كسر غالييزي وخلع مفصل الرسغ: دليل شامل للمرضى من الدكتور محمد هطيف

17 إبريل 2026 14 دقيقة قراءة 58 مشاهدة
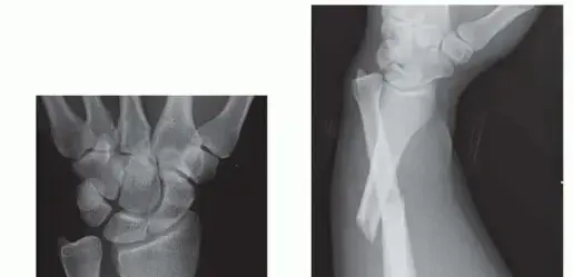
صورة توضيحية لـ كسر غالييزي وخلع مفصل الرسغ: دليل شامل للمرضى من الدكتور محمد هطيف

الخلاصة الطبية

كسر غالييزي هو كسر في عظم الكعبرة بالساعد يترافق مع خلع في المفصل الزندي الكعبري البعيد في الرسغ. يتطلب العلاج عادةً تثبيت الكسر جراحيًا بالصفائح والمسامير، وفي بعض الحالات، تثبيت المفصل المخلوع لضمان الشفاء التام واستعادة وظيفة اليد والرسغ.

إجابة سريعة (الخلاصة): كسر غالييزي هو كسر في عظم الكعبرة بالساعد يترافق مع خلع في المفصل الزندي الكعبري البعيد في الرسغ. يتطلب العلاج عادةً تثبيت الكسر جراحيًا بالصفائح والمسامير، وفي بعض الحالات، تثبيت المفصل المخلوع لضمان الشفاء التام واستعادة وظيفة اليد والرسغ.

تُعد إصابات اليد والرسغ من أكثر الإصابات شيوعًا وتأثيرًا على جودة الحياة اليومية، فقدرتنا على أداء المهام الأساسية تعتمد بشكل كبير على سلامة هذه الأجزاء المعقدة من الجسم. ومن بين هذه الإصابات، يبرز "كسر غالييزي" كحالة تستدعي اهتمامًا خاصًا وفهمًا عميقًا، نظرًا لتأثيره المزدوج على عظمتي الساعد والمفصل الحيوي الذي يربطهما بالرسغ.

في هذا الدليل الشامل، سنأخذك في رحلة تفصيلية لفهم كسر غالييزي، بدءًا من تشريح الساعد والرسغ وصولًا إلى أحدث طرق التشخيص والعلاج والتعافي. ويسعدنا أن نقدم هذه المعلومات القيمة بالاستناد إلى الخبرة الواسعة والرؤية الثاقبة لأحد أبرز أطباء جراحة العظام في المنطقة، الأستاذ الدكتور محمد هطيف، الذي يُعد المرجع الأول في صنعاء واليمن لتقديم الرعاية الطبية المتقدمة والحلول الجراحية الدقيقة لمثل هذه الحالات المعقدة.

نتفهم جيدًا أن مصطلح "كسر غالييزي" قد يبدو مخيفًا للوهلة الأولى، وأن الألم وعدم القدرة على تحريك اليد والرسغ يمكن أن يسببا قلقًا كبيرًا. لكننا هنا لنطمئنك بأن العلم والطب قد قطعا شوطًا طويلًا في فهم وعلاج هذه الإصابات. هدفنا من هذا الدليل هو تبسيط المعلومات المعقدة، وتقديمها بأسلوب واضح ومفهوم، لتمكينك من اتخاذ قرارات مستنيرة بشأن صحتك والتعافي بثقة وأمل.

سواء كنت تعاني من هذه الإصابة، أو أن أحد أحبائك يمر بها، فإن هذا الدليل سيزودك بالمعرفة اللازمة حول ماهية هذه الإصابة، وكيفية تشخيصها، وما هي خيارات العلاج المتاحة، وكيف يمكنك أن تلعب دورًا فعالاً في رحلة شفائك. مع الدكتور محمد هطيف وفريقه المتخصص، يمكنك أن تتطلع إلى استعادة وظيفة يدك ورسغك بالكامل، والعودة إلى ممارسة حياتك الطبيعية بكامل النشاط والحيوية.

ما هو كسر غالييزي فهم الإصابة المركبة

كسر غالييزي (Galeazzi Fracture) ليس مجرد كسر بسيط في عظم واحد، بل هو إصابة معقدة تجمع بين أمرين رئيسيين:
1. كسر في عظم الكعبرة (Radius): وهو أحد عظمتي الساعد الطويلتين، ويقع عادة في الجزء السفلي منه (القريب من الرسغ).
2. خلع في المفصل الزندي الكعبري البعيد (Distal Radioulnar Joint - DRUJ): هذا المفصل يربط بين عظم الكعبرة وعظم الزند (العظم الآخر في الساعد) عند منطقة الرسغ.

ببساطة، تخيل أن ذراعك السفلي مكون من عظمتين متوازيتين (الكعبرة والزند) تنتهيان عند الرسغ بمفصل يسمح بحركة اليد والدوران. في حالة كسر غالييزي، تتعرض إحدى هاتين العظمتين (الكعبرة) للكسر، وفي نفس الوقت، ينفصل المفصل الذي يربطها بالعظم الآخر (الزند) عن مكانه الطبيعي، مما يؤدي إلى عدم استقرار في منطقة الرسغ والساعد. هذا التزامن بين الكسر والخلع هو ما يجعل هذه الإصابة مميزة وتستدعي عناية خاصة.

لماذا يُعد هذا الكسر مميزًا

يكمن التحدي في كسر غالييزي في طبيعته المركبة. فمعالجة الكسر في عظم الكعبرة وحده قد لا تكون كافية إذا لم يتم التعامل مع خلع المفصل في نفس الوقت. إذا تُرك الخلع دون علاج أو لم يُعالج بشكل صحيح، فقد يؤدي ذلك إلى:
* ألم مزمن في الرسغ.
* صعوبة في تحريك اليد والرسغ، خاصة في حركات الدوران (مثل قلب راحة اليد لأعلى أو لأسفل).
* ضعف في قبضة اليد.
* عدم استقرار في الرسغ.

لذلك، يتطلب علاج كسر غالييزي مقاربة دقيقة تضمن استعادة الشكل التشريحي الصحيح لعظم الكعبرة، بالإضافة إلى إعادة تثبيت واستقرار المفصل الزندي الكعبري البعيد. هذه هي نقطة التميز في الخبرة التي يقدمها الأستاذ الدكتور محمد هطيف، حيث يركز على استعادة الوظيفة الكاملة للذراع وليس فقط إصلاح الكسر.

نظرة مبسطة على تشريح الساعد والرسغ

لفهم أفضل لكسر غالييزي، دعنا نلقي نظرة مبسطة على الأجزاء الرئيسية للساعد والرسغ التي تتأثر بهذه الإصابة. إن جسم الإنسان مصمم بطريقة مدهشة، وكل جزء يعمل بتناغم ليؤدي وظيفته على أكمل وجه.

عظمتي الساعد الكعبرة والزند

الساعد هو الجزء من ذراعك الذي يمتد من المرفق إلى الرسغ، ويتكون من عظمتين طويلتين رئيسيتين:
* عظم الكعبرة (Radius): وهي العظم الأكبر من الاثنين عند الرسغ، وتقع في نفس اتجاه الإبهام. تلعب الكعبرة دورًا حاسمًا في حركة الرسغ ودوران الساعد. الكسر في هذا العظم هو الجزء الأول من إصابة غالييزي.
* عظم الزند (Ulna): وهي العظم الآخر في الساعد، وتقع في اتجاه الإصبع الصغير. على الرغم من أنها لا تشكل الجزء الرئيسي من مفصل الرسغ مباشرة (مقارنة بالكعبرة)، إلا أنها أساسية لاستقرار المفصل الزندي الكعبري البعيد.

المفصل الزندي الكعبري البعيد (DRUJ)

هذا المفصل هو نقطة الالتقاء بين عظم الكعبرة وعظم الزند في الجزء السفلي من الساعد، بالقرب من الرسغ. وظيفته الأساسية هي السماح بحركات الدوران للساعد (الكب والاستلقاء)، وهي الحركات التي تسمح لك بقلب يدك لأعلى وأسفل.

  • تركيبة المفصل: يتكون المفصل الزندي الكعبري البعيد من رأس عظم الزند الذي يستقر داخل تجويف خاص في عظم الكعبرة. العلاقة بين هذين الجزأين ليست محكمة للغاية، مما يمنحها مرونة كبيرة لحركة الدوران. هذه المرونة تجعل المفصل يعتمد بشكل كبير على الأربطة والأنسجة الرخوة المحيطة به للحفاظ على استقراره.

الأنسجة الداعمة الأربطة والغضاريف

لأن المفصل الزندي الكعبري البعيد بطبيعته "فضفاض" للسماح بالدوران، فإنه يعتمد على مجموعة من الأنسجة الرخوة لتبقى العظام في مكانها وتعمل بشكل سليم. هذه الأنسجة تشمل:
* الأربطة الزندية الكعبرية الظهرية والراحية: تُعد هذه الأربطة جزءًا من تركيب معقد يسمى "المثلث الغضروفي الليفي" (Triangular Fibrocartilage Complex - TFCC). هي الأربطة الأساسية التي تثبت المفصل وتمنع خروجه عن مكانه. تخيلها كأحزمة مطاطية قوية تثبت العظام معًا.
* الغشاء بين العظمين (Interosseous Membrane): وهو طبقة قوية من الأنسجة تربط بين عظم الكعبرة والزند على طول الساعد. يلعب الجزء السفلي من هذا الغشاء دورًا ثانويًا في استقرار المفصل الزندي الكعبري البعيد.

عند حدوث كسر غالييزي، لا يتعرض عظم الكعبرة للكسر فحسب، بل يمكن أن تتضرر هذه الأربطة الحيوية أيضًا، مما يؤدي إلى خلع المفصل الزندي الكعبري البعيد وعدم استقراره. فهم هذه العلاقة المعقدة بين العظام والأربطة يساعدنا على تقدير أهمية العلاج الدقيق والشامل.

أسباب وأعراض كسر غالييزي متى يجب أن تشك

تحدث إصابات كسر غالييزي عادة نتيجة قوة كبيرة ومفاجئة تؤثر على الساعد والرسغ. فهم الأسباب والأعراض المبكرة أمر بالغ الأهمية للحصول على التشخيص والعلاج المناسبين في أسرع وقت ممكن.

الأسباب الشائعة لكسر غالييزي

غالبًا ما ينتج كسر غالييزي عن حوادث تؤدي إلى وضع ضغط كبير أو التواء على الساعد والرسغ. تتضمن الأسباب الشائعة ما يلي:
* السقوط على يد ممدودة: هذا هو السبب الأكثر شيوعًا. عندما يسقط الشخص ويحاول حماية نفسه بمد يده إلى الأمام، يمكن أن ينتقل كامل وزن الجسم وقوة الصدمة إلى عظم الكعبرة، مما يؤدي إلى كسره وخلع المفصل الزندي الكعبري البعيد.
* حوادث السيارات أو الدراجات النارية: يمكن أن تؤدي الصدمات المباشرة والقوية التي يتعرض لها الساعد أو الرسغ أثناء حوادث المرور إلى هذه الإصابة.
* الإصابات الرياضية: الرياضات التي تتضمن مخاطر السقوط أو الاصطدام، مثل التزلج، ركوب الدراجات، أو رياضات التلامس، يمكن أن تسبب كسر غالييزي.
* الصدمات المباشرة: أي ضربة قوية ومباشرة على الساعد، على الرغم من أنها أقل شيوعًا، يمكن أن تسبب الكسر والخلع.

الأعراض التي قد تشير إلى كسر غالييزي

بعد التعرض لإصابة قد تؤدي إلى كسر غالييزي، ستظهر عليك عادةً مجموعة من الأعراض الواضحة. من المهم جدًا عدم تجاهل هذه الأعراض وطلب المساعدة الطبية الفورية:
* ألم شديد ومفاجئ: في منطقة الساعد والرسغ، ويزداد سوءًا مع أي محاولة لتحريك اليد أو الساعد.
* تورم ملحوظ: حول منطقة الكسر والرسغ، وقد ينتشر إلى اليد.
* تشوه واضح في الساعد أو الرسغ: قد تلاحظ أن الساعد يبدو ملتويًا أو أن الرسغ يبدو غير طبيعي أو أن هناك نتوءًا أو بروزًا غير معتاد. هذا التشوه غالبًا ما يكون مؤشرًا على خلع المفصل الزندي الكعبري البعيد.
* عدم القدرة على تحريك الرسغ أو الساعد: ستجد صعوبة بالغة أو استحالة في ثني أو مد الرسغ، أو تدوير الساعد (لف راحة اليد لأعلى أو لأسفل).
* كدمات: قد تظهر كدمات (تغير لون الجلد إلى الأزرق أو الأرجواني) في منطقة الإصابة بعد فترة وجيزة من الحادث.
* إحساس بالطقطقة أو الاحتكاك: قد يشعر المريض أو يسمع صوت طقطقة أو احتكاك عند محاولة تحريك الساعد أو الرسغ، مما يشير إلى احتكاك العظام المكسورة أو المفصل المخلوع.

إذا واجهت أيًا من هذه الأعراض بعد إصابة، خاصة سقوط أو صدمة قوية، فمن الضروري أن تتوجه فورًا إلى أقرب مركز طبي متخصص لتقييم الحالة. التشخيص المبكر والدقيق أمر حيوي لتجنب المضاعفات وضمان أفضل النتائج للعلاج. الأستاذ الدكتور محمد هطيف وفريقه على أتم الاستعداد لتقديم الرعاية الطارئة والتشخيص الدقيق لمثل هذه الحالات في صنعاء.

التشخيص كيف يتم تحديد كسر غالييزي

عندما تصل إلى العيادة أو قسم الطوارئ مع أعراض كسر في الساعد والرسغ، فإن الخطوات التشخيصية ضرورية لتحديد طبيعة الإصابة بدقة، والتأكد ما إذا كانت حالة كسر غالييزي أم لا. يتبع الأستاذ الدكتور محمد هطيف منهجًا دقيقًا وشاملاً للتشخيص لضمان تحديد الخطة العلاجية الأنسب.

الفحص السريري الدقيق

يبدأ التشخيص بفحص سريري شامل للمنطقة المصابة. سيقوم الطبيب بما يلي:
* الاستفسار عن تاريخ الإصابة: متى وكيف حدثت الإصابة؟ ما هي الأعراض التي تشعر بها؟ هل يوجد ألم شديد؟
* ملاحظة التورم والتشوه: سيقوم بفحص الساعد والرسغ بصريًا لتحديد وجود أي تورم، كدمات، أو تشوه واضح يشير إلى كسر أو خلع.
* تقييم الألم: تحديد نقاط الألم الأكثر حدة عند اللمس أو محاولة الحركة.
* فحص وظائف الأعصاب والأوعية الدموية: للتأكد من عدم وجود ضرر للأعصاب أو الأوعية الدموية في اليد أو الأصابع، حيث أن الإصابات الشديدة يمكن أن تؤثر عليها. سيطلب منك الطبيب تحريك أصابعك، والإحساس باللمس، وفحص النبض.
* تقييم حركة الرسغ والساعد: سيحاول الطبيب بلطف تحريك الرسغ والساعد لتقييم مدى الألم وقيود الحركة، والبحث عن علامات عدم الاستقرار في المفصل الزندي الكعبري البعيد.

التصوير بالأشعة السينية (X-rays)

تُعد الأشعة السينية هي الأداة التشخيصية الأكثر أهمية وتوفر المعلومات الأساسية. سيتم التقاط عدة صور بالأشعة السينية من زوايا مختلفة (أمامية، جانبية، ومائلة) للساعد والرسغ.
* تحديد الكسر: ستظهر الأشعة السينية بوضوح مكان ونوع الكسر في عظم الكعبرة، وما إذا كان كسرًا بسيطًا، مفتتًا، أو مائلًا.
* تحديد الخلع: تُظهر الأشعة السينية أيضًا ما إذا كان المفصل الزندي الكعبري البعيد مخلوعًا أم لا. يمكن للطبيب رؤية رأس الزند وهو لا يستقر في مكانه الطبيعي بالنسبة للكعبرة. في بعض الحالات، قد لا يكون الخلع واضحًا جدًا في الأشعة السينية، ولكن الكسر في الكعبرة مع وجود علامات غير مباشرة (مثل اتساع المسافة بين العظمتين) قد يشير إليه.

الفحوصات الإضافية (عند الضرورة)

في بعض الحالات المعقدة، قد يطلب الأستاذ الدكتور محمد هطيف فحوصات تصوير إضافية لتقييم شامل للإصابة:
* الأشعة المقطعية (CT Scan): توفر صورًا ثلاثية الأبعاد للعظام، وتكون مفيدة بشكل خاص لتقييم طبيعة الكسر المفتت أو الكسر الذي يمتد إلى المفصل، وكذلك لتقييم المفصل الزندي الكعبري البعيد بشكل أكثر تفصيلاً.
* التصوير بالرنين المغناطيسي (MRI): يُستخدم نادرًا لتشخيص كسر غالييزي الأولي، ولكنه قد يكون مفيدًا لتقييم الأنسجة الرخوة المحيطة بالمفصل، مثل الأربطة أو الغضاريف (المثلث الغضروفي الليفي TFCC)، إذا كان هناك شك في إصابتها بشكل كبير أو إذا استمر الألم بعد العلاج.

من خلال هذه الفحوصات الدقيقة، يتمكن الأستاذ الدكتور محمد هطيف من وضع تشخيص دقيق لكسر غالييزي وتحديد أفضل مسار علاجي لكل مريض بشكل فردي.

خيارات العلاج استعادة القوة والحركة

يعتمد علاج كسر غالييزي بشكل كبير على طبيعة الكسر ودرجة خلع المفصل الزندي الكعبري البعيد، وكذلك عمر المريض وحالته الصحية العامة. الهدف الأساسي للعلاج هو استعادة الشكل التشريحي الطبيعي للساعد والرسغ، وتثبيت المفصل، لتمكين المريض من استعادة كامل وظائف اليد والذراع.

العلاج غير الجراحي متى يكون ممكنًا

في حالات نادرة جدًا، قد يكون العلاج غير الجراحي خيارًا، ولكن هذا ليس هو الحال عادةً مع كسر غالييزي الحقيقي لدى البالغين. المصدر الطبي يذكر أن "التثبيت التشريحي لكسر الكعبرة يؤدي عادةً إلى مفصل زندي كعبري بعيد مستقر يمكن علاجه غير جراحيًا بفترة من التثبيت." هذا يعني أن المفصل الزندي الكعبري البعيد يصبح مستقرًا بعد علاج الكسر في الكعبرة.

ومع ذلك، إذا كان الكسر بسيطًا جدًا ولم يترافق مع خلع واضح أو عدم استقرار في المفصل بعد رد الكسر، فقد يُلجأ إلى العلاج غير الجراحي، والذي يتضمن:
* التثبيت بالجبس أو الجبيرة: يتم وضع اليد والساعد في جبيرة أو جبس للحفاظ على العظام في وضعها الصحيح حتى تلتئم. يجب أن يكون هذا التثبيت دقيقًا جدًا لضمان عدم عودة الخلع.
* إدارة الألم: استخدام مسكنات الألم للتحكم في الألم والتورم.
* المتابعة الدورية: إجراء أشعة سينية متكررة للتأكد من أن الكسر والمفصل يلتئمان بشكل صحيح ولا يوجد أي تحرك.

ملاحظة هامة: في الغالبية العظمى من حالات كسر غالييزي لدى البالغين، يُعد التدخل الجراحي ضروريًا وحاسمًا لتحقيق أفضل النتائج، نظرًا لعدم استقرار الكسر وخلع المفصل المصاحب له.

العلاج الجراحي الحل الأمثل لمعظم حالات كسر غالييزي

يُعد التدخل الجراحي هو الخيار المفضل والضروري لمعظم البالغين المصابين بكسر غالييزي. الهدف من الجراحة هو:
1. رد وتثبيت كسر الكعبرة: إعادة أجزاء العظم المكسور إلى مكانها الطبيعي وتثبيتها بإحكام.
2. رد وتثبيت المفصل الزندي الكعبري البعيد: إعادة المفصل المخلوع إلى مكانه وضمان استقراره.

يقوم الأستاذ الدكتور محمد هطيف، بخبرته الواسعة في جراحة العظام، بإجراء هذه العمليات بدقة عالية لضمان أفضل النتائج. تتضمن التقنيات الجراحية ما يلي:

تثبيت كسر الكعبرة

  • الرد المفتوح والتثبيت بالصفيحة والمسامير (Open Reduction and Internal Fixation - ORIF): هذه هي الطريقة الأكثر شيوعًا وفعالية.
    • الرد (Reduction): يتم إجراء شق جراحي لتمكين الجراح من رؤية العظم المكسور وإعادة الأجزاء إلى محاذاتها التشريحية الصحيحة.
    • التثبيت (Internal Fixation): بعد رد الكسر، تُستخدم صفيحة معدنية (غالبًا من التيتانيوم) ومسامير خاصة لتثبيت أجزاء العظم معًا بقوة. توفر هذه الصفائح والمسامير استقرارًا فوريًا للكسر، مما يسمح ببدء حركة مبكرة للمفصل ويساعد في عملية الشفاء.

تثبيت المفصل الزندي الكعبري البعيد (DRUJ)

بعد تثبيت كسر الكعبرة، يتم تقييم استقرار المفصل الزندي الكعبري البعيد.
* الاستقرار التلقائي: في العديد من الحالات، بمجرد تثبيت كسر الكعبرة بشكل تشريحي دقيق، يعود المفصل الزندي الكعبري البعيد تلقائيًا إلى مكانه الصحيح ويصبح مستقرًا. في هذه الحالة، قد لا تكون هناك حاجة لتدخل إضافي للمفصل نفسه، ويكفي تثبيت الرسغ بجبيرة لفترة قصيرة.
* التثبيت الجراحي للمفصل: إذا ظل المفصل الزندي الكعبري البعيد غير مستقر بعد تثبيت الكعبرة، أو إذا كان من الصعب رده يدويًا، فقد يتطلب ذلك تدخلاً إضافيًا:
* تثبيت مؤقت بالأسلاك (K-wires): يتم إدخال أسلاك رفيعة مؤقتة عبر الجلد لتثبيت عظم الزند والكعبرة معًا في وضعها الصحيح لمدة تتراوح بين 4 إلى 6 أسابيع. تُزال هذه الأسلاك بعد أن يلتئم المفصل.
* إصلاح الأربطة: في بعض الحالات، قد يكون خلع المفصل ناتجًا عن تمزق شديد في الأربطة المحيطة به (خاصة الأربطة المكونة للمثلث الغضروفي الليفي TFCC). قد يتطلب الأمر إصلاح هذه الأربطة جراحيًا لاستعادة استقرار المفصل.
* تثبيت كسر الناتئ الزندي (Ulnar Styloid Fracture): يشير المصدر إلى أنه "في الحالة الأقل شيوعًا عندما يترافق كسر قاعدة الناتئ الزندي مع كسر غالييزي، فإن تثبيت كسر الناتئ الزندي قد يعيد استقرار المفصل الزندي الكعبري البعيد." هذا يعني أن إصلاح الكسر الصغير في عظم الزند يمكن أن يساعد في استقرار المفصل.

خيار العلاج الوصف الإيجابيات السلبيات المحتملة متى يُستخدم؟
غير الجراحي (جبس/جبيرة) تثبيت الساعد والرسغ بجبس أو جبيرة. تجنب الجراحة، تكلفة أقل. خطر عدم التئام الكسر بشكل صحيح أو عدم استقرار المفصل، فترة تثبيت طويلة. حالات نادرة جدًا حيث يكون الكسر بسيطًا والمفصل مستقرًا تمامًا بعد الرد اليدوي.
جراحي (صفيحة ومسامير) رد الكسر جراحيًا وتثبيته بصفائح ومسامير معدنية. استقرار فوري، استعادة دقيقة للتشريح، بدء مبكر للتأهيل، نتائج وظيفية أفضل. مخاطر الجراحة (عدوى، نزيف، تخدير)، تكلفة أعلى، حاجة لإزالة الصفائح أحيانًا. الغالبية العظمى من حالات كسر غالييزي لدى البالغين.
تثبيت المفصل بأسلاك استخدام أسلاك معدنية مؤقتة لتثبيت المفصل الزندي الكعبري البعيد. يعزز استقرار المفصل بعد تثبيت الكعبرة. خطر العدوى حول الأسلاك، قد يتطلب إزالة ثانية. إذا ظل المفصل غير مستقر بعد تثبيت الكعبرة.

يُعد التدخل الجراحي الذي يجريه الأستاذ الدكتور محمد هطيف في حالات كسر غالييزي دقيقًا ومصممًا لضمان استعادة كاملة لوظيفة اليد والرسغ. بعد الجراحة، تبدأ مرحلة التعافي والتأهيل، وهي جزء لا يتجزأ من رحلة الشفاء.

التعافي وإعادة التأهيل رحلة استعادة الوظيفة الكاملة

رحلة التعافي بعد كسر غالييزي، سواء تم علاجه جراحيًا أو في حالات نادرة غير جراحية، هي عملية متعددة المراحل تتطلب صبرًا، التزامًا، وتعاونًا وثيقًا مع فريقك الطبي والمعالج الفيزيائي. الهدف الأسمى هو استعادة القوة، المرونة، والنطاق الكامل للحركة في الساعد والرسغ واليد.

المرحلة الأولى ما بعد الجراحة مباشرة (الأسابيع الأولى)

  • إدارة الألم: بعد الجراحة، ستشعر ببعض الألم، وسيصف لك الدكتور محمد هطيف الأدوية المناسبة للتحكم فيه. من المهم تناولها حسب التوجيهات.
  • العناية بالجرح: سيتم تغطية الجرح بضمادة. ستحصل على تعليمات مفصلة حول كيفية العناية بالجرح، متى يمكنك الاستحمام، ومتى يجب تغيير الضمادات. حافظ على نظافة وجفاف الجرح لتجنب العدوى.
  • التثبيت: غالبًا ما توضع جبيرة أو جبس مؤقت لحماية الساعد والرسغ بعد الجراحة. هذا التثبيت يسمح للأنسجة بالبدء في الشفاء ويمنع الحركة التي قد تضر بالمنطقة التي تم إصلاحها.
  • رفع اليد: حافظ على رفع يدك فوق مستوى القلب قدر الإمكان لتقليل التورم.
  • حركة الأصابع: على الرغم من تثبيت الساعد والرسغ، سيشجعك الطبيب على تحريك أصابعك بلطف وبشكل متكرر للحفاظ على مرونتها ومنع التيبس.

المرحلة الثانية بدء العلاج الطبيعي والتأهيل

بعد بضعة أسابيع، وعندما يسمح الدكتور هطيف، ستبدأ مرحلة العلاج الطبيعي المكثف. هذه المرحلة حيوية لنجاح الشفاء.

  • التقييم الأولي: سيقوم المعالج الفيزيائي بتقييم نطاق حركتك، قوتك، ومستوى الألم.
  • تمارين استعادة نطاق الحركة (Range of Motion - ROM): ستبدأ بتمارين لطيفة لاستعادة حركة الرسغ، الساعد (الدوران)، والمرفق. هذه التمارين تساعد على فك التيبس الذي قد يتكون خلال فترة التثبيت.
    • أمثلة: ثني ومد الرسغ، تدوير الساعد (كب واستلقاء)، تحريك الأصابع.
  • تمارين تقوية العضلات: مع تحسن نطاق الحركة، ستنتقل إلى تمارين لتقوية العضلات المحيطة بالساعد والرسغ.
    • أمثلة: استخدام كرات الضغط، الأربطة المطاطية، أو الأوزان الخفيفة.
  • إدارة التورم والألم: قد يستخدم المعالج الفيزيائي تقنيات مثل التدليك، العلاج بالثلج، أو العلاج بالحرارة للمساعدة في تقليل التورم وتخفيف الألم.
  • التمارين الوظيفية: ستساعدك هذه التمارين على محاكاة الأنشطة اليومية التي تحتاج إلى أداءها، مثل الإمساك بالأشياء، الكتابة، أو استخدام الأدوات.

المرحلة الثالثة العودة التدريجية للأنشطة

مع استمرارك في العلاج الطبيعي، ستتحسن قوتك ووظيفتك تدريجيًا.

  • الزيادة التدريجية للنشاط: ستتمكن من العودة تدريجيًا إلى الأنشطة اليومية الخفيفة، ثم الأنشطة الأكثر تحديًا. من الضروري عدم الإفراط في استخدام اليد أو الساعد خلال هذه الفترة، واتباع توجيهات

آلام العظام والمفاصل المزمنة ليس قدراً محتوماً! التشخيص الدقيق والعلاج المتخصص يمكن أن يعيد لك كامل وظيفتك وحريتك في الحركة بدون ألم.

للحصول على استشارة دقيقة وخطة علاجية مخصصة لحالتك، تواصل فوراً مع مركز الأستاذ الدكتور محمد هطيف:

الأستاذ الدكتور محمد هطيف - أفضل دكتور عظام في صنعاء، وخبير في جراحات العظام والمفاصل المتقدمة.


Dr. Mohammed Hutaif
محتوى موثق طبياً
أ.د. محمد هطيف
استشاري جراحة العظام والعمود الفقري
محتويات المقال