Lower limb Trauma Structured oral examination question 8
A 72-year-old woman, fully independent with good health, was hit by a car when she was walking on a kerb. She was brought to hospital with these injuries. She was assessed following ATLS protocol. She was resuscitated and her injuries were splinted. (Figure 8.13.)
Minute 1
EXAMINER : What your thoughts about this patient’s management? Do you have any concerns? CANDIDATE : This 72-year-old lady has multiple high-energy injuries. This is a serious situation, so although she had good health prior to this accident, I would be concerned about her trauma response and her well-being. Trauma scores show that elderly patients have limited physiological reserves and they tend to do worse than young people. So she needs to be closely

Figures 8.13a, 8.13b and 8.13c Anteroposterior (AP) radiograph left femur demonstrating supracondylar fracture femur and AP and lateral radiographs right lower leg.
observed and kept well hydrated and her condition optimized before undertaking definitive treatment. Fractures of long bone should be stabilized as early as possible for many reasons: for pain relief, to reduce trauma response, to allow for early mobilization and rehabilitation as well as to decrease the complications from bed rest.
Ideally an anaesthetic team and geriatrician should also be involved in planning her treatment, when to take her to theatre.
Minute 2 EXAMINER : What implants are you going to use to fix these fractures? CANDIDATE : For the left femur fracture, it is a multi-fragment supracondylar unstable fracture, with femur shortening. We need to use a femoral distracter for temporary reduction and then to use either a nail or plate. Personally I would prefer a fixed-angle plate with less invasive technique. Nailing may increase the risk of ARDS and fat embolism.
Regarding the tibia fracture, it is a fracture of the distal third of tibia and there is metalware from a previous ankle fracture fixation. Although an intramedullary nail could be used, we still
have the same argument of fat embolism and ARDS. The fracture could be plated but this means soft tissue stripping and is perhaps not ideal for a 72-year-old woman’s leg which is already contused and swollen with the high-impact injury. A circular frame would be a valid option and I would prefer to use it.
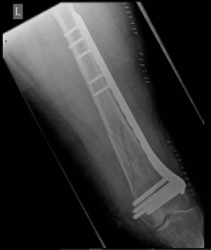
Minutes 3 and 4 EXAMINER : Okay, have a look at this radiograph and explain to me the technique the surgeon has used and what the principles are of this technique. (Figure 8.14.) CANDIDATE : The AP radiograph shows a multifragment distal diaphysis/metaphysis fracture that has been stabilized with a fixed-angle plate, using bridging plating the fracture zone has been bridged. Looking at the skin staples used to close the skin, I can infer that a closed indirect reduction and a less invasive technique was used. This technique was introduced to decrease soft tissue disruption and preserve blood supply. Length, alignment and rotation of bone was restored. Baumgaertel et ___al_. introduced the concept of biological plating and proved that indirect reduction and bridge plating was superior to direct fragment reduction and anatomical fixation in respect to bone healing.1


Figure 8.15 Anteroposterior (AP) radiograph right distal tibia with circular frame in situ. EXAMINER : Can you explain why the surgeon put screws on either ends of the plate and missed the middle? CANDIDATE : The surgeon intended to increase the working length of the implant (the distance between two points on either side of the fracture where the bone is fixed to plate or nail). This produces an even distribution of forces over a long segment and decreases stress at fracture and implant.
Minute 5 EXAMINER : Can you tell me the principles of using a circular frame? (Figure 8.15.) CANDIDATE : It uses tensioned wires for bone fixation and these wires are fixed to rings to form segments proximal and distal to fracture site. Segments of frame can be moved in terms of angulation, rotation, translation and length. The frame can be built to fit all bones and can be temporary or definitive fixation. It can be fitted using a less invasive technique and can be adjusted when needed.
1. Baumgaertel F, Buhl M, Rahn BA. Fracture healing in biological plate osteosynthesis. Injury 1998;29 (Suppl. 3):C3–C6.