العربية
Comprehensive Master Guide · Medically Reviewed

Restore Shoulder Function with Latissimus Dorsi Tendon Transfer

DEFINITIONS Latissimus dorsi transfer (with or without concomitant teres minor transfer) can be used in properly selected patients to improve active range of m…

2 Detailed Chapters
44 min read
Updated: Apr 2026
Dr. Mohammed Hutaif
Medically Reviewed by
Prof. Dr. Mohammed Hutaif
Verified Content Expert Reviewed

Quick Medical Answer

For anyone wondering about Restore Shoulder Function with Latissimus Dorsi Tendon Transfer, Latissimus dorsi transfer is a surgical procedure using the latissimus dorsi tendon to improve active range of motion in patients with irreparable posterosuperior rotator cuff tears. Superior transfer aims to enhance active elevation, while lateral transfer (L'Episcopo procedure) improves active external rotation, often in conjunction with reverse shoulder arthroplasty. This procedure re-educates the tendon to act as an abductor and external rotator.

Illustration of latissimus dorsi tendon - Dr. Mohammed Hutaif

Definitions

Latissimus dorsi transfer (with or without concomitant teres minor transfer) can be used in properly selected patients to improve active range of motion in the setting of irreparable posterosuperior rotator cuff tears.
Tendon transfer to the superior aspect of the humeral head (superior transfer) has been described as a technique for improving active elevation and decreasing pain in younger patients, without pseudoparalysis, fixed superior migration, or arthritic changes in the glenohumeral joint.
Tendon transfer to the lateral aspect of the proximal humerus (lateral transfer, also known as L'Episcopo procedure) has been described as a technique for improving active external rotation. Currently, it is most commonly used in the setting of reverse shoulder arthroplasty to prevent a large external rotation lag sign or hornblower's sign.
Irreparable posterosuperior rotator cuff tears are tears that involve the supraspinatus and infraspinatus tendons, where there is an inability to repair the tendons back to the anatomic footprint of the greater tuberosity with the arm at the side.
Some tears can be determined to be irreparable preoperatively, if the magnetic resonance imaging (MRI) or computed tomography (CT) scans demonstrate severe muscle atrophy of the supraspinatus or infraspinatus muscles.
This may help indicate that a patient has an irreparable tear and may be a candidate for muscle transfer, but the final determination of whether a tear is reparable is made at the time of surgery.

Anatomy

The latissimus dorsi is normally an adductor and internal rotator of the humerus; however, after transfer, it is expected to act as an abductor and external rotator of the humerus.
The ability of the patient to retrain his or her neural pathways to achieve this active in-phase function varies dramatically.
In some cases, the latissimus dorsi transfer has only a tenodesis effect.
Originating from the supraspinatus and infraspinatus fossa, respectively, the supraspinatus and infraspinatus muscletendon units become confluent and insert as a common tendon on the greater tuberosity of the humerus immediately lateral to the humeral head articular margin.
Their combined footprint area averages 4.02 cm2.
The insertion of the supraspinatus averages 1.27 cm from medial to lateral and 1.63 cm from anterior to posterior.
The infraspinatus insertion averages 1.34 cm medial to lateral and 1.64 cm anterior to posterior.8
Over the superior aspect of the glenohumeral joint, the deepest fibers of the supraspinatus and infraspinatus tendons are intimately interwoven with the joint capsule such that the rotator cuff tendons and joint capsule function as a single unit. As a result, rotator cuff tears involving the supraspinatus or infraspinatus tendons result in direct communication between the glenohumeral and subacromial spaces.
The latissimus dorsi muscle has a broad origin from the aponeurosis of spinous processes T7 through L5, the sacrum, the iliac wing, ribs 9 through 12, and the inferior border of the scapula.
The latissimus dorsi tendon averages 3.1 cm wide and 8.4 cm long at its insertion between the pectoralis major and teres major tendons on the proximal medial humerus.18
The fibers of the latissimus dorsi twist 180 degrees from origin to insertion, allowing the latissimus dorsi muscle to originate posterior to the teres major muscle on the posterior chest wall but insert immediately anterior to the teres major tendon on the proximal humerus.
The latissimus dorsi humeral insertion never extends more distal along the shaft than that of the teres major.
In most patients, the latissimus dorsi and teres major tendons insert separately onto the proximal humerus; however, 30% of patients have conjoined latissimus dorsi and teres major tendons that cannot be separated without sharp dissection.18
The neurovascular pedicle to the latissimus dorsi is the thoracodorsal artery and nerve (posterior cord, C6 and C7). The thoracodorsal artery and nerve enter the anteroinferior surface of the latissimus dorsi, about 13 cm from the humeral insertion site.
Anatomic studies have shown that this neurovascular pedicle is of adequate length to allow transfer and excursion of the latissimus dorsi to the superior or lateral proximal humerus without risk of undue tension,
once any adhesions and fibrous bands have been released from the anterior surface of the muscle belly.20 The neurovascular pedicle to the teres major is the lower subscapular nerve (posterior cord, C5 and C6). The artery and nerve enter the teres major at an average of 7.4 cm medial to the humeral insertion site.18
Several important neurovascular structures lie close to the latissimus dorsi insertion, and careful attention to these structures must be given at the time of its release from the humerus to avoid injury.
Anterior to the latissimus, the radial nerve passes an average of 2.4 cm medial to the humeral shaft at the superior border of the tendon.
This distance increases with external rotation and abduction and decreases with internal rotation and adduction3 (FIG 1A,B).

Illustration 1 for Restore Shoulder Function with Latissimus Dorsi Tendon Transfer Illustration 2 for Restore Shoulder Function with Latissimus Dorsi Tendon Transfer Illustration 3 for Restore Shoulder Function with Latissimus Dorsi Tendon Transfer FIG 1 A. Cadaveric dissection of the interval between the teres major (TMa) and latissimus dorsi (L) tendons running deep to the long head of the triceps (T) near their humeral insertion. The view is from a posterior approach to the right shoulder. Note the proximity of the radial nerve (R) lying deep to the latissimus tendon, and the axillary nerve (Ax) running with the posterior humeral circumflex artery over the superior border of the latissimus and teres major as it passes through the quadrilateral space. B. Cadaveric dissection demonstrating the insertion of the latissimus dorsi and teres major tendons viewed from an anterior exposure. The pectoralis major (PMa) tendon has been reflected laterally and the long head of the biceps (B) tendon remains in the bicipital groove. Note the more distal insertion of the teres major relative to the latissimus dorsi. P , posterior humeral circumflex vessel. C. Cadaveric dissection of the superficial muscular anatomy of the posterior shoulder. The axillary nerve and posterior humeral circumflex artery are seen exiting the quadrilateral space before entering the posterior deltoid (D). I , infraspinatus; TMi , teres minor. The axillary nerve runs superior to the latissimus dorsi tendon before exiting the quadrangular space (FIG 1C). In neutral rotation and adduction, the average distance between the nerve and the superior border of the tendon is 1.9 cm. This distance increases with external rotation and abduction and decreases with internal rotation.3 The anterior humeral circumflex artery runs along the superior border of the latissimus dorsi tendon.

Pathogenesis

Multiple causes have been proposed for the development of rotator cuff tears, including decreased vascular
supply, mechanical compression between the humeral head and the coracoacromial ligament or the undersurface of the acromion, and traumatic causes such as humeral head dislocation or rapid or repetitive
eccentric loading of the rotator cuff muscle-tendon units.5
Isolated, acute traumatic events may cause massive rotator cuff tears, the majority of which can be repaired open or arthroscopically if diagnosis and surgical intervention are timely.
Alternatively, most degenerative tendon tears start small and progressively get larger until the muscle retraction, muscle atrophy, and tendon loss prevent primary repair.
Tear size may not predict reparability at the time of surgery, but it does influence healing postoperatively, with larger tears having a lower incidence of healing.
Tissue quality and tendon retraction are the major determinants intraoperatively of whether a repair is possible. These factors also influence healing of a primary repair.
Increased size and duration of a tear lead to retraction of the rotator cuff and fatty infiltration of the muscle belly within weeks to months of developing a tear. These changes result in decreased tendon excursion and tissue compliance that is often irreversible (FIG 2).
As a result, the longer these massive tears go untreated, the higher the likelihood that the tear will be irreparable at the time of surgery, thus requiring either a superior latissimus dorsi transfer to restore overhead elevation in select patients or requiring reverse shoulder arthroplasty with possible lateral transfer of the latissimus dorsi to restore active external rotation.
Presentation of the patient with a massive irreparable cuff tear is often precipitated by a minor traumatic event such as a fall onto an outstretched hand, resulting in an acute-on-chronic tear and functional decompensation of the shoulder. Others present with a history of long-standing, worsening symptoms that finally reach a point that is no longer tolerable to the patient.

Illustration 4 for Restore Shoulder Function with Latissimus Dorsi Tendon Transfer Illustration 5 for Restore Shoulder Function with Latissimus Dorsi Tendon Transfer FIG 2 A. Coronal MRI of a massive cuff tear showing tendon retraction to the midhumeral head. B. Sagittal MRI through lateral supraspinatus and infraspinatus fossae showing fatty degeneration and muscle wasting consistent with decreased muscle compliance and increased risk of repair failure at the time of surgery. The suprascapular nerve (SN) can be seen crossing through the spinoglenoid notch. SS , supraspinatus; IS , infraspinatus; Sub scap , subscapularis.

Natural History

Massive posterosuperior rotator cuff tears are uncommon, representing less than one-third of all rotator cuff tears even in practices limited to the treatment of shoulder pathology.21
Not all patients with large posterosuperior cuff tears experience enough loss of function or pain to require surgery or even seek treatment.
It can be difficult to predict who will have significant shoulder dysfunction based on radiographic or MRI findings or direct inspection of a torn rotator cuff.
Some patients with large tears can still use their arm for many activities, and some even retain the ability to perform overhead activities.
Others with smaller tears may have significant difficulty or an inability to use their arm for anything above chest level.
Loss of active external rotation and the presence of an external rotation lag sign usually signifies larger tears that extend into the lower half of the infraspinatus down to the level of the teres minor.
Regardless of tear size, it is loss of the rotator cuff muscles' ability to perform their role as humeral head stabilizers that eventually leads to functional decompensation.
As the tear progresses in size, behavioral and biomechanical compensation will allow maintenance of function to a point. However, once the rotator cuff can no longer stabilize the humeral head to create a fulcrum around which the deltoid can act to forward flex and abduct the arm, rapid decompensation, loss of function, and increased pain ensue.

Patient History and Physical Findings

The patient history should elicit the mechanism and duration of the current symptoms with the intent of determining if there was a specific traumatic event leading to the rotator cuff tear and whether symptoms of rotator cuff pathology were present before any such event.
Determining if the tear is a result of an acute injury as opposed to an acute-on-chronic process will help in estimating the quality of the tissues and whether they will be amenable to repair at the time of surgery.
The duration of dysfunction is also important in determining the likelihood of being able to repair any rotator cuff tear because fatty degeneration of the supraspinatus and infraspinatus muscle bellies may start within weeks of the injury and will greatly decrease tissue compliance and increase tension placed on a potential
repair.13,22
A careful neurologic examination, starting with the neck, must be performed to rule out neurologic causes of shoulder symptoms.
An understanding of the patient's current functional limitations as well as expectations for postoperative function is necessary to help determine if the patient's disability is significant enough to benefit from a procedure.
A focused examination for the rotator cuff-deficient shoulder includes, but is not limited to, the following:
Active forward flexion: Patients with function at or above shoulder level are more likely to have improved active forward flexion postoperatively following superior tendon transfer.
Less than 90 degrees of active elevation or superior escape, where the humeral head translates anteriorly and superiorly out from under the coracoacromial arch in the setting of an irreparable rotator cuff tear, are both associated with a low chance of satisfactory outcome following superior latissimus dorsi transfer.
Active external rotation: Decreased external rotation on the affected side indicates partial or complete loss of infraspinatus function due to tear involvement or muscle dysfunction.
External rotation lag sign: Inability to maintain maximal external rotation (greater than or equal to a 20-degree lag sign) suggests tear extension well into the infraspinatus. The majority of these patients also lack active elevation and are not good candidates for superior tendon transfer but may be candidates for reverse shoulder arthroplasty to restore elevation with concomitant lateral tendon transfer to restore active external rotation.
Passive range of motion should be compared to the contralateral limb. Decreased range of motion suggests joint contracture, which requires treatment before consideration for muscle transfer.
Modified belly press test: Inability to perform this action demonstrates a dysfunctional or torn subscapularis tendon, and these patients will have a higher rate of clinical failure with muscle transfer.
Abduction strength testing: This tests deltoid muscle strength. A weak deltoid suggests less postoperative active range of motion secondary to inadequate strength.

Illustration 6 for Restore Shoulder Function with Latissimus Dorsi Tendon Transfer
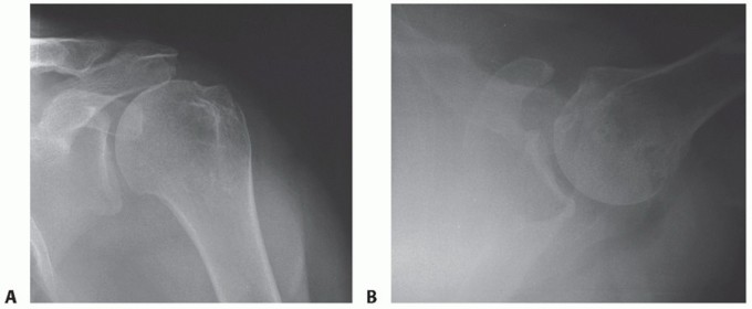
FIG 3 • Radiographic findings consistent with a good candidate for isolated superior latissimus dorsi transfer for irreparable rotator cuff tear. A. True AP radiographic view of the glenohumeral joint showing minimal superior migration of the humeral head and preservation of the joint space. B. Axillary lateral view of the glenohumeral joint demonstrating joint space preservation and the absence of osteophytes with a centered humeral head.*
External rotation strength testing: Full strength suggests no infraspinatus tear involvement, whereas weakness suggests progressive infraspinatus involvement or dysfunction.

Imaging and Other Diagnostic Studies

A true anteroposterior (AP) radiographic view of the shoulder in the plane of the scapula and axillary view is obtained (FIG 3A,B).
This allows evaluation of glenohumeral arthritis, superior migration of the humeral head, and identification of any abnormal bony anatomy (FIG 4A,B).
MRI allows evaluation of the rotator cuff, biceps tendon, and labral and capsular pathology (see FIG 2):
The size of the rotator cuff tear, especially the extent of subscapularis and infraspinatus involvement Distance of tendon retraction from the greater tuberosity
Extent of fatty degeneration seen in involved muscle bellies Electromyography is used to evaluate nerve function around the shoulder girdle.
It is necessary when nerve pathology is suspected as a cause of shoulder dysfunction.

Differential Diagnosis

Frozen shoulder Adhesive capsulitis
Massive rotator cuff tear that can be repaired Cervical nerve root compression Suprascapular nerve palsy
Deltoid dysfunction
Illustration 7 for Restore Shoulder Function with Latissimus Dorsi Tendon Transfer
FIG 4 • Radiographic findings of degenerative arthritis, suggestive of a poor surgical candidate for an isolated superior latissimus dorsi transfer. However, this patient may be a good candidate for latissimus dorsi transfer to the lateral humerus in combination with reverse shoulder arthroplasty for rotator cuff tear arthropathy associated with an external rotation lag sign. A. True AP radiographic view of the glenohumeral joint showing osteoarthritic changes, osteophyte formation, and superior migration of the humeral head. B. Axillary lateral view of the glenohumeral joint showing osteoarthritis with early posterior glenoid wear.*

Nonoperative Management

Nonoperative management is directed toward optimizing the patient's current function, managing pain, and modifying activities and expectations.
Treatment of irreparable cuff tears begins with physical therapy focused on maintaining motion and strengthening the deltoid and scapular stabilizers.
Physical therapy includes strengthening of the periscapular muscles and internal and external rotators and stretching to prevent stiffness and further loss of motion.
Cortisone injection: Forty to 80 mg triamcinolone with 5 to 10 mL 1% Xylocaine is placed in the subacromial-glenohumeral space to decrease synovitis and bursitis, improve pain, and facilitate physical therapy.
Activity and expectation modification: The physician should explain avoidance of inciting activities that increase pain and discuss realistic functional goals for patients with irreparable cuff tears.

Latissimus Dorsi and Teres Minor Tendon Transfer Indications

The treatment decisions regarding management of massive irreparable rotator cuff tears must be made in the context of the patient's current functional deficits, level of pain and its suspected cause, and physical examination findings.
What the patient should expect in terms of postoperative pain relief and functional improvement must be clearly delineated before surgery. Return of full (normal) strength,

active range of motion, and complete resolution of pain are not realistic goals for most patients with large irreparable rotator cuff tears, regardless of the surgical treatment option selected.** Parameter ** ** Better Prognosis ** ** Worse Prognosis **
Age <60 y >60 y
--- --- ---
Gender Male Female
Function Chest level or better Below chest level
Subscapularis condition Intact, functional Torn, dysfunctional
Deltoid condition Intact Detached, dysfunctional
Previous surgery No Yes
## Prognostic Factors for Superior Latissimus Dorsi Transfers
Superior tendon transfer to the humeral head for isolated irreparable posterosuperior rotator cuff tear
Only a carefully selected subset of patients with irreparable rotator cuff tears are good candidates for superior latissimus/teres tendon transfers.
Ideal patients are younger and have good deltoid and subscapularis muscle strength, limited glenohumeral arthritis, and the ability to get shoulder-level active forward flexion preoperatively.
Table 1 lists specific prognostic factors for success with superior tendon transfer.
Lateral tendon transfer to the proximal humerus (L'Episcopo technique) in association with reverse shoulder arthroplasty for combined posterosuperior rotator cuff tear and cuff tear arthropathy
Lateral tendon transfers combined with reverse shoulder arthroplasty are reserved for patients who are otherwise good candidates for reverse shoulder arthroplasty but also demonstrate preoperative external rotation lag signs and the inability to actively maintain greater than 0 degree of external rotation.
Illustration 8 for Restore Shoulder Function with Latissimus Dorsi Tendon Transfer
Illustration 9 for Restore Shoulder Function with Latissimus Dorsi Tendon Transfer
* FIG 5 • Lateral decubitus positioning of the patient with a beanbag, viewed from the back (A) and from the foot of the bed (B). Slight reverse Trendelenburg positioning of the table facilitates superior exposure of the subacromial space. C. Lateral decubitus positioning of the patient with a beanbag after draping with the arm placed in an arm holder, viewed from the head of the table.
## Open Surgical Approach for Superior Latissimus Dorsi Transfer
### Preoperative Planning
An estimate should be made of the likelihood of successful primary repair based on the degree of cuff retraction and tissue quality.
The equipment needed for both an attempted cuff repair and for muscle transfer should be available at the time of surgery.
The possibility of needing to use autograft or allograft tendon to augment the length of the latissimus dorsi transfer should be discussed with the patient and the site for autograft harvest must be draped appropriately at the time of surgery, or allograft tissue must be available.
### Positioning
The patient is placed in the lateral decubitus position and secured with a beanbag or hip positioner posts (FIG 5A).
The patient is draped to keep the affected arm free during the case and allow access to the back, the superior aspect of the shoulder, and the arm down to the elbow (FIG 5B,C).
An arm holder attached to the opposite side of the table will allow abduction, flexion, and rotation for positioning of the arm during the case.
### Approach
The surgical approach must allow wide access to the rotator cuff and to the muscle belly of the latissimus dorsi and its insertion.
Although a single-incision technique has been described,14 most authors prefer a two-incision technique—one incision for exposure and preparation of the rotator cuff and a second for dissection and release of the latissimus dorsi.4,7,11,15,16,21

Techniques

  1. Superior Approach to the Rotator Cuff


    An incision is made at the lateral edge of the acromion parallel to the acromion's lateral border (TECH FIG 1A).
    Subcutaneous flaps are raised just superficial to the deltoid fascia.
    Illustration 10 for Restore Shoulder Function with Latissimus Dorsi Tendon Transfer
    Illustration 11 for Restore Shoulder Function with Latissimus Dorsi Tendon Transfer
    Illustration 12 for Restore Shoulder Function with Latissimus Dorsi Tendon Transfer
    Illustration 13 for Restore Shoulder Function with Latissimus Dorsi Tendon Transfer TECH FIG 1 A. Location of the skin incision for exposure of the subacromial space at the lateral border of the acromion. B. View of the superior approach to the shoulder with the patient in a lateral decubitus position. A subperiosteal release of the anterior deltoid (AD) from the acromioclavicular joint to the midpoint of the lateral border of the acromion (A) ensures strong tissue for later deltoid reattachment. A stay suture is placed in the deltoid split 5 cm distal to the lateral acromial edge to prevent traction injury to the axillary nerve. PD , posterior deltoid. C. The subacromial space after complete bursectomy and débridement of the irreparable rotator cuff tear. B , biceps tendon; H , humeral head; TMi , teres minor. D. A Cobb or periosteal elevator is used to perform a capsulotomy and release of adhesions around the superior glenoid rim. Articular and subacromial-sided release of adhesions from the retracted rotator cuff
    allows full mobilization of the torn tendons for an attempted primary repair. E. The prepared greater tuberosity, lightly decorticated, with sutures in place to allow tendon fixation.
    The anterior deltoid is taken off the acromion from the acromioclavicular joint to the midpoint between the anterior and posterior borders of the acromion.
    This dissection is done in the subperiosteal plane to ensure strong fascial and periosteal tissue for later closure.

The deltoid is split distally in line with its muscle fibers at the midlateral or posterolateral corner of the acromion (depending on the amount of deltoid released), and a stay suture is placed in the deltoid about 5 cm distal to the lateral edge of the acromion to prevent propagation of the split distally, which may result in injury to the axillary nerve (TECH FIG 1B).
This exposure removes at least half and, in some cases, all of the middle deltoid origin. This extensive exposure helps in repair of the cuff as well as for transfer and repair of the latissimus dorsi tendon.
A complete bursectomy is performed, the size and pattern of the rotator cuff tear are delineated, and the leading edge of the cuff tear is débrided (TECH FIG 1C).
Inspection of the subscapularis tendon should be performed at this stage and partial detachments should be repaired.
Irreparable subscapularis tears should be considered for concomitant pectoralis major transfers.
Double muscle transfers are rarely performed and have a worse prognosis than single muscle transfers.
An acromioplasty is performed as needed.
Remove only that portion of the acromion that extends inferior to the plane of the posterior acromion.
Avoid decreasing the AP dimension of the acromion, which can increase the risk of superior escape of the humeral head.
Keep the coracoacromial ligament at its maximum length and attach to the deep surface of the deltoid.
At wound closure, place sutures in the acromial end of the coracoacromial ligament and suture this back to the anterior acromion to reconstruct the coracoacromial arch.
Reconstruction of the coracoacromial arch also helps minimize the risk of postoperative superior subluxation of the humeral head.
If degenerative changes are seen in the biceps tendon, it can be tenodesed in the bicipital groove and the intra-articular portion excised to remove it as a potential pain generator.
Complete mobilization of the retracted rotator cuff should be performed on both the intra-articular and extra-articular sides of the tendon.
This is best performed with a scalpel, Cobb or periosteal elevator, and use of electrocautery where necessary on the intra-articular side of the tendons.
Do not exceed 1.5 to 2.0 cm of medial dissection of the rotator cuff muscles within the fossa. Excessive medial dissection could injure the suprascapular nerve (TECH FIG 1D).
Débridement of remaining tissue and light decortication of the greater tuberosity with a rongeur or burr is performed to prepare the site for rotator cuff reattachment or muscle transfer.
Any portion of the cuff that is reparable to the tuberosity should be attached with no. 2 or larger nonabsorbable suture to bone.
Bone tunnels or suture anchors are placed in the lateral edge of the greater tuberosity (TECH FIG 1E).
If full mobilization of the rotator cuff will not allow solid repair of the tendon back to the greater tuberosity with the arm at the side, then the decision is made to proceed with the latissimus dorsi transfer.
If a full repair is achieved but the quality of the repair or the tissue quality is fair or poor, we still prefer to perform the latissimus transfer when the likelihood for healing of the primary repair is low and the need for postoperative strength is high and of primary importance to the patient.
2. ## Surgical Approach to the Latissimus Dorsi
A 15-cm incision is made along the posterolateral border of the latissimus dorsi, extending proximally to the posterior axillary fold (TECH FIG 2A).
The incision can be extended proximally as needed for exposure, being careful to change directions when crossing skin creases in the axilla to avoid webbing and excessive scarring in the skin of the posterior axillary crease.
Skin flaps are raised just superficial to the muscular fascia of the latissimus dorsi, and the upper and lower borders of the muscle are defined (TECH FIG 2B,C).
Identification of the inferior (lateral) border of the latissimus is the most reliable method for correctly identifying the muscle belly, as there is no large muscle inferior (lateral) to the latissimus on the posterior chest wall.
Blunt dissection is used to define and trace the tendon proximally toward its insertion on the proximal humerus (TECH FIG 2D).
Abduction and internal rotation of the arm provides the best visualization of the tendon at its insertion.18
Careful attention to neurovascular structures is critical at this stage, as the axillary and radial nerves, brachial plexus, and humeral circumflex vessels are all in proximity to the surgical field during this phase of the procedure.
Internal rotation of the arm in abduction is necessary for adequate exposure but also brings the radial nerve closer to the latissimus dorsi tendon along its anterior medial surface.3
The axillary nerve and posterior humeral circumflex artery run along the superior border of the teres major just proximal to the latissimus dorsi before exiting the quadrangular space.
The anterior humeral circumflex vessels run along the superior border of the latissimus dorsi tendon and can be a source of significant bleeding if inadvertently cut.
Dissection and release of the tendon should be carried out by working from the posterior surface of the tendon, as this keeps all important neurovascular structures anterior (deep) to the tendon.
A significant number of patients will have latissimus dorsi and teres major tendons that fuse into one tendon along their superior border where they insert on the humerus, a condition that requires sharp dissection to separate the two.
Once the humeral insertion of the latissimus dorsi has been identified, it should be released directly off the bone on the humeral shaft to ensure adequate tendon length for transfer.

Illustration 14 for Restore Shoulder Function with Latissimus Dorsi Tendon Transfer Illustration 15 for Restore Shoulder Function with Latissimus Dorsi Tendon Transfer Illustration 16 for Restore Shoulder Function with Latissimus Dorsi Tendon Transfer Illustration 17 for Restore Shoulder Function with Latissimus Dorsi Tendon Transfer Illustration 18 for Restore Shoulder Function with Latissimus Dorsi Tendon Transfer Illustration 19 for Restore Shoulder Function with Latissimus Dorsi Tendon Transfer Illustration 20 for Restore Shoulder Function with Latissimus Dorsi Tendon Transfer TECH FIG 2 A. The posterior incision for harvest of the latissimus dorsi runs along the posterolateral border of the latissimus muscle belly, extending to the posterior axillary fold. It may be extended proximally to improve exposure, crossing skin creases at an angle to avoid postoperative contracture. B. Subcutaneous flaps are raised superficial to the muscular fascia of the latissimus dorsi (L) and teres major (TMa). C. The latissimus dorsi is the most inferior muscle belly running along the posterior and lateral chest wall. D. Exposure of the tendinous insertion of the latissimus dorsi and teres major on the proximal medial humerus is facilitated by abduction and internal rotation of the arm. 3. ## Transfer and Fixation of the Latissimus Dorsi to the Humeral Head Once released from its insertion, the latissimus dorsi tendon is prepared by weaving no. 2 or larger, nonabsorbable, highstrength suture through the tendon with a locking Krackow technique along both its superior and inferior borders (TECH FIG 3A,B). These locking sutures should be placed as soon as the tendon is released to minimize extensive handling of the tendon itself, which is easily frayed because it has few crossing fibers. These sutures can now be used as traction stitches, and the latissimus is freed from any adhesions on its anterior surface. Be sure to pull the sutures in line with the long axis of the tendon. Do not pull the locking sutures in divergent directions, as it will separate the parallel fibers of the tendon. The neurovascular pedicle is identified and freed as well to prevent traction and damage to these structures during the transfer. The pedicle is located on the deep surface of the muscle about 13 cm from the musculotendinous junction. It is best seen and dissected after the tendon is released from its insertion and the muscle is flipped posteriorly, thereby exposing the undersurface of the muscle. Mobilization of the latissimus dorsi for transfer requires dissection of the deep fascial investments of the muscle from surrounding tissues into the chest wall. If this is not performed, maximum excursion of the transfer will not be achieved and the tendon will not be long enough to reach the top of the humeral head. Using sharp and scissor dissection and some blunt dissection, the plane underneath the deltoid and superficial to the rotator cuff muscles across the back of the shoulder is developed (about 4 to 6 cm wide) to connect the superior (rotator cuff exposure) and the posterior (latissimus exposure) wounds. A large Kelly clamp is passed in this plane from the superior to the posterior wounds. Attention must be paid to enlarging this plane (4 to 6 cm) to prevent binding of the latissimus muscle belly within the tunnel, compromising its excursion. Grasping the previously placed traction sutures with the large curved Kelly clamp, the surgeon then passes the latissimus dorsi deep to the deltoid and into the subacromial space with the arm in adduction and neutral rotation (TECH FIG 3C).

Illustration 21 for Restore Shoulder Function with Latissimus Dorsi Tendon Transfer Illustration 22 for Restore Shoulder Function with Latissimus Dorsi Tendon Transfer Illustration 23 for Restore Shoulder Function with Latissimus Dorsi Tendon Transfer Illustration 24 for Restore Shoulder Function with Latissimus Dorsi Tendon Transfer TECH FIG 3 • A single-strand (A) or double-strand (B) locking Krackow stitch is run along the upper and lower borders of the released latissimus tendon (L). This minimizes the risk of damage to the tendon fibers and facilitates passage of the latissimus into the subacromial space. C. Using a large Kelly clamp, the latissimus dorsi is passed deep to the deltoid over the posterior surface of the rotator cuff muscles into the subacromial space. D. Intraoperative photo showing the transferred latissimus dorsi (L) viewed from the posterior chest wall incision on the left shoulder. TMa , teres major; T , triceps. E. Cadaveric dissection showing the subdeltoid passage of the released latissimus tendon in the right shoulder. Note the proximity of the axillary nerve (Ax) to the latissimus during this stage of the procedure. D , deltoid; TMi , teres minor; IS , infraspinatus. F. The latissimus dorsi tendon (LT) is anchored to the greater tuberosity (GT) laterally and sutured to the upper border of the subscapularis (S) anteriorly and to the leading edge of the torn, retracted rotator cuff tendons medially. A , acromion.

The effectiveness of this transfer depends on achieving a tenodesis effect of the transfer, thereby creating a passive humeral head depressor effect. To accomplish this, the arm is positioned in 45 degrees of abduction and at least 30 degrees of external rotation. In this position, the transferred tendon is pulled to its maximum length over the top of the humeral head, and the traction sutures placed along the sides of the tendon are passed through the leading edge of the subscapularis tendon and tied. This step establishes the tendon transfer tension and places the tendon over the top of the humeral head (TECH FIG 3D,E). When the arm is brought to the patient's side and in internal rotation, the transfer is tensioned further, bringing the humeral head lower within the glenoid fossa. We believe that this is one of the most important steps in the surgery to achieve proper transfer function. The lateral border of the latissimus dorsi tendon is now fixed to the greater tuberosity with three no. 2 FiberWires (Arthrex, Inc., Naples, FL) passed through bone tunnels or with suture anchors (TECH FIG 3F). The medial edge of the latissimus tendon is sutured to the retracted edge of the supraspinatus and infraspinatus tendons with several nonabsorbable sutures. Although some authors believe that the latissimus tendon should be attached only to the greater tuberosity to act as an external rotator of the humerus, we believe that repair of the leading edge to the upper border of the subscapularis allows the transfer to act as a humeral head depressor (either passively by a tenodesis effect or actively if the patient can learn how to fire the muscle actively [isotonically] in phase with external rotation or forward elevation). This suturing of the latissimus to the subscapularis can be done with two heavy, nonabsorbable sutures. 1. ## Wound Closure The anterior deltoid and middle deltoid are reattached to the acromion with nonabsorbable sutures placed through bone tunnels in the acromion as well as to the intact fascia (TECH FIG 4A). Illustration 25 for Restore Shoulder Function with Latissimus Dorsi Tendon Transfer Illustration 26 for Restore Shoulder Function with Latissimus Dorsi Tendon Transfer Illustration 27 for Restore Shoulder Function with Latissimus Dorsi Tendon Transfer TECH FIG 4 A. The deltoid (D) is reattached to the anterior and lateral edges of the acromion (A) with heavy, nonabsorbable sutures placed through bone tunnels. B. Patients are placed into an abduction brace in 20 degrees abduction and neutral rotation before extubation. A drain is placed in the latissimus dorsi harvest site as needed, and both skin incisions are closed without closure of any deep fascial layers. Before emergence from general anesthesia, the patient is placed in a brace with 20 degrees of abduction and neutral rotation (TECH FIG 4B).

Anterior Approach for Lateral Transfer with Reverse Arthroplasty

Preoperative Planning

Before surgery, plain radiographs and MRI must be reviewed to rule out other sources of pathology.
The presence of Goutallier grade II fatty infiltration of the teres minor on preoperative parasagittal imaging is highly suggestive of poor external rotation function and a good candidate for lateral tendon transfer to prevent postoperative external rotation lag sign.
If reverse shoulder arthroplasty is being planned, the presence of glenohumeral osteoarthritis or rotator cuff tear arthropathy should be confirmed.

Positioning

The patient is placed in a 45-degree reclined beach-chair position, shifted over the edge of the bed on the operative side so that the affected arm can be brought into full extension.

An arm holder attached to the posterior aspect of the operating table to allow positioning and support of the arm during the case

Approach

A standard, 10-cm deltopectoral skin incision is made starting at the coracoid tip superiorly and running obliquely and distally along the medial border of the deltoid, ending approximately two fingerbreadths lateral to the axillary crease. The cephalic vein is identified and mobilized laterally with the deltoid. Deep to the deltopectoral interval, the subacromial, subcoracoid, and subdeltoid planes are developed. The presence of a chronic irreparable rotator cuff tear (and often prior surgery) results in dense adhesions in each of these planes, which are released with a combination of blunt dissection and electrocautery A Kolbel retractor is then placed with its blades in the subcoracoid and subdeltoid spaces. At the lower margin of the surgical exposure, the insertion of the pectoralis major is identified on the lateral border of the bicipital groove. The upper 2 cm of the pectoralis major is now incised along the muscle-tendon junction using electrocautery, leaving a robust tendon stump of the pectoralis major on the lateral border of the bicipital groove (see FIG 6). This pectoralis tendon stump will be used for later repair of the detached muscle belly back to the proximal humerus. If the long head of the biceps tendon is still present, it is now tenodesed to the still intact lower third of the pectoralis major muscle tendon unit using two figure-of-eight heavy, nonabsorbable sutures. Illustration 28 for Restore Shoulder Function with Latissimus Dorsi Tendon Transfer Illustration 29 for Restore Shoulder Function with Latissimus Dorsi Tendon Transfer Illustration 30 for Restore Shoulder Function with Latissimus Dorsi Tendon Transfer Illustration 31 for Restore Shoulder Function with Latissimus Dorsi Tendon Transfer FIG 6 • Cadaveric dissection, left shoulder showing partial release of the pectoralis major from the proximal humerus. The upper border of the latissimus dorsi insertion on to the proximal humeral shaft (green triangle) lies immediately deep to the pectoralis major and medial to the biceps tendon. The pectoralis major release is extended distally and the muscle is retracted inferiorly and medially until the entirety of the latissimus and teres major tendons can be visualized and sharply released from the proximal humeral shaft.

Techniques

  1. Exposure and Release of the Latissimus Dorsi Tendon

    If being performed in conjunction with a hemiarthroplasty or reverse shoulder arthroplasty for associated rotator cuff tear arthropathy, then typically the glenohumeral exposure, all glenoid work, and placement of trial humeral implants are performed prior to proceeding with harvesting of the latissimus dorsi and teres major tendons.
    However, if the shoulder is very tight, releasing the latissimus dorsi and teres major may be performed prior to exposure and preparation of the joint surfaces. This early release may improve access to the
    glenohumeral joint and glenoid exposure.
    To expose and release the latissimus dorsi tendon, the previously incised upper border of the pectoralis major tendon is retracted distally and medially.
    If needed, large-curved scissors may be placed deep to the latissimus tendon under its lower border to facilitate isolation of the tendon.
    With the arm in slight internal rotation, sharp dissection is used to release the latissimus dorsi and teres major tendons off of the proximal humerus at the medial border of the bicipital groove.
    Once released from their insertions, the tendons are prepared by weaving a no. 2 or larger, nonabsorbable, high-strength suture through the tendon with a locking Krackow technique along both its superior and inferior borders (see TECH FIG 3A,B). However, unlike the suture placement for superior latissimus dorsi tendon transfer, in which the locking sutures are run all the way out the lateral end of the tendon, suture placement for lateral transfer should end approximately 1 cm medial to the lateral end of the released tendon. This suture configuration will allow a modified double-row repair of the transferred tendon to the lateral humerus, increasing the footprint and contact area at the point of reinsertion as described in the following texts.
    These locking sutures should be placed as soon as the tendon is released to minimize extensive handling of the tendon itself, which is easily frayed because it has few crossing fibers.
    These sutures can now be used as traction stitches, and the latissimus is freed from any adhesions on its anterior surface.
    Be sure to pull the sutures in line with the long axis of the tendon.
    Do not pull the locking sutures in divergent directions, as it will separate the parallel fibers of the tendon.
    Further mobilization of the released muscle tendon unit is now achieved with a combination of careful finger dissection or use of a sponge and Cobb along the superficial and deep surfaces of the muscle tendon units while providing gentle lateral traction via the locking sutures previously placed in the tendon.
    The radial nerve lies on the superficial surface of the latissimus dorsi and teres major tendons (see FIG 1B) and should be directly visualized and protected during subsequent mobilization and transfer of the latissimus dorsi.

  2. Transfer and Fixation of the Latissimus Dorsi and Teres Major to the Lateral Humerus

    Any remaining adhesions in the low posterior subdeltoid space need to be bluntly released with a Cobb and sponge, staying close on the humeral cortex at the posterolateral head-neck junction. The axillary nerve, exiting through the quadrangular space, enters on the deep surface of the deltoid low and posterior in the subdeltoid space (see FIG 1C). Aggressive blunt or sharp dissection in this area risks injury to the axillary nerve or laceration of its accompanying anastomosing vessels off the posterior humeral circumflex artery. Completion of the tunnel around the posterior and inferior neck of the humerus for delivery of the tendon transfer is completed with the use of a large blunt curved clamp. If being performed in the setting of a shoulder arthroplasty, the humerus may be dislocated anteriorly and internally rotated to allow passage of the clamp posteriorly, exiting anteriorly under the inferior joint capsule. If the tendon transfer is being performed in isolation and the shoulder cannot be dislocated anteriorly, tunnel creation and passage of the blunt curved clamp from posterior to anterior may prove more challenging. In this setting, blunt dissection can be performed working both posteriorly through the subdeltoid space and anteriorly working close along the inferior humeral neck until the two tunnels meet. After widening of the tunnel, passage of the traction sutures in the released latissimus dorsi and teres major tendons into the subdeltoid space can be achieved either by using a large, blunt, curved clamp or a cerclage cable passer brought around the humeral neck and used to feed a shuttle suture around the posterolateral humerus, allowing the retrieval and shuttling of the traction sutures and, subsequently, the tendons for transfer. Illustration 32 for Restore Shoulder Function with Latissimus Dorsi Tendon Transfer Illustration 33 for Restore Shoulder Function with Latissimus Dorsi Tendon Transfer Illustration 34 for Restore Shoulder Function with Latissimus Dorsi Tendon Transfer Illustration 35 for Restore Shoulder Function with Latissimus Dorsi Tendon Transfer TECH FIG 5 • Illustration showing the suture fixation configuration for attachment of the latissimus and teres major tendon transfers to the lateral humeral shaft. Fixation of the transferred latissimus dorsi tendon should be achieved through transosseous bone tunnels on the posterolateral humerus at the proximal humeral metaphyseal-diaphyseal junction in order to maximize external rotation strength of the transferred muscle-tendon unit(s).9 These tunnels are created 180 degrees around the opposite of the humeral cortex from the native latissimus dorsi tendon insertion. With the arm in full internal rotation, four drill holes are placed in the posterior lateral cortex of the humerus at the location of desired tendon fixation. A second set of four drill holes, spaced a minimum of 5 mm apart, are placed immediately lateral to the bicipital groove. A suture passer is then used to bring each of the four limbs of traction sutures in the transferred tendon through the posterior cortex drill holes so that they exit anterolaterally through the four holes placed immediately posterior to the bicipital groove. Placing the arm back in neutral rotation, the paired sets of four sutures are then tied back down at the anterolateral cortex of the humerus over the bone bridges, creating four bone tunnels. The transferred tendon should now be solidly reapproximated to the posterolateral cortex of the humerus. One limb from each of these tied suture pairs is now brought back through the lateral edge of the fixed tendon and tied back to its pair to create a modified double-row repair construct (TECH FIGS 5 and 6).

Illustration 36 for Restore Shoulder Function with Latissimus Dorsi Tendon Transfer Illustration 37 for Restore Shoulder Function with Latissimus Dorsi Tendon Transfer Illustration 38 for Restore Shoulder Function with Latissimus Dorsi Tendon Transfer Illustration 39 for Restore Shoulder Function with Latissimus Dorsi Tendon Transfer TECH FIG 6 • Fixed latissimus dorsi tendon transfer on to the lateral humeral shaft (red outline). For patients in whom the transfer is being performed in conjunction with a shoulder arthroplasty, tendon transfer and fixation should be performed after humeral preparation and trialing of the humeral stem but prior to definitive humeral implant placement. Some authors have expressed concerns about damage to the sutures used for fixation of the transferred tendon when implanting a press-fit stem and therefore advocate cementing of all humeral components.2 Using a smooth surface, press-fit humeral stem (Delta X-tend, DePuy, Warsaw, IN), however, the current authors have not encountered problems with suture damage leading to compromised transfer fixation. Thus, humeral stem fixation and use of press-fit versus cement fixation is selected based on surgeon's preference. 2. ## Wound Closure and Postoperative Immobilization Following tendon transfer fixation and placement of the definitive humeral arthroplasty, passive range of motion is assessed to determine the safe arc of motion prior to stressing of the transfer. Internal rotation to 0 degree and elevation to 120 degrees with the arm in 90 degrees of external rotation is common. These documented arcs of motion will determine passive range of motion limits in the early postoperative period. The previously released upper border of the pectoralis major muscle belly is repaired back to its tendon stump on the lateral cortex of the bicipital groove using high-strength, nonabsorbable sutures. Irrigation and closure of more superficial layers is performed per surgeon preference. For the current authors, this includes several figure-of-eight sutures in the deltopectoral interval followed by deep and superficial layered closure of the dermis.

Pearls and Pitfalls

Indications and patient selection
1. Superior tendon transfers:
2. Ideal candidates: physiologically young, thin, male gender, minimal muscle wasting, shoulder level function, minimal glenohumeral arthritis
3. Poor candidates: older, obese (big heavy arm), female gender, deltoid weakness, moderate arthritis, poorly compliant patient, subscapularis involvement, more limited preoperative function (less than shoulder-level active elevation), superior humeral head escape
4. Lateral tendon transfers (L'Episcopo technique):
5. Patients with rotator cuff tear arthropathy undergoing reverse shoulder arthroplasty with an inability to maintain the arm in 0 degree of external rotation
Preoperative assessment of whether cuff can be repaired
6. Duration: Within weeks to months, rotator cuff muscle-tendon units demonstrate decreased compliance and inferior mechanical properties.
7. Cuff retraction: Retraction of torn tendons medial to the midpoint of the humeral head on MRI suggests the need for significant mobilization at the time of surgery to attempt a primary repair.
8. Muscle degeneration: MRI or CT imaging showing fatty degeneration of the rotator cuff muscle bellies suggests tendons will have limited excursion and inferior mechanical properties at the time of attempted repair.
Surgical ▪ The surgeon should internally rotate the arm to fully visualize the latissimus insertion on the humerus. Inadequate exposure limits the ability to harvest the entire length of tendon, necessitating additional tendon graft.
1. The released latissimus tendon should be handled carefully to prevent fraying.
2. Release and mobilization of the latissimus dorsi muscle belly along the chest wall
3. The surgeon should ensure that the tunnel for the latissimus rerouting is large enough to prevent constriction of the latissimus muscle belly in the subdeltoid space.
Postoperative ▪ Retraining of the latissimus to work in phase with forward flexion and external rotation of the arm

Postoperative Care

The patient is placed in a brace postoperatively for 4 to 6 weeks to prevent internal rotation.
During this time, the brace can be removed for dressing and bathing, keeping the arm in neutral rotation.
Passive forward flexion and external rotation is performed during the first 4 weeks to prevent shoulder stiffness.
At 4 weeks, bracing is discontinued and passive range of motion in all planes is performed.
At 7 to 9 weeks, active range of motion is started and physical therapy is begun, focusing on retraining the latissimus dorsi to function in elevation and external rotation of the arm.
External rotation training for isolated superior tendon transfer: A pillow is placed between the arm and chest wall holding the arm abducted 30 degrees. The patient is told to actively externally rotate the arm while adducting the arm against the pillow.
Forward elevation training for isolated superior tendon transfer: The patient squeezes a large rubber ball between the palms of the hands while raising both arms forward over the head.
Biofeedback can also be used to show the patient when he or she is actively contracting the latissimus during external rotation and forward elevation.

Outcomes of Superior Tendon Transfers for Rotator Cuff Defects

Significant improvement in pain scores postoperatively is a consistent finding (80% to 100% of patients) across outcome studies, even for patients less satisfied with their final results.10,15 Sixty-six percent to 81% of patients report satisfaction postoperatively. Patient satisfaction tends to be associated more with improved active shoulder function than pain relief.10,15 Patients with better preoperative function tend to have greater postoperative improvements in range of motion and strength compared to patients starting with greater shoulder dysfunction. Based on our experience and that reported in the literature, postoperative range of motion improves by an average of 35 to 50 degrees in forward flexion and 9 to 40 degrees of external rotation.1,10,15,22 Illustration 40 for Restore Shoulder Function with Latissimus Dorsi Tendon Transfer Illustration 41 for Restore Shoulder Function with Latissimus Dorsi Tendon Transfer FIG 7 • Postoperative active motion of the left shoulder following reverse total shoulder arthroplasty with concomitant latissimus and teres major tendon transfers in a patient with preoperative external rotation lag sign. A. Postoperative elevation demonstrating lack of a hornblower's sign. B. Postoperative external rotation on the left, nearly symmetric with contralateral sign.* Abduction strength generally shows only modest improvements with a recent systematic literature review reporting an average improvement from 1.9 kg preoperatively to 3.2 kg postoperatively, among the five studies reporting on this outcome.17 Patients undergoing latissimus transfer as the first procedure to treat their rotator cuff pathology can expect better outcomes with regard to satisfaction, pain relief, and active range of motion compared to patients undergoing latissimus transfer who have had prior failed surgery for treatment of their rotator cuff.22 Electromyographic studies show that about 40% to 50% of patients can be retrained to use in-phase latissimus dorsi contraction with active forward flexion or external rotation.10,15 Female gender and advanced age are associated with worse outcomes. Subscapularis tendon tears, teres minor fatty infiltration,6 and superior escape of the humeral head are associated with a higher failure rate. Patients with multiple negative preoperative prognostic factors should not undergo isolated latissimus muscle transfer, and other options should be considered either alone or in conjunction with a latissimus transfer. The overall complication rate for this procedure is approximately 10% with neurapraxia and rupture of the transferred tendon as the most commonly occurring adverse events.17

Outcomes of Lateral Transfers and Reverse Shoulder Arthroplasty

To our knowledge, no studies exist comparing outcomes of reverse shoulder arthroplasty in isolation to those performed in combination with latissimus dorsi/teres major tendon transfer.
Although improved active elevation and decreased pain can be achieved by isolated reverse shoulder arthroplasty, external rotation lag signs rarely improve in the absence of an associated tendon transfer.
Latissimus dorsi/teres major lateral tendon transfer to the proximal humerus resulted in significant increases in active external rotation of between 22 degrees and 34 degrees (FIG 7).2,12,19
However, the amount of improvement in active external rotation was highly variable from patient to patient.2,12,19

Failures to improve in external rotation are reported in approximately 10% of patients, presumably due to structural failure of the transfer.12

Complications

Neurapraxia
Rupture of the transferred tendon Deltoid detachment
Wound infection
Decreased active forward flexion

Scientific References

  1. 1. Aoki M, Okamura K, Fukushima S, et al. Transfer of latissimus dorsi for irreparable rotator-cuff tears. J Bone Joint Surg Br 1996;78(5):761-766. [View Source / PubMed]
  2. 2. Boileau P, Rumian AP, Zumstein MA. Reversed shoulder arthroplasty with modified L'Episcopo for combined loss of active elevation and external rotation. J Shoulder Elbow Surg 2010;19(2 suppl):20-30. [View Source / PubMed]
  3. 3. Cleeman E, Hazrati Y, Auerbach JD, et al. Latissimus dorsi transfers for massive rotator cuff tears: a cadaveric study. J Shoulder Elbow Surg 2003;12:539-543. [View Source / PubMed]
  4. 4. Codsi MJ, Hennigan S, Herzog R, et al. Latissimus dorsi tendon transfer for irreparable posterosuperior rotator cuff tears: factors affecting outcomes. J Bone Joint Surg Am 2007;89(suppl 2):1-9. [View Source / PubMed]
  5. 5. Cofield RH. Rotator cuff disease of the shoulder. J Bone Joint Surg Am 1985;67(6):974-979. [View Source / PubMed]
  6. 6. Costouros JG, Espinosa N, Schmid MR, et al. Teres minor integrity predicts outcome of latissimus dorsi tendon transfer for irreparable rotator cuff tears. J Shoulder Elbow Surg 2007;16(6):727-734. [View Source / PubMed]
  7. 7. Costouros JG, Gerber C, Warner JP. Management of irreparable rotator cuff tears: the role of tendon transfer. In: Iannotti JP, Williams GR, eds. Disorders of the Shoulder: Diagnosis and Management, ed 2. Philadelphia: Lippincott-Raven, 1999;101-146. [View Source / PubMed]
  8. 8. Dugas JR, Campbell DA, Warren RF, et al. Anatomy and dimensions of rotator cuff insertions. J Shoulder Elbow Surg 2002;11:498-503. [View Source / PubMed]
  9. 9. Favre P, Loeb MD, Helmy N, et al. Latissimus dorsi transfer to restore external rotation with reverse shoulder arthroplasty: a biomechanical study. J Shoulder Elbow Surg 2008;17(4):650-658. [View Source / PubMed]
  10. 10. Gerber C. Latissimus dorsi transfer for the treatment of irreparable tears of the rotator cuff. Clin Orthop Relat Res 1992;(275):152-160. [View Source / PubMed]
  11. 11. Gerber C, Vinh TS, Hertel R, et al. Latissimus dorsi transfer for the treatment of massive tears of the rotator cuff: a preliminary report. Clin Orthop Relat Res 1988;(232):51-60. [View Source / PubMed]
  12. 12. Gerhardt C, Lehmann L, Lichtenberg S, et al. Modified L'Episcopo tendon transfers for irreparable rotator cuff tears: 5-year follow-up. Clin Orthop Relat Res 2010;468(6):1572-1577. [View Source / PubMed]
  13. 13. Goutallier D, Postel JM, Bernageau J, et al. Fatty muscle degeneration in cuff ruptures: pre- and postoperative evaluation by CT scan. Clin Orthop Relat Res 1994;(304):78-83. [View Source / PubMed]
  14. 14. Habermeyer P, Magosch P, Rudolph T, et al. Transfer of the tendon of latissimus dorsi for the treatment of massive tears of the rotator cuff: a new single incision technique. J Bone Joint Surg Br 2006;88(2): 208-212. [View Source / PubMed]
  15. 15. Iannotti JP, Hennigan S, Herzog R, et al. Latissimus dorsi tendon transfer for irreparable posterosuperior rotator cuff tears. J Bone Joint Surg Am 2006;88(2):342-348. [View Source / PubMed]
  16. 16. Miniaci A, MacLeod M. Transfer of the latissimus dorsi muscle after failed repair of a massive tear of the rotator cuff: a two- to five-year review. J Bone Joint Surg Am 1999;81(8):1120-1127. [View Source / PubMed]
  17. 17. Namdari S, Voleti P, Baldwin K, et al. Latissimus dorsi tendon transfer for irreparable rotator cuff tears: a systematic review. J Bone Joint Surg Am 2012;94(10):891-898. [View Source / PubMed]
  18. 18. Pearle AD, Kelly BT, Voos JE, et al. Surgical techniques and anatomic study of latissimus dorsi and teres major transfers. J Bone Joint Surg Am 2006;88(7):1524-1531. [View Source / PubMed]
  19. 19. Puskas GJ, Catanzaro S, Gerber C. Clinical outcome of reverse total shoulder arthroplasty combined with latissimus dorsi transfer for the treatment of chronic combined pseudoparesis of elevation and external rotation of the shoulder. J Shoulder Elbow Surg 2014;23:49-57. [View Source / PubMed]
  20. 20. Schoierer O, Herzberg G, Berthonnaud E, et al. Anatomical basis of latissimus dorsi and teres major transfers on rotator cuff tear surgery with particular reference to the neurovascular pedicles. Surg Radiol Anat 2001;23:75-80. [View Source / PubMed]
  21. 21. Warner JJ. Management of massive irreparable rotator cuff tears: the role of tendon transfers. Instr Course Lect 2001;50:63-71. [View Source / PubMed]
  22. 22. Warner JJ, Parsons IM IV. Latissimus dorsi tendon transfer: a comparative analysis of primary and salvage reconstruction of massive, irreparable rotator cuff tears. J Shoulder Elbow Surg 2001;10:514-521. [View Source / PubMed]

Detailed Chapters & Topics

Dive deeper into specialized chapters regarding latissimus-transfer-in-the-setting-of-irreparable-posterosuperior-rotator-cuff-tears

2 Chapters
01
Chapter 1 10 min

Latissimus Dorsi Transfer: Surgical Technique & Protocol

Master the latissimus dorsi transfer for massive irreparable rotator cuff tears. Comprehensive guide covering biomechan…

02
Chapter 2 10 min

Dissection for Latissimus Dorsi and Serratus Anterior Flap Transfer

Master latissimus dorsi and serratus anterior flap dissection. This guide details vascular anatomy, step-by-step surgic…

Dr. Mohammed Hutaif
Medically Verified Content by
Prof. Dr. Mohammed Hutaif
Consultant Orthopedic & Spine Surgeon
Guide Overview