How Achilles Tendon Lengthening Fixes Equinocavovarus Foot

Key Takeaway
This article provides essential research regarding How Achilles Tendon Lengthening Fixes Equinocavovarus Foot. Pes cavus is a complex foot deformity marked by increased plantarflexion and a high arch, frequently manifesting as pes equinocavovarus with limited ankle dorsiflexion (hindfoot equinus). This condition stems from muscle imbalances, impacting foot function. For significant equinus components in such deformities, interventions like achilles tendon lengthening may be considered to restore ankle mobility and improve gait.
r
Definition
Pes cavus is characterized by increased plantarflexion of the forefoot and midfoot in relation to the hindfoot. An isolated pes cavus is rare; it is commonly accompanied by other deformities of the foot. Therefore, pes cavus should be classified in different groups: pes cavovarus, pes equinocavus, pes calcaneocavus, and pes valgocavus (FIG 1). In many cases, a combination of the first two types occurs, called the pes equinocavovarus.
FIG 1 • Cavus foot deformities.*
The equinocavovarus foot describes a mostly acquired foot deformity consisting of an increased arch of the
foot (forefoot and midfoot equinus), a limited dorsiflexion of the ankle joint (hindfoot equinus), and a hindfoot
varus. A concomitant forefoot and midfoot adductus, supinatus, or pronatus can occur, depending on the underlying pathology.
“The cavovarus foot is one of the most perplexing and challenging of all foot deformities.”2 “The literature on pes cavus is extremely confusing.”15
99
Anatomy
Equinus deformity of the ankle (limited dorsiflexion)
Hindfoot in varus position (inversion of the calcaneus, flexible or rigid) External rotation of the talus and retraction of the lateral malleolus
Medial dislocation of the navicular and the cuboid bone in the Chopart joint Cavus deformity medially (flexible or rigid)
Plantarflexed position of the first metatarsal bone (flexible or rigid) Pronation and adduction of the forefoot (flexible or rigid)
Claw toes, isolated to the hallux or involving all five toes (flexible or fixed)
Pathogenesis
“[A] story of repeated failure to comprehend the basic pathogenesis and mechanics of a deformity which remains a mystery to this day, comparable only to problems such as scoliosis.”6
There are various theories concerning the pathogenesis of pes equinocavovarus:
“There is little doubt that the condition is caused by a muscle imbalance, involving both the intrinsic and the extrinsic muscles of the foot.”15
Weakness of the anterior tibial muscle (progressive plantarflexion of the first metatarsal bone) because of relative overactivity of the long peroneal muscle; the long toe extensors try to compensate the reduced dorsiflexion force of the anterior tibial muscle. This results in an overbalance of the extrinsic extensor muscles in comparison to the intrinsic extensor muscles. The toes are hyperextended in the metatarsophalangeal joints. At the same time, the long toe flexors pull the end phalangeal bone into plantarflexion. Both mechanisms result in increased cavus (forefoot and midfoot equinus).
Weakness of the short peroneal muscle (peroneus brevis). Relative overactivity of the posterior tibial muscle forces the hindfoot into varus position. The force of the long toe flexors (increased flexion of the metatarsophalangeal joints) is antagonized by increased activity of the long peroneal muscle (peroneus longus) that also pulls the first metatarsal bone into plantarflexion. Because of its limited effects on the hindfoot, the peroneus longus cannot antagonize the overactivity of the posterior tibial muscle.
Natural History
One functionally relevant consequence of the deformity is the limited ankle dorsiflexion. Its causes can be an isolated shortened Achilles tendon, which is rare. An acquired horizontal position of the talus resulting from hindfoot supination can cause a limited dorsiflexion. The cavus deformity itself may be responsible for limited ankle dorsiflexion.
The limited ankle dorsiflexion in pes equinocavovarus may cause a genu recurvatum. Another consequence is toe
walking with excessive load transfer to the metatarsophalangeal joints and a reduced stance phase of gait.
Pronation in the subtalar joint is inhibited, potentially causing impingement between the medial malleolus and the talus, similar to the impingement in severe clubfoot deformity.
Another consequence is the medialization of the navicular, which migrates toward the medial malleolus to cause additional bony impingement. Osteophytes often develop at the talar neck.
In the case of a concomitant hindfoot equinus and subtalar joint compensation, the acquired varus stress in the subtalar joint frequently cannot be compensated by the ankle joint, leading to eventual varus talar tilt in the ankle mortise.
Patient History and Physical Findings
A characteristic description of a patient with pes equinocavovarus can be found in the book by Tubby and Jones24 for Charcot-Marie-Tooth (hereditary motor sensory neuropathy):
“The patient was a healthy-looking country-woman, aged fifty-six years, practically free from any disability from this condition. The patient stated that when about seven years old she found that her ankles, especially the right, easily ‘turned in’, and that consequently she often suffered from sprains. She was unaware that there was anything unusual about her hands. The muscles of the rest of the upper extremity and of the shoulder girdle did not appear to be in any way affected. In the lower extremity deformity was more advanced and unequally developed on either side. On the right the foot was hollowed and inverted, and also somewhat dropped. The tendon of the tibialis anticus stood out as a taut cord. The toes and ankle joint could be freely moved in all directions except that of eversion, owing to complete paralysis of the peronei muscles. In addition to pes cavus there was some equinovarus. The other muscles of the lower extremity were capable of causing powerful movements. The knee jerks could not be obtained.”
“A man, aged thirty-one years, the third child of the above patient showed a marked club-foot on both sides, and the feet were inverted and dropped, but without any contracture of tendons. The power of dorsiflexion and of eversion was completely lost. The toes were in the characteristic position.”
Dynamic Examination
Problems during stance phase of the gait cycle
Initial contact with the toes (toe walking, hindfoot equinus, limited dorsiflexion)
Hyperextension of the knee (genu recurvatum due to equinus) and proximal compensatory mechanisms Overload of the lateral border of the foot (varus deformity)
Instability in loading response of the gait cycle
Main load on the first and fifth metatarsal head, in some cases with ulceration Limited roll-off movement due to reduced dorsiflexion in midstance
Internal rotation moment due to rolling off over the lateral border of the foot and the forefoot Missing load bearing of the toe tips due to claw toe deformity
Problems during swing phase of the gait cycle
Drop foot (weak extensor muscles, primarily the anterior tibial muscle) with foot clearance problems; this is aggravated by hindfoot equinus
Compensatory mechanisms for drop foot (eg, increased knee or hip flexion, circumduction of the leg)
Equinus foot at the end of the swing phase, which leads to forefoot initial contact
Overactivity of the long toe extensors to compensate for decreased dorsiflexion force with consecutive claw toe deformity
Methods for Examining the Equinocavovarus Foot Deformity
In stance: medial view. The examiner inspects the medial aspect of the foot, evaluating for elevated heel, increased medial arch, plantarflexion of the first metatarsal bone, and claw toe deformity of the first column of the foot.
In stance: lateral view. The examiner inspects the lateral aspect of the foot, evaluating for posterior shift of the lateral malleolus, convexity of the lateral border of the foot, prominent basis of the fifth metatarsal bone, and prominent head of the talus on the lateral dorsum of the foot.
In stance: dorsal view. The examiner inspects the posterior aspect of the foot, evaluating for varus deformity of the heel, elevation of the heel, prominent lateral malleolus, pronation of the forefoot, and “hello big toe” sign (normally, the hallux cannot be seen from posterior view, but in case of forefoot adduction, it may be visible).
In stance: plantar view. The examiner inspects the plantar aspect of the foot, evaluating for convex lateral border of the foot and prominent basis of the fifth metatarsal bone, increased weight bearing of the heads of the first and fifth metatarsal bones, increased skin wheal (in severe cases, the heads of all metatarsal bones are involved), and hindfoot equinus (lack of weight bearing on the heel).
In stance: anterior view. The examiner inspects the ventral aspect of the foot, evaluating for lateral prominence of the talar head, convex lateral border of the foot, forefoot adduction, and clawing of the first through fifth toes.
Coleman block.3 With a block placed under the hindfoot and the second through fifth toes, the examiner tests the compensability of the hindfoot in fixed forefoot pronation and compensation of the plantarflexion of the first metatarsal bone.
Silfverskiöld test.20 Dorsiflexion is examined in knee flexion and knee extension. This test is important for detecting equinus deformity and differentiating between the involvement of gastrocnemius and soleus muscles.
“Trying to assess actions of individual muscles is a trap for the unwary because muscle action is so much one of synergism and unassessable motive power that it becomes impossible to apportion with any accuracy the actions
of single muscles.”6

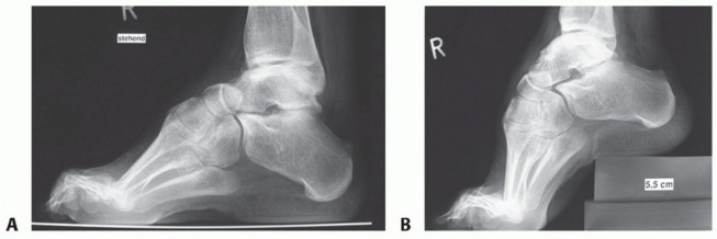
FIG 2 • Conventional radiograph. A,B. Lateral view with and without correction of the forefoot equinus. (continued)*
Problems Due to Footwear
Ulcerations over the interphalangeal (IP) joints of the toes
The foot is broad and short (problems wearing regular shoes).
Wearing out of the lateral border of the shoes or the forefoot, respectively
Further Problems Cosmetic and Fatigue
Progressive deformities
Imaging and Other Diagnostic Studies
Conventional Radiographs
Lateral view (standing) (FIG 2A) Posterior shift of the lateral malleolus
The longitudinal axis of the talus is parallel to the axis of the calcaneus.
The calcaneus seems to be shortened due to varus position.
There is decreased distance between the navicular and the medial malleolus.
The calcaneocuboid joint is visible; it is normally obscured by the talonavicular joint. The first metatarsal is plantarflexed and its head has a plantar prominence.
Claw toes
The posterior subtalar joint is projected horizontally. Opened sinus tarsi (“sinus tarsi window”)
Anteroposterior (AP) view (standing) (FIG 2B)
Longitudinal axes of the talus and calcaneus are parallel.
There is a medial shift of the talonavicular joint and, in some cases, the calcaneocuboid joint. The first metatarsal seems to be shortened due to its plantarflexed position.
There is overlapping of the metatarsal bones, especially the fourth and fifth.
AP view of the ankle joint (standing) (FIG 2C) Varus deformity of the ankle joint
Hindfoot varus
Computed Tomography with 3D Reconstruction
In severe cases, computed tomography (CT) imaging with three-dimensional (3-D) reconstruction may be needed (FIG 2D).
FIG 2 • (continued) C,D. AP view. E. AP view of the ankle joint. F-H. 3-D reconstruction of CT scans of a severe equinocavovarus foot. Mildly involved cavus foot (I) and severe equinocavovarus foot (J).*
Dynamic Pedobarography
An objective method to measure the pressure distribution pattern is the dynamic pedobarography EMED examination.
It is used to identify the imbalance of the major pressure points of the foot due to the deformity.
A mildly involved footprint is shown in comparison with the typical pattern for a severe equinocavovarus foot (FIG 2E).
3D Foot and Gait Analysis Heidelberg Foot Model
This objective and computer-assisted method records movements between single segments of the foot in all three planes (sagittal, frontal, transverse) during walking.
The foot and shank are equipped at typical anatomic landmarks with 17 reflective markers (FIG 3).16 Special cameras send and record reflected ultrared light while the patient walks over a defined distance.
After processing by dedicated software, characteristic segment movements in all three planes can be visualized.
Differential Diagnosis
Pes equinocavovarus can occur in different primary diseases: Central nervous system
Progressive diseases
Increased muscle tone (eg, multiple sclerosis) Reduced muscle tone (eg, tethered cord syndrome) Diastematomyelia, syringomyelia, intraspinal tumor
Limited diseases
Increased muscle tone (cerebral palsy, traumatic brain injuries, stroke) Reduced muscle tone (eg, spina bifida)
Lipoma, angioma Encephalitis
Peripheral nervous system Progressive diseases
Hereditary sensory motor neuropathy (Charcot-Marie-Tooth disease) Spinal muscular atrophy
Polyneuropathy
FIG 3 • Heidelberg foot motion measurement. A. Marker placement and angle calculation. B. Examples of motions in different planes for an equinocavovarus foot. C. Left, increased medial arch; middle, increased subtalar inversion; right, increased forefoot adduction.
Limited diseases Poliomyelitis
Arthrogryposis multiplex congenita
Other causes Compartment syndrome Burn injuries
Inflammatory arthritides
Diabetic neuropathy
Nonoperative Management
“Nonsurgical management of cavus, cavovarus, and calcaneocavus is uniformly unsuccessful in the long run.”22
“Nonoperative measures generally do not stop progression or prevent deformity, therefore their role is extremely limited.”17-19
Nonoperative treatment can only compensate for the functional problems in pes equinocavovarus; it cannot stop its progression.
Possible nonoperative treatment methods are as follows:
Orthopaedic arch support (reduced head of the first metatarsal bone and smooth bedding) Orthopaedic shoes
FIG 4 • Positioning in the operating room.*
Surgical Management
Preoperative Planning
“Muscle balance is the key to understanding the production of pes cavus.”12
“A foot will deform in the presence of a solid, well-performed triple arthrodesis when the foot is not in gross muscular balance … When definite muscular imbalance is evident, tendon transfer is mandatory.”10
Preoperative clinical examination, radiographs, EMED, dynamic foot analysis (instrumented foot gait analysis), and clinical examination (Silfverskiöld test20) under anesthesia represent optimal preoperative planning.
Positioning
The patient is placed supine on the operating table. We routinely drape the iliac crest into the operative field when there may be a need for iliac crest bone harvest (FIG 4).
Approach
The different approaches that we consider in equinocavovarus deformity correction are shown in FIG 5.
Dorsal incision for the modified Jones procedure4
Lateral-dorsal incision for the triple or Lambrinudi arthrodesis14 or the Cole procedure1 and the posterior tibial tendon (PTT) transfer as well as the Russel-Hibbs procedure8
Ventral incision for the PTT transfer21
FIG 5 • Approaches for foot deformity correction. (a) Dorsal incision for the modified Jones13 procedure. ( b) Lateral/dorsal incision for the triple/Lambrinudi arthrodesis14 or the Cole procedure1 and the PTT transfer as
well as the Russel-Hibbs procedure.8 ( c) Ventral incision for the PTT transfer.17,18,19 ( d) Distal medial shank incision for the open Achilles tendon lengthening, the PTT transfer, and, if needed, the intramuscular
lengthening of the long toe flexors. ( e) Skin incision for the triple/Lambrinudi arthrodesis,14 the Cole procedure,1
and the PTT transfer; incision ( d, e) can be connected if needed. ( f) Skin incision for the Steindler21 procedure.
Distal medial shank incision for the open Achilles tendon lengthening, the PTT transfer, and, if needed, the intramuscular lengthening of the long toe flexors
Skin incision for the triple or Lambrinudi arthrodesis,14 the Cole procedure,1 and the PTT transfer; this incision can be connected with the previous one (distal medial shank) if needed
Skin incision for the Steindler procedure21
Techniques
-
Overview
The first step is the Steindler procedure.21 In mildly involved cases, it is possible to correct the cavus deformity with this procedure. In most cases, however, a total correction is not possible and this procedure is followed by bony correction of the cavus component.
After the Steindler procedure, the tendon transfers are prepared (split posterior tibialis transfer,21 modified Jones procedure4).
Important: Tendon transfers and Achilles tendon lengthening are only prepared at this point; they are eventually secured with suture during the final stages of the reconstruction.
Next, we correct the clawed hallux (modified Jones procedure4).
Important: The tendon transfer of the extensor hallucis longus (EHL tendon) is sutured at the end of all procedures.
Bony correction of the midfoot and hindfoot is performed next. Depending on the severity of deformity, an arthrodesis of the Chopart joint or triple arthrodesis may be required. In cases of dorsal impingement of the talus on the tibia with limited dorsiflexion or extreme hindfoot equinus, we recommend adding a modified
Lambrinudi procedure.14
In select cases, an extra-articular correction of the cavus (Cole procedure1) and the hindfoot varus (Dwyer osteotomy5) are indicated.
To correct hindfoot equinus, an intramuscular lengthening of the calf muscles or an open or percutaneous Achilles tendon lengthening is carried out. In cases of severe equinus tested in knee flexion and extension, proximal or distal Achilles tendon lengthening (open or percutaneous) is considered. The choice of open or percutaneous lengthening depends on the surgeon's preference. A percutaneous Achilles tendon lengthening is more prone to overcorrection, whereas with an open technique, tension can be more easily controlled. In mildly involved cases, intramuscular calf muscle lengthening is done (eg, Baumann procedure).
After correction of the hindfoot and midfoot, we typically reassess the forefoot. In the case of shortened long toe flexors (masked on initial examination by the equinus deformity), an intramuscular lengthening of the long digitorum and hallucis flexor (extensor digitorum longus [EDL] and EHL) tendons can be done through the same approach used for the open Achilles tendon lengthening.
When satisfactory correction of first metatarsal plantarflexion is not possible with the modified Jones procedure alone, we routinely add a first metatarsal dorsiflexion osteotomy.11
The final step before wound closure is securing all tendon transfers. We do not routinely use bone anchors, but instead, suture tendons directly to target other tendons or soft tissues at the site of desired transfer (EHL, tibialis posterior) and the lengthened Achilles tendon slips. -
Steindler Procedure (Transection of the Plantar Aponeurosis)
Although an important step is the correction of the equinocavovarus foot deformity, our experience is that it does not afford much correction if used in isolation. In our hands, this technique represents the first step in the treatment of pes equinocavovarus. It is a simple method for correcting flexible forefoot and midfoot cavus deformity.
Make a slightly dorsal convex, 3- to 4-cm long incision at the medial border of the foot directly above the origin of the plantar aponeurosis at the calcaneus (TECH FIG 1).
TECH FIG 1 • A-D. Steindler procedure.
Carefully divide the subcutaneous tissue and retract it with Langenbeck retractors. Expose the origin of the plantar aponeurosis at the calcaneus as far proximally as possible. Sharply transect the aponeurosis as well as the origin of the short flexor digitorum muscle with the strong preparation scissors.
It is important to stay directly at the bone and to feel for the peak of the scissors at the lateral border of the foot. After the transection, use a clamp to create the lengthening effect.
2. ## Total Split Posterior Tibial Tendon Transfer (Modified SPOTT)
The purpose of the modified SPOTT21 is the augmentation of the attenuated ankle dorsiflexor muscles that are often compromised by long-standing hindfoot equinus deformity. Furthermore, it eliminates the function of the posterior tibial muscle on the hindfoot position.
Make a 3- to 4-cm incision over the insertion of the PTT at the navicular. After dividing the subcutaneous tissue, incise the flexor retinaculum and PTT sheath. Tension the tendon using an Overholt clamp and release it at its insertion point with the scalpel as distally as possible.
Make another skin incision (3 cm) at the distal medial calf, three to four fingerbreadths proximally to the ankle, directly behind the posterior edge of the tibia.
After dividing the subcutaneous tissue, incise the fascia and retract it with Langenbeck retractors. Identify and retract the tendon of the long toe flexor muscle (flexor hallucis longus [FHL] tendon). Immediately deep to the FHL tendon, identify the PTT. Expose it with an Overholt clamp and pull it out (TECH FIG 2*).
Bisect the tendon and tag both halves with atraumatic 1-0 Vicryl sutures.
Make a third skin incision 3 cm in length on the lateral side of the shank on the same height directly ventrally to the fibular bone. Beneath the subcutaneous tissue, incise and retract the fascia.
TECH FIG 2 • A-N. Total split PTT transfer. (continued)*
TECH FIG 2 • (continued)*
Perform the following preparation of the interosseous membrane with caution because of the superficial peroneal nerve. Carefully direct a narrow forceps through the interosseous membrane from the medial wound to lateral wounds.
Grab a single thread with the forceps and pull it through the medial wound. Capture the tag sutures of the two halves of the PTT in the loop. Transfer the split PTT to the lateral wound by pulling the end of the single thread.
To maintain the ability to pull back the transferred tendons, loop another single thread around the tendons.
Expose the anterior tibial tendon by making a 2- to 3-cm skin incision. When planning this incision, take into consideration the possible need for an arthrodesis of the talonavicular joint. If it is needed, the incision should be in line with the previous incision made to expose the PTT.
After dissecting the subcutaneous tissue, incise the sheath of the anterior tibial tendon and pass the forceps through its sheath to the extensor compartment, where the two halves of the PTT were transferred before.
There, grab the tagged suture of one-half and transfer it distally. For the transfer of the second half of the tendon, make an additional skin incision on the dorsal foot.
Expose the tendons of the long toe extensors (EDL) and incise their sheath. The same technique is used for the distal transfer of the other half of the PTT. Perform any other concomitant procedures now, before securing the tendon transfers.
At the end of the operation, suture the medial half of the PTT to the anterior tibial tendon and suture the lateral half to the peroneus brevis tendon, which is previously exposed.
When tensioning the tendon transfers, we routinely position the ankle in neutral and avoid not only undercorrection but also overcorrection of the foot.
After suturing the transfers, the foot should rest in the corrected position. Therefore, hindfoot equinus must be corrected before suturing the tendon transfers.
1. ## Modified Jones Procedure (Robert Jones, 1916)
The purpose of the modified Jones procedure4 is to eliminate the overactive EHL muscle and to correct the clawed hallux.
Exposure
Make an S-shaped skin incision from the proximal first metatarsal to the first IP joint.
TECH FIG 3 • A-C. Modified Jones procedure.
After careful soft tissue dissection and protection of the dorsomedial sensory nerve to the hallux, tag the EHL tendon distally with a 0 Vicryl suture.
Release the tendon as far distally as possible and perform an arthrotomy of the first IP joint (TECH FIG 3).
Hallux Interphalangeal Joint Arthrodesis
We use a rongeur to remove cartilage at the hallux IP joint (TECH FIG 4A-C*).
We then place two crossing Kirschner wires (1.4 mm for children, 1.8 mm for adults) through the distal fragment, antegrade from proximal to distal.
Using the wire driver on the distal aspect of the wires, retract the Kirschner wires from the IP joint arthrodesis site, reduce the IP joint, and advance the Kirschner wires retrograde across the IP arthrodesis site (TECH
FIG 4D-F).
Avoid excessive IP joint extension because it may lead to problems with shoe wear. Confirm proper toe rotation after placing the first wire and then advance the second wire.
We routinely use two Kirschner wires for fixation; however, the combination of one longitudinal screw and a derotational Kirschner wire is a reasonable alternative. We caution against using only a single screw because this fixation may prove rotationally unstable.
TECH FIG 4 • A-F. Modified Jones procedure.
* Extensor Hallucis Longus Tendon Transfer (with or without Dorsiflexion Osteotomy of the First Metatarsal)*
Expose the first metatarsal to the proximal third of its shaft. If the plantarflexion of the first metatarsal bone cannot be corrected by soft tissue correction alone, a dorsiflexion osteotomy of the first metatarsal must be performed. (The technique will be described in greater detail later.)
Extend the approach a few more centimeters proximally.
Perform the dorsiflexion osteotomy with an oscillating saw, removing a dorsal wedge of bone in the proximal third of the metatarsal and leaving the plantar cortex intact.
Secure it with Kirschner wires, a small dorsal plate, or a screw and tension band technique.
For the EHL tendon transfer, use a periosteal elevator to expose the bone at the first metatarsal head-neck junction.
Place two Hohmann retractors to protect the soft tissues and drill a hole centrally in the first metatarsal bone with sequentially larger diameter drill bits: first, 2.0 mm; then, 2.7 mm; followed by 3.2 mm.
Advance the tagged EHL tendon through the hole with a needle and suture it to itself with 1-0 Vicryl.
If the hallux tends to plantarflex after the tendon transfer, the distal end of the transferred EHL tendon or its suture tags may be reattached to the periosteum of the distal phalanx as a tenodesis to avoid undesirable postoperative flexion of the first toe.
2. ## Fusion of the Chopart Joint, Triple Fusion (Hoke, 1921), and Lambrinudi Fusion (Lambrinudi, 1927)
Fixed hindfoot cavus deformity may warrant talonavicular and calcaneocuboid joint (Chopart joint) arthrodesis. However, when the deformity is isolated to a fixed, plantarflexed first ray, a dorsiflexion first metatarsal osteotomy may be adequate. Likewise, global cavus of the entire forefoot may be effectively treated with a dorsiflexion midfoot osteotomy (Cole procedure).
In select cases of flexible hindfoot varus, a Dwyer lateral closing wedge calcaneal osteotomy (see in the following text) may be performed in lieu of hindfoot arthrodesis.
The lateral approach is performed with an S-shaped skin incision, beginning 2 cm distally and dorsally to the lateral malleolus, proceeding in an arch shape to the navicular, distally to the palpable talar head.
Expose the sural nerve in the proximal wound edge with its accompanying vessels and retract it.
The preparation leads to the peroneal tendon sheath and the origin of the extensor digitorum brevis (EDB) muscle at the anterior processes of the calcaneus.
With an L-shaped incision, release the EDB. Using a concave chisel, detach its origin from the anterior processes of the calcaneus bone. Expose the calcaneocuboid joint by inserting a Vierstein retractor.
Use an additional Vierstein retractor to expose the talonavicular joint.
The hindfoot arthrodesis may be performed with preservation of the subchondral bone architecture or as a corrective wedge resection. If cavus was not corrected by the Steindler procedure, a dorsally based wedge must be taken from the Chopart joint.
With extreme forefoot and midfoot adduction, the dorsal wedge resection may need to include an additional lateral-based wedge resection.
The more conservative arthrodesis that maintains subchondral bone architecture of the joints is reserved for mild to moderate deformity. Remove the cartilage and penetrate the subchondral bone with a chisel or drill to promote fusion.
If a wedge resection is required to correct the deformity, we prefer to use an oscillating saw.
After the complete release of the Chopart joint, the cavus foot can be manually corrected and the navicular centered on the talar head.
We routinely stabilize the reduced joints with Kirschner wires (two through the talonavicular joint, two through the calcaneocuboid joint). Alternatively, the fixation can be done with screws.
If a satisfactory deformity correction is not possible by Chopart arthrodesis, especially with severe hindfoot varus, the hindfoot arthrodesis must be extended to the subtalar joint to complete the triple arthrodesis
(Hoke9).
In severe deformity, a laterally based wedge can be removed from the subtalar joint. Dorsal impingement of the talus on the tibia, in cases with limited ankle dorsiflexion or extreme hindfoot equinus, may warrant a
modified Lambrinudi procedure.7,14
For both the triple arthrodesis and modified Lambrinudi procedure, the sinus tarsi is freed from all soft tissue structures (interosseous ligaments and fat). The most important structure to be dissected is the interosseous ligament between the talus and calcaneus. To expose the subtalar joint, use a lamina spreader in the subtalar joint and place a Vierstein retractor below the apex of the lateral malleolus.
Prepare the surfaces at the arthrodesis site with a concave chisel or with the oscillating saw, depending on the amount of correction needed.
A severe hindfoot varus is corrected by removing a lateral-based wedge from the subtalar joint (TECH FIG 5). If a Lambrinudi fusion is needed, a dorsally based wedge is taken out of the subtalar joint.
The determination of the osteotomy lines is important for the size of the remaining bone. The first osteotomy runs parallel to the ankle joint line and through the talar head. It should not take more than 50% of the talus head.
The osteotomy ends dorsally in the posterior edge of the subtalar joint. The second osteotomy runs parallel to the subtalar joint line and through the calcaneal bone. Both osteotomies unite in the posterior edge of the subtalar joint, forming a dorsally based wedge with its apex in the posterior aspect of the subtalar joint.
After resecting the cartilage or the bony wedge, assess the effect of correction by the reposition of the talocalcaneal and the Chopart joint. In addition to the correction of the cavus hindfoot varus components, it is very important that the foot can be repositioned in a plantigrade position.
The osteosynthesis can be done with six Kirschner wires (2.2 to 2.5 mm, two for the talonavicular joint, two for the calcaneocuboid joint, and two for the subtalar joint). Alternatively, the fixation may be performed with screws or a locking plate.
TECH FIG 5 • A-C. Chopart fusion. D-F. Triple arthrodesis. G-I. Lambrinudi arthrodesis.*
-
Cole Osteotomy
The Cole osteotomy1 is used for bony correction of cavus deformity when the talonavicular and
calcaneocuboid joints can be reduced. A dorsally based wedge is removed from the navicular -cuneiform joints and the cuboid.
We perform this procedure through a lazy S incision at the lateral midfoot. Expose the sural nerve in the subcutaneous tissue and retract it.
Make an incision between the sheath of the peroneal tendons and the EDB to expose the cuboid. Perform the osteotomies with an oscillating saw or osteotome.

- TECH FIG 6 • A-C. Cole procedure.
The distal osteotomy should be driven exactly through the cuneiforms and the cuboid; the proximal osteotomy runs through the cuboid and navicular. At least 0.5 cm of bone must be preserved between the proximal osteotomy and the talonavicular joint.
These osteotomies converge on the plantar aspect of the midfoot. Remove a dorsal-based bony wedge (TECH FIG 6).
After the resection, the osteotomy can be closed and fixed with two to four Kirschner wires (talonavicular and calcaneocuboid joint, Chopart fusion). Alternatively, screws or locking plates can be used. -
Dwyer Osteotomy
The Dwyer osteotomy5 is used for bony correction of hindfoot varus deformity, when subtalar joint fusion is not indicated, the hindfoot cannot be completely reduced, and a correction of the hindfoot varus cannot be achieved by tendon transfer alone.
Make a skin incision (about 5 cm) at the lateral border of the hindfoot above the peroneal tendons, vertical to the longitudinal axis of the calcaneus. Expose the sural nerve in the subcutaneous tissue and retract it.
Expose the neck of the calcaneus subperiosteally by two Hohmann retractors.
A laterally based bony wedge may be resected from the calcaneal neck with the oscillating bone saw if greater correction is required (TECH FIG 7).
Avoid overpenetration of the medial calcaneal cortex with the saw blade, which may injure the medial neurovascular bundle.
The osteotomy can be opened with a straight chisel. The osteotomy is then closed holding the hindfoot into slight valgus position.
Use two crossing Kirschner wires inserted from posterior for transfixion.
TECH FIG 7 • A-D. Dwyer procedure.
5. ## Soft Tissue Correction of Hindfoot Equinus (Baumann Procedure, Achilles Tendon Lengthening)
Achilles tendon lengthening is done when both calf muscles are shortened and the equinus is severe and fixed. In case of a flexible and mild equinus, intramuscular recession (Baumann technique) is done.
The approach for an open Achilles tendon lengthening is done through a 6- to 10-cm skin incision made at the medial distal calf, about 3 to 4 cm above the ankle joint, running proximally. The length of the skin incision varies with the amount of Achilles tendon lengthening needed for equinus correction.
After identifying and retracting the saphenous nerve and vein, expose the fascia and incise and divide it proximally and distally. Beneath the fascia, identify the Achilles tendon and elevate it with two Langenbeck hooks, inserted under the tendon proximally and distally.
Perform the Z-lengthening with a small scalpel over the entire tendon (TECH FIG 8A-C).
In hindfoot varus deformity, we prefer to preserve the lateral half of the tendon distally. Do not dissect the underlying muscle tissue.
Tag both tendon slips with 1-0 Vicryl sutures.
The ankle joint can now be reduced to 10 to 20 degrees of dorsiflexion, so that both tendon slips slide apart. With the ankle joint in neutral position, suture together both tendon slips with atraumatic 1-0 Vicryl suture.
For the Baumann procedure, make a 4- to 5-cm skin incision in the medial aspect of the proximal third of the calf. Expose and incise the fascia after tagging it with two sutures.
Open the interval between the gastrocnemius and the soleus muscle and insert two broad Langenbeck retractors.
Perform an intramuscular recession of the aponeurosis of the gastrocnemius, soleus, or both (TECH FIG 8D-H) based on an intraoperative Silfverskiöld test.
After recession, the ankle can be redressed. The aponeurosis will slide apart.
TECH FIG 8 • A-D. Open Achilles tendon lengthening. E-H. Baumann procedure.
6. ## Dorsiflexion First Metatarsal Osteotomy (A. H. Tubby, 1912)
The dorsiflexsion first metatarsal osteotomy (Tubby23) is one of the final steps in the surgical correction of pes equinocavovarus. It is warranted when fixed plantarflexion of the first metatarsal fails to correct with the
modified Jones procedure alone.
The approach is easily done by lengthening the incision for the Jones procedure proximally to the first metatarsal base.
Sharply incise the periosteum over the dorsal first metatarsal lengthwise approaching the first tarsometatarsal joint, protecting the soft tissues with two Hohmann retractors.
Perform the proximal limb of the osteotomy with an oscillating saw, vertical to the first metatarsal, about 0.5 cm distal to the first tarsometatarsal joint in adults and the growth plate in children. It is important to keep the plantar cortex intact to control rotation error.
TECH FIG 9 • A-D. Extension osteotomy of the first metatarsal bone.
The distal osteotomy converges with the first osteotomy at the plantar cortex, creating a dorsal wedge (TECH FIG 9A).
The width of the dorsal wedge is determined by the planned correction; in our experience, bone resection of 2 to 3 mm is appropriate.
Close the osteotomy with plantar pressure on the head of the first metatarsal (TECH FIG 9B).
We routinely secure the osteotomy with two crossing Kirschner wires (TECH FIG 9C). Alternatively, a dorsal locking plate or screw and tension band technique may be used to stabilize the osteotomy.
7. ## Russel-Hibbs Procedure (1919)
The Russell-Hibbs procedure8 corrects claw toes secondary to overactivity of the extrinsic (long extensor and flexor digitorum muscles) relative to the intrinsic muscle groups.
We use a convex lateral 4-cm incision over the fourth metatarsal. Identify and retract the superficial peroneal nerve.
Expose the EDL tendons of the second through fourth toes and tag them together proximally and distally (TECH FIG 10*) with atraumatic 1-0 Vicryl sutures.
Cut the tendons between the two sutures.
Dissect the EDB muscle carefully and expose the underlying bone.
In children, the proximal endings of the tendons can be sutured to the periosteum. The foot should come into
neutral position spontaneously after the suture.
In adults, a tendon anchor is secured to the underlying bone (intermediate cuneiform body) and the tendons are secured to the anchor. The distal part of the tagged tendons should also be sutured to periosteum or the anchor to create a distal tenodesis.
TECH FIG 10 • A-D. Russel-Hibbs procedure.*
8. ## Wound Closure
Tendon transfers and lengthened Achilles tendon are sutured with atraumatic 1-0 Vicryl. All wounds are closed in layers.
At the calf, the fascial incisions are sutured with 0 Vicryl.
If removed, the anterior processes of the calcaneus are reattached with 1-0 Vicryl. Afterward, the subcutaneous tissue is closed (2-0 Vicryl).
We routinely use a simple suture technique (and occasionally, the Allgöwer-Donati technique) for skin closure on the foot (3-0 Ethilon) and we use an intracutaneous technique for skin closure on the calf.
Pearls and Pitfalls
Order of ▪ Begin with soft tissue procedures before performing bony procedures. This may procedures decrease the extent of bony wedge resection. Sutures of soft tissue procedures are
done after the bony correction.
Joint fusion ▪ Ensure that all cartilage is removed from the resection areas to avoid nonfusion. Overcorrection ▪ Avoid overcorrection; start with small wedges and extend the resection if needed.
Wound ▪ In severe cases that demand significant correction, skin closure can be difficult. closure This should be considered before performing skin incisions. The problem often can problems be solved with S-shaped incisions.
| ---|---|---
Postoperative Care
In the operating room, we apply a short-leg cast with the ankle in neutral ankle position and the hindfoot in slight eversion.
On postoperative day 1, we routinely obtain a radiograph and change the plaster cast.
With bony procedures, weight bearing is restricted for 6 and 4 weeks for adults and children, respectively. At the subsequent follow-up, new radiographs are obtained; the Kirschner wires are removed; and a short-leg, weight-bearing plaster cast is applied for an additional 6 weeks and 4 weeks for adults and children, respectively.
In contrast, without bony procedures, the weight-bearing plaster cast is applied immediately after the operation for 6 (adults) or 4 (children) weeks.
The stitches are removed 14 days postoperatively, when we perform a routine cast change. After the removal of the final plaster cast, we advise our patients to use a brace for 6 months to a year, depending on the severity of deformity and correction required.
FIG 6 • A-I. Preoperative clinical and radiographic findings of a 16-year-old patient with tethered cord syndrome, myelolysis, and an equinocavovarus foot deformity on the right side. (continued)*
Outcomes
Scientific References
- concerning long-term outcomes after complex foot reconstruction surgery in pes equinocavovarus are rare. Controlled outcome studies, based on clinical, radiographic, and functional data (3-D foot analysis, EMED), are needed.
### Case 1
This 16-year-old patient with tethered cord syndrome and myelolysis suffered from a painful equinocavovarus foot on the right side with hindfoot varus and equinus, cavus deformity, plantarflexion of the first metatarsal, and claw toes (**FIG 6A-I**).



* **FIG 6 • (continued) J-Q. Same patient, clinical and radiographic findings 1 year after surgery.**
He was treated with a Steindler procedure, a Jones procedure, a PTT transfer, a Chopart fusion, an Achilles tendon lengthening, and a dorsiflexion first metatarsal osteotomy. The postoperative results are shown in FIG 6J-Q.
After his foot deformity correction, he is now able to work as a roof tiler without functional limitations or pain.
### Case 2
A 32-year-old man with severe equinocavovarus had his major problems combined forefoot and hindfoot equinus, hindfoot varus, a cavus component, and clawing of the toes.
After Achilles tendon lengthening, a split PTT transfer, a Steindler procedure, a Chopart fusion, a dorsiflexion first metatarsal osteotomy, and a modified Jones procedure, a plantigrade functional foot was restored.
FIG 7A,B shows preoperative findings and FIG 7C,D shows findings 1 year postoperatively.
## Complications
Infection
Vessel or nerve bundle injury Nonunion
Overcorrection (flatfoot, valgus foot, calcaneus foot)
Undercorrection Recurrence
Ulceration due to plaster casting
Pin tract infection from the Kirschner wires



* **FIG 7 • Preoperative (A,B) and postoperative (C,D) clinical and radiographic findings of a 32-year-old patient with severe equinocavovarus foot deformity bilaterally.**
## References
- 1. Cole WH. The treatment of claw-foot. J Bone Joint Surg Am 1940;22: 895-908. [View Source / PubMed]
- 2. Coleman SS. Complex Foot Deformities in Children. Philadelphia: Lea & Febiger, 1983. [View Source / PubMed]
- 3. Coleman SS, Chesnut WJ. A simple test for hind-foot flexibility in the cavo-varus foot. Clin Orthop Relat Res 1977;(123):60-62. [View Source / PubMed]
- 4. de Palma L, Colonna E, Travasi M. The modified Jones procedure for pes cavovarus with claw hallux. J Foot Ankle Surg 1997;36:279-283. [View Source / PubMed]
- 5. Dwyer FC. Osteotomy of the calcaneum for pes cavus. J Bone Joint Surg Br 1959;41(1):80-86. [View Source / PubMed]
- 6. Dwyer FC. The present status of the problem of pes cavus. Clin Orthop Relat Res 1975;(106):254-275. [View Source / PubMed]
- 7. Hall JE, Calvert PT. Lambrinudi triple arthrodesis: a review with particular reference to the technique of operation. J Pediatr Orthop 1987;7:19-24. [View Source / PubMed]
- 8. Hibbs RA. An operation for “claw foot.” JAMA 1919;73:1583-1585. [View Source / PubMed]
- 9. Hoke M. An operation for stabilizing paralytic feet. Am J Orthop Surg 1921;3:494-507. [View Source / PubMed]
- 10. Hsu JD, Hoffer MM. Posterior tibial tendon transfer anteriorly through the interosseous membrane. Clin Orthop Relat Res 1978;(131):202-204. [View Source / PubMed]
- 11. Imhäuser G. Treatment of severe concave clubfoot in neural muscular atrophy [in German]. Z Orthop Ihre Grenzgeb 1984;122:827-834. [View Source / PubMed]
- 12. Jahss MH. Evaluation of the cavus foot for orthopedic treatment. Clin Orthop Relat Res 1983;(181):52-63. [View Source / PubMed]
- 13. Jones R. An operation for paralytic calcaneo-cavus. Am J Orthop Surg 1908;4:371-376. [View Source / PubMed]
- 14. Lambrinudi C. New operation for drop foot. Br J Surg 1927;15:193. [View Source / PubMed]
- 15. Mann RA. Pes cavus. In: Mann RA, Coughlin MJ, eds. Surgery of the Foot and Ankle, vol 1, ed 6. St. Louis: Mosby, 1993:785-801. [View Source / PubMed]
- 16. Samilson RL, Dillin W. Cavus, cavovarus and calcaneocavus: an update. Clin Orthop Relat Res 1983; (177):125-132. [View Source / PubMed]
- 17. Shapiro F, Bresnan MJ. Orthopaedic management of childhood neuromuscular disease. Part I: spinal muscular atrophy. J Bone Joint Surg Am 1982;64(5):785-789. [View Source / PubMed]
- 18. Shapiro F, Bresnan MJ. Orthopaedic management of childhood neuromuscular disease: Part II: peripheral neuropathies, Friedrich's ataxia, and arthrogryposis multiplex congenita. J Bone Joint Surg Am 1982;64(6):949-953. [View Source / PubMed]
- 19. Shapiro F, Bresnan MJ. Orthopaedic management of childhood neuromuscular disease. Part III: diseases of muscle. J Bone Joint Surg Am 1982;64(7):1102-1107. [View Source / PubMed]
- 20. Simon J, Doederlein L, McIntosh AS, et al. The Heidelberg foot measurement method: development, description and assessment. Gait Posture 2006;23:411-424. [View Source / PubMed]
- 21. Steindler A. The treatment of pes cavus (hollow claw foot). Arch Surg 1921;2:325-337. [View Source / PubMed]
- 22. Thometz JG, Gould JS. Cavus deformity. In: Drennan JC, ed. The Child's Foot and Ankle. New York: Raven Press, 1992:343-353. [View Source / PubMed]
- 23. Tubby AH. Deformities Including Diseases of Bones and Joints, ed 2. London: Macmillan, 1912. [View Source / PubMed]
- 24. Tubby AH, Jones R. Modern Methods in the Surgery of the Paralysis. London: Macmillan, 1902. [View Source / PubMed]
You Might Also Like