🎓 Basic Sciences Viva 🔍 Click to enlargeClinical Radiograph / Orthopedic Image
Basic Sciences
Section 3 Tissue Anatomy and Pathology
🎓 Viva 21


Reproduced from C. Bulstrode et al., Oxford Textbook of Trauma and Orthopaedics second edition, 2011, fi gure 1.3.10, p. 25, with permission from Oxford University Press.
What is bone?
How do osteoblasts and osteoclasts differ?
What is Wolff’s law?
Tissue Anatomy and Pathology
What is bone?
Bone is a composite dynamic form of specialized connective tissue.
It comprises cells (10 % ) and extracellular matrix (90 % ).
The cells include osteoblasts, osteocytes, and osteoclasts.
The matrix has organic (collagens, mainly type 1) and inorganic (calcium phosphate, osteocalcium phosphate) constituents.
Bone functions to move, support, and protect the internal organs, it produces red and white blood cells, and contains the majority of calcium and phosphate in the body.
How do osteoblasts and osteoclasts diff er?
Osteoblasts are derived from undiff erentiated mesenchymal cells; they are bone forming and lay down osteoid (type 1 collagen) as well as activating osteoclasts to resorb bone via the receptor activator of nuclear factor kappa-B (RANK) ligand (RANKL) system. These processes are controlled by cytokines, growth factors and bone morphogenic protein (BMP).
O steoclasts are from a haemopoietic monocyte cell lineage. They are multinucleated giant cells that resorb bone. They can sit in small pits called Howships lacunae, on the bone surface, or lead cutting cones that tunnel through the bone. Under their ruffl ed brush border, with an increased surface area, they create a low-pH microenvironment which dissolves the inorganic apatite crystals. Enzymes are released (tartrate resistant acid phosphatase, TRAP) and proteases then break down the organic matrix components. This process is controlled via the RANKL system (inhibited by osteoprotegrin) of activated osteoblasts.
O steocytes are osteoblasts that have become trapped in bone matrix (making up to 90% of the cells in bone), they have an important role in homeostasis of calcium and phosphate metabolism.
What is Wolff ’s law?
Wolff ’s law is a theory developed by the German anatomist/surgeon Julius Wolff in the 19th century. It states that bone will adapt to the loads placed through or across it. It is the result of the close coupling within bone remodelling units consisting of osteoblast, osteoclast, and supporting stromal tissues. If loading on a particular bone increases, the bone will remodel itself over time to become stronger to resist that sort of loading.
I n relation to soft tissue, Davis’s law explains how soft tissue remoulds itself according to imposed demands.
🎓 Viva 22


Reproduced from Cruess, R. and Dumont, J. (1975). Fracture healing. Canadian Journal of Surgery , 18 , 403–13. © Canadian Medical Association. This work is protected by copyright and the making of this copy was with the permission of Access Copyright. Any alteration of its content or further copying in any form whatsoever is strictly prohibited unless otherwise permitted by law.
Tell me how bones unite after a fracture.
What is the difference between intramembranous and endochondral ossification?
How do bones get wider?
Tissue Anatomy and Pathology
Tell me how bones unite after a fracture.
S econdary fracture healing can be divided into fi ve stages: haematoma; infl ammatory reaction; soft callus formation; hard callus formation and remodelling; however, in reality these stages merge into a continuum.
Haematoma (hours)
T he damaged tissue surfaces and blood vessels results in vasoconstriction and haematoma forma-tion— p latelet plugs form and the activated platelets degranulate releasing platelet-derived growth factor (PDGF). The clotting cascade and the complement system are both activated — these are stepwise amplifi cation cascades that result in the activation of cytokines and signalling molecules which are chemotactic to the infl ammatory cells and angiogenic to blood vessels. Released opsonins attach to bacteria and dead necrotic cells to expedite their phagocytosis. BMPs (BMP 7 is important) are also released from damaged bone straight away; they are osteoinductive, mitogenic, and angiogenic.
Infl ammatory phase (days)
The arrival and activation of polymorph neutrophils (which also release activated cytokines and leukotrienes) is the start of the infl ammatory phase. A bit later the next cells to arrive are the macrophages which start to phagocytose dead cells and tissue.
Angiogenesis has started and helps to bring in new undiff erentiated mesenchymal cells.
Repair phase— soft to hard callus (weeks)
T he end of the infl ammatory phase occurs with the arrival of fi broblasts and the beginning of the repair phase.
This phase can be thought of with regard to:
1. The mechanical environment which delineates which cells form from the undifferentiated mesen-chymal cells
2. The biochemical environment (oxygen tension and pH (haematoma is acidic — osteoblasts need an alkaline environment to lay down bone)
A fracture gap strain of 200 % promotes fi broblast proliferation — fi brous tissue forms in the fracture gap and it becomes less mobile (angiogenesis continues). Less than 15% strain and chondrocytes proliferate laying down collagen matrix and soft callus in the fracture gap. With 2–5 % strain the osteoblasts start to lay down osteoid which is then mineralized to form hard callus (woven bone).
Remodelling phase (months to years)
The last phase, which lasts many months, is remodelling where disorganized woven bone is stress orientated into hard dense lamellar bone (obeying the mechanical principles of Wolff ’s law).
What is the diff erence between intramembranous and endochondral ossifi cation?
Endochondral ossifi cation is the process associated with foetal bone development, day-to-day bone growth, and to a certain extent fracture repair. The replacement of cartilage by bone is called endochondral ossifi cation. This is the type of bone formation found in the development of long bones such as the femur and humerus.
I ntramembranous ossifi cation is the formation of bone on, or in, fi brous connective tissue (which is formed from condensed mesenchyme cells). Intramembraneous ossifi cation is the process used to make fl at bones such as the mandible and fl at bones of the skull.
How do bones get wider?
The increase in diameter is called appositional growth. Osteoblasts in the periosteum form compact bone around the external bone surface. At the same time, osteoclasts in the endosteum break down bone on the internal bone surface, around the medullary cavity. These two processes together increase the diameter of the bone.
---
| 
Viva 23


A B C
Reproduced from C. Bulstrode et al., Oxford Textbook of Trauma and Orthopaedics second edition, 2011, fi gure 1.10.6, p. 77, with permission from Oxford University Press.
This patient fractured a femur 4 months ago, but is still getting significant pain. What do you see and how would you manage it?
What factors influence fracture healing?
This patient fractured a femur 4 months ago, but is still getting signifi cant pain; what do you see and how would you manage it?
This is an AP radiograph showing a supracondylar fracture treated with a locking plate device. The fracture doesn’t show any signs of healing and at 4 months’ post-fi xation this would be an established non-union.
First infection must be excluded as this can also cause non-union.
If not infected:
z Open debridement
z Bone graft (iliac crest graft) z Additional BMPs? z Fixation — repeat internal or external (Ilizarov)
What factors infl uence fracture healing?
1. Fracture mechanical environment
2. Local biology
Blood supply
Degree of soft tissue injury
Open or closed injury
Degree of fragmentation/bone loss
Site of fracture (metaphyseal versus diaphyseal)
Soft tissue interposition
Stability (cf. absolute/relative/dynamization)
Presence of infection
Presence of pathological lesion
Previous irradiation to that area
3. Systemic biology
Age
Smoking
Drugs — non-steroidal anti-inflammatory drugs (NSAIDs), steroids, bisphosphonates
Medical co-morbidities — diabetes mellitus (DM)
Nutrition
Associated head injury
🎓 Viva 24


Reproduced from C. Bulstrode et al., Oxford Textbook of Trauma and Orthopaedics second edition, 2011, fi gure 4.9.4, p. 340, with permission from Oxford University Press.
Can you describe the deltopectoral approach to the glenohumeral joint?
Can you describe the patient set-up, primary, and secondary portals for ankle arthroscopy?
Can you describe the deltopectoral approach to the glenohumeral joint?
NB: You should be able do the same thing for all common approaches.
General anaesthetic ± interscalene block.
Beach chair position.
I ncision is from 1–2 cm inferior to the tip of the coracoid process extending towards the anterior axillary fold. The deltopectoral groove is identifi ed by a ‘yellow stripe’ of fat and the cephalic vein is sought lying in the groove. The vein is usually refl ected laterally. The interval between the deltoid and the pectoralis major is developed and the conjoined tendon arising from the coracoid process is identifi ed. The conjoined tendon is now dissected free from the underlying subscapularis. The conjoined tendon is retracted medially with the help of the self-retaining retractors ( ± partial division 1 cm distal to the coracoid). The subscapularis muscle and its tendon are identifi ed by externally rotating the arm. Stay sutures are used to control the medial musculotendinous tissues of the subscapularis. With the arm in ER, division of the subscapularis tendon is carried out about 1–2 cm from its insertion just lateral to the musculotendinous junction. Depending on indication, the subscapularis muscle is then either stripped off the anterior capsule or the capsule is divided with the tendon.
Nerves at risk
zThe axillary nerve lies just inferior to the shoulder joint capsule. A blunt ring-handled retractor is slipped down on the anterior capsule and passed inferior to the shoulder, retracting the inferior structures including the axillary nerve away from the capsule, thereby protecting this important nerve which lies only 5–10 mm below the inferior capsular fold
zThe musculocutaneous nerve
Can you describe the patient set-up, primary, and secondary portals for ankle arthroscopy?
Ankle portals
1 . Anteromedial: initial arthroscopy is performed with the scope in the anteromedial portal, but for the majority of cases this portal will be used for instrumentation, located at the level of the ankle joint, just medial to the tibialis anterior tendon, and located about 5 mm lateral to the medial malleolus. An 18-gauge syringe is used to infuse saline into the joint; the greater saphenous nerve and vein are at risk with this portal, lying 7–9 mm medial to the portal
2. Anterolateral: once the joint is distended with saline, use an 18-gauge needle to mark the location of the anterolateral portal which should lie just lateral to the peroneus tertius tendon; staying lateral to the peroneus tertius, helps avoid injury to the dorsal lateral branch of the peroneal nerve. Use the scope to transilluminate the anterolateral skin, in order to look for underlying cutaneous nerves; the scope can then be driven forward (elevating the synovium and skin) which further assists with placement of this portal. Make a small incision and then spread with a hemostat; be aware that the intermediate branch of the superficial peroneal nerve is about 5–6 mm from this portal
NB: You should be able to do the same thing for the knee and the shoulder.
🎓 Viva 25


Results Summary:
| Region | Area[cm2) | BMC[(g)] | BMD[(g/cm2)] | T-score | PR (Peak Reference) | Z-score | AM (Age Matched) |
| --- | --- | --- | --- | --- | --- | --- | --- |
| L1 | 17.25 | 13.34 | 0.773 | –2.7 | 72 | –2.1 | 77 |
| L2 | 17.89 | 12.60 | 0.746 | –3.2 | 68 | –2.5 | 73 |
| L3 | 17.72 | 12.64 | 0.713 | –3.5 | 65 | –2.9 | 69 |
| L4 | 18.84 | 11.87 | 0.630 | –4.2 | 58 | –3.5 | 62 |
| Total | 70.70 | 50.45 | 0.714 | –3.4 | 65 | –2.8 | 70 |
Reproduced from Raashid Luqmani, Theodore Pincus, and Maarten Boers, Rheumatoid Arthritis (Oxford Rheumatology Library), 2010, Figure 8.2, p. 84, with permission from Oxford University Press. .
What investigation is illustrated above?
Define osteoporosis and list its risk factors.
What numerical results are given by this test and how do you interpret them?
Can you describe the treatment of osteoporosis, the drugs, and how they act?
What investigation is illustrated above?
A bone-density scan.
Defi ne osteoporosis and list its risk factors.
O steoporosis is a condition in which decreased bone mineral density results in increased susceptibility to low-trauma fragility fractures.
O steoporosis (in women) is defi ned by the World Health Organization as a bone mineral density 2.5 standard deviations below peak bone mass (20-year-old healthy female average) as measured on a dual-energy X-ray absorptiometry (DEXA) scan.
Risk factors for osteoporosis include:
z Low-impact fracture z New thoracic kyphosis z Early menopause < 48 years [oestrogen blocks the effect of parathyroid hormone (PTH) on osteoclasts]
z Family history of hip or vertebral fracture in first-degree relative < 65 years old z Predisposing pathology: hypothyroid, rheumatoid arthritis (RA), alcohol, Cushing’s, malignancy z Prolonged amenorrhoea in the absence of pregnancy z Drugs: steroids, thyroxine, heparin, phenytoin, chemotherapy
What numerical results are given by this test and how do you interpret them?
Really, there are only four important numbers, and two of these are of lesser importance:
1. First, identify the percentage of normal bone density for the patient’s age. This is helpful in your explanation to patients, but doesn’t really affect diagnosis or treatment. (This is one of the numbers you can ignore if you wish)
2. Second, find the Z-score, which is the standard deviation (SD) from normal for that patient’s age group. (This is the other number you can ignore)
3. Third, find the percentage of bone density compared with normal young adults. This number has a powerful impact on patients. Ninety per cent and above is considered normal. It is important to tell patients that this is the amount of bone that they have compared to what they had or should have had at the age of 40
4 . Fourth, find the T-score, which is the number of standard deviations from normal young adults. This is the key number as it is from this that the World Health Organization takes its definition of osteoporosis. The T-score shows where your patient is compared with the population. In other words, an Irish woman with a small frame stacks up differently from an African American woman with a larger frame, and you want to know how they compare with people of their own sex, race, age, height, and weight. The T-score predicts fracture risk: For every –1 SD the fracture risk doubles. Osteoporosis is defined as a T-score > 2.5 SD below mean (lumbar spine) [the bone mineral density (BMD) of a fit and healthy 25-year-old]
Can you describe the treatment of osteoporosis, the drugs, and how they act?
T reatment guidelines from the National Institute of Health and Clinical Excellence (NICE) are divided into lifestyle changes and pharmacological treatment.
All at-risk patients and those with confi rmed osteoporosis (either by fracture or DEXA scan) should have information regarding lifestyle changes which include taking weight-bearing exercise, reducing alcohol consumption, stopping smoking, and reducing falls risk.
All patients should have calcium (1500 mg) and vitamin D (800 IU) supplements.
Female patients who are post-menopausal < 65 years old with T-score > 3 or > 75 years old with osteoporotic fracture should have:
z First-line treatment — bisphosphonates. Alendronate 70 mg once a week z Second-line treatment — strontium ranelate 2 mg once daily (may affect future DEXA scans) z Third-line treatment — raloxifene 60 mg once daily
B isphosphonates are the main pharmacological measures for treatment. They work by inhibiting osteoclast function and hence resorption of bone. They attach to the osteoclast and prevent the attachment of its ruffl ed brush border to the bone.
Strontium ranelate stimulates proliferation of the osteoblasts, as well as inhibiting the proliferation of osteoclasts.
Raloxifene is a selective oestrogen receptor modulator. It works by attaching itself to oestrogen receptors in the bone, stimulating the production of new bone. Three key elements of a strategy for osteoporotic fractures are:
1. High-quality fracture care — delivered through coordinated multidisciplinary teamwork
2. High-quality secondary prevention of fragility fracture — ensured by providing bone protection and falls assessment
3 . High-quality information— u sing standards, audit and feedback to improve hip fracture care and secondary prevention
Note: osteopenia = T-score–2.5 to–1.0. Treat with lifestyle changes only.
🎓 Viva 26


Reproduced from David A. Warrell, Timothy M. Cox, and John D. Firth, Oxford Textbook of
Medicine fi fth edition, 2010, fi gure 20.1.9, p. 3737, with permission from Oxford University Press.
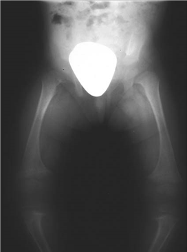
The radiograph above was performed on a child who presented with bowed legs.
What do you think the diagnosis is?
What is rickets?
What are the causes of rickets?
How else might a child with rickets present, and how would you investigate them?
What do you think the diagnosis is?
This plain radiograph of the pelvis and knees shows generalized widening of the metaphysis and cupping of the epiphysis in keeping with a metabolic condition such as rickets. Diff erential diagnosis would include a generalized skeletal dysplasia.
What is rickets?
Rickets is a disease of growing bone that is unique to children and adolescents. It is caused by a failure of osteoid to calcify in a growing person. Failure of osteoid to calcify in adults is called osteomalacia.
What are the causes of rickets?
z Nutritional rickets. (There are few dietary sources of vitamin D. The best ones are fatty fish such as salmon and sardines, and margarines supplemented with vitamin D. Milk contains added vitamin D in the USA but not in the UK. Most people in the UK get most of their vitamin D from exposure of the skin to sunlight)
z Lack of sunlight zCongenital rickets z Rickets of prematurity z Vitamin D resistance (type I and type II) z Neoplastic rickets z Hypophosphataemic rickets zDrug-induced rickets
How else might a child with rickets present, and how would you investigate them?
T he child may present with generalized muscular hypotonia of an unknown mechanism. In the long bones, laying down of uncalcifi ed osteoid at the metaphyses leads to spreading of those areas, producing knobby deformity which is visualized on radiography as cupping and fl aring of the metaphyses. Weight bearing produces deformities such as bowlegs and knock-knees. In the chest, knobbly deformities results in the rachitic rosary along the costochondral junctions. The weakened ribs pulled by muscles also produce fl aring over the diaphragm, which is known as the Harrison groove. The sternum may be pulled into a pigeon-breast deformity. At the ankle, palpation of the tibial malleolus gives the impression of a double epiphysis (Marfan sign).
Blood tests
Early on in the disease course, the calcium (ionized fraction) is low; however, it is often within the reference range at the time of diagnosis as PTH levels increase. Calcidiol (25-hydroxy vitamin D) levels are low, and PTH levels are elevated; however, determining calcidiol and PTH levels is typically not necessary. Alkaline phosphatase levels are elevated.
🎓 Viva 27


Do you use this device in your clinical practice?
Describe Virchow’s triad and the risk factors for formation of a deep vein thrombosis (DVT).
What risk levels do you quote to patients undergoing total hip replacement (THR) and total knee replacement (TKR)?
What is your DVT prophylaxis policy for THR in a 70-year-old man with no significant additional risk factors?
Do you use this device in your clinical practice?
Yes, this is a mechanical calf pump that we use intra-operatively to prevent venous thrombosis.
Describe Virchow’s triad and the risk factors for formation of a deep vein thrombosis (DVT).
Virchow’s triad includes:
1. Hypercoagulable state
2. Stasis of vascular flow
3. Damage to the vascular endothelium
What risk levels do you quote to patients undergoing total hip replacement (THR) and total knee replacement (TKR)?
F orty to 60 per cent of THR patients who do not receive prophylaxis will get a DVT (dependent on imaging method). With chemical and mechanical prophylaxis asymptomatic DVT occurs in 10% of THR and 20% of TKR patients. Symptomatic DVT occurs in 1.3% of TKR patients and 2.81% of THR patients.
What is your DVT prophylaxis policy for THR in a 70-year-old man with no signifi cant additional risk factors?
The two main strategies for prevention are:
1. Non-pharmacological interventions. These include anti-DVT stockings and foot or calf pumps
2. Pharmacological interventions. These include one or more of the following:
z Low-molecular-weight heparin (LMWH): heparin and LMWH are equivalent in preventing DVT, although LMWH has greater bioavailability, longer duration of anticoagulant effect in fixed doses, and little requirement for laboratory monitoring, and is thus more cost-effective
z Fondaparinux sodium (Arixtra) — a synthetic pentasaccharide. When used at 2.5 mg subcutaneously (SC) four times a day post-operatively, it significantly improves the risk-to-benefit ratio for the prevention of post-operative venous thromboembolism
z Warfarin— a n effective but cumbersome DVT prophylaxis regimen is achieved with either a fixed or an adjusted dose
z Aspirin — however, there is not much evidence of its efficacy
You should be able to quote your local policy on what they use in this situation.
This page intentionally left blank
🎓 Viva Table 2

Basic Sciences
Section 4 Mechanics and Tribology
🎓 Viva 28

What is this material?
How is it manufactured?
How can its material properties be manipulated?
What is this material?
This is an ultra-high-molecular-weight polyethylene (UHMWPE) component from a unicompartmental knee replacement. UHMWPE is a long hydrocarbon chain held together by covalent bonds. The chain exists in two phases; a disorganized amorphous phase and a more organized crystalline phase. Three types are available (GUR 1020, 1050, 1090) which have increasing molecular weight.
How is it manufactured?
It is manufactured using the Zeigler process as follows:
1 . Ethylene gas is polymerized in a low-temperature, low-pressure environment. The catalyst used is titanium chloride. This produces a fine UHMWPE powder
2. The UHMWPE powder is then processed by one of the following methods:
Ram extrusion: produces bar stock, lowest quality
Sheet compression moulding: higher quality
Direct compression moulding (e.g. Arcom by Biomet): the UHMWPE powder is moulded into the shape of the final component. Better quality control, but expensive
3. Machining: UHMWPE bar, sheets, or moulded components are shaped into their final form
4. Sterilization and packaging: by gamma irradiation, gas plasma, or ethylene oxide
How can its material properties be manipulated?
By making cross-linked polyethylene (XLPE).
The manufacture of XLPE involves bombarding the material with an electron beam or gamma irradiation, which causes chain scission of double covalent bonds, followed by rebonding, either by oxidation or cross-linking between adjacent polymer chains. To prevent oxidation due to the formation of free radicals, the process is performed in an inert environment (a vacuum or noble gas). XLPE must be annealed, to release oxygen free radicals from the material, as they will cause slow oxidation and therefore reduce shelf life. Some manufacturers add antioxidants (e.g. vitamin E).
z Advantages of XLPE are: 80–100 % reduction of in vivo wear z Disadvantages of XLPE are: it is more brittle and therefore at increased risk of fracture (there is debate as to whether it is suitable for use in the knee)
🎓 Viva 29

What is shown in this picture?
How does it work?
What is it used for?
What is shown in this picture?
A Roentgen stereophotogrammetric analysis (RSA).
How does it work?
RSA is a method for determining the three-dimensional coordinates of an object within the calibration cage, from two two-dimensional X-ray images. Tantalum marker beads are inserted into bone at the time of surgery. Post-operatively, the subject is placed within the calibration cage, which contains tantalum marker beads placed at accurately measured points. Two X-ray sources are placed at a known angle to each other. Stereo X-ray images are then taken simultaneously. The distance between the X-ray sources and the calibration cage is known; therefore the three-dimensional coordinates of any point on the two-dimensional stereo X-ray images can be determined.
What is it used for?
R SA is predominantly used to measure the ‘migration’, over time, of joint replacements. It is used as a surrogate measure of outcome and has been shown to be an accurate predictor of failure in total hip arthroplasty. Most joint replacements migrate during the fi rst 2 years of implantation. If there is rapid, sustained migration during this period, then there is an increased risk of failure. RSA is therefore a useful tool for evaluating new designs of joint replacement. It is a powerful technique, which means that only about 20 patients are required per study, which typically takes 2 years to complete. The direction of migration is important and is design-dependent. For example, when an Exeter stem has 1.5 mm of distal migration, this is not associated with an increased risk of failure. Conversely, a distal migration of 1.5 mm in the Charnley-Elite stem is associated with a 30 % failure rate at 8 years.
🎓 Viva 30
B 
Photograph courtesy of Paul Cooper.
What are these devices?
What are the characteristic features of these designs?
Tell me about their design philosophy? How do they work?
How do they fail?
What are these devices?
These are two cemented stems. The fi rst is an evolution of the Charnley stem; the second is the Exeter stem.
What are the characteristic features of these designs?
The Charnley-type stem is an example of a composite beam design, which has a collar or fl ange and a rough surface fi nish.
The Exeter is an example of a polished, double-tapered stem.
Tell me about their design philosophy? How do they work?
T he composite beam or ‘shape-closed’ design philosophy relies on friction to maintain the position of the stem within the cement mantle. A rough surface fi nish (typically greater than 2 Ra) and design features, such as a collar or fl ange are intended to minimize micromotion at the prosthesis–cement interface. The Exeter stem works on the taper slip (or force-closed) principle, whereby stability is achieved by allowing micromovement at the prosthesis–cement interface. These devices have design features that promote migration, these include a collarless geometry and a highly polished surface fi nish (<0.01 Ra). Polished, tapered stems subside within the cement mantle, and in so doing they generate radial stresses which increase compression at the bone–cement and prosthesis–cement interfaces. In turn, this stabilizes the bone–cement–prosthesis composite. The viscoelastic properties of cement (creep and stress relaxation) are a key factor in this process.
How do they fail?
Composite beam stems fail when movement occurs at the prosthesis–cement interface. A rough surface fi nish will abrade the cement mantle once micromovement is established. This probably leads to gap formation, which in turn further increases micromovement and also allows the circulation of wear debris. Polished, tapered stems are inherently stable devices and their mechanism of failure is not well understood. RSA and retrieval studies suggest that these devices fail when they rotate in the axial plane.
🎓 Viva 31

Reprinted from Journal of Arthroplasty, 23, 8, Spencer, S., Carter, R., Murray, H., and Meek, R.M., 'Femoral neck narrowing after metal-on-metal hip resurfacing', pp. 1105–1109, Copyright 2008, with permission from Elsevier..
What type of bearing is this?
What are its advantages over a conventional bearing surface?
What factors influence the type of lubrication achieved?
Are there any adverse effects with this type of bearing?
What type of bearing is this?
This is a hip resurfacing arthroplasty, with a large-diameter, cobalt–chrome, metal-on-metal bearing.
What are its advantages over a conventional bearing surface?
1. Low wear: after an initial period of bedding-in wear, these devices have a linear wear rate of less than 0.01 mm/year, compared with metal on UHMWPE bearings which have a linear wear rate of
0.1–0.2 mm/year
2. Hydrodynamic lubrication: hip simulator studies suggest that a large-head metal-on-metal articula-tion is capable of fluid-film lubrication. It is likely that boundary lubrication occurs when the hip is at rest and a fluid film only when the hip is moving
What factors infl uence the type of lubrication achieved?
1 . Radial clearance: this is the gap between the acetabular and femoral bearing surfaces. A large radial clearance results in polar bearing and boundary lubrication. A small radial clearance may result in equatorial bearing. There is therefore an optimal radial clearance for each size of femoral component, which is small enough to allow fluid-film lubrication but large enough to prevent excessive wear and cold-welding
2. Femoral head diameter: large femoral heads are more likely to induce fluid-film lubrication
3. Component position: a high cup abduction angle can increase the risk of edge loading which in turn results in boundary lubrication
Are there any adverse eff ects with this type of bearing?
1. Cancer risk: metal-on-metal articulations produces large numbers of very small wear particles. In addition, high levels of cobalt and chrome are measured in the blood of patients with this type of bearing surface. There is concern, although no definitive evidence, that this may increase the risk of developing some types of cancer
2. Inflammatory masses: some patients with metal-on-metal hip resurfacing arthroplasty have devel-oped large, local inflammatory masses caused by metal wear debris
🎓 Viva 32

This is the chemical structure of a material we commonly use in joint arthroplasty— what do you think it is?
What is it made of?
What happens when the powder and liquid are mixed?
What are its material properties?
What factors influence its properties?
This is the chemical structure of a material we commonly use in joint arthroplasty— what do you think it is?
Bone cement.
What is it made of?
The main components are powder and liquid:
1. Powder: z Pre-polymerized poly methyl methacrylate (PMMA) z Barium sulphate
2. Liquid:
zMono methyl methacrylate (MMA, monomer)
z N -dimethyl- p -toluidine, which acts as an accelerator z Hydroquinone, which acts as an inhibitor z Colour, e.g. chlorophyll
What happens when the powder and liquid are mixed?
S olid cement is formed through an exothermic free-radical polymerization reaction. It occurs in two phases. During the fi rst phase polymer chains form, resulting in shrinkage of the material. During the second phase of polymerization, the temperature rises and the cement undergoes thermal expansion.
What are its material properties?
Cement is a viscoelastic material and has the following properties:
1. Creep: increasing strain under a constant load (stress)
2. Stress relaxation: a reduction in stress under a constant strain
3. Hysteresis: refers to the process by which a viscoelastic substance loses energy when a load is applied, then removed
What factors infl uence its properties?
1. Porosity — vacuum mixing improves fatigue strength
2. Antibiotics
🎓 Viva 33

Reproduced from C. Bulstrode et al., Oxford Textbook of Trauma and Orthopaedics second edition, 2011, fi gure 7.10.3, p. 586, with permission from Oxford University Press..
What does this diagram represent?
What is the pathological process behind aseptic loosening?
What does this diagram represent?
T he diagram shows the potential areas of lucency around the femoral and acetabular components of a total hip replacement according to Gruen (femur) and DeLee and Charnley (cup).
What is the pathological process behind aseptic loosening?
O steolysis in total joint replacement is thought to occur as a result of resorption of bone by osteoclasts at the bone–cement interface and is associated with aseptic implant loosening. Polyethylene wear debris produced at the bearing surfaces combined with cement debris formed from movement at the interfaces is thought to induce osteolysis. In vitro studies suggest that the activated macrophage is a key intermediary in this process.
Peri-prosthetic bone resorption involves a series of complicated interactions between macrophages and osteoclasts. Osteolysis occurs due to both the direct resorption of bone, as a consequence of osteoclast stimulation and, to a lesser extent, the secretion of enzymes from other cells (such as metalloproteinases from fi broblasts). Macrophages are thought to be pivotal in the osteolysis process.
Cell culture studies have demonstrated that particulate wear debris from prosthetic materials are phagocytosed by macrophages, which subsequently respond in one of two ways:
zFirstly they secrete numerous cellular mediators some of which [tumour necrosis factor-alpha (TNF- α ), interleukin (IL)-6, IL-1, and prostaglandin 2 (PGE2)] are able to induce cell proliferation and bone resorption in osteoclasts
zSecondly, in vitro studies have demonstrated that activated macrophages are able to differentiate into osteoclasts via two distinct pathways (fibroblast RANKL activated and TNF- α activated)
🎓 Viva 34
This is a stress–strain curve for a generic material.

What does Zone 1 represent?
What is Young’s modulus?
What does the first circle represent?
What is Zone 2?
What do the second and third circles represent?
What is strain hardening?
What does Zone 1 represent?
T he elastic zone: a material is perfectly elastic if the strain reduces to zero when the stress is removed.
What is Young’s modulus?
Young’s modulus is stress/strain in the elastic region and is a measure of the stiff ness of the material.
(The higher the Young’s modulus, i.e. steeper the slope, the higher the stiff ness.)
What does the fi rst circle represent?
I t represents the proportional limit, which is the point at which the zone of elasticity ends. At this point, a sudden elongation of the material occurs without a signifi cant increase in the applied load.
What is Zone 2?
T he plastic zone: during this phase the material will not regain its original length when the load is removed.
What do the second and third circles represent?
T he second circle is the point of ultimate strength; this is the point of maximum stress. The stress gradually reduces as the strain increases and the material fails at the third circle. The area under the curve represents the ‘energy to failure’.
What is strain hardening?
Strain hardening is the increase in stress upon yield stress.
🎓 Viva 35
This is a screw from a basic small fragment set used in fracture fixation.

Picture courtesy of Synthes UK Ltd. .
Can you take me through the different parts of the screw and their function?
What mechanical properties does a screw have?
How does the small fragment screw differ mechanically from this locking bolt for an intramedullary nail?
What size drills would you use to insert the small fragment screw to act as a lag screw across a fracture?
Can you take me through the diff erent parts of the screw and their function?
Head — provides attachment for a screwdriver (hexagonal for six points of contact to increase torque, avoid slip, and improve directional control).
Counter-sink.
Run out — transitional area between head and thread (relatively weak area).
Shaft — inner core diameter (tensile strength proportional to radius cubed).
T hread— o uter diameter (proportional to pull out strength), partially threaded versus fully threaded (80 % grip of near cortex and 20 % grip of far cortex).
Crest/root of the thread.
Pitch (lead) — distance advanced for one 360 ° turn (cancellous > cortical > locking).
Flutes — removes swarf (bone debris).
Tip — diff erence between cortical (blunt) and cancellous screw (corkscrew).
What mechanical properties does a screw have?
A screw is a device that converts a torsional force into a linear force.
The eff ective thread depth is a combination of pitch and thread (outer diameter) which is proportional to pull-out strength.
The tensile strength is proportional to the inner core radius cubed.
How does the small fragment screw diff er mechanically from this locking bolt for an intramedullary nail?
A locking bolt is there to create a rotationally stable construct. It has a wide inner core diameter (ultimate tensile stress, UTS) relative to a small thread (it doesn’t need a large amount of pull-out strength).
What size drills would you use to insert the small fragment screw to act as a lag screw across this fracture?
Large lag hole (near cortex) = 3.5 mm drill.
Small hole (far cortex) 2.5 mm.
This page intentionally left blank
🎓 Viva Table 2

Basic Sciences
Section 5 Statistics and Orthopaedic Imaging
🎓 Viva 36

What is a hypothesis?
What is a null hypothesis?
How would you go about setting up a clinical trial?
What are Type 1 and Type 2 errors?
What is a hypothesis?
A hypothesis is a proposition that serves as a starting point for further investigation.
What is a null hypothesis?
A null hypothesis is a primary assumption that any diff erences between diff erent groups seen in your study occurred purely by chance.
How would you go about setting up a clinical trial?
1 . Identify a problem/interest to be studied— v ia literature search— a nd identify a gold standard to compare with
2. Ask a scientific question — define a null hypothesis to test
3. Design your study: zDefine your population — inclusion / exclusion criteria z Methodology of study— r andomized/double blinded (masked)/stratification for confounding factors
zPower analysis (statistician) for numbers required to able to draw statistically valid conclusions from your results
zDefine outcome measures (valid and reproducible)
4. Obtain ethics approval from local or national committee
5. Register trial
6. Conduct the trial
7. Recruit your patients — collect your data
8. Analyse your results (stats)
9. Interpret your findings, write up your work, and publish in peer-reviewed journals
What are Type 1 and Type 2 errors?
A Type 1 or alpha error occurs when a researcher’s false hypothesis is accepted— i n other words a null hypothesis that is true is falsely rejected or the p -value suggests there is signifi cant diff erence when there isn’t. It is protected against by having high levels of signifi cance. The level that is usually selected for biological studies is 95 % .
A Type 2 or beta error occurs when a researcher’s hypothesis that is true cannot be demonstrated — in other words a null hypothesis is falsely accepted or the p -value suggests there is no diff erence when there is. This is protected against by increasing the power of the study, i.e. increasing the numbers being analysed.
🎓 Viva 37
y

What kinds of data are there in orthopaedic surgical literature and what common statistical tests are used for these data?
What do you understand by the sensitivity and specificity of a test?
What factors do you look for in an outcome scoring system?
What kinds of data are there in orthopaedic surgical literature and what common statistical tests are used for these data?
There are discrete data which are also known as non-continuous, qualitative, or categorical (e.g. male or female, Gustilo type 1, 2, 3a, 3b, or 3c). These types of data can be analysed statistically using the chi-squared test or Fisher’s exact test.
T here are also continuous or variable data, e.g. age, height, ESR, knee valgus angle. These data often, but not always, occur in a normal or Gaussian distribution, e.g. a symmetrical bell-shaped curve.
Continuous data can be described using:
z ‘Mean’, which is the arithmetical average of the data set z ‘Median’, which is the middle value of the data set when placed in ascending or descending order z ‘Mode’, which is the most frequently occurring value of the data set In a normal distribution the mean, median, and mode are equal.
‘Dispersion’ is the variability of a data set. If all the values were the same then the dispersion would be zero. There are various ways of measuring dispersion in statistics including quartiles, standard deviation (SD), and variance. For a set of data the range equals the lowest and highest numbers. The percentiles are groups of data in percentage brackets (usually 25 % ). The variance is a measure of how much a typical value deviates from the mean (variance = corrected sum of the squares about the mean). The SD is the square root of the variance (to give the same original dimension as the data) In a normal distribution 95 % of values are within ± 2 SD of the mean. The standard error of the mean (SEM) measures how closely the sample mean of the data set approximates to the population mean that data set was taken from. SEM = SD/√ n .
Normally distributed data can be compared statistically using parametric statistical tests such as Student’s t -test. Data which are not distributed normally require non-parametric tests.
What do you understand by the sensitivity and specifi city of a test?
Sensitivity is:
z The ability of a test to detect cases that are positive
z It is equal to (all positive test results/all cases that are truly positive) × 100 Specifi city is:
z The ability of a test to detect cases that are negative
z It is equal to (all negative test results/all cases that are truly negative) × 100
What factors do you look for in an outcome scoring system?
Accuracy = how accurate it is compared with a gold standard.
Validity = the extent to which an experimental value represents a true value (the usefulness or utility of a score or test).
Reliability = the ability to repeat the study/test and get the same results.
Ease of use = the assessment method should be appropriate and not too long, complex, or cumbersome.
🎓 Viva 38

What is a systematic review?
What is a meta-analysis?
What levels of evidence do orthopaedic surgeons recognize?
What types of study do you know about?
What is the difference between bias and confounding?
What is the Cochrane Collaboration?
What is a systematic review?
A systematic review is an overview of primary studies that used explicit and reproducible methods.
What is a meta-analysis?
A meta-analysis is the mathematical and statistical analysis of the combined results of two or more studies that addressed the same hypothesis in the same way.
What levels of evidence do orthopaedic surgeons recognize?
1. High-quality randomized controlled trial (RCT)/systematic review
2. Low-quality RCT/prospective comparative cohort study/systematic review
3. Case–control study/retrospective comparative cohort study/systematic review
4. Case report or case series
5. Expert opinion
What types of study do you know about?
Descriptive studies: z Case reports z Correlational studies — studies which use large populations and correlate various factors to the presence of disease states
zCross-sectional studies — studies which look at a particular group at one moment in time Analytic studies:
zStudies where hypotheses can be tested, e.g. case–control studies, cohort studies, survival analysis, and interventional studies where a particular intervention is tested. The gold standard interventional study is the randomized double-blind clinical trial
What is the diff erence between bias and confounding?
B ias is a conscious or unconscious error in the way that cases are selected or measurements are taken in studies. It is often divided into selection bias and observational bias. Confounding occurs when factors not under study aff ect the results. The confounding factors may be linked to the factors under study.
What is the Cochrane Collaboration?
An International not-for-profi t organization preparing, maintaining, and promoting the accessibility of systematic reviews of the eff ects of health care.
🎓 Viva 39
| 
Item
During the past four weeks
1) How would you describe the pain you usually had from your hip?
2) Have you had any trouble with washing and drying yourself (all over) because of your hip?
3) Have you had any trouble getting in and out of a car or using public transport because of your hip? (whichever you tend to use)
3) Have you been able to put on a pair of socks, stockings or tights?
3) Could you do the household shopping on your own?
Scoring categories
1 None
2 Very mild
3 Mild
4 Moderate5 Severe
1 No trouble at all
2 Very little trouble
3 Moderate trouble
4 Extreme difficulty5 Impossible to do
1 No trouble at all
2 Very little trouble
3 Moderate trouble
4 Extreme difficulty5 Impossible to do
1 Yes, easily
2 With little difficulty
3 With moderate difficulty
4 With extreme difficulty5 No, impossible
1 Yes, easily
2 With little difficulty
3 With moderate difficulty
4 With extreme difficulty
5 No, impossible
The picture above shows part of a questionnaire. What sort of questionnaire is this and when is it used?
What other ways are there of assessing outcome from surgery?
How might outcome measures be used in your practice?
The picture above shows part of a questionnaire, what sort of questionnaire is this and when is it used?
These questions actually come from the Oxford Hip Score, although these details are not as important as recognizing that it represents a patient-reported outcome measure (PROM). They are used for assessment of pre-operative pain and function and post-operative outcome.
What other ways are there of assessing outcome from surgery?
Several types of tool are available to describe outcome after hip surgery such as:
z General morbidity and mortality figures z Generic quality-of-life questionnaires z Disease-specific quality-of-life questionnaires z Joint-specific outcome measures
How might outcome measures be used in your practice?
Outcome measures can be used to evaluate process outcome, including the performance of a surgical unit. They may also be used to evaluate a surgical procedure/prosthesis. The Department of Health now requires all patients undergoing joint replacement to have evaluation using the appropriate ‘Oxford Score’ to audit patient outcome. PROMs have become powerful tools in both clinical practice and clinical research.
🎓 Viva 40

What is this?
How is it constructed?
How does it work?
What is this?
A magnetic resonance imaging (MRI) scanner.
How is it constructed?
It has three main components:
1 . A superconducting electromagnet made of a niobium–titanium or niobium–tin alloy and cooled by liquid helium
2. A radiofrequency (RF) system consisting of a RF synthesizer, power amplifier, and transmitting coil
3. Gradient coils: these determine the positions of protons in the scanning field
How does it work?
1. The human body is composed mainly of water, which contains hydrogen nuclei (protons)
2. Protons align with the magnetic field in the MRI scanner
3. A RF pulse is applied, causing the protons to absorb some of its energy
4. When the RF pulse is turned off the protons release their energy as radio waves
5. The positions of the radio waves are determined by applying pulsed magnetic fields, using the gradient coils .