Full Question & Answer Text (for Search Engines)
Question 1:
A 45-year-old male presents after a high-speed crush injury to the pelvis. Imaging demonstrates an Anteroposterior Compression Type III (APC-III) pelvic ring disruption with severe pubic symphysis diastasis and bilateral sacroiliac joint disruption. Severe hemodynamic instability in this specific fracture pattern is most frequently due to disruption of which of the following structures?
Options:
- Superior gluteal artery
- Internal pudendal artery
- External iliac artery
- Posterior venous plexus
- Corona mortis
Correct Answer: Posterior venous plexus
Explanation:
The vast majority (80-90%) of major hemorrhage in pelvic ring injuries is venous in origin, particularly from the pre-sacral (posterior) venous plexus. If an arterial source is present, Anteroposterior Compression (APC) patterns classically injure branches of the anterior division of the internal iliac artery (such as the pudendal or obturator arteries), whereas Lateral Compression (LC) injuries more commonly injure the posterior division branches, specifically the superior gluteal artery.
Question 2:
An 11-year-old obese male presents with left groin pain and an obligatory external rotation with hip flexion. Radiographs confirm a severe, stable slipped capital femoral epiphysis (SCFE). During percutaneous in situ fixation, the surgeon inadvertently places the single cannulated screw into the posterior-superior quadrant of the femoral head. Which of the following complications is most likely to occur as a direct result of this specific trajectory?
Options:
- Avascular necrosis (AVN) of the femoral head
- Chondrolysis of the hip joint
- Development of a cam-type femoroacetabular impingement
- Anterior joint penetration
- Subtrochanteric femur fracture
Correct Answer: Avascular necrosis (AVN) of the femoral head
Explanation:
The blood supply to the femoral head in pediatric patients is heavily reliant on the lateral epiphyseal vessels (terminal branches of the medial femoral circumflex artery), which enter the epiphysis in the posterior-superior quadrant. Pinning in the posterior-superior quadrant significantly increases the risk of iatrogenic injury to these vessels, leading to avascular necrosis (AVN). Joint penetration is more commonly a risk with anterior-superior pin placement.
Question 3:
A 28-year-old carpenter sustains a volar laceration to his index finger at the level of the proximal phalanx. Surgical exploration reveals a complete transection of both the Flexor Digitorum Profundus (FDP) and Flexor Digitorum Superficialis (FDS) within Zone II. A core suture repair is planned. Which of the following core suture configurations provides the highest tensile strength and gap resistance to allow for early active mobilization?
Options:
- 2-strand modified Kessler
- 4-strand cruciate
- 6-strand M-Tang
- 2-strand Tajima
- 4-strand Strickland
Correct Answer: 6-strand M-Tang
Explanation:
Biomechanical studies consistently show that the tensile strength of a flexor tendon repair is directly proportional to the number of core suture strands crossing the repair site. A 6-strand repair (such as the M-Tang or 6-strand Lim/Tsai) provides significantly greater gap resistance and tensile strength compared to 2-strand or 4-strand techniques, making it safer for modern early active motion protocols.
Question 4:
A 65-year-old man presents with progressive hand clumsiness and broad-based gait over 6 months. Physical exam reveals bilateral Hoffmann signs and 3+ patellar reflexes. An MRI of the cervical spine is obtained. Which of the following specific MRI findings is most strongly predictive of a poor postoperative neurologic prognosis following surgical decompression for cervical spondylotic myelopathy?
Options:
- High signal intensity on T2-weighted images alone
- Low signal intensity on T1-weighted images
- Loss of native cervical lordosis
- Multi-level vs single-level cord compression
- High signal intensity on STIR sequences
Correct Answer: Low signal intensity on T1-weighted images
Explanation:
In cervical spondylotic myelopathy, a high signal on T2-weighted images often represents edema or gliosis and has a mixed predictive value. However, the presence of a corresponding low signal intensity on T1-weighted imaging indicates permanent cystic necrosis of the spinal cord (myelomalacia) and strongly correlates with a poor prognosis for neurologic recovery after decompression.
Question 5:
A 19-year-old female soccer player is undergoing an arthroscopic anterior cruciate ligament (ACL) reconstruction using a bone-patellar tendon-bone autograft. If the surgeon drills the femoral tunnel in an excessively anterior (shallow) position within the intercondylar notch relative to the native anatomic footprint, what will be the resultant kinematic behavior of the graft?
Options:
- Tight in extension and loose in flexion
- Loose in extension and tight in flexion
- Tight throughout the entire range of motion
- Loose throughout the entire range of motion
- Impingement against the posterior cruciate ligament (PCL)
Correct Answer: Loose in extension and tight in flexion
Explanation:
Femoral tunnel positioning is critical for successful ACL reconstruction. An excessively anterior (shallow/high in the notch) femoral tunnel placement creates a graft that is non-anatomic. Because the tunnel is anterior to the isometric point, the distance between the tibial and femoral tunnels increases as the knee flexes. This results in a graft that is excessively tight in flexion (causing loss of flexion or graft failure) and loose in extension.
Question 6:
A 72-year-old active female undergoes evaluation for hip pain 8 years after a primary total hip arthroplasty (THA). Imaging reveals eccentric wear and significant osteolysis. During the revision surgery, bearing surface selection is discussed. Which of the following THA bearing surface combinations boasts the lowest volumetric wear rate, but carries a unique risk of catastrophic brittle failure?
Options:
- Ceramic-on-highly crosslinked polyethylene
- Metal-on-highly crosslinked polyethylene
- Ceramic-on-ceramic
- Metal-on-metal
- Oxidized zirconium-on-highly crosslinked polyethylene
Correct Answer: Ceramic-on-ceramic
Explanation:
Ceramic-on-ceramic (CoC) articulations possess the highest scratch resistance and the lowest volumetric wear rates of all available bearing couples. However, due to the brittle nature of the ceramic material, CoC bearings carry a unique risk of catastrophic fracture of the ceramic head or liner, as well as the potential for 'squeaking' during gait.
Question 7:
A 15-year-old male presents with severe, aching night pain in his distal femur. Radiographs reveal an aggressive osseous lesion with a 'sunburst' periosteal reaction and a Codman triangle. Biopsy confirms a diagnosis of high-grade conventional osteosarcoma. Pathogenesis of this primary bone tumor is most frequently linked to a mutation in which of the following genes?
Options:
- EWS-FLI1
- TP53
- BRAF V600E
- GNAS
- EXT1
Correct Answer: TP53
Explanation:
High-grade conventional osteosarcoma is strongly associated with mutations in major tumor suppressor genes, particularly TP53 (associated with Li-Fraumeni syndrome) and RB1 (associated with hereditary retinoblastoma). EWS-FLI1 is the translocation found in Ewing sarcoma. BRAF V600E mutations are seen in Langerhans cell histiocytosis and certain ameloblastomas. GNAS is mutated in fibrous dysplasia. EXT1 is associated with hereditary multiple exostoses (osteochondromas).
Question 8:
During the process of secondary fracture healing, endochondral ossification is paramount. During the soft callus phase, chondrocytes proliferate and eventually undergo hypertrophy. Which type of collagen is uniquely and predominantly synthesized by hypertrophic chondrocytes to facilitate matrix calcification?
Options:
- Type I collagen
- Type II collagen
- Type III collagen
- Type IX collagen
- Type X collagen
Correct Answer: Type X collagen
Explanation:
Hypertrophic chondrocytes are the hallmark of the transition zone in endochondral ossification. They cease producing Type II collagen (which is characteristic of proliferating chondrocytes) and exclusively synthesize Type X collagen. Type X collagen alters the extracellular matrix to allow for calcification and subsequent vascular invasion, paving the way for osteoblasts to lay down woven bone.
Question 9:
A 55-year-old male with long-standing, poorly controlled type II diabetes presents with an acutely swollen, erythematous, and warm left foot. He denies any penetrating trauma or fevers. Radiographs show fragmentation and early subluxation of the tarsometatarsal joints. Which of the following mediators is most directly responsible for driving the aggressive osteoclastic bone resorption seen in the acute, active phase of this disease process?
Options:
- Interleukin-10 (IL-10)
- Receptor activator of nuclear factor kappa-B ligand (RANKL)
- Osteoprotegerin (OPG)
- Transforming growth factor beta (TGF-beta)
- Vascular endothelial growth factor (VEGF)
Correct Answer: Receptor activator of nuclear factor kappa-B ligand (RANKL)
Explanation:
Acute Charcot neuroarthropathy is characterized by an exaggerated pro-inflammatory response (mediated by TNF-alpha and IL-1) leading to marked upregulation of RANKL. RANKL binds to the RANK receptor on osteoclast precursors, driving massive osteoclastogenesis and the aggressive bone resorption/fragmentation classically seen in Eichenholtz Stage 1. Osteoprotegerin (OPG) acts as a decoy receptor to bind RANKL and inhibit this process, but the balance is shifted toward RANKL in acute Charcot.
Question 10:
During arthroscopic stabilization for recurrent anterior shoulder instability in a 22-year-old rugby player, the surgeon encounters an ALPSA (Anterior Labroligamentous Periosteal Sleeve Avulsion) lesion. Which of the following morphologic features distinguishes an ALPSA lesion from a classic Bankart lesion?
Options:
- Involvement of the superior labral-biceps anchor complex
- Avulsion of the anterior band of the inferior glenohumeral ligament from the humeral insertion
- Medial displacement and subsequent healing of the labrocapsular complex along the anterior glenoid neck
- Presence of an associated bony fracture of the anteroinferior glenoid rim
- Involvement and tearing of the deep fibers of the subscapularis tendon
Correct Answer: Medial displacement and subsequent healing of the labrocapsular complex along the anterior glenoid neck
Explanation:
An ALPSA lesion is distinguished from a classic soft-tissue Bankart lesion by the intact anterior periosteal sleeve. The labrum and periosteum strip off the glenoid face and roll medially down the anterior glenoid neck, often healing in an abnormal, medially displaced position. A classic Bankart involves a discrete detachment of the labrum with a rupture of the periosteum, without the medial rolling/healing.
Question 11:
A 14-year-old female presents for operative evaluation of adolescent idiopathic scoliosis. Standing full-length spine radiographs show a main thoracic curve of 55 degrees and a lumbar curve of 35 degrees. The proximal thoracic curve is 20 degrees. On side-bending radiographs, the main thoracic curve corrects to 30 degrees, the lumbar curve corrects to 15 degrees, and the proximal thoracic curve corrects to 5 degrees. Based on the Lenke classification, what is the correct curve type?
Options:
- Type 1 (Main Thoracic)
- Type 2 (Double Thoracic)
- Type 3 (Double Major)
- Type 4 (Triple Major)
- Type 5 (Thoracolumbar/Lumbar)
Correct Answer: Type 1 (Main Thoracic)
Explanation:
In the Lenke classification system, a curve is considered structural if it fails to correct to < 25 degrees on side-bending radiographs or has an associated regional kyphosis > +20 degrees. Here, the lumbar curve corrects to 15 degrees (non-structural) and the proximal thoracic corrects to 5 degrees (non-structural). The main thoracic curve is the major curve (largest magnitude, 55 degrees). A major main thoracic curve with non-structural minor curves is classified as a Lenke Type 1.
Question 12:
A 62-year-old female is 6 months post-operative from a volar locked plating of a comminuted distal radius fracture. She presents to the clinic complaining of a new inability to actively flex the interphalangeal (IP) joint of her thumb. Passive IP flexion is intact. Which of the following technical errors during the initial surgery is most likely responsible for this complication?
Options:
- Placement of the volar plate distal to the watershed line
- Use of excessively long dorsal screws irritating the extensor pollicis longus (EPL)
- Iatrogenic traction injury to the median nerve during the modified Henry approach
- Failure to repair the pronator quadratus during closure
- Prominent hardware violating the distal radioulnar joint (DRUJ)
Correct Answer: Placement of the volar plate distal to the watershed line
Explanation:
Loss of active thumb IP joint flexion after volar distal radius plating points to an attritional rupture of the Flexor Pollicis Longus (FPL) tendon. The most common iatrogenic cause of FPL rupture in this setting is the placement of the volar plate distal to the 'watershed line' of the distal radius. This prominence acts as a mechanical fulcrum, causing friction, fraying, and eventual attritional rupture of the FPL.
Question 13:
A 6-year-old boy sustains a severe extension-type supracondylar humerus fracture after a fall. Radiographs classify it as a Gartland Type III. The distal fragment is severely displaced posteromedially relative to the proximal shaft. Based on this specific displacement pattern, which of the following nerve structures is at greatest risk of tethering or injury from the proximal fragment?
Options:
- Ulnar nerve
- Anterior interosseous nerve (AIN)
- Radial nerve
- Musculocutaneous nerve
- Posterior interosseous nerve (PIN)
Correct Answer: Radial nerve
Explanation:
In an extension-type supracondylar humerus fracture, the displacement of the distal fragment dictates the direction of the proximal spike. If the distal fragment is displaced posteromedially, the sharp proximal fragment is thrust anterolaterally, placing the radial nerve at the highest risk of injury. Conversely, if the distal fragment displaces posterolaterally, the proximal spike goes anteromedially, placing the median nerve (and AIN) at greatest risk.
Question 14:
A 35-year-old manual laborer presents with chronic, progressive central dorsal wrist pain. Grip strength is markedly decreased. Radiographs demonstrate sclerosis and collapse of the lunate, without fixed scaphoid rotation or adjacent carpal degenerative changes (Lichtman Stage IIIA Kienböck's disease). Radiographic ulnar variance is determined to be negative 3 mm. Which of the following surgical interventions is considered the primary, most appropriate biomechanical treatment for this patient?
Options:
- Proximal row carpectomy
- Radial shortening osteotomy
- Ulnar lengthening osteotomy
- Scaphoid-trapezium-trapezoid (STT) arthrodesis
- Capitate shortening osteotomy
Correct Answer: Radial shortening osteotomy
Explanation:
Kienböck's disease is avascular necrosis of the lunate. In patients with early-stage collapse (Stage IIIA) who have negative ulnar variance, joint-leveling procedures are indicated to mechanically unload the radiolunate articulation. Radial shortening osteotomy is biomechanically and biologically preferred over ulnar lengthening, as ulnar lengthening carries a significantly higher risk of nonunion and implant irritation.
Question 15:
During a measured resection primary total knee arthroplasty (TKA) for an osteoarthritic varus knee, the surgeon utilizes spacer blocks to assess the gaps. The knee is found to be excessively tight in full extension, but perfectly balanced in 90 degrees of flexion. Which of the following isolated bone resection steps is the most appropriate next maneuver to achieve a balanced knee?
Options:
- Resect more proximal tibia
- Resect more posterior femur
- Resect more distal femur
- Downsize the femoral component
- Change to a thinner polyethylene insert
Correct Answer: Resect more distal femur
Explanation:
In TKA gap balancing, if the knee is tight in extension but balanced in flexion, the surgeon must increase the extension gap without altering the flexion gap. Resecting more bone from the distal femur uniquely opens the extension gap. Resecting more proximal tibia or changing to a thinner polyethylene would affect both the flexion and extension gaps symmetrically, resulting in a knee that becomes loose in flexion.
Question 16:
A 65-year-old male with a known history of advanced renal cell carcinoma presents with a solitary, highly destructive lytic lesion in the proximal diaphysis of the right femur. He complains of excruciating pain with weight-bearing. The Mirels score is 11, and an impending fracture is diagnosed. A wide local excision and endoprosthetic reconstruction is planned. Given the specific primary histology, which of the following preoperative interventions is most critical?
Options:
- Preoperative radiation therapy to the entire femur
- Preoperative selective arterial embolization of the lesion
- Initiation of intravenous bisphosphonates 4 weeks prior to surgery
- Preoperative neoadjuvant systemic chemotherapy
- Prophylactic stabilization of the contralateral femur
Correct Answer: Preoperative selective arterial embolization of the lesion
Explanation:
Bone metastases from renal cell carcinoma (RCC) and thyroid carcinoma are notoriously hypervascular. Surgical intervention on these lesions can result in massive, life-threatening intraoperative hemorrhage. Preoperative selective arterial embolization performed 24 to 48 hours prior to surgical resection or stabilization is critically indicated to safely minimize intraoperative blood loss.
Question 17:
A 24-year-old male sustains a severe twisting injury to his knee during a rugby match. Physical examination under anesthesia reveals 15 degrees of increased tibial external rotation compared to the contralateral knee at both 30 degrees and 90 degrees of knee flexion (Positive Dial Test). Based on this physical exam finding, which of the following structural combinations is definitively injured?
Options:
- Anterior cruciate ligament (ACL) and posterolateral corner (PLC)
- Posterior cruciate ligament (PCL) and posterolateral corner (PLC)
- Medial collateral ligament (MCL) and posterior oblique ligament (POL)
- Isolated posterolateral corner (PLC)
- Isolated posterior cruciate ligament (PCL)
Correct Answer: Posterior cruciate ligament (PCL) and posterolateral corner (PLC)
Explanation:
The Dial test measures external rotation of the tibia relative to the femur. Increased external rotation (>10 degrees asymmetry) at 30 degrees of flexion, but normal at 90 degrees, indicates an isolated posterolateral corner (PLC) injury. Increased external rotation at BOTH 30 degrees and 90 degrees of flexion indicates a combined injury to both the PLC and the posterior cruciate ligament (PCL).
Question 18:
A 30-year-old male is evaluated in the emergency department for a severe crush injury to his lower leg. He has pain out of proportion to exam and paresthesias in the first dorsal web space. Continuous compartment pressure monitoring is initiated. His absolute anterior compartment pressure is 45 mmHg. His mean arterial pressure (MAP) is 75 mmHg, and his diastolic blood pressure is 60 mmHg. According to current evidence-based guidelines, which of the following criteria is the strongest physiological indication for emergent four-compartment fasciotomy?
Options:
- Absolute compartment pressure > 30 mmHg
- Delta pressure (Diastolic BP - Compartment Pressure) < 30 mmHg
- Delta pressure (MAP - Compartment Pressure) < 40 mmHg
- Presence of subjective paresthesias in the deep peroneal nerve distribution
- Pain with passive stretch of the extensor hallucis longus
Correct Answer: Delta pressure (Diastolic BP - Compartment Pressure) < 30 mmHg
Explanation:
While clinical exam is critical, in patients requiring objective pressure monitoring, the 'Delta pressure' is the most reliable threshold for diagnosing acute compartment syndrome. A Delta pressure (calculated as Diastolic Blood Pressure minus the Compartment Pressure) of less than 30 mmHg represents critical hypoperfusion to the tissue capillary beds and is an absolute indication for emergent fasciotomy. Absolute pressure alone >30 mmHg has a high false-positive rate and can lead to unnecessary surgeries.
Question 19:
A 45-year-old female presents with severe pain over the medial eminence of her first metatarsophalangeal (MTP) joint. Weight-bearing radiographs reveal a Hallux Valgus Angle (HVA) of 38 degrees and an Intermetatarsal Angle (IMA) of 16 degrees. Clinical examination reveals hypermobility at the first tarsometatarsal (TMT) joint. The distal metatarsal articular angle (DMAA) is normal. Which of the following surgical procedures is the most mechanically appropriate to permanently correct this deformity?
Options:
- Distal chevron osteotomy
- Proximal crescentic osteotomy
- Lapidus procedure (First TMT arthrodesis)
- Akin osteotomy
- Keller resection arthroplasty
Correct Answer: Lapidus procedure (First TMT arthrodesis)
Explanation:
This patient has a severe hallux valgus deformity (IMA > 15 degrees) combined with first ray hypermobility. A distal osteotomy (like a Chevron) cannot achieve sufficient translation to correct an IMA of 16 degrees. A Lapidus procedure (arthrodesis of the first TMT joint) provides powerful multiplanar correction of a large IMA and definitively addresses the underlying first ray hypermobility, preventing recurrence.
Question 20:
Articular cartilage relies on complex bio-tribological mechanisms to maintain a nearly frictionless surface. Which of the following specific mechanisms of joint lubrication is primarily responsible for preventing direct cartilage-to-cartilage wear during high-load, static, or slow-speed activities (e.g., prolonged standing)?
Options:
- Hydrodynamic lubrication
- Elastohydrodynamic lubrication
- Boundary lubrication
- Weeping lubrication
- Boosted lubrication
Correct Answer: Boundary lubrication
Explanation:
Boundary lubrication relies on specialized glycoproteins, primarily lubricin (PRG4), which bind to the articular surface to form a protective molecular layer. This mechanism dominates during conditions of high load and low speed (or static posture), where fluid-film lubrication mechanisms (like hydrodynamic or elastohydrodynamic lubrication, which require motion to trap a wedge of synovial fluid) fail to prevent surface-to-surface contact.
Question 21:
A 65-year-old active female presents to the emergency department after a mechanical fall. She complains of severe right groin pain and inability to bear weight. A representative radiograph of her injury is shown below. Assuming the image demonstrates a displaced (Garden IV) femoral neck fracture, which of the following is the most appropriate surgical intervention to maximize her functional outcome and minimize her lifetime revision rate?
Options:
- In situ fixation with cannulated screws
- Sliding hip screw with a derotation screw
- Unipolar hemiarthroplasty
- Bipolar hemiarthroplasty
- Total hip arthroplasty
Correct Answer: Total hip arthroplasty
Explanation:
For active, physiologically young older adults (typically 65-75 years old) with displaced femoral neck fractures, Total Hip Arthroplasty (THA) is the treatment of choice. Multiple randomized controlled trials have demonstrated that THA yields better long-term functional outcomes (e.g., higher Harris Hip Scores) and lower reoperation rates compared to hemiarthroplasty. Hemiarthroplasty (unipolar or bipolar) is generally reserved for lower-demand, older, or cognitively impaired patients. Internal fixation with cannulated screws for a Garden IV fracture in this age group carries an unacceptably high risk of nonunion and avascular necrosis.
Question 22:
A 54-year-old male with a history of intravenous drug use presents with severe back pain, fever, and progressively worsening bilateral lower extremity weakness over the last 48 hours. A representative MRI is shown below. Given the classic findings for this pathology, what is the most likely causative organism, and what is the standard definitive treatment?
Options:
- Staphylococcus aureus; urgent surgical decompression and targeted antibiotics
- Pseudomonas aeruginosa; CT-guided aspiration and targeted antibiotics
- Mycobacterium tuberculosis; anterior corpectomy and multi-drug chemotherapy
- Staphylococcus epidermidis; non-operative management with a rigid orthosis
- Streptococcus pneumoniae; high-dose intravenous corticosteroids alone
Correct Answer: Staphylococcus aureus; urgent surgical decompression and targeted antibiotics
Explanation:
The clinical scenario and presumed MRI findings (epidural fluid collection causing cord compression) are classic for a spinal epidural abscess. The most common causative organism overall, and specifically in intravenous drug users, is Staphylococcus aureus. Because the patient is exhibiting progressive neurologic deficits (lower extremity weakness), urgent surgical decompression (usually a laminectomy) combined with targeted intravenous antibiotics is the standard definitive treatment to prevent permanent neurologic injury.
Question 23:
A 55-year-old man presents with chronic, dull, aching shoulder pain. Radiographs reveal an aggressive lytic lesion with 'popcorn' calcifications in the proximal humerus. A core needle biopsy is obtained and the histology slide is shown below. Assuming the biopsy demonstrates hypercellular atypical chondrocytes in a myxoid stroma consistent with a Grade II Chondrosarcoma, what is the most appropriate management strategy?
Options:
- Neoadjuvant chemotherapy followed by wide surgical resection
- Wide surgical resection alone
- Intralesional curettage and filling with polymethylmethacrylate (PMMA)
- Primary external beam radiation therapy
- Neoadjuvant radiation therapy followed by curettage
Correct Answer: Wide surgical resection alone
Explanation:
Chondrosarcomas are generally characterized as chemoresistant and radioresistant tumors. Therefore, the mainstay of treatment for intermediate- (Grade II) and high-grade (Grade III) conventional chondrosarcomas is wide surgical resection alone to achieve negative margins. Intralesional curettage with local adjuvants (like phenol or cryotherapy) is reserved for low-grade (Grade I) or atypical cartilaginous tumors in the appendicular skeleton. Neoadjuvant chemotherapy and radiation play no primary role in conventional chondrosarcoma.
Question 24:
In the evaluation of Slipped Capital Femoral Epiphysis (SCFE), which of the following scenarios is a widely accepted indication for prophylactic in situ pinning of the contralateral, asymptomatic hip?
Options:
- Age greater than 14 years in males with a unilateral SCFE
- Unilateral SCFE in an obese child with normal endocrinology
- Presence of an underlying endocrine disorder, such as renal osteodystrophy
- Klein's line intersecting the epiphysis bilaterally on initial radiograph
- Bone age advanced for chronologic age
Correct Answer: Presence of an underlying endocrine disorder, such as renal osteodystrophy
Explanation:
Prophylactic pinning of the contralateral hip in a unilateral SCFE presentation is indicated in patients who are at exceptionally high risk for developing a subsequent contralateral slip. Accepted indications include the presence of endocrinopathies (such as hypothyroidism, panhypopituitarism, and renal osteodystrophy), prior radiation therapy, or young age (females < 10, males < 12) at the time of initial presentation. Bone age that is delayed (not advanced) is a risk factor.
Question 25:
A biomaterials researcher is studying the wear properties of highly cross-linked polyethylene (HXLPE) used in total hip arthroplasty. Which of the following manufacturing processes is critical for eliminating the free radicals generated during the cross-linking process, thereby reducing the risk of oxidative degradation?
Options:
- Gamma irradiation in an inert argon environment
- Remelting the polyethylene at temperatures above its melting point
- Sterilization using ethylene oxide
- Cold drawing of the polyethylene sheet prior to machining
- Addition of polymethylmethacrylate (PMMA) to the resin
Correct Answer: Remelting the polyethylene at temperatures above its melting point
Explanation:
The irradiation of ultra-high molecular weight polyethylene (UHMWPE) creates highly cross-linked polyethylene (HXLPE) which has vastly improved wear resistance. However, irradiation leaves behind reactive free radicals that can react with oxygen in vivo, leading to oxidative degradation and embrittlement. Thermal treatments are used to extinguish these free radicals. Remelting (heating above the melting point, ~135-150°C) eliminates all free radicals but slightly reduces mechanical properties. Annealing (heating below the melting point) preserves mechanical properties better but leaves residual free radicals.
Question 26:
During an anterior cruciate ligament (ACL) reconstruction using a bone-patellar tendon-bone autograft, the surgeon opts to drill the femoral tunnel via an accessory anteromedial portal rather than using a transtibial technique. Compared to transtibial drilling, the anteromedial portal technique is more likely to result in a femoral tunnel that is:
Options:
- More vertical in the coronal plane
- Closer to the center of the native ACL footprint on the lateral femoral condyle
- Less likely to result in a critically short femoral tunnel length
- Positioned entirely within the footprint of the anteromedial bundle
- Associated with a lower incidence of posterior wall blowout
Correct Answer: Closer to the center of the native ACL footprint on the lateral femoral condyle
Explanation:
Anteromedial (AM) portal drilling allows the surgeon to position the femoral tunnel independently of the tibial tunnel trajectory. This allows anatomic placement closer to the native ACL footprint. In contrast, transtibial drilling is constrained by the trajectory of the tibial tunnel, which frequently results in a femoral tunnel that is too anterior and vertical (high in the notch), missing the true anatomic footprint. AM portal drilling is actually associated with shorter femoral tunnels and a slightly higher risk of posterior wall blowout compared to transtibial drilling if not performed carefully.
Question 27:
A 32-year-old manual laborer presents with progressive dorsal wrist pain and decreased range of motion. Radiographs demonstrate Kienböck's disease characterized by sclerosis, fragmentation, and collapse of the lunate. The scaphoid demonstrates fixed flexion, resulting in a radioscaphoid angle of 65 degrees, but there are no signs of radiocarpal or midcarpal osteoarthritis. What Lichtman stage does this represent?
Options:
- Stage II
- Stage IIIA
- Stage IIIB
- Stage IIIC
- Stage IV
Correct Answer: Stage IIIB
Explanation:
The Lichtman classification is used to stage Kienböck's disease (avascular necrosis of the lunate). Stage II features lunate sclerosis with no collapse. Stage III involves lunate collapse. Stage III is subdivided: Stage IIIA indicates lunate collapse with normal carpal alignment and normal scaphoid rotation; Stage IIIB indicates lunate collapse with fixed scaphoid flexion (rotary subluxation of the scaphoid, radioscaphoid angle > 60 degrees) and decreased carpal height. Stage IIIC includes coronal fractures of the lunate. Stage IV is characterized by the addition of radiocarpal or midcarpal osteoarthritis.
Question 28:
In the Eichenholtz classification of Charcot neuroarthropathy of the foot and ankle, which of the following radiographic and clinical findings characterizes Stage II (Coalescence)?
Options:
- Profound joint effusion and erythema with completely normal initial radiographs
- Active bone resorption, fragmentation of subchondral bone, and abundant loose debris
- Absorption of fine debris, early fusion of fracture fragments, and resolution of erythema
- Remodeling and rounding of bone ends with a stable, rock-bottom deformity
- Frank ulceration over the medial eminence with underlying osteomyelitis
Correct Answer: Absorption of fine debris, early fusion of fracture fragments, and resolution of erythema
Explanation:
The Eichenholtz classification has three distinct stages. Stage I (Developmental/Fragmentation) is characterized by acute inflammation (erythema, swelling), joint subluxation, debris formation, and fragmentation. Stage II (Coalescence) is marked by a decrease in clinical inflammation, absorption of fine debris, and early sclerosis/fusion of the larger bone fragments. Stage III (Reconstruction/Consolidation) features rounding and remodeling of bone ends, with mature arthrosis and stable deformity.
Question 29:
Nitrogen-containing bisphosphonates, such as alendronate, are frequently prescribed to prevent osteoporotic fractures. What is the primary molecular mechanism by which these drugs inhibit osteoclast-mediated bone resorption?
Options:
- Direct inhibition of the RANKL-RANK interaction
- Binding to the Wnt co-receptor LRP5 to prevent osteoblast apoptosis
- Inhibition of farnesyl pyrophosphate synthase in the mevalonate pathway
- Cleavage of SNAP-25 in the presynaptic terminal
- Direct inhibition of the lysosomal enzyme cathepsin K
Correct Answer: Inhibition of farnesyl pyrophosphate synthase in the mevalonate pathway
Explanation:
Nitrogen-containing bisphosphonates (like alendronate, zoledronate, and risedronate) enter osteoclasts and inhibit the enzyme farnesyl pyrophosphate synthase (FPPS), a key enzyme in the mevalonate pathway. This prevents the synthesis of isoprenoid lipids (such as farnesyl pyrophosphate and geranylgeranyl pyrophosphate), which are essential for the prenylation of small GTPases (like Ras, Rho, and Rab). Without prenylation, these proteins cannot anchor to the cell membrane to form the ruffled border, causing osteoclast dysfunction and eventual apoptosis. Non-nitrogen-containing bisphosphonates work by forming toxic ATP analogues.
Question 30:
A 45-year-old male sustains a high-energy posterior bicondylar tibial plateau fracture (Schatzker VI). The surgeon plans a posteromedial approach to directly buttress the posteromedial shear fragment. During the superficial dissection of this approach, the internervous/intermuscular plane is typically developed between which two anatomical structures?
Options:
- Semitendinosus and semimembranosus
- Medial head of the gastrocnemius and the pes anserinus tendons
- Lateral head of the gastrocnemius and the soleus
- Tibialis posterior and the flexor digitorum longus
- Sartorius and gracilis
Correct Answer: Medial head of the gastrocnemius and the pes anserinus tendons
Explanation:
The posteromedial approach to the tibial plateau is indicated for addressing posteromedial shear fragments. The surgical interval is developed between the pes anserinus tendons (sartorius, gracilis, semitendinosus) anteriorly and the medial head of the gastrocnemius posteriorly. Retracting the pes anteriorly and the medial gastrocnemius posteriorly protects the neurovascular structures in the popliteal fossa and provides direct access to the posteromedial corner of the proximal tibia.
Question 31:
A 3-month-old infant is being treated with a Pavlik harness for developmental dysplasia of the left hip. At the 2-week follow-up, the parents report the child has stopped kicking the left leg. On physical examination, the left knee rests in extension and there is absent active knee extension to tactile stimulation. Which of the following harness maladjustments is the most likely cause of this complication?
Options:
- Excessive abduction of the hip
- Excessive flexion of the hip
- Excessive adduction of the hip
- Excessive internal rotation of the hip
- Inadequate flexion of the hip
Correct Answer: Excessive flexion of the hip
Explanation:
The infant's presentation (absent active knee extension) is consistent with a femoral nerve palsy, a known complication of the Pavlik harness. Femoral nerve palsy occurs when the anterior straps are pulled too tight, causing hyperflexion of the hip which compresses the femoral nerve against the inguinal ligament. Excessive abduction of the hip (caused by overtightening the posterior straps) is associated with an increased risk of avascular necrosis (AVN) of the femoral head.
Question 32:
During a primary posterior-stabilized total knee arthroplasty, after making the standard bone cuts and placing trial components, the surgeon assesses the gap kinematics. The knee is perfectly balanced and symmetrical in full extension. However, it is symmetrically tight at 90 degrees of flexion. Which of the following is the most appropriate intraoperative adjustment to achieve gap balance?
Options:
- Release the posterior capsule
- Downsize the femoral component and use a thicker polyethylene insert
- Upsize the femoral component
- Increase the posterior slope of the tibial cut
- Downsize the femoral component and resect more posterior femoral condyle
Correct Answer: Downsize the femoral component and resect more posterior femoral condyle
Explanation:
In a situation where the extension gap is perfectly balanced but the flexion gap is symmetrically tight, the surgeon must increase the size of the flexion gap without altering the extension gap. The anterior-posterior (AP) dimension of the femoral component dictates the flexion gap. Downsizing the femoral component and translating it anteriorly to flush the anterior cut, thereby resecting more posterior femoral condyle, specifically increases the flexion gap. Increasing posterior tibial slope also increases the flexion gap but alters the extension gap slightly and may affect overall kinematics.
Question 33:
A 62-year-old male presents with deteriorating manual dexterity, a feeling of imbalance, and progressive lower extremity spasticity. Physical examination reveals a positive Hoffmann's sign bilaterally and hyperreflexia in both knees and ankles. MRI of the cervical spine reveals severe central canal stenosis. Which of the following MRI findings is associated with the poorest postoperative prognosis for neurologic recovery in this patient?
Options:
- T2 hyperintensity isolated to the central gray matter
- T1 hypointensity in the spinal cord substance at the level of maximum compression
- A compression ratio (AP/transverse diameter) of 0.8
- Presence of a large, soft central disc herniation at C5-C6
- Modic Type I changes in the adjacent vertebral bodies
Correct Answer: T1 hypointensity in the spinal cord substance at the level of maximum compression
Explanation:
The patient is presenting with classic signs of Cervical Spondylotic Myelopathy (CSM). MRI is critical for assessing the degree of cord compression and intrinsic cord damage. While T2 hyperintensity in the cord indicates edema or gliosis, focal T1 hypointensity indicates permanent structural damage (myelomalacia or cystic necrosis) and is widely recognized as the most reliable MRI indicator of a poor postoperative prognosis for neurologic recovery. A larger compression ratio (closer to 1.0) is normal; a severely flattened cord (<0.4) indicates worse stenosis.
Question 34:
In the surgical repair of lacerated flexor tendons within Zone II of the hand, maintaining gliding function while resisting early active motion protocols is paramount. Biomechanical studies have demonstrated that the ultimate tensile strength of the tendon repair immediately postoperatively is most directly correlated with which of the following factors?
Options:
- The use of braided versus monofilament suture material
- The length of the core suture purchase away from the cut ends
- The number of core suture strands crossing the repair site
- The use of an epitendinous running repair
- The strict preservation of the A3 annular pulley
Correct Answer: The number of core suture strands crossing the repair site
Explanation:
The immediate tensile strength of a flexor tendon repair is directly proportional to the number of core suture strands crossing the repair site. For instance, a 4-strand repair is significantly stronger than a 2-strand repair, and a 6-strand repair is stronger than a 4-strand repair. While adding an epitendinous repair does improve strength (by ~20%) and reduces gap formation, the absolute number of core strands is the primary determinant of ultimate tensile strength. Preserving the pulleys is important to prevent bowstringing, not to improve the direct strength of the repair construct itself.
Question 35:
A 68-year-old male is evaluated for a massive, retracted rotator cuff tear involving the supraspinatus and infraspinatus. The surgeon notes significant fatty infiltration of the muscle bellies on the sagittal T1-weighted MRI. According to the Goutallier classification, which stage represents the critical prognostic threshold where there is an equal amount of fat and muscle within the muscle belly?
Options:
- Stage 1
- Stage 2
- Stage 3
- Stage 4
- Stage 5
Correct Answer: Stage 3
Explanation:
The Goutallier classification evaluates fatty infiltration of the rotator cuff muscles, which correlates strongly with failure rates after surgical repair. Stage 0 is normal muscle. Stage 1 has occasional fatty streaks. Stage 2 has more muscle than fat. Stage 3 has an equal amount of fat and muscle. Stage 4 has more fat than muscle. Stage 3 represents the critical prognostic turning point; repairs attempted on Stage 3 and Stage 4 muscles have extremely high failure rates and poorer clinical outcomes.
Question 36:
The Lisfranc ligament complex provides essential stability to the midfoot, and its rupture can lead to significant functional impairment. The primary component of the Lisfranc ligament is an interosseous ligament that connects which two osseous structures?
Options:
- Medial cuneiform to the base of the first metatarsal
- Medial cuneiform to the base of the second metatarsal
- Middle cuneiform to the base of the second metatarsal
- Lateral cuneiform to the base of the third metatarsal
- Navicular to the medial cuneiform
Correct Answer: Medial cuneiform to the base of the second metatarsal
Explanation:
The Lisfranc ligament is the largest and most critical of the ligamentous structures stabilizing the tarsometatarsal articulation. It originates on the lateral aspect of the medial cuneiform and inserts onto the medial aspect of the base of the second metatarsal. There is no direct transverse intermetatarsal ligament between the bases of the first and second metatarsals, making the Lisfranc ligament the sole direct connection anchoring the second metatarsal base to the medial column of the midfoot.
Question 37:
A 16-year-old patient diagnosed with high-grade, intramedullary osteosarcoma of the distal femur completes a course of neoadjuvant multi-agent chemotherapy. Subsequently, he undergoes a wide surgical resection of the tumor with endoprosthetic reconstruction. Which of the following is considered the most significant prognostic factor for long-term survival in this patient?
Options:
- The predominant histologic subtype (e.g., osteoblastic versus chondroblastic)
- The absolute tumor volume at the time of initial diagnosis
- The percentage of tumor necrosis in the resected specimen following neoadjuvant chemotherapy
- The presence of a skip metastasis within the ipsilateral femur at diagnosis
- The width (in millimeters) of the healthy tissue margin obtained during resection
Correct Answer: The percentage of tumor necrosis in the resected specimen following neoadjuvant chemotherapy
Explanation:
The percentage of tumor necrosis evaluated in the resected specimen after neoadjuvant chemotherapy is the single most important prognostic indicator for overall survival in patients with high-grade osteosarcoma. This is formalized by the Huvos grading system. A good response is defined as greater than 90% tumor necrosis, which is strongly correlated with improved long-term disease-free survival. While wide margins are necessary to prevent local recurrence, the chemotherapeutic response (>90% necrosis) remains the best predictor of systemic control and overall survival.
Question 38:
Regarding the highly organized ultrastructure of normal human articular cartilage, which zone is uniquely characterized by possessing the highest concentration of water, the lowest concentration of proteoglycans, and collagen fibrils that are oriented tightly parallel to the joint surface?
Options:
- Superficial (tangential) zone
- Transitional (middle) zone
- Deep (radial) zone
- Calcified cartilage zone
- Tidemark
Correct Answer: Superficial (tangential) zone
Explanation:
Articular cartilage is divided into functionally distinct zones. The superficial (tangential) zone provides a gliding surface and resists shear forces. It has the highest water content (up to 80%), the lowest proteoglycan content, and densely packed collagen type II fibrils aligned parallel to the articular surface. Conversely, the deep (radial) zone has the highest proteoglycan content, the lowest water content, and collagen fibrils aligned perpendicular to the surface to resist compressive loads.
Question 39:
An 18-year-old pedestrian is struck by a motor vehicle and sustains a severe pelvic ring injury. AP, inlet, and outlet radiographs suggest an Anteroposterior Compression (APC) mechanism. According to the Young-Burgess classification system, an APC Type III injury is fundamentally distinguished from an APC Type II injury by the complete disruption of which of the following specific structures?
Options:
- Symphysis pubis
- Anterior sacroiliac ligaments
- Posterior sacroiliac ligaments
- Sacrotuberous ligament
- Sacrospinous ligament
Correct Answer: Posterior sacroiliac ligaments
Explanation:
In the Young-Burgess classification, Anteroposterior Compression (APC) injuries follow a progressive pattern of ligamentous disruption. APC I features symphyseal widening <2.5 cm with intact posterior ligaments. APC II features symphyseal widening >2.5 cm, complete disruption of the anterior sacroiliac, sacrospinous, and sacrotuberous ligaments, but crucially, the strong posterior sacroiliac ligaments remain INTACT, allowing the hemipelvis to open like a book (rotationally unstable but vertically stable). APC III involves complete disruption of both the anterior and posterior sacroiliac ligaments, completely dissociating the hemipelvis from the sacrum (both rotationally and vertically unstable).
Question 40:
A 7-year-old boy with spastic diplegic cerebral palsy presents to the orthopedic clinic for his routine hip surveillance program. Examination reveals significant bilateral hip adductor spasticity. AP pelvis radiographs are obtained to measure the Reimers migration percentage. According to established international guidelines for hip surveillance in cerebral palsy, a migration percentage strictly above which threshold designates the hip as subluxated and generally warrants surgical intervention?
Options:
Correct Answer: 30%
Explanation:
In children with cerebral palsy, hip surveillance is mandatory to prevent silent hip dislocation. The Reimers migration percentage measures the proportion of the ossified femoral head outside the lateral margin of the acetabulum (Perkin's line). A migration percentage >30% is universally considered the threshold for defining hip subluxation in this population. Above 30%, nonoperative measures usually fail to prevent progression, and prophylactic surgical intervention (e.g., adductor releases or varus derotational osteotomy) is strongly indicated. A migration of 100% is a complete dislocation.
Question 41:
To decrease construct stiffness and promote secondary bone healing via callus formation in a comminuted diaphyseal fracture managed with a locking plate, which of the following modifications should be made?
Options:
- Decrease the working length
- Use bicortical screws exclusively near the fracture
- Leave screw holes empty adjacent to the fracture site
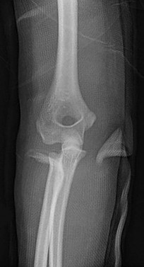
- Use larger diameter screws
- Place the plate closer to the bone surface
Correct Answer: Leave screw holes empty adjacent to the fracture site
Explanation:
Leaving screw holes empty adjacent to the fracture site increases the 'working length' of the plate. Working length is the distance between the closest fixation points on either side of the fracture. A longer working length decreases the stiffness of the construct, allowing for interfragmentary micro-motion, which is necessary to promote robust callus formation (secondary bone healing).
Question 42:
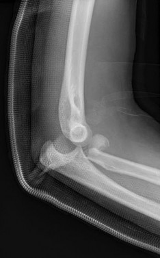
A 45-year-old male sustains the injury pattern depicted in the provided image. During surgical reconstruction of the lateral collateral ligament complex, identifying the correct isometric origin of the lateral ulnar collateral ligament (LUCL) on the distal humerus is critical. Where is this point located?
Options:
- At the center of the axis of rotation of the capitellum
- On the anterior border of the lateral epicondyle
- Directly on the tip of the olecranon
- At the supinator crest of the ulna
- 2 cm proximal to the lateral epicondyle
Correct Answer: At the center of the axis of rotation of the capitellum
Explanation:
The isometric point for the LUCL origin on the humerus is the center of the axis of rotation of the capitellum. Placing a graft or suture anchor at this specific geometric location ensures that the reconstructed ligament maintains relatively constant tension throughout the elbow's entire arc of flexion and extension.
Question 43:
In a Zone II flexor tendon repair, which of the following core suture configurations provides the best balance of increasing tensile strength while preventing excessive tendon bulk and gliding resistance?
Options:
- 2-strand repair
- 4-strand repair
- 8-strand repair
- Epitenon-only repair
- Locking continuous whipstitch alone
Correct Answer: 4-strand repair
Explanation:
A 4-strand core repair (combined with a running epitendinous suture) is widely considered the optimal configuration for Zone II flexor tendon repairs. It significantly increases tensile strength compared to a 2-strand repair, allowing for early active range of motion rehabilitation protocols, without adding the excessive bulk and gliding resistance often seen with 6- or 8-strand repairs.
Question 44:
A 62-year-old male of East Asian descent presents with progressive myelopathy. His imaging is shown. Which of the following specific CT findings is the strongest independent predictor of a dural tear during an anterior cervical corpectomy and decompression for this condition?
Options:
- C2-C7 sagittal vertical axis > 4 cm
- Continuous type ossification spanning > 3 levels
- The 'double-layer' sign
- K-line negativity
- Facet joint ankylosis
Correct Answer: The 'double-layer' sign
Explanation:
The image indicates Ossification of the Posterior Longitudinal Ligament (OPLL). The 'double-layer' sign on a CT scan is highly specific for dural ossification and represents a significant risk for dural tears during anterior decompressive surgeries. It consists of anterior and posterior hyperdense ossified rims separated by a central hypodense non-ossified ligament.
Question 45:
A total hip arthroplasty is planned for a 55-year-old active patient. The surgeon selects highly cross-linked polyethylene (HXLPE) to reduce wear. Which of the following represents a known mechanical tradeoff associated with the irradiation and remelting/annealing process used to create HXLPE?
Options:
- Increased elastic modulus
- Increased ultimate tensile strength
- Decreased fatigue strength
- Decreased oxidation resistance
- Increased coefficient of friction
Correct Answer: Decreased fatigue strength
Explanation:
While the irradiation process creates cross-links that significantly improve wear resistance, and the subsequent remelting or annealing processes eliminate free radicals to improve oxidation resistance, this comes at a mechanical cost. Highly cross-linked polyethylene has decreased fatigue strength, ultimate tensile strength, and fracture toughness compared to conventional UHMWPE.
Question 46:
A 56-year-old male with poorly controlled diabetes mellitus presents with a swollen, erythematous, and warm left foot without open ulcerations. Radiographs show periarticular fragmentation and debris at the tarsometatarsal joints. According to the Eichenholtz classification, what is the appropriate stage and initial management?
Options:
- Stage 0; rigid shoe gear
- Stage 1; total contact casting
- Stage 2; Charcot Restraint Orthotic Walker (CROW)
- Stage 3; surgical arthrodesis
- Stage 1; immediate midfoot arthrodesis
Correct Answer: Stage 1; total contact casting
Explanation:
The patient is in Eichenholtz Stage 1 (Development/Fragmentation), characterized clinically by a red, hot, swollen foot and radiographically by periarticular fragmentation, debris, and subluxation/dislocation. The gold standard for initial treatment is offloading and immobilization, most effectively achieved with a total contact cast (TCC), which limits disease progression.
Question 47:
A 78-year-old female with a history of a posterior-stabilized total knee arthroplasty sustains the injury shown. According to the Lewis and Rorabeck classification, which factor dictates whether open reduction internal fixation (ORIF) or distal femoral replacement (DFR) is the primary treatment of choice?
Options:
- The specific fracture pattern (spiral vs. transverse)
- The bone quality of the distal fragment
- The distance of the fracture from the joint line
- The stability of the femoral component
- The age of the patient
Correct Answer: The stability of the femoral component
Explanation:
Distal femur periprosthetic fractures around a TKA are commonly classified using the Lewis and Rorabeck system. Type I: undisplaced, component intact. Type II: displaced, component intact. Type III: displaced or undisplaced, component loose. The defining factor for treatment is component stability. Loose components (Type III) require revision arthroplasty (often DFR), while well-fixed components (Type I or II) are treated with ORIF.
Question 48:
A 15-year-old male presents with deep thigh pain. A biopsy of a diaphyseal femur lesion reveals sheets of uniform small round blue cells. Cytogenetic analysis demonstrates a t(11;22)(q24;q12) chromosomal translocation. Which fusion protein, which acts as an aberrant transcription factor, is produced by this translocation?
Options:
- SYT-SSX1
- EWS-FLI1
- PAX3-FOXO1
- TLS-CHOP
- COL1A1-PDGFB
Correct Answer: EWS-FLI1
Explanation:
The scenario describes Ewing sarcoma, characterized histologically by small round blue cells. The hallmark cytogenetic abnormality is the t(11;22)(q24;q12) translocation, which fuses the EWS gene on chromosome 22 with the FLI1 gene on chromosome 11, creating the EWS-FLI1 fusion protein. Other translocations: SYT-SSX (synovial sarcoma); PAX3-FOXO1 (alveolar rhabdomyosarcoma); TLS-CHOP (myxoid liposarcoma).
Question 49:
A 10-year-old boy presents with a unilateral stable Slipped Capital Femoral Epiphysis (SCFE). In addition to treating the affected hip, the surgeon considers prophylactic in situ pinning of the contralateral hip. Which of the following conditions is the strongest indication for prophylactic fixation?
Options:
- Male sex
- Age greater than 14 years
- Hypothyroidism
- Body Mass Index (BMI) in the 85th percentile
- Presentation with a stable SCFE slip angle of 20 degrees
Correct Answer: Hypothyroidism
Explanation:
Prophylactic pinning of the contralateral hip in SCFE is highly recommended in patients with endocrine disorders (e.g., hypothyroidism, growth hormone deficiency, renal osteodystrophy) due to the significantly higher risk of bilateral involvement. Other indications for prophylactic pinning include young age (< 10 years for boys) and unreliability for follow-up.
Question 50:
A 24-year-old man sustains a proximal pole scaphoid fracture. The high risk of avascular necrosis (AVN) in this fracture pattern is primarily due to the retrograde intraosseous blood supply of the scaphoid. The predominant vascular supply enters the scaphoid at the dorsal ridge. From which artery does this critical vessel directly originate?
Options:
- Ulnar artery
- Anterior interosseous artery
- Superficial palmar arch
- Dorsal carpal branch of the radial artery
- Volar carpal branch of the radial artery
Correct Answer: Dorsal carpal branch of the radial artery
Explanation:
The scaphoid receives 70-80% of its blood supply from the dorsal carpal branch of the radial artery, which enters the bone distally at the dorsal ridge and supplies the proximal pole in a retrograde fashion. A fracture at the proximal pole disrupts this retrograde flow, leading to a high rate of AVN and nonunion.
Question 51:
In preoperative planning for a long posterior spinal fusion to correct adult spinal deformity, achieving appropriate sagittal balance is critical. To minimize the risk of adjacent segment disease and mechanical failure, the postoperative lumbar lordosis (LL) should be matched to the patient's pelvic incidence (PI). What is the generally accepted target relationship between PI and LL?
Options:
- LL should be at least 20 degrees greater than PI
- PI minus LL should be ≤ 10 degrees
- LL should be exactly half of the PI
- PI minus LL should be ≥ 20 degrees
- LL should equal the sacral slope minus 10 degrees
Correct Answer: PI minus LL should be ≤ 10 degrees
Explanation:
Pelvic incidence (PI) is a fixed morphological parameter. Lumbar lordosis (LL) must be tailored to the individual's PI to achieve a harmonious sagittal profile and minimize energy expenditure during standing. The SRS-Schwab adult spinal deformity classification sets a target of PI-LL mismatch of less than or equal to 10 degrees (PI - LL ≤ 10°) to achieve optimal clinical outcomes.
Question 52:
Romosozumab is an anabolic agent used in the treatment of severe osteoporosis. It exerts its effect by binding to and inhibiting sclerostin. At a cellular level, what is the direct consequence of sclerostin inhibition in bone tissue?
Options:
- Activation of the RANKL pathway
- Stimulation of osteoclast apoptosis
- Facilitation of Wnt binding to LRP5/6 receptors
- Inhibition of Cathepsin K secretion
- Downregulation of Runx2 expression
Correct Answer: Facilitation of Wnt binding to LRP5/6 receptors
Explanation:
Sclerostin, secreted by osteocytes, is a negative regulator of bone formation. It functions by binding to LRP5/6 receptors on osteoblasts, thereby antagonizing the canonical Wnt/beta-catenin signaling pathway. Romosozumab binds to sclerostin, preventing it from binding LRP5/6, which allows Wnt signaling to proceed uninhibited, leading to increased osteoblast differentiation and bone formation.
Question 53:
During a measured resection posterior-stabilized total knee arthroplasty, the surgeon checks the trial components and notes that the knee is perfectly balanced in full extension but is excessively tight in 90 degrees of flexion. Which of the following interventions will best address this isolated tight flexion gap?
Options:
- Resect more distal femur
- Upsize the tibial polyethylene insert
- Release the posterior cruciate ligament
- Decrease the anteroposterior size of the femoral component
- Release the posterior capsule
Correct Answer: Decrease the anteroposterior size of the femoral component
Explanation:
A tight flexion gap with a balanced extension gap implies that the posterior condylar offset is too large. By decreasing the anteroposterior (AP) size of the femoral component, more posterior femoral condyle is resected, which selectively increases (loosens) the flexion gap without affecting the extension gap. Resecting more distal femur or releasing the posterior capsule would alter the extension gap.
Question 54:
Recent high-quality randomized controlled trials comparing operative repair to non-operative management (with functional rehabilitation) for acute Achilles tendon ruptures have demonstrated which of the following regarding clinical outcomes?
Options:
- Operative management has a significantly higher rate of re-rupture
- Non-operative management has an unacceptably high re-rupture rate preventing its routine use
- There is no significant difference in re-rupture rates when early functional weight-bearing rehabilitation is utilized
- Operative management provides significantly better long-term plantar flexion strength
- Non-operative management leads to a higher rate of sural nerve injury
Correct Answer: There is no significant difference in re-rupture rates when early functional weight-bearing rehabilitation is utilized
Explanation:
Modern meta-analyses and RCTs (such as those by Willits et al.) have shown that when non-operative management of Achilles tendon ruptures is paired with an early functional rehabilitation and weight-bearing protocol, the re-rupture rates are not significantly different from operative repair. Furthermore, non-operative management entirely avoids surgical complications such as wound breakdown, infection, and sural nerve injury.
Question 55:
A 65-year-old male sustains a subtrochanteric femur fracture. Due to the deforming muscle forces on the proximal fragment, what is the typical anatomical position of the proximal fragment prior to reduction?
Options:
- Flexed, adducted, and internally rotated
- Extended, abducted, and externally rotated
- Flexed, abducted, and externally rotated
- Extended, adducted, and internally rotated
- Flexed, abducted, and internally rotated
Correct Answer: Flexed, abducted, and externally rotated
Explanation:
In a subtrochanteric fracture, the proximal fragment is acted upon by three primary muscle groups: the iliopsoas (attaching to the lesser trochanter) pulls the fragment into flexion; the abductors (gluteus medius/minimus inserting on the greater trochanter) pull it into abduction; and the short external rotators pull it into external rotation.
Question 56:
A 32-year-old female undergoes intralesional curettage and cementation for a giant cell tumor (GCT) of the distal radius. Two years later, she presents with local recurrence. The multidisciplinary tumor board recommends a trial of Denosumab. By what mechanism does this drug target the tumor?
Options:
- Directly inducing apoptosis in the neoplastic giant cells
- Inhibiting vascular endothelial growth factor (VEGF) to reduce tumor angiogenesis
- Binding to RANKL to prevent osteoclast-mediated bone destruction
- Acting as an antagonist at the estrogen receptor
- Blocking the mammalian target of rapamycin (mTOR) pathway
Correct Answer: Binding to RANKL to prevent osteoclast-mediated bone destruction
Explanation:
Denosumab is a fully human monoclonal antibody that targets Receptor Activator of Nuclear factor Kappa-B Ligand (RANKL). In GCT of bone, the neoplastic mononuclear stromal cells secrete high levels of RANKL, which recruits and activates the reactive multinucleated giant cells (osteoclast-like cells). Denosumab binds RANKL, inhibiting this activation, which reduces bone resorption and often induces intralesional ossification.
Question 57:
The Ponseti method is the gold standard for the non-operative correction of congenital idiopathic clubfoot (talipes equinovarus). According to the principles of this method, in what order should the components of the deformity be corrected?
Options:
- Equinus, Varus, Adductus, Cavus
- Cavus, Adductus, Varus, Equinus
- Varus, Cavus, Equinus, Adductus
- Adductus, Equinus, Cavus, Varus
- Cavus, Equinus, Varus, Adductus
Correct Answer: Cavus, Adductus, Varus, Equinus
Explanation:
The Ponseti method sequentially corrects the deformities using the mnemonic CAVE: Cavus (corrected by elevating the first ray to supinate the forefoot and align it with the hindfoot), Adductus, Varus, and finally Equinus. Equinus is corrected last, often requiring a percutaneous Achilles tenotomy once the other deformities have been fully corrected.
Question 58:
A 21-year-old collegiate football player sustains a recurrent anterior shoulder dislocation. A pre-operative 3D CT scan reveals a bipolar bone loss pattern, with an engaging Hill-Sachs lesion and an anterior glenoid bone defect measuring 28% of the glenoid width. What is the most appropriate surgical intervention to prevent further instability?
Options:
- Arthroscopic Bankart repair with Remplissage
- Open Bankart repair and inferior capsular shift
- Latarjet procedure (coracoid transfer to anterior glenoid)
- Arthroscopic superior labrum anterior-posterior (SLAP) repair
- Proximal humerus derotational osteotomy
Correct Answer: Latarjet procedure (coracoid transfer to anterior glenoid)
Explanation:
Subcritical glenoid bone loss (<15-20%) may be managed with arthroscopic stabilization (with or without remplissage). However, critical glenoid bone loss (>20-25%) in a contact athlete is a strong indication for a bony augmentation procedure. The Latarjet procedure transfers the coracoid process to the anterior glenoid, providing both a bony block and a dynamic muscular sling.
Question 59:
During an open carpal tunnel release, the transverse carpal ligament is divided. If the surgical incision is extended proximally across the wrist flexion creases in a radial direction (radial to the palmaris longus tendon), which nerve is at greatest risk of iatrogenic transection?
Options:
- Recurrent motor branch of the median nerve
- Deep branch of the ulnar nerve
- Palmar cutaneous branch of the median nerve
- Superficial branch of the radial nerve
- Anterior interosseous nerve
Correct Answer: Palmar cutaneous branch of the median nerve
Explanation:
The palmar cutaneous branch of the median nerve branches off approximately 5 cm proximal to the transverse carpal ligament and travels longitudinally on the ulnar side of the flexor carpi radialis (FCR), radial to the palmaris longus. Incisions extending proximally and radially into the forearm cross directly over its path, predisposing it to injury and subsequent painful neuroma formation.
Question 60:
Articular cartilage is highly specialized and organized into four distinct zones: superficial, middle (transitional), deep, and calcified. Which of the following characteristics accurately describes the deep zone of articular cartilage?
Options:
- It contains the highest concentration of water among all zones.
- Collagen fibers are oriented parallel to the articular surface.
- It contains the lowest concentration of proteoglycans.
- Chondrocytes are aligned in vertical columns.
- It is separated from the middle zone by the tidemark.
Correct Answer: Chondrocytes are aligned in vertical columns.
Explanation:
In the deep zone of articular cartilage, chondrocytes are arranged in vertical columns, and type II collagen fibers are oriented perpendicular (vertical) to the joint surface to resist compressive loads. The deep zone has the highest concentration of proteoglycans and the lowest water content. The tidemark separates the deep zone from the underlying calcified cartilage zone.