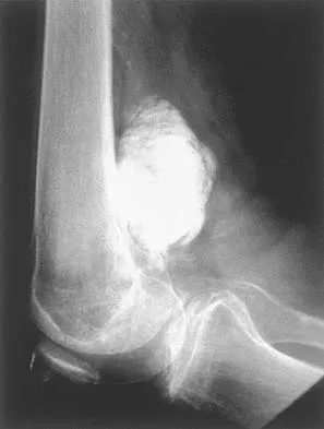
AAOS Pediatric Orthopedics (Set 2): DDH, SCFE & Femur Fractures | Board Review
Master AAOS & ABOS pediatric orthopedic boards with practice MCQs for Set 2, covering Developmental Dysplasia…
Comprehensive orthopaedic surgery MCQs for SMLE, DHA, and MOH exams 2026.
Master AAOS & ABOS pediatric orthopedic boards with practice MCQs for Set 2, covering Developmental Dysplasia…
Master AAOS & ABOS exams with Set 4 practice MCQs. Covers proximal femur fractures, hip dislocations, and ava…
Master your AAOS & ABOS boards with practice MCQs for Set 3, covering femoral neck fractures, total hip arthr…
Test your hip orthopedic knowledge with High-Yield MCQs (Set 2) for AAOS & ABOS. Covers femoral neck fracture…
Master AAOS & ABOS boards with practice MCQs for Hip 2004 (Set 1), covering hip fractures, arthroplasty, and …
Master AAOS & ABOS boards with high-yield Shoulder MCQs (Set 4). Practice questions cover rotator cuff pathol…
Ace your ABOS/OITE with Set 3 Shoulder MCQs. Covers rotator cuff tears, glenohumeral instability, impingement…
Master AAOS & ABOS boards with high-yield Shoulder MCQs (Set 2). Practice questions cover rotator cuff pathol…
Master your AAOS & ABOS boards with practice MCQs for Set 1, covering rotator cuff injuries, shoulder instabi…
Master AAOS & ABOS basic science boards with Set 4 high-yield MCQs. Covers bone healing, cartilage biology, j…
Master the AAOS & ABOS boards with Basic Science practice MCQs for Set 3. This set covers core orthopedic pri…
Master the AAOS & ABOS boards with Set 2 of high-yield basic science MCQs. Covers essential bone physiology, …