FRCS: Trauma

Key Takeaway
Prepare for the FRCS (Tr & Orth) Part 1 with these FRCS: Trauma questions. Each question includes a detailed clinical rationale, surgical anatomy correlations, and evidence-based explanations to help surgical trainees master the board exam requirements.
Progress: 0/27
Question 4
A previously healthy 41-year-old man suffers a minimally displaced distal radius fracture and is treated in a cast for 4 weeks. He presents 14 weeks later with dorsal wrist pain. What is the most likely diagnosis?
Explanation:
Rupture of the extensor pollicis longus (EPL) tendon. EPL rupture is seen more commonly with undisplaced distal radial fractures, rather than displaced ones. It is thought that this is due to either a mechanical attrition of the tendon or a local area of ischaemia in the tendon. Repair is not usually possible and treatment is with tendon transfer (EIP to EPL).
Question 5
Which of the following inflammatory mediators has been most closely associated with the magnitude of the inflammatory response to blunt trauma and with the development of multiple organ dysfunction syndrome (MODS)?
Explanation:
Interleukin-6 (IL-6). Multiple cytokines have been measured in serum. Elevated levels of IL-6 have been associated with the development of MODS.
Question 6
Which of the following is true regarding scapholunate dissociation? dissociation.
Explanation:
The cortical ring sign is produced by cortex of distal pole of palmar flexed scaphoid. A scapholunate distance of more than 2–3 mm as compared to the opposite side is suggestive of scapholunate dissociation. Although Madonna, who is famous for her singing, has a gap between her teeth, it is of course the actor, Terry Thomas, who has given his name to this eponymous sign. On the lateral view, an angle >60–70 suggests scapholunate dissociation.
Question 7
With reference to injuries around the elbow, which of the following statements is false? stabilizer of the elbow to valgus stress. colloquially as ‘the terrible triad’. stabilizer of the elbow to valgus stress.
Explanation:
The posterior, transverse portion of medial collateral ligament is the primary stabilizer of the elbow to valgus stress. Coronoid fractures are classified as follows: Type I – tip/shear/avulsion; Type II – less than 50% height; Type III – more than 50% height. Based on cadaveric studies, the anterior portion of the medial collateral ligament is the primary stabilizer of the elbow to valgus stress with minimal contribution from the posterior ligament.
Question 8
‘Functional bracing’ for a humeral diaphyseal fracture relies upon which type of bone healing?
Explanation:
Enchondral ossification. Primary healing (also known as Haversian remodelling) is a direct healing process at the cortex requiring anatomical reduction and rigid stability. Secondary bone healing involves responses in the periosteum and external soft tissues. There are two types; enchondral healing which occurs with non-rigid fixation (such as fracture braces, external fixation, bridge plating, intramedullary nailing); and intramembranous healing which occurs with semi-rigid fixation (such as locked plating in a non-absolute stability construct).
Question 9
An 86-year-old man falls and sustains a minimally displaced proximal humerus fracture. What is the best way to manage him? 199
Explanation:
Physiotherapy and passive range of motion, 10 days following the injury. Immediate physiotherapy and prolonged immobilization are not appropriate in this situation. Although surgical management is an option, a good result can be achieved with non-operative treatment, if the physiotherapy is started within 2 weeks. 212
Question 10
When considering spinal fractures, which of the following is true? termination of spinal shock.
Explanation:
In a thoracic cord injury, the return of the bulbocavernosus reflex signals the termination of spinal shock. The AO classification of spinal fractures is: Type A – compression and burst injuries Type B – flexion-distraction injuries Type C – fracture-dislocation When testing myotomes, finger abduction is under the control of the T1 nerve root: C5 – shoulder abduction/elbow flexion C6 – wrist extension/supination C7 – elbow extension/wrist flexion/pronation C8 – finger flexion T1 – finger abduction A Chance fracture is a flexion-distraction injury, which involves two or three columns (anterior may be preserved).
Question 11
A 30-year-old woman is involved in a road traffic accident and is found to have a pelvic symphysis separation of 4 cm and a sacral fracture. She undergoes a normal secondary survey and is haemodynamically stable. Definitive fixation should involve which of the following?
Explanation:
Internal fixation of the symphysis pubis and internal fixation of the sacrum. Pelvic ring injuries must be assessed for stability, according to the pattern of injury. Classification is either by Tile: A – stable B – partially stable (rotationally unstable, vertically stable) C – unstable (rotationally unstable, vertically unstable) or by Young–Burgess: Anteroposterior (AP) compression Lateral compression Vertical shear Combined This injury described is unstable and requires both anterior and posterior fixation.
Question 12
When predicting the outcome after distal radius fractures, which of the following is false? fractures. fractures. important factor. displaced fractures.
Explanation:
In the prediction of malunion, the presence or absence of comminution is not an important factor. Important factors in predicting early and late instability and radiographic outcome after distal radial fractures include patient age, metaphyseal comminution of the fracture and ulnar variance. Dorsal angulation has not been shown to be significant in the prediction of radiographic outcome for displaced fractures.
Question 13
When considering traumatic scapulothoracic dissociation, which of the following is false?
Explanation:
10% occur in motorcyclists. Traumatic scapulothoracic dissociation is a high-energy injury, with associated injury to the brachial plexus and subclavian artery. The mechanism of injury is probably traction caused by a blunt force to the shoulder girdle, commonly seen in motorcyclists (up to 60%). The presence of a complete brachial plexus avulsion is predictive of a poor functional outcome in a patient with scapulothoracic dissociation. Treatment may include vascular repair, plexus exploration and fixation of the commonly associated clavicle fracture to instil stability. 213
Question 14
An 11-year-old girl sustains a closed femoral shaft fracture, which is then treated with an anterograde intramedullary nail via a piriformis fossa entry point. In follow-up, she is noted to have collapse of the femoral head. This is most likely due to? 200
Explanation:
Injury to the lateral ascending vessels of the femoral neck. Avascular necrosis and collapse of the femoral head following intramedullary nailing of the femur may be seen if a piriformis fossa entry point is used; this is due to injury to the lateral ascending cervical artery, which supplies the epiphysis. Therefore, a piriformis fossa entry point is contraindicated in patients with open physes.
Question 15
Concerning intramembranous ossification, which of the following is true?
Explanation:
It is responsible for bone formation in distraction osteogenesis. Intramembranous ossification describes ossification which occurs without a cartilage model, in comparison to enchondral ossification. Examples of this process include embryonic flat bone formation (e.g. skull, maxilla, mandible, pelvis, clavicle, subperiosteal surface of long bone), distraction osteogenesis bone formation, blastema bone (occurs in children with amputations) and fracture healing with rigid fixation (compression plate). Hurler’s syndrome is a mucopolysaccharidoses (lysosomal storage disease) and intramembranous ossification in not affected. Cleidocranial dysplasia, however, does involve defective intramembranous ossification.
Question 16
In relation to fractures of the intercondylar eminence of the tibia, which of the following statements is true? fragment.
Explanation:
The highest incidence is seen between the ages 8 and 13. The flexion is usually caused by muscle spasm and haemarthrosis. In type III fractures, the bone fragment may block full extension. The injury is most likely visualized on the lateral radiograph. Aspiration of a tense haemarthrosis is advised. In a type II fracture, bony union is possible without reduction manoeuvres.
Question 17
What effect would doubling the diameter of a solid intramedullary nail have on its torsional rigidity?
Explanation:
Increase by 16-fold. Both the torsional rigidity and bending rigidity of a solid nail are proportional to the radius to the fourth power. Hence doubling the diameter (and therefore radius) would increase both these properties 16-fold.
Question 18
Which indication would be considered the best reason for the use of a locking plate in the treatment of a diaphyseal radial fracture?
Explanation:
Marked osteopaenia. The use of locking plates is on the rise. They rely on different mechanical principles compared to conventional plates. Useful indications include osteoporotic bone, bridging severely comminuted fractures, plating of fractures where anatomical constraints prevent plating on the tension side of the bone, and the use of the plate for indirect fracture reduction.
Question 19
Which of the following patients would you expect to fare better with operative management of a displaced calcaneal fracture?
Explanation:
Young woman, injured hill-running. In general, outcome following operative management of calcaneal fractures relies on the number of intra-articular fragments and the quality of articular reduction. A number of factors have been shown to be associated with a poor outcome and they include age >50, obesity, manual labourers, work insurance cases, smokers, bilateral fractures and vascular disease. In addition, men appear to do worse with surgery than women.
Question 20
A 31-year-old woman has fracture-dislocation at C5–C6. A clavicle fracture is noted on an otherwise normal chest X-ray. Her pulse is 45, blood pressure is 83/40 mmHg and respiratory rate is 28. An abdominal ultrasound is negative. What type of shock is most likely in this patient? 201
Explanation:
Neurogenic. The scenario is explained by a loss of sympathetic outflow, often seen with cervical cord injury. This gives vasodilatation and decreased venous return with clinical shock. The expected tachycardia fails to manifest due to unopposed vagal tone, which produces a bradycardia.
Question 21
Which complication below is most likely following open reduction and fixation of a Lisfranc injury?
Explanation:
Arthritis. Post-traumatic arthritis is the most common complication following Lisfranc injuries. The major determinant of a good result is anatomical reduction. Patients with purely 214 ligamentous injury tend to have outcomes, even with anatomical reduction and screw fixation.
Question 22
With reference to the management of open fractures, which of the following is true? pressure and the systolic blood pressure is a reasonable threshold for decompression. the largest and most reliable for distally based fascio-cutaneous flaps. primary amputation.
Explanation:
It is the 10 cm perforator from the posterior tibial artery, medially which is usually the largest and most reliable for distally based fascio-cutaneous flaps. Current management of open fractures has evolved and the involvement of specialist centres is recommended. All wounds do not require immediate exploration. Indications for urgent surgery include gross contamination of the wound, compartment syndrome, a devascularized limb and a multiply injured patient. Otherwise initial surgery (bony and soft tissue) should be performed by senior plastic and orthopaedic surgeons working together on scheduled trauma operating lists within normal working hours and within 24 hours of the injury (unless there is marine, agricultural or sewage contamination).
Question 23
Which of the following is true of sternoclavicular dislocations? posterior stability. clavicle above the contralateral clavicle. displacement of the medial clavicle.
Explanation:
On a serendipity view radiograph, an anterior dislocation would show the affected clavicle above the contralateral clavicle. Sternoclavicular dislocations are rare injuries and may be missed if not appropriately imaged. They should not be confused with medial clavicle physeal injuries (this physis fused at around 20–25 years of age). Anterior sternoclavicular dislocations are more common than posterior, and a serendipity view radiograph (beam at 40 cephalic tilt) may help distinguish; in an anterior dislocation, the affected clavicle is above contralateral clavicle, and it is below in a posterior dislocation. The sternoclavicular joint is a diarthrodial saddle joint, with several important ligaments. The posterior capsular ligament is the most important structure for anterior-posterior stability. The anterior sternoclavicular ligament is the primary restraint to superior displacement of medial clavicle. The costoclavicular (rhomboid) ligament has an anterior fasciculus which resists superior rotation and lateral displacement, and a posterior fasciculus which resists inferior rotation and medial displacement. An intra-articular disk ligament prevents medial displacement of clavicle and is a secondary restraint to superior clavicle displacement.
Question 24
A 6-year-old has a posteriorly displaced supracondylar fracture, with absent pulses, but a warm, pink hand. What is the optimal management?
Explanation:
Closed reduction in theatre, with reassessment of the vascularity. This is a common scenario, and does not always imply a significant arterial injury. It is not appropriate to perform reduction in the emergency department. Instead, a closed reduction, with or without percutaneous K-wiring, should be performed and the vascularity reassessed. Urgent brachial angiography would delay treatment, and primary vascular exploration should not be performed. There is debate as to how urgent reduction should be performed in this scenario; a cold pulseless hand requires urgent treatment.
Question 25
Which of the following is not true regarding the anterior ilioinguinal approach to the pelvis? pubic ramus. hernia. 202 sacroiliac joint, entire anterior column and pubic symphysis.
Explanation:
Inadequate closure of the floor of the inguinal canal may lead to an indirect inguinal hernia. The anterior ilioinguinal approach allows exposure to the inner surface of the pelvis from the sacroiliac joint to the pubic symphysis, including the anterior and medial surface of acetabulum (and hence anterior column). Three windows are described: lateral (first), middle (second) and medial (third), each allowing exposure of different areas. The corona mortis is a retropubic vascular communication between either the external iliac (or deep epigastric vessels) and the obturator artery, and it may extend over the anterior column in the area of the superior pubic ramus; it is seen in 10–30% of patients and would be seen in the medial window. 215
Question 26
Which of the following is false with reference to the Kocher–Langenbeck approach for pelvic fractures? greater sciatic notch. femoris muscle.
Explanation:
The pudendal nerve is at risk as it enters the pelvis through the greater sciatic notch. The Kocher–Langenbeck approach provides exposure to the posterior wall of and posterior column of acetabulum. It is considered by some as an extension to the posterior approach to the hip and exposes the greater sciatic notch and lesser sciatic notch. The superior gluteal artery and nerve are at risk of injury here and must be protected. The pudendal nerve is at risk, but it exits the pelvis via the greater sciatic notch and re-enters via the lesser sciatic notch.
Question 27
Which of the following would not increase the stability of an external fixator?
Explanation:
Increasing the distance between the rods and the bone. The principle factor which contributes to external fixator stability is reduction of the fracture. Other factors which would increase the stability are: Increased pin diameter Increased number of pins Decreased bone to rod distance Pins placed in different planes Increased size or stacking rods Rods in different planes Increased spacing between pins
Question 28
Which of the following is not a type of acetabular fracture according to the Judet and Letournel classification?
Explanation:
Posterior column and posterior hemitransverse. The Judet and Letournel classification describe 10 fracture patterns: Simple fractures posterior wall posterior column anterior wall anterior column transverse Complex/associated fracture both columns posterior wall and transverse T-shaped fracture anterior column and posterior hemitransverse posterior wall and posterior column
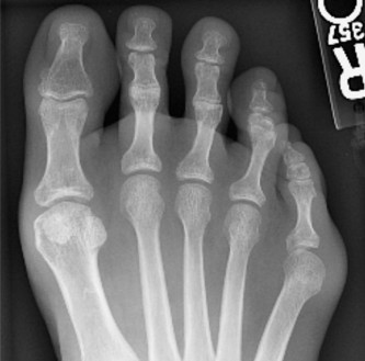
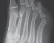
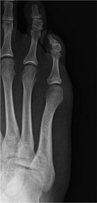
Question 29
Which of the following best describes a Jones fracture? tarsometatarsal joint. the fourth–fifth intermetatarsal articulation. fourth–fifth intermetatarsal articulation. fifth intermetatarsal articulation.
Explanation:
Fracture at the metaphyseal–diaphyseal junction of the fifth metatarsal at the level of the fourth–fifth intermetatarsal articulation. Fractures of the base of the fifth metatarsal are common. They are classified into zones according to location: Zone 1 – Proximal metaphyseal fracture of the fifth metatarsal at the level of the tarsometatarsal joint Zone 2 – Fracture at the metaphyseal–diaphyseal junction of the fifth metatarsal at the level of the fourth–fifth intermetatarsal articulation Zone 3 – Fracture at the proximal diaphysis of the fifth metatarsal distal to the level of the fourth–fifth intermetatarsal articulation The zone 2 injury is also known as a Jones fracture, after Sir Robert Jones. 216
Question 30
Which of the following is not a contraindication to functional brace treatment for a humeral shaft fracture? 203
Explanation:
Associated radial nerve palsy. Humeral shaft fractures are common, and most can be treated in a functional brace, assuming there is <20 anterior angulation, <30 varus/valgus angulation and <3 cm shortening. Contraindications to functional bracing include a severe soft tissue injury or bone loss, an uncooperative patient, polytrauma (especially ipsilateral injuries), associated brachial plexus injury and fractures in the proximal one-third of the humerus. Radial nerve palsy alone is not a contraindication. 217 1. Which of the following definitions with reference to screening programmes is correct? a. Prevalence is the rate of occurrence of new disease within a disease-free population. b. Sensitivity is the ability of a screening test to exclude false negatives. c. Specificity is the ability of a test to pick up all the cases of a disease. d. Positive predictive value is calculated by dividing all the positive test results by all the negative results. e. Incidence is the frequency of a disease at any given time. 2. Which of the following correctly describes the pattern of inheritance for the corresponding condition? a. Achondroplasia – autosomal Recessive. b. Osteogenesis imperfecta type 1 – autosomal Recessive. c. Sickle cell anaemia – autosomal Recessive. d. Hypophosphataemic rickets – X-linked Recessive. e. Duchenne’s muscular dystrophy – X-linked Dominant. 3. Which of the following statements regarding physes is incorrect? a. The strength in each layer of the physis is related to the proportion of extracellular matrix present. b. The hypertrophic layer is the weakest layer of the physis. c. Approximately 75% of the growth of the radius occurs at its distal end. d. The hip, knee, shoulder and elbow have intra-articular physes that can account for progression of metaphyseal osteomyelitis to septic arthritis. e. The apophysis of the ileum closes from lateral to medial. 4. Which of the following descriptions of antibiotic mechanism of action is incorrect? a. Ciprofloxacin inhibits DNA gyrase. b. Aminoglycosides exert their bactericidal effect by binding to the 30S subunit. c. Rifampicin inhibits DNA polymerase. d. Erythromycin acts by binding to the 30S subunit. e. Vancomycin inhibits cell membrane synthesis. # Cambridge University Press 2012. 223
🔗 Read the comprehensive guide: FRCS: Questions (MCQs)