Metaphyseal fracture with joint involvement
1. Case description
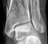
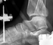
A 38-year-old woman was involved in a motor vehicle accident. She experienced immediate pain and noticed her left lower extremity was deformed. In the emergency department, x-rays showed a displaced metaphyseal fracture of the distal tibia with articular involvement (AO/OTA 43C3.3(5b) with a 4F3B fibular fracture), and posterior dislocation of the tibiotalar joint (Fig 2.2-1). The fracture was closed.
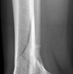
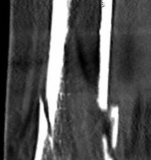
Temporary ankle-spanning external fixation was used to stabilize the fracture and soft tissues. X-rays taken after external fixation showed improved alignment and allowed for better understanding of the fracture pattern (Fig 2.2-2). Computed tomographic (CT) scanning with 3D reconstruction was performed for precise assessment of the fracture pattern of the tibial plafond. The CT revealed displaced fragments with a resultant intraarticular step-off and gap. The distal tibial metaphyseal fracture was multifragmentary. In addition, an associated long oblique fibular fracture was present (Fig 2.2-3).
a
b
a
b








Fig 2.2-1a–b Immediate postinjury x-rays.
1. Comminuted pilon fracture (AO/OTA 43C3.3[5b]) with 4F3B fibular fracture (AP view).
2. Posterior dislocation of the tibiotalar joint (lateral view).
Fig 2.2-2a–b Realignment of fracture through application of spanning external fixator.
1. AP view.
2. Lateral view.
a
b
c
d






e
f
g
h




Fig 2.2-3a–h A CT scan with 3D reconstruction.
a–d Sagittal (a–b), coronal (c), and axial (d) images demonstrate displaced posterior, anterolateral, and medial fracture fragments resulting in intraarticular step and gap. The incongruent tibiotalar joint is best appreciated on the sagittal scan.
e–h The 3D reconstructed images show the external fracture anatomy and general alignment.
2. Preoperative planning
Indications for surgery
Displaced intraarticular fractures require open reduction and internal fixation (ORIF).
Principles of fracture fixation
The tibial plafond articular surface injury requires anatomical reduction and stable fixation providing absolute stability. The multifragmentary metaphyseal injury requires reduction to restore length, rotation, and alignment as well as stable fixation providing stability. Fixation of fibula fracture remains controversial but may help to reduce the tibia and provide additional stability, preventing tibia drift into malunion.
Approach
Three separate approaches are required:
1. The posterior fragment is accessed by a modified posteromedial approach.
2. The anterolateral and medial fragments are approached with a single incision, the extensile approach.
3. The fibula is approached with an incision along its posterior margin to increase the width of the soft-tissue bridge.
Plate positioning
When selecting the lengths of the three tibial plates, consideration must be given to their proximal ends which should be at different levels of the tibial shaft to avoid the development of stress fractures. The valgus deformity requires a long anterolateral plate which acts as a buttress.
Order of fixation
1. The posterior tibial fracture is anatomically reduced and fixed.
2. The remaining tibial articular fragments are reconstructed with an anterolateral plate followed by a medial plate.
3. The fibula is the last structure to be fixed (Fig 2.2-4).
External fixator in situ
Surgery should be performed with the external fixator left in place, as it can aid in maintaining limb alignment, length, and rotation. It also aids in distraction and thus visualization of the ankle joint.
a

b



Fig 2.2-4a–b Preoperative plan. a The posterior tibial fragment is directly reduced and
fixed with a buttress plate via modified posteromedial approach.
b The anterolateral and medial fragments are directly reduced and fixed with a longer anterolateral plate and a shorter medial buttress plate via the extensile approach. The fibular fracture is directly reduced and fixed with stacked one-third tubular
plates via an incision placed along its posterior margin.
3. Operating room setup
Patient positioning • This surgery requires a change in patient position from prone to supine.
1. Prone on a radiolucent table for posterior tibial fragment fixation:
1. The foot is positioned at the end of the table for improved access.
2. When this part of surgery is completed, the wounds are closed and covered, and the drapes are removed.
2. Supine for pilon and fibular fixation and fixation of the anterolateral and medial fragments and fibula
fracture.
Anesthesia options • General, often supplemented with a regional
nerve block
C-arm location • The monitor placed at the head of the operative
table.
3. Posterior tibial fragment fixation:
1. C-arm from the contralateral side of the table
4. Pilon fixation and fibular fixation:
1. C-arm is moved to the ipsilateral side of the operative table
Tourniquet • Used at surgeon’s discretion.
5. Improves ability to visualize both the joint and the reduction
Tips • A bump may be placed under the ipsilateral hip to assist in positioning as needed.
6. The operative limb is placed on an elevating ramp to aid in obtaining clear C-arm images and improve visualisation.
For illustrations and overview of anesthetic considerations, see chapter 1.
Equipment
1. Variable angle locking (VAL) distal tibia T-plate or L-plate 2.7 (for fixation of posterior tibial fragment)
2. VAL anterolateral plate 2.7/3.5 (for fixation of anterolateral tibial fragment)
3. Locking compression plate 2.4/2.7
4. One-third tubular plate(s) (for fixation of fibula fracture)
5. K-wires
6. Point-to-point reduction (Weber) clamps
7. Smooth and sharp elevators
Size of system, instruments, and implants may vary according to anatomy of the fracture and the patient. Conventional compression plates may be used in good bone quality, while locking plates are preferred in osteoporotic bone and comminution.
4. Surgical procedure
Posterior tibial fragment fixation
The first step is fixation of the posterior tibial fragment to restore the posterior tibia, onto which the anterolateral and medial fragments will be reduced. The patient is positioned prone.
Prone positioning
With the patient in prone position, it is vital to ensure a sufficiently large bolster is placed beneath the anterior tibia to enable the surgeon to fully flex and extend the patient’s ankle. C-arm projections must be adjusted accordingly to allow precise posterior-anterior, mortise, and lateral views of the tibiotalar joint.
The modified posteromedial approach is used as it provides excellent access to center of the posterior aspect of the tibial plafond, so that direct reduction and plating can be performed. The incision is made 1 cm medial to the medial border of the Achilles tendon, starting just proximal to the insertion of the Achilles tendon on the calcaneus, and extending 12 cm proximally. The Achilles tendon is retracted laterally within its sheath.
Next, the transverse intermuscular septum which separates the superficial and deep posterior compartments is cut longitudinally. The tendon and muscle belly of the flexor hal-lucis longus (FHL) tendon and the tibial nerve are identified, and an interval is developed between them. The FHL is retracted laterally and the tibial nerve is gently retracted medially. The disrupted posterior ankle capsule usually requires further dissection to expose the entire fracture. This approach allows exposure of the entire posterior tibial metaphysis and proximal dissection allows exposure of the diaphysis. An external fixator (or large distractor) is useful to distract the tibiotalar joint to aid in visualization. The fracture is reflected laterally hinging on the intact posterior inferior tibio-fibular ligament, cleared of its hematoma, and anatomically reduced to the proximal tibial cortex. The anatomically reduced posterior fragment is provisionally held with K-wires. The large butterfly fragment is fixed with a lag screw. Definitive fixation is achieved with posterior buttress plating. Care must be taken to avoid excessively long posterior to anterior screws so as not to interfere with subsequent reduction of the medial and anterolateral fragments.
Pilon and fibular fixation
In the next part of the surgery the patient is positioned supine, and the extensile approach is used as it permits complete and direct visualization of the tibial articular surface
and placement of medial, anterior, anterolateral plates, thus making it ideal for the AO/OTA type C pilon fracture. The incision starts 10 mm below the tip of the medial malleolus and proceeds transversely across the ankle to a point just lateral to the midline and then turns, continuing proximally 10 mm lateral to the tibial crest. Thus, the vertical limb of the incision lies lateral to the tibialis anterior tendon and can be extended as desired. The incision is carried down to the subcutaneous tissue. Care should be taken to avoid unnecessary dissection.
Next, the extensor retinaculum is incised with an attempt to leave the tibialis anterior tendon undisturbed in its sheath. The full-thickness subcutaneous flap is retracted medially while the tibialis anterior tendon is retracted laterally. The flap is handled atraumatically without strong retraction or the use of forceps. The flap can be retracted using nylon stay sutures in the skin. At the level of the ankle, the capsule is opened longitudinally, exposing the talus. Subperiosteal dissection exposes the distal tibia fracture. Retraction of the tissues laterally exposes the entire lateral articular fragment of Chaput. The anterolateral fragment is reduced anatomically onto the previously fixed posterior fragment, then the medial fragment is reduced onto the posterior and anterolateral fragments. It is temporarily stabilized with K-wires.
Fracture fixation principle
Plates used in fixation of pilon fractures usually function as buttress plates. Generally, a fracture that is primarily in varus should be buttressed with a medial plate; and conversely, a fracture that is primarily in valgus should be buttressed with an anterolateral plate.
For definitive fixation, the anterolateral fragment is buttressed with an anterolateral plate and the medial fragment is buttressed with a medial plate. If the plates are longer than the incision, the plates can be slid proximally along the periosteum, and screws inserted using a minimally invasive technique. Large metaphyseal defects should be bone-grafted (Fig 2.2-5).
After pilon fracture fixation is completed, the fibula is fixed. Fibular fixation provides greater stability to the construct. The skin bridge must be considered when placing this third incision, aiming to maximize the distance between it and the vertical limb of the extensile approach and the modified posteromedial approach. The fibula is reduced anatomically and plated (Fig 2.2-6). In situations of tenuous soft tissue, the fibula can be reduced with a mini-open approach and stabilized with an intramedullary rod or screw inserted retrograde from the distal end of the fibula.
a
b
a
b







Fig 2.2-5 Intraoperative images.
1. Posterior, anterolateral, and medial plates have been applied. Anatomical reduction and stable fixation of the tibial plafond articular surface has been successfully achieved. At this stage, the fibula had not yet been fixed.
2. Lateral image shows a well-reduced tibial articular surface and a congruent tibiotalar joint.
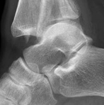
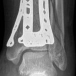
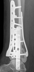
Fig 2.2-6a–b Immediate postoperative x-rays showing restoration of the ankle mortise and distal tibia alignment through anatomical and stable fracture fixation.
1. AP view.
2. Lateral view.
5. Pitfalls and complications
Pitfalls
Soft-tissue problems
This is a major pitfall when treating pilon fractures, owing to the inherently thin soft-tissue envelope around the distal tibia, the fragility of soft tissues after high-energy trauma, and the necessity for multiple incisions to approach different parts of the complex fracture (Table 2.2-1).
Pitfall Tip
Fibular malreduction
Malreduction of the fibula either occurring during the time of external fixation, or as the first step in definitive ORIF will complicate reduction of the tibial pilon fracture. As such, the sequence of fixation always starts with the tibial pilon fracture and ends with the fibula. Fibular fixation may sometimes be performed in a subsequent surgery if the limb is deemed too swollen after fixation of the tibial pilon fracture. The fibula is fixed to increase stability of the pilon fixation and restore the ankle mortise.
Insufficient
resolution of soft-tissue edema
Rough soft-tissue handling
Inadequate skin bridge between incisions
Contracted and unstable soft tissues
Posterior plate screws too long and block reduction of
anterolateral and medial fracture fragments
1. Wait for wrinkle sign before definitive surgery
(may require waiting 14–21 days or more, postinjury)
2. Gentle atraumatic retraction
3. Avoid desiccation of tendons or flap during surgery
4. Maximize distance between incisions
5. Early application of external fixator not only stabilizes the fracture but also stabilizes and prevents contracture of soft tissues while waiting for definitive ORIF.
6. Ensure posterior screws are the correct length.
Complications
Flap necrosis
Avoided through appropriate timing of definitive ORIF, meticulous and gentle soft-tissue handling, and repair of extensor retinaculum to prevent tibialis anterior tendon from bowstringing and exerting pressure on the overlying subcutaneous flap.
Infection
Avoided through a combination of prophylactic antibiotics, extreme care with soft tissues, and reducing duration of surgery (Fig 2.2-7).
Injury to tibial nerve
Avoided through delicate dissection and gentle retraction.
Loss of fixation
Avoided through use of locking plates in comminuted fractures, correct placement of plates, and correct principle of
Table 2.2-1 Major pitfalls pertaining to soft-tissue care.
Inadequate fracture visualization
In C-type fractures, visualization of and access to the entire articular surface is often necessary. Selection of an approach that is suboptimal for a particular fracture pattern may result in excessive traction, skin edge necrosis, difficult access, and poor quality reduction and fixation. An external fixator is frequently used to aid visualization of the articular surface by distracting the tibiotalar joint.
Irreducible or non-fixable articular fragments
Very small or comminuted articular surface fragments that are impossible to anatomically reduce or fix and are at risk of affecting the congruency of the joint or displacing into the joint as loose fragments are better off removed than poorly fixed.
buttress plating.
Malunion
Avoided through anatomical reduction of articular surface, and functional reduction of tibial length, rotation, and varus-valgus alignment.
Nonunion
Avoided through bone grafting of large metaphyseal defects, preserving soft-tissue attachments to fracture, and providing adequate stability.
Posttraumatic arthritis
This is related to the severity of injury, quality of reduction, and primary articular cartilage damage.
a
b
c



d

e

Fig 2.2-7a–e Example from a different case of infection and flap necrosis complicating pilon fracture ORIF, managed with staged bony and soft-tissue reconstruction. An acute infection was diagnosed on postoperative day 3 (a). The patient
underwent multiple debridement surgeries with retention of implants (b); cement spacer implantation for dead space and infection management (c); free flap reconstruction for soft-tissue coverage; Masquelet-induced membrane technique and iliac crest bone grafting of the metaphyseal defect (d). A good
functional outcome with healed fracture and free flap at 15 months postoperatively (e).
6. Alternative techniques
Selecting appropriate incisions is dependent on the fracture pattern and the soft-tissue envelope. Traumatized soft tissue, injury wounds, or preexisting scars will require incisions to be placed away from the area of concern.
In patients who are at high risk of developing wound problems (diabetes, arteriosclerosis, smoking), a limited ORIF of the articular block may be performed and the metaphyseal fracture may be definitively treated with a ring fixator.
Nonoperative treatment with late reconstruction of the ankle may also be considered in patients with multisystem disease.
7. Postoperative management and rehabilitation
Postoperatively, the leg is immobilized in a below-knee splint until satisfactory wound healing. After the wounds have healed, start active and passive range-of-motion (ROM)
exercises. In the first 6 weeks, the patient should be toe-touch weight-bearing. In the second 6 weeks, the patient should gradually increase to full weight bearing as tolerated in a removable orthosis and continue ankle ROM exercises and gentle resistance training. After 12 weeks, the patient may begin neuromuscular retraining which focuses on coordination, balance, and gait.
Postoperative x-rays are obtained in the at 6 weeks, 12 weeks, 6 months, 1 year, and 2 years. X-rays are evaluated for healing in the initial months and for signs of posttraumatic arthrosis beyond 1 year.
Implant removal
a

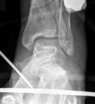
Removal of implants is not mandatory but recommended if implants are prominent under the subcutaneous envelope of the distal tibia. Implant removal should be undertaken only after healing is complete, ie, after 1 year at the earliest. This patient had achieved good radiographic and functional healing at the 1-year postoperative review (Fig 2.2-8 and Fig 2.2-9).
a

b

b

Fig 2.2-8a–b Postoperative x-rays at 1 year showing healed fractures, implants in situ, and limited tibiotalar arthrosis.
1. AP view.
2. Lateral view.
Fig 2.2-9 Good functional recovery at 1 year postoperatively.
1. Active dorsiflexion of 10°.
2. Active plantarflexion of 35°.
8. Recommended reading
Assal M, Ray A, Fasel JH, et al. A modified posteromedial approach combined with extensile anterior for the treatment of complex tibial pilon fractures (AO/OTA 43-C). J Orthop Trauma. 2014 Jun;28(6):e138–145.
Assal M, Ray A, Stern R. Strategies for surgical approaches in open reduction internal fixation of pilon fractures. J Orthop Trauma.
2015 Feb;29(2):69–79.
Assal M, Ray A, Stern R. The extensile approach for the operative treatment of high-energy pilon fractures: surgical technique and soft-tissue healing. J Orthop Trauma. 2007 Mar;21(3):198–206.
Sands A, Grujic L, Byck DC, et al. Clinical and functional outcomes of internal fixation of displaced pilon fractures. Clin Orthop Relat Res. 1998 Feb;(347):131–137.