CASE 15 A 12-year-old male presents to the orthopaedic clinic with several months of right knee pain which limits his ability to participate in sports. The patient cannot recollect a history of trauma but notes pain over the medial aspect of his knee. He is able to participate in most sporting activities but occasionally notes minor swelling. On physical examination, he has a trace effusion with tenderness to palpation over the medial aspect of the knee; particularly over the medial femoral condyle. He has full knee range of motion without any ligamentous instability. Pain is exacerbated when the patient’s leg is flexed 90 degrees, the tibia is internally rotated, and the knee is extended. Pain is relieved when the tibia is externally rotated.
Your next action is:
- Reassure the patient and have them take anti-inflammatory medications.
- Prescribe a course of physical therapy.
- Order an MRI of the patient’s knee.
- Obtain plain films including a tunnel (notch view) of the knee.
Discussion
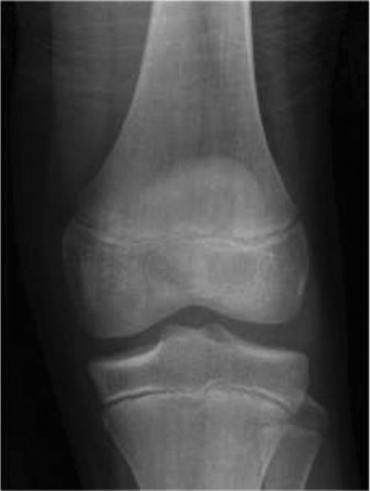
The correct answer is (D). The patient has several months of localized knee pain which is limiting his ability to engage in age-appropriate activities (i.e., sports). The physical examination maneuver described (Wilson’s test) is utilized to diagnose an osteochondritis dissecans (OCD) lesion of the knee. In a pediatric patient with localized pain which is limiting his/her activities, the next step in management should include a radiographic work-up prior to prescribing treatment (i.e., reassurance or physical therapy). Plain films should precede advanced imaging such as an MRI. The tunnel/notch view profiles the posterosuperior articular surface of the medial and lateral condyles where many OCD lesions of the knee are located which can be missed on a standard AP and lateral series of the knee.
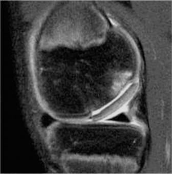
The patient then obtains the following radiograph (Fig. 10–22) which confirms the diagnosis of an OCD lesion of the medial femoral condyle. An MRI is then ordered to examine the lesion further. A T2 image is shown in Figure 10–23.

Figure 10–22

Figure 10–23
Your next action is:
- Arthroscopically drill the lesion in an antegrade manner
- Arthroscopically drill the lesion in a retrograde manner
- A period of protected weight bearing and bracing
- Open reduction and internal fixation of the lesion
Discussion
The correct answer is (C). The patient has an OCD lesion of the posterolateral aspect of the medial femoral condyle which is the most common location for these lesions. Pediatric patients have a much better prognosis for OCD lesions as open distal femoral physes are the best predictor of a successful outcome with nonoperative management. Lesions which have synovial fluid behind the lesion on MRI are potentially unstable and require much more aggressive surgical management to prevent detachment and separation. As this patient is young, has open distal femoral physes, and has no instability on MRI, a trial of conservative treatment is appropriate. Arthroscopic drilling (either antegrade or retrograde) can be performed for stable lesions which have not responded to a trial of conservative management (Fig. 10–24). Open reduction and internal fixation should be reserved for unstable lesions.

Figure 10–24
The patient responds well to a period of nonoperative management and returns to sporting activity. He is playing basketball when he has acute onset of pain, swelling, and decreased range of motion after an awkward landing. Plain radiographs are unremarkable, and a repeat MRI (Fig. 10–25) is obtained.

Figure 10–25
Which of the following is NOT recommended?
- Fixation of the unstable lesion
- Drilling of the unstable lesion
- Microfracture
- Fragment removal and chondroplasty
Discussion
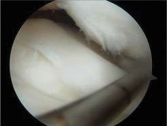
The correct answer is (D). The patient has an unstable lesion on MRI which is acute; therefore every attempt should be made to salvage the lesion. The ideal treatment would be fixation of the lesion although the determination for treatment cannot be made until it is examined arthroscopically. If the lesion is not deemed stable during arthroscopy, then drilling would be a reasonable option (and can be combined with fixation). If the fragment is nonviable, microfracture would be a reasonable option to stimulate fibrocartilage formation as long as the donor site is not too large. Fragment removal and chondroplasty is not ideal for a young patient; particularly one who is engaged in sporting activities. Every attempt should be made to salvage the lesion and/or stimulate new cartilage formation if the fragment is unsalvageable. The lesion is shown arthroscopically (Fig. 10–26). The appropriate treatment option is: 
Figure 10–26
1. Fixation of the unstable lesion
2. Drilling of the unstable lesion
3. Microfracture
4. Mosaicplasty
Discussion
The correct answer is (A). The patient has an unstable lesion on MRI and is demonstrating instability on arthroscopic examination. The fragment is viable therefore fixation of the lesion is optimal. Drilling would be appropriate for a stable lesion but both imaging and clinical findings suggest instability. As the lesion is viable, it should not be removed. Therefore, microfracture and mosaicplasty in the absence of exposed subchondral bone should not be utilized. Objectives: Did you learn...? The clinical presentation and physical examination findings of OCD lesions of the knee?
The appropriate initial radiographic work-up including tunnel/notch views of the knee?
The radiographic criteria for determining stability versus instability of the lesion on MRI?
The criteria for nonoperative treatment of OCD lesions of the knee as well as favorable prognostic factors?
The various surgical treatment options for OCD lesions? CASE 16 A 12-year-old boy presents to your office 2 days after sustaining a noncontact injury to his left knee. He was playing soccer when he injured the knee, though he does not recall any other details about the injury. He could not continue playing due to pain and swelling. He is otherwise healthy and has no prior knee injuries. On physical examination, his left knee range of motion is 10 to 70 degrees, and he has a large effusion. Your ligamentous examination and meniscal tests are equivocal and limited due to guarding. Radiographs show an effusion, but no obvious fracture.
The next best step in treatment is:
- Place the patient in a hinged knee brace and follow-up in 3 to 4 weeks.
- Order a CT scan of the knee to evaluate for an occult fracture.
- Prescribe physical therapy with a focus on regaining range of motion.
- Order an MRI of the knee to evaluate for ligamentous or meniscal injuries.
Discussion
The correct answer is (D). An acute knee effusion in an adolescent patient is often associated with an ACL rupture or patellar dislocation. Physical examination in this setting may be challenging due to patient guarding and pain with physical examination. Abbasi et al. reported that the two most common injuries in 10- to 14-year-old patients with an acute knee effusion were patellar dislocations (36%) and ACL tears (22%). Bracing and physical therapy are not appropriate treatments at this time since a clear diagnosis cannot be determined from the history and physical examination. An occult fracture is not likely given this patient’s age and presentation. CT will not offer the same ability to visualize soft tissue injuries as does the MRI scan.
The MRI is obtained, and the patient returns with his parents to review the images (Figs. 10–27 and 10–28).

Figure 10–27

Figure 10–28 The diagnosis most consistent with the images shown in Figures 10–27 and 10–28 is:
- Mid-substance ACL rupture
- Tibial eminence avulsion fracture
- Lateral patellar dislocation
- Bucket-handle medial meniscus tear
Discussion
The correct answer is (A). The patient has sustained an ACL tear. Once thought to be uncommon amongst pediatric populations, recent studies have shown these injuries are frequently encountered. A tibial eminence avulsion fracture is of concern in adolescent patients, though there is no evidence of injury at this location. The axial view of the patella shows no injury to the medial patellofemoral ligament or bone marrow edema at the patella or femoral trochlea which are signs of a possible patellar dislocation. The medial meniscus is intact.
Follow-up physical examination reveals a 2A Lachman and a positive pivot shift. The remainder of the MRI is negative for meniscal or cartilage lesions. The patient and his parents elect to undergo surgical treatment for his ACL tear. They are interested in reviewing different potential surgical options and are concerned about the possible impacts of this surgery on the patient’s remaining growth.
Which of the following treatment options carries the highest risk of growth disturbance?
- Transphyseal ACL reconstruction with anteromedial portal drilling for the femoral tunnel and hamstring autograft
- All-epiphyseal ACL reconstruction with outside-in drilling for the femoral tunnel and hamstring autograft
- Transphyseal ACL reconstruction with anteromedial portal drilling for the femoral tunnel and patellar tendon autograft
- All-epiphyseal ACL reconstruction with outside-in drilling for the femoral tunnel and posterior tibialis allograft
Discussion
The correct answer is (C). Options for ACL reconstruction in patients with open growth plates include transphyseal and all-epiphyseal reconstruction. For transphyseal reconstructions, multiple studies have demonstrated that the greatest risk for growth disturbance is with a bony block across the physis, such as with patellar tendon autograft. Soft tissue placed across the physis carries little risk for growth disturbance.
You are counseling the patient and his family about graft choices. They inquire about the possibility of using allograft tissue and ask about the risks associated with this selection.
The greatest risk associated with using allograft tissue is:
- Graft failure
- HIV transmission
- Superficial surgical site infection
- Postoperative septic arthritis
Discussion
The correct answer is (A). Allograft ACL reconstruction in the adolescent population is associated with an increased risk of graft failure relative to an autograft reconstruction. This risk has been estimated to be greater than 20% over 2 years in pediatric and adolescent patients. Viral transmission from musculoskeletal allograft tissue is a rare complication and estimated to be approximately 1 in 1 million. Infections following ACL reconstruction, regardless of graft choice, occur infrequently. Deep infection occurs in less than 1% of cases, while the rate for superficial infection is reported at 2.3%. Objectives: Did you learn...? The importance of obtaining advanced imaging for a pediatric patient with an acute knee effusion?
The MRI appearance of an acute ACL rupture and that these injuries are frequently encountered in pediatric patients?
Understanding different options for femoral tunnel drilling in the pediatric patient and the importance of avoiding a bony block across the physis to limit the potential for growth disturbance?
The risk of graft failure observed in pediatric patients with allograft reconstruction? CASE 17 A 10-year-old female soccer player presents to the sports clinic with a several month history of knee pain and swelling along the lateral joint line. The patient notes pain and a snapping sensation laterally. She also describes occasional mechanical symptoms as well. On physical exam she is unable to fully extend the knee. The patient otherwise has a stable ligamentous examination of the knee. Radiographs are obtained and shown in Figure 10–29.

Figure 10–29
The next course of action is:
- Physical therapy for iliotibial band tendonitis
- MRI of the knee
- Corticosteroid injection
- Reassurance
Discussion
The correct answer is (B). The patient’s clinical examination is concerning for meniscal injury (lateral joint line pain) with the snapping sensation concerning for an unstable meniscus. The radiographs demonstrate lateral joint space widening, cupping of the lateral tibial plateau, and a hypoplastic lateral tibial spine—all suggestive of a discoid meniscus. Discoid menisci are classified using the Watanabe classification as complete, incomplete, or Wrisberg (lack of posterior meniscotibial attachment to the tibia). Unstable variants create the classic “snapping” sensation. The diagnosis of a discoid meniscus can be made with three or more 5-mm sagittal images with meniscal continuity. As the patient has had several months of pain with
mechanical symptoms and swelling, reassurance is not appropriate. Although IT band tendonitis can cause “snapping” it is not accompanied by loss of extension and swelling. Corticosteroid injections should be utilized sparingly in the pediatric population; particularly when a diagnosis has not been made. The patient then obtains an MRI which is shown inFigure 10–30. The next appropriate step in management is: 
Figure 10–30
1. Lateral compartment unloader bracing and physical therapy
2. Arthroscopy
3. Long-leg casting × 6 weeks
4. Return to unrestricted sporting activity
Discussion
The correct answer is (B). If the patient were asymptomatic, then the discoid meniscus could simply be observed with a return to unrestricted sporting activity. For a younger patient who is intermittently symptomatic and/or elects to not undergo operative intervention, lateral compartment unloader bracing may be appropriate until the patient and/or family agree to intervention. Long-leg casting is not appropriate and will do nothing more than cause stiffness, loss of strength, and range of motion. As the patient is symptomatic, has mechanical symptoms, and has potential tearing seen on MRI, arthroscopic intervention is indicated to examine the meniscus and intervene. The patient is taken to surgery, and intraoperative images ( Figs. 10–31 and 10–32 **) are shown. The next step in management is:**
1. Complete meniscectomy
2. No intervention; the knee looks normal
3. Saucerization
4. Chondroplasty

Figure 10–31

Figure 10–32
Discussion
The correct answer is (C). The arthroscopic images demonstrate a complete discoid meniscus which is covering the entire lateral tibial plateau. As the patient is symptomatic from the meniscus, saucerization is the first step in management. The meniscus is trimmed back using a combination of shavers and biters to a stable peripheral rim, which replicates the width of the native meniscus. Complete meniscectomy would not be indicated in a patient of this age due to the high risk of early onset degenerative arthritis. In fact, even prior to intervention, many discoid menisci have been associated with the development of lateral hemijoint osteochondral lesions. Although chondroplasty may be necessary, the meniscus is the underlying problem causing chondral wear and must be dealt with first. After saucerization is performed, the meniscus is probed and the following arthroscopic image is seen (Fig. 10–33). The next step in management is: 
Figure 10–33
1. No further work is necessary; the meniscus has been returned to a stable rim
2. Continuation of the saucerization; too much meniscus remains
3. Microfracture of the lateral femoral condyle
4. Repair of the unstable peripheral rim of the meniscus
Discussion
The correct answer is (D). The arthroscopic image demonstrates an unstable peripheral rim of the meniscus which an attempt should be made to repair. The meniscus has been trimmed adequately but instability remains. Further saucerization without repair may lead to very little to no meniscus remaining which can lead to early degeneration. Although chondral damage may be present in association with the meniscus, there is no exposed subchondral bone to suggest the need for microfracture. Various repair techniques (inside-out, outside-in, all-inside) are available to the surgeon and should be utilized based on surgeon preference and experience. Objectives: Did you learn...?
The clinical presentation and physical examination findings of discoid meniscus? The MRI criteria for diagnosis of discoid menisci?
The Watanabe classification of discoid menisci?
The indications for operative intervention and the surgical approach to discoid menisci?
The importance of saucerization and assessment of peripheral rim instability?
The increased risk of OCD lesions and arthritis with this pathology, particularly after total meniscectomy?