and injections. If non-operative measures fail, surgical management includes posterior decompression with fusion of the unstable segments with or without instrumentation.

       

      Weinstein et al. presented 304 patients with degenerative spondylolisthesis who were treated with observation or operative management (laminectomy, plus/minus fusion). While the intent to treat analysis showed no benefit of surgery, an as-treated analysis showed operative management to have significantly better results with regards to pain relief and improvement in function.

       

      Abdu et al. presented 380 patients who were treated surgically for degenerative spondylolisthesis. In addition to a decompressive laminectomy, patients underwent either posterolateral in situ fusion, posterolateral instrumented fusion with pedicle screws, or posterolateral instrumented fusion with pedicle screws plus interbody fusion. No consistent differences were found amongst the varying surgical procedures at 4 years follow-up.

       

      Kornblum et al. presented 47 patients with single-level degenerative spondylolisthesis treated operatively with posterior decompression and bilateral posterolateral arthrodesis with autogenous bone graft. They found good to excellent clinical outcomes in 86% of patients with a solid arthrodesis, while only 56% of patients with a pseudoarthrosis had good to excellent clinical results. They conclude that a solid arthrodesis is key to maintaining long-term clinical results.

       

      Figures A and B show anterolisthesis of L4 on L5 with >4mm of translation on flexion and extension radiographs, classifying it as unstable. Figures C and D show his MRI scan with severe spinal canal narrowing.

       

      Incorrect Answers:

      Answer 1: Decompression without fusion does not address the instability of the involved spinal segments.

      Answer 2: The patient has failed non-operative management, and further attempts with activity restriction will likely be unsuccessful.

      Answer 3: Bilateral microdiscectomy will not address the patient's spinal stenosis or unstable segments.

      Answer 5: The patient does not have evidence of instability at the L5-S1 level.

      ++++++++++++++++++++++++++++++++++++++++++++++++++++++++++++++++++++++++++++++++++

    92. A 59-year-old male presents with worsening bilateral buttock and leg pain that is worse with prolonged standing and improves with sitting. His symptoms have worsened to the point that it is now difficult for him to walk small distances. Physical exam shows weakness to EHL on the right. A magnetic resonance image is shown in Figure A. Nonsurgical management, including epidural corticosteroid injections, has failed to relieve the patient’s symptoms. What is the most appropriate next step in management?

      FIGURES: A

       

       

       

       

       

       

       

      1. Continued nonsurgical management

         

         

         

      2. Decompressive laminectomy alone

         

         

         

      3. Right side microdiskectomy

         

         

         

      4. Decompressive laminectomy with posterior instrumented fusion

         

         

         

      5. Anterior lumbar interbody fusion

       

      PREFERRED RESPONSE ▼ 4

      DISCUSSION: The clinical situation is consistent with neurogenic claudication due to degenerative spondylolithesis at L4/5. Decompression with a laminectomy and instrumented fusion is the most appropriate treatment.

       

      Weinstein et al performed a randomized and observational cohort study comparing standard decompressive laminectomy (with or without fusion) to nonsurgical care for the treatment of degenerative spondylolithesis. They found patients treated surgically maintain substantially greater pain relief and improvement in function for four years.

       

      Herkowitz et al prospectively studied 50 patients with degenerative spondylolithesis to determine if concomitant intertransverse-process arthrodesis provided better results than decompressive

      laminectomy alone. They found that the arthrodesis group had significantly better results with respect to relief of pain in the back and lower limbs at an average follow-up of 3 years.

       

      Fischgrund et al shows that in patients undergoing single-level posterolateral fusion for degenerative spondylolisthesis with spinal stenosis, the use of pedicle screws leads to a higher fusion rate.

       

      Wrong Answers:

      Answer 1: The patient has failed nonoperative management and her symptoms are affecting her quality of life. In addition, she has neurologic deficits, so operative treatment is indicated.

      Answer 2: Posterior decompression alone for the treatment of mobile degenerative spondylolisthesis (DS) can lead to iatrogenic instability, and is not appropriate.

      Answer 3: The patient's neurogenic claudication is caused by spinal stenosis, and a microdiskectomy would not address this.

      Answer 5: An ALIF would not adequately decompress her spinal canal and is not the most appropriate treatment.

      ++++++++++++++++++++++++++++++++++++++++++++++++++++++++++++++++++++++++++++++++++

    93. A 62-year-old female present with one year of severe back and bilateral buttock pain. Her symptoms are worse with walking and improve with sitting. She now finds it difficult to walk even small distances, such as to her mailbox. Six months of nonoperative management including physical therapy, oral medications, and epidural corticosteroid injections have failed to provide lasting relief of her symptoms. Flexion and extension lateral radiographs are shown in Figure A and B. Sagital and axial MRI images are shown in Figure C and D. What is the next most appropriate step in mangement?

      FIGURES: A

      B
      C
      D

       

       

       

       

       

       

       

       

       

      1. EMG to confirm a lumbar radiculopathy

         

         

         

      2. A far-lateral microdiskectomy on the left

         

         

         

      3. A lumbar total disc replacement

         

         

         

      4. Lumbar laminectomy with partial facetectomy and foraminotomy

         

         

         

      5. Lumbar laminectomy with partial facetectomy, foraminotomy, and instrumented posterior spinal fusion.

       

      PREFERRED RESPONSE ▼ 5

      DISCUSSION: The patient's symptoms and imaging studies are consistent with degenerative spondylolithesis and associated spinal stenosis. Lumbar decompression with arthrodesis is indicated if nonoperative modalities fail.

       

      Weinstein et al (SPORT) showed patients with degenerative spondylolithesis treated with surgery had greater improvement in pain and function through 4 years compared to those treated nonoperatively.

       

      Herkowitz et al found patients who had had a concomitant spinal arthrodesis, compared to those who had decompression alone, had improved outcomes with respect to relief of pain in the back and lower limbs.

       

      Fischgrund et al shows that in patients undergoing single-level posterolateral fusion for degenerative spondylolisthesis with spinal stenosis, the use of pedicle screws may lead to a higher fusion rate.

       

      Knaub et al argue that degenerative spondylolithesis is a relative indications for instrumented posterior spinal fusion.

       

      ++++++++++++++++++++++++++++++++++++++++++++++++++++++++++++++++++++++++++++++++++

    94. A 47-year-old male underwent L4-5 posterior lumbar decompression and fusion with instrumentation. At the six-week clinical visit he complains of pain in the region of his wound. On physical exam there is wound erythema but no exudate. Laboratory studies show an erythrocyte sedimentation rate of 78 mm/h (normal up to 20 mm/h) and WBC count of 11,200/mm3 (normal 3,500 to 10,500/mm3). An MRI is perfomed and shows a fluid collection dorsal to the thecal sac. What is the most appropriate next step in management?

       

       

       

      1. CT guided aspiration of the fluid collection and cultures

         

         

         

      2. Surgical debridement followed by delayed closure and retention of instrumentation

         

         

         

      3. Surgical debridement followed by delayed closure and removal of instrumentation

         

         

         

      4. Parenteral Cephalexin for 10 days followed by repeart laboratory studies

         

         

         

      5. Broad spectrum intravenous antibiotics for 6 weeks followed by repeart laboratory studies

       

      PREFERRED RESPONSE ▼ 2

      DISCUSSION: The clinical presentation is consistent with a postoperative spinal wound infection. Treatment should include surgical debridement with retention of hardware. Unless there is gross motion, hardware should be retained as stability promotes fusion and aids in the eradication of infection by promoting angiogenesis.

       

      Weinstein et al, in a large case series of lumbar surgery, found the infection rate was 1.9% and the most common organism was Staphylococcus aureus. Infection was more common in patients undergoing fusion with instrumentation and in patients with cancer metastatic to the spine. Their final recommendations for postoperative wound infections in patients with lumbar instrumentation include: "An aggressive surgical approach with repeated debridement followed by delayed closure. Instrumentation may be safely left in situ to provide stability for fusion."

       

      The study by Rayes et al found that "despite the presence of active infection, instrumentation after radical debridement will not increase the risk of recurrent infection. In fact, greater benefit can be achieved through spinal stabilization, which can even promote accelerated healing."

       

      The study by Mok et al found in patient with postoperative lumbar wound infection, if patients are treated with early irrigation, debridement, and retention of hardware they can expect a medium-term clinical outcome similar to patients in whom infection did not occur.

      ++++++++++++++++++++++++++++++++++++++++++++++++++++++++++++++++++++++++++++++++++

    95. In patients with degenerative spondylolisthesis undergoing posterolateral fusion, the use of pedicle screws have been shown to

       

       

       

      1. have no effect on the rate of pseudoarthosis

         

         

         

      2. decrease the rate of pseudoarthrosis

         

         

         

      3. increase the level of postoperative pain at one year

         

         

         

      4. increase patient satisfaction with the procedure

         

         

         

      5. lead to a higher rate of postoperative infection

       

      PREFERRED RESPONSE ▼ 2

      DISCUSSION: Pedicle screws and rods can increase the stiffness of the construct and therefore improve the chances of obtaining a spinal fusion. Fischgrund et al performed a prospective randomized trial comparing instrumentation and fusion versus fusion alone for degenerative spondylolisthesis and spinal stenosis. Interestingly, instrumentation did not affect satisfaction with surgery. However, the fusion rate was 85% for instrumentation and 45% for fusion alone. No other findings were noted to be significant.

      ++++++++++++++++++++++++++++++++++++++++++++++++++++++++++++++++++++++++++++++++++

    96. A 53-year-old woman is seen in the adult spine clinic for long-standing back pain. History reveals she had untreated scoliosis as a child. Her current radiographs are shown in Figures A and B. Due to discomfort with ADLs and progressive pain, surgical intervention is planned. Which of the following factors would increase her risk of nonunion?

      FIGURES: A

      B

       

       

       

       

       

       

       

      1. An anterior thoracolumbar approach

         

         

         

      2. Preoperative Cobb angle of 60 degrees

         

         

         

      3. Age less than 55 years

         

         

         

      4. A posterior midline approach.

         

         

         

      5. Positive sagittal balance less than 4cm

       

      PREFERRED RESPONSE ▼ 1

      DISCUSSION: In the surgical treatment of adult idiopathic scoliosis, a thoracoabdominal approach has been shown to have higher rates of pseudoarthrosis compared to posterior procedures.

       

      Raizman et al reviewed pseudoarthrosis in spinal patients. Multiple factors, including smoking, kyphosis >20 degrees, positive sagittal balance greater than 5cm, preexisting hip arthritis, age greater than 55, and a throacoabdominal approach were determined to be significant factors.

       

      Kim et al retrospectively analyzed 144 patients who underwent spinal instrumentation and fusion to S1 at a minimum of a 2-year follow-up. Factors that significantly affected fusion were hip OA, age

      greater than 55 and incomplete sacropelvic fixation.

       

      Figures A and B are standing scoliosis films in the coronal and sagittal plan showing a patient with adult idiopathic scoliosis.

       

      Incorrect Answers:

      Answer 2: A Cobb angle of 60 degrees has not been shown to correlate with pseudoarthrosis. Answer 3: Age greater than 55 years (not less than) is associated with an increased rate of pseudoarthrosis.

      Answer 4: A posterior approach with fusion to the upper thoracic spine has not been shown to correlate with pseudoarthrosis.

      Answer 5: Positive sagittal balance greater than 5 cm (not less than) is associated with an increased rates of pseudoarthrosis.

      ++++++++++++++++++++++++++++++++++++++++++++++++++++++++++++++++++++++++++++++++++

    97. In patients with adult scoliosis requiring long thoracolumbar fusions, which of the following is the major advantage of extending the fusion to the sacrum as opposed to ending at L5.

       

       

       

      1. Improved function outcomes

         

         

         

      2. Decreased pseudoarthosis rates

         

         

         

      3. Decreased major medical complications

         

         

         

      4. Improved correction and maintenance of sagittal balance

         

         

         

      5. Improved curve correction in the coronal plane

       

      PREFERRED RESPONSE ▼ 4

      DISCUSSION: In adult patients with spinal deformity, extension of a long fusion to the sacrum is associated with improved correction and maintenance of sagittal balance.

       

      Edwards et al did a retrospective cohort study looking at patients with fusion to L5 versus those fused to the sacrum. Patients fused to the sacrum showed improved correction and maintenance of their sagittal balance. However patients fused to the sacrum also had an increased rate of pseudoarthosis and major medical complications. There was no difference in functional outcomes or degree of coronal correction between the two groups.

       

      The study by Kuhns et al is an extension of the Edwards study with longer term follow-up. They found that advanced degeneration at L5-S1 occurred in 69% of deformity patients after long fusions to L5 with 5 to 20 year follow-up. The development of advanced degeneration at L5-S1 was highly correlated with the development of positive sagittal balance.

      ++++++++++++++++++++++++++++++++++++++++++++++++++++++++++++++++++++++++++++++++++

    98. In adult patients with scoliosis, severity of symptoms correlates with which of the following variables?

       

       

       

      1. Coronal imbalance

         

         

         

      2. Sagittal imbalance

         

         

         

      3. Magnitude of coronal Cobb angle

         

         

         

      4. Number of spine levels involved in the deformity

         

         

         

      5. Level of the apex of the curve

       

      PREFERRED RESPONSE ▼ 2

      DISCUSSION: Sagittal balance is the most reliable radiographic predictor of clinical health status in adults with spinal deformity.

       

      Glassman et al evaluated 752 patient of which a positive sagittal imbalance was identified in 352 patients. As the C7 plumb line deviation increased, poorer results were found in all measures of health status. In addition, patients in this study with lumbar kyphosis had more overall measured disability compared to controls.

       

      Schwab et al as a method of classifying adult scoliosis, define criteria based on radiographic markers of disability which ultimately showed correlation with patient-reported disability and need for operative treatment.

       

      Kim et al analyzed the causes, prevalence, and risk factors for sagittal thoracic decompensation in patients post lumbar spinal instrumentation and found that postoperative sagittal imbalance, smaller lumbar lordosis, preoperative sagittal imbalance and age at surgery > 55yrs were risk factors for thoracic decompensation.

       

      Illustration A demonstrated how sagittal imbalance is measured.

      Illustrations: A

       

       

       

       

       

      +++++++++++++++++++++++++++++++++++++++++++++++++++++++++++++++++++++++++++++++++

    99. In patients who have corrective surgery for adult scoliosis, what is the most reliable predictor of clinical symptoms postoperatively?

       

       

       

      1. percentage of correction of coronal deformity

         

         

         

      2. percentage of correction of sagital deformity

         

         

         

      3. positive sagittal balance

         

         

         

      4. the presence of fusion to sacrum and pelvis

         

         

         

      5. levels instrumented

       

      PREFERRED RESPONSE ▼ 3

       

       

      DISCUSSION: The cited study by Glassman et al is a multicenter retrospective study of 298 adults with spinal deformity. Of the 298 patients, 172 had no prior surgery and 126 had undergone prior spine fusion. They found positive sagittal balance was the most reliable predictor of clinical symptoms in both patient groups. Thoracolumbar and lumbar curves generated less favorable scores than thoracic curves in both patient groups. Significant coronal imbalance of greater than 4 cm was associated with deterioration in pain and function scores for unoperated patients but not in patients with previous surgery. Osteoporosis was identified as a risk factor for sagittal plane decompensation. Sagittal balance is measured by the distance from where a C7 plumb line falls relative to the posterior-superior corner of S1 as shown in illustration A.

       

      Illustrations: A

       

       

      ++++++++++++++++++++++++++++++++++++++++++++++++++++++++++++++++++++++++++++++++++

    100. A 60-year-old woman with rheumatoid arthritis has long term neck pain and new onset of difficulty holding cards in her weekly poker tournament. She does not complain of weakness, but states she has become "clumsy" in her old age, fumbling with buttons and dropping her change. On exam she has hyperreflexia, but no weakness. Radiographs show atlantoaxial subluxation. She is considering decompressive surgery, but wants to know if she will recover function. Which radiographic marker may predict neural recovery after decompression?

       

       

       

      1. Posterior atlanto-dens interval of >13mm

         

         

         

      2. Atlanto-dens interval of <5mm

         

         

         

      3. Subaxial subluxation of <3.5mm

         

         

         

      4. Basilar invagination <0.5cm

         

         

         

      5. Rotary subluxation of <10 degrees

       

      PREFERRED RESPONSE ▼ 1

      DISCUSSION: The clinical presentation is consistent for cervical myelopathy due to atlantoaxial subluxation in a patient with rheumatoid arthritits.

       

      Boden et al found "The most important predictor of the potential for neurological recovery after the operation was the preoperative posterior atlanto-odontoid interval (PADI). In patients who had paralysis due to atlanto-axial subluxation, no recovery occurred if the PADI was less than 10mm, whereas recovery of at least one neurological class always occurred when the PADI was at least 10mm. All patients who had paralysis and a PADI or diameter of the subaxial canal of 14mm had complete motor recovery after the operation." They found no correlation with the anterior atlanto-odontoid interval (ADI) with the severity of paralysis or the potential for recovery.

       

      Monsey et al report that the most helpful radiographic measurements to evaluate atlantoaxial subluxation are the anterior atlantodens interval (ADI) and the posterior atlantodens interval (PADI). Atlantoaxial subluxation greater than 9 mm and a posterior atlantodens interval less than 14 mm correlate with neurologic deficit. They argue nonoperative management does not change the natural history of cervical disease, and recommend posterior arthrodesis in patient's with neurologic deficits.

      ++++++++++++++++++++++++++++++++++++++++++++++++++++++++++++++++++++++++++++++++++

    101. A 63-year-old woman with rheumatoid arthritis has long standing neck pain and new onset of difficulty with manual dexterity, such as buttoning her shirt and holding small objects. She reports difficulty walking up the stairs, and reports she feels increasingly unsteady on her feet. On exam she has hyperreflexia. Flexion and extension radiographs are shown in Figure A and B. What is the most appropriate treatment at this time?

      FIGURES: A

       

       

       

       

       

       

      1. Immobilization in a soft cervical collar for 6 weeks

         

         

         

      2. Halo immobilization for six weeks

         

         

         

      3. Transoral odontoid resection

         

         

         

      4. Occipitocervical fusion with instrumentation

         

         

         

      5. Posterior C1-C2 fusion with instrumentation

       

      PREFERRED RESPONSE ▼ 5

      DISCUSSION: The radiographs show atlantoaxial subluxation in a patient with rheumatoid arthritis and symptoms of cervical myelopathy. Her symptoms are severe and progressive, and therefore a posterior C1-C2 fusion is indicated.

       

      Boden et al found that the posterior atlanto-dens interval (PADI) is predictive of neurologic injury in patients with atlantoaxial subluxation and for neurologic recovery after surgery. They found that all patients with pre-op PADI of >14mm had complete neurologic recovery after decompression, while patients with pre-op PADI <10mm had no neurologic improvement after decompression.

       

      Monsey et al report that the most helpful radiographic measurements to evaluate atlantoaxial subluxation are the anterior atlantodens interval (ADI) and the posterior atlantodens interval (PADI). Atlantoaxial subluxation greater than 9 mm and a posterior atlantodens interval less than 14 mm correlate with neurologic deficit. They argue nonoperative management does not change the natural

      history of cervical disease, and recommend posterior arthrodesis in patient's with neurologic deficits.

       

      Illustration A shows hows to measure the atlanto-dens-interval and PADI (also know as SAC). Illustration B and C are flexion and extension radiographs that show severe atlantoaxial subluxation in a patient with RA.

       

       

       

      Illustrations: A

      B
      C

       

       

       

       

       

       

       

      ++++++++++++++++++++++++++++++++++++++++++++++++++++++++++++++++++++++++++++++++++

    102. A 61-year-old man with ankylosing spondylitis falls and hits his forehead while getting out of the shower. On arrival to the emergency room he complained of neck pain, but his neurologic exam is normal. A CT scan shows a nondisplaced extension-type fracture of the lower cervical spine and no evidence of epidural hematoma. He is treated with a cervical orthosis and admitted for pain management. Seven hours later he reports increasing paresthesias in his upper and lower extremities. Examination now shows weakness in his upper and lower extremities, including 3+/5 ankle dorsal and ankle plantar flexion. An MRI scan is performed emergently and is shown in Figure A . What is the most appropriate next step in management.

      FIGURES: A

       

       

       

       

       

       

       

      1. methylprednisolone at 30 mg/kg over 1st hour followed by 5.4 mg/kg/hr drip for 23 hours

         

         

         

      2. repeat MRI in twelve hours with serial neurologic exam

         

         

         

      3. anterior cervical fusion

         

         

         

      4. posterior cervical laminectomy

         

         

         

      5. posterior cervical laminectomy and fusion with instrumentation

       

      PREFERRED RESPONSE ▼ 5

      DISCUSSION: Patients with ankylosing spondylitis are prone to spinal fracture due to their rigid spine. The most common fracture pattern seen are extension-type fractures of the cervicothoracic junction. These fractures can appear nondisplaced or minimally displaced initially, making them difficult to diagnose. The vertebral bony anatomy of patients with AS make them vulnerable to epidural

      bleeding. In this case, the MRI scan reveals an dorsal epidural hematoma that is leading to cord compression. Because the patient has a a progressive neurological deficit and radiographic evidence of compression treatment should include surgical decompression. Because the source of compression is posterior, a posterior laminectomy is treatment of choice. These fracture patterns are usually unstable so decompression should be combined with an instrumented fusion. The Weinstein reference is a retrospective review of 105 patients with ankylosing spondylitis (AS) diagnosed over a 6-year period. They argue that in patients with cervical trauma and a progressive neurologic deficit, early diagnosis and appropriate therapy to decompress, reduce, and immobilize unstable spinal fractures may result in reduction of the mortality rate and permanent neurological deficits.

      ++++++++++++++++++++++++++++++++++++++++++++++++++++++++++++++++++++++++++++++++++

    103. All of the following are characteristics of juvenile ankylosing spondylitis EXCEPT?

       

       

       

      1. Spinal stiffness

         

         

         

      2. Sacroiliitis

         

         

         

      3. Urethritis

         

         

         

      4. Enthesitis

         

         

         

      5. Kyphosis

       

      PREFERRED RESPONSE ▼ 3

      DISCUSSION: Juvenile Ankylosing spondylitis (AS) one of the spondyloarthropathies that is characterized by sacroiliitis, spondylitis, enthesitis, HLA B-27, kyphosis, asymmetric lower extremity inflammatory arthritis, decreased chest expansion, and uveitis, but NOT Urethritis (which is typical of the triad of Reiter syndrome). The Azouz article reviews juvenile spondyloarthropathies, including AS, which is characterized by increased rates of enthesitis, sacroilitis, and peripheral arthropathies compared to the adult form of AS. The Gensler article stresses the relationship of enthesitis to juvenile AS, poorer functional outcomes compared to adult AS, and reports effective treatment with tumor necrosis factor-alpha blockers. The Kredich article stresses early diagnosis for proper treatment with a good chance to return to normal function.

      ++++++++++++++++++++++++++++++++++++++++++++++++++++++++++++++++++++++++++++++++++

    104. A patient with ankylosing spondylitis and a hip flexion contracture undergoes uneventful right total hip replacement using a Kocher (posterior) approach. This patient is at increased risk for which of the following complications post-operatively?

       

       

       

      1. Posterior hip dislocation

         

         

         

      2. Anterior hip dislocation

         

         

         

      3. Deep infection

         

         

         

      4. Osteolysis

         

         

         

      5. Periprosthetic fracture

       

      PREFERRED RESPONSE ▼ 2

      DISCUSSION: Degenerative joint disease due ankylosing spondylitis (AS) with a concomitant hip flexion contracture increases post-operative rates of anterior hip dislocations. Correction of hip flexion contracture with THA can restore sagittal balance. However, when positioning the acetabular component in a patient with AS, one must account for the relationship of the pelvis to the lumbar spine in the sagittal plane in order to avoid an excessively hyperextended hip once the patient resumes an upright position.

       

      Tang el al followed 95 primary THA's in patients with AS for over 10 years. Their series had 3 dislocations, 2 of which were anterior. They noted that, because of the presence of relative hyperextension of the hips after THA, AS patients are more prone to anterior dislocation when acetabular components are placed in their normal position relative to the pelvis.

       

      In a more recent study, Bhan et al retrospectively reviewed 54 patients (92 hips) who underwent cementless total hip arthroplasty for bony ankylosis in AS via a posterior surgical approach. At an average of 8.5 years follow-up, they noted that anterior dislocation occurred in 4 (4.3%) of the hips and that there were no posterior dislocations.

      ++++++++++++++++++++++++++++++++++++++++++++++++++++++++++++++++++++++++++++++++++

    105. A 75-year-old man presents to your office complaining of inability to lift his head and look ahead. He states that initially he was unable to turn his head sideways, and that this progressed to his current state. A clinical photo is provided in Fig A. Radiographs of his cervical spine and lumbar spine are provided in Figure B and C. What is the most appropriate management?

      FIGURES: A

      B
      C

       

       

       

       

       

       

       

       

       

       

      1. Anterior osteotomy, anterior decompression and fusion

         

         

         

      2. Halo traction for 6 weeks only

         

         

         

      3. Posterior fusion in situ

         

         

         

      4. Anterior osteotomy, posterior instrumentation

         

         

         

      5. Posterior extension osteotomy, then posterior fusion and instrumentation

      PREFERRED RESPONSE ▼ 5

      DISCUSSION: Figure A shows a man with "chin-on-chest" deformity caused by increasing kyphosis at the cervicothoracic junction. Figure B shows a severely kyphotic cervicothoracic junction while Figure C shows the bamboo spine deformity commonly seen in ankylosing spondylitis (AS). Although AS is generally more evenly distributed in the thoracic spine, focal deformity at the cervicothoracic junction can cause chin-on-chest deformity.

       

      Belanger et al. retrospectively review 26 patients who underwent posterior extension osteotomy, with the average patient achieving 38 degrees of sagittal correction and 9 of 10 patients with preoperative neurological deficits achieving some degree of neurologic improvement. The authors strongly recommend rigid internal fixation to prevent catastrophic subluxation at the osteotomy site.

       

      Simmons et al. describe the specifics of the surgical technique, recommending the extension osteotomy be performed at the C7-T1 junction due to various anatomic advantages. The vertebral vessels are anterior to the spine, the spinal canal is wider at this level, and the C8 nerve root tolerates migration better than nerve roots higher in the cervical spine.

       

      Incorrect Answers:

      Answer 1: Anterior osteotomy is technically difficult and does not allow the necessary access to the C7 pedicle needed to achieve adequate sagittal correction.

      Answer 2: Halo traction will not correct the severe kyphotic deformity.

      Answer 3: Posterior fusion in situ may prevent further deformity but will not improve the patient's functional or neurologic status.

      Answer 4: Anterior osteotomy does not allow resection of the C7 pedicle which is needed to achieve the needed sagittal correction.

      ++++++++++++++++++++++++++++++++++++++++++++++++++++++++++++++++++++++++++++++++++

    106. A 32-year-old man presents with low back and hip pain that has been gradually worsening over the past year. He reports the symptoms are worse in the morning. Radiographs are shown in Figure A. Laboratory studies show a positive HLA-B27. What additional finding will help confirm the diagnosis?

       

       

      FIGURES: A

       

       

       

       

      1. Erythema marginatum

         

         

         

      2. Positive HLA-DR3

         

         

         

      3. Uveitis

         

         

         

      4. Positive Rheumatoid Factor

         

         

         

      5. Elevated urine phosphoethanolamine

      PREFERRED RESPONSE ▼ 3

      DISCUSSION: The radiograph in Figure A shows bilateral sacroiliitis. Bilateral sacroiliitis (with or without uveitis) and a postive HLA-B27 is diagnostic of ankylosing spondylitis.

       

      Ankylosing spondylitis is characterized by a positive HLA-B27 with a negative RF titer. It typically presents in the 4th decade of life and is more common in men than women. Low back pain usually precedes the radiogaphic findings of bilateral sacroiliitis. Of note, HLA-B27 is positive in ~6% of the white population.

       

      Rudwaleit et al, looked at variables that could help make an early diagnosis of ankylosing spondylitis. They found the highest likelihood ratio was found in patients with a positive HLA test and positive MRI findings.

       

      Burgos-Vargas et al, studied the clinical and radiographic features of sacroiliac and spinal involvement in patients with seronegative enthesopathy and arthropathy. Based on their findings, they recommend periodical measurements of the spinal flexion and radiographs of the pelvis from age 3 in high risk children.

       

      Incorrect Answers:

      Answer 1: Erythema marginatum is a major criteria for Acute Rheumatic Fever. Answer 2: HLA-DR3 is associated with SLE.

      Answer 4: RF is found in rheumatoid arthritis, Sjogren's, sarcoid, and SLE. Answer 5: Elevated urine phosphoethanolamine is found in hypophosphatasia.

      ++++++++++++++++++++++++++++++++++++++++++++++++++++++++++++++++++++++++++++++++++

    107. A 69-year-old man fall on the ice. On arrival to the emergency room he is found to have a 2 cm laceration on the back of his head. He complains of neck pain, but is oriented to place and time and his neurologic exam is normal. Cervical and lumbar radiographs are shown and show no evidence of fracture. What is the next step in treatment.

      FIGURES: A

      B
      C

       

       

       

       

       

       

      1. obtain flexion-extension radiographs

         

         

         

      2. obtain a CT scan of the lumbar spine

         

         

         

      3. obtain a CT scan of the cervical spine

         

         

         

      4. obtain a technetium bone scan

         

         

         

      5. treat with soft collar and discharge patient to home

       

      PREFERRED RESPONSE ▼ 3

      DISCUSSION: The radiographs are consistent with ankylosing spondylitis. In these patients, due to the stiffness of the spine, there is an increased risk for cervical fractures. A cervical fracture in a patient with ankylosing spondylitis is often very difficult to see on plain radiographs. In addition, there is a high mortality rate secondary to epidural hemorrhage. Therefore, in a patient with AS and a high suspicion for a neck injury, plain radiographs should be supplemented with additional imaging studies to look for acute fracture and epidural hemorrhage. In the references, Colterjohn and Bednar identified flexural mechanisms of injury and chronic multilevel arthritis with ankylosis as being risk factors for sustaining motor neurological deterioration after cervical trauma. In their study, routine three-view cervical radiographs were insensitive in detecting cervical injury in this patient group. The authors’ recommendations are that cervical spine should be immobilized until there is unequivocal evidence that there is no cervical spine injury based on radiographic and clinical exam. If these criteria cannot be met, the cervical spine should be immobilized until secondary imaging with a CT scan is performed to exclude cervical spine injury. The authors did not investigate the sensitivity of MRI in detecting these injuries because MRI was unavailable at the spine injury referral center.

      ++++++++++++++++++++++++++++++++++++++++++++++++++++++++++++++++++++++++++++++++++

    108. A 45-year-old man with ankylosing spondylitis presents with fixed sagittal imbalance and difficulty with horizontal gaze. His kyphotic deformity is localized to the thoracolumbar spine. Which of the following procedures allows the most correction in the sagittal plane at a single level without having to resect the intevertebral disc?

       

       

       

      1. Smith-Petersen osteotomies

         

         

         

      2. Pedicle subtraction osteotomy (PSO)

         

         

         

      3. Vertebral column resection (VCR)

         

         

         

      4. Single-level opening wedge osteotomy

         

         

         

      5. Multi-level opening wedge osteotomies

       

      PREFERRED RESPONSE ▼ 2

      DISCUSSION: Pedicle subtraction osteotomy (PSO) provides greater sagittal correction than single-level opening wedge osteotomy and Smith-Petersen osteotomies, with the advantage of working at a single level and not having to resect the intevertebral disc.

       

      Kyphotic spinal deformity is a common orthopaedic manifestation of ankylosing spondylitis. It results from multiple microfractures, and can be localized to the to the cervicothoracic region or thoracolumbar region. Goals of treatment are to restore horizontal gaze and sagittal balance.

      Deformities in the thoracolumbar region are best treated with a lumbar osteotomy as it allows correction without disrupting the thoracic cage (these patients often have poor pulmonary function) and without risking an iatrogenic injury to the spinal cord. Greater correction is also an advantage due to a longer lever arm from the lumbar spine to eye level.

       

      Thomasen first described the transpedicular wedge resection osteotomy without opening the disc or discs in front. A wedge consisting of the spinous processes and laminae of L2 and the upper part of L3 and the synostosed articular processes of L2-3 with the pedicles of L2 is resected. Through the base of the resected pedicles, bone is removed from the back part of the body of L2.

       

      Bridwell et al evaluated twenty-seven consecutive patients in whom sagittal imbalance was treated with lumbar pedicle subtraction osteotomy. They found the average increase in lordosis was 34.1 degrees.

       

      Arun et al compared pedicle subtraction closing wedge osteotomy, polysegmental posterior lumbar wedge osteotomies, and Smith Peterson's open wedge osteotomy for correction of deformities in AS. They found better radiographic correction was noted with pedicle subtraction closing wedge osteotomy.

       

      Enercan et al provide a review of the different types of surgical treatment that can be used in patients with rigid severe spinal deformity. They report the VCR provides the greatest amount of correction among other osteotomy types with complete resection of one or more vertebral segments with posterior elements and entire vertebral body including adjacent discs.

       

      Illustration A depicts a Pedicle subtraction osteotomy (PSO). Illustration B depicts a Vertebral column resection (VCR).

       

      Incorrect Answers:

      Answer 1: PSO provides greater correction than Smith-Petersen osteotomies.

      Answer #3: VCR provide the greatest amount of resection, but requires resection of the intervertebral disc.

      Answer 4 & 5: PSO provide greater correction at a single level than Single-level opening wedge osteotomy and Multi-level opening wedge osteotomies.

      Illustrations: A

      B

       

       

       

       

       

       

       

       

       

      ++++++++++++++++++++++++++++++++++++++++++++++++++++++++++++++++++++++++++++++++++

    109. A 73-year-old male presents with chronic low back and neck pain. A lateral cervical radiographs is shown. What is the most likely diagnosis?

       

       

      FIGURES: A

       

       

       

       

      1. Ossification of the posterior longitudinal ligament

         

         

         

      2. Rheumatoid arthritis

         

         

         

      3. Ankylosing spondylitis

         

         

         

      4. Osteoarthritis

         

         

         

      5. Diffuse idiopathic skeletal hyperostosis

       

      PREFERRED RESPONSE ▼ 5

       

       

      DISCUSSION: Diffuse idiopathic skeletal hyperostosis (DISH) is a common disorder of unknown etiology that is characterized by back pain and spinal stiffness. The condition is recognized radiographically by the presence of "flowing" ossification along the anterolateral margins of at least four contiguous vertebrae and the absence of changes of spondyloarthropathy or degenerative spondylosis. It is a challenge to differentiate between DISH and ankylosing spondylitis. In the cervical spine, anterior bone formation with preservation of disc space (seen in Figure A in the question stem) can help differentiate from AS (in AS bone formation is typically see between vertebral bodies as seen in Illustration A). The reference by Resnick investigated the radiographic and pathologic features of DISH. Pathologic features included diffuse calcification and ossification in the anterior longitudinal ligament, degeneration in the peripheral annulus fibrosis fibers, chronic inflammatory cellular infiltration, and periosteal new bone formation on the anterior surface of the vertebral bodies. The reference by Belanger et al is a review article that discusses the diagnosis and treatment of both spinal and extraspinal manifestations of

      DISH.

       

      Illustrations: A

       

    110. A 60-year-old man presents with neck stiffness and difficulty swallowing. A lateral radiograph is shown in Figure A. What is the most likely diagnosis?

       

       

      FIGURES: A

       

       

       

       

      1. Ankylosing spondylitis

         

         

         

      2. Cervical myelopathy

         

         

         

      3. Congenital spinal stenosis

         

         

         

      4. Diffuse idiopathic skeletal hyperostosis

         

         

         

      5. Ossification of posterior longitudinal ligament

       

      PREFERRED RESPONSE ▼ 4

      DISCUSSION: Diffuse idiopathic skeletal hyperostosis (DISH) is a common disorder of unknown etiology that is characterized by back pain and spinal stiffness. The condition is recognized radiographically by the presence of "flowing" ossification along the anterolateral margins of at least four contiguous vertebrae and the absence of changes of spondyloarthropathy or degenerative spondylosis. It is a challenge to differentiate between DISH and ankylosing spondylitis. Features that help distinguish DISH from AS include: 1) nonmarginal syndesmophytes as shown in Illustration A (AS is marginal). 2) no involvement of SI joint (biliateral sacroiliitis in AS). 3) anterior cervical bone formation with preservation of disc space as seen in Illustration B (AS will typicall show bone formation between vertebral bodies as seen in Illustration C). 4) Radiographic findings on the right side of the thoracic spine. The reference by Belanger et al is a review article that discusses the diagnosis and treatment of both spinal and extraspinal manifestations of DISH. The reference by di Girolamo et al found an increased prevalence of vertebral osteochondrosis (degenerative disc disease) in younger DISH patients with respect to controls.

       

       

       

      Illustrations: A

      B
      C

       

       

       

       

       

       

       

      ++++++++++++++++++++++++++++++++++++++++++++++++++++++++++++++++++++++++++++++++++

      Pediatric Spine

    111. Proper immobilization is critical in young children with suspected cervical spine injuries. In this patient group, a dangerous level of cervical flexion has been associated with what immobilzation technique.

       

       

       

      1. pediatric cervical orthosis

         

         

         

      2. halo immobilization

         

         

         

      3. a pediatric backboard with in-line cervical traction

         

         

         

      4. a pediatric backboard with a cervical orthosis

         

         

         

      5. an adult backboard

       

      PREFERRED RESPONSE ▼ 5

      DISCUSSION: Cervical spine injuries should be immobilized in a postion of relative extension in both children and adults. The reference by Herzenberg et al found that because of relatively large head size in children, an adult backboard can force a childs' cervical spine into a position of flexion. This might have catastrophic results and lead to spinal cord injury. Therefore, they recommend that pediatric backboards, or modified adult backboards, should be used in pediatric cervical injuries.

      ++++++++++++++++++++++++++++++++++++++++++++++++++++++++++++++++++++++++++++++++++

    112. A lateral radiograph of a 5 year-old child with no history of trauma is shown. The deformity reduces on extension radiographs. What is the most likely diagnosis.

       

       

      FIGURES: A

       

       

       

       

      1. Traumatic spondylolisthesis of axis

         

         

         

      2. Pseudosubluxation of the cervical spine

         

         

         

      3. Atlantoaxial instability (AP)

         

         

         

      4. Rotatory atlantoaxial instability

         

         

         

      5. Klippel-Feil Syndrome

       

      PREFERRED RESPONSE ▼ 2

      DISCUSSION: This child has pseudosubluxation of the cervical spine, which is considered a normal radiographic finding in a child this age.

       

      Catell et al claim that anterior displacement of the second cervical vertebra on the third during neck flexion could not be measured accurately because there are no constant reference points in the young cervical spine. Differences in configuration, size, and degree of ossification at different ages rendered direct measurement of anterior displacement unreliable. This phenomenon of anterior displacement of C2 on C3 is a combination of forward shift and flexion of the second cervical vertebra on the third. Anteroposterior movement of the second cervical vertebra on the third during flexion and extension of the spine is one of the components of pseudosubluxation. Almost half of the children under 8 in their study had measured AP movement between the 2nd and 3rd cervical vertebra of 3 mm or more. Of this subgroup, 60% had observed anterior displacement of the second on the third cervical vertebra in flexion. The reason for this is 4 fold in children under 8 years old: hypermobility, unique vertebral configuration, incomplete ossification, and the presence of epiphyses-singly or in combination. This is a normal variation in children; it is a pseudosubluxation.

      This is supported by the fact that the spinolaminar point on C2 is within 1.5 mm of spinolaminar line.

      ++++++++++++++++++++++++++++++++++++++++++++++++++++++++++++++++++++++++++++++++++

    113. A 5-year-old boy develops spontaneous atlantoaxial rotatory subluxation shortly after an upper respiratory infection. No neurologic symptoms are present. He is initially treated with soft collar immobilization and rest. After a week, he continues to hold his head tilted and rotated with no change in his neurologic status. A current cervical radiograph is shown in Figure A. What is the next most appropriate treatment option for this patient?

       

       

      FIGURES: A

       

       

       

       

      1. C1-C2 arthrodesis

         

         

         

      2. Continued soft collar immobilization and rest

         

         

         

      3. Halter traction, muscle relaxants and analgesics

         

         

         

      4. Halo skeletal traction

         

         

         

      5. Cervical stretching and immobilization in a stiff collar

       

      PREFERRED RESPONSE ▼ 3

      DISCUSSION: Spontaneous atlantoaxial rotatory subluxation can occur after an acute upper respiratory infection (Grisel Syndrome), and is felt to be caused by adjacent inflammation of the soft tissues in the neck. Initial treatment for this is soft collar immobilization and rest for 1 week. If subluxation persists, the patient should be transitioned to halter traction, and be given muscle relaxants and pain medications for up to 3 weeks. After a month of intractable symptoms, the patient can be placed in halo traction. If this is ineffective, a C1-C2 arthrodesis should be considered.

       

      Copley and Dormans review the radiographic workup, symptoms, and treatment regimens for the various congenital and traumatic conditions of the pediatric cervical spine. They recommend NSAID therapy and soft cervical collar placement for initial treatment of patients with Grisel syndrome.

      ++++++++++++++++++++++++++++++++++++++++++++++++++++++++++++++++++++++++++++++++++

    114. An 3-year-old girl developed torticollis after a severe respiratory tract infection 8 months ago. A dynamic computed tomographic (CT) is performed and shows fixed relation of C1 and C2 despite maximum rotation of the head. What is the most appropriate next step in management?

       

       

       

      1. Closed reduction under conscious sedation

         

         

         

      2. Neck immobilization in a soft cervical collar

         

         

         

      3. Traction with maximal tolerated weight followed by halo brace

         

         

         

      4. Occipitocervical fusion

         

         

         

      5. Posterior atlantoaxial fusion

      PREFERRED RESPONSE ▼ 5

      DISCUSSION: The clinical presentation and images are consistent with torticollis caused by rotatory atlantoaxial instability. Common causes of this condition include trauma and infection. Diagnosis is made with standard radiographs and a dynamic CT (CT with the head turned maximally to either side and at neutral). If the symptoms are chronic (> 3 months), nonoperative modalities have failed, or if there are any neurologic deficits, then a posterior atlantoaxial fusion is indicated.

      Copley et al discuss the radiographic workup, symptoms, and treatment regimens for the various congenital and traumatic conditions of the pediatric cervical spine.

       

      Subach et al looked at 20 children with atlantoaxial rotatory subluxation. They found of the 20 patients treated overall, conservative management failed in 6 (30%), and they required posterior fusion because of recurrence of the atlantoaxial rotatory subluxation or unsuccessful reduction. The major factor predicting the failure of conservative management was the duration of subluxation before initial reduction. Patients with long-standing subluxation were more likely to experience recurrence and require surgery.

      ++++++++++++++++++++++++++++++++++++++++++++++++++++++++++++++++++++++++++++++++++

    115. The 10-year-old boy shown in Figures A-B wishes to participate in junior football. A cervical spine CT scan is shown in Figure C. His renal evaluation shows unilateral renal aplasia and his cardiac evaluation is normal. What is his most likely diagnosis and the most appropriate corresponding medical clearance decision for playing football?

      FIGURES: A

      B
      C

       

       

       

       

       

       

       

      1. Klippel-Feil syndrome with no participation in contact sports

         

         

         

      2. Down's syndrome with no participation in contact sports

         

         

         

      3. Holt-Oram syndrome with no participation in contact sports

         

         

         

      4. Down's syndrome with full participation in contact sports only following skeletal maturity

         

         

         

      5. Klippel-Feil syndrome with full participation in contact sports only following skeletal maturity

      PREFERRED RESPONSE ▼ 1

      DISCUSSION: Klippel-Feil syndrome is defined as congenital cervical fusion of cervical vertebra characterized by a triad of a low, posterior hairline, a short neck, and limited neck motion. Klippel-Feil patients with cervical spine fusions above C3 should not participate in contact sports. It is critical that patients undergo a cardiac and renal evaluation upon their diagnosis to look for cardiac septal defects and several different types of renal anomalies.

       

      Patients with congenital cervical fusion may be at an increased risk of sustaining a transient neurologic deficit after minor trauma. Illustration A and B show a radiograph and MRI of a Klippel-Feil patient sustaining a central cord syndrome following a fall during a sporting activity.

       

      Illustrations: A

      B

       

       

       

       

       

      ++++++++++++++++++++++++++++++++++++++++++++++++++++++++++++++++++++++++++++++++++

       

       

    116. A 6-week-old female infant presents with the neck deformity and palpable mass shown in Figure A. She has had persistent lateral tilting of her head to the right since birth, and rotation of the neck is restricted. In this age group, what is the most common cause of this rotational abnormality?

      FIGURES: A

       

       

       

       

      1. Congenital muscular torticollis

         

         

         

      2. Klippel-Feil syndrome

         

         

         

      3. Arnold-Chiari malformation

         

         

         

      4. Atlantoaxial rotatory displacement

         

         

         

      5. Paroxysmal torticollis of infancy

      PREFERRED RESPONSE ▼ 1

      DISCUSSION: Congenital muscular torticollis (CMT) is the most common cause of torticollis in infancy. Neurologic disorders and osseous abnormalities, such as Klippel-Feil, are less common.

      Ultrasonography is considered the modality of choice for differentiating (CMT) from other more serious pathologies in the neck when a palpable mass is present. The initial treatment of of CMT is conservative, and good outcomes can be expected in the majority of these cases. Tang et al used US to examine affected sternocleidomastoid muscles in patients with CMT classified as having one of four types of fibrosis. They determined the change in fibrosis type over time and concluded that CMT is a dynamic disease which can be accurately assessed and followed by ultrasonography. Benign paroxysmal torticollis is a self-limiting condition occurring during infancy. It resolves by the age of two to three years. Paroxysmal torticollis of infancy is a rare disorder characterized by periodic episodes of torticollis which are associated with pallor, agitation and ataxia. The etiology is unknown and no treatment is effective, however the condition is usually benign and self-limiting.

      ++++++++++++++++++++++++++++++++++++++++++++++++++++++++++++++++++++++++++++++++++

    117. Tightness in which of the following muscles has been implicated as an etiology for congenital muscular torticollis?

       

       

       

      1. platysma

         

         

         

      2. omohyoid

         

         

         

      3. longus colli

         

         

         

      4. sternocleidomastoid

         

         

         

      5. trapezius

       

      PREFERRED RESPONSE ▼ 4

      DISCUSSION: Tightness of the sternocleidomastoid muscle leading to a stiff and tilted neck is associated with the muscular variety of congenital torticollis. The differential diagnosis of the wry neck however includes sequelae to inflammatory, ocular, neurologic or orthopedic diseases so therefore a thorough and systematic work-up is warranted, including a complete physical and neurologic examination and cervical spine radiographs. The treatment for the muscular variety is observation and physical therapy (stretching: lateral head tilt away from the affected side and chin rotation toward the affected side), then botox or sternocleidomastoid muscle lengthening for refractory cases. Overall, it is important to differentiate muscular from nonmuscular torticollis because the muscular type is benign while the nonmuscular type could be potentially life threatening.

      ++++++++++++++++++++++++++++++++++++++++++++++++++++++++++++++++++++++++++++++++++

    118. A 13-year-old girl is referred to the orthopedic clinic for evaluation of scoliosis. She denies back pain and states she began her menses 3 months ago. On Adams forward bending, she measures 6 degrees. She has 5 of 5 motor strength in all muscles groups in her lower extremities and symmetric patellar and Achilles reflexes. A standing PA and lateral radiograph is shown in Figures A and B. All of the following should be performed as part of her evaluation EXCEPT:

      FIGURES: A

      B

       

       

       

       

       

       

       

      1. Evaluation of leg lengths

         

         

         

      2. Assessment of abdominal reflexes

         

         

         

      3. Evaluation of waist asymmetry

         

         

         

      4. Evaluation for café-au-lait spots

         

         

         

      5. MRI

       

      PREFERRED RESPONSE ▼ 5

      DISCUSSION: Figures A and B depict a standing PA and lateral of a 13-year-old-girl with a right-sided thoracic curve of 18 degrees with an associated thoracolumbar curve. An adequate physical exam includes an evaluation of spinal balance, leg lengths, shoulder height, waist asymmetry, café-au-lait spots, foot deformities and reflexes.

       

      A MRI is not part of the initial evaluation in patients with idiopathic scoliosis without red flags or abnormal curve types. Typical indications for MRI include patients with a left thoracic curve, abnormal reflexes, rapid curve progression, neurologic symptoms, excessive kyphosis and foot abnormalities.

      Based on her skeletal maturity, curve magnitude, and menarche status, the risk of curve progression is low. In females, the onset of menses typically occurs one year after peak height velocity. In this scenario, treatment can consist of observation with further follow-up.

      ++++++++++++++++++++++++++++++++++++++++++++++++++++++++++++++++++++++++++++++++++

    119. Which of the following figures show an asterisk that correctly quantifies the amount of sagittal imbalance?

      FIGURES: A

      B
      C
      D
      E

       

       

       

       

       

       

       

       

       

       

       

      1. Figure A

         

         

         

      2. Figure B

         

         

         

      3. Figure C

         

         

         

      4. Figure D

         

         

         

      5. Figure E

      PREFERRED RESPONSE ▼ 2

      DISCUSSION: Sagittal vertical axis offset, or sagittal imbalance, is determined by measuring the distance from the C7 plumb line (dropped from the center of the C7 vertebral body) to the posterior-superior corner of the S1 vertebral body. This is correctly illustrated in Figure B.

       

      Restoring sagittal balance is a critical component in the treatment of adult spinal deformity. With "neutral" sagittal balance, the C7 plumb line will directly intersect the posterior-superior corner of S1. Positive or negative sagittal balance is described when plumb line is anterior and posterior to this sacral landmark, respectively.

       

      Joseph et al review sagittal plane deformity in the adult patient. They report that sagittal imbalance is a reliable predictor of the clinical health status in patients with spinal deformity, and that the mainstay of treatment is surgical correction back to neutral sagittal balance.

       

      Schwab et al performed a level 2 prospective study that introduces the concept of the "gravity line" in healthy adult volunteers. The gravity line is the center of recorded pressures measured on a footplate. With further studies, they hypothesize, the gravity line may prove itself to be superior to the plumb line in measuring spinal deformity.

      ++++++++++++++++++++++++++++++++++++++++++++++++++++++++++++++++++++++++++++++++++

       

       

    120. A 12-year-old female presents with a left thoracic rib prominence. Physical exam shows absent abdominal reflexes in the upper and lower quadrants on the left side, but present on the right. A PA standing radiograph is shown in Figure A. What is the next step in management?

      FIGURES: A

       

       

       

       

      1. Observation with repeat radiographs in 6 months

         

         

         

      2. Bracing with a thoraco-lumbar-sacral orthosis

         

         

         

      3. Magnetic resonance imaging (MRI)

         

         

         

      4. Posterior spinal fusion with instrumentation

         

         

         

      5. Anterior and posterior spinal fusion with instrumentation

       

      PREFERRED RESPONSE ▼ 3

      DISCUSSION: The clinical presentation is consistent with a left thoracic curve with abnormal abdominal reflexes and therefore an MRI is indicated to look for abnormalities of the nueral axis such as Chiari malformations and syringomyelia. One should recognize that right thoracic curves are more commonly seen in idiopathic scoliosis.

       

      Spielgel et al performed a a retrospective radiographic review on 41 patients with scoliosis associated with a Chiari I malformation and/or syringomyelia. Approximately 50% of patients had an

      "atypical" pattern (left thoracic, double thoracic, triple, long right thoracic). They recommend that MRIs should be considered in these patients.

       

      Yngve et al reviewed the sensitivity of abnormal abdominal reflexes on physical exam. They found the finding of abdominal reflexes consistently present on one side and consistently absent on the other side did not occur in normal subjects. They recommend further workup with an MRI if found in a patient with scoliosis.

       

      Illustration A shows the MRI of the patient presented in this question. It shows a large syringomyelia with dilatation in the lower cervical and upper thoracic area. Also noted was an Arnold-Chiari malformation. This patient was referred to a neurosurgeon and treated with a posterior fossa decompression.

       

      Illustrations: A

       

       

       

       

      ++++++++++++++++++++++++++++++++++++++++++++++++++++++++++++++++++++++++++++++++++

    121. In the treatment of thoracolumbar idiopathic scoliosis using an anterior single rod technique with interbody cages, which of the following variables has been associated with pseudoarthrosis.

       

       

       

      1. Thoracic curve coronal correction of > 40%

         

         

         

      2. Thoracolumbar/lumbar curve coronal correction > 50%

         

         

         

      3. Smaller adolescents (<50 kg)

         

         

         

      4. Failure to maintain lumbar lordosis of > 45 degrees

         

         

         

      5. Thoracic hyperkyphosis (>40 degrees )

       

      PREFERRED RESPONSE ▼ 5

      DISCUSSION: In select patients with thoracolumbar idiopathic scoliosis, an anterior approach with a single rod and interbody cages may be indicated. Thoracic hyperkyphosis (>40 degrees ) is a risk factor for pseudoarthrosis in patients treated with this method.

       

      In a prospective study, Sweet et al found anterior instrumented fusions using a single solid rod had good radiographic and clinical outcomes. In their treatment group they found common risk factors for pseudarthrosis were smoking, weight >70 kg, and T5-T12 hyperkyphosis of > 40 degrees. They recommend consideration should be given to alternate techniques in larger adolescents (>70 kg) with thoracic hyperkyphosis (>40 degrees ). The average coronal correction of thoracic curves was from 55 degrees to 29 degrees (47%). The average correction of thoracolumbar/lumbar curves was from 50 degrees to 15 degrees (70%). Neither of these variables were associated with pseudoarthrosis. In the sagittal plane, lordosis was maintained in thoracolumbar/lumbar fusions at -58 degrees (T12-sacrum). Improved maintenance of lumbar lordosis is considered one of the advantages of an anterior approach.

       

      In an additional study from the same group at Wash U, Hurford et al designed a study to compare the results of anterior DUAL-rod instrumentation with their previous experience using single-rod constructs. They found the two technique were comparable in the amount of radiographic deformity correction obtained. However, they report the absence of any pseudarthroses in the 60 patients with dual-rod is a distinct advantage over the single rod technique.

      ++++++++++++++++++++++++++++++++++++++++++++++++++++++++++++++++++++++++++++++++++

    122. A 14-year-old girl has adolescent idiopathic scoliosis. Her parents would like to know what kind of problems she will have compared to her peers who do not have scoliosis. You should inform them that she will have:

       

       

       

      1. difficulty with pregnancy in the future.

         

         

         

      2. decreased pulmonary function regardless of the severity of scoliosis.

         

         

         

      3. limitations in athletic participation.

         

         

         

      4. more acute or chronic back pain.

         

         

         

      5. increased risk of developing cancer.

       

      PREFERRED RESPONSE ▼ 4

      DISCUSSION: Weinstein reported on a 50-year natural history of idiopathic scoliosis and found that scoliotic patients had more shortness of breath that was directly related to Cobb angle measurement. Also, they tended to have more either acute or chronic back pain and had cosmetic concerns. However, scoliosis itself did not cause any serious physical impairment.

      ++++++++++++++++++++++++++++++++++++++++++++++++++++++++++++++++++++++++++++++++++

    123. When compared to normal controls, adults with untreated idiopathic scoliosis and a Cobb angle of greater than 60 degree at the time of skeletal maturity have a higher rate of which of the following?

       

       

       

      1. Acute and chronic back pain

         

         

         

      2. Premature death

         

         

         

      3. Disability

         

         

         

      4. Clinical depression

         

         

         

      5. Limitation in activities of daily living

       

      PREFERRED RESPONSE ▼ 1

      DISCUSSION: Patient with untreated adolescent idiopathic scoliosis with a curve of 60 degrees or greater at skeletal maturity have an increased rate of low back pain relative to normal controls.

       

      Weinstein et al (1981) looked at patients with untreated AIS. They found "many curves continued to progress slightly in adult life, particularly thoracic curves that had reached between 50 and 80 degrees at skeletal maturity. Backache was somewhat more common in these patients than in the general population, although it was never disabling. Pulmonary function was affected only in patients

      with thoracic curves."

       

      Weinstein et al (2003) looked at patients with 50-year follow-up of patients with untreated AIS (same cohort as prior study) and compared them with age/sex matched normal controls. They found 61% of patients with AIS reported chronic back pain compared with 35% of controls (P =.003). However, the pain reported was only mild or moderate. There was no statistically significant difference in disability, depression, age at death of patients, and capacity to perform activities of daily living. They conclude untreated AIS causes little physical impairment other than back pain and cosmetic concerns.

      ++++++++++++++++++++++++++++++++++++++++++++++++++++++++++++++++++++++++++++++++++

    124. Which of the following statements regarding osteoid osteomas in the spine is correct?

       

       

       

      1. Scoliosis caused by osteoid osteoma is typically a flexible curve

         

         

         

      2. Osteoid osteomas in the spine cannot be treated by radiofrequency ablation

         

         

         

      3. Spinal osteoid osteomas typically occur on the concave side of the curve

         

         

         

      4. Osteoid osteomas always occur in the vertebral body of the spine

         

         

         

      5. Osteoid osteomas in the spine show more malignant histological behavior than those in the extremity

       

      PREFERRED RESPONSE ▼ 3

      DISCUSSION: Scoliosis caused by osteoid osteomas are typically non-flexible curves where the osteoid osteoma occurs on the concavity of the curve. While peripheral osteoid osteomas, far away from the neural elements CAN be treated with radiofrequency ablation, treating osteoid osteomas of the spine with RFA needs to be done on a case by case basis - depending on how close the lesion is to the neural elements. Osteoid osteomas can occur in either the vertebral body or the posterior elements of the spine, but typically occur in the posterior elements. Histologically, osteoid osteomas of the spine are identical to those in the extremity.

      ++++++++++++++++++++++++++++++++++++++++++++++++++++++++++++++++++++++++++++++++++

    125. Figure A demonstates different anatomic patterns in congenital scoliosis. Which pattern has the worst prognosis and is an indication for surgery.

      FIGURES: A

       

       

       

       

       

       

       

      1. Illustration 1

         

         

         

      2. Illustration 2

         

         

         

      3. Illustration 3

         

         

         

      4. Illustration 4

         

         

         

      5. Illustration 5

       

      PREFERRED RESPONSE ▼ 5

      DISCUSSION: Congenital scoliosis is caused by anatomic anomalies of the vertebral bodies. The different type of anomalies can be divided into failure of formation (hemivertebrae, wedge vertebrae, butterfly vertebrae) and failure of segmentation (block vertebrae, bar body). The worst situation is when there is failure of formation with contralateral failure of segmentation. An example of this is a hemivertebrae with a contralateral bar body as depicted in Illustration 5. This has the worst prognosis and is an indication for surgery.

      ++++++++++++++++++++++++++++++++++++++++++++++++++++++++++++++++++++++++++++++++++

    126. A 2-year-old girl presents to the office for evaluation of spinal deformity. A radiograph is shown in Figure A. What additional work-up should be done?

       

       

      FIGURES: A

       

       

       

       

      1. HLA-B27

         

         

         

      2. Echocardiography

         

         

         

      3. Bone scan with SPECT images

         

         

         

      4. Skeletal survey

         

         

         

      5. Electromyogram

       

      PREFERRED RESPONSE ▼ 2

      DISCUSSION: The radiograph demonstrates congenital scoliosis with defects in formation (resulting in the hemivertebrae) and segmentation. Basu et al assessed the incidence of intraspinal anomalies and other organic defects associated with different types of congenital spinal deformity using MRI, echocardiography, renal ultrasound, and a thorough clinical assessment. Intraspinal abnormalities were found in 37% of patients - more commonly in those with congenital kyphosis and scoliosis resulting from mixed and segmentation defects. Cardiac defects were detected in 26% and urogenital anomalies in 21% of patients. Based on their finding, they argue magnetic resonance imaging and echocardiography should be an essential part in the evaluation of patients with congenital spinal deformity. Renal ultrasound should be considered, although a complete spine MRI may detect renal pathology as well.

      ++++++++++++++++++++++++++++++++++++++++++++++++++++++++++++++++++++++++++++++++++

    127. A 13 year-old boy is brought to your office because his mother is concerned about his poor posture. A lateral radiograph shows thoracic kyphosis of 38 degrees. This likely represents:

       

       

       

      1. Normal range of thoracic kyphosis

         

         

         

      2. Adolescent idiopathic scoliosis

         

         

         

      3. Scheuerman's kyphosis

         

         

         

      4. Pathologic scoliosis

         

         

         

      5. Congenital scoliosis

       

      PREFERRED RESPONSE ▼ 1

      DISCUSSION: The Scoliosis research society has stated that the accepted range of normal thoracic kyphosis for a growing adolescent is between 20 and 40 degrees. Any degree of kyphosis at the thoracolumbar area or lumbar area of the spine should be considered abnormal.

      ++++++++++++++++++++++++++++++++++++++++++++++++++++++++++++++++++++++++++++++++++

    128. A 12-year-old gymnast has had progressive low back and buttock pain refractory to conservative management for two years. A sagittal MRI is shown in Figure A. Surgical management with reduction of L5 on S1 would most likely lead to which of the following neurologic complications?

       

       

      FIGURES: A

       

       

       

       

      1. Decreased patellar reflexes

         

         

         

      2. Weakness to hip flexion

         

         

         

      3. Weakness to great toe extension

         

         

         

      4. Weakness to knee extension

         

         

         

      5. Weakness to ankle plantar flexion

       

      PREFERRED RESPONSE ▼ 3

      DISCUSSION: The patient described in the clinical scenario has a high-grade L5/S1 spondylolisthesis. Surgical reduction of this condition places the L5 nerve root at risk. Injury to the L5 nerve root can manifest as weakness to hip abduction, EHL, and tibialis anterior (dual innervation with L4). Sensory manifestations would include pain or paresthesia over the lateral calf and dorsal foot.

       

      Cheung et al reviewed spondylolysis and spondylolisthesis in adolescents. They recommended in-situ L5 to S1 posterolateral fusion for low-grade (<50%) slips that have failed non-surgical management. Although still controversial, they recommend in-situ L4-S1 fusion for high-grade slips.

       

      Lonner et al addressed the pros and cons of surgical reduction for high-grade pediatric spondylolisthesis. In their review of five patients who underwent decompression and reduction, two had L5 nerve root deficits which resolved within three months. Benefits of reductions included decrease in slip progression, restoration of sagittal balance, regional balance and improved clinical outcomes.

       

      Petraco et al performed a cadaveric stidu to quantify the change in length of the L5 nerve root associated with reduction of spondylolisthesis. They found that the risk of stretch injury to the L5 nerve with reduction of a high-grade spondylolisthesis is not linear; with 71% of the total L5 nerve strain occurring during the second half of reduction. They infer that partial reduction may be a significantly safer treatment approach for high-grade spondylolisthesis than complete reduction.

       

      Incorrect Answers:

      1. Decreased patellar reflexes would be caused by an L4 nerve injury.

      2. Weakness to hip flexion would be caused by injury to L1-3.

      1. Weakness to knee extension would be caused by an L4 nerve injury.

      2. Weakness to ankle plantar flexion would be caused by an S1 nerve injury.

      ++++++++++++++++++++++++++++++++++++++++++++++++++++++++++++++++++++++++++++++++++

    129. A 17-year-old high school football lineman was diagnosed with the condition shown in the Figure A radiograph. He continues to have pain despite 6 months of wearing a custom lumbar spine orthotic (LSO) and avoiding all sports activities. His physical exam is notable for pain with single-limb standing lumbar extension and a normal neurologic exam. How would the surgical management differ if this condition occurred at L3 instead of L5?

       

       

      FIGURES: A

       

       

       

       

      1. Pars interarticularis repair is indicated

         

         

         

      2. Lumbosacral fusion is indicated

         

         

         

      3. Gill procedure is indicated

         

         

         

      4. Combined anterior interbody fusion and posterior decompression is indicated

         

         

      5. Iliac crest bone grafting is indicated

       

      PREFERRED RESPONSE ▼ 1

      DISCUSSION: This clinical presentation is consistent with a

      symptomatic spondylolysis, without listhesis or neurologic deficits, that has failed nonoperative management. Pain with single-limb standing lumbar extension is a characteristic physical finding with this condition. The oblique radiograph demonstrates a defect in the pars interarticularis. For comparison a radiograph of a normal lumbar spine is shown in Illustration A below. The oblique radiograph is often likened to a "Scotty dog". The parts of the dog are as follows: the transverse process-the nose; the pedicle-the eye; the pars interarticularis-the neck; the superior articular facet-the ear; the inferior articular facet-the front leg. The review article by Hu et al discusses surgical management of this condition. They argue at L4 and above treatment includes pars interarticularis repair whereas at L5-S1 treatment is in-situ fusion with bone grafting. A Gill procedure is a wide, bilateral decompression of the neural elements with removal of the loose lamina and is only indicated when the patient has signs of the neural compromise. Combined anterior/posterior fusion approaches are only a reasonable option in patients with spondylolisthesis.

      Illustrations: A

       

       

       

       

       

      ++++++++++++++++++++++++++++++++++++++++++++++++++++++++++++++++++++++++++++++++++

    130. A 14-year-old soccer player has a history of intermittent low back pain. He reports for the last 4 months he has had no symptoms or limitations in his athletic activity. Treatment should include?

       

       

      FIGURES: A

       

       

       

       

      1. a thoracolumbar orthosis

         

         

         

      2. in situ L5-S1 bilateral posterolateral fusion

         

         

         

      3. repair of pars defect wih screw fixation

         

         

         

      4. limitation of athletic activity

         

         

         

      5. observation with no restriction of physical activity

       

      PREFERRED RESPONSE ▼ 5

      DISCUSSION: The patient has a Low Grade L5-S1 isthmic spondylolisthesis with minimal symptoms. The most appropriate treatment is observation with no restriction of physical activity.

       

      Isthmic spondylolithesis is classically seen in gymnasts, football offensive lineman and other athletes who do a lot of repetitive hyperextension activities. It can be classified as Low Grade or High Grade.

      Most patients with Low Grade spondylithesis can be treated with non-operative treatment that involves PT and activity modification.

       

      Jackson et al performed a Level 4 study of 100 female gymnasts and found a pars defect in 11% and associated listhesis in 6% of patients, which is a much higher incidence than in non-athletic females.

       

      Wiltse et al reports "there are 2 fairly common types of spondylolisthesis in children - dysplastic and isthmic. The dysplastic type is secondary to congenital defects at the lumbosacral joint. The isthmic is usually due to a fatigue fracture of the pars interarticularis but there is also an hereditary element in this type. Most children with spondylolisthesis never develop significant symptoms and even of those who do, the vast majority can be treated without surgery."

      ++++++++++++++++++++++++++++++++++++++++++++++++++++++++++++++++++++++++++++++++++

    131. What additional diagnostic test is most sensitive to diagnose pediatric spondylolysis when AP and lateral radiographs are normal.

       

       

       

      1. Flexion-extension lateral radiographs

         

         

         

      2. Oblique radiographs of the of the lumbosacral spine

         

         

         

      3. Single photon emission computed tomography (SPECT)

         

         

         

      4. Indium-labeled bone scan

         

         

         

      5. Ultrasound

       

      PREFERRED RESPONSE ▼ 3

      DISCUSSION: Of the listed answers, single photon emission computed tomography (SPECT) is the most sensitive imaging modality to diagnose spondylolysis when AP and lateral radiographs are normal. Initial imaging studies should first include AP and lateral radiographs, which demonstrate 80% of defects, and oblique radiographs which demonstrate an additional 15% of defects. If no lesion is seen on plain radiogaphs, SPECT can be considered as a diagnostic study. Conventional lumbar spine MRI techniques are valuable for demonstrating normality of the pars, but may be associated with a high false positive rate for the diagnosis of pars defects. The cited reference by Gregory et al. showed that single photon emission computerized tomography can be an effective tool to diagnosis spondylolysis in young patients with back pain. Illustration A, B, and C demonstrate single photon emission computed tomography images in a patient with spondylolysis.

       

       

      Illustrations: A

      B
      C

       

       

       

       

       

       

       

       

       

       

      ++++++++++++++++++++++++++++++++++++++++++++++++++++++++++++++++++++++++++++++++++

    132. A 13-year-old gymnast reports the acute onset of low back pain that began four weeks ago. Radiographs are unremarkable. A single-photon-emission-computer-tomography (SPECT) is shown in Figure A. Initial treatment should consist of?

       

       

      FIGURES: A

       

       

       

       

      1. Bracing with a molded lumbosacral orthosis

         

         

         

      2. Aggressive physical therapy

         

         

         

      3. CT guided biopsy

         

         

         

      4. In-situ posterolateral fusion of L5-S1

         

         

         

      5. Epidural steroid injection

       

      PREFERRED RESPONSE ▼ 1

      DISCUSSION: The question presents a 13-year-old gymnast with the acute onset of low back pain that is activity related. Her radiographs are normal, but a SPECT scan shows increased signal of the L5 pars, indicative of impending or acute stress reaction spondylolysis. The reference by Cohen & Stuecker demonstrated that bracing and avoiding strenuous activities prevented the formation of pars defects in patients with impending spondylolysis. Early diagnosis was made with MRI. Patients should wear a lumbosacral orthosis full time for 6 to 12 weeks.

      ++++++++++++++++++++++++++++++++++++++++++++++++++++++++++++++++++++++++++++++++++

       

       

    133. A 26-year-old male presents with chronic back and bilateral leg pain that has not improved with extensive nonoperative management including physical therapy, oral medications, and corticosteroid injections. Radiographs are shown in Figure A. What is the most appropriate next step in treatment?

      FIGURES: A

       

       

       

       

      1. Placement of epidural spinal stimulator

         

         

         

      2. Lumbar decompression alone

         

         

         

      3. Lumbar decompression with L5 to S1 posterior lumbar fusion

         

         

         

      4. Lumbar decompression, L4 to S1 posterior lumbar fusion, and anterior column support

         

         

      5. Minimally invasive direct lateral interbody fusion with percutaneous pedicle screw placement

       

      PREFERRED RESPONSE ▼ 4

      DISCUSSION: The clinical presentation and imaging studies are diagnostic of a high grade spondylolisthesis that has failed nonoperative management. Surgery is indicated, and the procedure of choice is a posterior lumbar decompression with an instrumented fusion from L4 to S1 with anterior column support.

       

      The Meyerding classification, shown in Illustration A, is used to determine the Grade. Grade I and Grade II are considered Low Grade. Grade III, IV, and V are considered High Grade. Surgical treatment differ between Low Grade and High Grade.

       

      DeWald et al performed a retrospective study of 21 patients with high grade spondylolithesis. They recommend in situ posterior instrumentation from L4 to S1 with anterior column support. Anterior column support can be performed, anteriorly or posteriorly, either by using inter vertebral body structural strut support or with a transsacral fibular dowel to improve stability and success of arthrodesis.

       

      Reduction of the slipped vertebrae remains controversial for all grades of spondylolisthesis. Lenke and Bridwell argue partial reduction aiming at improving the slip angle (lumbosacral kyphosis) is more beneficial and provides less risk to the L5 nerve roots than complete reduction. They also recommend anterior and posterior spinal fusion at L5-S1.

       

      Illustrations: A

       

       

       

       

      ++++++++++++++++++++++++++++++++++++++++++++++++++++++++++++++++++++++++++++++++++

    134. In pediatric discitis, which of the following is the most accurate description of the radiographic findings.

 

 

 

  1. The earliest radiographic finding is loss of normal lumbar lordosis, followed by disc space narrowing and endplate erosion.

     

     

  2. The earliest radiographic finding is disc space narrowing, followed by endplate erosion and loss or normal lumbar lordosis.

     

     

  3. The earliest radiographic finding is endplate erosion, followed by disc space narrowing and loss or normal lumbar lordosis.

     

     

  4. The earliest radiographic finding is scalloping of the inferior endplate, followed by disc space narrowing and endplate erosion.

     

     

  5. The earliest radiographic finding is vertebra magna, followed by disc space narrowing and endplate erosion.

 

PREFERRED RESPONSE ▼ 1

DISCUSSION: Childhood discitis is a continuum of spinal infections ranging from discitis to vertebral osteomyelitis with soft tissue abscesses. Loss of normal lordosis is the first radiographic sign and is often present before any bony changes can be seen.

 

Additional radiographic findings are related to the duration of infection. Isolated disk space narrowing may be seen after 1 week. Endplate changes may be seen at 1-3 weeks. “Sawtooth” erosion of adjacent vertebral end plates may be seen at 3-4 weeks. Scalloping of the superior or inferior endplates may be seen with longstanding infections. Vertebra magna with resulting canal narrowing, permanent loss of disc height, or block vertebra caused by spontaneous disc space fusion may be noted in patients with resolved infections.

 

The reference by Early et al. emphasize that physical examination, laboratory tests, and radiologic studies all aid in the diagnosis of this clinical syndrome. They report "most children improve rapidly with a 4- to 6-week course of antibiotics. Biopsy of the infected disk space is reserved for children refractory to intravenous antibiotics."

 

The reference by Szalay et al. is a case series of four patients that investigates the role of magnetic resonance imaging in the diagnosis of acute discitis in children. They found MRI to be more effective than radionuclide scans to diagnose diskitis in children, and argue its use might prevent delays in diagnosis.

 

Illustration A, B, and C come from the Early et al reference, and show the radiographic appearance of pediatric discitis at 2 weeks, 4 weeks, and 2.5 years respectively.

 

 

Illustrations: A

B

C

 

 

 

 

 

 

 

 

 

++++++++++++++++++++++++++++++++++++++++++++++++++++++++++++++++++++++++++++++++++

Dr. Mohammed Hutaif

About the Author: Prof. Dr. Mohammed Hutaif

Vice Dean of the Faculty of Medicine at Sana'a University and a leading consultant in orthopedic and spinal surgery. Learn more about my expertise and achievements.

Share this article