Demographics
Age: 77 Sex: Female BMI: 32
Relevant Past Medical History
Principal pathologies: Rheumatoid arthritis, hyperlipidaemia
Previous surgical procedures: (1) Left primary total hip arthroplasty (THA) 25 years previously; (2) left revision THA (acetabulum only) 1 month previously
Medication: Imuran, atorvastatin
History of presenting complaint: 77-year-old female status post recent revision left THA for osteolysis and aseptic loosening one month prior presented with an extreme left hip pain, difficulty ambulating and subjective ‘looseness’ of the prosthesis
Clinical Examination
Symptoms: Pain, crepitation with both passive and active hip range of motion
Range of motion: Extension-flexion, 0–90; internal-external rotation, 10–20; abduction-adduction, 15–30
Specific tests: Positive Stinchfield test
Main disability: Difficult weight bearing and ambulation
Neurovascular evaluation: Intact (including motor function of the sciatic and femoral nerve, sensibility throughout the lower extremity der-matomes and palpable distal pulses)
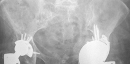
Preoperative Radiological Assessment/Imaging(Figs. 20.9 and 20.10)





--- Fig. 20.11 Cross-table lateral left hip radiograph—ace-tabular component has flipped into retroversion with marked posterior bone loss #### Preoperative Planning
Diagnosis : Pelvic discontinuity with severe acetabular bone loss (Paprosky acetabular bone loos classification, IIIb) (Figs. 20.9, 20.10 and 20.11) Possible treatment options : Uncemented reconstruction (acetabular column plating with bulk structural allograft and/or highly porous metal (tantalum) implants with modular augments), ‘cup-cage’ reconstruction, custom (triflange) implants
and acetabular distraction technique
Chosen treatment method: Cup-Cage reconstruction.
Selection of implants if applicable and rational: Large (jumbo) highly porous metal cup and corresponding spanning ilioischial cage to allow for mechanical construct stability whilst trying to achieve biological fixation of the acetabular shell Expected difficulties: Fixation of the cup secondary to poor bone quality (rheumatoid disease,
age and prior surgeries)
Strategies to overcome difficulties: Large (jumbo) highly porous metal cup for distraction fit into defect and multiple screw fixation in intact ischial bone
Surgical Note
Patient’s position: Lateral decubitus position on the peg board
Type of anaesthesia: General endotracheal anaesthesia with regional nerve (psoas) catheter placed for postoperative pain control
Surgical approach: Standard posterior approach to hip
Main steps: (1) Removal of acetabular component and debridement of maximal tissue. (2)
Inspection of bone loss/pelvic discontinuity. (3) Reaming acetabulum to ensure host bone contact.
(4) Bone grafting with allograft cancellous chips.
(5) Implantation of jumbo highly porous metal cup so that there is a slight distraction of discontinuity to maximize fixation. (6) Placement of multiple screws to secure cup to intact host bone.
(7) Place cage into the acetabular cup and secure with screws to the socket as well the ilium. (8) Trial accordingly to restore leg length and soft-tissue tension (Figs. 20.12 and 20.13).
Reconstruction techniques: Bone grafting, implanting jumbo highly porous metal cup, securing cage construct into cup and host bone and restoring hip centre, length and stability with construct (including cup cage and femoral head size/length).
Intraoperative Challenges
Challenges and solutions: Challenge, poor/mini-mal host bone with pelvic discontinuity; solution, utilizing large cup to distract the discontinuity to maximize bony contact/fixation, placing multiple screws into most supportive area of host bone and protecting cup through implantation of cage.
Unanticipated problems and solution: Problem, restoring hip stability; solution, utilizing dual mobility construction (by cementing dual mobility cup into the protrusio cage followed by placement of dual-mobility articulation).
Thorough description of decision-making, including the reason for the final decision: Multiple anatomical issues to consider including the pelvic discontinuity, poor bone quality and severe bone loss. The cup-cage construct affords management of both the discontinuity and the acetabular bone loss (cup and bone graft), whilst the cage provides the initial stability/fixation of pelvis in the setting of poor bone quality.
Postoperative Radiographs
(Figs. 20.12 and 20.13)



--- Fig. 20.13 Cross-table lateral hip radiograph—revision THA components with appropriate anteversion
Postoperative Management
Chemoprophylaxis and anticoagulant treatment period: Mechanical compressive devices during inpatient hospitalization with low-dose warfarin (goal INR 1.7–2.2) for six weeks
Gait/limb loading until full loading: Toe-touch weight bearing with a maximum of 30 pounds on operative extremity for six weeks followed by progression to weight bearing as tolerated after that.
Follow-Up and Complications
No complication.
Discussion
Advantages of the applied method : Revision surgery of acetabular components can be challenging because the surgeon must often manage acetabular defects and/or pelvic discontinuity. The cup-cage construct is a viable option because of its ability to provide a cup with a potential for biological fixation and a cage to provide initial stability and protection from biomechanical forces acting upon the cup. Assuming bone ingrowth of the highly porous metal cup, the entire construct has a documented 5-year survival rate from any revision of 93% with potential for long-term stability [1].
Disadvantages of the method: Aside from the complex challenge of evaluating acetabular bone loss and/or pelvic discontinuity, the ‘cup cage’ is technically difficult requiring careful preoperative planning and implementation of multiple advanced reconstruction techniques including bone grafting, implanting a large cup, securing a cage and restoring hip biomechanics. Although midterm survival rates are encouraging, longterm studies are needed to understand the potential longevity of the construct fully.
Alternative evidence-based techniques for the case : A variety of options are available during revision for severe acetabular defects including uncemented reconstruction (acetabular column plating with bulk structural allograft and/or highly porous metal (tantalum) implants with modular augments), ‘cup- cage’ reconstruction, custom (triflange) implants and acetabular distraction technique [2]. Pelvic discontinuity was traditionally addressed with the use of ilioischial cages; however, mid- to long-term failure rates were relatively high because of limited biological fixation. It may be difficult or impossible to achieve stability with the sole use of highly porous metal implants if the acetabular defect is large, bone quality is poor, there is limited host bone contact or there is a pelvic discontinuity. Newer techniques such as the use of custom triflange implants and acetabular reconstruction techniques are novel approaches to complex problems and have demonstrated <5% aseptic loosening revision rate at midterm [13, 15].
Why is the chosen technique better for this
case? The cup-cage reconstruction provides initial mechanical stability with potential for longterm biological fixation in an otherwise healthy, active patient. Furthermore, there are perhaps more intraoperative flexibility/options for grafting and fixation than other newer techniques.
Indications and contraindications for your technique: Indications—severe acetabular bone loss (Paprosky IIIA and IIB) and pelvic discontinuity when stable fixation cannot be obtained through the use of highly porous cup and augments; contraindications, active infection.
Learning curve and how to manage complications: As with all complex acetabular revisions, the learning curve is long and requires progressive steps to maximize the chances of success including thoughtful preoperative planning, adequate surgical exposure, evaluation of bone loss and areas for potential fixation, limited postoperative weight bearing and careful follow-up. Complications inherent to such advanced reconstructions include
infection, dislocation and sciatic nerve injury [1]. Acute infection may be treated with debridement and liner exchange, whereas surgeon and patient may decide to utilize suppression in the face of chronic infection. Dislocation has been treated with a larger femoral head or constrained liner or dual mobility component cemented into the cage as was utilized in this case example. Sciatic nerve palsy is best managed with observation and ankle-foot orthosis unless an initial irritant to the nerve is identified.
Level of evidence concerning the superiority of this method against others: Level IV.