Relieve Hallux Rigidus Pain with Capsular Interpositional Arthroplasty

Key Takeaway
Learn more about Relieve Hallux Rigidus Pain with Capsular Interpositional Arthroplasty and how to manage it. Hallux rigidus is degenerative arthritis of the first metatarsophalangeal (MTP) joint, causing pain, decreased range of motion, and osteophyte formation. It stems from progressive cartilage degeneration, often due to biomechanical stress or trauma. Treatment focuses on pain relief and function restoration, with advanced cases potentially requiring surgical interventions like cheilectomy or capsular interpositional arthroplasty.
DEFINITION
Hallux rigidus refers to degenerative arthritis of the first metatarsophalangeal (MTP) joint that is characterized by pain, decreased range of motion (ROM), and proliferative osteophyte formation.
ANATOMY
The first MTP joint is composed of the dorsal joint capsule, the medial and lateral collateral ligaments, the plantar plate-sesamoid-flexor hallucis brevis (FHB) tendon complex, the first metatarsal head, and the proximal articulating end of the proximal phalanx.
Pathology is limited primarily to the first MTP joint, with prominent dorsal osteophyte on the metatarsal head.
PATHOGENESIS
The origin of progressive first MTP joint cartilage degeneration is uncertain. Most attribute hallux rigidus to biomechanical disturbance or local pathology that leads to repetitive stress on articular cartilage and subsequent deterioration of the cartilage surface.
Trauma
Inflammatory arthritides (eg, rheumatoid arthritis, gout) Primary osteoarthritis
Associated factors such as long first metatarsal, flat metatarsal head, metatarsus primus elevatus, pronated feet, or hallux valgus interphalangeus are often found in patients with arthritis of the first MTP joint.
Long first metatarsal may be correlated with development of hallux rigidus.
NATURAL HISTORY
Initially, pain is localized to the dorsal aspect of the great toe MTP joint. Loss of motion is minimal but can be seen with activities that require maximum dorsiflexion. Over time, generally several years, the degree of involvement and loss of motion increase. Eventually, in the end stage of the process, the first MTP joint will lose nearly all motion. A varus or valgus deformity is usually not associated with this process.
Pain may or may not progress as osteophytes form to stabilize the joint.
Progression of osteophytes and joint space narrowing on radiographs may or may not correlate with symptoms.
PATIENT HISTORY AND PHYSICAL FINDINGS
Typical history is swelling around the first MTP joint. Patients will complain frequently of a progressive increase in the size of the MTP joint and attribute this to a bunion-type deformity.
Occasionally, avoidance gait can result and cause an increased weight-bearing load on the lateral aspect of the foot.
Initially, a tender dorsal osteophyte will be noted with MTP joint flexion retrograde elevation and uncovering of the dorsal portion of the articulation. Pain may be associated with local dorsal cutaneous nerve irritation caused by the osteophyte.
Limited dorsiflexion with abutment of articular surfaces of the phalanx onto the metatarsal head can be seen. Periarticular osteophytes can be noted, particularly laterally.
Compensatory hyperextension of the hallucal interphalangeal joint can be seen with long-standing disease.
Axial compression of the MTP joint with pain can often differentiate the level of involvement of the degenerative process.
Pain is felt with dorsiflexion activities (wearing high-heeled shoes, running, yoga).
Progressive proliferation of osteophytes about the joint occurs and pain is felt with small toe box shoes.
Decreased dorsiflexion and plantarflexion motion of the joint is seen and pain is elicited with attempting these motions.
Physical examination includes the following:
Visualize the dorsal osteophyte to check for swelling.
For lesser toe evaluation, examine for hammer toe formation or evidence of a more systemic process: Presence of multiple hammer toe formation with hallux rigidus suggests rheumatoid arthritis.
Evaluate ROM for dorsal-based blocking of dorsiflexion.
Check axial compression by stabilizing the first metatarsal while compressing the proximal phalanx against the metatarsal head. Increasing levels of pain are associated with more complete joint involvement.
Tomassen sign: With the ankle held in neutral, dorsiflexion of the MTP joint is measured. A positive result is suggestive of a stenosing flexor hallucis longus (FHL) tenosynovitis and not a static dorsal osteophyte.
Pain at the midrange of the motion arc implies a global first MTP joint arthritis that may not be amenable to dorsal cheilectomy alone but instead is better treated with interpositional arthroplasty or arthrodesis.
IMAGING AND OTHER DIAGNOSTIC STUDIES
Standard weight-bearing anteroposterior (AP), oblique, and lateral radiographs of the foot
Grade I: small lateral spurs with joint space preservation
Grade II: metatarsal and phalangeal osteophytes with dorsal joint space narrowing and subchondral sclerosis
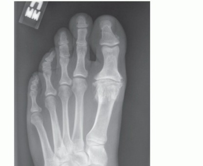
Grade III: marked osteophyte formation with loss of joint space and subchondral cyst formation (FIG 1).
Laboratory studies if serologic etiology suspected
60
FIG 1 • A. AP view of a foot with hallux rigidus with a relatively longer second metatarsal and the suggestion of second metatarsal overload with flattening of the metatarsal head. B. Lateral view of the foot demonstrating dorsal osteophytes and joint space narrowing.
DIFFERENTIAL DIAGNOSIS
Trauma
Primary osteoarthritis Degenerative arthritis Rheumatoid arthritis Seronegative arthropathy Gout
Stenosing FHL tendon8
NONOPERATIVE MANAGEMENT
Low-heeled shoes Steel shanks
Stiff Morton extension orthoses Nonsteroidal anti-inflammatory drugs Cortisone injection
Rocker sole shoe or over-the-counter rocker shoe
SURGICAL MANAGEMENT
Grade I: cheilectomy to address mild osteophyte formation, joint space intact, minimal dorsal spur formation
Grade II: cheilectomy with Moberg dorsal phalangeal osteotomy to address moderate osteophyte formation, joint space narrowing, subchondral sclerosis, bony proliferation on metatarsal head and phalanx on radiograph or significant intraoperative joint involvement
Grade III: interposition arthroplasty or fusion to address marked osteophyte formation, loss of visible joint space, extensive bony proliferation3,4
Preoperative Planning
Standing AP and lateral foot radiographs to anticipate level of intervention
Consider consent for cheilectomy, Moberg dorsal osteotomy, and interposition arthroplasty. Although arthrodesis could be considered as well, the goal of interpositional arthroplasty is to preserve motion in end-stage first MTP joint arthritis.
Patients who do well with interpositional arthroplasty typically are moderately but not extremely active athletes who wish for retention of dorsiflexion of the toe for activities of daily living such as sports or use of certain shoe wear.
Relative contraindications to interpositional arthroplasty include cases in which first MTP joint arthrodesis may be favored.
Long second metatarsal (potential risk for development of transfer metatarsalgia) (see FIG 1A) Hallux valgus
Sesamoid arthritis
First tarsometatarsal instability: inflammatory arthritides
High-demand patients (athletes, dancers) present a challenge as we believe that they should be discouraged from this procedure yet are also not ideal candidates for first MTP joint arthrodesis.5
Poor vascular status, neuropathy, and infection are absolute contraindications to this procedure.
Positioning
The patient is placed supine with a bump under the contralateral lumbar region if needed to evert the foot for better exposure.
The foot is placed at the bottom corner of the bed.
A bolster is placed under the greater trochanter of the ipsilateral hip to avoid external rotation of the operated extremity.
A mini C-arm is placed on the ipsilateral side of the bed, about 6 feet past the corner of the operating room table and at a 45-degree angle. In our experience, this positioning affords the best access to the foot and simplifies intraoperative imaging. Blankets or sheets are used to elevate the operated extremity to facilitate lateral fluoroscopic imaging unobstructed by the contralateral lower extremity.
Approach
Two approaches are commonly used: dorsal and medial.
The dorsal approach allows for easier access to the lateral osteophyte. This approach makes suturing the interposition tissue to plantar surface of the joint difficult, however.
In contrast, the medial incision allows for easier access to the plantar surface and is the approach used by the senior author (W.G.H.). The capsule is carefully protected, with particular attention given to protecting the plantar nerve (Joplin nerve) as well as the dorsal cutaneous branch.
Protect the extensor hallucis longus (EHL) tendon and the dorsal and plantar digital nerves. Identify the extensor hallucis brevis (EHB) and the joint capsule.
Ankle block anesthesia is used, plus an Esmarch ankle tourniquet with three wraps approximating 300 mm Hg, incorporating a full roll of Webril wrapped around the ankle to protect the skin overlying the Achilles tendon.
61
TECHNIQUES
-
Exposure and Capsulotomy
A longitudinal midaxial medial approach to the first MTP joint is performed (TECH FIG 1A).
The dorsomedial sensory cutaneous nerve to the hallux is identified and protected throughout the procedure.
A thin layer of adventitial tissue may be mobilized to later be closed over the interpositional arthroplasty to further support the toe.
The EHL tendon is identified (TECH FIG 1B) and the interval between the EHL and the underlying EHB is developed (TECH FIG 1C).
TECH FIG 1 • A. Midaxial incision centered over the medial first MTP joint. B. Cadaveric specimen demonstrating medial approach with the adventitial tissue over the medial joint capsule exposed and the EHL tendon and dorsomedial sensory cutaneous nerve identified. C. First MTP joint capsule being defined while elevating the EHL tendon. D,E. Dorsal capsule being reflected off the proximal phalanx.
F,G. Use of a towel clip to mobilize the proximal phalanx.
The EHL and FHL tendons are identified and must remain protected throughout the procedure, not only from being transected but also from being tethered by suture.
A longitudinal medial capsulotomy is performed to expose the arthritic joint. The capsule is reflected from the proximal phalanx (TECH FIG 1D,E).
We often use a towel clamp to carefully mobilize the base of the proximal phalanx (see TECH FIG 3F,G).
62 -
Cheilotomy and Phalangeal Osteotomy
Inspect joint and, if over 50% of joint cartilage remains, consider proceeding with cheilectomy with or
without dorsal (Moberg) closing wedge osteotomy of the phalanx.3,4
If less than 50% of joint cartilage remains, perform cheilectomy of the dorsal third of the metatarsal head.
TECH FIG 2 • A. Cadaveric specimen with exposed first MTP joint. B,C. Cadaveric specimen demonstrating 25% resection of proximal phalanx base. Excessive resection of the proximal phalanx base must be avoided to maintain joint stability. D. Measuring planned resection from base of proximal phalanx. E. Gap created after dorsal cheilectomy and proximal phalanx resection.
Subperiosteally release the dorsal capsule, the EHB tendon insertion, and the plantar plate-FHB from the proximal phalanx base (TECH FIG 2A).
Resect 25% (roughly 8 mm) of the proximal phalanx with a sagittal saw, protecting the EHL and FHL (TECH FIG 2B,C).
We recommend that no more than this is resected from the proximal phalanx to avoid potential postoperative instability of the residual first MTP joint (TECH FIG 2D,E). -
Interposition Arthroplasty
Transect EHB tendon approximately 3 cm proximal to the joint. This prevents the capsular tissue from being retracted during gait. Moreover, the EHB tendon may then be used to augment the soft tissue interposition. Mobilize the EHB into the joint space (TECH FIG 3A,B).
Suture capsular tissue to stumps of the FHB tendon with 0-0 nonabsorbable suture.
The dorsal capsule is mobilized into the joint and approximated with the FHB tendon in a balanced fashion.
Should the capsule not mobilize adequately, the dorsal cheilectomy may need to be increased. Protect the FHL tendon and the plantar nerves during suturing.
63
TECH FIG 3 • Cadaveric specimen. A. Dorsal capsule with EHB. B. EHB transected and tendon-capsule complex mobilized into joint. C. Capsule sutured to plantar plate. D. Toe taken through ROM.
Typically, there remains a thin layer of adventitial tissue that is superficial to the capsule that can be carefully approximated to further support the toe.
Evaluate balance and motion of the toe. Dorsiflexion should be uninhibited throughout the motion arc (TECH FIG 3C,D).
Although originally described, we rarely use a K-wire to support the reconstruction.
In our experience, the EHL tendon needs to be lengthened in less than 5% of these surgeries, or almost never. However, when necessary, we prefer to perform the lengthening through a horizontal Z pattern.
The capsule is cut proximally such that it can be rotated down over the top of the metatarsal head. The capsule is mobilized and secured with 2-0 nonabsorbable suture. Repair is done via 2-0 or 3-0 Vicryl.
PEARLS AND PITFALLS
Insufficient capsular tissue
1. Allograft (gracilis or hamstring) or autograft (plantaris1 or hamstring) may be used for insufficient capsule. These can be placed into a cavity prepared by use
of MTP joint fusion reamers2 or a burr1 instead of proximal phalanx resection.
Push-off weakness
2. Perform oblique osteotomy of the proximal phalanx to decompress the MTP joint but leave the FHB-sesamoid complex attachment intact.10
Floppy toe ▪ Take care not to resect too much proximal phalanx.
1. Place a K-wire at resection site, confirm with fluoroscopy, and cut along the wire.
Toe sits in dorsiflexion
1. Lengthen the EHL if the toe sits in an extended position after reconstruction.
2. Consider pinning with 0.062-inch K-wire for 3 weeks.
Anatomic considerations
1. Avoid tethering the FHL tendon with the permanent sutures.
2. Avoid injury to the plantar or dorsomedial digital nerves.
Relative lengths of the first and second metatarsals
1. A long second metatarsal may be subject to transfer metatarsalgia with a capsular interpositional arthroplasty. We view a long second metatarsal as a relative contraindication to first MTP joint interpositional arthroplasty. Consider second metatarsal shortening osteotomy for patients with long second metatarsal to prevent transfer metatarsalgia.
Achieving optimal soft tissue balancing of the first MTP Joint
2. Balance the capsule when attaching it to the plantar plate. Then balance the toe relative to the first metatarsal by reapproximating the residual adventitial tissue. Although originally described, pinning should not be necessary.
Suture placement
1. Use of a Hintermann retractor or lamina spreader with a K-wire hole attachment allows for excellent distraction of the joint to facilitate suture placement.
POSTOPERATIVE CARE
64
Weight bearing as tolerated in postoperative shoe for 4 to 6 weeks. Begin gentle passive ROM at home. Sutures are removed in 10 to 14 days.
If a pin is used temporarily, it is removed at 3 to 4 weeks.
Patients should be made aware before surgery that they will have a “floppy” toe for several months until the
joint tissues and tendons stabilize with time.
OUTCOMES
Between 73% and 94% of patients report good to excellent results.1,2,5,6,7,9,10
In our experience, transfer metatarsalgia develops to some degree in 30% of patients.5 These patients can be successfully managed with orthoses, lesser metatarsal shortening osteotomy, or lesser metatarsal plantar condylectomy.
COMPLICATIONS
Transfer metatarsalgia, particularly with a long second metatarsal Resecting too little bone, leading to impingement and pain
Cock-up deformity Hallux valgus or varus Floppy toe or stiffness
Weakness of push-off with the first toe Injury to the dorsal and plantar digital nerves
Tethering of the FHL tendon by the capsular sutures
Floating great toe (rare and observed when EHL contracture is present and EHL is not lengthened)
Scientific References
- 1. Barca F. Tendon arthroplasty of the first metatarsophalangeal joint in hallux rigidus: preliminary communication. Foot Ankle Int 1997;18:222-228. [View Source / PubMed]
- 2. Coughlin MJ, Shurnas PJ. Soft-tissue arthroplasty for hallux rigidus. Foot Ankle Int 2003;24:661-672. [View Source / PubMed]
- 3. Coughlin MJ, Shurnas PS. Hallux rigidus: demographics, etiology, and radiographic assessment. Foot Ankle Int 2003;24:731-743. [View Source / PubMed]
- 4. Coughlin MJ, Shurnas PS. Hallux rigidus: grading and long-term results of operative treatment. J Bone Joint Surg Am 2003;85A:2072-2088. [View Source / PubMed]
- 5. Hamilton WG, Hubbard CE. Hallux rigidus: excisional arthroplasty. Foot Ankle Clin 2000;5:663-671. [View Source / PubMed]
- 6. Hamilton WG, O'Malley MJ, Thompson FM, et al. Capsular interposition arthroplasty for severe hallux rigidus. Foot Ankle Int 1997;18:68-70. [View Source / PubMed]
- 7. Kennedy JG, Chow FY, Dines J, et al. Outcomes after interposition arthroplasty for treatment of hallux rigidus. Clin Orthop Rel Res 2006;445:210-215. [View Source / PubMed]
- 8. Kirane YM, Michelson JD, Sharkey NA. Contribution of the flexor hallucis longus to loading of the first metatarsal and first metatarsophalangeal joint. Foot Ankle Int 2008;29:367-377. [View Source / PubMed]
- 9. Lau JTC, Daniels TR. Outcomes following cheilectomy and interpositional arthroplasty in hallux rigidus. Foot Ankle Int 2001;22:462-470. [View Source / PubMed]
- 10. Mroczek KJ, Miller SD. The modified oblique Keller procedure: a technique for dorsal approach interposition arthroplasty sparing the flexor tendons. Foot Ankle Int 2003;24:521-522. [View Source / PubMed]
You Might Also Like