DEFINITION
Limited wrist arthrodeses are salvage procedures for posttraumatic and degenerative conditions of the wrist as well as symptomatic instabilities.The goal is to reduce pain by selected fusion of the affected joints, thereby sparing motion, and improving the function of the remaining joints.
ANATOMY
The carpus consists of four bones in the proximal row (scaphoid, lunate, triquetrum, pisiform) and four bones in the distal row (trapezium, trapezoid, capitate, hamate).The scaphoid and lunate bones are intimately joined by the scapholunate ligament both dorsally and volarly. This ligament is critical to the kinematics of the wrist.Many other named ligaments hold the carpal bones stable as the wrist moves through its five planes of motion (flexion, extension, radial and ulnar deviation, and circumduction).Most reconstructive wrist procedures require a dorsal approach to the wrist. The wrist and finger extensor tendons are separated into six compartments by the dorsal extensor retinaculum. The most common interval for exposure of the wrist is the third and fourth interval between the extensor pollicis longus (EPL) and extensor digitorum communis and extensor indices proprius tendons.
PATHOGENESIS
Distraction forces across the joint as well as twisting motions while the wrist joint is being loaded can both result in a ligament injury.Failure of the scapholunate interosseous ligament, either by trauma or inflammatory arthritis, allows thescaphoid to flex and the lunate to extend, leading to dorsal intercalated segment instability (DISI).20,35 When this occurs, abnormal loading of the carpal bones results. This eventually leads to degenerative arthritis,particularly at the radioscaphoid joint due to the abnormal distribution of force across this elliptical joint.7 This has been termedscapholunate advanced collapse(SLAC).Scaphoid nonunion advanced collapse (SNAC), perilunate dislocations, calcium pyrophosphate dihydrate deposition, and rheumatoid arthritis can also lead to this pattern of arthritis.Other ligament injuries, Kienböck disease, and localized arthritis can lead to wrist pain, instability, and deformity.
NATURAL HISTORY
Much of our knowledge of the natural history of scaphoid nonunion was reported by Mack et al.23 We have learned that most ununited fractures of the scaphoid and SLAC wrists develop progressive osteoarthritis in a predictable pattern.Cyst formation and bony resorption are the hallmarks of arthritis and are usually seen 5 to 10 years after injury.Arthritis of the radioscaphoid joint can appear within a year after scaphoid nonunion. At that point, most patients become symptomatic.13,33
PATIENT HISTORY AND PHYSICAL FINDINGS
Typically, the patient describes a traumatic injury to the wrist. The absence of trauma should not exclude traumatic causes.Painful wrist motion and a limited arc of motion are common findings. Methods for examining the wrist include the following:Finger extension test.32 The wrist is passively flexed while the examiner resists active finger extension. A positive test yields pain and may represent periscaphoid inflammatory changes, radiocarpal or midcarpal instability, or Kienböck disease. A negative test essentially excludes dorsal wrist syndrome, Kienböck disease, midcarpal instability, and SLAC as the cause of pain.Anatomic snuffbox palpation.32 The examiner palpates the anatomic snuffbox with the index finger whilemoving the wrist from radial to ulnar deviation.30 A positive test yields severe pain at the articular-nonarticular junction of the scaphoid. Periscaphoid synovitis, scaphoid instability, and radial styloid arthrosis from SLAC are possible causes.Triscaphe (scaphotrapeziotrapezoid [STT]) joint palpation.32 The examiner palpates the second metacarpal proximally until it falls into a recess, the triscaphe joint. Pain with palpation indicates pathology of the distal scaphoid or the triscaphe joint.
IMAGING AND OTHER DIAGNOSTIC STUDIES
Plain radiographs, including anteroposterior (AP), lateral, oblique, and scaphoid views, should be obtained. The stage of wrist arthritis, as seen on plain radiographs, helps to determine the treatment options. Watson and Ballet31 classified the radiographic findings into stages I to III.Stage IV, not originally described, demonstrates arthritis in most all joints of the wrist. Fortunately, the radiolunate joint is rarely involved and serves as the basis for several treatment options.Arthritis involving the radiolunate joint is usually seen only in patients with inflammatory wrist arthritis.
DIFFERENTIAL DIAGNOSIS
SNAC SLACArthritis after perilunate dislocation GoutP.983Pseudogout Rheumatoid arthritis Infectious arthritis Kienböck disease
NONOPERATIVE MANAGEMENT
Nonoperative measures include rest, anti-inflammatory medications, splinting, occasional casting for flare-ups of arthritis, and cortisone injections.
SURGICAL MANAGEMENT
IndicationsFour-corner (capitate-hamate-lunate-triquetral [CHLT]) arthrodesisStage II or III SLAC wrist arthritisChronic symptomatic volar intercalated segmental instability (VISI) deformity or midcarpal instability STT arthrodesisChronic static or dynamic scapholunate instability STT arthritisKienböck disease Radiocarpal instabilityLunotriquetral arthrodesisLunotriquetral ligament tears Posttraumatic instabilityScapholunate arthrodesisPosttraumatic instability Scapholunate instability DISI deformityScaphocapitate arthrodesisScaphoid nonunionChronic DISI deformity with rotatory scaphoid instability Kienböck diseaseLunate nonunion Radiolunate arthrodesisRheumatoid arthritis primarily involving the radiolunate joint Ulnar translocation of the carpus (relative indication)Capitolunate arthrodesis Scaphoid nonunion SLAC wrist arthritis
PREOPERATIVE PLANNING
The patient's history and pertinent physical examination findings are reviewed. Any prior surgical scars are noted.All radiographs are reviewed, noting any associated pathology that might need to be simultaneously addressed to yield the best outcome.Postoperative pain control should be discussed with the patient and the anesthesia team, and a local or axillary block should be considered for prolonged pain relief after surgery.
POSITIONING
The patient is placed in the supine position on the operating table with the arm draped to the side on a radiolucent arm board.A tourniquet is used to control bleeding during the procedure.
APPROACH
The wrist is approached through a dorsal longitudinal incision between the third and fourth extensor compartments.Alternatively, the fourth and fifth extensor compartment interval may be used to better visualize the CHLT articulations.The EPL tendon sheath is opened and it is released both proximally and distally. The tendon is allowed to be transposed out of its compartment in a radial direction.Although the EPL tendon is typically exposed and subsequently transposed, a more limited incision beginning just distal to the tubercle of Lister and proceeding distally may avoid significant exposure of the EPL tendon altogether.All joints are exposed fully and a precise decortication is performed down to bleeding bone.In almost every case, bone graft is harvested from the distal radius and used to augment the fusion.Iliac crest graft may be substituted but is associated with higher donor site morbidity.
TECHNIQUES
Four-Corner (Capitate-Hamate-Lunate-Triquetral) Arthrodesis Using Kirschner Wire Fixation






TECH FIG 2 • A,B. AP and lateral radiographs showing a circular plate fusion construct. On the lateral view, the plate is nicely seated to prevent dorsal impingement.





TECH FIG 4 • A. Lunotriquetral joint during decortication. (Fingers are at top in all images.) B.

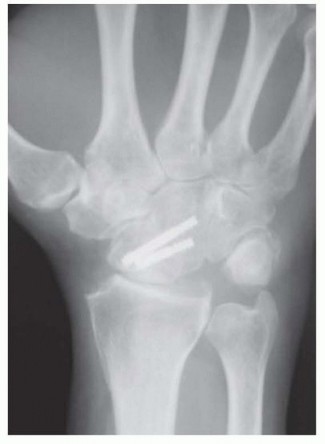
TECH FIG 5 • Scaphocapitate fusion construct using two headless, cannulated compression screws. Note the addition of a radial styloidectomy. (Fingers are at top.)
RADIOCARPAL (RADIOLUNATE) ARTHRODESIS


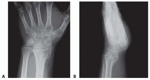
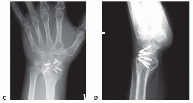
TECH FIG 6 • A,B. Preoperative AP and lateral radiographs. C,D. Postoperative AP and lateral radiographs following radiocarpal arthrodesis. Under fluoroscopy, correct any preoperative VISI or DISI deformity.A Kirschner wire inserted into the dorsal lunate may be used as a joystick to effect correction.Stabilize the lunate in the reduced position with provisional Kirschner wires from the radius into the lunate.Harvest bone graft from the distal radius or iliac crest and pack the graft tightly into the palmar radiolunate joint.Secure the lunate to the radius with Kirschner wires, headless screws, staples, or small blade plates. Pack the remaining bone graft into the dorsal radiolunate joint.Perform a routine closure and apply a splint.The previously described technique is taken from published data.14,278. Capitolunate ArthrodesisMake a dorsal incision from base of second metacarpal to Lister tubercle.Use the third and fourth extensor interval as described earlier.Perform an inverted “T” capsulotomy to visualize the scapholunate and capitolunate joints. Perform a limited styloidectomy (˜3mm) and excise the proximal pole of scaphoid.Stabilize distal scaphoid to capitate with a Kirschner wire. Alternatively, the entire scaphoid can be excised.Denude the capitolunate articulation.Harvest bone graft from distal radius or iliac crest and pack it into this prepared joint.Tricortical iliac crest graft allows maintenance of carpal height.Assure capitolunate alignment with a Kirschner wire as described earlier for CHLT fusion.Place a guidewire followed by headless screw into proximal ulnar corner of lunate as described earlier for CHLT fusion.Take wrist through a range of motion to be certain a mechanical block is not present. Perform a standard closure and apply a splint.The previously described technique is taken from published data.12,15P.989
PEARLS AND PITFALLS
PearlsCHLT Kirschner wire arthrodesis/headless screw arthrodesis1. For excellent visualization of the wrist capsule, incise the distal most aspect of the extensor retinaculum between the third and fourthcompartments to the level of the tubercle of Lister.22. Protect the volar radioscaphocapitate ligament when excising the scaphoid to prevent iatrogenic ulnar translation of the carpus.23. Preserve the dorsal intercarpal and radiotriquetral ligament during thecapsulotomy.2CHLT circular plate ▪ Place the screws opposite one another in the circular plate and tighten them sequentially to help prevent plate malpositioning.14CHLT circular plate and STT arthrodesis4. The bones here are extremely hard, and a high-speed burr may be needed for adequate decortication.2Lunotriquetral arthrodesis1. Leave the volar 25% of the articular surface intact during decortication to maintain proper intercarpal distances.Scapholunate2. Use Kirschner wires as joysticks and clamp the Kirschner wires together with a Kocher clamp to maintain the reduction during fixation.arthrodesisScaphocapitate arthrodesis3. Correct intercarpal alignment is between 45 and 60 degrees.Radiolunate fusion ▪ Maintaining the normal joint space distance between the radius and lunate is desired to preserve as much wrist motion as possible at the surrounding joints.Capitolunate arthrodesis4. When using iliac crest graft, fix the graft in place with a 1.1-mm Kirschner wire, then check flexion-extension, and change graft height ifrestricted.15PitfallsCHLT Kirschner wire arthrodesis/headless screw technique5. Expect less predictable pain relief and poorer recovery of motion in elderly individuals and in patients with severe wrist stiffness.26. One common mistake is not completely correcting the DISI deformity ofthe wrist before fusion.2 This will limit wrist motion postoperatively.CHLT circular plate ▪ Dorsal placement of the Kirschner wires will interfere with bone rasping and plate application.141. Optimal rasp placement does not always coincide with the central pointbetween the four bones.2. A plate that is not adequately seated will result in dorsal impingement of the plate against the distal radius.14STT arthrodesis ▪ Headless screws may cause midcarpal compression and alter joint kinematics.3. Overcorrection of an increased scapholunate angle may decrease motion postoperatively.STT arthrodesis and scaphocapitate arthrodesis7. The radial sensory and lateral antebrachial cutaneous nerves may be injured during exposure and Kirschner wire placement.Scapholunate arthrodesis1. There is an extremely high nonunion rate with this procedure, likely due to the high degree of motion between these bones and the relatively small area of contact between them.Radiolunate arthrodesis2. Inadvertent bone graft placement in the adjacent joints may be a cause of persistent wrist pain. A small osteotome can be used to block the passage of bone graft into the adjacent joints.3. Avoid Kirschner wire penetration into the carpal tunnel.Capitolunate ▪ Avoid overcompression, as this could fracture iliac crest graft and lead|arthrodesis to carpal height reduction.15|------
POSTOPERATIVE CARE
The sutures are removed from the wound in 10 to 14 days and a short-arm cast is applied.Immobilization is typically 8 to 12 weeks, but this period may be shortened if stable fixation is obtained with screws.Plain radiographs are taken at the first postoperative visit and at all subsequent visits until signs of consolidation at the fusion site are noted.At this time, the pins are removed and a functional brace is applied to support the wrist but still allow controlled range of motion of the wrist during supervised therapy.Strengthening begins about 12 to 16 weeks after surgery.
OUTCOMES



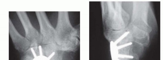
FIG 1 • Nine-year follow-up of four-corner fusion. A,B. Maximal active wrist extension and flexion. C,D. AP and lateral radiographs.Stage III SLAC arthritis can be managed with either a four-corner fusion or a proximal row carpectomy with dorsal capsular interposition.28In patients 35 years of age or younger at the time of proximal row carpectomy, subjective and objective function may decline over time, and they may eventually require a wrist fusion.28Circular plate fixation for CHLT fusion is a newer trend. Weiss et al34 reported a union rate approaching100% and high patient satisfaction.14 However, several subsequent studies have documented higher nonunion rates, higher hardware failure rates, higher pain scores, and an overall lower rate of patient satisfaction compared to other traditional methods of fixation.8,16,25,29Recently, use of a locked radiolucent polyetheretherketone (PEEK) circular plate has shown union in 92% of patients, 66% ROM and 70% grip strength compared to contralateral, and good functionaloutcomes.21Biomechanical analysis of four-corner fusion with Kirschner wires versus dorsal circular plate versus locking dorsal circular plate showed that dorsal locked plates were significantly more stable.17At an average of 67-month follow-up, patients with lunate excision and STT fusion for lunate collapse due to Kienböck disease maintained motion and pain relief, although the scaphoid had a tendency to shift toward the lunate fossa, suggesting a risk of progression to radioscaphoid arthritis if the lunate isexcised.19Scaphocapitate arthrodesis for chronic scapholunate instability in manual laborers has shown an 87 degrees arc in flexion/extension and 41 degrees arc in radioulnar deviation, with 60% of normal grip strength and maintained pain reduction with 90% return to work rate at 10-year follow-up. Incidence ofradiocarpal arthritis was 30%.22In a small series, capitolunate arthrodesis with tricortical iliac crest bone graft, proximal pole scaphoid excision, distal pole scaphocapitate fusion, and radial styloidectomy lead to 100% union rate and 70% Mayo wrist score at 4-year follow-up.15Capitolunate arthrodesis has shown a decrease of 25 degrees from preoperative and loss of 6-kg strength, allowing a pain-free and functional wrist in 8 of 11 patients reviewed at 10-year follow-up.12 Four-corner fusion with headless screw technique resulted in 94% union with average flexion-extension arc of 71 degrees, maintained carpal height, and 80% grip strength.24
COMPLICATIONS
Pin tract infections OsteomyelitisAvascular necrosis of the lunate Radiolunate arthritisReflex sympathetic dystrophy Tendon rupturesPersistent wrist pain NonunionP.991Fracture through fusion NeurapraxiaHardware failure Neuroma Pseudarthrosis
REFERENCES
- Baratz ME, Rosenwasser MP, Adams BD, et al. Scaphocapitate fusion with lunate excision. In: Baratz ME, Rosenwasser MP, Adams BD, et al, eds. Wrist Surgery: Tricks of the Trade. New York: Thieme, 2006:167-169.
- Baratz ME, Rosenwasser MP, Adams BD, et al. Scaphoid excision with capitolunate triquetohamate arthrodesis. In: Baratz ME, Rosenwasser MP, Adams BD, et al, eds. Wrist Surgery: Tricks of the Trade. New York: Thieme, 2006:133-134.
- Baratz ME, Rosenwasser MP, Adams BD, et al. Scaphotrapeziotrapezoid joint fusion. In: Baratz ME, Rosenwasser MP, Adams BD, et al, eds. Wrist Surgery: Tricks of the Trade. New York: Thieme, 2006:138-140.
- Berger RA, Bishop AT, Bettinger PC. New dorsal capsulotomy for the surgical exposure of the wrist. Ann Plast Surg 1995;35:54-59.
- Brown RE, Erdmann D. Complications of 50 consecutive limited wrist fusions by a single surgeon. Ann Plast Surg 1995;35:46-53.
- Burge PD. Scaphotrapeziotrapezoid and scaphocapitate fusions. In: Berger RA, Weiss AP, eds. Hand Surgery. Philadelphia: Lippincott Williams & Wilkins, 2004:1299-1308.
- Burgess RC. The effect of a simulated scaphoid malunion on wrist motion. J Hand Surg Am 1987;12(5 pt 1):774-776.
- Chung KC, Watt AJ, Kotsis SV. A prospective outcomes study of four-corner wrist arthrodesis using a circular limited wrist fusion plate for stage II scapholunate advanced collapse wrist deformity. Plast Reconstr Surg 2006;118:433-442.
- Cohen MS. Four-corner fusions. In: Berger RA, Weiss AP, eds. Hand Surgery. Philadelphia: Lippincott Williams & Wilkins, 2004: 1309-1318.
- Cohen MS, Kozin SH. Degenerative arthritis of the wrist: proximal row carpectomy versus scaphoid excision and four-corner arthrodesis. J Hand Surg Am 2001;26(1):94-104.
- Dacho A, Grudel J, Holle G, et al. Long-term results of midcarpal arthrodesis in the treatment of scaphoid nonunion advanced collapse (SNAC-wrist) and scapholunate advanced collapse (SLAC-wrist). Ann Plast Surg 2006;56:139-144.
- Delclaux S, Rongières M, Aprédoaei C, et al. Capitolunate arthrodesis: 12 patients followed-up an average of 10 years [in French]. Chir Main 2013;32(5):310-316.
- Düppe H, Johnell O, Lundborg G, et al. Long-term results of fracture of the scaphoid. A follow-up study of more than thirty years. J Bone Joint Surg Am 1994;76(2):249-252.
- Enna M, Hoepfner P, Weiss AP. Scaphoid excision with four-corner fusion. Hand Clin 2005;21:531-538.
- Giannikas D, Karageorgos A, Karabasi A, et al. Capitolunate arthrodesis maintaining carpal height for the treatment of SNAC wrist. J Hand Surg Eur Vol 2010;35:198-201.
- Kendall CB, Brown TR, Millon SJ, et al. Results of four-corner arthrodesis using dorsal circular plate fixation. J Hand Surg Am 2005; 30(5):903-907.
- Kraisarin J, Dennison DG, Berglund LJ, et al. Biomechanical comparison of three fixation techniques used for four-corner arthrodesis. J Hand Surg Eur Vol 2011;36:560-567.
- Larsen CF, Jacoby RA, McCabe SJ. Nonunion rates of limited carpal arthrodesis: a meta-analysis of the literature. J Hand Surg Am 1997;22(1):66-73.
- Lee JS, Park MJ, Kang HJ. Scaphotrapeziotrapezoid arthrodesis and lunate excision for advanced Kienböck disease. J Hand Surg Am 2012;37(11):2226-2232.
- Linscheid RL, Dobyns JH, Beaubout JW, et al. Traumatic instability of the wrist. Diagnosis, classification, and pathomechanics. J Bone Joint Surg Am 1972;54(8):1612-1632.
- Luegmair M, Houvet P. Effectiveness of four-corner arthrodesis with use of a locked dorsal circular plate. Clin Orthop Relat Res 2012; 470:2764-2770.
- Luegmair M, Saffar P. Scaphocapitate arthrodesis for treatment of scapholunate instability in manual workers. J Hand Surg Am 2013; 38(5):878-886.
- Mack GR, Bosse MJ, Gelberman RH, et al. The natural history of scaphoid non-union. J Bone Joint Surg Am 1984;66(4):504-509.
- Ozyurekoglu T, Turker T. Results of a method of 4-corner arthrodesis using headless compression screws. J Hand Surg Am 2012;37(3):486-492.
- Shindle MK, Burton KJ, Weiland AJ, et al. Complications of circular plate fixation for four-corner arthrodesis. J Hand Surg Eur Vol 2007; 32(1):50-53.
- Siegel JM, Ruby LK. A critical look at intercarpal arthrodesis: review of the literature. J Hand Surg Am 1996;21(4):717-723.
- Taliesnik J. Radiolunate arthrodesis. In: Blair WF, ed. Techniques in Hand Surgery. Baltimore: Williams & Wilkins, 1996:879-886.
- Tomaino MM, Miller RJ, Cole I, et al. Scapholunate advanced collapse wrist: proximal row carpectomy or limited wrist arthrodesis with scaphoid excision? J Hand Surg Am 1994;19(1):134-142.
- Vance MC, Hernandez JD, DiDonna ML, et al. Complications and outcome of four-corner arthrodesis: circular plate fixation versus traditional techniques. J Hand Surg Am 2005;30(6):1122-1127.
- Watson HK, Ashmeade D IV, Makhlouf MV. Examination of the scaphoid. J Hand Surg Am 1988;13(5):657-660.
- Watson HK, Ballet FL. The SLAC wrist: scapholunate advanced collapse pattern of degenerative arthritis. J Hand Surg Am 1984;9(3): 358-365.
- Watson HK, Weinzweig J. Intercarpal arthrodesis. In: Green DP, Hotchkiss RN, Pederson WC, eds. Green's Operative Hand Surgery, ed 4. New York: Churchill Livingstone, 1999:108-130.
- Watson HK, Weinzweig J, Zeppieri J. The natural progression of scaphoid instability. Hand Clin 1997;13:17-34.
- Weiss AP. Principles of limited wrist arthrodesis. In: Berger RA, Weiss AP, eds. Hand Surgery. Philadelphia: Lippincott Williams & Wilkins, 2004:1289-1298.
- Wyrick JD. Proximal row carpectomy and intercarpal arthrodesis for the management of wrist arthritis. J Am Acad Orthop Surg 2003; 11:277-281.