Introduction and Epidemiology
Total hip arthroplasty (THA) is widely regarded as one of the most successful surgical interventions in modern medicine, providing reliable pain relief and functional restoration for end-stage hip pathology. The direct anterior approach (DAA) to the hip has experienced a significant resurgence in popularity over the past two decades. Historically described by Carl Hueter in 1881 and later popularized by Smith-Petersen for open reductions, the DAA utilizes a true internervous and intermuscular plane, theoretically minimizing soft tissue trauma and expediting early postoperative recovery.

While the DAA was initially popularized in the modern era utilizing a specialized orthopedic traction table (e.g., the Judet or Hana table) to facilitate femoral exposure, a paradigm shift has occurred. An increasing number of high-volume arthroplasty surgeons are transitioning to performing the DAA on a standard, flat radiolucent operating tableโoften referred to as the "off-table" DAA.
The epidemiological shift toward the off-table technique is driven by several factors. First, the standard table eliminates complications specifically associated with traction tables, such as perineal post-related pudendal nerve neurapraxia, perineal soft tissue crush injuries, and iatrogenic ankle or tibial fractures from the traction boots. Second, it reduces capital equipment costs and operating room turnover time. Third, it allows for dynamic, real-time assessment of leg length and offset without the confounding variables introduced by fixed traction. Mastering the DAA without a traction table requires a profound understanding of three-dimensional pelvic anatomy, meticulous sequential capsular releases, and precise manual manipulation of the operative extremity.
Surgical Anatomy and Biomechanics
The fundamental advantage of the DAA lies in its exploitation of the Hueter interval, which provides direct access to the hip joint without the detachment of any major muscle groups. Understanding the superficial and deep anatomical structures, as well as the neurovascular topography, is paramount for safe execution on a standard table where dynamic retraction is heavily utilized.
The Hueter Interval
The superficial dissection utilizes the intermuscular plane between the tensor fasciae latae (TFL) laterally and the sartorius medially. This represents a true internervous plane. The TFL is innervated by the superior gluteal nerve (L4, L5, S1), while the sartorius is innervated by the femoral nerve (L2, L3, L4).

Deep to this superficial layer, the dissection continues between the gluteus medius laterally (superior gluteal nerve) and the rectus femoris medially (femoral nerve). The preservation of these muscular envelopes is the cornerstone of the approach's dynamic stability, significantly reducing the risk of posterior dislocation compared to the posterior approach.
Neurologic Considerations
The most frequently encountered neurologic structure during the DAA is the lateral femoral cutaneous nerve (LFCN). The LFCN typically emerges from the pelvis medial to the anterior superior iliac spine (ASIS) and courses distally over the sartorius muscle. However, anatomical variations are exceedingly common. The nerve may branch proximally, and its lateral branches can cross the surgical interval. Iatrogenic injury or aggressive retraction can result in meralgia paresthetica. To mitigate this risk, the fascial incision should be made strictly over the TFL belly rather than directly within the intermuscular sulcus.

Vascular Supply and The Leash
As the surgeon deepens the interval between the TFL and rectus femoris, a consistent vascular bundle is encountered crossing the surgical field transversely. These are the ascending branches of the lateral circumflex femoral artery (LCFA), commonly referred to by arthroplasty surgeons as "the leash." These vessels must be meticulously identified, isolated, and ligated or cauterized to prevent significant postoperative hematoma formation.

Biomechanically, the off-table DAA preserves the posterior capsular and short external rotator structures. This preservation maintains the native resting tension of the hip joint, providing inherent stability against posterior translation. Furthermore, the anterior capsulotomy (or capsulectomy) combined with precise sequential posterior capsular releases allows the proximal femur to be mobilized anteriorly and laterally for preparation, a biomechanical necessity when skeletal traction is not employed.
Indications and Contraindications
The standard table DAA is suitable for the vast majority of primary THA cases. However, patient selection is critical, particularly during the surgeon's learning curve. The off-table technique relies heavily on manual manipulation of the limb and dynamic retraction, which can be exponentially more difficult in certain patient phenotypes.

Case Selection Criteria
| Parameter | Favorable for Off-Table DAA | Challenging or Relative Contraindication |
|---|---|---|
| Body Mass Index | BMI < 35 kg/mยฒ | BMI > 40 kg/mยฒ (particularly with a large pannus) |
| Muscularity | Average to asthenic build | Highly muscular males (stiff soft tissue envelope) |
| Anatomy | Standard primary osteoarthritis | Severe protrusio, high hip dysplasia (Crowe III/IV) |
| Hardware | No prior anterior hardware | Retained hardware requiring extensive anterior exposure |
| Deformity | Minimal proximal femoral deformity | Severe coxa vara or prior proximal femoral osteotomy |
While a large abdominal pannus is a relative contraindication due to the risk of wound maceration and infection in the groin crease, taping the pannus proximally and laterally can mitigate this risk. However, the sheer mass of the soft tissue can severely impede the trajectory of femoral broaching, a challenge that is often exacerbated on a standard table where the leg cannot be dropped via a traction spar.
Pre Operative Planning and Patient Positioning
Thorough preoperative templating is mandatory. The surgeon must determine the anticipated component sizes, center of rotation, offset restoration, and leg length discrepancy. Digital templating allows for the calculation of the neck resection level relative to the lesser trochanter, which is crucial for achieving the planned biomechanical reconstruction.

Operating Room Setup and Table Configuration
The patient is positioned supine on a standard, flat, radiolucent operating table. The radiolucency of the table is non-negotiable, as intraoperative fluoroscopy is a hallmark of the DAA.

The patient's pelvis must be leveled precisely. A bump (often a rolled towel or a specialized gel pad) is placed transversely beneath the sacrum or the lower lumbar spine. This serves to slightly extend the hips and elevate the pelvis, facilitating femoral exposure later in the procedure. The arms are typically placed on arm boards or secured across the chest to allow unrestricted access for the C-arm fluoroscopy unit, which is brought in from the contralateral side.
Draping and Limb Mobility
Unlike traction table setups where the feet are locked into boots, the standard table approach requires the operative limb to be completely free and mobile. The leg is prepped and draped free in a sterile fashion. A sterile U-drape is utilized, and a sterile pocket or pouch is often attached to the side of the table. This pouch allows the operative leg to be dropped into extension, external rotation, and adduction during femoral preparation.

The contralateral leg is also draped into the sterile field or covered with a clear sterile drape to allow for clinical comparison of leg lengths and to permit the C-arm to swing freely without contaminating the field.
Detailed Surgical Approach and Technique
Mastering the off-table DAA requires a choreographed sequence of steps. Without the brute force of a traction table, the surgeon must rely on elegant soft tissue releases and precise retractor placement.
Incision and Superficial Dissection
The anterior superior iliac spine (ASIS) and the lateral aspect of the patella or fibular head are palpated as landmarks. The incision typically begins 2 to 3 centimeters distal and lateral to the ASIS and extends distally for 8 to 10 centimeters, directed toward the lateral patella.

Following the skin incision, subcutaneous fat is divided to expose the fascia over the TFL. To protect the LFCN, the fascial incision is made roughly 1 to 2 centimeters lateral to the TFL-sartorius interval, directly over the muscle belly of the TFL.

The TFL fascia is then elevated, and blunt dissection is used to sweep the muscle laterally, entering the Hueter interval.
Deep Dissection and Capsulotomy
As the interval is developed, the ascending branches of the LCFA ("the leash") are encountered. These are coagulated or ligated. A specialized retractor (e.g., a Hibbs or Cobra) is placed medially over the anterior column, retracting the rectus femoris and iliopsoas medially. Another retractor is placed laterally over the superior capsule to retract the TFL and gluteus minimus.
The precapsular fat is excised to expose the anterior joint capsule. An anterior capsulotomy is performed. An inverted "T" or "H" shaped incision is standard. Many surgeons opt for a partial anterior capsulectomy to enhance visualization, while others tag the capsule for later repair.

Neck Osteotomy and Head Removal
With the capsule open, a blunt retractor is placed superiorly over the femoral neck, and another is placed inferiorly to protect the circumflex vessels. The femoral neck osteotomy is performed in situ based on preoperative templating. A double cut (removing a "napkin ring" of bone) can be performed if the space is tight, facilitating easier removal of the femoral head. A corkscrew is inserted into the femoral head, and it is extracted utilizing a combination of traction and rotation.

Acetabular Preparation
Exposure of the acetabulum requires precise retractor placement. A curved Mueller or Cobra retractor is placed anteriorly over the anterior wall. A second retractor is placed inferiorly beneath the transverse acetabular ligament to depress the femur posteriorly. A third retractor may be placed superiorly or posteriorly depending on visualization needs.

The labrum is excised, and the cotyloid fossa is cleared of pulvinar to identify the true medial wall. Reaming is performed using offset reamers to avoid impingement on the TFL or ASIS. Fluoroscopy is heavily utilized at this stage to confirm the inclination and anteversion of the reamer and the subsequent acetabular shell. The cup is impacted, and a liner is seated.
Femoral Elevation and Preparation
This is the most critical and challenging phase of the off-table DAA. Without a traction table to pull the femur distally and externally rotate it, the surgeon must mobilize the proximal femur into the surgical window manually.
The operative leg is manipulated into a "figure-of-four" position: the hip is extended, maximally externally rotated, and adducted. The foot is often placed in the sterile pouch on the side of the table, or the leg is crossed beneath the contralateral leg.

To allow the proximal femur to elevate anteriorly, sequential capsular releases are mandatory. The sequence typically involves:
1. Superior Release: Releasing the superior capsule from the base of the greater trochanter ("saddle" release).
2. Posterior Capsular Release: Releasing the remaining posterior capsule along the intertrochanteric crest. This must be done carefully to avoid injury to the short external rotators.
3. Pubofemoral Release: Releasing the medial/inferior capsule.
4. Piriformis Release: In highly muscular or stiff patients, the conjoined tendon or piriformis may need to be released to allow sufficient anterior translation, though this is avoided if possible.
A specialized retractor (e.g., a dual-pronged femoral elevator) is placed posterior to the greater trochanter to lever the femur anteriorly and laterally. A medial retractor protects the calcar.

Offset broach handles are essential to clear the soft tissues of the lateral thigh. The femur is broached sequentially. Fluoroscopy is used to confirm the size, alignment, and depth of the broach. A trial neck and head are placed.
Reduction and Closure
The hip is reduced by applying axial traction and internally rotating the limb. Fluoroscopy is used to assess leg length (comparing the teardrop-to-lesser trochanter distance bilaterally) and offset. Clinical stability is tested by taking the hip through a full range of motion, specifically checking for anterior impingement in extension and external rotation.
Once the final components are implanted, the wound is irrigated. The capsule may be loosely approximated. The TFL fascia is meticulously closed to prevent muscle herniation. Subcutaneous tissues and skin are closed in a standard layered fashion.
Complications and Management
While the DAA offers numerous advantages, it carries a unique complication profile. The standard table technique mitigates some risks (traction injuries) but demands hyper-vigilance regarding femoral exposure and intraoperative fractures.
| Complication | Incidence | Etiology in Off-Table DAA | Management and Salvage Strategy |
|---|---|---|---|
| Intraoperative Femoral Fracture | 1% - 3% | Inadequate capsular release leading to excessive leverage; eccentric broaching. | Calcar crack: Cable cerclage. Greater trochanter: Often nondisplaced; protected weight-bearing. Shaft: Bypass with a longer diaphyseal-fitting stem. |
| LFCN Neuropraxia | 5% - 15% | Direct transection, aggressive medial retraction, or fascial closure entrapment. | Usually transient. Observation. Avoidance via precise fascial incision over the TFL belly. |
| Wound Complications | 1% - 2% | Groin crease maceration, especially in high BMI patients with a pendulous abdomen. | Preoperative optimization. Use of incisional negative pressure wound therapy (iNPWT). Aggressive local wound care. |
| Component Malposition | < 1% | Failure to utilize or correctly interpret intraoperative fluoroscopy. | Reliance on strict pelvic leveling and standardized fluoroscopic views (AP pelvis, shoot-through lateral). |
Intraoperative Fractures
The most feared complication during the off-table DAA is a fracture of the proximal femur. Because the surgeon must lever the femur anteriorly against the intact posterior soft tissues, excessive force with the femoral elevator or the broach handle can result in a calcar split or a greater trochanteric avulsion.

Prevention is entirely dependent on adequate sequential capsular releases. If the femur does not elevate easily, the surgeon must stop and release more capsule rather than applying more force. If a calcar fracture occurs, the femur must be exposed further to allow for the passage of a cerclage cable before final stem impaction.
Nerve Injuries
LFCN neuropraxia is the most common minor complication. Patients present with numbness or dysesthesia over the anterolateral thigh. While bothersome, it rarely affects motor function or gait.

Major motor nerve injuries (femoral nerve or superior gluteal nerve) are exceedingly rare but can occur with aberrant retractor placement. The medial retractor must rest directly on bone to avoid compressing the femoral nerve against the iliopsoas.
Post Operative Rehabilitation Protocols
The DAA is highly synergistic with Enhanced Recovery After Surgery (ERAS) protocols. Because no major muscle groups are detached, patients typically experience less immediate postoperative pain and demonstrate a faster return to independent ambulation.

Patients are mobilized on the day of surgery. Weight-bearing as tolerated is permitted immediately for uncemented components that achieve rigid press-fit fixation.
A significant advantage of the DAA is the elimination of traditional posterior hip precautions (no flexion past 90 degrees, no adduction, no internal rotation). Patients are generally instructed to avoid extreme extension and external rotation, but functional restrictions are minimal. Physical therapy focuses on gait training, abductor strengthening, and restoration of active range of motion. Most patients transition off assistive devices within 1 to 3 weeks postoperatively.
Summary of Key Literature and Guidelines
The academic literature surrounding the DAA has matured significantly. Early studies focused on the learning curve, which is generally accepted to
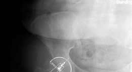
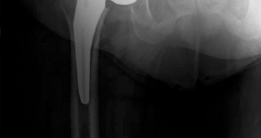
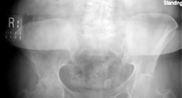
Clinical & Radiographic Imaging
