- Partial articular fracture—plate fixation
- Case description
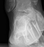
A 53-year old man injured his right ankle in a motor vehicle accident. Clinical examination revealed a swollen and painful right ankle. It was a closed injury. X-rays revealed a fracture dislocation of the distal tibia with partial articular involvement (AO/OTA 43B3), and associated fracture of the fibula above
the level of the syndesmosis (Fig 2.3-1). A computed tomographic (CT) scan showed a fracture of the posterior tibial plafond with the fracture line extending from midline of the medial malleolus into the incisura fibularis, with impaction and incarceration of joint fragments (Fig 2.3-2).
a
🔍 Click to enlargeClinical Radiograph / Orthopedic Image
b
🔍 Click to enlargeClinical Radiograph / Orthopedic Image
🔍 Click to enlargeClinical Radiograph / Orthopedic Image
Fig 2.3-1a–b Immediate postinjury x-rays. - AP x-ray showing the characteristic medial malleolar double contour sign.
- Lateral x-ray showing a displaced partial articular fracture of the posterior distal tibia (AO/OTA 43B3) with tibiotalar dislocation.
a
b
c
🔍 Click to enlargeClinical Radiograph / Orthopedic Image
🔍 Click to enlargeClinical Radiograph / Orthopedic Image
🔍 Click to enlargeClinical Radiograph / Orthopedic Image
Fig 2.3-2a–c Computed tomographic images. - Coronal split of the medial distal tibia.
- Incarcerated impacted articular fragment.
- Fracture line extends across the entire width of the posterior distal tibial articular surface.
- Preoperative planning
Indications for surgery
Displaced lower extremity fractures require restoration of anatomy, specifically length, alignment, and rotation. Displaced intraarticular fractures with loss of congruity of a
Size of instruments and implants may vary depending on the anatomy of the fracture and the patient. In a noncommi-nuted fracture of the fibula with good bone quality and a large surface area, several independent lag screws may be sufficient for fixation without requiring a neutralization plate.
weight-bearing joint require open reduction internal fixation __
(ORIF) to restore the articular surface.
If after attempts at closed reduction there is still malalign-ment of the extremity and displacement of the articular surface, then open treatment should be considered.
Fracture fixation principle
Plates used in fixation of pilon fractures usually function as buttress plates. Posterior pilon fractures generally displace posteriorly and superiorly, with the foot dislocating with the fragment. These fractures should be addressed through posterior buttress plating. - Operating room setup
Patient positioning • This involves a two-stage positioning with repeat draping: - Prone for fixation of the posterior tibial and medial malleolus
- Supine for the lateral malleolus
- Alternatively, a “sloppy” lateral position with the leg mobile or fixation of the lateral
malleolus with the patient prone can be used to avoid repositioning.
Anesthesia options • General, with regional nerve block
C-arm location • Positioned for ease of viewing by surgeon Tourniquet • Used at surgeon’s discretion - Generally, improves visualization of anatomy
Tips • A headlight improves visualization of both the pertinent anatomy as well as fracture visualization.
For illustrations and overview of anesthetic considerations, see chapter 1.
Equipment - Locking compression plate 2.4/2.7 (for buttress fixation of posterior tibial plafond fragment)
- 2.4 mm screws (for fixation of the medial malleolus)
- 2.7 mm screws (for fixation of the fibular fracture)
- K-wires
- Point-to-point reduction (Weber) clamps
- Smooth and sharp elevators
- Surgical procedure
The surgical sequence starts with restoration of the distal tibial articular surface through fixation of the posterior column fracture. Next, the coronal split of the medial malleolus is fixed. Subsequently, the fibular fracture is fixed. Finally, the syndesmosis is stressed manually to check for diastasis, and fixed if any instability is present.
Although this sequence differs from that taught by the original AO surgeons who started with fibular fixation, many surgeons choose to address the tibia first as fibular hardware may obscure proper visualization of the plafond.
Posterior tibial and medial malleolar fragment fixation The first step is fixation of the posterior tibial fragment to restore the articular surface and tibiotalar congruency.
The modified posteromedial approach is used as it provides excellent access to the greatest portion of the distal tibia without excessive traction on the soft tissues. The patient is positioned prone. With the patient in the prone position it is vital to ensure that a sufficiently large bolster is placed beneath the anterior tibia to enable the surgeon to fully flex and extend the patient’s ankle. C-arm projections must be adjusted accordingly to allow precise posterior-anterior, mortise, and lateral views of the tibiotalar joint.
The incision is made 1 cm medial to the medial border of the Achilles tendon, starting just proximal to the insertion of the Achilles tendon on the calcaneus, and extending 12 cm proximally. The Achilles tendon is retracted laterally with care to preserve its sheath. Then the transverse intermuscu-lar septum, which separates the superficial and deep posterior compartments, is cut longitudinally. The tendon and muscle belly of the flexor hallucis longus (FHL) tendon and the tibial nerve are identified, and the interval is developed between them. The FHL is retracted laterally and the tibial nerve is gently retracted medially. This approach allows exposure of the entire posterior tibial metaphysis and proximal dissection permits exposure of the diaphysis. The cortical surface of the fracture is exposed. However, in this technique, there is no possibility to visualize the articular surface directly, and the quality of reduction must be assessed by lateral
C-arm views. The surgeon may also use a small scope to assess the articular reduction as well as inserting a small (Freer) elevator into the joint to assess any step-off.
Small, nonfixable fragments are removed. The main articular incarcerated fragment located deep in the joint is approached by separating the main posterior fragments. This fragment is reduced anatomically together with the main posterior fragments, and temporarily held with K-wires. After anatomical reduction of the articular surface has been confirmed, an antiglide plate is fixed with a single screw placed proximal to the fracture. This construct will buttress the whole posterior column at the level of the joint.
The medial malleolus is fixed through the same surgical approach. A point-to-point reduction (Weber) clamp is used to reduce the coronal split of the medial malleolus before three independent screws are placed from posterior to anterior, effectively functioning as lag screws. The tourniquet is deflated and the wound is closed in layers. A temporary dressing is applied.
Fibular fixation
At this point the patient is positioned supine for fixation of the fibular fracture. Alternatively, the fibula can be reduced and fixed via a lateral approach (see chapter 3.7) or a pos-terolateral approach (see chapter 3.8) with the patient prone. For repositioning of the patient, the temporary dressing is removed, and the limb is again prepared and draped. It may be necessary to place a sandbag or rolled blanket under the ipsilateral hip to internally rotate the leg to neutral rotation for easy access to the fibula. The C-arm can be moved to the other side of the table, but the screen can remain in the same place. Standard preparation and draping is then performed with the patient supine. The tourniquet may be reinflated during surgery.
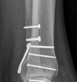
The fibula is approached through a direct lateral incision. The fracture is anatomically reduced, temporarily reduced with a point-to-point reduction (Weber) clamp, and fixed with two independent screws (Fig 2.3-3). A plate may be used as per surgeon preference.
a
b
🔍 Click to enlargeClinical Radiograph / Orthopedic Image
🔍 Click to enlargeClinical Radiograph / Orthopedic Image
🔍 Click to enlargeClinical Radiograph / Orthopedic Image
🔍 Click to enlargeClinical Radiograph / Orthopedic Image
Fig 2.3-3a–b Immediate postoperative x-rays showing an anatomical ankle mortise achieved using a combination of posterior buttress plate and lag screws.
Stress test of the syndesmosis
During the final part of surgery, the Cotton stress test is performed by means of a hook with manual traction on the restored fibula under C-arm imaging. Additional stress is given to evaluate anteroposterior instability. For this patient, the stress test was negative, implying a stable syndesmosis, thus syndesmosis fixation was not performed.
Inability to visualize the articular reduction
It is not possible to directly visualize the articular surface of the distal tibia during fixation of posterior pilon fractures. Reduction is assessed with good-quality intraoperative lateral C-arm views or intraoperative CT scan.
Complications
Soft-tissue complications
Avoided by appropriate timing of definitive ORIF, meticulous
2. Pitfalls and complications
Pitfalls
Soft-tissue problems
This is a major pitfall when treating pilon fractures, owing to the inherently thin soft-tissue envelope around the distal tibia, the fragility of soft tissues after high-energy trauma, and the necessity for multiple incisions to approach different parts of the complex fracture (Table 1.3-1).
Pitfall Tip
and gentle soft-tissue handling.
Infection
Avoided by a combination of prophylactic antibiotics, extreme care with soft tissues, and reduced duration of surgery.
Injury to tibial nerve
Avoided by delicate dissection and gentle retraction.
Malreduction
Avoided by obtaining anatomical reduction.
Insufficient resolution of soft-tissue edema
Rough handling of soft tissue
Inadequate skin bridge between incisions
1. Wait for the wrinkle sign before definitive surgery (may require waiting 9–14 days postinjury).
2. Early application of the external fixator not only stabilizes the fracture, but also stabilizes the soft tissues which allows the swelling to resolve.
3. It preserves the length of the fracture.
4. Gentle atraumatic retraction, avoid dessication of tendons or flap during surgery.
5. Maximize the distance between incisions (5 cm).
Loss of fixation
Avoided by correct use of buttress plate and lag screw fixation principles.
Nonunion
Avoided by preserving soft tissue and capsular attachments to the fracture and providing adequate stability.
Posttraumatic arthritis
This is related to the severity of injury, quality of reduction,
Table 1.3-1 The major pitfalls pertaining to soft-tissue care.
and articular cartilage damage at the time of the injury.
Inadequate fracture visualization __
In fractures that involve the entire posterior column, where the fracture line extends from the midline of the medial malleolus into the incisura fibularis, access to the entire width of the distal tibia at the level of the joint is necessary. The modified posteromedial approach is useful for this particular fracture pattern. Selection of an approach that is suboptimal may result in excessive traction, skin-edge necrosis, neurovascular traction injury, difficult access, and poor-quality reduction and fixation.
Irreducible or nonfixable articular fragments
Very small or comminuted articular surface fragments that are impossible to anatomically reduce or fix and are at risk of affecting joint congruency or displacing into the joint, as loose fragments are better removed than poorly fixed.
3. Alternative techniques
Lag screw only fixation
In a posterior pilon fracture that is nondisplaced, noncom-minuted, and sustained after a low-energy injury, multiple lag screws providing absolute stability may work as an alternative method to buttress plating. Case selection, however, must be precise.
Intramedullary fixation
Carefully selected B-type fractures that also have a more proximal component can be treated with reduction and screw fixation for the distal tibial articular surface followed by intramedullary fixation of the more proximal injury (see chapter 2.4).
4. Postoperative management and rehabilitation
Postoperatively the limb is placed in a short leg cast and the patient remains nonweight bearing for 6 weeks. If x-rays at 6 weeks demonstrate early healing, the patient is permitted progressive full weight bearing as tolerated in a removable orthosis and should commence ankle range-of-motion exercises and gentle resistance training. After 12 weeks the patient may focus on coordination, balance, and gait. Serial postoperative x-rays are performed up to 2 years postoperative and evaluated for signs of posttraumatic arthrosis.
Implant removal
Routine removal of implants is not performed unless they are prominent and symptomatic but only after healing is complete, so at 12–18 months at the earliest. This patient showed good radiographic healing at the 6-month postoperative review (Fig 2.3-4). He regained full range-of-ankle motion at 6 months postoperative (Fig 2.3-5).
In most cases of pilon fracture full motion is not achieved, and patients should be made aware at the time of injury that the goal is to regain functional motion. Very rarely will the patient achieve motion equal to the uninjured side whether the fracture is treated nonoperatively or with ORIF.
a


b


Fig 2.3-4a–b Postoperative x-rays at 6 months show fracture healing without loss of fixation.
a
b
c
d




Fig 2.3-5a–d Full range-of-ankle motion at 6 months postoperative.
5. Recommended reading
Assal M, Dalmau-Pastor M, Ray A, et al. How to get to the distal posterior tibial malleolus? A cadaveric anatomic study defining the access corridors through 3 different approaches. J Orthop Trauma. 2017 Apr;31(4):e127–e129.
Assal M, Ray A, Fasel JH, et al. A modified posteromedial approach combined with extensile anterior for the treatment of complex tibial pilon fractures (AO/OTA 43-C). J Orthop Trauma. 2014 Jun;28(6):e138–145.
Bartoní ek J, Rammelt S, Tucek M. Posterior malleolar fractures: changing concepts and recent developments. Foot Ankle Clin. 2017 Mar;22(1):125–145.
Cotton FJ. Dislocations and joint-fractures. Philadelphia: WB Saunders; 1910.
Sands A, Grujic L, Byck DC, et al. Clinical and functional outcomes of internal fixation of displaced pilon fractures. Clin Orthop Relat Res. 1998 Feb(347):131–137.
Switaj PJ, Weatherford B, Fuchs D, et al. Evaluation of posterior malleolar fractures and the posterior pilon variant in operatively treated ankle fractures. Foot Ankle Int. 2014 Sep;35(9):886–895.