وداعًا لآلام الإبهام: الحل الشامل لتثبيت مفصل قاعدة الإبهام بتقويم العظم في اليمن

17 إبريل 2026 11 دقيقة قراءة 58 مشاهدة
صورة توضيحية لـ وداعًا لآلام الإبهام: الحل الشامل لتثبيت مفصل قاعدة الإبهام بتقويم العظم في اليمن

الخلاصة الطبية

تعتبر عملية تثبيت مفصل قاعدة الإبهام بتقويم العظم إجراءً جراحيًا يعالج الألم وعدم الاستقرار في مفصل الإبهام الأساسي (CMC). تتم بمعالجة عظم الإبهام لتخفيف الضغط على الأربطة وتقليل الاحتكاك، وهي بديل فعال لعمليات أخرى في المراحل المبكرة من المشكلة، مما يتيح عودة المريض لحياته الطبيعية. يتم علاجها بخبرة الأستاذ الدكتور محمد هطيف في اليمن.

إجابة سريعة (الخلاصة): تعتبر عملية تثبيت مفصل قاعدة الإبهام بتقويم العظم إجراءً جراحيًا يعالج الألم وعدم الاستقرار في مفصل الإبهام الأساسي (CMC). تتم بمعالجة عظم الإبهام لتخفيف الضغط على الأربطة وتقليل الاحتكاك، وهي بديل فعال لعمليات أخرى في المراحل المبكرة من المشكلة، مما يتيح عودة المريض لحياته الطبيعية. يتم علاجها بخبرة الأستاذ الدكتور محمد هطيف في اليمن.

مقدمة وداعًا لألم الإبهام

هل تجد صعوبة في أبسط مهامك اليومية؟ هل أصبح فتح الزجاجات، الكتابة، استخدام الهاتف، أو حتى الإمساك بملعقة يؤلمك بسبب إبهامك؟ إذا كانت إجابتك "نعم"، فأنت لست وحدك. يعاني الكثيرون، رجالًا ونساءً، في اليمن ومنطقة الخليج العربي، من آلام مزعجة ومُعيقة في مفصل قاعدة الإبهام. هذا الألم لا يؤثر فقط على راحة يدك، بل يمتد ليؤثر على جودة حياتك بأكملها، محدًا من قدرتك على العمل، العناية بأسرتك، وممارسة هواياتك.

في عيادة الأستاذ الدكتور محمد هطيف، ندرك تمامًا مدى الإحباط الذي يمكن أن يسببه هذا النوع من الألم. إن إبهامك هو العمود الفقري ليدك؛ بدونه، تصبح مهام الإمساك والقرص شبه مستحيلة. عندما تتأثر الأربطة الداعمة لمفصل الإبهام، قبل حتى أن يتآكل الغضروف بشكل كبير، يمكن أن تشعر بعدم استقرار وألم وتورم يُعرف بالتهاب الغشاء المفصلي. هذه ليست مجرد "آلام بسيطة" بل هي إشارة إلى مشكلة حقيقية تتطلب اهتمامًا متخصصًا.

لحسن الحظ، الطب الحديث يقدم حلولًا فعالة لهذه المشكلة. واحدة من هذه الحلول المتقدمة، والتي يقدمها الأستاذ الدكتور محمد هطيف بخبرة عالية، هي "عملية تثبيت مفصل قاعدة الإبهام بتقويم العظم". هذا الإجراء لا يهدف فقط إلى تخفيف الألم، بل إلى استعادة وظيفة إبهامك وقوتك، لتعود إليك حريتك في الحركة والاستمتاع بحياتك من جديد.

في هذا الدليل الشامل، سنأخذك في رحلة تفصيلية لفهم مفصل الإبهام، أسباب مشاكله، الأعراض التي قد تشعر بها، الخيارات العلاجية المتاحة – من العلاجات التحفظية إلى التقنيات الجراحية المتقدمة مثل تقويم عظم الإبهام – وصولًا إلى التعافي الكامل. كما سنعرض قصص نجاح حقيقية لمرضى استعادوا حياتهم بفضل العناية الفائقة للأستاذ الدكتور محمد هطيف. هدفنا هو تزويدك بالمعلومات التي تحتاجها لاتخاذ قرار مستنير والعودة إلى حياة خالية من الألم.

فهم مفصل الإبهام

لفهم مشكلة عدم استقرار مفصل الإبهام وآلامه، يجب أن نبدأ بفهم هذا المفصل الفريد من نوعه، الذي يعتبر حجر الزاوية في وظيفة اليد. يقع مفصل قاعدة الإبهام، أو ما يعرف بالمفصل الكاربي الميتارسي للإبهام (Carpometacarpal أو CMC joint)، في قاعدة إبهامك، حيث يلتقي عظم الإبهام (المشط الأول) بعظم صغير من عظام الرسغ يُسمى العظم المربعي.

تصميم مفصل الإبهام

يُصنف هذا المفصل على أنه "مفصل سرجي" (saddle joint) نظرًا لشكله المميز، حيث يتداخل سطحان مفصليان بشكل يشبه السرج. هذا التصميم يمنح الإبهام نطاقًا واسعًا جدًا من الحركة، مما يسمح لنا بأداء حركات معقدة مثل:
* المقابلة (Opposition): وهي القدرة على لمس طرف الإبهام لأطراف الأصابع الأخرى، وهي حركة حيوية للإمساك بالأشياء والقرص.
* الثني والمد (Flexion and Extension): تحريك الإبهام للأمام والخلف.
* التبعيد والتقريب (Abduction and Adduction): تحريك الإبهام بعيدًا عن اليد وتقريبه منها.

هذه المرونة الهائلة هي ما يجعل إبهامنا أداة لا غنى عنها في كل تفاصيل حياتنا، من الكتابة والتلوين إلى حمل الأشياء الثقيلة.

الأربطة واستقرار المفصل

على الرغم من مرونته، يفتقر مفصل قاعدة الإبهام إلى قيود عظمية كبيرة تمنحه الاستقرار. لذلك، يعتمد بشكل كبير على شبكة معقدة من الأربطة القوية للحفاظ على استقراره. تخيل الأربطة كحبال متينة تربط العظام ببعضها البعض، وتمنعها من الانزلاق أو التحرك بشكل مفرط. هذه الأربطة ضرورية بشكل خاص نظرًا للقوى الضاغطة الهائلة التي تنتقل عبر المفصل عند القيام بمهام القرص والإمساك، والتي قد تكون أقوى بعشر مرات من قوة القرص نفسها.

من بين هذه الأربطة، يلعب الرباط المائل الأمامي (Anterior Oblique Ligament)، والذي يُعرف أحيانًا بـ "رباط المنقار" (beak ligament) نظرًا لموضع ارتكازه، دورًا حاسمًا في الاستقرار الأساسي للمفصل. إنه يعمل كدعامة رئيسية، خاصة خلال حركات المقابلة والدوران، والتي تعد ضرورية لوظيفة الإبهام السليمة.

عندما تتعرض هذه الأربطة للضعف، التمطط، أو التمزق، يفقد المفصل استقراره. هذا الخلل في الاستقرار هو ما يؤدي إلى المشاكل التي سنتناولها في الأقسام التالية، والتي قد تتطور بمرور الوقت إلى ألم مزمن، التهاب، وفي النهاية، تآكل الغضاريف والمفاصل. الأستاذ الدكتور محمد هطيف، بخبرته التشريحية والجراحية العميقة، يدرك هذه التفاصيل الدقيقة ويستخدمها لتشخيص وتقديم العلاج الأنسب.

أسباب ألم وعدم استقرار مفصل الإبهام وأعراضه

إن ألم وعدم استقرار مفصل قاعدة الإبهام ليس مشكلة مفاجئة في معظم الحالات، بل هو نتيجة لتفاعل عدة عوامل تتطور مع مرور الوقت. فهم هذه الأسباب والأعراض المبكرة أمر بالغ الأهمية للتشخيص المبكر والعلاج الفعال، وهو ما يشدد عليه الأستاذ الدكتور محمد هطيف في كل استشارة.

أسباب ضعف الأربطة وعدم استقرار المفصل

  1. الاستخدام المتكرر والمجهود الزائد (Overuse and Repetitive Strain):
    • يُعد هذا السبب الأكثر شيوعًا. المهن التي تتطلب استخدامًا مكثفًا للإبهام واليد (مثل النجارين، عمال البناء، الأطباء، الرسامين، العاملين على الحاسوب) أو الهوايات التي تتضمن حركات قرص وإمساك متكررة (مثل الحياكة، العزف على الآلات الموسيقية، ممارسة بعض الرياضات) تزيد الضغط على الأربطة بمرور الوقت، مما يؤدي إلى تمططها وضعفها.
  2. العمر وعوامل التآكل الطبيعية:
    • مع التقدم في العمر، تفقد الأربطة مرونتها وقوتها بشكل طبيعي. هذا الضعف يجعلها أقل قدرة على دعم المفصل بكفاءة، مما يزيد من خطر عدم الاستقرار.
  3. الإصابات والرضوض:
    • على الرغم من أن المفصل الكاربي الميتارسي للإبهام لا يتعرض للإصابات الحادة بنفس القدر مثل بعض المفاصل الأخرى، إلا أن السقوط على اليد الممدودة أو التعرض لضربة مباشرة يمكن أن يتسبب في تمزق أو تمطط الأربطة، مما يؤدي إلى عدم استقرار فوري أو متأخر.
  4. الاستعداد الوراثي:
    • قد يكون لدى بعض الأفراد استعداد وراثي لضعف الأنسجة الرخوة والأربطة، مما يجعلهم أكثر عرضة للإصابة بهذه المشكلة حتى مع مجهود بسيط.
  5. التهابات المفاصل المبكرة:
    • في بعض الحالات، قد يكون عدم الاستقرار هو علامة مبكرة لالتهاب المفاصل التنكسي (Osteoarthritis)، حيث يبدأ الغضروف بالتأثر جزئيًا، وتتفاعل الأربطة مع هذا التغير.

أعراض مفصل الإبهام

تتطور أعراض عدم استقرار مفصل الإبهام عادةً بشكل تدريجي، ولكن من المهم التعرف عليها مبكرًا لطلب المساعدة. يصف المرضى عادةً الأعراض التالية:

  • الألم في قاعدة الإبهام:
    • عادة ما يكون الألم هو العرض الأول والأكثر وضوحًا. قد يكون خفيفًا في البداية ويزداد سوءًا مع النشاط. يتركز الألم بشكل خاص في المنطقة التي يلتقي فيها الإبهام بالرسغ.
    • يزداد الألم عند القيام بحركات القرص، الإمساك، العصر، فتح الزجاجات، أو استخدام مفتاح.
    • قد يكون هناك ألم مستمر، أو ألم يظهر عند لمس المفصل المصاب.
  • ضعف في قوة الإمساك والقرص:
    • يجد المرضى صعوبة في الإمساك بالأشياء بقوة، أو قد يسقطون الأشياء بشكل متكرر.
    • يصبح القرص بين الإبهام والسبابة مؤلمًا وضعيفًا.
  • صوت "طقطقة" أو "صرير" في المفصل:
    • قد يشعر المريض أو يسمع صوت احتكاك أو طقطقة عند تحريك الإبهام، مما يشير إلى احتكاك غير طبيعي داخل المفصل.
  • تصلب وتورم:
    • قد يلاحظ بعض المرضى تصلبًا في المفصل، خاصة في الصباح أو بعد فترات الخمول.
    • يمكن أن يحدث تورم خفيف حول قاعدة الإبهام بسبب الالتهاب.
  • نقص في نطاق الحركة:
    • مع تفاقم الحالة، قد يجد المريض صعوبة في تحريك إبهامه بالكامل، مما يؤثر على قدرته على أداء المهام اليومية.
  • تشوه المفصل (في الحالات المتقدمة):
    • في المراحل المتأخرة، قد يصبح المفصل متضخمًا أو مشوهًا بصريًا، ولكن عملية تقويم العظم تهدف إلى التدخل قبل الوصول إلى هذه المرحلة.

إذا كنت تعاني من أي من هذه الأعراض، فمن الضروري استشارة طبيب متخصص في جراحة العظام واليد. الأستاذ الدكتور محمد هطيف يقدم تقييمًا دقيقًا يعتمد على الفحص السريري والتصوير التشخيصي لتحديد السبب الجذري لمشكلتك ووضع خطة علاجية مخصصة. التشخيص المبكر يفتح الباب أمام خيارات علاجية أقل تدخلاً وأكثر فعالية، مما يضمن لك أفضل النتائج.

خيارات العلاج التحفظي والجراحي

عندما يتعلق الأمر بمعالجة آلام وعدم استقرار مفصل الإبهام، يتبنى الأستاذ الدكتور محمد هطيف نهجًا شاملاً يبدأ دائمًا بالخيارات الأقل توغلًا، وينتقل إلى الحلول الجراحية المتقدمة عند الضرورة. الهدف الأساسي هو تخفيف الألم، استعادة الوظيفة، وتحسين جودة الحياة لمرضاه في اليمن والخليج العربي.

العلاجات التحفظية

هذه الخيارات هي الخط الأول للعلاج، وتهدف إلى تخفيف الأعراض وتحسين استقرار المفصل دون الحاجة إلى تدخل جراحي. ينصح بها الأستاذ الدكتور محمد هطيف عادةً في المراحل المبكرة من المشكلة أو للمرضى الذين لا يستطيعون الخضوع للجراحة.

  1. الراحة وتعديل النشاط:
    • يعد تقليل أو تجنب الأنشطة التي تزيد من الألم والضغط على المفصل خطوة أساسية. قد يتضمن ذلك تغيير طريقة الإمساك بالأشياء أو استخدام أدوات مساعدة.
  2. الجبائر والدعامات (Splinting and Bracing):
    • يمكن أن يساعد ارتداء جبيرة خاصة بالإبهام أو دعامة في تثبيت المفصل وتقليل حركته غير المرغوب فيها، مما يمنح الأربطة فرصة للراحة والتعافي ويقلل الألم. يمكن استخدامها ليلاً أو أثناء الأنشطة المجهدة.
  3. الأدوية المسكنة والمضادة للالتهاب:
    • يمكن استخدام الأدوية المضادة للالتهاب غير الستيرويدية (NSAIDs) مثل الإيبوبروفين أو النابروكسين لتخفيف الألم والالتهاب. يمكن أيضًا استخدام الكريمات والمراهم الموضعية.
  4. العلاج الطبيعي وإعادة التأهيل (Physical Therapy):
    • يهدف إلى تقوية العضلات المحيطة بالإبهام والرسغ، مما يوفر دعمًا إضافيًا للمفصل ويحسن من استقراره. يشمل تمارين لتحسين نطاق الحركة، المرونة، والقوة.
    • يتم توجيه المرضى عادةً إلى أخصائيي العلاج الطبيعي المتخصصين في علاج اليد لضمان أفضل النتائج.
  5. حقن الكورتيكوستيرويد:
    • يمكن لحقن الكورتيزون المباشرة في المفصل أن توفر تخفيفًا مؤقتًا وفعالًا للألم والالتهاب، لكنها ليست حلًا دائمًا ولا ينصح بتكرارها بشكل مفرط.
  6. حقن البلازما الغنية بالصفائح الدموية (PRP):
    • في بعض الحالات، يمكن استخدام حقن البلازما الغنية بالصفائح الدموية للمساعدة في تعزيز الشفاء وتقليل الالتهاب، على الرغم من أن فعاليتها لا تزال قيد الدراسة بشكل أوسع.

مقارنة العلاج التحفظي والجراحي

الميزة/الجانب العلاج التحفظي العلاج الجراحي (تقويم العظم)
التدخل غير جراحي، يعتمد على الراحة والعلاج الطبيعي. جراحي، يتطلب شقًا جراحيًا وتثبيتًا داخليًا.
الشفاء قد يستغرق وقتًا أطول، قد لا يكون كاملًا. أسرع وأكثر شمولًا، مع استعادة قوية للوظيفة.
الفعالية يخفف الأعراض، لكنه لا يعالج السبب الجذري دائمًا. يعالج السبب الجذري لعدم الاستقرار، ويمنع التدهور.
متى يوصى به في المراحل المبكرة أو كخط دفاع أول. عندما تفشل العلاجات التحفظية، أو في المراحل المتوسطة.
المخاطر قليلة جدًا، تقتصر على الآثار الجانبية للأدوية. أي عملية جراحية تحمل مخاطر (العدوى، التخدير، التصلب).
النتائج طويلة الأمد قد تكون محدودة، وقد تعود الأعراض. نتائج ممتازة في تخفيف الألم واستعادة الوظيفة.

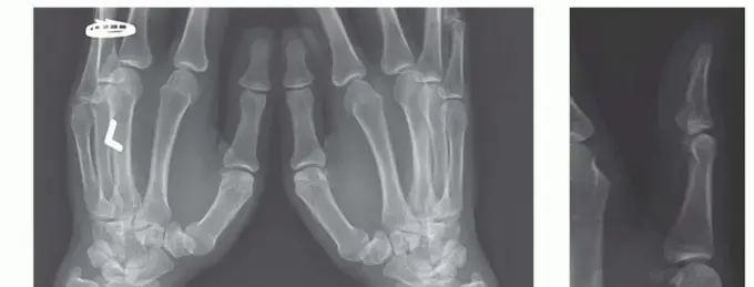
العلاج الجراحي تثبيت مفصل الإبهام بتقويم العظم

عندما تفشل العلاجات التحفظية في توفير راحة دائمة، أو عندما تكون حالة عدم استقرار المفصل متقدمة بما يكفي لتسبب إزعاجًا كبيرًا وتؤثر على جودة الحياة، يصبح التدخل الجراحي هو الحل الأمثل. الأستاذ الدكتور محمد هطيف هو رائد في إجراء "عملية تثبيت مفصل قاعدة الإبهام بتقويم العظم" (Thumb Metacarpal Extension Osteotomy) التي تعتبر حلًا ثوريًا في المراحل المبكرة والمتوسطة من عدم استقرار المفصل.

عملية تقويم عظم الإبهام بالتمديد

هذا الإجراء الجراحي الدقيق يهدف إلى إعادة تشكيل أو تعديل عظم الإبهام (عظم المشط الأول) في قاعدته، عند نقطة اتصاله بالعظم المربعي. الفكرة الأساسية هي تغيير الزاوية التي يجلس بها عظم الإبهام في المفصل، مما يحقق عدة أهداف رئيسية:

  1. تخفيف الضغط على الأربطة: عن طريق تعديل وضعية العظم، يتم تقليل الضغط والإجهاد الذي تتعرض له الأربطة الضعيفة أو المتمططة، مما يسمح لها بالراحة والشفاء.
  2. تحسين استقرار المفصل: تساعد هذه العملية في إعادة تموضع المفصل بشكل أكثر استقرارًا، مما يقلل من الحركة غير الطبيعية التي تسبب الألم والالتهاب.
  3. منع تدهور المفصل: من خلال استعادة الاستقرار وتقليل الاحتكاك، يمكن أن تساعد العملية في حماية الغضروف المتبقي ومنع تطور التهاب المفاصل الشديد في المستقبل.
  4. **بديل فعال: ** هذه العملية تعتبر بديلًا ممتازًا لعمليات أخرى أكثر توغلاً، مثل إعادة بناء الأربطة أو استئصال المفصل الجزئي في المراحل المبكرة، لأنها تحافظ على جزء كبير من المفصل الطبيعي.

متى يوصى بتقويم عظم الإبهام

يوصي الأستاذ الدكتور محمد هطيف بهذه العملية بشكل خاص للمرضى الذين يعانون من:
* ألم شديد ومستمر في قاعدة الإبهام لا يستجيب للعلاجات التحفظية.
* عدم استقرار واضح في المفصل، عادة ما يكون مصحوبًا بشعور "بالطقطقة" أو "الانزلاق".
* مراحل مبكرة إلى متوسطة من المشكلة، حيث تكون الأربطة قد تأثرت ولكن الغضروف لا يزال سليمًا إلى حد كبير (ما يعادل ما يعرف بمرحلة إيتون الأولى).

كيف تتم العملية

تُجرى العملية عادة تحت التخدير الموضعي أو العام، وتتضمن الخطوات التالية:
1. شق جراحي صغير: يتم عمل شق صغير ودقيق في قاعدة الإبهام.
2. قطع العظم: باستخدام أدوات جراحية متخصصة، يقوم الجراح بقطع دقيق في عظم المشط الأول (الإبهام) بالقرب من قاعدته.
3. إعادة التموضع والتثبيت: يتم إعادة تموضع الجزء المقطوع من العظم بزاوية معينة لتحقيق الاستقرار المطلوب. ثم يتم تثبيت العظم في موضعه الجديد باستخدام ألواح ومسامير صغيرة مخصصة. هذه الألواح والمسامير عادة ما تكون دائمة ولكن يمكن إزالتها في وقت لاحق إذا لزم الأمر.
4. إغلاق الجرح: يتم إغلاق الشق الجراحي بعناية.

الأستاذ الدكتور محمد هطيف يستخدم أحدث التقنيات وأكثرها دقة لضمان أفضل النتائج بأقل قدر من التدخل، مما يسرع عملية التعافي.

فوائد عملية تقويم عظم الإبهام

  • تخفيف فعال للألم: الهدف الأساسي هو القضاء على الألم المزمن أو تقليله بشكل كبير.
  • تحسين وظيفة اليد والإبهام: استعادة القدرة على الإمساك، القرص، وأداء المهام اليومية بسهولة.
  • استقرار طويل الأمد: توفير دعم دائم للمفصل وتقليل خطر عدم الاستقرار المتكرر.
  • الحفاظ على المفصل: على عكس عمليات استبدال المفصل، تحافظ هذه العملية على المفصل الطبيعي قدر الإمكان.
  • الوقاية من التدهور المستقبلي: تساعد في إبطاء أو منع تطور التهاب المفاصل المتقدم.

إن قرار الخضوع للجراحة هو قرار شخصي، ولكن مع خبرة وتوجيهات الأستاذ الدكتور محمد هطيف، يمكنك أن تكون واثقًا من أنك ستتخذ الخيار الأفضل لصحتك وراحتك.

التعافي وإعادة التأهيل

تُعد عملية تثبيت مفصل قاعدة الإبهام بتقويم العظم مجرد بداية لرحلة التعافي. النجاح الكامل لا يقتصر على مهارة الجراح فحسب، بل يعتمد بشكل كبير على التزام المريض ببرنامج إعادة التأهيل. يشدد الأستاذ الدكتور محمد هطيف وفريقه الطبي على أهمية العلاج الطبيعي الموجه، وتقديم دعم شامل لمرضاه في كل خطوة من خطوات التعافي.

المرحلة الأولى الرعاية بعد الجراحة

  • الضماد والجبيرة/الدعامة: بعد الجراحة مباشرة، سيتم وضع ضماد وغالبًا جبيرة أو دعامة لحماية الإبهام وتثبيته. هذا ضروري لضمان شفاء العظم والأنسجة الرخوة في وضعها الجديد.
  • إدارة الألم: سيصف لك الأستاذ الدكتور محمد هطيف مسكنات الألم اللازمة للتحكم في أي إزعاج بعد الجراحة. من المهم تناولها حسب التوجيهات.
  • الراحة والرفع: يجب إبقاء اليد مرتفعة (أعلى مستوى القلب) قدر الإمكان لتقليل التورم.
  • متابعة الجرح: سيتم تعليمك كيفية العناية بالجرح، ومراقبة أي علامات للعدوى. تتم إزالة الغرز عادة بعد

آلام العظام والمفاصل المزمنة ليس قدراً محتوماً! التشخيص الدقيق والعلاج المتخصص يمكن أن يعيد لك كامل وظيفتك وحريتك في الحركة بدون ألم.

للحصول على استشارة دقيقة وخطة علاجية مخصصة لحالتك، تواصل فوراً مع مركز الأستاذ الدكتور محمد هطيف:

الأستاذ الدكتور محمد هطيف - أفضل دكتور عظام في صنعاء، وخبير في جراحات العظام والمفاصل المتقدمة.


Dr. Mohammed Hutaif
محتوى موثق طبياً
أ.د. محمد هطيف
استشاري جراحة العظام والعمود الفقري
محتويات المقال