A 16-year-old male presents noting frequent sprains to his right ankle. He notes that he rolls his right ankle several times a day, and also describes pain along the lateral border of his foot. His left ankle is similarly symptomatic, but not quite as severe. Radiographs are obtained (Figs. 5–3 and 5–4).

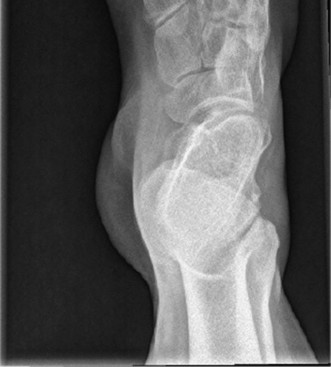
Figure 5–3 Lateral weight-bearing radiograph of the foot.


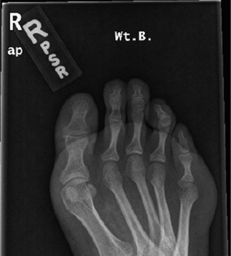
Figure 5–4 AP weight-bearing radiograph of the foot.
Based on the radiographs (Figs. 5–3 and 5–4), which of the following do you expect to observe on clinical examination? 1. Pes cavus
2. Pes planus
3. Hindfoot valgus
4. Forefoot varus
Discussion
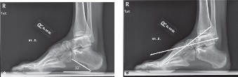
The correct answer is (A). Radiographic characteristics of a pes cavus deformity include an elevated dorsiflexion pitch of the calcaneus, so that the angle between the calcaneus and the floor often exceeds 30 degrees on weight-bearing radiographs (Fig. 5–5A). A plantar-flexed first ray may also be characteristic, in which case the straight line normally formed by the talus and the first metatarsal on lateral radiograph is abnormal. This is known as Meary’s angle (Fig. 5–5B).

--- _Figure 5–5_A: Elevated dorsiflexion pitch of the calcaneus with pes cavus. B: Abnormal Meary’s angle with pes cavus. Pes planus is further characterized by hindfoot varus and forefoot valgus. Adult-acquired flatfoot deformity would be characterized by hindfoot valgus and forefoot varus.
What additional information are you likely to elicit on patient history?
- A history of clubfoot as an infant
- A history of multidirectional instability of the shoulder
- A family member with similar symptoms
- Frequent fractures as a young child
Discussion
The correct answer is (C). While pes cavus may have diverse etiology, one study found that neurologic findings were apparent in approximately two-thirds of patients. Of patients with neurologic findings, half were diagnosed with Charcot–Marie–Tooth disease (CMT). A more recent pediatric study found that 78% of children with bilateral pes cavus are ultimately diagnosed with CMT. CMT refers to a heterogenous array of genetic disorders that collectively affect either nerve axons
or their surrounding myelin sheaths, ultimately resulting in nerve dysfunction. This underscores the importance of a thorough neurological examination in patients presenting with pes cavus.
Patients presenting early with CMT often have flexible joint deformities. Assuming this patient has flexible deformities, what would you expect to find with Coleman block testing?
- Elevation of the first ray
- Correction of forefoot adduction
- Normalization of the talar-first metatarsal angle (Meary’s angle)
- Correction of hindfoot varus
Discussion
The correct answer is (D). Coleman block testing refers to having the patient stand with the lateral border of the foot on flat blocks. This allows the plantar-flexed first ray to contact the ground at a lower level. With a forefoot-driven hindfoot varus deformity and a flexible hindfoot, standing on the Coleman blocks will correct the hindfoot varus into a more neutral alignment. If, alternatively, the varus hindfoot is not driven by the cavus deformity, the Coleman block test will not permit correction of the varus hindfoot.
Assuming the hindfoot varus corrects with Coleman block testing, and the patient has failed conservative management, the bony components of operative intervention would include which of the following?
- Shortening osteotomy of the first ray
- Dorsiflexion osteotomy of the first ray
- Calcaneal osteotomy with medial heel slide
- None of the above
Discussion
The correct answer is (B). Correction of the hindfoot varus with Coleman block testing confirms that the subtalar joint remains flexible and that the cavus deformity is driving the hindfoot varus. A dorsiflexion osteotomy of the first ray will raise the first metatarsal from its pathologic plantar-flexed position. With subsequent weight bearing, the head of the first metatarsal must still contact the ground. When doing so postoperatively, however, it forces the hindfoot out of pathologic varus into a more neutral position. This can be supplemented with a calcaneal osteotomy with lateral
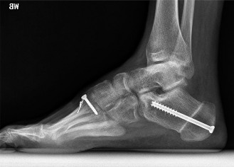
heel slide if necessary (Fig. 5–6); a medial slide would accentuate the hindfoot varus deformity.

#### Figure 5–6 Dorsiflexion osteotomy of the first ray and calcaneal osteotomy with lateral heel slide for pes cavus. Objectives: Did you learn...?
Describe radiographic findings of pes cavus? Assess familial aspect of CMT?
Describe the role of Coleman block testing?
Describe the role of osteotomies in treating CMT-related deformity?